网站主页
神经生长因子受体(抗原)
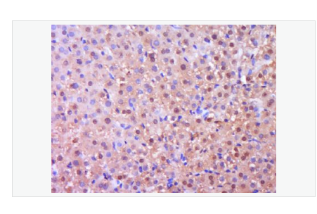
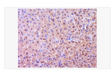
Anti-p75 NGF Receptor antibody -神经生长因子受体抗体
Anti-p75 NGF Receptor antibody -神经生长因子受体抗体
p75 NGF Receptor
¥1138
50ul
起订
¥1880
100ul
起订
¥2900
200ul
起订
上海 更新日期:2026-04-16
产品详情:
- 中文名称:
- Anti-p75 NGF Receptor antibody -神经生长因子受体抗体
- 英文名称:
- p75 NGF Receptor
- 品牌:
- 沪震生物
- 产地:
- 中国/上海
- 保存条件:
- -20°C
- 纯度规格:
- > 99%
- 产品类别:
- 抗体 一抗
- 抗体名:
- NGFR; Gp80 LNGFR; ngfrp75; Low affinity nerve growth factor receptor; Low affinity neurotrophin receptor p75NTR; NGF receptor; p75 ICD; CD271; CD271 antigen; Gp80 LNGFR; Low affinity nerve growth factor receptor; Low affinity neurotrophin receptor p75NTR; Nerve growth factor receptor; Nerve growth factor receptor TNFR superfamily member 16; NGF receptor; NGFR; p75 ICD; p75 Neurotrophin receptor; p75 NTR; TNFR Superfamily Member 16; TNFRSF16; Tumor necrosis factor receptor superfamily member 16; TNR16_HUMAN.
- 靶点:
- 详见说明书
- 宿主:
- Rabbit
- 适应物种:
- 详见说明书
- 克隆性:
- 详见说明书
- 浓度:
- 1mg/ml
- 应用范围:
- WB=1:500-2000 ELISA=1:5000-10000 IHC-P=1:100-500 IHC-F=1:100-500 Flow-Cyt=1μg/Test IF=1:100-500 (石蜡切片需做抗原修复) not yet tested in other applications. optimal dilutions/concentrations should be determined by the end user.
- 标识物:
- 详见说明书
- 形态:
- 液体
- 亚型:
- IgG1
- 免疫原:
- 详见说明书
- 货号:
- HZR-R7122
- 用途范围:
- 科研使用
- 规格:
- 50ul/100ul/200ul
- 是否进口:
- 否
- 是否单克隆:
- 详见说明书
- 保质期:
- 12个月
- 抗原来源:
- 详见说明书
- 标记物:
- 详见说明书
- 产品用途:
- WB=1:500-2000 ELISA=1:5000-10000 IHC-P=1:100-500 IHC-F=1:100-500 Flow-Cyt=1μg/Test IF=1:100-500 (石蜡切片需做抗原修复) not yet tested in other applications. optimal dilutions/concentrations should be determined by the end user.
公司简介
上海沪震实业有限公司是一家集研发、生产和销售于一体的生命科学实验室产品生物科技企业。主营产品:试剂盒,ELISA试剂盒,抗体,重组蛋白,血清,胎牛血清,细胞,原代细胞 细胞培养试剂,常用生化试剂。
| 成立日期 | (12年) |
| 注册资本 | 100万元整 |
| 员工人数 | 10-50人 |
| 年营业额 | ¥ 100万以内 |
| 经营模式 | 工厂,试剂,定制,服务 |
| 主营行业 | 生化试剂,细胞培养,蛋白组学,分子生物学,细胞生物学 |
Anti-p75 NGF Receptor antibody -神经生长因子受体抗体相关厂家报价
-
- 腺苷A2b受体/神经生长因子1受体抗体
- 上海抚生实业有限公司 VIP
- 2026-04-16
- ¥1180
-
- 腺苷A2b受体/神经生长因子1受体抗体
- 上海博湖生物科技有限公司 VIP
- 2026-04-16
- ¥1180
-
- 腺苷A2b受体/神经生长因子1受体抗体
- 上海西格生物科技有限公司 VIP
- 2026-04-16
- ¥1180
