基本信息 产品详情 公司简介 推荐产品
网站主页 iASPP Anti-IASPP antibody -凋亡抑制因子IASPP抗体
  • Anti-IASPP antibody  -凋亡抑制因子IASPP抗体

Anti-IASPP antibody -凋亡抑制因子IASPP抗体

IASPP
1098 50ul 起订
1880 100ul 起订
2900 200ul 起订
上海 更新日期:2026-04-03

上海沪震实业有限公司

VIP4年
联系人:鲍丽雯
电话:021-60345367拨打
手机:13916550749 拨打
邮箱:sales@shzbio.com

产品详情:

中文名称:
Anti-IASPP antibody -凋亡抑制因子IASPP抗体
英文名称:
IASPP
品牌:
沪震生物
产地:
中国/上海
保存条件:
-20°C
纯度规格:
> 99%
产品类别:
抗体 一抗
抗体名:
IASPP; inhibitor of apoptosis stimulating protein of p53; Inhibitor of ASPP protein; NFkB interacting protein 1; NKIP1; PPP1R13B-like protein; PPP1R13L; Protein iASPP; protein phosphatase 1 regulatory (inhibitor) subunit 13 like; RAI; RelA-associated inhibitor; IASPP_HUMAN; RelA-associated inhibitor; Inhibitor of ASPP protein; NFkB-interacting protein 1.
靶点:
详见说明书
宿主:
Rabbit
适应物种:
详见说明书
克隆性:
详见说明书
浓度:
1mg/ml
应用范围:
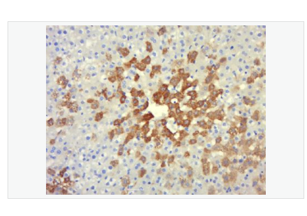
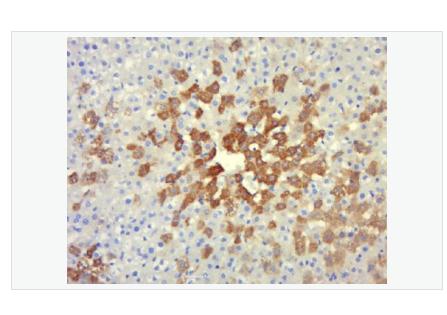
ELISA=1:5000-10000 IHC-P=1:100-500 IHC-F=1:100-500 Flow-Cyt=1μg/Test ICC=1:100 IF=1:100-500 (石蜡切片需做抗原修复) not yet tested in other applications. optimal dilutions/concentrations should be determined by the end user.
标识物:
详见说明书
形态:
液体
亚型:
IgG1
免疫原:
详见说明书
货号:
Hz-R0284
用途范围:
科研使用
规格:
50ul/100ul/200ul
是否进口:
是否单克隆:
详见说明书
保质期:
12个月
抗原来源:
详见说明书
标记物:
详见说明书
产品用途:
ELISA=1:5000-10000 IHC-P=1:100-500 IHC-F=1:100-500 Flow-Cyt=1μg/Test ICC=1:100 IF=1:100-500 (石蜡切片需做抗原修复) not yet tested in other applications. optimal dilutions/concentrations should be determined by the end user.

Host:Rabbit

Target Protein:IASPP

IR:Immunogen Range:15-100/828

Clonality:Polyclonal

Isotype:IgG

Entrez Gene:10848

Swiss Prot:Q8WUF5

Source:KLH conjugated synthetic peptide derived from human IASPP:15-100/828 

Purification:affinity purified by Protein A

Storage:0.01M TBS(pH7.4) with 1% BSA, 0.03% Proclin300 and 50% Glycerol. Shipped at 4℃. Store at -20 °C for one year. Avoid repeated freeze/thaw cycles.

Background:iASPP(inhibitor of apoptosis stimulating protein of p53)regulator that plays a central role in regulation of apoptosis and transcription via its interaction with NF-kappa-B and p53/TP53 proteins. Blocks transcription of HIV-1 virus by inhibiting the action of both NF-kappa-B and SP1. Also inhibits p53/TP53 function, possibly by preventing the association between p53/TP53 and ASPP1 or ASPP2, and therefore suppressing the subsequent activation of apoptosis. Highly expressed in heart, placenta and prostate. Weakly expressed in brain, liver, skeletal muscle, testis and peripheral blood leukocyte. Belongs to the ASPP family.

Size:50ul

Concentration:1mg/ml

Applications:ELISA(1:5000-10000)
IHC-P(1:100-500)
IHC-F(1:100-500)
Flow-Cyt(1μg/Test)
ICC(1:100)
IF(1:100-500)

Cross Reactive Species:Human
Mouse
Rat
Dog
Cow
Sheep
Guinea Pig
.

搜狗截图23年05月11日1055_140.png                                                                                                                                                      本产品仅供科研使用。不能用于人和动物治疗等其它临床诊断使用!


IASPP;PPP1R13L;NKIP1;RAI;PPP1R13L;

公司简介

上海沪震实业有限公司是一家集研发、生产和销售于一体的生命科学实验室产品生物科技企业。主营产品:试剂盒,ELISA试剂盒,抗体,重组蛋白,血清,胎牛血清,细胞,原代细胞 细胞培养试剂,常用生化试剂。

成立日期 (12年)
注册资本 100万元整
员工人数 10-50人
年营业额 ¥ 100万以内
经营模式 工厂,试剂,定制,服务
主营行业 生化试剂,细胞培养,蛋白组学,分子生物学,细胞生物学

Anti-IASPP antibody -凋亡抑制因子IASPP抗体相关厂家报价

内容声明
拨打电话 立即询价