基本信息 产品详情 公司简介 推荐产品
网站主页 MEK2 Anti-MEK2 antibody -丝裂原活化蛋白激酶激酶2抗体
  • Anti-MEK2 antibody  -丝裂原活化蛋白激酶激酶2抗体

Anti-MEK2 antibody -丝裂原活化蛋白激酶激酶2抗体

MEK2
1098 50ul 起订
1880 100ul 起订
1980 200ul 起订
上海 更新日期:2026-04-17

上海沪震实业有限公司

VIP4年
联系人:鲍丽雯
电话:021-60345367拨打
手机:13916550749 拨打
邮箱:sales@shzbio.com

产品详情:

中文名称:
Anti-MEK2 antibody -丝裂原活化蛋白激酶激酶2抗体
英文名称:
MEK2
品牌:
沪震生物
产地:
中国/上海
保存条件:
-20°C
纯度规格:
> 99%
产品类别:
抗体 一抗
抗体名:
Cardiofaciocutaneous syndrome; CFC syndrome; Dual specificity mitogen activated protein kinase kinase 2; Dual specificity mitogen-activated protein kinase kinase 2; ERK activator kinase 2; FLJ26075; MAP kinase kinase 2; MAP2K 2; map2k2; MAPK / ERK kinase 2; MAPK/ERK kinase 2; MAPKK 2; MAPKK2; MEK 2; MEK2; Microtubule Associated Protein Kinase Kinase 2; Mitogen activated protein kinase kinase 2; Mitogen activated protein kinase kinase 2 p45; MKK 2; MP2K2_HUMAN; OTTHUMP00000165826; OTTHUMP00000165827; PRKMK 2; PRKMK2 V.
靶点:
详见说明书
宿主:
Rabbit
适应物种:
详见说明书
克隆性:
详见说明书
浓度:
1mg/ml
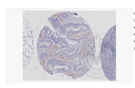
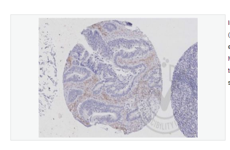
应用范围:
WB=1:500-2000 ELISA=1:5000-10000 IHC-P=1:100-500 IHC-F=1:100-500 IF=1:100-500 (石蜡切片需做抗原修复) not yet tested in other applications. optimal dilutions/concentrations should be determined by the end user.
标识物:
详见说明书
形态:
液体
亚型:
IgG1
免疫原:
详见说明书
货号:
Hz-R0223
用途范围:
科研使用
规格:
50ul/100ul/200ul
是否进口:
是否单克隆:
详见说明书
保质期:
12个月
抗原来源:
详见说明书
标记物:
详见说明书
产品用途:
WB=1:500-2000 ELISA=1:5000-10000 IHC-P=1:100-500 IHC-F=1:100-500 IF=1:100-500 (石蜡切片需做抗原修复) not yet tested in other applications. optimal dilutions/concentrations should be determined by the end user.

Host:Rabbit

Target Protein:MEK2

IR:Immunogen Range:1-50/400

Clonality:Polyclonal

Isotype:IgG

Entrez Gene:5605

Swiss Prot:P36507

Source:KLH conjugated synthetic peptide derived from human MAPKK2:1-50/400 

Purification:affinity purified by Protein A

Storage:0.01M TBS(pH7.4) with 1% BSA, 0.03% Proclin300 and 50% Glycerol. Shipped at 4℃. Store at -20 °C for one year. Avoid repeated freeze/thaw cycles.

Background:The protein encoded by this gene is a dual specificity protein kinase that belongs to the MAP kinase kinase family. This kinase is known to play a critical role in mitogen growth factor signal transduction. It phosphorylates and thus activates MAPK1/ERK2 and MAPK2/ERK3. The activation of this kinase itself is dependent on the Ser/Thr phosphorylation by MAP kinase kinase kinases. Mutations in this gene cause cardiofaciocutaneous syndrome (CFC syndrome), a disease characterized by heart defects, mental retardation, and distinctive facial features similar to those found in Noonan syndrome. The inhibition or degradation of this kinase is also found to be involved in the pathogenesis of Yersinia and anthrax. A pseudogene, which is located on chromosome 7, has been identified for this gene. [provided by RefSeq, Jul 2008].

Size:50ul

Concentration:1mg/ml

Applications:WB(1:500-2000)
ELISA(1:5000-10000)
IHC-P(1:100-500)
IHC-F(1:100-500)
IF(1:100-500)

Cross Reactive Species:Human
Mouse
Rat
Chicken

搜狗截图23年05月11日1111_146.png                                                                                                                                                本产品仅供科研使用。不能用于人和动物治疗等其它临床诊断使用!


MAPKK2;MAPKK 2;OTTHUMP00000165827;FLJ26075;MAPKK2;

公司简介

上海沪震实业有限公司是一家集研发、生产和销售于一体的生命科学实验室产品生物科技企业。主营产品:试剂盒,ELISA试剂盒,抗体,重组蛋白,血清,胎牛血清,细胞,原代细胞 细胞培养试剂,常用生化试剂。

成立日期 (12年)
注册资本 100万元整
员工人数 10-50人
年营业额 ¥ 100万以内
经营模式 工厂,试剂,定制,服务
主营行业 生化试剂,细胞培养,蛋白组学,分子生物学,细胞生物学

Anti-MEK2 antibody -丝裂原活化蛋白激酶激酶2抗体相关厂家报价

内容声明
拨打电话 立即询价