基本信息 产品详情 公司简介 推荐产品
网站主页 化工产品目录 生物化工 抗体 ANTI-STAT6 Anti-STAT6 antibody -信号转导和转录激活因子6抗体
  • Anti-STAT6 antibody  -信号转导和转录激活因子6抗体

Anti-STAT6 antibody -信号转导和转录激活因子6抗体

STAT6
1098 50ul 起订
1880 100ul 起订
2900 200ul 起订
上海 更新日期:2026-04-03

上海沪震实业有限公司

VIP4年
联系人:鲍丽雯
电话:021-60345367拨打
手机:13916550749 拨打
邮箱:sales@shzbio.com

产品详情:

中文名称:
Anti-STAT6 antibody -信号转导和转录激活因子6抗体
英文名称:
STAT6
品牌:
沪震生物
产地:
中国/上海
保存条件:
-20°C
纯度规格:
> 99%
产品类别:
抗体 一抗
抗体名:
signal transducers and activators of transduction 6; D12S1644; IL 4 STAT; IL4 STAT; Interleukin 4 Induced; Interleukin 4 Induced Transcription Factor IL4 STAT; Signal Transducer And Activator Of Transcription 6 Interleukin 4 Induced; Signal Transducer And Activator Of Transcription 6 Nirs Variant 1; STAT 6; STAT interleukin4 induced; STAT6B; STAT6C; Transcription factor IL 4 STAT.
靶点:
详见说明书
宿主:
Rabbit
适应物种:
详见说明书
克隆性:
详见说明书
浓度:
1mg/ml
应用范围:
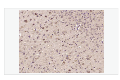
ELISA=1:5000-10000 IHC-P=1:100-500 IHC-F=1:100-500 IF=1:100-500 (石蜡切片需做抗原修复) not yet tested in other applications. optimal dilutions/concentrations should be determined by the end user
标识物:
详见说明书
形态:
液体
亚型:
IgG1
免疫原:
详见说明书
货号:
Hz-R1143
用途范围:
科研使用
规格:
50ul/100ul/200ul
是否进口:
是否单克隆:
详见说明书
保质期:
12个月
抗原来源:
详见说明书
标记物:
详见说明书
产品用途:
ELISA=1:5000-10000 IHC-P=1:100-500 IHC-F=1:100-500 IF=1:100-500 (石蜡切片需做抗原修复) not yet tested in other applications. optimal dilutions/concentrations should be determined by the end user

Host:Rabbit

Target Protein:STAT6

IR:Immunogen Range:601-700/841

Clonality:Polyclonal

Isotype:IgG

Entrez Gene:6778

Swiss Prot:P42226

Source:KLH conjugated synthetic peptide derived from human STAT6:601-700/841 

Purification:affinity purified by Protein A

Storage:0.01M TBS(pH7.4) with 1% BSA, 0.03% Proclin300 and 50% Glycerol. Shipped at 4℃. Store at -20 °C for one year. Avoid repeated freeze/thaw cycles.

Background:The protein encoded by this gene is a member of the STAT family of transcription factors. In response to cytokines and growth factors, STAT family members are phosphorylated by the receptor associated kinases, and then form homo- or heterodimers that translocate to the cell nucleus where they act as transcription activators. This protein plays a central role in exerting IL4 mediated biological responses. It is found to induce the expression of BCL2L1/BCL-X (L), which is responsible for the anti-apoptotic activity of IL4. Knockout studies in mice suggested the roles of this gene in differentiation of T helper 2 (Th2) cells, expression of cell surface markers, and class switch of immunoglobulins.

Size:50ul

Concentration:1mg/ml

Applications:ELISA(1:5000-10000)
IHC-P(1:100-500)
IHC-F(1:100-500)
IF(1:100-500)

Cross Reactive Species:Human
Mouse
Rat

搜狗截图23年05月11日1150_162.png                                                                                                                                                  本产品仅供科研使用。不能用于人和动物治疗等其它临床诊断使用!


D12S1644;STAT6B;STAT6C;IL4 STAT;IL 4 STAT;

公司简介

上海沪震实业有限公司是一家集研发、生产和销售于一体的生命科学实验室产品生物科技企业。主营产品:试剂盒,ELISA试剂盒,抗体,重组蛋白,血清,胎牛血清,细胞,原代细胞 细胞培养试剂,常用生化试剂。

成立日期 (12年)
注册资本 100万元整
员工人数 10-50人
年营业额 ¥ 100万以内
经营模式 工厂,试剂,定制,服务
主营行业 生化试剂,细胞培养,蛋白组学,分子生物学,细胞生物学

Anti-STAT6 antibody -信号转导和转录激活因子6抗体相关厂家报价

内容声明
拨打电话 立即询价