基本信息 产品详情 公司简介 推荐产品
网站主页 ANTI-MUTANT P53 ANTIBODY- 突变型P53抗体 Anti-Mutant p53 antibody- 突变型P53抗体
  • Anti-Mutant p53 antibody- 突变型P53抗体

Anti-Mutant p53 antibody- 突变型P53抗体

Mutant p53 (N235K,N239Y)
1098 50ul 起订
1880 100ul 起订
2900 200ul 起订
上海 更新日期:2026-04-03

上海沪震实业有限公司

VIP4年
联系人:鲍丽雯
电话:021-60345367拨打
手机:13916550749 拨打
邮箱:sales@shzbio.com

产品详情:

中文名称:
Anti-Mutant p53 antibody- 突变型P53抗体
英文名称:
Mutant p53 (N235K,N239Y)
品牌:
沪震生物
产地:
中国/上海
保存条件:
-20°C
纯度规格:
> 99%
产品类别:
抗体 一抗
抗体名:
Mtp53(N235K N239Y); Mt-p53(N235K N239Y); p53 (Mutant type, N235K N239Y); Chain A, Human P53 Core Domain Mutant N239y; Human P53 Core Domain Mutant N235K, N239Y; P53_HUMAN.
靶点:
详见说明书
宿主:
Rabbit
适应物种:
详见说明书
克隆性:
详见说明书
浓度:
1mg/ml
应用范围:
ELISA=1:5000-10000 IHC-P=1:100-500 IHC-F=1:100-500 Flow-Cyt=1μg/Test ICC=1:100 IF=1:100-500 (石蜡切片需做抗原修复) not yet tested in other applications. optimal dilutions/concentrations should be determined by the end user.
标识物:
详见说明书
形态:
液体
亚型:
IgG1
免疫原:
详见说明书
货号:
Hz-R0913
用途范围:
科研使用
规格:
50ul/100ul/200ul
是否进口:
是否单克隆:
详见说明书p55
保质期:
12个月
抗原来源:
详见说明书
标记物:
详见说明书
产品用途:
ELISA=1:5000-10000 IHC-P=1:100-500 IHC-F=1:100-500 Flow-Cyt=1μg/Test ICC=1:100 IF=1:100-500 (石蜡切片需做抗原修复) not yet tested in other applications. optimal dilutions/concentrations should be determined by the end user.


Host:Rabbit

Target Protein:Mutant p53 (N235K,N239Y)

IR:Immunogen Range:230-241/393

Clonality:Polyclonal

Isotype:IgG

Entrez Gene:7157

Swiss Prot:P04637

Source:KLH conjugated synthetic peptide derived from human p53 arund the Mutation site N235K N239Y:230-241/393 

Purification:affinity purified by Protein A

Storage:0.01M TBS(pH7.4) with 1% BSA, 0.03% Proclin300 and 50% Glycerol. Shipped at 4℃. Store at -20 °C for one year. Avoid repeated freeze/thaw cycles.

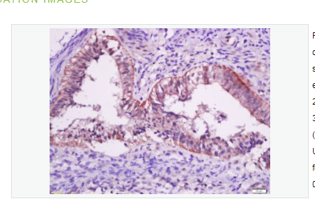
Background:The widely studied P53 tumor suppressor gene has been found to contain mutations in over 50% of human cancers. The level of P53 protein is low in normal cells, but is increased in response to DNA damage or various other cellular distress signals. Overexpression of the P53 transcription factor can induce ether cell cycle arrest or apoptosis through transcriptional regulation of several genes including the cell cycle ingibitor P21, DNA repair gene GADD45, and the apoptotic inducer Bax. P53 has also been shown to induce apoptosis by meas of s direct signaling pathway. P53 directly binds to and acts on several cellular protein involved in various pathway, including c-Abl, basal transcription factor TFIIH and WT1. P53 can be functionally inactivated by mutation, binding to DNA tumor virus encoded proteins, such as SV40 large T antigen, Adenovirus E1B and papilloma virus E6 proteins or as a consequence of its interaction with the oncogene-encoded protein MDM2. This antibody is recognize the Human P53 Core Domain Mutant N235KN239Y.

Size:50ul

Concentration:1mg/ml

Applications:ELISA(1:5000-10000)
IHC-P(1:100-500)
IHC-F(1:100-500)
Flow-Cyt(1μg/Test)
ICC(1:100)
IF(1:100-500)

Cross Reactive Species:Human
Mouse
.

搜狗截图23年06月05日0946_3.png                                                  

  本品仅供科研使用。不能用于人和动物治疗等其它临床诊断用!

Mtp53;N239Y;P53_HUMAN; Mt-p53;Chain A;N235K;N239Y;(N235K N239Y;

公司简介

上海沪震实业有限公司是一家集研发、生产和销售于一体的生命科学实验室产品生物科技企业。主营产品:试剂盒,ELISA试剂盒,抗体,重组蛋白,血清,胎牛血清,细胞,原代细胞 细胞培养试剂,常用生化试剂。

成立日期 (12年)
注册资本 100万元整
员工人数 10-50人
年营业额 ¥ 100万以内
经营模式 工厂,试剂,定制,服务
主营行业 生化试剂,细胞培养,蛋白组学,分子生物学,细胞生物学

Anti-Mutant p53 antibody- 突变型P53抗体相关厂家报价

内容声明
拨打电话 立即询价