网站主页
phospho-MEK1 (Ser385)
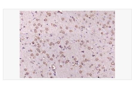
Anti-phospho-Erk1 antibody-磷酸化丝裂原活化蛋白激酶1抗体
Anti-phospho-Erk1 antibody-磷酸化丝裂原活化蛋白激酶1抗体
phospho-Erk1 (Thr202 + Tyr204)
¥1280
50ul
起订
¥1980
100ul
起订
¥2900
200ul
起订
上海 更新日期:2026-04-13
产品详情:
- 中文名称:
- Anti-phospho-Erk1 antibody-磷酸化丝裂原活化蛋白激酶1抗体
- 英文名称:
- phospho-Erk1 (Thr202 + Tyr204)
- 品牌:
- 沪震生物
- 产地:
- 中国/上海
- 保存条件:
- -20°C
- 纯度规格:
- > 99%
- 产品类别:
- 抗体 一抗
- 抗体名:
- Erk1 (pT202/pY204); ERK/MAPK(phospho T202/Y204); ERK1 (phospho T202); p-ERK1 (phospho T202); p44/42 MAP Kinase(Phospho-Thr202); ERK; ERK-1; ERT 2; ERT2; Extracellular Signal Regulated Kinase 1; Extracellular signal related kinase 1; Extracellular signal-regulated kinase 1; HGNC6877; HS44KDAP; HUMKER1A; Insulin Stimulated MAP2 Kinase; Insulin-stimulated MAP2 kinase; MAP kinase 1; MAP kinase 3; MAP Kinase; MAP kinase isoform p44; MAPK 1; MAPK 3; MAPK; MAPK1; Mapk3; MGC20180; Microtubule Associated Protein 2 Kinase; Microtubule-associated protein 2 kinase; Mitogen Activated Protein Kinase 3; Mitogen-activated protein kinase 1; Mitogen-activated protein kinase 3; MK03_HUMAN; OTTHUMP00000174538; OTTHUMP00000174541; p44 ERK1; p44 MAPK; p44-ERK1; p44-MAPK; P44ERK1; P44MAPK; PRKM 3; PRKM3; Protein Kinase Mitogen Activated 3.
- 靶点:
- 详见说明书
- 宿主:
- Mouse
- 适应物种:
- 详见说明书
- 克隆性:
- 详见说明书
- 浓度:
- 1mg/ml
- 应用范围:
- ELISA=1:5000-10000 IHC-P=1:100-500 IHC-F=1:100-500 Flow-Cyt=2ug/Test IF=1:100-500 (石蜡切片需做抗原修复) not yet tested in other applications. optimal dilutions/concentrations should be determined by the end user.
- 标识物:
- 详见说明书
- 形态:
- 液体
- 亚型:
- IgG1
- 免疫原:
- 详见说明书
- 货号:
- Hz-R1645
- 用途范围:
- 科研使用
- 规格:
- 50ul/100ul/200ul
- 是否进口:
- 否
- 是否单克隆:
- 详见说明书p55
- 保质期:
- 12个月3
- 抗原来源:
- 详见说明书
- 标记物:
- 详见说明书
- 产品用途:
- ELISA=1:5000-10000 IHC-P=1:100-500 IHC-F=1:100-500 Flow-Cyt=2ug/Test IF=1:100-500 (石蜡切片需做抗原修复) not yet tested in other applications. optimal dilutions/concentrations should be determined by the end user.
公司简介
上海沪震实业有限公司是一家集研发、生产和销售于一体的生命科学实验室产品生物科技企业。主营产品:试剂盒,ELISA试剂盒,抗体,重组蛋白,血清,胎牛血清,细胞,原代细胞 细胞培养试剂,常用生化试剂。
| 成立日期 | (12年) |
| 注册资本 | 100万元整 |
| 员工人数 | 10-50人 |
| 年营业额 | ¥ 100万以内 |
| 经营模式 | 工厂,试剂,定制,服务 |
| 主营行业 | 生化试剂,细胞培养,蛋白组学,分子生物学,细胞生物学 |
Anti-phospho-Erk1 antibody-磷酸化丝裂原活化蛋白激酶1抗体相关厂家报价
-
- 磷酸化丝裂原活化蛋白激酶1抗体
- 上海抚生实业有限公司 VIP
- 2026-04-13
- ¥1180
-
- 磷酸化丝裂原活化蛋白激酶1抗体
- 上海博湖生物科技有限公司 VIP
- 2026-04-13
- ¥1180
-
- 磷酸化丝裂原活化蛋白激酶1抗体
- 上海西格生物科技有限公司 VIP
- 2026-04-13
- ¥1180
