基本信息 产品详情 公司简介 推荐产品
网站主页 化工产品目录 原料药 呼吸系统用药 祛痰药 N-乙酰-L-半胱氨酸 Anti-ACACA antibody-乙酰辅酶A羧化酶抗体
  • Anti-ACACA  antibody-乙酰辅酶A羧化酶抗体

Anti-ACACA antibody-乙酰辅酶A羧化酶抗体

ACACA
616-91-1
1098 50ul 起订
1880 100ul 起订
2900 200ul 起订
上海 更新日期:2026-04-14

上海沪震实业有限公司

VIP4年
联系人:鲍丽雯
电话:021-60345367拨打
手机:13916550749 拨打
邮箱:sales@shzbio.com

产品详情:

中文名称:
Anti-ACACA antibody-乙酰辅酶A羧化酶抗体
英文名称:
ACACA
CAS号:
616-91-1
品牌:
沪震生物
产地:
中国/上海
保存条件:
-20°C
纯度规格:
> 99%
产品类别:
抗体 一抗
抗体名:
ACACA_HUMAN; Acetyl-CoA carboxylase 1; ACC1; Acetyl-Coenzyme A carboxylase alpha; ACC-alpha; ACAC; ACC1; ACCA;
靶点:
详见说明书
宿主:
Rabbit
适应物种:
详见说明书
克隆性:
详见说明书
浓度:
1mg/ml
应用范围:
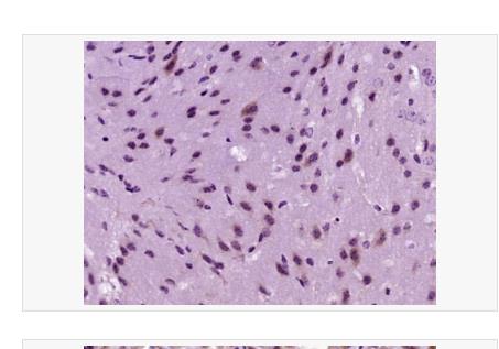
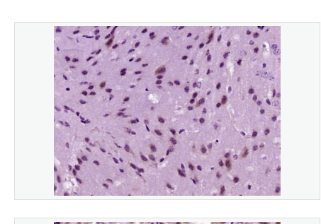
ELISA=1:5000-10000 IHC-P=1:100-500 IHC-F=1:100-500 ICC=1:100 IF=1:100-500 (石蜡切片需做抗原修复) not yet tested in other applications. optimal dilutions/concentrations should be determined by the end user.
标识物:
详见说明书
形态:
液体
亚型:
IgG1
免疫原:
详见说明书
货号:
Hz-R2745
用途范围:
科研使用
规格:
50ul/100ul/200ul
是否进口:
是否单克隆:
详见说明书p55
保质期:
12个月3
抗原来源:
详见说明书
标记物:
详见说明书
产品用途:
ELISA=1:5000-10000 IHC-P=1:100-500 IHC-F=1:100-500 ICC=1:100 IF=1:100-500 (石蜡切片需做抗原修复) not yet tested in other applications. optimal dilutions/concentrations should be determined by the end user.

Host:Rabbit

Target Protein:ACACA

IR:Immunogen Range:2307-2355/2458

Clonality:Polyclonal

Isotype:IgG

Entrez Gene:32

Swiss Prot:Q13085

Source:KLH conjugated synthetic peptide derived from human Acetyl Coenzyme A Carboxylase 1/2:2307-2355/2458 

Purification:affinity purified by Protein A

Storage:0.01M TBS(pH7.4) with 1% BSA, 0.03% Proclin300 and 50% Glycerol. Shipped at 4℃. Store at -20 °C for one year. Avoid repeated freeze/thaw cycles.

Background:Acetyl-CoA carboxylase (ACC) is a complex multifunctional enzyme system. ACC is a biotin-containing enzyme which catalyzes the carboxylation of acetyl-CoA to malonyl-CoA, the rate-limiting step in fatty acid synthesis. There are two ACC forms, alpha and beta, encoded by two different genes. ACC-alpha is highly enriched in lipogenic tissues. The enzyme is under long term control at the transcriptional and translational levels and under short term regulation by the phosphorylation/dephosphorylation of targeted serine residues and by allosteric transformation by citrate or palmitoyl-CoA. Multiple alternatively spliced transcript variants divergent in the 5' sequence and encoding distinct isoforms have been found for this gene. [provided by RefSeq, Jul 2008].

Size:50ul

Concentration:1mg/ml

Applications:ELISA(1:5000-10000)
IHC-P(1:100-500)
IHC-F(1:100-500)
ICC(1:100)
IF(1:100-500)

Cross Reactive Species:Human
Mouse
Rat
Cow
Monkey

搜狗截图23年06月09日1056_76.png                                                                                                                                                                                                                                                                                                  

                                                                                                                                                                                                                                                                                            本品仅供科研使用。不能用于人和动物治疗等其它临床诊断用!

ACACA;ACACA_HUMAN;ACC1;ACC1;ACAC; ACC-alpha;ACCA;Acetyl-CoA carboxyla;

公司简介

上海沪震实业有限公司是一家集研发、生产和销售于一体的生命科学实验室产品生物科技企业。主营产品:试剂盒,ELISA试剂盒,抗体,重组蛋白,血清,胎牛血清,细胞,原代细胞 细胞培养试剂,常用生化试剂。

成立日期 (12年)
注册资本 100万元整
员工人数 10-50人
年营业额 ¥ 100万以内
经营模式 工厂,试剂,定制,服务
主营行业 生化试剂,细胞培养,蛋白组学,分子生物学,细胞生物学

Anti-ACACA antibody-乙酰辅酶A羧化酶抗体相关厂家报价 更多

内容声明
拨打电话 立即询价