基本信息 产品详情 公司简介 推荐产品
网站主页 Phospho-CDK1 (Thr14) Anti-Phospho-CDK1 antibody-磷酸化周期素依赖激酶2抗体
  • Anti-Phospho-CDK1   antibody-磷酸化周期素依赖激酶2抗体

Anti-Phospho-CDK1 antibody-磷酸化周期素依赖激酶2抗体

Phospho-CDK1 (Thr14)
1280 50ul 起订
1980 100ul 起订
2900 200ul 起订
上海 更新日期:2026-04-17

上海沪震实业有限公司

VIP4年
联系人:鲍丽雯
电话:021-60345367拨打
手机:13916550749 拨打
邮箱:sales@shzbio.com

产品详情:

中文名称:
Anti-Phospho-CDK1 antibody-磷酸化周期素依赖激酶2抗体
英文名称:
Phospho-CDK1 (Thr14)
品牌:
沪震生物
产地:
中国/上海
保存条件:
-20°C
纯度规格:
> 99%
产品类别:
抗体 一抗
抗体名:
Phospho-cdc2 (Thr14); CDK1 (Phospho Thr14); CDK1 (Phospho T14); Cdc 2; Cdc2; CDC28A; CDK 1; CDK1_HUMAN; CDKN1; CELL CYCLE CONTROLLER CDC2; Cell division control protein 2; Cell division control protein 2 homolog; Cell division cycle 2 G1 to S and G2 to M; Cell division protein kinase 1; Cell Divsion Cycle 2 Protein; Cyclin Dependent Kinase 1; Cyclin-dependent kinase 1; DKFZp686L20222; MGC111195; p34 Cdk1; p34 protein kinase; P34CDC2.
靶点:
详见说明书
宿主:
Rabbit
适应物种:
详见说明书
克隆性:
详见说明书
浓度:
1mg/ml
应用范围:
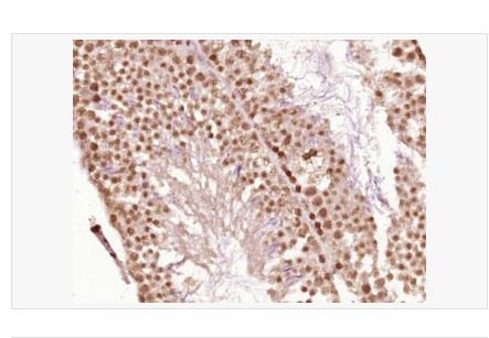
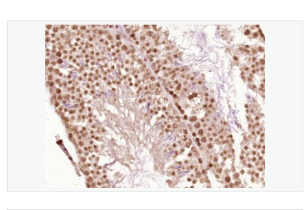
WB=1:500-2000 ELISA=1:5000-10000 IHC-P=1:100-500 IHC-F=1:100-500 Flow-Cyt=1ug/Test ICC=1:100 IF=1:100-500 (石蜡切片需做抗原修复) not yet tested in other applications. optimal dilutions/concentrations should be determined by the end user.
标识物:
详见说明书
形态:
液体
亚型:
IgG1
免疫原:
详见说明书
货号:
Hz-R3091
用途范围:
科研使用
规格:
50ul/100ul/200ul
是否进口:
是否单克隆:
详见说明书p55
保质期:
12个月3
抗原来源:
详见说明书
标记物:
详见说明书
产品用途:
WB=1:500-2000 ELISA=1:5000-10000 IHC-P=1:100-500 IHC-F=1:100-500 Flow-Cyt=1ug/Test ICC=1:100 IF=1:100-500 (石蜡切片需做抗原修复) not yet tested in other applications. optimal dilutions/concentrations should be determined by the end user.

Host:Rabbit

Target Protein:Phospho-CDK1 (Thr14)

IR:Immunogen Range:EG(p-T)YG

Clonality:Polyclonal

Isotype:IgG

Entrez Gene:983

Swiss Prot:P06493

Source:KLH conjugated Synthesised phosphopeptide derived from human cdc2 around the phosphorylation site of Thr14:EG(p-T)YG 

Purification:affinity purified by Protein A

Storage:0.01M TBS(pH7.4) with 1% BSA, 0.03% Proclin300 and 50% Glycerol. Shipped at 4℃. Store at -20 °C for one year. Avoid repeated freeze/thaw cycles.

Background:The protein encoded by this gene is a member of the Ser/Thr protein kinase family. This protein is a catalytic subunit of the highly conserved protein kinase complex known as M-phase promoting factor (MPF), which is essential for G1/S and G2/M phase transitions of eukaryotic cell cycle. Mitotic cyclins stably associate with this protein and function as regulatory subunits. The kinase activity of this protein is controlled by cyclin accumulation and destruction through the cell cycle. The phosphorylation and dephosphorylation of this protein also play important regulatory roles in cell cycle control. Alternatively spliced transcript variants encoding different isoforms have been found for this gene. [provided by RefSeq, Mar 2009]

Size:50ul

Concentration:1mg/ml

Applications:WB(1:500-2000)
ELISA(1:5000-10000)
IHC-P(1:100-500)
IHC-F(1:100-500)
Flow-Cyt(1ug/Test)
ICC(1:100)
IF(1:100-500)

Cross Reactive Species:Human
Mouse
Rat
Rabbit

搜狗截图23年06月09日1104_79.png                                                                                                                                                                                                                                                                                                  


                                                                                                                                                                                                                                                                                                                          本品仅供科研使用。不能用于人和动物治疗等其它临床诊断用!


CDK1 ;Cdc2;Cdc 2;CDC28A;CDK1_HUMAN;CDKN1;P34CDC2;DKFZp686L20222;

公司简介

上海沪震实业有限公司是一家集研发、生产和销售于一体的生命科学实验室产品生物科技企业。主营产品:试剂盒,ELISA试剂盒,抗体,重组蛋白,血清,胎牛血清,细胞,原代细胞 细胞培养试剂,常用生化试剂。

成立日期 (12年)
注册资本 100万元整
员工人数 10-50人
年营业额 ¥ 100万以内
经营模式 工厂,试剂,定制,服务
主营行业 生化试剂,细胞培养,蛋白组学,分子生物学,细胞生物学

Anti-Phospho-CDK1 antibody-磷酸化周期素依赖激酶2抗体相关厂家报价

内容声明
拨打电话 立即询价