网站主页
SER-ALA-ASN-SER-ASN-PRO-ALA-MET-ALA-PRO-ARG-GLU-ARG-LYS-ALA-GLY-CYS-LYS-ASN-PHE-PHE-TRP-LYS-THR-PHE-THR-SER-CYS
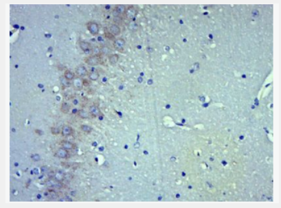
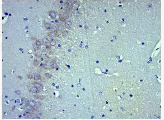
Anti-Somatostatin 28 antibody-生长抑素抗体
Anti-Somatostatin 28 antibody-生长抑素抗体
Somatostatin 28
75037-27-3
75037-27-3
¥1138
50ul
起订
¥1880
100ul
起订
¥2900
200ul
起订
上海 更新日期:2026-04-03
产品详情:
- 中文名称:
- Anti-Somatostatin 28 antibody-生长抑素抗体
- 英文名称:
- Somatostatin 28
- CAS号:
- 75037-27-3
- 品牌:
- 沪震生物
- 产地:
- 中国/上海
- 保存条件:
- -20°C
- 纯度规格:
- > 99%
- 产品类别:
- 抗体 一抗
- 抗体名:
- Growth hormone release inhibiting factor; SMS_HUMAN; SMST; SST; Somatostatin 28; Somatostatin28; Somatostatin-28; Somatostatin-28; somatostatin SS28.
- 靶点:
- 详见说明书
- 宿主:
- Rabbit
- 适应物种:
- 详见说明书
- 克隆性:
- 详见说明书
- 浓度:
- 1mg/ml
- 应用范围:
- ELISA=1:5000-10000 IHC-P=1:100-500 IHC-F=1:100-500 ICC=1:100-500 IF=1:200-800 (石蜡切片需做抗原修复) not yet tested in other applications. optimal dilutions/concentrations should be determined by the end user.
- 标识物:
- 详见说明书
- 形态:
- 液体
- 亚型:
- IgG
- 免疫原:
- 详见说明书
- 货号:
- Hz-R8877
- 用途范围:
- 科研使用
- 规格:
- 50ul/100ul/200ul
- 是否进口:
- 否
- 是否单克隆:
- 详见说明书
- 保质期:
- 12个月
- 抗原来源:
- 详见说明书
- 标记物:
- 详见说明书
- 产品用途:
- ELISA=1:5000-10000 IHC-P=1:100-500 IHC-F=1:100-500 ICC=1:100-500 IF=1:200-800 (石蜡切片需做抗原修复) not yet tested in other applications. optimal dilutions/concentrations should be determined by the end user.
公司简介
上海沪震实业有限公司是一家集研发、生产和销售于一体的生命科学实验室产品生物科技企业。主营产品:试剂盒,ELISA试剂盒,抗体,重组蛋白,血清,胎牛血清,细胞,原代细胞 细胞培养试剂,常用生化试剂。
| 成立日期 | (12年) |
| 注册资本 | 100万元整 |
| 员工人数 | 10-50人 |
| 年营业额 | ¥ 100万以内 |
| 经营模式 | 工厂,试剂,定制,服务 |
| 主营行业 | 生化试剂,细胞培养,蛋白组学,分子生物学,细胞生物学 |
Anti-Somatostatin 28 antibody-生长抑素抗体相关厂家报价
-
- Somatostatin Acetate (醋酸生长抑素)
- 碧云天生物技术有限公司
- 2026-04-05
- 询价
-
- Anti-SSTR1:生长抑素受体1抗体
- 上海冠导生物工程有限公司 VIP
- 2026-04-10
- 询价
-
- 酪氨酰-生长抑素-28/86649-84-5/Tyr-Somatostatin-28
- 南京肽研生物科技有限公司 VIP
- 2026-04-08
- ¥1000
-
- 生长抑素(1-28)
- 杭州固拓生物科技有限公司 VIP
- 2026-04-10
- ¥600
