网站主页
phospho-Dnmt1 (Tyr399)
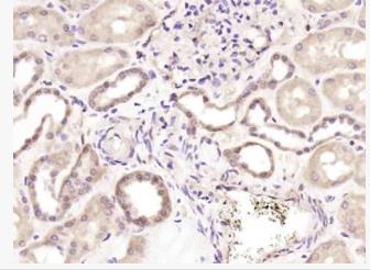
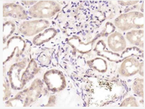
Anti-phospho-Dnmt1 (Ser154) antibody-磷酸化DNA甲基转移酶1抗体
Anti-phospho-Dnmt1 (Ser154) antibody-磷酸化DNA甲基转移酶1抗体
phospho-Dnmt1 (Ser154)
¥1280
50ul
起订
¥1980
100ul
起订
¥2900
200ul
起订
上海 更新日期:2026-04-13
产品详情:
- 中文名称:
- Anti-phospho-Dnmt1 (Ser154) antibody-磷酸化DNA甲基转移酶1抗体
- 英文名称:
- phospho-Dnmt1 (Ser154)
- 品牌:
- 沪震生物
- 产地:
- 中国/上海
- 保存条件:
- -20°C
- 纯度规格:
- > 99%
- 产品类别:
- 抗体 一抗
- 抗体名:
- Dnmt1(phospho S154); Dnmt1 (phospho Ser154); p-Dnmt1 (Ser154); AIM; CXXC finger protein 9; CXXC-type zinc finger protein 9; CXXC9; DNA (cytosine 5 ) methyltransferase 1; DNA (cytosine-5)-methyltransferase 1; DNA methyltransferase 1; DNA methyltransferase HsaI; DNA methyltransferase M.HsaI.; DNA MTase; DNA MTase HsaI; DNMT 1; DNMT; Dnmt1; Dnmt1; DNMT1_HUMAN; Dnmt1o; FLJ16293; HSN1E; M.HsaI; MCMT; Met1; MGC104992; mMmul; MommeD2.
- 靶点:
- 详见说明书
- 宿主:
- Rabbit
- 适应物种:
- 详见说明书
- 克隆性:
- 详见说明书
- 浓度:
- 1mg/ml
- 应用范围:
- ELISA=1:5000-10000 IHC-P=1:100-500 IHC-F=1:100-500 Flow-Cyt=1ug/Test IF=1:100-500 (石蜡切片需做抗原修复) not yet tested in other applications. optimal dilutions/concentrations should be determined by the end user.
- 标识物:
- 详见说明书
- 形态:
- 液体
- 亚型:
- IgG
- 免疫原:
- 详见说明书
- 货号:
- Hz-R5294
- 用途范围:
- 科研使用
- 规格:
- 50ul/100ul/200ul
- 是否进口:
- 否
- 是否单克隆:
- 详见说明书
- 保质期:
- 12个月
- 抗原来源:
- 详见说明书
- 标记物:
- 详见说明书
- 产品用途:
- ELISA=1:5000-10000 IHC-P=1:100-500 IHC-F=1:100-500 Flow-Cyt=1ug/Test IF=1:100-500 (石蜡切片需做抗原修复) not yet tested in other applications. optimal dilutions/concentrations should be determined by the end user.
公司简介
上海沪震实业有限公司是一家集研发、生产和销售于一体的生命科学实验室产品生物科技企业。主营产品:试剂盒,ELISA试剂盒,抗体,重组蛋白,血清,胎牛血清,细胞,原代细胞 细胞培养试剂,常用生化试剂。
| 成立日期 | (12年) |
| 注册资本 | 100万元整 |
| 员工人数 | 10-50人 |
| 年营业额 | ¥ 100万以内 |
| 经营模式 | 工厂,试剂,定制,服务 |
| 主营行业 | 生化试剂,细胞培养,蛋白组学,分子生物学,细胞生物学 |
Anti-phospho-Dnmt1 (Ser154) antibody-磷酸化DNA甲基转移酶1抗体相关厂家报价
-
- Anti-Dnmt1:DNA甲基转移酶1抗体
- 上海冠导生物工程有限公司 VIP
- 2026-04-13
- 询价
-
- DNA甲基化转移酶1 DNMT1
- 武汉艾美捷科技有限公司 VIP
- 2026-03-23
- 询价
-
- DNA甲基转移酶1(DNMT1)重组蛋白
- 上海博尔森生物科技有限公司 VIP
- 2026-04-13
- ¥2780
