网站主页
Phospho-NMDAR2A (Tyr1246)
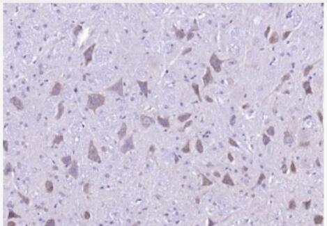
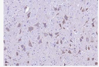
Anti-Phospho-NMDAR2A (Tyr1325) antibody-磷酸化谷氨酸受体2A抗体
Anti-Phospho-NMDAR2A (Tyr1325) antibody-磷酸化谷氨酸受体2A抗体 新品
Phospho-NMDAR2A (Tyr1325)
¥1280
50ul
起订
¥1980
100ul
起订
¥2900
200ul
起订
上海 更新日期:2026-04-20
产品详情:
- 中文名称:
- Anti-Phospho-NMDAR2A (Tyr1325) antibody-磷酸化谷氨酸受体2A抗体
- 英文名称:
- Phospho-NMDAR2A (Tyr1325)
- 品牌:
- 沪震生物
- 产地:
- 中国/上海
- 保存条件:
- -20°C
- 纯度规格:
- > 99%
- 产品类别:
- 抗体 一抗
- 抗体名:
- NMDAR2A (phospho Y1325); p-NMDAR2A (phospho Y1325); Glutamate [NMDA] receptor subunit epsilon 1; Glutamate [NMDA] receptor subunit epsilon-1; Glutamate receptor; Glutamate receptor ionotropic N methyl D aspartate 2A; GRIN 2A; GRIN2A; HNR2A; N methyl D aspartate receptor channel, subunit epsilon 1; N Methyl D Aspartate Receptor Subtype 2A; N methyl D aspartate receptor subunit 2A; N-methyl D-aspartate receptor subtype 2A; NMDA receptor subtype 2A; NMDA Receptor Type 2A; NMDAR 2A; NMDAR2A; NMDE1_HUMAN; NR 2A; NR2A; OTTHUMP00000160135; OTTHUMP00000174531.
- 靶点:
- 详见说明书
- 宿主:
- Rabbit
- 适应物种:
- 详见说明书
- 克隆性:
- 详见说明书
- 浓度:
- 1mg/ml
- 应用范围:
- ELISA=1:5000-10000 IHC-P=1:100-500 (石蜡切片需做抗原修复) not yet tested in other applications. optimal dilutions/concentrations should be determined by the end user.
- 标识物:
- 详见说明书
- 形态:
- 液体
- 亚型:
- IgG
- 免疫原:
- 详见说明书
- 货号:
- Hz-R3305
- 用途范围:
- 科研使用
- 规格:
- 50ul/100ul/200ul
- 是否进口:
- 否
- 是否单克隆:
- 详见说明书
- 保质期:
- 12个月
- 抗原来源:
- 详见说明书
- 标记物:
- 详见说明书
- 产品用途:
- ELISA=1:5000-10000 IHC-P=1:100-500 (石蜡切片需做抗原修复) not yet tested in other applications. optimal dilutions/concentrations should be determined by the end user.
公司简介
上海沪震实业有限公司是一家集研发、生产和销售于一体的生命科学实验室产品生物科技企业。主营产品:试剂盒,ELISA试剂盒,抗体,重组蛋白,血清,胎牛血清,细胞,原代细胞 细胞培养试剂,常用生化试剂。
| 成立日期 | (12年) |
| 注册资本 | 100万元整 |
| 员工人数 | 10-50人 |
| 年营业额 | ¥ 100万以内 |
| 经营模式 | 工厂,试剂,定制,服务 |
| 主营行业 | 生化试剂,细胞培养,蛋白组学,分子生物学,细胞生物学 |
