基本信息 产品详情 公司简介 推荐产品
网站主页 化工产品目录 生物 细胞培养 细胞系 人细胞系 BCPAP/B-CPAP(人甲状腺乳头状癌细胞) BCPAP/B-CPAP细胞
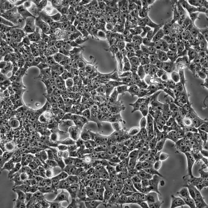
  • BCPAP/B-CPAP细胞
  • BCPAP/B-CPAP细胞
  • BCPAP/B-CPAP细胞

1/3

BCPAP/B-CPAP细胞

BCPAP/B-CPAP
1800 1瓶 起订
上海 更新日期:2026-04-18

上海雅吉生物科技有限公司

VIP5年
联系人:王源
电话:021-34661275拨打
手机:15301693058 拨打
邮箱:yajikit@163.com

产品详情:

中文名称:
BCPAP/B-CPAP细胞
英文名称:
BCPAP/B-CPAP
品牌:
雅吉生物
产地:
上海
保存条件:
长期液氮冷冻保存
纯度规格:
90%
产品类别:
细胞 细胞系
货号:
YS1847C
用途范围:
科研实验
规格:
1*10^6/T25
是否进口:
ATCC
组织来源:
ATCC
是否是肿瘤细胞:
ATCC
细胞形态:
咨询客服
生长状态:
咨询客服
器官来源:
ATCC
品系:
ATCC
免疫类型:
ATCC
物种来源:
ATCC
保质期:
长期

BCPAP/B-CPAP细胞收到后处理

培养至良好状态后灌满完全培养液并封好瓶口是运输细胞的办法。收到细胞用75%酒精喷洒整个细胞消毒后放到超净台内严格无菌操作将细胞瓶放入37℃、5%CO2的培养箱中静置3-4小时以稳定细胞状态后再做处理。显微镜观察细胞生长情况,并对细胞进行不同倍数拍照保存(40x,100x,200x各一张)前三天照片重要售后依据,不提供照片默认收到状态良好。传代后建议一瓶用原瓶的完全培养基,另外一瓶用自己配的完全培养基,以便进行对比培养,换液后将盖子拧松

BCPAP/B-CPAP细胞培养步骤

a、细胞传代如果未超过80%汇合度时,将瓶装的完全培养液收集至离心管中,留5ml完全培养基,放入37℃、5%CO2孵箱培养;如果细胞密度80%,即可进行传代培养传代具体步骤如下:

1. 弃去培养上清,用不含钙、镁离子的PBS润洗细胞1-2次。

2. 添加1-2ml消化液0.25%胰蛋白酶-0.53mM EDTA至培养瓶中,置于37℃培养箱中消化1-2min,然后在显微镜下观察细胞消化情况,若细胞大部分变圆并脱落,迅速拿回操作台,轻敲几下培养瓶后加5ml以上完全培养基终止消化。

3.轻轻吹打细胞,使之完全脱落后吸出,然后将悬液转移至15ml离心管中,在1000RPM条件下离心5分钟,弃去上清液,补加1-2mL完全培养重悬

4. 将细胞悬液按1:2的比例进行分瓶传代(两个T25瓶),补充新的完全培养基至5-8ml/瓶最后放入到37℃、5%CO2的细胞培养箱中培养。

b、细胞冻存:

1、细胞生长至覆盖培养瓶的80%面积时,弃T25培养瓶中的培养液,用PBS清洗细胞一次;

2、添加0.25%胰蛋白酶消化液约1ml至培养瓶中,倒置显微镜下观察,待细胞回缩变圆后加入5ml完全培养液终止消化,再轻轻吹打细胞使之脱落,然后将悬液转移至15ml离心管中,1000rpm离心 5min;

3、 弃上清,沉淀细胞加入1ml的雅吉生物无血清冻存液(货号:C7001),混匀后加入冻存管中。

4、 将冻存细胞直接放入-80℃冰箱即可,如后期将细胞转入液氮罐中,需在-80℃冰箱 存放24小时以上转入液氮罐中。

C、细胞复苏:

1、从液氮中取出细胞冻存管(注意佩戴防护面具),快速将其置入 37℃水浴中解冻, 直至冻存管中无结晶,然后用75%的酒精擦拭冻存管外壁;

2、将冻存管中的细胞移至含 5ml 完全培养基的15ml离心管中,1000rpm离心5min;

3、弃上清,沉淀用5ml完全培养基重悬,接种T25培养瓶,于37℃,5%CO2细胞培养箱中培养;

4、第二天,换用新鲜完全培养基继续培养。

注意事项:有些细胞贴壁不牢,在运输过程中容易发生细胞脱落,这是正常现象。可按此方法:将培养瓶所有培养液收集至离心管,1000rpm离心5min,收集上清作过渡培养(后期对比培养),沉淀加入胰酶1-2ml,轻轻吹打,重悬,消化1-2分钟后,加5ml完全培养基终止反应。再离心,弃上清,加1-2ml完全培养基重悬。然后按1:2比例进行分瓶传代(两个T25),补充新的完全培养基至5-8ml/瓶,最后放入37℃,5%CO2细胞培养箱中培养。

BCPAP/B-CPAP细胞售后条款:

1)细胞出现问题,可重发的情况有哪些?判定标准是什么?

1. 细胞运输途中遭遇的各种问题,细胞丢失、瓶身破损、培养液严重漏液等,重发;

2. 细胞污染问题,请在收到产品48小时内,给我们提出真实的实验结果,核实后重发;

3. 常温发货的细胞静置24小时后,干冰冻存发货的细胞复苏后24小时后,绝大多数细胞未存活,(需提供真实清晰的细胞状态照片),重发;

4. 干冰冻存发货的细胞复苏后24小时后或常温发货的细胞静置4小时候并且未开封,出现污染,重发;

5. 细胞活性问题,请在收到产品7天内给我们提出真实的实验结果,用台盼蓝染色法鉴定细胞活力,核实后予重发;

6. 细胞收到当天以及第2,3天请拍照,3天未告知的,视为产品合格。4-7天内出现问题有提供收到细胞前3天照片和细胞出现问题时照片以及细胞相关操作的详细步骤的,并跟技术人员沟通的,由技术人员判定为我方责任的,重发。技术人员判定为双方承担责任的由双方进行协商处理或者按合同价的50%收费重发。

2细胞出现问题,不予以重发的情况有哪些?

1. 客户造成细胞污染,不重发;

2. 客户不正确操作致细胞状态不好,不重发;

3. 非本库推荐细胞培养体系致的细胞状态不好,不重发;

4. 细胞状态不好,未提供细胞培养前3天照片的,不重发;

5. 细胞培养时经其它处理的,不重发;

6. 细胞收到2天内,未告知,不重发;

7. 视具体情况而定。 

欢迎新老客户咨询订购:BCPAP/B-CPAP细胞

BCPAP/B-CPAP细胞;BCPAP/B-CPAP;ATCC;ATCC细胞;

公司简介

上海雅吉生物科技有限公司成立于2011年3月,是一家面向生命科学领域,提供科研类试剂、耗材、仪器、技术服务的生物企业。包括分子生物学、免疫学、微生物学、细胞学等 。旗下拥有 “雅吉生物”、“晶风生物”、“彩佑实业”、“GTX” 品牌。通过公司各部门员工的共同努力在行业内拥有较高知名度,深得新老客户厚爱,本着“优质、服务、信誉”的精神,坚持以优良的技术、优质的产品、良好的信誉为国内外广大用户提供优质生物产品和服务。 公司在重视产品质量的同时,也建立了一套集技术支持,物流售后服务等多部门联动服务体系,努力把我们方便、快捷、周到的服务提供给每一个客户,雅吉生物的试剂盒,在国内众多重点实验室广泛使用,深受广大科研人员好评,先后在权威杂志文章中被引用。 本公司郑重承诺:质量保证、供货及时、服务周到。

成立日期 (16年)
注册资本 50.000000万人民币
员工人数 50-100人
年营业额 ¥ 100万以内
经营模式 试剂,定制,试剂,定制
主营行业 抗体,抗体

BCPAP/B-CPAP细胞相关厂家报价

内容声明
拨打电话 立即询价