基本信息 产品详情 公司简介 推荐产品
网站主页 化工产品目录 生物 细胞培养 细胞系 人细胞系 人乳腺癌细胞(三阴性)hcc1937 人乳腺癌细胞(三阴性)hcc1937
  • 人乳腺癌细胞(三阴性)hcc1937
  • 人乳腺癌细胞(三阴性)hcc1937
  • 人乳腺癌细胞(三阴性)hcc1937

1/3

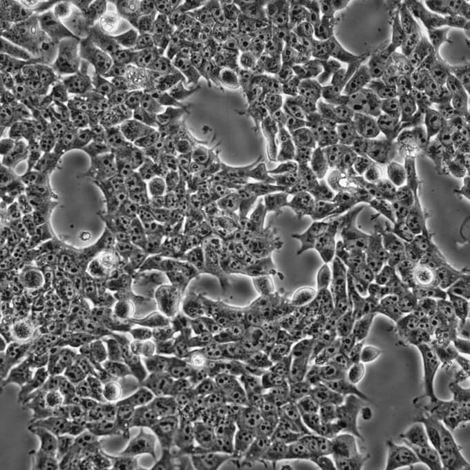
人乳腺癌细胞(三阴性)hcc1937

hcc1937
1500 1盒 起订
上海 更新日期:2026-04-11

上海雅吉生物科技有限公司

VIP5年
联系人:王源
电话:021-34661275拨打
手机:15301693058 拨打
邮箱:yajikit@163.com

产品详情:

中文名称:
人乳腺癌细胞(三阴性)hcc1937
英文名称:
hcc1937
品牌:
雅吉生物
产地:
上海
保存条件:
无血清冻存液
纯度规格:
99
产品类别:
细胞 细胞系
货号:
YS1093
是否进口:
用途:
实验科研
产品规格:
1*10^6/T25
别名:
hcc1937

产品名称:人乳腺癌细胞(三阴性)hcc1937

传代方法

次建议1:2传代 

冻存条件


无血清冻存液(货号:C7001)

细胞描述

HCC1937细胞1995年10月13日最初来源于原发性导管癌,用了11.5个月建株。肿瘤分类为TNMⅡB期,3级。BRCA1分析表明,HCC1937细胞是BRCA 15382C突变纯合的,而来源于同一病人的类淋巴母细胞细胞株在这个突变位点上是杂合的。另两个家庭成员也有这个突变;一个同卵双生姐妹也患有乳腺癌。HCC1937细胞有一个后天的Tp53突变,而其野生型等位基因丢失;一个PTEN基因的后天的纯合缺失,以及多个与乳腺癌发病机理相关的位点上发生的杂合突变。HCC1937细胞Her2-neu和p53表达都呈阴性。HCC1937细胞的上皮细胞特异性标志上皮细胞糖蛋2(EGP2)和细胞角蛋白19都呈阳性;雌激素受体(ER)和孕酮(PR)表达阴性。

本库的细胞仅用于科研工作,未经许可不得用于其他目的,使用者不得将本库细胞转让给第三者。 

培养备注

用无菌离心管收集瓶子培养基,留作过渡培养


人乳腺癌细胞(三阴性)hcc1937处理

细胞在培养瓶中培养至良好状态后灌满完全培养液并封好瓶口是细胞运输的办法。收到细胞回到自己的实验室后,先打开外包装,用75%酒精喷洒整个瓶消毒后放到超净台内,严格无菌操作,培养箱静置2-4小时。镜下观察:未超过80%汇合度时,可将瓶装的完全培养液收集至离心管中,加入6ml完全培养基,放入37℃、5%CO2孵箱培养;超过80%汇合度时,根据情况传代或者冻存,具体操作见细胞培养步骤。(注意发货的是密封培养瓶的话,放入培养箱培养记得培养瓶盖子拧松,传代后建议一瓶用原瓶里面的完全培养基,另外一瓶用自己配的完全培养基)

人乳腺癌细胞(三阴性)hcc1937培养步骤

一、复苏细胞:将含有1mL细胞悬液的冻存管在37℃水浴中迅速摇晃解冻,加入5mL培养基混合均匀。在1000RPM条件下离心5分钟,弃去上清液,补加4-6mL完全培养基后吹匀。然后将所有细胞悬液加入培养瓶中培养过夜(或将细胞悬液加入6cm皿中),培养过夜。第二天换液并检查细胞密度。

二、细胞传代:如果细胞密度达80%-90%,即可进行传代培养。

a)、对于贴壁细胞,传代可参考以下方法:

1. 弃去培养上清,用不含钙、镁离子的PBS润洗细胞1-2次。

2. 加1-2ml消化液(0.25%Trypsin-0.53mM EDTA)于培养瓶中,置于37℃培养箱中消化1-2min,然后在显微镜下观察细胞消化情况,若细胞大部分变圆并脱落,迅速拿回操作台,轻敲几下培养瓶后加5ml以上含10%血清的完全培养基终止消化。

3.轻轻吹打细胞,完全脱落后吸出,在1000RPM条件下离心8-10分钟,弃去上清液,补加1-2mL培养液后吹匀。

4. 按5-6ml/瓶补加培养液,将细胞悬液按1:2的比例分到新的含5-6 ml培养液的新皿中或者瓶中。

b)、对于悬浮细胞,传代可参考以下方法:

方法一:收集细胞,1000RPM条件下离心8-10分钟,弃上清液,补加1-2ml培养液后吹匀,将细胞悬液按1:2到1:5的比例分到新的含8ml培养基的新皿中或瓶中。

方法二:可选择半数换液方式,弃半数培养基后,将剩余细胞悬起,将细胞悬液按1:2到1:3的比例分到新的含8ml培养基新皿中或者瓶中。

PS:若客户收到2ml小管细胞,收到细胞后,用75%酒精喷洒整个管子消毒后放到超净台或安全柜内,严格无菌操作;将小管细胞转移至T25培养瓶或6cm培养皿,加入5ml左右完全培养基混匀,放入培养箱过夜培养后查看细胞密度:若密度未超过80%,换液继续培养,视情况传代或者冻存。若密度超过80%,可直接进行传代(方法同上)。

三、细胞冻存:(注:无血清冻存液冻存细胞的方法请参考我司官网货号:C7001)

1、细胞生长至覆盖培养瓶的80%面积时,弃25cm2培养瓶中的培养液,用PBS清洗细胞一次;

2、添加0.25%胰蛋白酶消化液约1ml至培养瓶中,倒置显微镜下观察,待细胞回缩变圆后加入完全培养液终止消化,轻轻吹打细胞使之脱落,然后将悬液转移至15ml离心管中,1000rpm离心5min;

3、用适量的冻存液重悬细胞,并放置于冻存管中;

4、先将细胞冻存管放置于-20℃ 1.5h,然后将其移入-80℃

人乳腺癌细胞(三阴性)hcc1937部分相关细胞如下:

YS1067 Detroit562 人口腔咽头癌胸水转移细胞Detroit562

YS1068 DLD1 人结直肠腺癌细胞DLD1

YS1069 DMS53 人小细胞肺癌细胞DMS53

YS1070 DU145 人前列腺癌细胞DU145

YS1071 EAhy926 人脐静脉细胞融合细胞EA.hy926

YS1072 Eca109 人食管癌细胞Eca109

YS1073 Ect1E6E7BSL1 人宫颈上皮/阴道上皮Ect1E6E7BSL1

YS1074 ECV304 人膀胱癌细胞人脐静脉内皮ECV304

YS1075 ECV304/RFP 人膀胱癌细胞+RFP人脐静脉内皮ECV304/RFP

YS1076 EJ1T24 人膀胱癌细胞EJ1T24

YS1077 ES2 人卵巢透明细胞癌细胞ES2

YS1078 F56 小鼠腺癌细胞系F56

YS1079 FADu 人舌咽鳞癌细胞FADu

YS1080 GBCSD 人胆囊癌细胞GBCSD

YS1081 GBCSD/LUC 人胆囊癌细胞GBCSD/LUC

YS1082 GES1 人胃黏膜上皮细胞GES1

YS1083 GSHEPG2 人肝癌细胞亚型(过表达谷氨酰氨合成酶)GSHEPG2

YS1084 h1 人胚胎干细胞H1h1

YS1085 h9 人胚胎干细胞H9h9

YS1086 H9HTLVIIIB 人T淋巴瘤白血病细胞H9HTLVIIIB

YS1087 hacat 人表皮细胞/角质形成细胞hacat

YS1088 hacat/LUC 人表皮细胞/角质形成细胞+LUChacat/LUC

YS1089 HBE135E6E7 人支气管上皮细胞HBE135E6E7

YS1090 HBL100 人整合SV40基因的乳腺上皮细胞HBL100

YS1091 HBVP 人脑血管周细胞(原代)HBVP

YS1092 HCC38 人乳腺导管癌细胞(三阴性)HCC38

YS1093 hcc1937 人乳腺癌细胞(三阴性)hcc1937

YS1094 HCC827 人非小细胞肺癌细胞HCC827

YS1095 HCC827/LUC 人非小细胞肺癌细胞HCC827/LUC

YS1096 HCC94 人子宫鳞癌细胞(高分化)HCC94

YS1097 hccc9810 人胆管细胞型肝癌细胞hccc9810

YS1098 HCCLM3MHCC97 人高转移肝癌细胞HCCLM3MHCC97

YS1099 HCMECD3 人脑微血管内皮细胞HCMECD3

更多细胞请咨询我们:人乳腺癌细胞(三阴性)hcc1937



人乳腺癌细胞(三阴性)hcc1937;人乳腺癌细胞(三阴性);hcc1937;ATCC细胞;雅吉细胞库;

公司简介

上海雅吉生物科技有限公司成立于2011年3月,是一家面向生命科学领域,提供科研类试剂、耗材、仪器、技术服务的生物企业。包括分子生物学、免疫学、微生物学、细胞学等 。旗下拥有 “雅吉生物”、“晶风生物”、“彩佑实业”、“GTX” 品牌。通过公司各部门员工的共同努力在行业内拥有较高知名度,深得新老客户厚爱,本着“优质、服务、信誉”的精神,坚持以优良的技术、优质的产品、良好的信誉为国内外广大用户提供优质生物产品和服务。 公司在重视产品质量的同时,也建立了一套集技术支持,物流售后服务等多部门联动服务体系,努力把我们方便、快捷、周到的服务提供给每一个客户,雅吉生物的试剂盒,在国内众多重点实验室广泛使用,深受广大科研人员好评,先后在权威杂志文章中被引用。 本公司郑重承诺:质量保证、供货及时、服务周到。

成立日期 (15年)
注册资本 50.000000万人民币
员工人数 50-100人
年营业额 ¥ 100万以内
经营模式 试剂,定制,试剂,定制
主营行业 抗体,抗体

人乳腺癌细胞(三阴性)hcc1937相关厂家报价 更多

  • HCC1937
  • HCC1937
  • 吉奥蓝图(广东)生命科学技术中心 VIP
  • 2026-04-10
  • ¥10000
  • HCC1937
  • HCC1937
  • 上海奥陆生物科技有限公司
  • 2026-04-05
  • ¥1200
  • HCC1937
  • HCC1937
  • 麒盟(上海)生物医学有限公司
  • 2026-04-05
  • ¥1000
内容声明
拨打电话 立即询价