基本信息 产品详情 公司简介 推荐产品
网站主页 化工产品目录 生物 细胞培养 细胞系 人细胞系 人急性髓系白血病细胞SKNO1 人急性髓系白血病细胞SKNO1
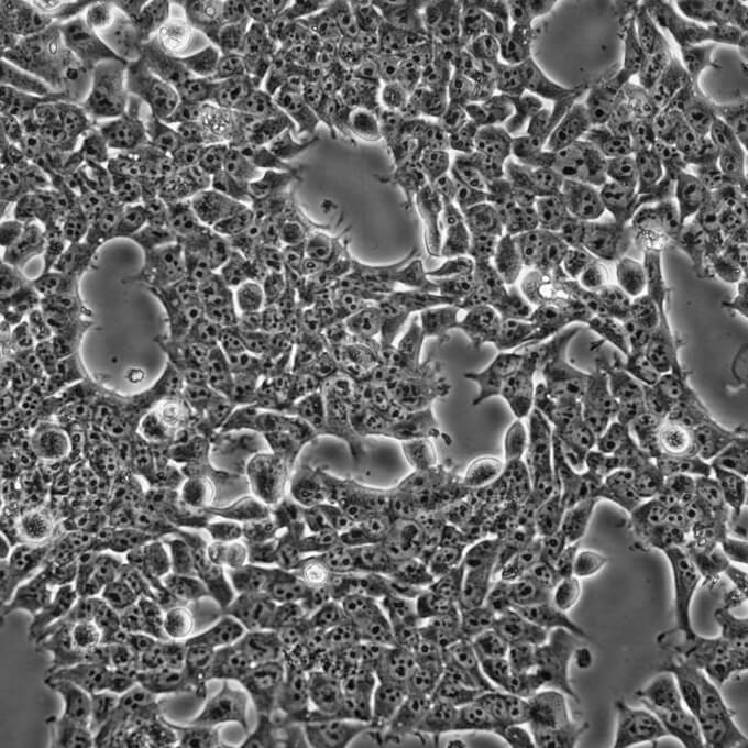
  • 人急性髓系白血病细胞SKNO1

人急性髓系白血病细胞SKNO1

SKNO1
2000 1cells/瓶 起订
上海 更新日期:2026-04-13

上海雅吉生物科技有限公司

VIP5年
联系人:王源
电话:021-34661275拨打
手机:15301693058 拨打
邮箱:yajikit@163.com

产品详情:

中文名称:
人急性髓系白血病细胞SKNO1
英文名称:
SKNO1
品牌:
雅吉生物
产地:
上海
保存条件:
无血清冻存液
纯度规格:
99%
产品类别:
细胞 细胞系
货号:
YS1547
是否进口:
用途:
科研实验
产品规格:
1*10^6/T25
别名:
SKNO1


产品名称:人急性髓系白血病细胞SKNO1

传代方法

次建议1:2传代 

冻存条件

无血清冻存液(货号:C7001

细胞描述

本库的细胞仅用于科研工作,未经许可不得用于其他目的,使用者不得将本库细胞转让给第三者。 

培养备注

用无菌离心管收集瓶子培养基,留作过渡培养

人急性髓系白血病细胞SKNO1收到后处理

细胞在培养瓶中培养至良好状态后灌满完全培养液并封好瓶口是细胞运输的办法。收到细胞回到自己的实验室后,先打开外包装,用75%酒精喷洒整个瓶消毒后放到超净台内,严格无菌操作培养箱静置2-4小时。镜下观察:未超过80%汇合度时,可将瓶装的完全培养液收集至离心管中,加入6ml完全培养基,放入37℃、5%CO2孵箱培养;超过80%汇合度时,根据情况传代或者冻存,具体操作见细胞培养步骤。注意发货的是密封培养瓶的话,放入培养箱培养记得培养瓶盖子拧松,传代后建议一瓶用原瓶里面的完全培养基,另外一瓶用自己配的完全培养基

人急性髓系白血病细胞SKNO1培养步骤

一、复苏细胞:将含有1mL细胞悬液的冻存管在37℃水浴中迅速摇晃解冻,加入5mL培养基混合均匀。在1000RPM条件下离心5分钟,弃去上清液,补加4-6mL完全培养基后吹匀。然后将所有细胞悬液加入培养瓶中培养过夜(或将细胞悬液加入6cm皿中,培养过夜。第二天换液并检查细胞密度。

二、细胞传代:如果细胞密度达80%-90%,即可进行传代培养。

a)、对于贴壁细胞,传代可参考以下方法:

1. 弃去培养上清,用不含钙、镁离子的PBS润洗细胞1-2次。

2. 加1-2ml消化液(0.25%Trypsin-0.53mM EDTA)于培养瓶中,置于37℃培养箱中消化1-2min,然后在显微镜下观察细胞消化情况,若细胞大部分变圆并脱落,迅速拿回操作台,轻敲几下培养瓶后加5ml以上10%血清的完全培养基终止消化。

3.轻轻吹打细胞,完全脱落后吸出,在1000RPM条件下离心8-10分钟,弃去上清液,补加1-2mL培养液后吹匀。

4. 按5-6ml/瓶补加培养液,将细胞悬液按1:2的比例分到新的含5-6 ml培养液的新皿中或者瓶中。

b)、对于悬浮细胞,传代可参考以下方法:

方法一:收集细胞,1000RPM条件下离心8-10分钟,弃上清液,补加1-2ml培养液后吹匀,将细胞悬液按1:2到1:5的比例分到新的含8ml培养基的新皿中或瓶中。

方法二:可选择半数换液方式,弃半数培养基后,将剩余细胞悬起,将细胞悬液按1:2到1:3的比例分到新的含8ml培养基新皿中或者瓶中。

PS:若客户收到2ml小管细胞,收到细胞后,用75%酒精喷洒整个管子消毒后放到超净台或安全柜内,严格无菌操作;将小管细胞转移至T25培养瓶或6cm培养皿,加入5ml左右完全培养基混匀,放入培养箱过夜培养后查看细胞密度:若密度未超过80%,换液继续培养,视情况传代或者冻存。若密度超过80%,可直接进行传代(方法同上)。

三、细胞冻存:注:无血清冻存液冻存细胞的方法请参考我司官网货号:C7001

1细胞生长至覆盖培养瓶的80%面积时,弃25cm2培养瓶中的培养液,用PBS清洗细胞一次;

2添加0.25%胰蛋白酶消化液约1ml至培养瓶中,倒置显微镜下观察,待细胞回缩变圆后加入完全培养液终止消化,轻轻吹打细胞使之脱落,然后将悬液转移至15ml离心管中,1000rpm离心5min;

3用适量的冻存液重悬细胞,并放置于冻存管中;

4先将细胞冻存管放置于-20℃ 1.5h,然后将其移入-80℃

人急性髓系白血病细胞SKNO1部分相关细胞如下:

YS1514 NCIH1781 人细支气管肺泡癌细胞NCIH1781

YS1515 NCIH1581 人非小细胞肺癌细胞NCIH1581

YS1516 HBEC5i 人大脑内皮细胞HBEC5i

YS1517 HuNS1 人多发性骨髓瘤细胞HuNS1

YS1518 RL 人B细胞非霍奇金淋巴瘤细胞RL

YS1519 MD 人脾细胞MD

YS1520 RC 人B淋巴瘤细胞RC

YS1521 SW684 人纤维肉瘤细胞SW684

YS1522 PhoenixECO 人逆转录病毒包装细胞系PhoenixECO

YS1523 BICR3 人舌鳞状细胞癌BICR3

YS1524 OE19 人食管癌细胞OE19

YS1525 SNU601 人印戒细胞胃腺癌SNU601

YS1526 SNU1066 人喉鳞状细胞癌SNU1066

YS1527 SNU46 人喉鳞状细胞癌SNU46

YS1528 MNT1 人黑色素瘤细胞MNT1

YS1529 HARSpondin1FcHEK293Tcells 人稳定表达RspoI蛋白的293T细胞HARSpondin1FcHEK293Tcells

YS1530 MUGChor1 人骶骨脊索瘤细胞MUGChor1

YS1531 SNU899 人喉鳞状细胞癌SNU899

YS1532 SNU1076 人喉鳞状细胞癌SNU1076

YS1533 TK6 人成淋巴细胞/遗传性球形红细胞增多症TK6

YS1534 LUDLU1 人肺鳞状细胞癌细胞LUDLU1

YS1535 UMChor5 人颅底脊索瘤细胞UMChor5

YS1536 MP46 人眼葡萄膜黑色瘤細胞MP46

YS1537 NCIH187 人小细胞肺癌细胞NCIH187

YS1538 MOLT3 人急性T淋巴细胞白血病细胞MOLT3

YS1539 LL97A(AlMy) 人肺成纤维细胞-原发性肺纤维化LL97A(AlMy)

YS1540 SW962 人外阴癌细胞SW962

YS1541 SW872 人脂肪肉瘤细胞SW872

YS1542 NALM1 人慢性粒细胞白血病细胞NALM1

YS1543 NCIH2030 人肺腺癌细胞NCIH2030

YS1544 Loucy 人急性T淋巴细胞白血病Loucy

YS1545 NTERA2 人恶性多发性畸胎瘤细胞NTERA2

YS1546 HCC1395 人乳腺癌细胞(三阴性)HCC1395

YS1547 SKNO1 人急性髓系白血病细胞SKNO1

YS1548 NTERA2clD1 人睾丸癌细胞NTERA2cl.D1

YS1549 Huh1 人肝癌细胞Huh1

YS1550 HCC1806 人乳腺鳞状癌细胞(三阴性)HCC1806

YS1551 OCILy7 人弥漫大B淋巴瘤细胞OCILy7

YS1552 HCC1954 人乳腺导管癌细胞TNMIIA期,3级www.atcc.org/products/crl-2338HCC1954

YS1553 BT20 人乳腺癌细胞(三阴性)BT20

YS1554 LAPC4 人前列腺癌细胞LAPC4

YS1555 OPM2 人多发性骨髓瘤细胞OPM2

YS1556 SUDHL8 人B细胞淋巴瘤SUDHL8

 更多细胞请咨询我们:人急性髓系白血病细胞SKNO1


人急性髓系白血病细胞SKNO1;人急性髓系白血病细胞;SKNO1;ATCC细胞;雅吉细包库;

公司简介

上海雅吉生物科技有限公司成立于2011年3月,是一家面向生命科学领域,提供科研类试剂、耗材、仪器、技术服务的生物企业。包括分子生物学、免疫学、微生物学、细胞学等 。旗下拥有 “雅吉生物”、“晶风生物”、“彩佑实业”、“GTX” 品牌。通过公司各部门员工的共同努力在行业内拥有较高知名度,深得新老客户厚爱,本着“优质、服务、信誉”的精神,坚持以优良的技术、优质的产品、良好的信誉为国内外广大用户提供优质生物产品和服务。 公司在重视产品质量的同时,也建立了一套集技术支持,物流售后服务等多部门联动服务体系,努力把我们方便、快捷、周到的服务提供给每一个客户,雅吉生物的试剂盒,在国内众多重点实验室广泛使用,深受广大科研人员好评,先后在权威杂志文章中被引用。 本公司郑重承诺:质量保证、供货及时、服务周到。

成立日期 (16年)
注册资本 50.000000万人民币
员工人数 50-100人
年营业额 ¥ 100万以内
经营模式 试剂,定制,试剂,定制
主营行业 抗体,抗体

人急性髓系白血病细胞SKNO1相关厂家报价 更多

  • SKNO-1
  • SKNO-1
  • 吉奥蓝图(广东)生命科学技术中心 VIP
  • 2026-04-13
  • ¥10000
内容声明
拨打电话 立即询价