基本信息
产品名称:Caveolin-1 Antibody
规格或纯度:无载体, ExactAb™, 无叠氮钠, 已验证, 高性能, 见COA
应用:WB, IF/ICC, IHC
特异性:Caveolin-1
种属反应性:人(Human), 小鼠(Mouse), 猪(Pig)
免疫原:Recombinant CAV1 expressed in E.coli (AA 2-104)
阳性对照:WB: Mouse lung, A431 and A549 lysates and Mouse lung. IHC: Human Thyroid cancer tissue, Human Breast cancer tissue, Mouse Colon tissue, Mouse Cardiac Muscle tissue, Porcine Cerebrum tissue, Porcine Uterus tissue, Human Placenta tissue, Porcine Colon tissu
偶联:Unconjugated
产品属性
克隆类型:多克隆抗体
Format:Whole IgG
亚型:Rabbit IgG
SDS-PAGE:150 kDa
纯化方法:Antigen affinity purified and protein A purified
物理外观:Liquid
储存缓冲液:10mM PBS, 50% Glycerol, 0.05% Proclin 300, pH7.4
防腐剂:0.05% Proclin 300
浓度:见COA
储存温度:-20°C储存,避免反复冻融
运输条件:超低温运输
稳定性与储存:4℃ 短期储存(1-2 周)。-20℃长期保存(24 个月)。收货后建议分装。避免冷冻/解冻循环。
功能和特点
宿主种属:兔(Rabbit)
种属反应性:人(Human), 小鼠(Mouse), 猪(Pig)
偶联:Unconjugated
图片

>
Western Blot: Caveolin-1 Antibody (Ab093242)
Caveolin-1 Antibody (Ab093242) - Western Blot
All lanes: Caveolin-1 Antibody (Ab093242) at 1/5000 dilution
Samples: Lysates at 20 µg per lane
Secondary: Goat Anti-Rabbit IgG H&L (HRP) (Ab170144) at 1/20000 dilution
Predicted band size: 20 kDa
Observed band size: 19&21 kDa
Exposure time: 1.8 s

>
Western Blot: Caveolin-1 Antibody (Ab093242)
Caveolin-1 Antibody (Ab093242) - Western Blot
All lanes: Caveolin-1 Antibody (Ab093242) at 1/5000 dilution
Samples: Lysates at 20 µg per lane
Secondary: Goat Anti-Rabbit IgG H&L (HRP) (Ab170144) at 1/20000 dilution
Predicted band size: 20 kDa
Observed band size: 22 kDa
Exposure time: 1.8 s

>
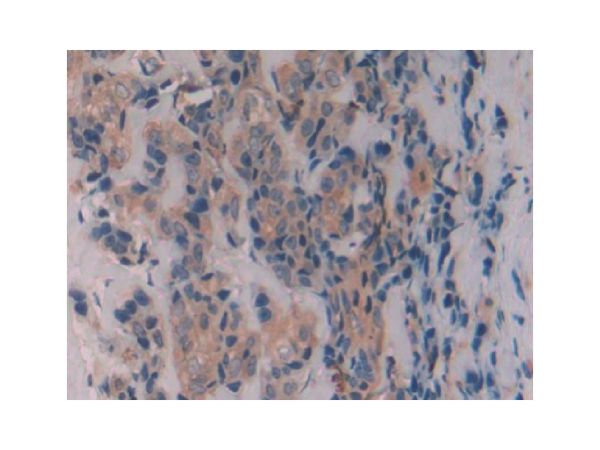
IHC: Caveolin-1 Antibody (Ab093242)
Caveolin-1 Antibody (Ab093242) - IHC
DAB staining on IHC
Samples: Human Thyroid cancer Tissue
Primary Ab: 20µg/mL Caveolin-1 Antibody (Ab093242)
Second Ab: 2µg/mL HRP-Linked Caprine Anti-Rabbit IgG Polyclonal Antibody.

>
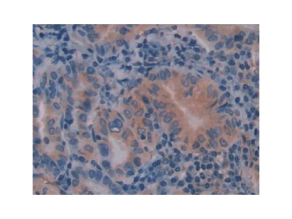
IHC: Caveolin-1 Antibody (Ab093242)
Caveolin-1 Antibody (Ab093242) - IHC
DAB staining on IHC
Samples: Human Breast cancer Tissue
Primary Ab: 20µg/mL Caveolin-1 Antibody (Ab093242)
Second Ab: 2µg/mL HRP-Linked Caprine Anti-Rabbit IgG Polyclonal Antibody.

>
IHC: Caveolin-1 Antibody (Ab093242)
Caveolin-1 Antibody (Ab093242) - IHC
DAB staining on IHC
Sample: Mouse Colon Tissue
Primary Ab: 20µg/mL Caveolin-1 Antibody (Ab093242)
Second Ab: 2µg/mL HRP-Linked Caprine Anti-Rabbit IgG Polyclonal Antibody.

>
IHC: Caveolin-1 Antibody (Ab093242)
Caveolin-1 Antibody (Ab093242) - IHC
DAB staining on IHC
Sample: Mouse Cardiac Muscle Tissue
Primary Ab: 20µg/mL Caveolin-1 Antibody (Ab093242)
Second Ab: 2µg/mL HRP-Linked Caprine Anti-Rabbit IgG Polyclonal Antibody.

>
IHC: Caveolin-1 Antibody (Ab093242)
Caveolin-1 Antibody (Ab093242) - IHC
DAB staining on IHC
Sample: Porcine Cerebrum Tissue
Primary Ab: 20µg/mL Caveolin-1 Antibody (Ab093242)
Second Ab: 2µg/mL HRP-Linked Caprine Anti-Rabbit IgG Polyclonal Antibody.

>
IHC: Caveolin-1 Antibody (Ab093242)
Caveolin-1 Antibody (Ab093242) - IHC
DAB staining on IHC
Sample: Porcine Uterus Tissue
Primary Ab: 20µg/mL Caveolin-1 Antibody (Ab093242)
Second Ab: 2µg/mL HRP-Linked Caprine Anti-Rabbit IgG Polyclonal Antibody.

>
IHC: Caveolin-1 Antibody (Ab093242)
Caveolin-1 Antibody (Ab093242) - IHC
DAB staining on IHC
Sample: Human Placenta Tissue
Primary Ab: 20µg/mL Caveolin-1 Antibody (Ab093242)
Second Ab: 2µg/mL HRP-Linked Caprine Anti-Rabbit IgG Polyclonal Antibody.

>
IHC: Caveolin-1 Antibody (Ab093242)
Caveolin-1 Antibody (Ab093242) - IHC
DAB staining on IHC
Sample: Porcine Colon Tissue
Primary Ab: 20µg/mL Caveolin-1 Antibody (Ab093242)
Second Ab: 2µg/mL HRP-Linked Caprine Anti-Rabbit IgG Polyclonal Antibody.

>
IHC: Caveolin-1 Antibody (Ab093242)
Caveolin-1 Antibody (Ab093242) - IHC
DAB staining on IHC
Sample: Porcine Uterus Tissue
Primary Ab: 20µg/mL Caveolin-1 Antibody (Ab093242)
Second Ab: 2µg/mL HRP-Linked Caprine Anti-Rabbit IgG Polyclonal Antibody.

>
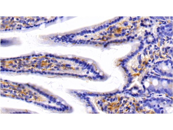
IHC: Caveolin-1 Antibody (Ab093242)
Caveolin-1 Antibody (Ab093242) - IHC
DAB staining on IHC
Sample: Porcine Small intestine Tissue
Primary Ab: 20µg/mL Caveolin-1 Antibody (Ab093242)
Second Ab: 2µg/mL HRP-Linked Caprine Anti-Rabbit IgG Polyclonal Antibody.

>
IHC: Caveolin-1 Antibody (Ab093242)
Caveolin-1 Antibody (Ab093242) - IHC
DAB staining on IHC
Sample: Porcine Cardiac Muscle Tissue
Primary Ab: 20µg/mL Caveolin-1 Antibody (Ab093242)
Second Ab: 2µg/mL HRP-Linked Caprine Anti-Rabbit IgG Polyclonal Antibody.

>
IHC: Caveolin-1 Antibody (Ab093242)
Caveolin-1 Antibody (Ab093242) - IHC
DAB staining on IHC
Sample: Porcine Lymph node Tissue
Primary Ab: 20µg/mL Caveolin-1 Antibody (Ab093242)
Second Ab: 2µg/mL HRP-Linked Caprine Anti-Rabbit IgG Polyclonal Antibody.

>
IHC: Caveolin-1 Antibody (Ab093242)
Caveolin-1 Antibody (Ab093242) - IHC
DAB staining on IHC
Sample: Porcine Liver Tissue
Primary Ab: 20µg/mL Caveolin-1 Antibody (Ab093242)
Second Ab: 2µg/mL HRP-Linked Caprine Anti-Rabbit IgG Polyclonal Antibody.

>
IHC: Caveolin-1 Antibody (Ab093242)
Caveolin-1 Antibody (Ab093242) - IHC
DAB staining on IHC
Sample: Porcine Lung Tissue
Primary Ab: 20µg/mL Caveolin-1 Antibody (Ab093242)
Second Ab: 2µg/mL HRP-Linked Caprine Anti-Rabbit IgG Polyclonal Antibody.

>
IF/ICC: Caveolin-1 Antibody (Ab093242)
Caveolin-1 Antibody (Ab093242) - IF/ICC
IF analysis of Caveolin-1 Antibody (Ab093242) in HeLa cells. The cells were fixed with 4% PFA for 10 minutes, permeabilized with 0.3% Triton X-100 (I743383) for 10 minutes and then blocked with 5% BSA for 1 hour at room temperature. Cells were stained with Caveolin-1 Antibody (Ab093242) at 1/200 dilution in blocking buffer overnight at 4°C, and then incubated with Goat Anti-Rabbit IgG H&L (AF488) (Ab181954) at a dilution of 1/1000 for 1 hour at room temperature in the dark (green). Cells were counterstained with DAPI (D1372407) (blue).
查看阿拉丁官网此产品相关对应页面:https://www.aladdin-e.com/zh_cn/Ab093242.html


