基本信息
产品名称:PKM2 Antibody
规格或纯度:无载体, ExactAb™, 无叠氮钠, 已验证, 高性能, 敲低验证, 见COA
应用:WB, IF/ICC, IHC
特异性:PKM
种属反应性:人(Human), 小鼠(Mouse), 大鼠(Rat)
免疫原:Recombinant PKM2 expressed in E.coli (AA 141-248).
阳性对照:WB: K562, MCF7, HeLa, Hep G2, Raji, Ramos, Jurkat, NIH/3T3 and C6 cell lysates. IHC: Human breast cancer, skin cancer, prostate, prostate cancer, colorectal cancer, liver cancer, Mouse lung, testis, kidney, oviduct tissues. IF/ICC: MCF7, HeLa cells.
偶联:Unconjugated
产品属性
克隆类型:多克隆抗体
Format:Whole IgG
SDS-PAGE:150 kDa
纯化方法:Protein A purified
物理外观:Liquid
储存缓冲液:10mM PBS, 50% Glycerol, 0.05% Proclin 300, pH 7.4
防腐剂:0.05% Proclin 300
浓度:见COA
储存温度:-20°C储存,避免反复冻融
运输条件:超低温运输
稳定性与储存:短期储存2-8℃(1-2周);长期储存-20℃(24个月);收货后建议分装,避免反复冻融。
功能和特点
宿主种属:兔(Rabbit)
种属反应性:人(Human), 小鼠(Mouse), 大鼠(Rat)
偶联:Unconjugated
图片

>
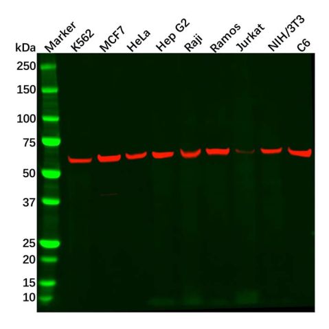
Western Blot: PKM2 Antibody (Ab122149)
PKM2 Antibody (Ab122149) - Western Blot
All lanes: PKM2 Antibody (Ab122149) at 1/1000 dilution
Samples: Lysates at 20 µg per lane
Secondary: Goat Anti-Rabbit IgG H&L (HRP) (Ab170144) at 1/20000 dilution
Predicted band size: 58 kDa
Observed band size: 61 kDa
Exposure time: 3.7 s

>
IF/ICC: PKM2 Antibody (Ab122149)
PKM2 Antibody (Ab122149) - IF/ICC
FITC staining on IF
Samples: Human MCF7 cell
Primary Ab: 20 μg/mL PKM2 Antibody (Ab122149)
Second Ab: 1 μg/mL FITC-Linked Caprine Anti-Rabbit IgG Polyclonal Antibody.

>
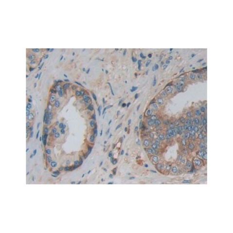
IHC: PKM2 Antibody (Ab122149)
PKM2 Antibody (Ab122149) - IHC
DAB staining on IHC
Samples: Human Breast cancer Tissue
Primary Ab: 10 µg/mL PKM2 Antibody (Ab122149)
Second Ab: 2 µg/mL HRP-Linked Caprine Anti-Rabbit IgG Polyclonal Antibody.

>
IHC: PKM2 Antibody (Ab122149)
PKM2 Antibody (Ab122149) - IHC
DAB staining on IHC
Samples: Human Skin cancer Tissue
Primary Ab: 10 µg/mL PKM2 Antibody (Ab122149)
Second Ab: 2 µg/mL HRP-Linked Caprine Anti-Rabbit IgG Polyclonal Antibody.

>
IHC: PKM2 Antibody (Ab122149)
PKM2 Antibody (Ab122149) - IHC
DAB staining on IHC
Samples: Human Prostate Tissue
Primary Ab: 10 µg/mL PKM2 Antibody (Ab122149)
Second Ab: 2 µg/mL HRP-Linked Caprine Anti-Rabbit IgG Polyclonal Antibody.

>
IHC: PKM2 Antibody (Ab122149)
PKM2 Antibody (Ab122149) - IHC
DAB staining on IHC
Samples: Human Prostate cancer Tissue
Primary Ab: 10 µg/mL PKM2 Antibody (Ab122149)
Second Ab: 2 µg/mL HRP-Linked Caprine Anti-Rabbit IgG Polyclonal Antibody.

>
IHC: PKM2 Antibody (Ab122149)
PKM2 Antibody (Ab122149) - IHC
DAB staining on IHC
Samples: Human Colorectal cancer Tissue
Primary Ab: 10 µg/mL PKM2 Antibody (Ab122149)
Second Ab: 2 µg/mL HRP-Linked Caprine Anti-Rabbit IgG Polyclonal Antibody.

>
IHC: PKM2 Antibody (Ab122149)
PKM2 Antibody (Ab122149) - IHC
DAB staining on IHC
Samples: Human Liver cancer Tissue
Primary Ab: 10 µg/mL PKM2 Antibody (Ab122149)
Second Ab: 2 µg/mL HRP-Linked Caprine Anti-Rabbit IgG Polyclonal Antibody.

>
Western Blot: PKM2 Antibody (Ab122149)
PKM2 Antibody (Ab122149) - Western Blot
Lane 1: Wild-type MCF7 cell lysateLane 2: PKM2 knockout MCF7 cell lysatePredicted MW: 56,58 kDaObserved MW: 60 kDaPrimary Ab: 2 µg/mL PKM2 Antibody (Ab122149) Second Ab: 0.2 µg/mL HRP-Linked Caprine Anti-Rabbit IgG Polyclonal Antibody.

>
IF/ICC: PKM2 Antibody (Ab122149)
PKM2 Antibody (Ab122149) - IF/ICC
AF488 staining on IF
Samples: HeLa cell
Primary Ab: 20 μg/mL PKM2 Antibody (Ab122149)
Second Ab: 2 μg/mL AF488-Linked Caprine Anti-Rabbit IgG Polyclonal
Antibody.

>
IHC: PKM2 Antibody (Ab122149)
PKM2 Antibody (Ab122149) - IHC
DAB staining on IHC
Samples: Mouse Lung Tissue
Primary Ab: 10 µg/mL PKM2 Antibody (Ab122149)
Control: Used PBS instead of PKM2 Antibody (Ab122149)
Second Ab: 2 µg/mL HRP-Linked Caprine Anti-Rabbit IgG Polyclonal Antibody.

>
IHC: PKM2 Antibody (Ab122149)
PKM2 Antibody (Ab122149) - IHC
DAB staining on IHC
Samples: Mouse Testis Tissue
Primary Ab: 10 µg/mL PKM2 Antibody (Ab122149)
Control: Used PBS instead of PKM2 Antibody (Ab122149)
Second Ab: 2 µg/mL HRP-Linked Caprine Anti-Rabbit IgG Polyclonal Antibody.

>
IHC: PKM2 Antibody (Ab122149)
PKM2 Antibody (Ab122149) - IHC
DAB staining on IHC
Samples: Mouse Oviduct Tissue
Primary Ab: 10 µg/mL PKM2 Antibody (Ab122149)
Control: Used PBS instead of PKM2 Antibody (Ab122149)
Second Ab: 2 µg/mL HRP-Linked Caprine Anti-Rabbit IgG Polyclonal Antibody.

>
IHC: PKM2 Antibody (Ab122149)
PKM2 Antibody (Ab122149) - IHC
DAB staining on IHC
Samples: Mouse Oviduct Tissue
Primary Ab: 10 µg/mL PKM2 Antibody (Ab122149)
Control: Used PBS instead of PKM2 Antibody (Ab122149)
Second Ab: 2 µg/mL HRP-Linked Caprine Anti-Rabbit IgG Polyclonal Antibody.
查看阿拉丁官网此产品相关对应页面:https://www.aladdin-e.com/zh_cn/Ab122149.html


