基本信息 产品详情 公司简介 推荐产品
网站主页 化工产品目录 生物 细胞培养 细胞系 人细胞系 人肾小球系膜细胞 人肾小球系膜细胞HGMC
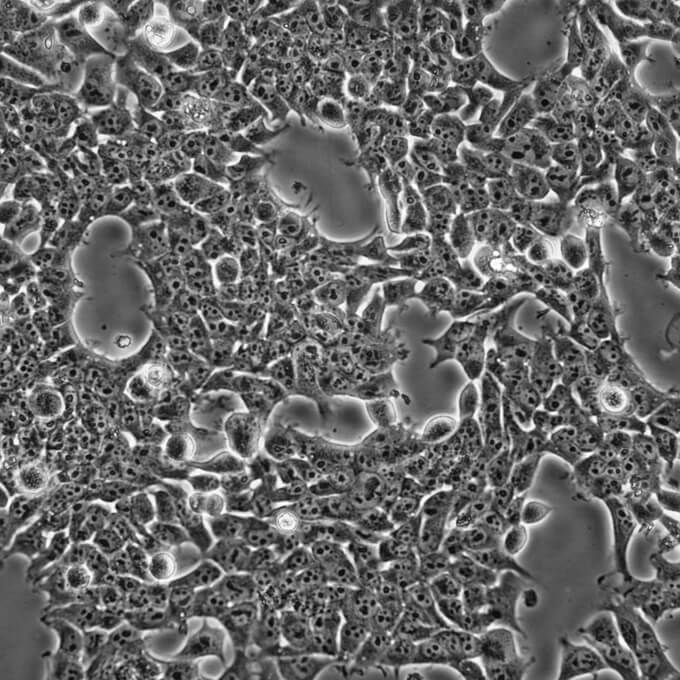
  • 人肾小球系膜细胞HGMC

人肾小球系膜细胞HGMC

HGMC
1800 1cells/瓶 起订
上海 更新日期:2026-04-17

上海雅吉生物科技有限公司

VIP5年
联系人:王源
电话:021-34661275拨打
手机:15301693058 拨打
邮箱:yajikit@163.com

产品详情:

中文名称:
人肾小球系膜细胞HGMC
英文名称:
HGMC
品牌:
雅吉生物
产地:
上海
保存条件:
无血清冻存液
纯度规格:
99%
产品类别:
细胞 细胞系
货号:
YS2548
是否进口:
用途:
科研实验
产品规格:
1*10^6/T25
别名:
K1

产品名称:人肾小球系膜细胞HGMC

传代方法

次建议1:2传代 

冻存条件

无血清冻存液(货号:C7001

细胞描述

本库的细胞仅用于科研工作,未经许可不得用于其他目的,使用者不得将本库细胞转让给第三者。 

培养备注

用无菌离心管收集瓶子培养基,留作过渡培养

人肾小球系膜细胞HGMC到货后处理

细胞在培养瓶中培养至良好状态后灌满完全培养液并封好瓶口是细胞运输的办法。收到细胞回到自己的实验室后,先打开外包装,用75%酒精喷洒整个瓶消毒后放到超净台内,严格无菌操作培养箱静置2-4小时。镜下观察:未超过80%汇合度时,可将瓶装的完全培养液收集至离心管中,加入6ml完全培养基,放入37℃、5%CO2孵箱培养;超过80%汇合度时,根据情况传代或者冻存,具体操作见细胞培养步骤。注意发货的是密封培养瓶的话,放入培养箱培养记得培养瓶盖子拧松,传代后建议一瓶用原瓶里面的完全培养基,另外一瓶用自己配的完全培养基

人肾小球系膜细胞HGMC培养步骤

一、复苏细胞:将含有1mL细胞悬液的冻存管在37℃水浴中迅速摇晃解冻,加入5mL培养基混合均匀。在1000RPM条件下离心5分钟,弃去上清液,补加4-6mL完全培养基后吹匀。然后将所有细胞悬液加入培养瓶中培养过夜(或将细胞悬液加入6cm皿中,培养过夜。第二天换液并检查细胞密度。

二、细胞传代:如果细胞密度达80%-90%,即可进行传代培养。

a)、对于贴壁细胞,传代可参考以下方法:

1. 弃去培养上清,用不含钙、镁离子的PBS润洗细胞1-2次。

2. 加1-2ml消化液(0.25%Trypsin-0.53mM EDTA)于培养瓶中,置于37℃培养箱中消化1-2min,然后在显微镜下观察细胞消化情况,若细胞大部分变圆并脱落,迅速拿回操作台,轻敲几下培养瓶后加5ml以上10%血清的完全培养基终止消化。

3.轻轻吹打细胞,完全脱落后吸出,在1000RPM条件下离心8-10分钟,弃去上清液,补加1-2mL培养液后吹匀。

4. 按5-6ml/瓶补加培养液,将细胞悬液按1:2的比例分到新的含5-6 ml培养液的新皿中或者瓶中。

b)、对于悬浮细胞,传代可参考以下方法:

方法一:收集细胞,1000RPM条件下离心8-10分钟,弃上清液,补加1-2ml培养液后吹匀,将细胞悬液按1:2到1:5的比例分到新的含8ml培养基的新皿中或瓶中。

方法二:可选择半数换液方式,弃半数培养基后,将剩余细胞悬起,将细胞悬液按1:2到1:3的比例分到新的含8ml培养基新皿中或者瓶中。

PS:若客户收到2ml小管细胞,收到细胞后,用75%酒精喷洒整个管子消毒后放到超净台或安全柜内,严格无菌操作;将小管细胞转移至T25培养瓶或6cm培养皿,加入5ml左右完全培养基混匀,放入培养箱过夜培养后查看细胞密度:若密度未超过80%,换液继续培养,视情况传代或者冻存。若密度超过80%,可直接进行传代(方法同上)。

三、细胞冻存:注:无血清冻存液冻存细胞的方法请参考我司官网货号:C7001

1细胞生长至覆盖培养瓶的80%面积时,弃25cm2培养瓶中的培养液,用PBS清洗细胞一次;

2添加0.25%胰蛋白酶消化液约1ml至培养瓶中,倒置显微镜下观察,待细胞回缩变圆后加入完全培养液终止消化,轻轻吹打细胞使之脱落,然后将悬液转移至15ml离心管中,1000rpm离心5min;

3用适量的冻存液重悬细胞,并放置于冻存管中;

4先将细胞冻存管放置于-20℃ 1.5h,然后将其移入-80℃

人肾小球系膜细胞HGMC部分相关细胞如下:

YS2487 UPCISCC172 人舌头鳞癌细胞UPCISCC172

YS2488 stage3ANCIH1373 人肺腺癌细胞stage3ANCI-H1373

YS2489 SW1710 人膀胱癌细胞SW1710

YS2490 12Z 人源子宫内膜异位细胞12Z

YS2491 Y1 小鼠肾上腺皮质瘤细胞Y1

YS2492 PIG3 原代白癜风人皮肤黑色素细胞PIG3

YS2493 P3ag 小鼠骨髓瘤细胞P3ag

YS2494 KM12SM 人结肠癌肝转移细胞KM12SM

YS2495 MAc 小鼠小脑星形胶质细胞MAc

YS2496 NKT 自然杀伤T细胞NKT

YS2497 MH7A 关节炎成纤维细胞MH7A

YS2498 RAFLSs 类风湿关节炎成纤维样滑膜细胞RAFLSs

YS2499 WM239A 人黑色素瘤细胞WM239A

YS2500 GP5D 人结肠腺癌细胞GP5D

YS2501 TGBC11TKB 人胃癌细胞TGBC11TKB

YS2502 HCECB4G12 人角膜内皮细胞HCECB4G12

YS2503 FRTL5 大鼠甲状腺细胞FRTL5

YS2504 MCA38 小鼠结肠癌细胞MCA38

YS2505 SMC1 人胸膜间皮瘤细胞SMC1

YS2506 HOEC 人口腔上皮HOEC

YS2507 HKF 人成纤维细胞HKF

YS2508 CCCHSF1 人皮肤成纤维细胞CCCHSF1

YS2509 MLM 小鼠急性粒白血病细胞MLM

YS2510 EJ138 人膀胱癌EJ138

YS2511 N9 小鼠小胶质细胞N9

YS2512 BCPAPBCPAP 甲状腺乳头状癌细胞BCPAPBCPAP

YS2513 NCIH1672 小细胞肺癌细胞NCIH1672

YS2514 HSC4 人口腔鳞癌细胞HSC4

YS2515 CEK 鸡胚肾细胞CEK

YS2516 NCIH1770 人非小细胞肺癌细胞NCIH1770

YS2517 NCIH1092 人小细胞肺癌细胞NCIH1092

YS2518 FLS 大鼠成纤维样滑膜细胞FLS

YS2519 HFL 人成纤维样滑膜细胞HFL

YS2520 HN13 人口腔鳞状细胞癌细胞HN13

YS2521 MCFs 小鼠心肌成纤维细胞MCFs

YS2522 EHEB 人慢性B细胞白血病细胞EHEB

YS2523 SNK6 人NK/T细胞淋巴瘤细胞SNK6

YS2524 hTERTRPE1 人视网膜色素上皮细胞hTERTRPE1

更多细胞请咨询我们:人肾小球系膜细胞HGMC


人肾小球系膜细胞HGMC;人肾小球系膜细胞;HGMC;ATCC代购;ATCC引种;

公司简介

上海雅吉生物科技有限公司成立于2011年3月,是一家面向生命科学领域,提供科研类试剂、耗材、仪器、技术服务的生物企业。包括分子生物学、免疫学、微生物学、细胞学等 。旗下拥有 “雅吉生物”、“晶风生物”、“彩佑实业”、“GTX” 品牌。通过公司各部门员工的共同努力在行业内拥有较高知名度,深得新老客户厚爱,本着“优质、服务、信誉”的精神,坚持以优良的技术、优质的产品、良好的信誉为国内外广大用户提供优质生物产品和服务。 公司在重视产品质量的同时,也建立了一套集技术支持,物流售后服务等多部门联动服务体系,努力把我们方便、快捷、周到的服务提供给每一个客户,雅吉生物的试剂盒,在国内众多重点实验室广泛使用,深受广大科研人员好评,先后在权威杂志文章中被引用。 本公司郑重承诺:质量保证、供货及时、服务周到。

成立日期 (16年)
注册资本 50.000000万人民币
员工人数 50-100人
年营业额 ¥ 100万以内
经营模式 试剂,定制,试剂,定制
主营行业 抗体,抗体

人肾小球系膜细胞HGMC相关厂家报价 更多

内容声明
拨打电话 立即询价