基本信息 产品详情 公司简介 推荐产品
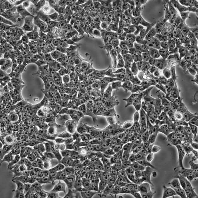
网站主页 LA-N-1 人神经母细胞瘤细胞LAN1
  • 人神经母细胞瘤细胞LAN1

人神经母细胞瘤细胞LAN1

LAN1
1800 1cells/瓶 起订
上海 更新日期:2026-04-11

上海雅吉生物科技有限公司

VIP5年
联系人:王源
电话:021-34661275拨打
手机:15301693058 拨打
邮箱:yajikit@163.com

产品详情:

中文名称:
人神经母细胞瘤细胞LAN1
英文名称:
LAN1
品牌:
雅吉生物
产地:
上海
保存条件:
无血清冻存液
纯度规格:
99%
产品类别:
细胞 细胞系
货号:
YS2623
用途范围:
科研实验
规格:
1*10^6/T25
是否进口:
是否是肿瘤细胞:
咨询客服
细胞形态:
咨询客服
品系:
细胞系

产品名称:人神经母细胞瘤细胞LAN1

传代方法

次建议1:2传代 

冻存条件

无血清冻存液(货号:C7001

细胞描述

本库的细胞仅用于科研工作,未经许可不得用于其他目的,使用者不得将本库细胞转让给第三者。 

培养备注

用无菌离心管收集瓶子培养基,留作过渡培养

人神经母细胞瘤细胞LAN1收到后处理

细胞在培养瓶中培养至良好状态后灌满完全培养液并封好瓶口是细胞运输的办法。收到细胞回到自己的实验室后,先打开外包装,用75%酒精喷洒整个瓶消毒后放到超净台内,严格无菌操作培养箱静置2-4小时。镜下观察:未超过80%汇合度时,可将瓶装的完全培养液收集至离心管中,加入6ml完全培养基,放入37℃、5%CO2孵箱培养;超过80%汇合度时,根据情况传代或者冻存,具体操作见细胞培养步骤。注意发货的是密封培养瓶的话,放入培养箱培养记得培养瓶盖子拧松,传代后建议一瓶用原瓶里面的完全培养基,另外一瓶用自己配的完全培养基

人神经母细胞瘤细胞LAN1培养步骤

一、复苏细胞:将含有1mL细胞悬液的冻存管在37℃水浴中迅速摇晃解冻,加入5mL培养基混合均匀。在1000RPM条件下离心5分钟,弃去上清液,补加4-6mL完全培养基后吹匀。然后将所有细胞悬液加入培养瓶中培养过夜(或将细胞悬液加入6cm皿中,培养过夜。第二天换液并检查细胞密度。

二、细胞传代:如果细胞密度达80%-90%,即可进行传代培养。

a)、对于贴壁细胞,传代可参考以下方法:

1. 弃去培养上清,用不含钙、镁离子的PBS润洗细胞1-2次。

2. 加1-2ml消化液(0.25%Trypsin-0.53mM EDTA)于培养瓶中,置于37℃培养箱中消化1-2min,然后在显微镜下观察细胞消化情况,若细胞大部分变圆并脱落,迅速拿回操作台,轻敲几下培养瓶后加5ml以上10%血清的完全培养基终止消化。

3.轻轻吹打细胞,完全脱落后吸出,在1000RPM条件下离心8-10分钟,弃去上清液,补加1-2mL培养液后吹匀。

4. 按5-6ml/瓶补加培养液,将细胞悬液按1:2的比例分到新的含5-6 ml培养液的新皿中或者瓶中。

b)、对于悬浮细胞,传代可参考以下方法:

方法一:收集细胞,1000RPM条件下离心8-10分钟,弃上清液,补加1-2ml培养液后吹匀,将细胞悬液按1:2到1:5的比例分到新的含8ml培养基的新皿中或瓶中。

方法二:可选择半数换液方式,弃半数培养基后,将剩余细胞悬起,将细胞悬液按1:2到1:3的比例分到新的含8ml培养基新皿中或者瓶中。

PS:若客户收到2ml小管细胞,收到细胞后,用75%酒精喷洒整个管子消毒后放到超净台或安全柜内,严格无菌操作;将小管细胞转移至T25培养瓶或6cm培养皿,加入5ml左右完全培养基混匀,放入培养箱过夜培养后查看细胞密度:若密度未超过80%,换液继续培养,视情况传代或者冻存。若密度超过80%,可直接进行传代(方法同上)。

三、细胞冻存:注:无血清冻存液冻存细胞的方法请参考我司官网货号:C7001

1细胞生长至覆盖培养瓶的80%面积时,弃25cm2培养瓶中的培养液,用PBS清洗细胞一次;

2添加0.25%胰蛋白酶消化液约1ml至培养瓶中,倒置显微镜下观察,待细胞回缩变圆后加入完全培养液终止消化,轻轻吹打细胞使之脱落,然后将悬液转移至15ml离心管中,1000rpm离心5min;

3用适量的冻存液重悬细胞,并放置于冻存管中;

4先将细胞冻存管放置于-20℃ 1.5h,然后将其移入-80℃

人神经母细胞瘤细胞LAN1部分相关细胞如下:

YS2603 HFTF 人胚胎眼Tenon's囊成纤维细胞HFTF

YS2604 MSC 猪骨髓间质干细胞MSC

YS2605 Ratpodocyte 大鼠肾足细胞Ratpodocyte

YS2606 HCM 人心肌细胞HCM

YS2607 Malme3M 人恶性黑色素瘤细胞Malme3M

YS2608 HCV29 人膀胱上皮细胞HCV29

YS2609 HOPC 人少突胶质前体细胞HOPC

YS2610 KM12 人结肠癌细胞KM12

YS2611 HMVEC 人微血管内皮细胞HMVEC

YS2612 KYSE270 人食管鳞癌细胞KYSE270

YS2613 Nb2 大鼠淋巴瘤细胞Nb2

YS2614 MSCs 小鼠脐带间充质干细胞MSCs

YS2615 HFLS 人滑膜成纤维细胞HFLS

YS2616 HepaRG 人肝癌细胞HepaRG

YS2617 HUASMC 人脐动脉平滑肌细胞HUASMC

YS2618 rHSC99 大鼠肝星状细胞rHSC99

YS2619 MPC83 小鼠胰腺腺泡细胞MPC83

YS2620 MNFS60 小鼠髓性白血病细胞MNFS60

YS2621 RIMEC 鼠肠粘膜微血管内皮细胞RIMEC

YS2622 U138MG 人脑神经胶质瘤细胞U138MG

YS2623 LAN1 人神经母细胞瘤细胞LAN1

YS2624 G361 人黑色素瘤细胞G361

YS2625 M21 人黑色素瘤细胞M21

YS2626 MDCCMSB1 鸡淋巴瘤细胞MDCCMSB1

YS2627 TFH 滤泡性辅助性T细胞TFH

YS2628 GCT0404 人骨巨细胞瘤细胞GCT0404

YS2629 BMUS1 牦牛皮肤细胞BMUS1

YS2630 Myla2059 人皮肤T淋巴细胞瘤细胞Myla2059

YS2631 RMC1 大鼠视网膜Muller细胞RMC1

YS2632 NF639 小鼠乳腺癌细胞NF639

YS2633 TEC 人胸腺上皮细胞TEC

YS2634 LP1 人多发性骨髓瘤细胞LP1

YS2635 PAEC 鸡动脉内皮细胞PAEC

YS2636 CMECs 大鼠心肌微血管内皮细胞CMECs

YS2637 LA4 鼠肺癌细胞LA4

YS2638 RAMSCs 大鼠脂肪间充质干细胞RAMSCs

更多细胞请咨询我们:人神经母细胞瘤细胞LAN1




人神经母细胞瘤细胞LAN1;LAN1;人神经母细胞瘤细胞;ATCC代购;雅吉细胞库;

公司简介

上海雅吉生物科技有限公司成立于2011年3月,是一家面向生命科学领域,提供科研类试剂、耗材、仪器、技术服务的生物企业。包括分子生物学、免疫学、微生物学、细胞学等 。旗下拥有 “雅吉生物”、“晶风生物”、“彩佑实业”、“GTX” 品牌。通过公司各部门员工的共同努力在行业内拥有较高知名度,深得新老客户厚爱,本着“优质、服务、信誉”的精神,坚持以优良的技术、优质的产品、良好的信誉为国内外广大用户提供优质生物产品和服务。 公司在重视产品质量的同时,也建立了一套集技术支持,物流售后服务等多部门联动服务体系,努力把我们方便、快捷、周到的服务提供给每一个客户,雅吉生物的试剂盒,在国内众多重点实验室广泛使用,深受广大科研人员好评,先后在权威杂志文章中被引用。 本公司郑重承诺:质量保证、供货及时、服务周到。

成立日期 (15年)
注册资本 50.000000万人民币
员工人数 50-100人
年营业额 ¥ 100万以内
经营模式 试剂,定制,试剂,定制
主营行业 抗体,抗体

人神经母细胞瘤细胞LAN1相关厂家报价

内容声明
拨打电话 立即询价