基本信息 产品详情 公司简介 推荐产品
网站主页 TEV-1 小鼠肝细胞H2.35
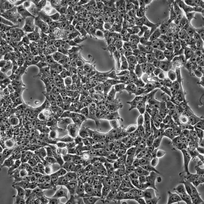
  • 人髓样甲状腺癌细胞MZCRC1

人髓样甲状腺癌细胞MZCRC1

H235
1800 1cells/瓶 起订
上海 更新日期:2026-04-15

上海雅吉生物科技有限公司

VIP5年
联系人:王源
电话:021-34661275拨打
手机:15301693058 拨打
邮箱:yajikit@163.com

产品详情:

中文名称:
小鼠肝细胞H2.35
英文名称:
H235
品牌:
雅吉生物
产地:
上海
保存条件:
无血清冻存液
纯度规格:
1*10^6/T25
产品类别:
细胞 细胞系
货号:
YS2996
用途范围:
科研实验
规格:
T25

产品名称:人髓样甲状腺癌细胞MZCRC1

传代方法

次建议1:2传代 

冻存条件

无血清冻存液(货号:C7001

细胞描述

本库的细胞仅用于科研工作,未经许可不得用于其他目的,使用者不得将本库细胞转让给第三者。 

培养备注

用无菌离心管收集瓶子培养基,留作过渡培养

人髓样甲状腺癌细胞MZCRC1到货后处理

细胞在培养瓶中培养至良好状态后灌满完全培养液并封好瓶口是细胞运输的办法。收到细胞回到自己的实验室后,先打开外包装,用75%酒精喷洒整个瓶消毒后放到超净台内,严格无菌操作培养箱静置2-4小时。镜下观察:未超过80%汇合度时,可将瓶装的完全培养液收集至离心管中,加入6ml完全培养基,放入37℃、5%CO2孵箱培养;超过80%汇合度时,根据情况传代或者冻存,具体操作见细胞培养步骤。注意发货的是密封培养瓶的话,放入培养箱培养记得培养瓶盖子拧松,传代后建议一瓶用原瓶里面的完全培养基,另外一瓶用自己配的完全培养基

人髓样甲状腺癌细胞MZCRC1培养步骤

一、复苏细胞:将含有1mL细胞悬液的冻存管在37℃水浴中迅速摇晃解冻,加入5mL培养基混合均匀。在1000RPM条件下离心5分钟,弃去上清液,补加4-6mL完全培养基后吹匀。然后将所有细胞悬液加入培养瓶中培养过夜(或将细胞悬液加入6cm皿中,培养过夜。第二天换液并检查细胞密度。

二、细胞传代:如果细胞密度达80%-90%,即可进行传代培养。

a)、对于贴壁细胞,传代可参考以下方法:

1. 弃去培养上清,用不含钙、镁离子的PBS润洗细胞1-2次。

2. 加1-2ml消化液(0.25%Trypsin-0.53mM EDTA)于培养瓶中,置于37℃培养箱中消化1-2min,然后在显微镜下观察细胞消化情况,若细胞大部分变圆并脱落,迅速拿回操作台,轻敲几下培养瓶后加5ml以上10%血清的完全培养基终止消化。

3.轻轻吹打细胞,完全脱落后吸出,在1000RPM条件下离心8-10分钟,弃去上清液,补加1-2mL培养液后吹匀。

4. 按5-6ml/瓶补加培养液,将细胞悬液按1:2的比例分到新的含5-6 ml培养液的新皿中或者瓶中。

b)、对于悬浮细胞,传代可参考以下方法:

方法一:收集细胞,1000RPM条件下离心8-10分钟,弃上清液,补加1-2ml培养液后吹匀,将细胞悬液按1:2到1:5的比例分到新的含8ml培养基的新皿中或瓶中。

方法二:可选择半数换液方式,弃半数培养基后,将剩余细胞悬起,将细胞悬液按1:2到1:3的比例分到新的含8ml培养基新皿中或者瓶中。

PS:若客户收到2ml小管细胞,收到细胞后,用75%酒精喷洒整个管子消毒后放到超净台或安全柜内,严格无菌操作;将小管细胞转移至T25培养瓶或6cm培养皿,加入5ml左右完全培养基混匀,放入培养箱过夜培养后查看细胞密度:若密度未超过80%,换液继续培养,视情况传代或者冻存。若密度超过80%,可直接进行传代(方法同上)。

三、细胞冻存:注:无血清冻存液冻存细胞的方法请参考我司官网货号:C7001

1细胞生长至覆盖培养瓶的80%面积时,弃25cm2培养瓶中的培养液,用PBS清洗细胞一次;

2添加0.25%胰蛋白酶消化液约1ml至培养瓶中,倒置显微镜下观察,待细胞回缩变圆后加入完全培养液终止消化,轻轻吹打细胞使之脱落,然后将悬液转移至15ml离心管中,1000rpm离心5min;

3用适量的冻存液重悬细胞,并放置于冻存管中;

4先将细胞冻存管放置于-20℃ 1.5h,然后将其移入-80℃

人髓样甲状腺癌细胞MZCRC1部分相关细胞如下:

YS3044 CMT64 小鼠肺腺癌细胞CMT64

YS3045 Tca83 人口腔鳞癌细胞Tca83

YS3046 TE11 人口腔鳞癌细胞TE11

YS3047 HBdSMC 人膀胱平滑肌细胞HBdSMC

YS3048 LPCH12 小鼠肝癌细胞LPCH12

YS3049 NCIH165 人非小细胞肺癌细胞NCIH165

YS3050 CL10 人肺腺癌细胞CL10

YS3051 NCIH498 人结直肠腺癌细胞NCIH498

YS3052 HGSMC 人胃平滑肌细胞HGSMC

YS3053 A1847 人卵巢癌细胞A1847

YS3054 YES2 人食管鳞癌细胞YES2

YS3055 TU177 人喉鳞癌细胞TU177

YS3056 SKRC20 人肾癌细胞SKRC20

YS3057 PANC28 人胰腺癌细胞PANC28

YS3058 OVTOKO 人卵巢透明细胞癌细胞OVTOKO

YS3059 HN6 人舌鳞癌细胞HN6

YS3060 MB39 小鼠脑瘤细胞MB39

YS3061 NCIH2141 人小细胞肺癌细胞NCIH2141

YS3062 EU2 人急性髓系白血病细胞EU2

YS3063 EU4 人急性髓系白血病细胞EU4

YS3064 KM932 人B淋巴细胞KM932

YS3065 OSC19 人舌鳞癌细胞OSC19

YS3066 L78 人肺腺鳞癌细胞L78

YS3067 SUM102PT 人乳腺癌细胞SUM102PT

YS3068 RCF 大鼠心肌成纤维细胞RCF

YS3069 INS1E 大鼠胰岛素瘤细胞INS1E

YS3070 CEMT4 人急性T淋巴细胞白血病细胞CEMT4

YS3071 MH22A 小鼠肝癌细胞MH22A

YS3072 NOK 人正常鳞状上皮细胞NOK

YS3073 THSC 大鼠肝星形细胞THSC

YS3074 SL29 鸡胚成纤维细胞SL29

YS3075 KMST6 人胚成纤维细胞KMST6

YS3076 B16BL6 小鼠黑色素瘤细胞B16BL6

YS3077 ST486 人B淋巴瘤细胞ST486

YS3078 639V 人膀胱癌细胞639V

YS3079 HSC6 人口腔鳞癌细胞HSC6

YS3080 End1E6E7 人子宫颈内膜细胞End1E6E7

YS3081 NCIH125 人非小细胞肺癌细胞NCIH125

YS3082 HSAS4 人皮肤成纤维细胞HSAS4

 更多细胞请咨询我们:人髓样甲状腺癌细胞MZCRC1




人髓样甲状腺癌细胞MZCRC1;MZCRC1;人髓样甲状腺癌细胞;ATCC细胞;ATCC引种;

公司简介

上海雅吉生物科技有限公司成立于2011年3月,是一家面向生命科学领域,提供科研类试剂、耗材、仪器、技术服务的生物企业。包括分子生物学、免疫学、微生物学、细胞学等 。旗下拥有 “雅吉生物”、“晶风生物”、“彩佑实业”、“GTX” 品牌。通过公司各部门员工的共同努力在行业内拥有较高知名度,深得新老客户厚爱,本着“优质、服务、信誉”的精神,坚持以优良的技术、优质的产品、良好的信誉为国内外广大用户提供优质生物产品和服务。 公司在重视产品质量的同时,也建立了一套集技术支持,物流售后服务等多部门联动服务体系,努力把我们方便、快捷、周到的服务提供给每一个客户,雅吉生物的试剂盒,在国内众多重点实验室广泛使用,深受广大科研人员好评,先后在权威杂志文章中被引用。 本公司郑重承诺:质量保证、供货及时、服务周到。

成立日期 (16年)
注册资本 50.000000万人民币
员工人数 50-100人
年营业额 ¥ 100万以内
经营模式 试剂,定制,试剂,定制
主营行业 抗体,抗体

小鼠肝细胞H2.35相关厂家报价

内容声明
拨打电话 立即询价