基本信息 产品详情 公司简介 推荐产品
网站主页 化工产品目录 生物 细胞培养 原代细胞 人原代细胞 人甲状腺乳头状癌细胞 人甲状腺乳头状癌细胞NPA87
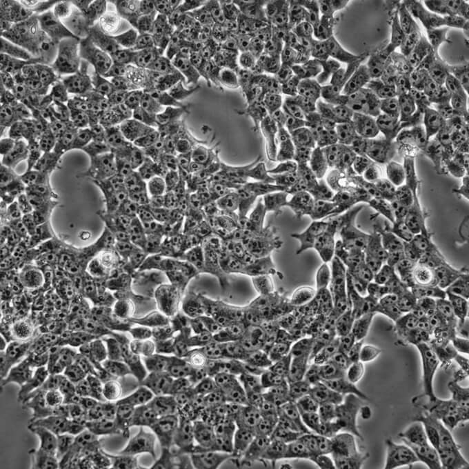
  • 人甲状腺乳头状癌细胞NPA87

人甲状腺乳头状癌细胞NPA87

NPA87
1800 1cells/瓶 起订
上海 更新日期:2026-04-13

上海雅吉生物科技有限公司

VIP5年
联系人:王源
电话:021-34661275拨打
手机:15301693058 拨打
邮箱:yajikit@163.com

产品详情:

中文名称:
人甲状腺乳头状癌细胞NPA87
英文名称:
NPA87
品牌:
雅吉生物
产地:
上海
保存条件:
无血清冻存液
纯度规格:
99%
产品类别:
细胞 细胞系
货号:
YS2736
用途范围:
科研实验
规格:
T25/瓶
品系:
细胞

产品名称:人甲状腺乳头状癌细胞NPA87

传代方法

次建议1:2传代 

冻存条件

无血清冻存液(货号:C7001

细胞描述

本库的细胞仅用于科研工作,未经许可不得用于其他目的,使用者不得将本库细胞转让给第三者。 

培养备注

用无菌离心管收集瓶子培养基,留作过渡培养

人甲状腺乳头状癌细胞NPA87到货后处理

细胞在培养瓶中培养至良好状态后灌满完全培养液并封好瓶口是细胞运输的办法。收到细胞回到自己的实验室后,先打开外包装,用75%酒精喷洒整个瓶消毒后放到超净台内,严格无菌操作培养箱静置2-4小时。镜下观察:未超过80%汇合度时,可将瓶装的完全培养液收集至离心管中,加入6ml完全培养基,放入37℃、5%CO2孵箱培养;超过80%汇合度时,根据情况传代或者冻存,具体操作见细胞培养步骤。注意发货的是密封培养瓶的话,放入培养箱培养记得培养瓶盖子拧松,传代后建议一瓶用原瓶里面的完全培养基,另外一瓶用自己配的完全培养基

人甲状腺乳头状癌细胞NPA87培养步骤

一、复苏细胞:将含有1mL细胞悬液的冻存管在37℃水浴中迅速摇晃解冻,加入5mL培养基混合均匀。在1000RPM条件下离心5分钟,弃去上清液,补加4-6mL完全培养基后吹匀。然后将所有细胞悬液加入培养瓶中培养过夜(或将细胞悬液加入6cm皿中,培养过夜。第二天换液并检查细胞密度。

二、细胞传代:如果细胞密度达80%-90%,即可进行传代培养。

a)、对于贴壁细胞,传代可参考以下方法:

1. 弃去培养上清,用不含钙、镁离子的PBS润洗细胞1-2次。

2. 加1-2ml消化液(0.25%Trypsin-0.53mM EDTA)于培养瓶中,置于37℃培养箱中消化1-2min,然后在显微镜下观察细胞消化情况,若细胞大部分变圆并脱落,迅速拿回操作台,轻敲几下培养瓶后加5ml以上10%血清的完全培养基终止消化。

3.轻轻吹打细胞,完全脱落后吸出,在1000RPM条件下离心8-10分钟,弃去上清液,补加1-2mL培养液后吹匀。

4. 按5-6ml/瓶补加培养液,将细胞悬液按1:2的比例分到新的含5-6 ml培养液的新皿中或者瓶中。

b)、对于悬浮细胞,传代可参考以下方法:

方法一:收集细胞,1000RPM条件下离心8-10分钟,弃上清液,补加1-2ml培养液后吹匀,将细胞悬液按1:2到1:5的比例分到新的含8ml培养基的新皿中或瓶中。

方法二:可选择半数换液方式,弃半数培养基后,将剩余细胞悬起,将细胞悬液按1:2到1:3的比例分到新的含8ml培养基新皿中或者瓶中。

PS:若客户收到2ml小管细胞,收到细胞后,用75%酒精喷洒整个管子消毒后放到超净台或安全柜内,严格无菌操作;将小管细胞转移至T25培养瓶或6cm培养皿,加入5ml左右完全培养基混匀,放入培养箱过夜培养后查看细胞密度:若密度未超过80%,换液继续培养,视情况传代或者冻存。若密度超过80%,可直接进行传代(方法同上)。

三、细胞冻存:注:无血清冻存液冻存细胞的方法请参考我司官网货号:C7001

1细胞生长至覆盖培养瓶的80%面积时,弃25cm2培养瓶中的培养液,用PBS清洗细胞一次;

2添加0.25%胰蛋白酶消化液约1ml至培养瓶中,倒置显微镜下观察,待细胞回缩变圆后加入完全培养液终止消化,轻轻吹打细胞使之脱落,然后将悬液转移至15ml离心管中,1000rpm离心5min;

3用适量的冻存液重悬细胞,并放置于冻存管中;

4先将细胞冻存管放置于-20℃ 1.5h,然后将其移入-80℃

人甲状腺乳头状癌细胞NPA87部分相关细胞如下:

YS2737 HPAEpiC 人肺泡上皮细胞HPAEpiC

YS2738 MLMEC 小鼠微血管内皮细胞MLMEC

YS2739 HOP62 人肺癌细胞HOP62

YS2740 MGECs 小鼠肾小球内皮细胞MGECs

YS2741 Humanpodocyte 人肾足细胞Humanpodocyte

YS2742 KOPN8 人B淋巴细胞白血病细胞KOPN8

YS2743 MOPC 小鼠少突胶质前体细胞MOPC

YS2744 SIRC 兔角膜上皮细胞SIRC

YS2745 FL62891 人肝细胞FL62891

YS2746 AZ521 人胃癌细胞AZ521

YS2747 MTEC1 小鼠胸腺上皮细胞MTEC1

YS2748 1301 人急性T淋巴细胞白血病细胞1301

YS2749 HEH2 人胚胎心脏成纤维样细胞HEH2

YS2750 PG13 逆转录病毒包被的TK-NIH3T3细胞PG13

YS2751 HPAEC 人肺动脉内皮细胞HPAEC

YS2752 HCC1419 人乳腺导管癌细胞HCC1419

YS2753 HCC1954BL 人外周血B细胞HCC1954BL

YS2754 HR8348 人直肠腺癌细胞(低分化)HR8348

YS2755 HRC99 人直肠腺癌细胞(中分化)HRC99

YS2756 TFK1 人胆管癌细胞TFK1

YS2757 HEMCSS 人软骨肉瘤细胞HEMCSS

YS2758 mRTEC 小鼠肾小管上皮细胞mRTEC

YS2759 RGCs 大鼠视网膜神经节细胞RGCs

YS2760 ND723 鼠神经母细胞瘤细胞ND723

YS2761 B10BR 小鼠黑素细胞B10BR

YS2762 SW260 人结肠癌细胞SW260

YS2763 HOSEpiC 人卵巢上皮细胞HOSEpiC

YS2764 U373MG 人胶质瘤细胞U373MG

YS2765 HEKA 人表皮角质细胞HEKA

YS2766 PAa 人肺腺癌细胞PAa

YS2767 SNT8 人NK/T细胞淋巴瘤细胞SNT8

YS2768 MN60 人B细胞白血病细胞MN60

YS2769 COLO1 人角质形成层细胞COLO1

YS2770 HPMC 人腹膜间皮细胞HPMC

YS2771 SKNFI 人脑神经母细胞瘤细胞SKNFI

YS2772 hRPE 人视网膜色素上皮细胞hRPE

YS2773 SG231 人胆管上皮癌细胞SG231

YS2774 CCLP1 人胆管癌细胞CCLP1

YS2775 hESC 人子宫内膜间质细胞hESC

YS2776 BArT 人食管上皮细胞BArT

YS2777 HIBEC 人肝内胆管上皮细胞HIBEC

YS2778 melana 小鼠黑色素细胞melana

YS2779 RBSMC 大鼠脑动脉平滑肌细胞RBSMC

YS2780 LIPF155C 人胆管癌细胞LIPF155C

YS2781 LIPF178C 人胆管癌细胞LIPF178C

YS2782 SW1783 人脑星形胶质瘤细胞SW1783

YS2783 LICCF 人肝内胆管癌细胞LICCF

YS2784 HCCLM6 人肝癌细胞HCCLM6

YS2785 ST2 小鼠骨髓基质细胞ST2

YS2786 C8166 人T淋巴细胞白血病细胞C8166

YS2787 HSAEC1KT 人肺小气道上皮细胞HSAEC1KT

YS2788 L540 人霍奇金淋巴瘤细胞L540

YS2789 rRMECs 大鼠视网膜微血管内皮细胞rRMECs

YS2790 GC9811P 人胃癌腹膜高转移细胞GC9811P

YS2791 BSC40 非洲绿猴肾细胞BSC40

YS2792 RPPVEC 大鼠肺静脉内皮细胞RPPVEC

YS2793 RASMCs 大鼠气道平滑肌细胞RASMCs

更多细胞请咨询我们:人甲状腺乳头状癌细胞NPA87







人甲状腺乳头状癌细胞NPA87;细胞NPA87;人甲状腺乳头状癌细胞;ATCC细胞;ATCC引种;

公司简介

上海雅吉生物科技有限公司成立于2011年3月,是一家面向生命科学领域,提供科研类试剂、耗材、仪器、技术服务的生物企业。包括分子生物学、免疫学、微生物学、细胞学等 。旗下拥有 “雅吉生物”、“晶风生物”、“彩佑实业”、“GTX” 品牌。通过公司各部门员工的共同努力在行业内拥有较高知名度,深得新老客户厚爱,本着“优质、服务、信誉”的精神,坚持以优良的技术、优质的产品、良好的信誉为国内外广大用户提供优质生物产品和服务。 公司在重视产品质量的同时,也建立了一套集技术支持,物流售后服务等多部门联动服务体系,努力把我们方便、快捷、周到的服务提供给每一个客户,雅吉生物的试剂盒,在国内众多重点实验室广泛使用,深受广大科研人员好评,先后在权威杂志文章中被引用。 本公司郑重承诺:质量保证、供货及时、服务周到。

成立日期 (16年)
注册资本 50.000000万人民币
员工人数 50-100人
年营业额 ¥ 100万以内
经营模式 试剂,定制,试剂,定制
主营行业 抗体,抗体

人甲状腺乳头状癌细胞NPA87相关厂家报价 更多

内容声明
拨打电话 立即询价