品名:Smart-REMSA™ RNA EMSA Kit,货号:IF9502,品牌:Engibody
订购及技术咨询:朱小鸥,13817407320(微信同号)
NIH、麻省理工、哈佛、斯坦福等世界名校课题组青睐并长期采购的RNA EMSA试剂盒!
Smart-REMSA™ RNA EMSARNA电泳凝胶迁移阻滞实验试剂盒
RNA EMSA技术的现状分析
RNA EMSA实验所需试剂较多,加上生物素探针的合成和标记、蛋白样本的制备、RNA EMSA凝胶的配制、带正电荷的尼龙膜(特别昂贵)、RNA EMSA专用电泳液和RNA EMSA专用转膜液等,费用不小。还需要一些设备如电泳仪与转膜仪、化学发光成像仪等。
从市场逐个购买试剂,费时费力,费用不菲,且试剂与试剂之间难以协调匹配,遇到各种技术问题也无法解决。
有了复名表观遗传学的RNA EMSA试剂盒,这些问题全部迎刃而解,最小的费用和时间搞定RNA EMSA实验。
而且实验者跟随本RNA EMSA试剂盒操作步骤可熟悉与掌握该项技术,节约很多时间和费用,遇到问题可以找复名表观遗传学技术支持轻松解决,文末有技术支持的微信二维码,可以随时添加好友。
Smart-REMSA™ RNA EMSA试剂盒的4大优势
1、本试剂盒适用于贴壁细胞、悬浮细胞、动物组织、植物组织及纯化后的重组蛋白,是个真正的多合一Kit。
2、本试剂盒包含适用于验证型RNA-EMSA、竞争型RNA-EMSA及SuperShift超迁移RNA-EMSA的试剂。
3、本试剂盒采用化学发光法检测,而非采用放射性同位素检测,具有高灵敏度,且对实验人员健康无任何伤害。
4、本说明书是一本RNA EMSA实验的全面技术手册,透彻分析了REMSA实验中的重点、难点,对各种重点难点问题都有针对性的解决方案。同时包含了表观遗传学的基础知识和基本脉络,汇总了RNA与各种蛋白互作的详细信息。看完这本保姆级说明书,所有疑难都会迎刃而解,RNA EMSA尽在掌握之中。

第一部分:背景简介及应用场景
RNA与蛋白质相互作用分析
95%的人类基因组实际上并不编码蛋白质,而是产生大量非编码RNA,这些RNA在生命的生长和发育中发挥着重要的调节作用,与艾滋病病毒/艾滋病、白血病、糖尿病等各种疾病密切相关,并参与干细胞发育和表观遗传学的调节。RNA-蛋白质复合物驱动几乎所有细胞过程中基因表达的转录后调节,包括剪接、核输出、mRNA稳定性和蛋白质翻译。因此,对转录后调控网络和机制的理解取决于确定这些过程中RNA结合的变化。
RNA结合蛋白通过与单链RNA结合基序(RBM)结合来控制细胞生物学的许多方面。然而,RBM可以隐藏在其局部RNA结构中,从而抑制RNA与蛋白质的相互作用。
RNA与蛋白质相互作用的研究越来越受到科学家的关注,成为表观遗传学研究的热点。
目前RNA研究的国自然热点主要是mRNA、LncRNA、miRNA、circRNA。
RNA-EMSA(RNA Electrophoretic Mobility Shift Assay),凝胶迁移实验又称凝胶阻滞实验或电泳迁移率改变实验,其原理是RNA-binding proteins (RBPs) 蛋白-RNA探针复合物在聚丙烯酰胺凝胶电泳中比自由探针迁移更慢,是一种用于体外In Vitro检测RNA-binding proteins (RBPs) 蛋白与RNA片段相互作用的技术。
1、RNA-EMSA和RIP、CLIP、RNA Pull-down,这四种研究RNA-蛋白互作技术的内在区别是什么?
1)、RNA-EMSA———RNA电泳凝胶迁移阻滞实验(Electrophoretic Mobility Shift Assay),In Vitro体外通过RNA探针检测目的蛋白,反向验证了RIP。是经典方法。
2)、RIP———RNA蛋白免疫沉淀技术是一种用于在细胞天然背景下In Vivo体内探测蛋白质-RNA 相互作用的技术。这种方法可以用于检测特定RBP蛋白与RNA的结合水平。
3)、RNA Pull-down———In Vitro体外通过RNA探针捕获目的蛋白或其他候选蛋白,获取蛋白后进行WB检测或MS质谱鉴定。也是经典方法。
4)、CLIP———这是近年来的新兴技术,紫外交联RNA-RBP免疫沉淀技术,可以分为HITS-CLIP(CLIP-Seq)、PAR-CLIP、iCLIP、miCLIP。
2、RNA-EMSA和RIP的联合分析,相互验证
这是经典研究策略,RIP是体内In Vivo研究RNA和蛋白互作,RNA-EMSA是体外In Vitro进行RNA和蛋白互作的验证,互相印证。
第二部分:技术原理和技术流程
技术原理:
当RNA探针与蛋白样本混合孵育时,样本中可以与RNA探针结合的蛋白与探针形成蛋白-探针复合物,这种复合物由于分子量很大,在进行PAGE电泳时迁移较慢,而没有结合蛋白的自由RNA探针则迁移较快,跑在凝胶的前沿。孵育的样本在进行PAGE电泳分离并转膜(正电荷尼龙膜)后,蛋白-探针复合物会在膜靠前的自由探针位置后方再形成一条目的条带,说明有蛋白与目标探针发生了互作。
技术流程:
根据实验者研究的靶标蛋白类型不同,采用3种略有不同的技术流程
1、验证型RNA EMSA
如果样本是纯化后的重组蛋白,没有其他杂蛋白的干扰,只需要设计含有阴性对照的最简单的实验方案即可。
2、竞争型RNA EMSA
如果样本是细胞浆或者细胞核蛋白提取物,样本里除了目的蛋白,还有很多其他各种蛋白,容易和RNA探针发生非特异性结合,这时就需要设计野生型冷探针竞争对照组和突变型冷探针竞争对照组来排除非特异性结合。
3、SuperShift超迁移RNA EMSA
如果还想对目的蛋白进行进一步确定,可以在蛋白样本中加入探针及靶标蛋白的抗体,形成三元复合物,这样电泳迁移率进一步变慢,得到超迁移条带。
第四部分:RNA EMSA实验结果与示例展示
展示2个结果示例,如下列图片所示:
| RNA探针序列举例 |
|
| 名称 | 序列 | 用途 |
| COX2-3′UTR (49 bps) | 5′-UCUAUUAAUUUAAUUAUUUAAUAAUAUUUAUAUUAAACUCCUUAU-3′ |
|
| WEE1-EXON2 (49 bps) | 5′-GAAACAGACCUGCUAAGGUGUGUGAAGAGGCUGGAUGGAUGCAGAACG-3′ |
|
| 备注: | bps: Base pairs; 3′UTR: 3′-Untranslated Region |
|

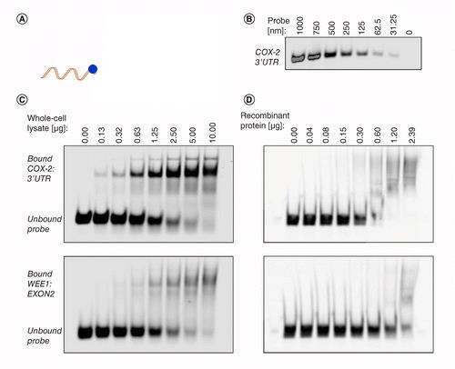
The RNA-EMSA assay
(A)RNA寡核苷酸探针。
(B)(1:1)在1×TBE缓冲液中滴加1μm探针。
(C&D)与重组HuR (RNA结合蛋白)相比,用非变性粗细胞裂解物运行固定浓度的探针(62.5 nM)。(C&D)中的数据代表了至少两个独立的实验。

RNA-EMSA assay of the IRE/IRP example
RAW264.7巨噬细胞IRE结合活性的铁依赖性调节。107个细胞制备细胞质裂解物,IRE探针通过RNA-EMSA进行分析。IRE/IRP1和IRE/IRP2复合物以及游离IRE探针的位置由箭头指示。
第五部分:RNA-EMSA试剂盒组分清单
(共计13个组分,均可单独购买)
| 编号 | 组分名称 | 数量 | 保存 | 注意事项 |
| 下列组分收到后需储存在 4 °C中。 |
| REMSA-001 | 10×蛋白与RNA探针结合反应液 | 1 mL | +4 °C |
|
| REMSA-002 | REMSA专用封闭液 | 120 mL | +4 °C |
|
| REMSA-003 | REMSA专用10×洗涤液 | 250 mL | +4 °C |
|
| REMSA-004 | REMSA检测反应液 | 120 mL | +4 °C |
|
| EMSA-005 | ECL发光液A液 | 50 mL | +4 °C |
|
| EMSA-006 | ECL发光液B液 | 50 mL | +4 °C |
|
| 下列组分收到后必须要储存在 -20 °C中 |
| REMSA-008 | REMSA专用Loading Buffer(5×) | 3*1 mL | -20 °C |
|
| REMSA-009 | Streptavidin Conjugated HRP | 100 µL | -20 °C |
|
| REMSA-010 | 50% Glycerol | 500 μL | -20 °C |
|
| REMSA-011 | TCEP (dissolve in nuclease-free water to 100mM) | Powder, 5mg | -20 °C |
|
| REMSA-012 | 2 M KCl | 500 μL | -20 °C |
|
| REMSA-013 | tRNA (10 mg/mL) | 50 μL | -20 °C |
|
| REMSA-014 | Streptavidin Conjugated HRP 信号放大剂 | 100 μL | -20 °C |
|
订购及技术咨询:朱小鸥,13817407320(微信同号)