
Anti-ATG8 | Autophagy-related protein
AS14 2769
Product Info
Immunogen: Fragment of recombinant ATG8 from Chlamydomonas reinhardtii, UniProt: A8JB85
Host: Rabbit
Clonality: Polyclonal
Purity: Serum
Format: Lyophilized
Quantity: 50 µl
Reconstitution: For reconstitution add 50 µl of sterile water
Storage: Store lyophilized/reconstituted at -20°C; once reconstituted make aliquots to avoid repeated freeze-thaw cycles.
Please remember to spin the tubes briefly prior to opening them to avoid any losses that might occur from material adhering
to the cap or sides of the tube.
Tested applications: Immunolocalization (IL), Western blot (WB)
Recommended dilution: 1 : 1000 (IL), 1 : 1000-1 : 2000 (WB)
Expected | apparent MW:15.2 | 15 kDa
PDFGenerator.pdf

Anti-H+ATPase | Plasma membrane H+ATPase (rabbit antibody)
AS07 260
Product Info
Immunogen: KLH-conjugated synthetic peptide, derived from available di and monocot, fern, mosses and algal plasma
membraneATPase sequences including Arabidopsis thaliana ATPase 1 (UniProt: P20649, TAIR: At2g18960) and ATPase 2
(UniProt: P19456 , TAIR: At4g30190), 3 (UniProt: P20431, TAIR: At5g57350), 4 (UniProt: Q9SU58, TAIR: At3g47950),
6 (UniProt: Q9SH76,TAIR: At2g07560), 7 (UniProt: Q9LY32, TAIR: At3g60330), 8 (UniProt: Q9M2A0, TAIR: At3g42640),
9 (UniProt: Q42556, TAIR: At1g80660), 11 (UniProt: Q9LV11, TAIR: At5g62670) of Arabidopsis thaliana and hydrogen
ATPase of Chlamydomonas reinhardtii (Q9FNS3)
Host: Rabbit
Clonality: Polyclonal
Purity: Immunogen affinity purified serum in PBS pH 7.4.
Format: Lyophilized
Quantity: 50 µg
Reconstitution: For reconstitution add 50 µl of sterile water
Storage: Store lyophilized/reconstituted at -20°C; once reconstituted make aliquots to avoid repeated freeze-thaw cycles.
Please remember to spin the tubes briefly prior to opening them to avoid any losses that might occur from material adhering
to the cap or sides of the tube. Do not Store this antibody in 4°C.
Tested applications: Immunofluorescence (IF), Immunolocalization (IL), Western blot (WB)
Recommended dilution: 1 : 600-1 : 1000 (IF), 1 : 100 (IL), 1 : 1000-1 : 10 000 (WB)
Expected | apparent MW:
90-95 kDa (Arabidopsis thaliana, depending upon an isoform)
PDFGenerator (1).pdf

Anti-PsaD | PSI-D subunit of photosystem I
AS09 461
Product Info
Immunogen: KLH-conjugated synthetic peptide 100% conserved in all known plant PsaD sequences including Arabidopsis
thaliana PSI-D1 UniProt:Q9S7H1 , TAIR: At4g02770 and PSI-D2 UniProt: Q9SA56 , TAIR At1g03130 as well as Physcomitrella patens.
The conservation in Chlamydomonas reinhardtii is high (14 of 16 aminoacids are identical).
Host: Rabbit
Clonality: Polyclonal
Purity: Serum
Format: Lyophilized
Quantity: 50 µl
Reconstitution: For reconstitution add 50 µl of sterile water
Storage: Store lyophilized/reconstituted at -20°C; once reconstituted make aliquots to avoid repeated freeze-thaw cycles.
Please remember to spin the tubes briefly prior to opening them to avoid any losses that might occur from material adhering
to the cap or sides of the tube.
Tested applications: Clear-native PAGE (CN-PAGE), Immunoprecipitation (IP), Western blot (WB)
Recommended dilution: 1: 10 000 (CN-PAGE), 1 : 1000 - 1: 5 000 (WB)
Expected | apparent MW:
17.9 | 20 (for Arabidopsis thaliana)
PDFGenerator.pdf

Anti-PsbA | D1 protein of PSII, C-terminal (rabbit antibody) (thylakoid membrane marker)
AS05 084
Product Info
Immunogen: KLH-conjugated synthetic peptide derived from available plant, algal and cyanobacterial PsbA sequences,
including Arabidopsis thaliana UniProt: A4QJR4, TAIR: AtCg00020 , Oryza sativa P0C434, Populus alba Q14FH6, Physcomitrella
patens Q6YXN7, Chlamydomonas reinhardtii P07753, Synechocystis sp. P14660 and many others
Host: Rabbit
Clonality: Polyclonal
Purity: Serum
Format: Lyophilized
Quantity: 50 µl
Reconstitution: For reconstitution add 50 µl of sterile water
Storage: Store lyophilized/reconstituted at -20°C; once reconstituted make aliquots to avoid repeated freeze-thaw cycles.
Please remember to spin the tubes briefly prior to opening them to avoid any losses that might occur from material adhering
to the cap or sides of the tube.
Tested applications: Immunofluorescence (IF), ImmunoGold (IG), Western blot (WB)
Recommended dilution: 1: 500 (IF), 1: 200 (IG), 1 : 10 000 (WB)
Expected | apparent MW:
38 | 28-30 kDa
PDFGenerator (1).pdf

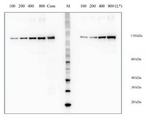
Anti-PEPC | Phosphoenolpyruvate carboxylase
AS09 458
Product Info
Immunogen: KLH-conjugated synthetic peptide well conserved PEPC1 and sequences from different plant species including
Arabidopsis thaliana Q9MAH0, At1g53310 (PEPC 1), Q84VW9, At3g14940 (PEPC 3). The peptide chosen to elicit this antibody
is also perfectly conserved in bacterial type of this enzyme NP_177043.2 (PEPC 4).
For Zea mays, the peptide is converved in PEP1 and PEP4 isoforms.
Host: Rabbit
Clonality: Polyclonal
Purity: Immunogen affinity purified serum in PBS pH 7.4.
Format: Lyophilized
Quantity: 50 µg
Reconstitution: For reconstitution add 50 µl of sterile water
Storage: Store lyophilized/reconstituted at -20°C; once reconstituted make aliquots to avoid repeated freeze-thaw cycles.
Please remember to spin the tubes briefly prior to opening them to avoid any losses that might occur from material adhering
to the cap or sides of the tube. Please do not re-use this primary antibody solution. In case of cyanobacterial samples there
will be no signal in your second incubation.
Tested applications: Immunolocalization (IL), Western blot (WB)
Recommended dilution: 1 : 500 (IL), 1: 1000 - : 10 000 (WB)
Expected | apparent MW:110 | 105 kDa
PDFGenerator.pdf

Anti-PsaA | PSI-A core protein of photosystem I
AS06 172
Product Info
Immunogen: N-terminal part of recombinant PsaA protein from Chlamydomonas reinhardtii P12154
Host: Rabbit
Clonality: Polyclonal
Purity: Serum
Format: Lyophilized
Quantity: 50 µl
Reconstitution: For reconstitution add 50 µl of sterile water
Storage: Store lyophilized/reconstituted at -20°C; once reconstituted make aliquots to avoid repeated freeze-thaw cycles.
Please remember to spin the tubes briefly prior to opening them to avoid any losses that might occur from material adhering
to the cap or sides of the tube.
Tested applications: Blue Native PAGE (BN-PAGE), Immunogold (IG), Western blot (WB)
Recommended dilution: 1 : 20 (IG), 1 : 1000-1 : 5000 (WB)
Expected | apparent MW:
82 | 55-60 kDa
PDFGenerator (1).pdf

1 | PEB (4x) | protein extraction buffer
AS08 300
Product Info
Quantity: 5 x 2 ml (4x stock) allows up to 75 isolations of plant material (using 500 µl 1x PEB for 100 mg fresh weight) or 190
isolations of algal material (using 200 µl 1x PEB for cell amounts corresponding to 4-10 µg total chlorophyll)
Storage: Stable at RT for at least 1 month; short-term storage (6 monthss) at 4°C and long term storage (1 year or more)
at -20°C.
Tested applications: Protein extraction
PDFGenerator.pdf

AgriseraECL SuperBright
AS16 ECL-S
Product Info
Quantity: 2 x 5 ml, two component ready to use solutions, enough for 5 midi blots (6,8 x 8,1 cm) 2 x 50 ml, two component
ready to use solutions, enough for 50 midi blots (6.8 x 8.1 cm), which is 2754 cm2
Storage:
Store at 2°C to 8°C.Mixed working reagent is stable for several days at room temperature or at 4°C.Exceptional lot to lot
consistency.
Shelf life is 24 months when stored in the dark at 2 °C to 8 °C. Keep container tightly closed. Store away from heat or light.
PDFGenerator (1).pdf

PEPC | Phosphoenolpyruvate carboxylase positive control/quantitation standard
AS09 458S
Product Info
Format: Lyophilized in glycerol.
Quantity: 100 µl
Reconstitution: For reconstitution add 60 µl of steril water, Please notice that this product contains 10% glycerol and might
appear as liquid but is provided lyophilized
Storage: Store lyophilized/reconstituted at -20°C; once reconstituted make aliquots to avoid repeated freeze-thaw cycles.
Please remember to spin the tubes briefly prior to opening them to avoid any losses that might occur from material adhering
to the cap or sides of the tube.
Tested applications: Western blot (WB)
Recommended dilution:
Standard curve: 3 loads are recommended (0.5, 2 and 4 μl).
For most applications a sample load of 0.2 μg of chlorophyll/well will give a RbcL signal in this range.
Positive control: a 2 μl load per well is optimal for most chemiluminescent detection systems. Higher standard concentration
needs to be used to allow detection by Coomasie stains. Such gels with higher standard concentration can not be used for
quantitation using chemiluminescence.
This standard is stabilized and ready and does not require heating before loading on the gel.
Please note that this product contains 10% glycerol and might appear as liquid but is provided lyophilized. Allow the product
several minutes to solubilize after adding water. Mix thoroughly but gently Take extra care to mix thoroughly before each use,
as the proteins tend to settle with the more dense layer after freezing.
Expected | apparent MW:
110 | 105 kDa