基本信息 产品详情 公司简介 推荐产品
网站主页 化工产品目录 生物 细胞培养 细胞系 人细胞系 DU4475 CELLS:人乳腺上皮细胞系 DU4475 Cells人乳腺上皮贴壁细胞系(赠送STR基因图谱)
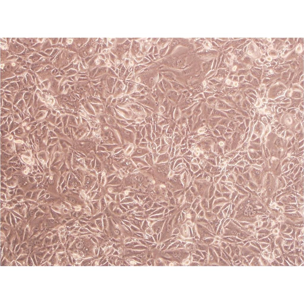
  • DU4475 Cells人乳腺上皮贴壁细胞系(赠送STR基因图谱)
  • DU4475 Cells人乳腺上皮贴壁细胞系(赠送STR基因图谱)
  • DU4475 Cells人乳腺上皮贴壁细胞系(赠送STR基因图谱)

1/3

DU4475 Cells人乳腺上皮贴壁细胞系(赠送STR基因图谱)

DU4475 Cells
询价 1000000Cells/瓶 起订
2000000Cells/瓶 起订
上海 更新日期:2026-02-24

上海宾穗生物科技有限公司

非会员
联系人:刘***
电话:183***
手机:183***
邮箱:129***

产品详情:

中文名称:
DU4475 Cells人乳腺上皮贴壁细胞系(赠送STR基因图谱)
英文名称:
DU4475 Cells
品牌:
ATCC、DSMZ等
产地:
美国、欧洲、德国等
保存条件:
低温避光
纯度规格:
DU4475 Cells人乳腺上皮贴壁细胞系(赠送STR基因图谱)
产品类别:
ATCC细胞库
货号:
详见细胞说明书
种属:
详见细胞说明书
组织:
详见细胞说明书
细胞系:
详见细胞说明书
用途范围:
详见细胞说明书
规格:
1*10^6cells/T25(1瓶)或1ml冻存管(2支)
是否进口:
来源ATCC、DSMZ、ECACC等细胞库
组织来源:
详见细胞说明书
是否是肿瘤细胞:
详见细胞说明书
细胞形态:
详见细胞说明书
生长状态:
详见细胞说明书
靶点:
详见细胞说明书
应用:
详见细胞说明书
器官来源:
详见细胞说明书
品系:
详见细胞说明书
免疫类型:
详见细胞说明书
物种来源:
人源或其它动物来源等
保质期:
可长期保存(液氮低温冻存)

"DU4475 Cells人乳腺上皮贴壁细胞系(赠送STR基因图谱)

生长特性:贴壁生长

背景信息:详见相关文献介绍

┈订┈购(技术服务)┈热┈线:1┈3┈6┈4┈1┈9┈3┈0┈7┈9┈1【微信同号】┈Q┈Q:3┈1┈8┈0┈8┈0┈7┈3┈2┈4;

ATCC细胞库(American Type Culture Colection),该中心一直致力于细胞分类、鉴定和保藏工作。ATCC是全球最大的生物资源保藏中心,ATCC通过行业标准产品、服务和创新解决方案支持全球学术、政府、生物技术、制药、食品、农业和工业领域的科学进步。ATCC提供的服务和定制解决方案包括细胞和微生物培养、鉴定、生物衍生物的开发和生产、性能测试和生物资源保藏服务。美国国家标准协会(ANSI)认可了ATCC标准开发组织,并制定了标准协议,以确保生物材料的可靠性和可重复性。ATCC的使命是为了获取、鉴定、保存、开发、标准化和分发生物资源和生物信息,以提高和应用生物科学知识。

DU4475 Cells人乳腺上皮贴壁细胞系(赠送STR基因图谱)

SVOG Cells;背景说明:卵巢;颗粒 Cells;传代方法:1:2-1:3传代;每周换液2-3次。;生长特性:贴壁;形态特性:详见产品说明书;相关产品有:Panc-1-P细胞、HCC94细胞、B10BR细胞

SNU761 Cells;背景说明:详见相关文献介绍;传代方法:1:2传代;生长特性:贴壁或悬浮,详见产品说明书部分;形态特性:详见产品说明书;相关产品有:NCIH1694细胞、H1755细胞、Bac 1.2F5细胞

S16 Cells;背景说明:Schwann细胞;自发永生;传代方法:1:2-1:3传代;每周换液2-3次。;生长特性:贴壁;形态特性:详见产品说明书;相关产品有:MS751细胞、Hep 3B2细胞、BEL-7404细胞

HeLa229 Cells;背景说明:宫颈癌;女性;传代方法:1:2-1:3传代;每周换液2-3次。;生长特性:贴壁;形态特性:详见产品说明书;相关产品有:RT-BM-1细胞、CA-46细胞、OCI-Ly 7细胞

换液周期:每周2-3次

传代比例:1:2-1:4(首次传代建议1:2)

细胞传代时消化的问题:可以这样说,对于需要消化传代的细胞,每一次的消化都是对这个细胞存活与否,状态HAO与不HAOZui至关重要的考验。很多同学都遇到过这个问题,自己养的细胞开始的几代长的还挺HAO的,可是穿过几代之后就发现自己的细胞,状态越来越差劲了。对于这个问题,可以非常肯定地说,你的消化环节出问题了。你每一次的消化都让细胞受到较大损伤了。所以,越长越差。在消化的过程中,你加入胰酶后,所有细胞都在被胰酶消化着,但是我们忽视了一个问题就是,细胞的生长状态是不一样的,每一个细胞的贴壁情况也是不一样的,有的贴壁牢固,有的贴壁没有那么牢固的,所以,让所有的细胞消化同样的时间对细胞是不公平的,他们受到了差别待遇当然会有脾气啊。我后来对消化的方法进行了改良。争取做到因材施教呵呵。我称之为“四步消化法”。(以难消化细胞为例);具体操作:1)首先不加胰酶,倒掉旧培养基加入少量新培养基洗1-2遍,(这是前奏,即为第一步,目的是将漂浮着的死细胞之类尽量洗掉。2)然后再加入少量新培养基直接吹打一遍,这一遍是把贴壁不牢固的细胞吹打下来。再用培养基洗一遍,两次所得悬混合传入新瓶。即为第二步(你可以将这些传入新瓶培养,以与后面胰酶消化过的细胞对比观察看谁长的更HAO一点就知道该细胞对胰酶的敏感度了。)3)吸干净瓶内剩余体,加入0.3ml左右的胰酶润洗一遍,吸掉弃之,再加入1ml左右的胰酶消化。消化的同时置于显微镜下观察,待细胞与细胞之间间隙明显的时候立即吸掉胰酶与干净子弹头里备用,加入新培养基开始吹打,吹打2-3遍后吸取悬于试管或新瓶暂存。用2ml左右新培养基洗一遍与前面的混合。(你也可以传入新瓶培养,以与后面及前面的做对比。)这是第三步。4)然后把前面刚吸出来的胰酶重新加进去瓶里继续消化剩余的贴壁牢固的细胞。当然你也可以用新的胰酶,如果你们那比较富裕的话,呵呵。继续镜下观察,待剩余细胞间隙明显,细胞独立开来的时候,吸掉胰酶,加入新培养基吹打。悬传入新瓶培养(根据实际情况你自己把握)。这是第四步。其实还可以有第五步,对于别难消化的细胞和对胰酶别敏感的细胞的话,你可以继续加第五步甚至第六步。为了细胞更HAO的状态,更漂亮的样子,没办法,你必须分多批多次消化,这样才能Zui大限度地将胰酶对细胞的损伤降到Zui低,保证细胞的状态能够ZuiYOU。当然了,如果细胞是属于那种很容易消化的细胞,像RAW264.7,仅仅第二步就搞定了。就没必要第三步第四步了。这个是需要你在实验中能够自己用心去体会的。建议你接受一个新细胞时把各步消化的细胞分别培养起来做比较,去摸索HAO细胞对胰酶的要求。便于你后续实验的开展。将细胞消化分成这几步,除了是为了避免胰酶对细胞的损伤之外,还有一个更重要的作用就是,可以Zui大程度地把细胞吹打成单个单个的状态,不成片不连体。

产品包装:复苏发货:T25培养瓶(一瓶)或冻存发货:1ml冻存管(两支)

来源说明:细胞主要来源ATCC、ECACC、DSMZ、RIKEN等细胞库

物种来源:人源、鼠源等其它物种来源

┈订┈购(技术服务)┈热┈线:1┈3┈6┈4┈1┈9┈3┈0┈7┈9┈1【微信同号】┈Q┈Q:3┈1┈8┈0┈8┈0┈7┈3┈2┈4;

NCI-H1105 Cells;背景说明:详见相关文献介绍;传代方法:每周换液2-3次;生长特性:悬浮生长;形态特性:详见产品说明书;相关产品有:NCI-H1694细胞、RKO-E6细胞、Sup T-1细胞

2780 Cells;背景说明:详见相关文献介绍;传代方法:1:2传代;生长特性:贴壁生长;形态特性:上皮细胞样;相关产品有:aTC1 Clone 6细胞、T-47D细胞、HCC-1428细胞

GM16635 Cells(提供STR鉴定图谱)

HAP1 HERPUD2 (-) 2 Cells(提供STR鉴定图谱)

HCC435 Cells(提供STR鉴定图谱)

形态特性:上皮细胞样

DU4475 Cells人乳腺上皮贴壁细胞系(赠送STR基因图谱)

公司细胞库冻存并保种有2300多种各类细胞系。针对每种不同的细胞系,公司摸索并积累了大量细胞培养条件和YOU化参数,为您的细胞实验保驾护航。细胞培养是生命科学研究中Zui基础、也是Zui常用的实验手段。从冻存→复苏→传代→实验,在每一次细胞培养的过程中我们都是精心呵护,小心培养,心里都是默默承诺:我要护你一世周全!可是可是……无数次细胞都因污染而离我而去,投入的不只是我们貌美如花的青春,还有那一去不复返的经费!在细胞生物学,生物化学,免疫学,神经生物学,病理学……只要涉及细胞的研究领域,都面临着支原体污染的威胁。在众多污染物中,也就属支原体Zui狡猾了,他Zui善于隐藏自己,因为被支原体污染的细胞不会马上死亡,但会改变细胞的新陈代谢,甚至会改变细胞的基因表达谱,我们就这样被欺骗了无数次,谁让我们就是个看“颜值”的花痴了。可是我们通过被虐了几百次的经验中总结出来,当你的细胞出现了这些症状时:生长速率改变;活性减弱;形态改变;染色体畸变;转染效率显著降低;细胞复苏后存活率降低……。那你就得千万小心了,也许你的细胞已经被支原体欺凌了!

8FR23 Cells(提供STR鉴定图谱)

Abcam MCF-7 KEAP1 KO Cells(提供STR鉴定图谱)

ATL-55T Cells(提供STR鉴定图谱)

BayGenomics ES cell line RRO143 Cells(提供STR鉴定图谱)

BayGenomics ES cell line YHB219 Cells(提供STR鉴定图谱)

CCMi007-A Cells(提供STR鉴定图谱)

DA01085 Cells(提供STR鉴定图谱)

DCH-4 Cells(提供STR鉴定图谱)

GM01576 Cells(提供STR鉴定图谱)

10RGB Cells;背景说明:详见相关文献介绍;传代方法:1:2-1:3传代;每周换液2-3次。;生长特性:贴壁或悬浮,详见产品说明书部分;形态特性:详见产品说明书;相关产品有:OCM1A细胞、TKB-1细胞、CEM-T4细胞

YES-2 Cells;背景说明:食管鳞癌;男性;传代方法:1:2-1:3传代;每周换液2-3次。;生长特性:贴壁;形态特性:详见产品说明书;相关产品有:NCI-H889细胞、OCI-LY-18细胞、BNL 1MEA.7R.1细胞

┈订┈购(技术服务)┈热┈线:1┈3┈6┈4┈1┈9┈3┈0┈7┈9┈1【微信同号】┈Q┈Q:3┈1┈8┈0┈8┈0┈7┈3┈2┈4;

BNL CL2 Cells;背景说明:详见相关文献介绍;传代方法:1:2传代;生长特性:贴壁生长 ;形态特性:详见产品说明书;相关产品有:BT 20细胞、MDA2B细胞、Hs-600-T细胞

RN Cells;背景说明:详见相关文献介绍;传代方法:1:2-1:3传代;每周换液2-3次。;生长特性:贴壁或悬浮,详见产品说明书部分;形态特性:详见产品说明书;相关产品有:SCC-4细胞、4T1细胞、NCI-H1963细胞

3T6 Swiss Albino Cells;背景说明:胚胎;成纤维;自发永生;雄性;Swiss albino;传代方法:1:2-1:3传代;每周换液2-3次。;生长特性:贴壁;形态特性:详见产品说明书;相关产品有:D283-MED细胞、NCI H23细胞、TI-73细胞

NCIH2085 Cells;背景说明:详见相关文献介绍;传代方法:1:3-1:6传代 ;生长特性:贴壁生长;形态特性:上皮细胞;相关产品有:Hs840T细胞、Mino细胞、IEC6细胞

DU4475 Cells人乳腺上皮贴壁细胞系(赠送STR基因图谱)

NCI-H226 Cells;背景说明:1980年分离建立。;传代方法:1:2传代;生长特性:贴壁生长;形态特性:上皮细胞样;相关产品有:Doubling time: ~50 hours (ATCC).细胞、H820细胞、RA细胞

FHs74Int Cells;背景说明:小肠;传代方法:1:2-1:3传代;每周换液2-3次。;生长特性:贴壁;形态特性:详见产品说明书;相关产品有:D341细胞、KP-N-RT-BM细胞、CAL85-1细胞

SHG44 Cells;背景说明:SHG-44细胞株源自一例2-3级前沿淋巴结星细胞瘤。染色体组型显示89.2%的超三倍体。在Wistar大鼠和裸鼠中接种都能成功。细胞含有神经系统特有的S-100蛋白和星细胞特有的GFA蛋白;传代方法:消化3-5分钟。1:2。3天内可长满。;生长特性:贴壁生长;形态特性:成纤维细胞样;相关产品有:HEK293S细胞、SGC-7901/DDP细胞、T24(ECV304)细胞

MEG01 Cells;背景说明:MEG-01细胞株源自一位CML患者成巨核细胞转换期的骨髓细胞。细胞质因子VIII和表面球蛋白IIb/IIIa,-Schiff(PAS)反应,α醋酸酯酶和酸性酶阳性。髓过氧化物酶,α酯酶,化醋酸AS-D酯酶和碱性酶阴性。用单克隆抗体BA-1(抗B细胞,粒性白细胞),HPL-3(抗球蛋白IIb/IIIa)和20.3(抗单核细胞,血小板)染色成阳性。其他淋巴和骨髓类抗体成阴性。;传代方法:1:2传代。3天内可长满。;生长特性:悬浮生长;形态特性:淋巴母细胞样;相关产品有:OVCAR4细胞、Hs706T细胞、Murine Long bone Osteocyte-Y4细胞

PE/CA-PJ34 (clone C12) Cells;背景说明:详见相关文献介绍;传代方法:1:2传代;生长特性:贴壁生长;形态特性:上皮样;相关产品有:MOLT 4细胞、Swiss-3T3细胞、H-2087细胞

293T Cells;背景说明:293细胞株插入SV40T-抗原的温度敏感基因后产生的高转染效率的衍生株称为293T。;传代方法:1:2传代;生长特性:贴壁生长;形态特性:上皮样;相关产品有:CMT-64细胞、HL-60 clone15细胞、SMA560细胞

H1355 Cells;背景说明:详见相关文献介绍;传代方法:每周换液2次。;生长特性:悬浮生长;形态特性:详见产品说明书;相关产品有:NBL-3细胞、SN-12C细胞、NCI-H250细胞

343 MG Cells;背景说明:详见相关文献介绍;传代方法:1:2传代;生长特性:贴壁生长 ;形态特性:详见产品说明书;相关产品有:SUD6细胞、alpha-TC1.6细胞、H-747细胞

H-460 Cells;背景说明:该细胞1982年由A.F.Gazdar建系,源自一位患有大细胞肺癌的男性的胸腔积液。该细胞角蛋白、波形蛋白阳性。;传代方法:1:2传代;生长特性:贴壁生长;形态特性:上皮样;相关产品有:GLC-82细胞、RT-4细胞、B16F0细胞

HEK293FT Cells;背景说明:该细胞稳定表达SV40大T抗原,并且促进最适病毒产物的产生。;传代方法:1:2传代;生长特性:悬浮生长;形态特性:圆形;相关产品有:U-87-MG细胞、251MG细胞、B16F10细胞

HEK293FT Cells;背景说明:该细胞稳定表达SV40大T抗原,并且促进最适病毒产物的产生。;传代方法:1:2传代;生长特性:悬浮生长;形态特性:圆形;相关产品有:U-87-MG细胞、251MG细胞、B16F10细胞

COV 504 Cells;背景说明:详见相关文献介绍;传代方法:1:2传代;生长特性:贴壁生长;形态特性:上皮细胞;相关产品有:HGBEC细胞、NCI-H520细胞、L-132细胞

SJSA1 Cells;背景说明:详见相关文献介绍;传代方法:1:5-1:10传代;每周换液2-3次。;生长特性:贴壁生长;形态特性:成纤维细胞;相关产品有:L2细胞、CL34细胞、SHG44细胞

H-1404 Cells;背景说明:详见相关文献介绍;传代方法:1:2-1:3传代;每周换液2-3次。;生长特性:贴壁或悬浮,详见产品说明书部分;形态特性:详见产品说明书;相关产品有:RPMI.8226细胞、CCC-HSF-1细胞、HTR-8细胞

SKNSH Cells;背景说明:SK-N-SH细胞系由J.L.Bieder建系,它与SK-N-MC所不同的是倍增时间较长且多巴胺-β-羟基酶水平较高。 SK-N-SH在细胞介导的细胞毒性试验中用作靶细胞系。;传代方法:1:2传代;生长特性:悬浮生长;形态特性:上皮细胞样;相关产品有:OVCAR 432细胞、Pfeiffer细胞、AR41P细胞

TM4 Cells;背景说明:该细胞在FSH的作用下cAMP产量增加,但对LH无反应;与原代Sertoli细胞相比,该细胞对FSH的反应性降低。据报道,该细胞组成性纤溶酶原激活物的产量很低,但可被FSH刺激产生,受维刺激可有大幅增高。该细胞可产生视黄醇结合蛋白、组织纤溶酶原激活物和转铁蛋白;表达FSH受体、雄激素受体和孕激素受体。鼠痘病毒阴性。;传代方法:1:3-1:6传代;每周2-3次。;生长特性:贴壁生长;形态特性:上皮样;相关产品有:UC-3细胞、CWR22R-V1细胞、TE-11细胞

NCIH716 Cells;背景说明:从一位经5-尿嘧啶治疗的患者腹水中得到的细胞建立了这个细胞株。 与其它结直肠癌细胞系不同,这株细胞有多巴脱羧酶,细胞质中有核心致密的内分泌型颗粒。 这株细胞不表达TAG-72 或CA19-9抗原,也不生成癌胚抗原(CEA);传代方法:1:3—1:6传代,每周换液2—3次;生长特性:悬浮生长,聚团,少数贴壁;形态特性:上皮细胞样;相关产品有:GM03573A细胞、3D4/21细胞、AMJ2C8细胞

LIM 1215 Cells;背景说明:结直肠癌;男性;传代方法:1:2-1:3传代;每周换液2-3次。;生长特性:贴壁;形态特性:详见产品说明书;相关产品有:U-87细胞、DF1细胞、H1573细胞

Roswell Park Memorial Institute 1846 Cells;背景说明:详见相关文献介绍;传代方法:1:2-1:3传代;每周换液2-3次。;生长特性:贴壁或悬浮,详见产品说明书部分;形态特性:详见产品说明书;相关产品有:PLC PRF 5细胞、HuT-102细胞、GM02219细胞

RT112 Cells;背景说明:详见相关文献介绍;传代方法:1:2-1:3传代;每周换液2-3次。;生长特性:贴壁或悬浮,详见产品说明书部分;形态特性:详见产品说明书;相关产品有:RS4;11细胞、P 815细胞、HaCaT细胞

NCI-H1993 Cells;背景说明:详见相关文献介绍;传代方法:1:2—1:6传代;生长特性:贴壁或悬浮,详见产品说明书部分;形态特性:详见产品说明书;相关产品有:PTK 1细胞、HuH-6细胞、P3/NS1/Ag4-1细胞

Nthy ori 3.1 Cells;背景说明:甲状腺;SV40转化;女性;传代方法:1:2-1:3传代;每周换液2-3次。;生长特性:贴壁;形态特性:详见产品说明书;相关产品有:SKOV-3细胞、CAMA1细胞、RDES细胞

JiyoyeP-2003 Cells;背景说明:详见相关文献介绍;传代方法:每周2-3次。;生长特性:悬浮生长;形态特性:淋巴母细胞;相关产品有:UCLA SO M14细胞、B5537SKIN细胞、Panc813细胞

HET1A Cells;背景说明:食管;上皮细胞;SV40转化;男性;传代方法:1:2-1:3传代;每周换液2-3次。;生长特性:贴壁;形态特性:详见产品说明书;相关产品有:COR-L279细胞、Mv 1 Lu细胞、HAVSMC细胞

TE 32 Cells;背景说明:详见相关文献介绍;传代方法:1:2-1:4传代,3-4天换液1次。;生长特性:贴壁生长;形态特性:梭型和大的多核细胞;相关产品有:Pro-5 Lec1.3c细胞、T-ALL 1细胞、NCI-H23细胞

HPCASRi002-A Cells(提供STR鉴定图谱)

JHU060i-2 Cells(提供STR鉴定图谱)

MCW048i-40001845 Cells(提供STR鉴定图谱)

ND24979 Cells(提供STR鉴定图谱)

PR00841 Cells(提供STR鉴定图谱)

SK-RC-38 Cells(提供STR鉴定图谱)

Ubigene A-549 TGFB2 KO Cells(提供STR鉴定图谱)

V79-122D1 Cells(提供STR鉴定图谱)

3B8 [Mouse hybridoma against T.tridentatus TP-1] Cells(提供STR鉴定图谱)

TMD8 Cells;背景说明:弥漫大B淋巴瘤;男性;传代方法:1:2-1:3传代;每周换液2-3次。;生长特性:悬浮;形态特性:详见产品说明书;相关产品有:UMNSAH/DF-1细胞、H-1915细胞、SNU387细胞

SW 982 Cells;背景说明:详见相关文献介绍;传代方法:1:2-1:3传代;每周换液2-3次。;生长特性:贴壁或悬浮,详见产品说明书部分;形态特性:详见产品说明书;相关产品有:Danio rerio Gill细胞、UWB1.289细胞、WERI-Rb 1细胞

COC1/CDDP Cells;背景说明:详见相关文献介绍;传代方法:1:2-1:3传代;每周换液2-3次。;生长特性:贴壁或悬浮,详见产品说明书部分;形态特性:详见产品说明书;相关产品有:UCLA RO-81A-1细胞、IFRS1细胞、DHL-6细胞

MDA-MB-361 Cells;背景说明:该细胞源自40岁女性乳腺癌的脑转移组织。;传代方法: 1:2—1:6传代,每周换液2—3次;生长特性:松散贴壁生长;形态特性:上皮细胞样;相关产品有:LICR-LON-HN6细胞、FU-MMT-1细胞、Walker256-TC细胞

P 815 Cells;背景说明:肥大细胞瘤;雄性;DBA/2;传代方法:1:2-1:3传代;每周换液2-3次。;生长特性:悬浮;形态特性:详见产品说明书;相关产品有:SPCA1细胞、SNU354细胞、EU-3细胞

EAC Cells;背景说明:艾氏腹水瘤;传代方法:1:2-1:3传代;每周换液2-3次。;生长特性:半贴壁;形态特性:详见产品说明书;相关产品有:U-373 MG细胞、Acanthosis Nigricans 3rd attempt-CArcinoma细胞、Swiss-3T3细胞

BE2_C Cells;背景说明:神经母细胞瘤;骨髓转移;男性;传代方法:1:2-1:3传代;每周换液2-3次。;生长特性:贴壁;形态特性:详见产品说明书;相关产品有:SJRH30细胞、HN4细胞、AE1201细胞

HSCT6 Cells;背景说明:详见相关文献介绍;传代方法:1:2传代;生长特性:贴壁生长;形态特性:详见产品说明书;相关产品有:LSECs细胞、BI-Mel细胞、SVGp12细胞

MeT-5A Cells;背景说明:详见相关文献介绍;传代方法:1:2传代;生长特性:贴壁生长;形态特性:详见产品说明书;相关产品有:A-549细胞、SK-ES1细胞、PANC 327细胞

Colo741 Cells;背景说明:详见相关文献介绍;传代方法:1:2传代;生长特性:贴壁生长;形态特性:详见产品说明书;相关产品有:KYSE-410细胞、EnCa1细胞、TE671细胞

P-3J Cells;背景说明:详见相关文献介绍;传代方法:每周2-3次。;生长特性:悬浮生长;形态特性:淋巴母细胞;相关产品有:TE14细胞、NCI-H1944细胞、VMCUB-1细胞

L-02 Cells;背景说明:详见相关文献介绍;传代方法:1:2-1:3传代;每周换液2-3次。;生长特性:贴壁或悬浮,详见产品说明书部分;形态特性:详见产品说明书;相关产品有:H4IIE细胞、H-2330细胞、ECC 12细胞

L 1210 Cells;背景说明:该细胞源于用0.2%甲基胆蒽(溶解)涂抹雌性小鼠的皮肤诱发的肿瘤,鼠痘病毒阴性。;传代方法:1:2传代;生长特性:悬浮生长;形态特性:淋巴母细胞样;相关产品有:BHP10-3细胞、NCI-SNU-5细胞、NCI-H2073细胞

SK-BR-3 Cells;背景说明:这株细胞源自胸水。没有病毒颗粒。亚显微结构特征包括微丝和桥粒,肝糖原颗粒,大溶酶体,成束的细胞质纤丝。SK-BR-3细胞株过表达HER2/c-erb-2基因产物。;传代方法:消化3-5分钟,1:2,3天内可长满;生长特性:贴壁生长;形态特性:上皮样;相关产品有:KMS11细胞、CAMA-1细胞、OVCAR 432细胞

BRL3A Cells;背景说明:详见相关文献介绍;传代方法:1:2-1:3传代;每周换液2-3次。;生长特性:贴壁或悬浮,详见产品说明书部分;形态特性:详见产品说明书;相关产品有:WEHI-164细胞、NTera-2D1细胞、COLO-205细胞

PANC0203 Cells;背景说明:详见相关文献介绍;传代方法:1:2传代;生长特性:贴壁生长;形态特性:上皮样;相关产品有:SK-BR3细胞、SNU423细胞、HeLa 229细胞

H1954 Cells;背景说明:详见相关文献介绍;传代方法:1:2-1:3传代;每周换液2-3次。;生长特性:贴壁或悬浮,详见产品说明书部分;形态特性:详见产品说明书;相关产品有:Eca109细胞、HEK-293-FT细胞、EAC细胞

PANC0403 Cells;背景说明:详见相关文献介绍;传代方法:1:2传代;生长特性:贴壁生长;形态特性:上皮样;相关产品有:L-540细胞、RGE细胞、A704细胞

A704 Cells;背景说明:详见相关文献介绍;传代方法:1:3—1:4传代,每周换液2-3次;生长特性:贴壁生长;形态特性:上皮细胞样;相关产品有:VP229细胞、HFLS细胞、Hs606细胞

WSU-HN13 Cells;背景说明:舌鳞癌;女性;传代方法:1:2-1:3传代;每周换液2-3次。;生长特性:贴壁;形态特性:详见产品说明书;相关产品有:RPMI 8402细胞、H2073细胞、DAN-G细胞

Li-7 Cells;背景说明:人肝癌细胞株。这株细胞从裸鼠体外移植瘤中建立。;传代方法:1:2传代;生长特性:贴壁生长 ;形态特性:详见产品说明书;相关产品有:NCTC clone 929细胞、Balb/3T3-4-Cl31细胞、VM-CUB-I细胞

PL 5 Cells;背景说明:详见相关文献介绍;传代方法:1:2传代;生长特性:贴壁生长;形态特性:上皮样;相关产品有:U 266细胞、HT144-mel细胞、D10.G4.1细胞

LLC-PK1 Cells;背景说明:肾;自发永生;Hampshire;传代方法:1:2-1:3传代;每周换液2-3次。;生长特性:贴壁;形态特性:详见产品说明书;相关产品有:TR146细胞、RBE4细胞、A549/ATCC细胞

A-875 Cells;背景说明:NGF受体阳性。;传代方法:1:3传代;3-4天1次。;生长特性:贴壁生长;形态特性:多角形;相关产品有:OVCA-433细胞、Helacyton gartleri细胞、MIA Paca2细胞

EFM-192C Cells;背景说明:详见相关文献介绍;传代方法:1:2-1:3传代;每周换液2-3次。;生长特性:贴壁或悬浮,详见产品说明书部分;形态特性:详见产品说明书;相关产品有:C-33A细胞、MDAPC2B细胞、293-H细胞

DU4475 Cells人乳腺上皮贴壁细胞系(赠送STR基因图谱)

Ra #1 Cells;背景说明:详见相关文献介绍;传代方法:1:2-1:3传代;每周换液2-3次。;生长特性:贴壁或悬浮,详见产品说明书部分;形态特性:详见产品说明书;相关产品有:PC-10细胞、MDAMB157细胞、H-1781细胞

Eca 109 Cells;背景说明:1973年建系,来自人食管中段鳞癌组织,小块法原代培养建系。BALB/c裸鼠移植成瘤。;传代方法:1:2-1:3传代;每周换液2-3次。;生长特性:贴壁;形态特性:上皮细胞样;相关产品有:HO8910/PM细胞、PC 12细胞、SNU869细胞

Hep G2 Cells;背景说明:详见相关文献介绍;传代方法:1:2-1:3传代;每周换液2-3次。;生长特性:贴壁或悬浮,详见产品说明书部分;形态特性:详见产品说明书;相关产品有:SKLU1细胞、NCI-H187细胞、C8166-CD4细胞

NT2-D1 Cells;背景说明:详见相关文献介绍;传代方法:1:2-1:3传代;每周换液2-3次。;生长特性:贴壁或悬浮,详见产品说明书部分;形态特性:详见产品说明书;相关产品有:Lewis Lung细胞、SK-MES细胞、A253细胞

P3X63Ag8.653 Cells;背景说明:详见相关文献介绍;传代方法:1:2-1:3传代;每周换液2-3次。;生长特性:贴壁或悬浮,详见产品说明书部分;形态特性:详见产品说明书;相关产品有:SW 48细胞、CMT-167细胞、Beta-TC-6细胞

HuP-T4 Cells;背景说明:详见相关文献介绍;传代方法:1:2传代;生长特性:贴壁生长;形态特性:详见产品说明书;相关产品有:LAN-6细胞、OCI/AML-2细胞、EL4细胞

H-2073 Cells;背景说明:详见相关文献介绍;传代方法:1:3-1:6传代 ;生长特性:贴壁生长;形态特性:上皮细胞;相关产品有:Sf21细胞、KMB17细胞、Huh-7细胞

MG63 Cells;背景说明:该细胞源自14岁患有骨肉瘤的白人男性;聚次黄嘌呤核苷-聚胞嘧啶核苷酸、和D可以诱导产生高水平的干扰素。该细胞表达TGF-β受体Ⅰ和Ⅱ。 ;传代方法:1:4-1:8传代;每周换液2-3次。;生长特性:贴壁生长;形态特性:成纤维细胞;相关产品有:SW 1271细胞、VP 229细胞、SW 13细胞

MFM-223 Cells;背景说明:详见相关文献介绍;传代方法:1:2-1:3传代;每周换液2-3次。;生长特性:贴壁或悬浮,详见产品说明书部分;形态特性:详见产品说明书;相关产品有:SKLU-1细胞、D324细胞、NCIH1915细胞

┈订┈购(技术服务)┈热┈线:1┈3┈6┈4┈1┈9┈3┈0┈7┈9┈1【微信同号】┈Q┈Q:3┈1┈8┈0┈8┈0┈7┈3┈2┈4;

Human Kidney-2 Cells;背景说明:该细胞属源于正常肾的近曲小管细胞,通过导入HPV-16 E6/E7基因而获得永生化。将含有HPV-16 E6/E7基因的重组的逆转录病毒载体pLXSN 16 E6/E7转染外生包装细胞Psi-2,Psi-2细胞产生的病毒再去感染兼嗜性包装细胞系PA317,最后将PA317产生的病毒颗粒导入正常的肾皮质近曲小管细胞。尽管pLXSN 16 E6/E7中含有新霉素抗性,但未用G418筛选转导克隆。Southern和FISH分析显示HK-2细胞来源于单克隆。PCR检测证实HK-2细胞基因组中含有E6/E7基因。;传代方法:1:4传代;2-3天换液1次;生长特性:贴壁生长;形态特性:上皮样;相关产品有:NCI-H1975细胞、NCI-H1651细胞、EAHY-926细胞

HCC-44 Cells;背景说明:详见相关文献介绍;传代方法:1:2-1:3传代;每周换液2-3次。;生长特性:贴壁或悬浮,详见产品说明书部分;形态特性:详见产品说明书;相关产品有:NU-GC-2细胞、aNK细胞、SK-SH-SY5Y细胞

LNCaP C4-2B Cells;背景说明:前列腺癌;左锁骨上淋巴结转移;男性;传代方法:1:2-1:3传代;每周换液2-3次。;生长特性:贴壁;形态特性:详见产品说明书;相关产品有:BNCL2细胞、PCI-4M细胞、NCIH1618细胞

KMS11 Cells;背景说明:多发性骨髓瘤;传代方法:1:2-1:3传代;每周换液2-3次。;生长特性:悬浮;形态特性:详见产品说明书;相关产品有:WM-239A细胞、Kit225/K6细胞、L5178-R细胞

BayGenomics ES cell line NPX002 Cells(提供STR鉴定图谱)

BayGenomics ES cell line XC356 Cells(提供STR鉴定图谱)

CPTC-CTNNBL1-1 Cells(提供STR鉴定图谱)

MARL-5 Cells(提供STR鉴定图谱)

SC17.115 Cells(提供STR鉴定图谱)

HPB-SL 25S Cells(提供STR鉴定图谱)

"



DU4475 Cells人乳腺上皮贴壁细;复苏细胞系;细胞STR鉴定报告;细胞STR鉴定图谱;ATCC|DSMZ细胞库;

公司简介

公司提供ATCC、DSMZ、ECACC、NCI-DTP、RCB(Riken)等细胞系

成立日期 (9年)
注册资本 635万人民币
员工人数 50-100人
年营业额 ¥ 1亿以上
经营模式 贸易,工厂,服务
主营行业 细胞培养,细胞生物学,生物技术服务

DU4475 Cells人乳腺上皮贴壁细胞系(赠送STR基因图谱)相关厂家报价

内容声明
拨打电话 立即询价