基本信息 产品详情 公司简介 推荐产品
网站主页 化工产品目录 生物 细胞培养 细胞系 大鼠细胞系 MADB106 CELLS|大鼠乳腺癌贴壁细胞 MADB106 Cells大鼠乳腺癌贴壁细胞系(赠送STR基因图谱)
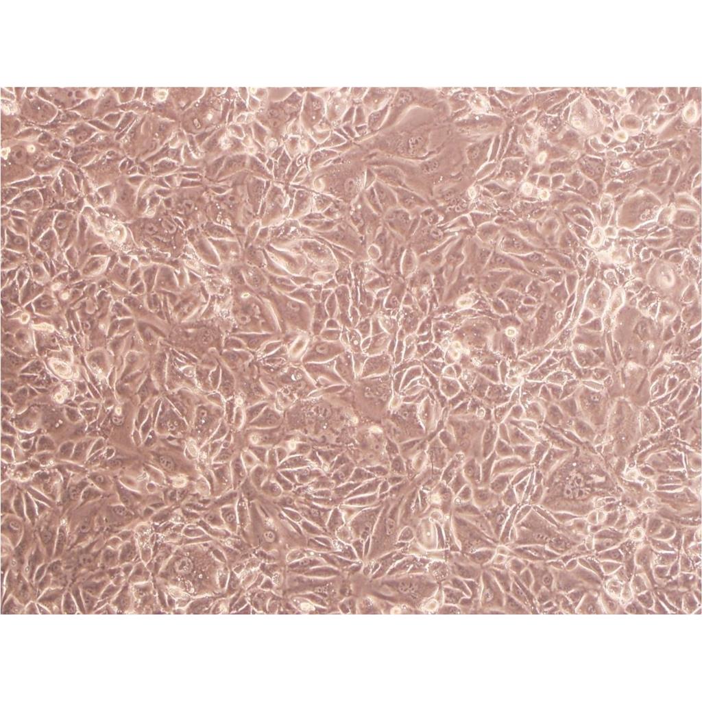
  • MADB106 Cells大鼠乳腺癌贴壁细胞系(赠送STR基因图谱)
  • MADB106 Cells大鼠乳腺癌贴壁细胞系(赠送STR基因图谱)
  • MADB106 Cells大鼠乳腺癌贴壁细胞系(赠送STR基因图谱)

1/3

MADB106 Cells大鼠乳腺癌贴壁细胞系(赠送STR基因图谱)

MADB106 Cells
询价 1000000Cells/瓶 起订
2000000Cells/瓶 起订
上海 更新日期:2026-03-01

上海宾穗生物科技有限公司

非会员
联系人:刘***
电话:183***
手机:183***
邮箱:129***

产品详情:

中文名称:
MADB106 Cells大鼠乳腺癌贴壁细胞系(赠送STR基因图谱)
英文名称:
MADB106 Cells
品牌:
ATCC、DSMZ等
产地:
美国、欧洲、德国等
保存条件:
低温避光
纯度规格:
MADB106 Cells大鼠乳腺癌贴壁细胞系(赠送STR基因图谱)
产品类别:
ATCC细胞库
货号:
详见细胞说明书
种属:
详见细胞说明书
组织:
详见细胞说明书
细胞系:
详见细胞说明书
用途范围:
详见细胞说明书
规格:
1*10^6cells/T25(1瓶)或1ml冻存管(2支)
是否进口:
来源ATCC、DSMZ、ECACC等细胞库
组织来源:
详见细胞说明书
是否是肿瘤细胞:
详见细胞说明书
细胞形态:
详见细胞说明书
生长状态:
详见细胞说明书
靶点:
详见细胞说明书
应用:
详见细胞说明书
器官来源:
详见细胞说明书
品系:
详见细胞说明书
免疫类型:
详见细胞说明书
物种来源:
人源或其它动物来源等
保质期:
可长期保存(液氮低温冻存)

"MADB106 Cells大鼠乳腺癌贴壁细胞系(赠送STR基因图谱)

生长特性:贴壁生长

背景信息:详见相关文献介绍

┈订┈购(技术服务)┈热┈线:1┈3┈6┈4┈1┈9┈3┈0┈7┈9┈1【微信同号】┈Q┈Q:3┈1┈8┈0┈8┈0┈7┈3┈2┈4;

贴壁细胞的传代培养,详细步骤如下:首先倒掉培养基,在这一步骤可以收集一些细胞上清做支原体检测;加入胰蛋白酶,一般T25是加2mL,盖好瓶盖,摇晃T25培养瓶,使胰蛋白酶均匀覆盖在细胞表面,放入培养箱2-3min,期间可在显微镜下观察,看到大部分细胞变圆,即可放入超净台,加入2倍的完全培养基,这里就是加4mL培养基,终止消化;将含有胰蛋白酶,细胞和培养基一起转移到离心管中,1000rpm/3min离心,去掉上清;新鲜的完全培养基重悬,根据细胞的生长特性和后续的实验需求进行传代,比如我养的Hepa1-6就长的比较快,不是着急用的话,我就会按1E6个细胞/T75培养瓶进行传代;但如果后两天要用,就会适当多传一点;还可通过显微镜计数后,直接用于细胞铺板,继续后续的实验。

MADB106 Cells大鼠乳腺癌贴壁细胞系(赠送STR基因图谱)

NCI-HUT-596 Cells;背景说明:详见相关文献介绍;传代方法:1:4-1:8传代;每周换液2-3次。;生长特性:贴壁生长;形态特性:上皮样;相关产品有:675T细胞、A 253细胞、CWR22Rv1细胞

IPEC-1 Cells;背景说明:小肠;上皮细胞;自发永生;传代方法:1:2-1:3传代;每周换液2-3次。;生长特性:贴壁;形态特性:详见产品说明书;相关产品有:P3 (Jiyoye)细胞、CCRF/CEM/0细胞、SKNO1细胞

NBL-2 Cells;背景说明:详见相关文献介绍;传代方法:1:2传代;生长特性:贴壁生长 ;形态特性:详见产品说明书;相关产品有:NPC-039细胞、Farage Original Line细胞、EFM192B细胞

C32 [Human melanoma] Cells;背景说明:详见相关文献介绍;传代方法:1:2-1:4传代,2天换液1次。;生长特性:贴壁生长;形态特性:详见产品说明书;相关产品有:T/GHA-VSMC细胞、WC00097细胞、SCC-15细胞

换液周期:每周2-3次

传代比例:1:2-1:4(首次传代建议1:2)

细胞冻存基本方法:1.细胞:选对数生长期细胞,收集细胞24小时前换一次。2.计数:按常规方法把细胞制成细胞悬,计数,令细胞密度达5×10(6)/ml,离心去上清,吸入离心管中。3.冻存:先用培养9分+DMSO 1分(或甘油)配成10%的DMSO冻存,按上法一滴滴加入离心管中,然后用吸管轻轻吹打令细胞重悬。4.分装:分装入无菌安剖中,每安剖加1.5毫升细胞悬。5.封口:用塑料安剖时拧紧瓶口即可;如用火焰封闭安剖口后,仔细检查,定要封严,必要时可浸入蓝色中观察,为安全起见,把安剖缝入纱布小袋中,以防浸入后,融解时因受热发生爆炸伤人;纱袋一端系以线绳,末端扎有小牌,注明:细胞名称,冻存日期,以便日后查找。细胞株(系)的使用,为医学研究和测试工作带来了大的方便。但细胞的传代是有限制的,长期连续传代的细胞,不仅消耗大量的人力和物力,而且细胞的生长与形态等会有一定退变或转化,因而细胞失去原有的遗传性,有时还会由于细胞污染而造成传代中断,种子丢失。因此,在实际工作中常需冻存一定数量的细胞,以备替换使用。细胞冷冻与复苏是细胞培养 室的常规工作和通用技术。

产品包装:复苏发货:T25培养瓶(一瓶)或冻存发货:1ml冻存管(两支)

来源说明:细胞主要来源ATCC、ECACC、DSMZ、RIKEN等细胞库

物种来源:人源、鼠源等其它物种来源

┈订┈购(技术服务)┈热┈线:1┈3┈6┈4┈1┈9┈3┈0┈7┈9┈1【微信同号】┈Q┈Q:3┈1┈8┈0┈8┈0┈7┈3┈2┈4;

Panc-327 Cells;背景说明:详见相关文献介绍;传代方法:1:2传代;生长特性:贴壁生长;形态特性:上皮样;相关产品有:HCEC-12细胞、SN12C细胞、SNU-C2B细胞

CMT 93 Cells;背景说明:结肠癌;C57BL/ICRF;传代方法:1:2-1:3传代;每周换液2-3次。;生长特性:贴壁;形态特性:详见产品说明书;相关产品有:FaDu细胞、Hs445细胞、P3/NS-1细胞

GM21467 Cells(提供STR鉴定图谱)

HAP1 MAP2K6 (-) Cells(提供STR鉴定图谱)

HCu 13 Cells(提供STR鉴定图谱)

形态特性:上皮细胞样

MADB106 Cells大鼠乳腺癌贴壁细胞系(赠送STR基因图谱)

我们都知道世界宇宙浩瀚无,除了我们知道的地球、太阳、月球、银河系以外还有HAO多其他宇宙行星,这样的世界对于很多人来说很陌生稀奇甚至无法想象,这样的世界同样也是我们无法触摸的,然而还有一个微观的世界也是我们无法接触的,这个就是——细胞里的微观世界。对于很多人来说,除了从书本上简单了解植物细胞的知识以外,在行业外人的意识里,细胞还是一个让人一头雾水的词语,甚至都是一个无形的存在,更别提描述和看见这个东西,但是对于行业内的生物科学研究者和医学研究者,这是个经常被运用到的必需之物,用宇宙世界的包含于被包含的关系把细胞的微观世界剖析开来,让我们了解到细胞是什么样的东西及应用和未来世界细胞在生命中的重要作用。细胞发炎——心脏疾病;DNA受损——癌症;细胞能量衰退——肾功能衰竭、关节炎、帕金森氏;老化蛋白堆积——糖尿病、痴呆症、心脑血管疾病;所有的衰老和疾病都是机体内细胞开的损伤、衰老和死亡造成的。所以细胞在科学研究和医学研究中有着重要的应用作用,尤其是原代细胞,它是从机体组织中分离提取培养,它可以作为一种科研材料帮助研究者进行项目研究和课题研究,也可以帮助医学者进行疾病研究和疾病试验,试想从人体组织中分离培养的细胞经过医学药物的试验再运用到人体身上,无论从功效还是结果上效果都是。

Abcam A-549 BMP4 KO Cells(提供STR鉴定图谱)

Abcam Raji STK4 KO Cells(提供STR鉴定图谱)

BayGenomics ES cell line BGB551 Cells(提供STR鉴定图谱)

BayGenomics ES cell line RRS098 Cells(提供STR鉴定图谱)

BayGenomics ES cell line YTA357 Cells(提供STR鉴定图谱)

CHDIi051-A Cells(提供STR鉴定图谱)

DA01865 Cells(提供STR鉴定图谱)

DLD-1/delta-alpha Cells(提供STR鉴定图谱)

GM03072 Cells(提供STR鉴定图谱)

Hs729T Cells;背景说明:详见相关文献介绍;传代方法:1:2传代;每周换液2-3次。;生长特性:贴壁生长;形态特性:成纤维细胞;相关产品有:NIHOVCAR3细胞、EJ细胞、MDA361细胞

KYSE-270 Cells;背景说明:详见相关文献介绍;传代方法:1:5传代;生长特性:贴壁生长;形态特性:上皮样;相关产品有:MCA 38细胞、NCI-H2108细胞、GM02132C细胞

┈订┈购(技术服务)┈热┈线:1┈3┈6┈4┈1┈9┈3┈0┈7┈9┈1【微信同号】┈Q┈Q:3┈1┈8┈0┈8┈0┈7┈3┈2┈4;

MM96L Cells;背景说明:黑色素瘤;淋巴结转移;女性;传代方法:1:2-1:3传代;每周换液2-3次。;生长特性:贴壁;形态特性:详见产品说明书;相关产品有:SF-767细胞、DoHH2细胞、IEC18细胞

UMR 106 Cells;背景说明:注射放射性同位素磷(32P)诱导产生的可移植性大鼠骨肉瘤克隆建立了UMR-106细胞株。 细胞对PTH,前列腺素及破骨甾体有响应。 对PTH的响应度,UMR-106比相关细胞株UMR-108(ATCC CRL-1663)要高。 蛋白激酶C的活化抑制ATP诱导的胞内水平的升高。 起始骨肉瘤和克隆株都是University of Sheffield的T.J. Martin建立的。;传代方法:1:2-1:3传代;每周换液2-3次。;生长特性:贴壁;形态特性:上皮细胞样;相关产品有:SW 1990细胞、BSC1细胞、PC-3M-IE8细胞

CTLL-2 Cells;背景说明:该细胞是源自C57BL/6的细胞毒性的T淋巴细胞。其生长以来IL-2。;传代方法:1:2传代;生长特性:悬浮生长;形态特性:详见产品说明书;相关产品有:M14细胞、CemT4细胞、KLM-1细胞

SKBr3 Cells;背景说明:这株细胞源自胸水。没有病毒颗粒。亚显微结构特征包括微丝和桥粒,肝糖原颗粒,大溶酶体,成束的细胞质纤丝。SK-BR-3细胞株过表达HER2/c-erb-2基因产物。;传代方法:消化3-5分钟,1:2,3天内可长满;生长特性:贴壁生长;形态特性:上皮样;相关产品有:Hs-281-T细胞、HFTF细胞、OAW 42细胞

MADB106 Cells大鼠乳腺癌贴壁细胞系(赠送STR基因图谱)

NCI-H2110 Cells;背景说明:详见相关文献介绍;传代方法:1:3-1:6传代,每周换液2-3次;生长特性:贴壁或悬浮,详见产品说明书部分;形态特性:上皮细胞;相关产品有:E6-1细胞、G-292 clone A141B1细胞、Fukuoka University-Malignant mixed Mullerian Tumor-1细胞

NCM356 Cells;背景说明:详见相关文献介绍;传代方法:1:2传代;生长特性:贴壁生长;形态特性:详见产品说明书;相关产品有:MDCK II细胞、REC1细胞、AK细胞

CORL105 Cells;背景说明:详见相关文献介绍;传代方法:1:2-1:3传代;每周换液2-3次。;生长特性:贴壁或悬浮,详见产品说明书部分;形态特性:详见产品说明书;相关产品有:HT-29细胞、Ontario Cancer Institute-Acute Myeloid Leukemia-3细胞、MDA-MB 361细胞

Eca 109 Cells;背景说明:1973年建系,来自人食管中段鳞癌组织,小块法原代培养建系。BALB/c裸鼠移植成瘤。;传代方法:1:2-1:3传代;每周换液2-3次。;生长特性:贴壁;形态特性:上皮细胞样;相关产品有:HO8910/PM细胞、PC 12细胞、SNU869细胞

DU4475 Cells;背景说明:详见相关文献介绍;传代方法:每周换液2—3次;生长特性:悬浮,多细胞聚集;形态特性:上皮细胞样;相关产品有:LNCaP细胞、MT-4细胞、KTC1细胞

SBC-5 Cells;背景说明:详见相关文献介绍;传代方法:每周换液2-3次。;生长特性:贴壁或悬浮,详见产品说明书部分;形态特性:详见产品说明书;相关产品有:SACC-LM细胞、Soleus clone 8细胞、253J-Bladder-V细胞

BALL-1 Cells;背景说明:详见相关文献介绍;传代方法:1:2传代;生长特性:悬浮生长;形态特性:淋巴母细胞;相关产品有:HepG2细胞、SACC-LM细胞、LCLC-103H细胞

LS 123 Cells;背景说明:详见相关文献介绍;传代方法:1:4—1:8传代,每周换液2—3次;生长特性:贴壁生长;形态特性:上皮样;相关产品有:LS1034细胞、GRSL细胞、YTMLC-90细胞

CAL 120 Cells;背景说明:详见相关文献介绍;传代方法:1:2-1:3传代;每周换液2-3次。;生长特性:贴壁或悬浮,详见产品说明书部分;形态特性:详见产品说明书;相关产品有:CV-1.K细胞、D562细胞、MRC9细胞

GalK1 Cells;背景说明:详见相关文献介绍;传代方法:1:2-1:3传代;每周换液2-3次。;生长特性:贴壁或悬浮,详见产品说明书部分;形态特性:详见产品说明书;相关产品有:CaEs17细胞、T/G HA VSMC细胞、MB-49细胞

GalK1 Cells;背景说明:详见相关文献介绍;传代方法:1:2-1:3传代;每周换液2-3次。;生长特性:贴壁或悬浮,详见产品说明书部分;形态特性:详见产品说明书;相关产品有:CaEs17细胞、T/G HA VSMC细胞、MB-49细胞

SNU878 Cells;背景说明:详见相关文献介绍;传代方法:1:2传代;生长特性:贴壁或悬浮,详见产品说明书部分;形态特性:详见产品说明书;相关产品有:L cell细胞、CMECs细胞、A-875细胞

GA-10 (Clone 4) Cells;背景说明:详见相关文献介绍;传代方法:每2-3天换液;生长特性:悬浮生长 ;形态特性:淋巴母细胞样;相关产品有:JM细胞、CEM细胞、KMY1022细胞

RINm5F Cells;背景说明:胰岛β细胞瘤;雄性;NEDH;传代方法:1:2-1:3传代;每周换液2-3次。;生长特性:贴壁;形态特性:详见产品说明书;相关产品有:AMO1细胞、U138MG细胞、SKHEP-1细胞

HNEpC Cells;背景说明:鼻粘膜;上皮 Cells;传代方法:1:2-1:3传代;每周换液2-3次。;生长特性:贴壁;形态特性:详见产品说明书;相关产品有:Jurkat-77细胞、M-NFS-60细胞、C4-I细胞

Hs706T Cells;背景说明:详见相关文献介绍;传代方法:1:2—1:3传代;每周换液2-3次;生长特性:贴壁生长;形态特性:成纤维细胞;相关产品有:SR786细胞、JC细胞、Panc02细胞

UT7 Cells;背景说明:该细胞于1988年建系;源于一名64岁患有急性粒细胞白血病(AMLM7)的男性的骨髓;对多种细胞因子有反应。;传代方法:维持细胞浓度在1.0-1.5×106cells/ml,1:2传代,2-3天1次。;生长特性:悬浮生长,有1%~2%的细胞可轻微贴壁。;形态特性:圆形;相关产品有:MEG01细胞、TE-671细胞、T/GHA-VSMC细胞

TF-1 Cells;背景说明:详见相关文献介绍;传代方法:维持细胞浓度在3×104-5×105 cells/ml;2-3天换液1次。;生长特性:悬浮生长;形态特性:淋巴母细胞样 ;相关产品有:Chang liver细胞、Alexander cells细胞、hTERT RPE1细胞

Simpson Cells;背景说明:来源于一位61岁的男性浆细胞瘤患者;可产生免疫球蛋白轻链,未检测到重链。;传代方法:按1:2传代,5-6小时可以看到细胞分裂;生长特性:悬浮生长;形态特性:淋巴母细胞样;相关产品有:RERFLCMS细胞、TE-9细胞、UMRC-2细胞

Hs 578.T Cells;背景说明:详见相关文献介绍;传代方法:1:2-1:3传代;每周换液2-3次。;生长特性:贴壁或悬浮,详见产品说明书部分;形态特性:详见产品说明书;相关产品有:OUMS-23细胞、CT26WT细胞、UMUC-14细胞

KAT5 Cells;背景说明:甲状腺癌;女性;传代方法:1:2-1:3传代;每周换液2-3次。;生长特性:贴壁;形态特性:详见产品说明书;相关产品有:HTori-3.1细胞、MHH-CALL2细胞、H-1404细胞

H-2135 Cells;背景说明:详见相关文献介绍;传代方法:1:2-1:3传代;每周换液2-3次。;生长特性:贴壁或悬浮,详见产品说明书部分;形态特性:详见产品说明书;相关产品有:ROS17/28细胞、SKRC20细胞、Epstein-Barr-1细胞

Rat Glomerular Endothelial Cells;背景说明:肾小球;内皮 Cells;传代方法:1:2-1:3传代;每周换液2-3次。;生长特性:贴壁;形态特性:详见产品说明书;相关产品有:NCIH747细胞、JeKo-1细胞、NCI747细胞

hUC-MSC Cells;背景说明:脐带;间充质干 Cells;传代方法:1:2-1:3传代;每周换液2-3次。;生长特性:贴壁;形态特性:详见产品说明书;相关产品有:NCIH378细胞、CHO-ori细胞、MXI细胞

H-1734 Cells;背景说明:详见相关文献介绍;传代方法:1:4-1:6传代。;生长特性:贴壁生长;形态特性:上皮细胞样;相关产品有:JM-1细胞、3T3NIH细胞、HBL-100细胞

HPSI0516i-hapz_3 Cells(提供STR鉴定图谱)

KAL-1 Cells(提供STR鉴定图谱)

Mel-BP Cells(提供STR鉴定图谱)

NH50291 Cells(提供STR鉴定图谱)

R4.2 Cells(提供STR鉴定图谱)

SSMUe003-A Cells(提供STR鉴定图谱)

Ubigene HCT 116 TPCN2 KO Cells(提供STR鉴定图谱)

WAL,FD Cells(提供STR鉴定图谱)

5A2-2-4 Cells(提供STR鉴定图谱)

SU86_86 Cells;背景说明:详见相关文献介绍;传代方法:1:2传代;;生长特性:贴壁生长;形态特性:详见产品说明书;相关产品有:HFL-I细胞、Melan-a细胞、L-Wnt3A细胞

SW1222 Cells;背景说明:详见相关文献介绍;传代方法:1:2-1:3传代;每周换液2-3次。;生长特性:贴壁或悬浮,详见产品说明书部分;形态特性:详见产品说明书;相关产品有:HRA 19细胞、Normal Rat Kidney-49F细胞、HCC941122细胞

NCIH1781 Cells;背景说明:详见相关文献介绍;传代方法:1:2-1:3传代;每周换液2-3次。;生长特性:贴壁或悬浮,详见产品说明书部分;形态特性:详见产品说明书;相关产品有:Jijoye细胞、NRK52E细胞、Sarcoma OSteogenic-2细胞

NCIH740 Cells;背景说明:详见相关文献介绍;传代方法:1:2-1:3传代;每周换液2-3次。;生长特性:贴壁或悬浮,详见产品说明书部分;形态特性:详见产品说明书;相关产品有:95C细胞、NCI-H3255细胞、CCC-HHM-2细胞

293/EBNA Cells;背景说明:详见相关文献介绍;传代方法:1:4-1:10传代;每周2次。;生长特性:贴壁生长;形态特性:上皮细胞样;相关产品有:LS-180细胞、Line 870 Emory University-4细胞、MC3T3, E1 subgroup-4 clone细胞

IPLB-Sf21AE Cells;背景说明:详见相关文献介绍;传代方法:1:2-1:3传代;每周换液2-3次。;生长特性:贴壁或悬浮,详见产品说明书部分;形态特性:详见产品说明书;相关产品有:NCI-H378细胞、NCI-SNU-520细胞、hFOB细胞

OVCAR420 Cells;背景说明:卵巢癌;女性;传代方法:1:2-1:3传代;每周换液2-3次。;生长特性:贴壁;形态特性:详见产品说明书;相关产品有:SiHa细胞、MDA MB 134VI细胞、SF767细胞

MeSoTheliOma-211H Cells;背景说明:MSTO-211H细胞株是1985年从一位肺二相间皮瘤患者的胸水中建株的。这个病人接受过多种药物联合前期化疗。MSTO-211H细胞具有高亲和力的EGF结合位点,并表达神经元特异性烯醇酶(NSE)及人绒毛膜促性腺激素(HCG)的α与β亚基。未检测到左旋多巴胺脱羧酶(DDC),邦巴辛与神经tensin。细胞过表达c-myc原癌基因,并没有观察到基因重排或扩增。V-src,v-abl,v-erbB,c-raf1,Ha-ras,Ki-ras,和N-ras的表达呈阳性。未检测到N-m;传代方法:消化3-5分钟。1:2。3天内可长满。;生长特性:贴壁生长;形态特性:成纤维细胞样;相关产品有:BIU-87细胞、Instituto Biologico-Rim Suino-2细胞、SU-DHL-1细胞

MV-3 Cells;背景说明:黑色素瘤;淋巴结转移;男性;传代方法:1:2-1:3传代;每周换液2-3次。;生长特性:贴壁;形态特性:详见产品说明书;相关产品有:H1672细胞、Caco-2/BBe细胞、TGBC-11-TKB细胞

P3X63 AG8-653 Cells;背景说明:详见相关文献介绍;传代方法:1:2-1:3传代;每周换液2-3次。;生长特性:贴壁或悬浮,详见产品说明书部分;形态特性:详见产品说明书;相关产品有:T-CAM2细胞、HMEC细胞、HELF细胞

HPDE Cells;背景说明:详见相关文献介绍;传代方法:1:2传代;生长特性:贴壁生长 ;形态特性:详见产品说明书;相关产品有:PC2细胞、CTSC-3细胞、P3X63 AG 8.653细胞

Epithelioma Papulosum Cyprini Cells;背景说明:详见相关文献介绍;传代方法:1:2-1:3传代;每周换液2-3次。;生长特性:贴壁或悬浮,详见产品说明书部分;形态特性:详见产品说明书;相关产品有:EOMA细胞、McCoy B细胞、MES-SA Dx5细胞

CFPAC1 Cells;背景说明:详见相关文献介绍;传代方法:1:3-10传代;2-3天换液1次。;生长特性:贴壁生长;形态特性:上皮细胞;相关产品有:PJ34细胞、143B TK-细胞、G-402细胞

P3X63 Ag8.653 Cells;背景说明:详见相关文献介绍;传代方法:1:2-1:3传代;每周换液2-3次。;生长特性:贴壁或悬浮,详见产品说明书部分;形态特性:详见产品说明书;相关产品有:Factor Dependent Cell-Paterson 1细胞、HHL-5细胞、MDA231-LM2-4175细胞

16HBE140 Cells;背景说明:详见相关文献介绍;传代方法:1:2传代;生长特性:贴壁生长 ;形态特性:详见产品说明书;相关产品有:NCI-SNU-475细胞、LCLC-103H细胞、BTI-TN5B1-4细胞

TE5 Cells;背景说明:详见相关文献介绍;传代方法:消化3-5分钟。1:2。3天内可长满。;生长特性:贴壁生长;形态特性:上皮样;相关产品有:MN-9D细胞、NCI-H2066细胞、TE-5细胞

JM-Jurkat Cells;背景说明:该细胞源自一位14岁患有T淋巴细胞白血病男性的外周血;传代方法:保持细胞密度在3—9×105cells/ml之间,1:5—1:10传代,每周换液2—3次;生长特性:悬浮生长;形态特性:圆形,单个或呈片;相关产品有:PFSK-1细胞、TE85细胞、Hs274T细胞

Ramos Cells;背景说明:详见相关文献介绍;传代方法:1:2-1:3传代;每周换液2-3次。;生长特性:贴壁或悬浮,详见产品说明书部分;形态特性:详见产品说明书;相关产品有:CAL51细胞、PC-9细胞、C32 mel细胞

OSA Cells;背景说明:详见相关文献介绍;传代方法:1:5-1:10传代;每周换液2-3次。;生长特性:贴壁生长;形态特性:成纤维细胞;相关产品有:SHIN3细胞、SUDHL-4细胞、OCI-Ly07细胞

OSA Cells;背景说明:详见相关文献介绍;传代方法:1:5-1:10传代;每周换液2-3次。;生长特性:贴壁生长;形态特性:成纤维细胞;相关产品有:SHIN3细胞、SUDHL-4细胞、OCI-Ly07细胞

NUGC4 Cells;背景说明:胃癌;女性;传代方法:1:2-1:3传代;每周换液2-3次。;生长特性:半贴壁;形态特性:详见产品说明书;相关产品有:HCEpiC细胞、IGROV-1细胞、TGW-nu-1细胞

MV-4:11 Cells;背景说明:详见相关文献介绍;传代方法:1:2-1:3传代;每周换液2-3次。;生长特性:贴壁或悬浮,详见产品说明书部分;形态特性:详见产品说明书;相关产品有:SUM-159-PT细胞、FHs74 Int细胞、H-1755细胞

HCC4006 Cells;背景说明:详见相关文献介绍;传代方法:1:4-1:6传代,每周2-3次。;生长特性:贴壁生长;形态特性:上皮细胞样;相关产品有:KAT-5细胞、HCC-94细胞、H-1184细胞

NCIH1770 Cells;背景说明:详见相关文献介绍;传代方法:随细胞的生长而换液;生长特性:悬浮生长;形态特性:详见产品说明书;相关产品有:J45.01细胞、293 F细胞、Kasumi 1细胞

S180 Cells;背景说明:小鼠肉瘤;传代方法:1:2-1:3传代;每周换液2-3次。;生长特性:半贴壁;形态特性:详见产品说明书;相关产品有:SK-N-BE(2)细胞、HT clone H9细胞、NCI-H1975细胞

MADB106 Cells大鼠乳腺癌贴壁细胞系(赠送STR基因图谱)

E304 Cells;背景说明:详见相关文献介绍;传代方法:1:2-1:3传代;每周换液2-3次。;生长特性:贴壁或悬浮,详见产品说明书部分;形态特性:详见产品说明书;相关产品有:SR-786细胞、3LL细胞、U138细胞

HFL-1 Cells;背景说明:详见相关文献介绍;传代方法:消化3-5分钟。1:2。3天内可长满。;生长特性:贴壁生长;形态特性:成纤维细胞样;相关产品有:CCRF-SB细胞、RCC10RGB细胞、H196细胞

H2342 Cells;背景说明:详见相关文献介绍;传代方法:1:2-1:6传代 ;生长特性:贴壁生长;形态特性:上皮样;相关产品有:HGE细胞、3AA细胞、MC 3T3-E1细胞

MBT2 Cells;背景说明:膀胱移行细胞癌;C3H/He;传代方法:1:2-1:3传代;每周换液2-3次。;生长特性:贴壁;形态特性:详见产品说明书;相关产品有:PC-9/GR细胞、M-14细胞、MHCC97H细胞

PTK1 Cells;背景说明:详见相关文献介绍;传代方法:1:2-1:3传代;每周换液2-3次。;生长特性:贴壁或悬浮,详见产品说明书部分;形态特性:详见产品说明书;相关产品有:UPCISCC154细胞、CHP 100细胞、GLRK 13细胞

293E Cells;背景说明:详见相关文献介绍;传代方法:1:4-1:10传代;每周2次。;生长特性:贴壁生长;形态特性:上皮细胞样;相关产品有:INS-1E细胞、LS 174 T细胞、SHP77细胞

MG-HU-3 Cells;背景说明:详见相关文献介绍;传代方法:1:2-1:3传代;每周换液2-3次。;生长特性:贴壁或悬浮,详见产品说明书部分;形态特性:详见产品说明书;相关产品有:TE-32细胞、CCD-1112sk细胞、LTEPa2细胞

253J Cells;背景说明:膀胱癌;淋巴结转移;男性;传代方法:1:2-1:3传代;每周换液2-3次。;生长特性:贴壁;形态特性:详见产品说明书;相关产品有:GM3569细胞、Mouse Podocyte Clone-5细胞、RT4P细胞

HCASMC Cells;背景说明:冠状动脉平滑肌;传代方法:1:2-1:3传代;每周换液2-3次。;生长特性:贴壁;形态特性:详见产品说明书;相关产品有:NR-8383细胞、NCIH1355细胞、SF 126细胞

┈订┈购(技术服务)┈热┈线:1┈3┈6┈4┈1┈9┈3┈0┈7┈9┈1【微信同号】┈Q┈Q:3┈1┈8┈0┈8┈0┈7┈3┈2┈4;

HEH2 Cells;背景说明:胚胎;心脏;成纤维样 Cells;传代方法:1:2-1:3传代;每周换液2-3次。;生长特性:贴壁;形态特性:详见产品说明书;相关产品有:Walker/LLC-WRC256细胞、T84细胞、SCL2细胞

HT144 Cells;背景说明:详见相关文献介绍;传代方法:1:3-1:8传代,2-3天换液1次。;生长特性:贴壁生长;形态特性:成纤维细胞;相关产品有:PCI-4.2细胞、EA.Hy926细胞、Kasumi-6细胞

MKN-45 Cells;背景说明:该细胞系由S Akiyama建立,源于一位35岁患有印戒细胞癌的女性的胃淋巴结。;传代方法:1:2-1:3传代;每周换液2-3次。;生长特性:贴壁+悬浮;形态特性:淋巴母细胞;相关产品有:PANC0327细胞、H548细胞、OV433细胞

Loucy Cells;背景说明:详见相关文献介绍;传代方法:2-3天换液1次。;生长特性:悬浮生长;形态特性:淋巴母细胞样 ;相关产品有:AML12细胞、HCC 94细胞、GA-10 (Clone 4)细胞

BayGenomics ES cell line RRE058 Cells(提供STR鉴定图谱)

BayGenomics ES cell line XF580 Cells(提供STR鉴定图谱)

DIG104.10H.1 Cells(提供STR鉴定图谱)

MM21.Ut Cells(提供STR鉴定图谱)

TBD-c1 Cells(提供STR鉴定图谱)

LUMCi021-A Cells(提供STR鉴定图谱)

"



MADB106 Cells大鼠乳腺癌贴壁;复苏细胞系;细胞STR鉴定报告;细胞STR鉴定图谱;ATCC|DSMZ细胞库;

公司简介

公司提供ATCC、DSMZ、ECACC、NCI-DTP、RCB(Riken)等细胞系

成立日期 (9年)
注册资本 635万人民币
员工人数 50-100人
年营业额 ¥ 1亿以上
经营模式 贸易,工厂,服务
主营行业 细胞培养,细胞生物学,生物技术服务

MADB106 Cells大鼠乳腺癌贴壁细胞系(赠送STR基因图谱)相关厂家报价

  • MADB106细胞
  • MADB106细胞
  • 吉奥蓝图(广东)生命科学技术中心 VIP
  • 2026-04-17
  • ¥9999
内容声明
拨打电话 立即询价