基本信息 产品详情 公司简介 推荐产品
网站主页 NTERA-2 CELLS|人恶性多发性畸胎瘤贴壁细胞 NTERA-2 Cells#人恶性多发性畸胎瘤细胞系保种中心(通过STR鉴定)
  • NTERA-2 Cells#人恶性多发性畸胎瘤细胞系保种中心(通过STR鉴定)
  • NTERA-2 Cells#人恶性多发性畸胎瘤细胞系保种中心(通过STR鉴定)
  • NTERA-2 Cells#人恶性多发性畸胎瘤细胞系保种中心(通过STR鉴定)

1/3

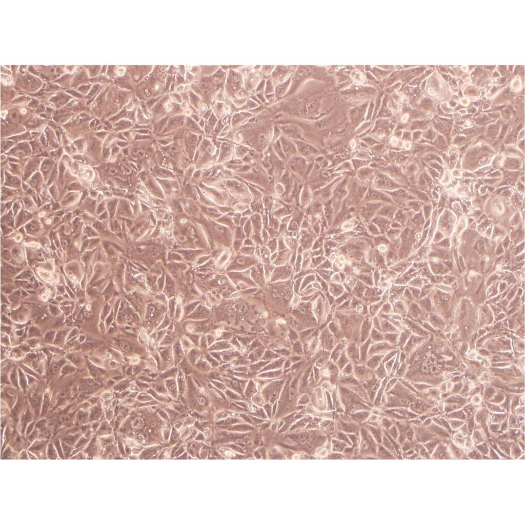
NTERA-2 Cells#人恶性多发性畸胎瘤细胞系保种中心(通过STR鉴定)

NTERA-2 Cells#
询价 1000000Cells/瓶 起订
2000000Cells/瓶 起订
上海 更新日期:2025-12-31

上海宾穗生物科技有限公司

非会员
联系人:刘***
电话:183***
手机:183***
邮箱:129***

产品详情:

中文名称:
NTERA-2 Cells#人恶性多发性畸胎瘤细胞系保种中心(通过STR鉴定)
英文名称:
NTERA-2 Cells#
品牌:
ATCC、DSMZ等
产地:
美国、欧洲、德国等
保存条件:
低温避光
纯度规格:
NTERA-2 Cells#人恶性多发性畸胎瘤细胞系保种中心(通过STR鉴定)
产品类别:
DSMZ细胞库 DSMZ细胞
货号:
详见细胞说明书
种属:
详见细胞说明书
组织:
详见细胞说明书
细胞系:
详见细胞说明书
用途范围:
详见细胞说明书
规格:
1*10^6cells/T25(1瓶)或1ml冻存管(2支)
是否进口:
来源ATCC、DSMZ、ECACC等细胞库
组织来源:
详见细胞说明书
是否是肿瘤细胞:
详见细胞说明书
细胞形态:
详见细胞说明书
生长状态:
详见细胞说明书
靶点:
详见细胞说明书
应用:
详见细胞说明书
器官来源:
详见细胞说明书
品系:
详见细胞说明书
免疫类型:
详见细胞说明书
物种来源:
人源或其它动物来源等
保质期:
可长期保存(液氮低温冻存)

"NTERA-2 Cells#人恶性多发性畸胎瘤细胞系保种中心(通过STR鉴定)

换液周期:每周2-3次

传代比例:1:2-1:4(首次传代建议1:2)

背景信息:详见相关文献介绍

淋巴母细胞(lymphoblast)是一类未成熟的淋巴细胞,通常在淋巴组织的发育过程中出现。它们在淋巴瘤和白血病的病理过程中扮演重要角色。淋巴母细胞是淋巴细胞的前体细胞,处于从造血干细胞向成熟淋巴细胞分化的过程中。它们可以来源于T细胞或B细胞。根据来源不同,淋巴母细胞可分为T细胞淋巴母细胞和B细胞淋巴母细胞。

┈订┈购(技术服务)┈热┈线:1┈3┈6┈4┈1┈9┈3┈0┈7┈9┈1【微信同号】┈Q┈Q:3┈1┈8┈0┈8┈0┈7┈3┈2┈4;

NTERA-2 Cells#人恶性多发性畸胎瘤细胞系保种中心(通过STR鉴定)

生长特性:贴壁生长

产品包装:复苏发货:T25培养瓶(一瓶)或冻存发货:1ml冻存管(两支)

来源说明:细胞主要来源ATCC、ECACC、DSMZ、RIKEN等细胞库

在细胞培养过程中会出现这样或那样的问题,客户遇到的问题从细胞生长角度来说,针对细胞培养过程中生长不HAO、甚至死亡的原因,我们做以下分析并提出相对应的解决方法。一、培养细胞生长不HAO》可能原因:细胞本身的状态》1)细胞传代次数多,细胞老化;2)细胞的接种量:接种量过低,细胞生长缓慢;3)细胞传代时间过晚:细胞中毒,影响传代后的细胞生长;4)胰酶消化时间过长或过短:时间过长,细胞死亡;时间过短,细胞未完全分离而成团,细胞死亡;5)细胞的冻存与复苏:慢冻速融。污染:1)支原体污染;2)霉菌污染;培养基或血清:1)更换血清或培养基之前未进行验证;2)选择的培养基是否合适;3)培养基配制是否准确无误;培养环境:1)CO2供应是否正常;2)培养箱或摇床温度控制是否正确;解决方法:根据以上四个方面的可能原因,做出针对性的解决方案》1)注意细胞的本身状态:如传代次数、接种量等;2)避免产生污染(用正规、合法、可溯源的血清);3)要用合适的血清或培养基,ZuiHAO经过验证;4)注意实验室的环境;二、培养细胞死亡》可能原因:1)培养箱内无CO2;2)培养箱内温度波动太大;3)细胞冻存或复苏过程中损伤;4)培养渗透压不正确;5)培养中有毒代谢产物堆积;解决方法:1)检测培养箱内CO2;2)检查培养箱内温度;3)取新的保存细胞种;4)检测培养渗透压;5)换入新鲜培养。

┈订┈购(技术服务)┈热┈线:1┈3┈6┈4┈1┈9┈3┈0┈7┈9┈1【微信同号】┈Q┈Q:3┈1┈8┈0┈8┈0┈7┈3┈2┈4;

物种来源:人源、鼠源等其它物种来源

NTERA-2 Cells#人恶性多发性畸胎瘤细胞系保种中心(通过STR鉴定)

形态特性:上皮细胞样

细胞系( line)指原代细胞培养物经首次传代成功后所繁殖的细胞群体。 也指可长期连续传代的培养细胞。(由此便引申出了后来的有限细胞系(FinieLine)、无限细胞系(InfinieLine)),因此,细胞系狭义的是指可连续传代的细胞(定环境下口语和书面语都使用),广义是指可传代的细胞。肿瘤细胞系多由癌瘤建成,多呈类上皮型细胞,常已传几十代或百代以上,并具有不死性和异体接种致瘤性,丧失接触抑制能力。国际上美、英和日本等国已建有细胞库;美国已有美国标准细胞库或细胞银行(AC)和人遗传突变细胞库(HGMR)、细胞衰老细胞库(CAR)等,其中AC不仅是美国也世界大的细胞库。细胞系建立要求:什么样的体外培养群可被认可为己鉴定的细胞,视具体情况而定,无统一规定。对于用作原代培养的细胞只要供体均一,取材部位及组织种类等条件稳定即可,如用做长期培养,别是反复传代的细胞,常需做如下说明:组织来源:细胞供体所属物种,来自人体或者动物;个体性别、年龄;取材的器官或组织。如系肿瘤组织,应说明临床和病理诊断,以及病历号等。细胞生物学检测:了解细胞一般和殊的生物学性状,如细胞一般形态,异结构,细胞生长曲线和分裂指数,倍增时间,接种率等。如为肿瘤细胞,为说明来源于原肿瘤组织并保持恶性,须做软琼脂培养,异体接种致瘤和对正常组织侵润力等实验。培养条件和方法;应说明细胞系(或株)适应的生存环境,即指明使用的培养基、血清种类、用量以及适宜PH值。

Abcam HCT 116 SLC8A1 KO Cells(提供STR鉴定图谱)

AG08378 Cells(提供STR鉴定图谱)

BayGenomics ES cell line HMA065 Cells(提供STR鉴定图谱)

BayGenomics ES cell line XB396 Cells(提供STR鉴定图谱)

BOJO Cells(提供STR鉴定图谱)

CMT-7364 Cells(提供STR鉴定图谱)

DA03677 Cells(提供STR鉴定图谱)

EV-SCC-2 Cells(提供STR鉴定图谱)

GM07344 Cells(提供STR鉴定图谱)

HCC94 Cells;背景说明:详见相关文献介绍;传代方法:1:2-1:3传代;每周换液2-3次。;生长特性:贴壁或悬浮,详见产品说明书部分;形态特性:详见产品说明书;相关产品有:HCC-2218细胞、AN-3细胞、H2227细胞

NIH3T3 Cells;背景说明:详见相关文献介绍;传代方法:1:2-1:3传代;每周换液2-3次。;生长特性:贴壁或悬浮,详见产品说明书部分;形态特性:详见产品说明书;相关产品有:MGH-U1细胞、266 Bl细胞、TE-4细胞

Human Embryonic Skin Cells;背景说明:皮肤;成纤维 Cells;传代方法:1:2-1:3传代;每周换液2-3次。;生长特性:贴壁;形态特性:详见产品说明书;相关产品有:BeWo细胞、UMUC3细胞、SUDHL1细胞

CHL1 Cells;背景说明:详见相关文献介绍;传代方法:1:6—1:10传代;生长特性:贴壁生长;形态特性:上皮细胞;相关产品有:MBMEC细胞、NCI-H220细胞、MDA157细胞

H-2591 Cells;背景说明:上皮样间皮瘤;男性;传代方法:1:2-1:3传代;每周换液2-3次。;生长特性:贴壁;形态特性:详见产品说明书;相关产品有:HTori-3细胞、A549细胞、CCRF CEM细胞

NTERA-2 Cells#人恶性多发性畸胎瘤细胞系保种中心(通过STR鉴定)

H-748 Cells;背景说明:详见相关文献介绍;传代方法:3-4天换液1次。;生长特性:悬浮生长 ;形态特性:详见产品说明书;相关产品有:Mel624细胞、MARC 145细胞、SK-RC 39细胞

QGY7701 Cells;背景说明:详见相关文献介绍;传代方法:消化3-5分钟,1:2,3天内可长满;生长特性:贴壁生长;形态特性:上皮样;相关产品有:U343细胞、CX1细胞、AM细胞

MD Anderson-Metastatic Breast-330 Cells;背景说明:详见相关文献介绍;传代方法:1:2-1:3传代;每周换液2-3次。;生长特性:贴壁或悬浮,详见产品说明书部分;形态特性:详见产品说明书;相关产品有:RINm-5F细胞、3T3-Swiss albino细胞、EBC1细胞

X63-Ag8.653 Cells;背景说明:详见相关文献介绍;传代方法:1:2-1:3传代;每周换液2-3次。;生长特性:贴壁或悬浮,详见产品说明书部分;形态特性:详见产品说明书;相关产品有:LU451细胞、H-196细胞、SHIN3细胞

CCD 19Lu Cells;背景说明:肺成纤维细胞;女性;传代方法:1:2-1:3传代;每周换液2-3次。;生长特性:贴壁;形态特性:详见产品说明书;相关产品有:TE 671细胞、HCC1569细胞、H2198细胞

Hs 611.T Cells;背景说明:详见相关文献介绍;传代方法:1:2传代;每周换液2-3次。;生长特性:混合型;形态特性:淋巴母细胞样;相关产品有:PE/CA-PJ34 (clone C12)细胞、P3/X63-Ag8细胞、HPAF/CD18细胞

K-562 Cells;背景说明:详见相关文献介绍;传代方法:1:2-1:3传代;每周换液2-3次。;生长特性:贴壁或悬浮,详见产品说明书部分;形态特性:详见产品说明书;相关产品有:GFP-Olig2细胞、Colo205细胞、H3255细胞

WEHI-231 Cells;背景说明:详见相关文献介绍;传代方法:1:2-1:3传代;每周换液2-3次。;生长特性:贴壁或悬浮,详见产品说明书部分;形态特性:详见产品说明书;相关产品有:NCI-H2170细胞、CCC-HPF-1细胞、SW-900细胞

RPMI1788 Cells;背景说明:B淋巴细胞;EBV转化;传代方法:1:2-1:3传代;每周换液2-3次。;生长特性:悬浮;形态特性:详见产品说明书;相关产品有:NCI-H1436细胞、UM-UC14细胞、NCI-H1436细胞

PZ-HPV-7 Cells;背景说明:前列腺上皮细胞;HPV18转化;男性;传代方法:1:2-1:3传代;每周换液2-3次。;生长特性:贴壁;形态特性:详见产品说明书;相关产品有:NCI-SNU-216细胞、174xCEM.T2细胞、HEK-293FT细胞

Mhh-Call 2 Cells;背景说明:急性B淋巴细胞白血病;女性;传代方法:1:2-1:3传代;每周换液2-3次。;生长特性:悬浮;形态特性:详见产品说明书;相关产品有:GP2-293细胞、RBVEC细胞、J 774A.1细胞

Mhh-Call 2 Cells;背景说明:急性B淋巴细胞白血病;女性;传代方法:1:2-1:3传代;每周换液2-3次。;生长特性:悬浮;形态特性:详见产品说明书;相关产品有:GP2-293细胞、RBVEC细胞、J 774A.1细胞

K422 Cells;背景说明:详见相关文献介绍;传代方法:1:2-1:3传代;每周换液2-3次。;生长特性:贴壁或悬浮,详见产品说明书部分;形态特性:详见产品说明书;相关产品有:N2a细胞、DHL-8细胞、Chang Cells细胞

HNE-1 Cells;背景说明:鼻咽部;男性;传代方法:1:2-1:3传代;每周换液2-3次。;生长特性:贴壁;形态特性:详见产品说明书;相关产品有:SP-2细胞、DMS 79细胞、NCI-SNU-119细胞

┈订┈购(技术服务)┈热┈线:1┈3┈6┈4┈1┈9┈3┈0┈7┈9┈1【微信同号】┈Q┈Q:3┈1┈8┈0┈8┈0┈7┈3┈2┈4;

RCC 786-O Cells;背景说明:该细胞源自一位原发性肾透明细胞癌患者。该细胞有微绒毛和桥粒,能在软琼脂上生长。此细胞生成一种PTH(甲状旁腺素)样的多肽,与乳癌和肺癌中生成的肽相似,其N端序列与PTH相似,具有PTH样活性,分子量为6000D。;传代方法:1:2传代;生长特性:贴壁生长;形态特性:上皮样;相关产品有:IM95细胞、NCI-H1869细胞、T-84细胞

CAL27 Cells;背景说明:该细胞1982年由J. Gioanni建系,源自一位56岁白人男性的舌头中倍的病变部位,角蛋白强阳性;传代方法:1:6传代,2—3天换液一次;生长特性:贴壁生长;形态特性:上皮细胞样;相关产品有:MDA MB 231细胞、R.K.13细胞、TO175T细胞

GM04678 Cells;背景说明:详见相关文献介绍;传代方法:每周2-3次。;生长特性:悬浮生长;形态特性:淋巴母细胞;相关产品有:P388细胞、L cells (TK-)细胞、GCT细胞

J 111 Cells;背景说明:单核细胞白血病;传代方法:1:2-1:3传代;每周换液2-3次。;生长特性:悬浮;形态特性:详见产品说明书;相关产品有:NCI-H2030细胞、MRMT-1细胞、L929细胞

BTI-Tn-5B1-4 Cells;背景说明:详见相关文献介绍;传代方法:1:2-1:3传代;每周换液2-3次。;生长特性:贴壁或悬浮,详见产品说明书部分;形态特性:详见产品说明书;相关产品有:RMC细胞、H1581细胞、OKT 3细胞

LL/2(LLc1) Cells;背景说明:详见相关文献介绍;传代方法:1:2-1:3传代;每周换液2-3次。;生长特性:贴壁或悬浮,详见产品说明书部分;形态特性:详见产品说明书;相关产品有:CHL/IU细胞、MDA-MB-361细胞、SW 1463细胞

SKLMS1 Cells;背景说明:详见相关文献介绍;传代方法:1:2-1:5传代,2-3天换液1次。;生长特性:贴壁生长;形态特性:成纤维细胞;相关产品有:SCLC-21H细胞、PLA 802细胞、L5178Y TK+/-3.7.2c细胞

D341 Med Cells;背景说明:详见相关文献介绍;传代方法:每周换液2-3次。;生长特性:悬浮生长;形态特性:髓母细胞样;相关产品有:A172细胞、ZR-75-30细胞、Doubling time: ~50 hours (ATCC).细胞

Hs604T Cells;背景说明:详见相关文献介绍;传代方法:1:2传代;每周换液2-3次。;生长特性:贴壁生长;形态特性:成纤维细胞;相关产品有:TSCCa细胞、P3X63细胞、GA-10 clone 4细胞

T-ALL1 Cells;背景说明:该细胞源于一名复发T-ALL(急性T淋巴细胞性白血病)的儿童的外周血;具有很强的细胞毒性,体内体外实验中都能破坏肿瘤细胞;IL-2可使细胞更好地生长;α/β TCR阳性,γ/δ TCR阴性;可产生IFNγ、TNF-α和GM-CSF。;传代方法:维持细胞密度在4×105-1×106 cells/ml之间,2-3天换液1次 ;生长特性:悬浮生长;形态特性:淋巴母细胞;相关产品有:RS(4;11)细胞、HFE-145细胞、SKMel-5细胞

BC-PAP Cells;背景说明:详见相关文献介绍;传代方法:1:2传代;生长特性:贴壁生长 ;形态特性:详见产品说明书;相关产品有:NMCG-1细胞、QG56细胞、WM 239A细胞

E0771 Cells;背景说明:恶性乳腺癌;雌性;C57BL/6;传代方法:1:2-1:3传代;每周换液2-3次。;生长特性:贴壁;形态特性:详见产品说明书;相关产品有:Human Corneal Epithelial cells-Transformed细胞、BC-3-H-I细胞、kms 11细胞

hEEC Cells;背景说明:子宫内膜;上皮 Cells;传代方法:1:2-1:3传代;每周换液2-3次。;生长特性:贴壁;形态特性:详见产品说明书;相关产品有:Pa017C细胞、A-2780细胞、MM.1S细胞

C57 Mouse Tumor 64 Cells;背景说明:肺腺癌;雌性;C57;传代方法:1:2-1:3传代;每周换液2-3次。;生长特性:贴壁;形态特性:详见产品说明书;相关产品有:BALB/3T3细胞、MDAPCa2b细胞、RT-4细胞

RK 13 Cells;背景说明:详见相关文献介绍;传代方法:1:2-1:3传代;每周换液2-3次。;生长特性:贴壁或悬浮,详见产品说明书部分;形态特性:详见产品说明书;相关产品有:NCIH2405细胞、HNE3细胞、SNU601细胞

HCC1500 Cells;背景说明:详见相关文献介绍;传代方法:1:2-1:3传代;每3-5天换液;生长特性:贴壁生长;形态特性:上皮样;相关产品有:OEC33细胞、HTR-8/SV neo细胞、H1417细胞

HCC-1359 Cells;背景说明:详见相关文献介绍;传代方法:1:2-1:3传代;每周换液2-3次。;生长特性:贴壁或悬浮,详见产品说明书部分;形态特性:详见产品说明书;相关产品有:SUM-159PT细胞、NIH:OVCAR-4细胞、Karpas-299细胞

H-3255 Cells;背景说明:详见相关文献介绍;传代方法:1:2传代;生长特性:贴壁生长 ;形态特性:详见产品说明书;相关产品有:HT 1080细胞、RL95细胞、B16-F10--RED细胞

H4-II-E-C3 Cells(提供STR鉴定图谱)

HAP1 RAB5C (-) 2 Cells(提供STR鉴定图谱)

HG01612 Cells(提供STR鉴定图谱)

HuH7-SLC6A12-KO-c3 Cells(提供STR鉴定图谱)

L5178Y(A) Cells(提供STR鉴定图谱)

MTD-1A Cells(提供STR鉴定图谱)

OMK Cells(提供STR鉴定图谱)

Royan H2 Cells(提供STR鉴定图谱)

T24T FL2 Cells(提供STR鉴定图谱)

Ubigene Hep G2 APOA2 KO Cells(提供STR鉴定图谱)

XR9 Cells(提供STR鉴定图谱)

ASZ001 Cells(提供STR鉴定图谱)

Panc813 Cells;背景说明:详见相关文献介绍;传代方法:1:2传代;生长特性:贴壁生长;形态特性:上皮样;相关产品有:Vero-E6细胞、HPB-ALL细胞、SuDHL 2细胞

HuH-6 Cells;背景说明:肝癌。据说产球蛋白和甲胎蛋白。;传代方法:消化3-5分钟。1:2。6-7天长满。;生长特性:贴壁生长;形态特性:上皮样;相关产品有:CEM-C7细胞、4-1st细胞、M-1 myeloid leukemia细胞

MDA-453 Cells;背景说明:该细胞系由CailleauR在1976年从一名48岁的患有转移性乳腺癌的白人女性的心包渗出液中分离建立的。该细胞表达FGF的受体。;传代方法:1:2-1:4传代;2-3天换液1次;生长特性:贴壁生长;形态特性:上皮样;多角形;相关产品有:JCA1细胞、CHP-100细胞、Caco-2/BBe 1细胞

HCC0015 Cells;背景说明:详见相关文献介绍;传代方法:1:2-1:3传代;每周换液2-3次。;生长特性:贴壁或悬浮,详见产品说明书部分;形态特性:详见产品说明书;相关产品有:COV434细胞、IBMF-7细胞、IMCD-3细胞

MPC-11 Cells;背景说明:详见相关文献介绍;传代方法:1:2传代;生长特性:悬浮生长;形态特性:详见产品说明书;相关产品有:U2OS细胞、SJSA细胞、HIT.T15细胞

Swiss3T3 Cells;背景说明:3T3细胞株是1962年Todaro G和Green H从分离的瑞士小鼠胚胎中建立的;该细胞的生长受接触性抑制,汇合状态的单层细胞密度为40000个细胞/平方厘米;检测结果显示该细胞鼠痘病毒阴性;在中生长较好,在某些玻璃表面上可能状态不佳;细胞生长饱和时其密度可以达到约50000 cells/cm2。;传代方法:1:3传代;3-4天1次。;生长特性:贴壁生长;形态特性:成纤维细胞样;相关产品有:3T6-Swiss albino细胞、NCI-BL6细胞、NCIH661细胞

Y3-Ag1,2,3 Cells;背景说明:详见相关文献介绍;传代方法:1:2-1:3传代;每周换液2-3次。;生长特性:贴壁或悬浮,详见产品说明书部分;形态特性:详见产品说明书;相关产品有:HO-8910细胞、CD18/HPAF细胞、LLC-MK2细胞

SU 86.86 Cells;背景说明:详见相关文献介绍;传代方法:1:2传代;;生长特性:贴壁生长;形态特性:详见产品说明书;相关产品有:UWB1.289细胞、HEK-293 c18细胞、Hs840_T细胞

SVHUC Cells;背景说明:详见相关文献介绍;传代方法:1:2传代;生长特性:贴壁生长 ;形态特性:详见产品说明书;相关产品有:H-2052细胞、Factor Dependent Cell-Paterson 1细胞、NCI-H716细胞

MUM2B Cells;背景说明:脉络膜黑色素瘤;女性;传代方法:1:2-1:3传代;每周换液2-3次。;生长特性:贴壁;形态特性:详见产品说明书;相关产品有:EL4细胞、H-187细胞、KP-N-RT-BM-1细胞

SNU423 Cells;背景说明:详见相关文献介绍;传代方法:1:2传代;生长特性:贴壁生长;形态特性:上皮样;相关产品有:OCILY-10细胞、GOTO细胞、EFM192A细胞

NUGC-2 Cells;背景说明:详见相关文献介绍;传代方法:1:2-1:3传代;每周换液2-3次。;生长特性:贴壁或悬浮,详见产品说明书部分;形态特性:详见产品说明书;相关产品有:LNCaP C4-2细胞、HBE 135-E6/E7细胞、H1703细胞

TE 671 Cells;背景说明:胚胎性横纹肌肉瘤;女性;传代方法:1:2-1:3传代;每周换液2-3次。;生长特性:贴壁;形态特性:详见产品说明书;相关产品有:SCC15细胞、RT4细胞、SACCLM细胞

A-172 MG Cells;背景说明:详见相关文献介绍;传代方法:1:2-1:3传代;每周换液2-3次。;生长特性:贴壁或悬浮,详见产品说明书部分;形态特性:详见产品说明书;相关产品有:HCC-827细胞、COLO-824细胞、MEC1细胞

HCE-2 [50.B1] Cells;背景说明:角膜上皮;Ad12-SV40;男性;传代方法:1:2-1:3传代;每周换液2-3次。;生长特性:贴壁;形态特性:详见产品说明书;相关产品有:G-401细胞、HRA-19细胞、NCIH378细胞

NCI H82 Cells;背景说明:详见相关文献介绍;传代方法:1:2—1:5传代,每周换液2-3次;生长特性:悬浮生长;形态特性:上皮细胞;相关产品有:SP2/0 Ag-14细胞、SNU668细胞、Clone Y-1细胞

HuH1 Cells;背景说明:详见相关文献介绍;传代方法:1:2-1:3传代;每周换液2-3次。;生长特性:贴壁或悬浮,详见产品说明书部分;形态特性:详见产品说明书;相关产品有:NCI-H747细胞、Wien133细胞、AKR细胞

H-2066 Cells;背景说明:详见相关文献介绍;传代方法:每周换液2-3次;生长特性:悬浮生长;形态特性:聚团悬浮;相关产品有:OVCA433_Bast细胞、RKO-AS-45-1细胞、Panc 02细胞

HT1376 Cells;背景说明:详见相关文献介绍;传代方法:1:2传代;生长特性:贴壁生长;形态特性:详见产品说明书;相关产品有:RH30SJ细胞、RL-65细胞、NK62a细胞

LC2/Ad Cells;背景说明:详见相关文献介绍;传代方法:1:2-1:3传代;每周换液2-3次。;生长特性:贴壁或悬浮,详见产品说明书部分;形态特性:详见产品说明书;相关产品有:RCM1细胞、McG-1细胞、Hep II细胞

HL-60 Clone 15 Cells;背景说明:详见相关文献介绍;传代方法:维持细胞浓度在1×105-1×106/ml,每2-3天换液1次。;生长特性:悬浮生长;形态特性:淋巴母细胞样;相关产品有:HHUA细胞、Roswell Park Memorial Institute 7666细胞、TE-6细胞

SCL-2 Cells;背景说明:皮肤鳞癌;男性;传代方法:1:2-1:3传代;每周换液2-3次。;生长特性:贴壁;形态特性:详见产品说明书;相关产品有:BNCL-2细胞、LNCaP subline C4-2细胞、PIG3细胞

NR8383 Cells;背景说明:NR8383(正常大鼠,1983年8月3日)来源于肺灌洗时的正常大鼠肺泡巨噬细胞。细胞在gerbil肺细胞连续培养液存在下培养了大约8-9个月。随后,不再需要外源生长因子。通过有限稀释法从单个细胞克隆并亚克隆NR8383细胞,并三次用软琼脂亚克隆。细胞表现出巨噬细胞的特性,吞噬酵母多糖和铜绿,非特异性脂酶活性,Fc受体,氧化降解;分泌IL-1,TNFbeta和IL-6,可重复地响应外源生长因子。NR8383细胞响应博莱霉素,分泌TGFbeta前体。在博莱霉素刺激下,TGFbe;传代方法:1:2传代;生长特性:半贴壁生长;形态特性:巨噬细胞;相关产品有:HAPI细胞、WM 451-Lu细胞、HEK293细胞

SK-HEP-1 Cells;背景说明:SK-HEP-1细胞系已被鉴定为内皮来源。该细胞系为异倍体女性人(XX),染色体在亚三倍体范围内。在裸鼠中,它能形成与肝癌相一致的大细胞癌;传代方法:1:3传代,2-3天换液一次;生长特性:贴壁生长;形态特性:上皮样;相关产品有:SKM-1细胞、MC3T3-E1细胞、rRMECs细胞

QBI-HEK 293A Cells;背景说明:胚肾;腺病毒包装;传代方法:1:2-1:3传代;每周换液2-3次。;生长特性:贴壁;形态特性:详见产品说明书;相关产品有:EU-2细胞、MN9D细胞、CHAGOK1细胞

CEM-CCRF Cells;背景说明:G.E. Foley 等人建立了类淋巴母细胞细胞株CCRF-CEM。 细胞是1964年11月从一位四岁白人女性急性淋巴细胞白血病患者的外周血白血球衣中得到。此细胞系从香港收集而来。;传代方法:1:2传代。3天内可长满。;生长特性:悬浮生长;形态特性:淋巴母细胞样;相关产品有:PLC-8024细胞、A7r5细胞、COLO 320HSR细胞

NTERA-2 Cells#人恶性多发性畸胎瘤细胞系保种中心(通过STR鉴定)

293 c18 Cells;背景说明:详见相关文献介绍;传代方法:1:4-1:10传代;每周2次。;生长特性:贴壁生长;形态特性:上皮细胞样;相关产品有:NCI-SNU-668细胞、HPAF-I细胞、A431/P细胞

IMR90 Cells;背景说明:W.W. Nichols及其同事从一位16周女婴的肺中取材,建立了人二倍体成纤维细胞株IMR-90。分裂潜能,病毒感受性和其它性质都得到了充分研究,因而这株细胞可以作为WI-38或其它标准人肺细胞株的替代株。有报道称这株细胞在表现出衰老前可倍增58次。;传代方法:1:2传代;生长特性:贴壁生长 ;形态特性:详见产品说明书;相关产品有:Natural Killer-92细胞、Line 522细胞、COLO684细胞

CATH-a Cells;背景说明:神经;SV40转化;C57BL/6 x DBA/2;传代方法:1:2-1:3传代;每周换液2-3次。;生长特性:贴壁;形态特性:详见产品说明书;相关产品有:M210B4细胞、HCFB(HCF)细胞、Hs-688A-T细胞

CMT 93 Cells;背景说明:结肠癌;C57BL/ICRF;传代方法:1:2-1:3传代;每周换液2-3次。;生长特性:贴壁;形态特性:详见产品说明书;相关产品有:FaDu细胞、Hs445细胞、P3/NS-1细胞

H2135 Cells;背景说明:详见相关文献介绍;传代方法:1:2-1:3传代;每周换液2-3次。;生长特性:贴壁或悬浮,详见产品说明书部分;形态特性:详见产品说明书;相关产品有:HCC-1143细胞、Pa14C细胞、OCI-Ly19细胞

┈订┈购(技术服务)┈热┈线:1┈3┈6┈4┈1┈9┈3┈0┈7┈9┈1【微信同号】┈Q┈Q:3┈1┈8┈0┈8┈0┈7┈3┈2┈4;

SW13 Cells;背景说明:详见相关文献介绍;传代方法:1:2-1:3传代;每周换液2-3次。;生长特性:贴壁或悬浮,详见产品说明书部分;形态特性:详见产品说明书;相关产品有:NCIH1436细胞、WERI-Rb1细胞、hTERT-HME-1细胞

B16 F10 Cells;背景说明:B16-F10是B16-F0的亚系。;传代方法:消化3-5分钟。1:2。3天内可长满。;生长特性:贴壁生长;形态特性:详见产品说明书;相关产品有:A-704细胞、253JBV细胞、LNCaP subline C4-2细胞

M14 Cells;背景说明:详见相关文献介绍;传代方法:1:3传代;生长特性:混合生长;形态特性:详见产品说明书;相关产品有:SK MEL-28细胞、BA/F3细胞、Glioma-261细胞

Wills Eye Research Institute-Retinoblastoma-1 Cells;背景说明:WERI-Rb-I细胞株是1974年R.M. McFall 和 T.W. Sery建立的两株人眼癌细胞系中的一株。 细胞能在Difco Bacto-Agar中存活但不形成克隆。 扫描电镜显示在表面囊泡,板状伪足和微绒毛在数量上和频率上的改变。 细胞分化研究,肿瘤治疗的动物模型和生化评价都涉及这株细胞。;传代方法:消化3-5分钟。1:2。3天内可长满。;生长特性:贴壁生长;形态特性:圆形细胞聚集成葡萄状;相关产品有:18G3.cl 1细胞、SU86_86细胞、SCC9细胞

JIMT1 Cells;背景说明:乳腺癌;女性;传代方法:1:2-1:3传代;每周换液2-3次。;生长特性:贴壁;形态特性:详见产品说明书;相关产品有:SKMel-28细胞、JF305细胞、J774 A.1细胞

HSAEC1-KT Cells;背景说明:肺;HGNC-TERT转化;男性;传代方法:1:2-1:3传代;每周换液2-3次。;生长特性:贴壁;形态特性:详见产品说明书;相关产品有:High-5细胞、Mono-Mac-6细胞、WERI-Rb 1细胞

RM1 Cells;背景说明:前列腺癌;C57BL/6;传代方法:1:2-1:3传代;每周换液2-3次。;生长特性:贴壁;形态特性:详见产品说明书;相关产品有:UPCI:SCC90细胞、SK-ChA-1细胞、CEMC1细胞

BayGenomics ES cell line RRO149 Cells(提供STR鉴定图谱)

BayGenomics ES cell line YHB220 Cells(提供STR鉴定图谱)

h5.3.2 Cells(提供STR鉴定图谱)

PC21A1 Cells(提供STR鉴定图谱)

AK-5 clone FB-11 Cells(提供STR鉴定图谱)

HPL-GCC-1 Cells(提供STR鉴定图谱)

"



NTERA-2 Cells#人恶性多发性;复苏细胞系;细胞STR鉴定报告;细胞STR鉴定图谱;ATCC|DSMZ细胞库;

公司简介

公司提供ATCC、DSMZ、ECACC、NCI-DTP、RCB(Riken)等细胞系

成立日期 (9年)
注册资本 635万人民币
员工人数 50-100人
年营业额 ¥ 1亿以上
经营模式 贸易,工厂,服务
主营行业 细胞培养,细胞生物学,生物技术服务

NTERA-2 Cells#人恶性多发性畸胎瘤细胞系保种中心(通过STR鉴定)相关厂家报价

内容声明
拨打电话 立即询价