基本信息 产品详情 公司简介 推荐产品
网站主页 化工产品目录 生物 细胞培养 细胞系 人细胞系 MKN-74 CELLS:人胃癌细胞系 MKN74 Cells#人胃癌细胞系保种中心(通过STR鉴定)
  • MKN74 Cells#人胃癌细胞系保种中心(通过STR鉴定)
  • MKN74 Cells#人胃癌细胞系保种中心(通过STR鉴定)
  • MKN74 Cells#人胃癌细胞系保种中心(通过STR鉴定)

1/3

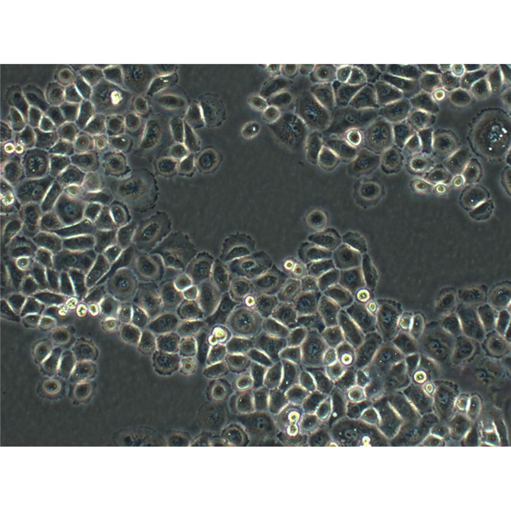
MKN74 Cells#人胃癌细胞系保种中心(通过STR鉴定)

MKN74 Cells#
询价 1000000Cells/瓶 起订
2000000Cells/瓶 起订
上海 更新日期:2025-12-31

上海宾穗生物科技有限公司

非会员
联系人:刘***
电话:183***
手机:183***
邮箱:129***

产品详情:

中文名称:
MKN74 Cells#人胃癌细胞系保种中心(通过STR鉴定)
英文名称:
MKN74 Cells#
品牌:
ATCC、DSMZ等
产地:
美国、欧洲、德国等
保存条件:
低温避光
纯度规格:
MKN74 Cells#人胃癌细胞系保种中心(通过STR鉴定)
产品类别:
DSMZ细胞库 DSMZ细胞
货号:
详见细胞说明书
种属:
详见细胞说明书
组织:
详见细胞说明书
细胞系:
详见细胞说明书
用途范围:
详见细胞说明书
规格:
1*10^6cells/T25(1瓶)或1ml冻存管(2支)
是否进口:
来源ATCC、DSMZ、ECACC等细胞库
组织来源:
详见细胞说明书
是否是肿瘤细胞:
详见细胞说明书
细胞形态:
详见细胞说明书
生长状态:
详见细胞说明书
靶点:
详见细胞说明书
应用:
详见细胞说明书
器官来源:
详见细胞说明书
品系:
详见细胞说明书
免疫类型:
详见细胞说明书
物种来源:
人源或其它动物来源等
保质期:
可长期保存(液氮低温冻存)

"MKN74 Cells#人胃癌细胞系保种中心(通过STR鉴定)

换液周期:每周2-3次

传代比例:1:2-1:4(首次传代建议1:2)

背景信息:详见相关文献介绍

淋巴母细胞(lymphoblast)是一类未成熟的淋巴细胞,通常在淋巴组织的发育过程中出现。它们在淋巴瘤和白血病的病理过程中扮演重要角色。淋巴母细胞是淋巴细胞的前体细胞,处于从造血干细胞向成熟淋巴细胞分化的过程中。它们可以来源于T细胞或B细胞。根据来源不同,淋巴母细胞可分为T细胞淋巴母细胞和B细胞淋巴母细胞。

┈订┈购(技术服务)┈热┈线:1┈3┈6┈4┈1┈9┈3┈0┈7┈9┈1【微信同号】┈Q┈Q:3┈1┈8┈0┈8┈0┈7┈3┈2┈4;

MKN74 Cells#人胃癌细胞系保种中心(通过STR鉴定)

生长特性:贴壁生长

产品包装:复苏发货:T25培养瓶(一瓶)或冻存发货:1ml冻存管(两支)

来源说明:细胞主要来源ATCC、ECACC、DSMZ、RIKEN等细胞库

在细胞培养过程中会出现这样或那样的问题,客户遇到的问题从细胞生长角度来说,针对细胞培养过程中生长不HAO、甚至死亡的原因,我们做以下分析并提出相对应的解决方法。一、培养细胞生长不HAO》可能原因:细胞本身的状态》1)细胞传代次数多,细胞老化;2)细胞的接种量:接种量过低,细胞生长缓慢;3)细胞传代时间过晚:细胞中毒,影响传代后的细胞生长;4)胰酶消化时间过长或过短:时间过长,细胞死亡;时间过短,细胞未完全分离而成团,细胞死亡;5)细胞的冻存与复苏:慢冻速融。污染:1)支原体污染;2)霉菌污染;培养基或血清:1)更换血清或培养基之前未进行验证;2)选择的培养基是否合适;3)培养基配制是否准确无误;培养环境:1)CO2供应是否正常;2)培养箱或摇床温度控制是否正确;解决方法:根据以上四个方面的可能原因,做出针对性的解决方案》1)注意细胞的本身状态:如传代次数、接种量等;2)避免产生污染(用正规、合法、可溯源的血清);3)要用合适的血清或培养基,ZuiHAO经过验证;4)注意实验室的环境;二、培养细胞死亡》可能原因:1)培养箱内无CO2;2)培养箱内温度波动太大;3)细胞冻存或复苏过程中损伤;4)培养渗透压不正确;5)培养中有毒代谢产物堆积;解决方法:1)检测培养箱内CO2;2)检查培养箱内温度;3)取新的保存细胞种;4)检测培养渗透压;5)换入新鲜培养。

┈订┈购(技术服务)┈热┈线:1┈3┈6┈4┈1┈9┈3┈0┈7┈9┈1【微信同号】┈Q┈Q:3┈1┈8┈0┈8┈0┈7┈3┈2┈4;

物种来源:人源、鼠源等其它物种来源

MKN74 Cells#人胃癌细胞系保种中心(通过STR鉴定)

形态特性:上皮细胞样

细胞传代比例:对于有限细胞系,传代时以二、四、八或十六倍(传代比率分别是2、4、8和16)降低细胞密度,计算群体倍增数更容易(即分别是传代比率2对应1次倍增,4对应2次倍增,8对应3次倍增,16对应4次倍增);例如,一传八的培养物需要3次倍增才能达到原来相同的细胞密度。脆弱的或生长缓慢的细胞系通常一传二,而有活力的,生长快速的细胞系可以一传八,甚至一传十六。有些连续细胞系可一传五十或一传100。一旦细胞系变为连续细胞系(通常经过150次或200次倍增以上),细胞浓度是主要参数,培养浓度应降至10(4)/ml--10(5)/ml之间。可选择传代间隔合适的传代比率或稀释度,或许为1周或2周,同时要保证:细胞密度不可稀释过低,使其延迟期合理(在24小时以内),可重新进入生长周期;而且在下次传代前不进人平台期。

A549-Dual KO-MDA5 hACE2-TMPRSS2 Cells(提供STR鉴定图谱)

Abcam PC-3 SOCS3 KO Cells(提供STR鉴定图谱)

Ba/F3 EGFR-C797S Cells(提供STR鉴定图谱)

BayGenomics ES cell line RRR159 Cells(提供STR鉴定图谱)

BayGenomics ES cell line YHD131 Cells(提供STR鉴定图谱)

CFBE45o- Cells(提供STR鉴定图谱)

DA01471 Cells(提供STR鉴定图谱)

DD2786 Cells(提供STR鉴定图谱)

GM02189 Cells(提供STR鉴定图谱)

UMNSAH-DF 1 Cells;背景说明:详见相关文献介绍;传代方法:1:2传代;生长特性:贴壁生长;形态特性:成纤维母细胞样;相关产品有:EOL1细胞、SK.MEL.2细胞、H2052_MM细胞

P3HRI Cells;背景说明:详见相关文献介绍;传代方法:每2-3天换液;生长特性:悬浮生长 ;形态特性:淋巴母细胞样;相关产品有:SCL I细胞、CCF-STTG1细胞、MDST8细胞

TKB1 Cells;背景说明:详见相关文献介绍;传代方法:1:2-1:3传代;每周换液2-3次。;生长特性:贴壁或悬浮,详见产品说明书部分;形态特性:详见产品说明书;相关产品有:Anip[973]细胞、GM05862细胞、NCI-H1694细胞

BEAS2B Cells;背景说明:从一位非癌个体的正常人支气管上皮病理切片分离出上皮细胞。这些细胞用腺病毒12-SV40病毒杂交病毒感染并克隆。DEAS-2B细胞保留了对血清反应进行鳞关分化的能力,并有用于筛选诱导或影响分化及致癌的化学或生物制剂。细胞角蛋白及SV40抗原染色阳性。;传代方法:消化3-5分钟。1:2。3天内可长满;生长特性:贴壁生长;形态特性:上皮细胞样;相关产品有:JOSK-M细胞、MCA 38细胞、WM-239-A细胞

ARH-77 Cells;背景说明:详见相关文献介绍;传代方法:1:2-1:3传代;每周换液2-3次。;生长特性:悬浮生长;形态特性:淋巴母细胞样 ;相关产品有:RFL-6细胞、NCI-N87细胞、HEK/EBNA细胞

MKN74 Cells#人胃癌细胞系保种中心(通过STR鉴定)

HeLa/S3 Cells;背景说明:该细胞是1955年由PuckTT,MarcusPI和CieciuraSJ建系的,含HPV-18序列;角蛋白阳性;可用于与染色体突变、细胞营养、集落形成相关的哺乳动物细胞的克隆分析。;传代方法:1:2传代;生长特性:贴壁生长;形态特性:上皮样;相关产品有:Lilly Laboratories Cell-Porcine Kidney 1细胞、NCTC1469细胞、GP-293细胞

102PT Cells;背景说明:乳腺癌;女性;传代方法:1:2-1:3传代;每周换液2-3次。;生长特性:贴壁;形态特性:详见产品说明书;相关产品有:KMH2细胞、COLO 16细胞、C2C12细胞

H660 Cells;背景说明:详见相关文献介绍;传代方法:2-3天换液1次。;生长特性:悬浮生长;形态特性:上皮细胞;相关产品有:TE5细胞、MC3T3-E1(C4)细胞、UPCI-SCC-90细胞

NKT Cells;背景说明:NK Cells;传代方法:1:2-1:3传代;每周换液2-3次。;生长特性:悬浮;形态特性:详见产品说明书;相关产品有:MASMC细胞、Tca8113细胞、SKMEL5细胞

CemT4 Cells;背景说明:急性T淋巴细胞白血病;女性;传代方法:1:2-1:3传代;每周换液2-3次。;生长特性:悬浮;形态特性:详见产品说明书;相关产品有:HCC-1937细胞、X63-Ag8细胞、GM2219C细胞

HAVSMC Cells;背景说明:详见相关文献介绍;传代方法:1:2-1:3传代;每周换液2-3次。;生长特性:贴壁或悬浮,详见产品说明书部分;形态特性:详见产品说明书;相关产品有:HCC95细胞、P3/NS1/1-Ag4-1细胞、Colon-38细胞

OVCA-433 Cells;背景说明:卵巢癌;女性;传代方法:1:2-1:3传代;每周换液2-3次。;生长特性:贴壁;形态特性:详见产品说明书;相关产品有:HOS细胞、NCC-IT细胞、Bowes melanoma cells细胞

HANK-1 Cells;背景说明:NK/T细胞淋巴瘤;女性;传代方法:1:2-1:3传代;每周换液2-3次。;生长特性:悬浮;形态特性:详见产品说明书;相关产品有:HPAF-II/CD18细胞、Hs274T细胞、NCI-H1618细胞

H3255_DA Cells;背景说明:详见相关文献介绍;传代方法:1:2传代;生长特性:贴壁生长 ;形态特性:详见产品说明书;相关产品有:HCS2/8细胞、KPL-4细胞、OCI Ly3细胞

NCIH1184 Cells;背景说明:详见相关文献介绍;传代方法:1:2-1:3传代;每周换液2-3次。;生长特性:贴壁或悬浮,详见产品说明书部分;形态特性:详见产品说明书;相关产品有:AU-565细胞、H498细胞、H-847细胞

2V6.11 Cells;背景说明:详见相关文献介绍;传代方法:1:2-1:3传代;每周换液2-3次。;生长特性:贴壁或悬浮,详见产品说明书部分;形态特性:详见产品说明书;相关产品有:IPLB-Sf21AE细胞、NCIH1299细胞、WC00044细胞

2V6.11 Cells;背景说明:详见相关文献介绍;传代方法:1:2-1:3传代;每周换液2-3次。;生长特性:贴壁或悬浮,详见产品说明书部分;形态特性:详见产品说明书;相关产品有:IPLB-Sf21AE细胞、NCIH1299细胞、WC00044细胞

MDA-468 Cells;背景说明:该细胞是1977年由CailleauR等从一位患有转移性乳腺癌的51岁黑人女性的胸腔积液中分离得到的。虽然供体组织的G6PD等位基因杂合,但此细胞株始终表现为G6PDA表型。P53基因273位密码子存在G→A突变,从而导致Arg→His替代。每个细胞上存在1×106个EGF受体。;传代方法:1:2-1:4传代;2-3天换液1次;生长特性:贴壁生长;形态特性:上皮样;相关产品有:HOC-1细胞、SO-Rb 50细胞、TCCPAN2细胞

HCC-1359 Cells;背景说明:详见相关文献介绍;传代方法:1:2-1:3传代;每周换液2-3次。;生长特性:贴壁或悬浮,详见产品说明书部分;形态特性:详见产品说明书;相关产品有:SUM-159PT细胞、NIH:OVCAR-4细胞、Karpas-299细胞

┈订┈购(技术服务)┈热┈线:1┈3┈6┈4┈1┈9┈3┈0┈7┈9┈1【微信同号】┈Q┈Q:3┈1┈8┈0┈8┈0┈7┈3┈2┈4;

RCSMC Cells;背景说明:冠状动脉平滑肌;传代方法:1:2-1:3传代;每周换液2-3次。;生长特性:贴壁;形态特性:详见产品说明书;相关产品有:OVCAR.8细胞、H-2073细胞、LAN-5细胞

BMU-S1 Cells;背景说明:皮肤;传代方法:1:2-1:3传代;每周换液2-3次。;生长特性:贴壁;形态特性:详见产品说明书;相关产品有:Caco 2细胞、NCI-H1781细胞、SW 982细胞

H-1092 Cells;背景说明:详见相关文献介绍;传代方法:随细胞的密度而增加;生长特性:悬浮生长;形态特性:详见产品说明书;相关产品有:Hs 863.T细胞、MCF 10A细胞、H-1238细胞

T 98 G Cells;背景说明:详见相关文献介绍;传代方法:按1:3传代;生长特性:贴壁生长;形态特性:详见产品说明书;相关产品有:FHs74Int细胞、MLA144细胞、MPC-83细胞

LIXC002 Cells;背景说明:详见相关文献介绍;传代方法:1:3传代,3-4天传1次;生长特性:贴壁生长;形态特性:上皮细胞样;相关产品有:OCI/AML4细胞、Becker细胞、PC2细胞

NCIH209 Cells;背景说明:详见相关文献介绍;传代方法:1:2-1:4传代;每周换液2次。;生长特性:悬浮生长,有少数细胞疏松贴壁;形态特性:上皮样;相关产品有:LA-N-5细胞、Capan 1细胞、VE细胞

FHCRC-11 Cells;背景说明:该细胞源自一位14岁患有T淋巴细胞白血病男性的外周血;传代方法:保持细胞密度在3—9×105cells/ml之间,1:5—1:10传代,每周换液2—3次;生长特性:悬浮生长;形态特性:圆形,单个或呈片;相关产品有:Metastatic Variant-522细胞、SupT1细胞、NCI-H2227细胞

VE Cells;背景说明:血管;内皮 Cells;传代方法:1:2-1:3传代;每周换液2-3次。;生长特性:贴壁;形态特性:详见产品说明书;相关产品有:GC-2spd(ts)细胞、LM3细胞、EA.Hy926细胞

JIMT-1 Cells;背景说明:乳腺癌;女性;传代方法:1:2-1:3传代;每周换液2-3次。;生长特性:贴壁;形态特性:详见产品说明书;相关产品有:TFK1细胞、H-1568细胞、BJA-B细胞

H-2141 Cells;背景说明:详见相关文献介绍;传代方法:3-4天换液1次。;生长特性:悬浮生长;形态特性:聚团悬浮;相关产品有:67NR细胞、TK10细胞、bEND.3细胞

Fortner's melanotic melanoma #3 Cells;背景说明:详见相关文献介绍;传代方法:1:2-1:3传代;每周换液2-3次。;生长特性:贴壁或悬浮,详见产品说明书部分;形态特性:详见产品说明书;相关产品有:C4I细胞、AR4-IP细胞、NCI-H2347细胞

HPDE Cells;背景说明:详见相关文献介绍;传代方法:1:2传代;生长特性:贴壁生长 ;形态特性:详见产品说明书;相关产品有:PC2细胞、CTSC-3细胞、P3X63 AG 8.653细胞

OVCAR-433 Cells;背景说明:卵巢癌;女性;传代方法:1:2-1:3传代;每周换液2-3次。;生长特性:贴壁;形态特性:详见产品说明书;相关产品有:MDA-MB-435 S细胞、BC3H1细胞、Hs578Bst细胞

RPMI 8226/S Cells;背景说明:来源于一位61岁的男性浆细胞瘤患者;可产生免疫球蛋白轻链,未检测到重链。;传代方法:按1:2传代,5-6小时可以看到细胞分裂;生长特性:悬浮生长;形态特性:淋巴母细胞样;相关产品有:AC16 [Human hybrid]细胞、NCIH1650细胞、PANC-1细胞

HGC27 Cells;背景说明:未分化胃癌,能分泌粘液素。;传代方法:消化3-5分钟,1:2,3天内可长满;生长特性:贴壁生长;形态特性:上皮样;相关产品有:SK BR 03细胞、MDA-134细胞、Hep G2细胞

NCTC 1469 Cells;背景说明:1952年建系,源于正常C3H/An小鼠的肝脏组织,表达H-2K抗原,鼠痘病毒阴性。;传代方法:1:2-1:3传代;每周换液2-3次。;生长特性:贴壁;形态特性:淋巴母细胞;相关产品有:WiDrTC细胞、Rat Glomerular Endothelial细胞、HCC-1171细胞

SR Cells;背景说明:间变性大细胞淋巴瘤;男性;传代方法:1:2-1:3传代;每周换液2-3次。;生长特性:悬浮;形态特性:详见产品说明书;相关产品有:RPMI 1788细胞、CaEs17细胞、MALME.3M细胞

CRFK Cells;背景说明:肾;自发永生;女性;传代方法:1:2-1:3传代;每周换液2-3次。;生长特性:贴壁;形态特性:详见产品说明书;相关产品有:TCC-PAN2细胞、JVM3细胞、NCI.H522细胞

GM20652 Cells(提供STR鉴定图谱)

HAP1 KAT7 (-) 3 Cells(提供STR鉴定图谱)

HCT116-SLC11A2-KO-c6 Cells(提供STR鉴定图谱)

HPS1940 Cells(提供STR鉴定图谱)

JUCTCi002-A Cells(提供STR鉴定图谱)

MDCK-E [Taiwan] Cells(提供STR鉴定图谱)

ND50101 Cells(提供STR鉴定图谱)

PSP00361IN Cells(提供STR鉴定图谱)

SNU-2964 Cells(提供STR鉴定图谱)

Ubigene HCT 116 HNF1B KO Cells(提供STR鉴定图谱)

W9.5 Cells(提供STR鉴定图谱)

46/4 Cells(提供STR鉴定图谱)

BNL.1ME A.7R.1 Cells;背景说明:肝;上皮细胞;BALB/c;传代方法:1:2-1:3传代;每周换液2-3次。;生长特性:贴壁;形态特性:详见产品说明书;相关产品有:NCI-H740细胞、NCI-SNU-C1细胞、3T3-Swiss albino细胞

NCI-H-128 Cells;背景说明:小细胞肺癌;胸腔积液转移;男性;传代方法:1:2-1:3传代;每周换液2-3次。;生长特性:贴壁;形态特性:详见产品说明书;相关产品有:RPMI 8226/S细胞、NRK-49F细胞、C-127细胞

PC-3M-1E8 Cells;背景说明:前列腺癌;男性;传代方法:1:2-1:3传代;每周换液2-3次。;生长特性:贴壁;形态特性:详见产品说明书;相关产品有:OVCAR-4细胞、ARH 77细胞、QBI-293A细胞

GM-346 Cells;背景说明:皮下结缔组织;自发永生;雄性;C3H/An;传代方法:1:2-1:3传代;每周换液2-3次。;生长特性:贴壁;形态特性:详见产品说明书;相关产品有:OVHM细胞、KM H-2细胞、NBLS细胞

NCI-H1341 Cells;背景说明:详见相关文献介绍;传代方法:3-4天换液1次。;生长特性:悬浮生长;形态特性:圆形细胞;相关产品有:SNU-407细胞、Case 3细胞、Dysplastic Oral Keratinocyte细胞

OP-9 Cells;背景说明:骨髓基质;C57BL/6 x C3H;传代方法:1:2-1:3传代;每周换液2-3次。;生长特性:贴壁;形态特性:详见产品说明书;相关产品有:MADB-106细胞、RERF-LCMS细胞、Y3-Ag1.2.3细胞

CG4 Cells;背景说明:少突胶质前体细胞;SD大鼠;传代方法:1:2-1:3传代;每周换液2-3次。;生长特性:半贴壁;形态特性:详见产品说明书;相关产品有:PaTu 8988s细胞、PLC/PRF/5细胞、HCC1954-BL细胞

F36P Cells;背景说明:详见相关文献介绍;传代方法:每周2次换液;生长特性:贴壁或悬浮,详见产品说明书部分;形态特性:详见产品说明书;相关产品有:MiaPaCa-2细胞、WM-266-4细胞、373MG细胞

CHL-11 Cells;背景说明:详见相关文献介绍;传代方法:1:2-1:3传代;每周换液2-3次。;生长特性:贴壁或悬浮,详见产品说明书部分;形态特性:详见产品说明书;相关产品有:U373 MG细胞、Chang Cells细胞、HC11 Mammary Epithelium细胞

HS578T Cells;背景说明:详见相关文献介绍;传代方法:1:2-1:3传代;每周换液2-3次。;生长特性:贴壁或悬浮,详见产品说明书部分;形态特性:详见产品说明书;相关产品有:MDA-468细胞、EAhy 926细胞、LA-N-6(OAN)细胞

2780 Cells;背景说明:详见相关文献介绍;传代方法:1:2传代;生长特性:贴壁生长;形态特性:上皮细胞样;相关产品有:aTC1 Clone 6细胞、T-47D细胞、HCC-1428细胞

ECC12 Cells;背景说明:详见相关文献介绍;传代方法:1:2传代;生长特性:贴壁或悬浮,详见产品说明书部分;形态特性:详见产品说明书;相关产品有:HEK-EBNA细胞、U-118 MG细胞、Tadarida brasiliensis 1 lung细胞

Caco2-BBE Cells;背景说明:详见相关文献介绍;传代方法:1:6—1:10传代,每周换液2次;生长特性:贴壁生长;形态特性:上皮细胞;相关产品有:Hs729细胞、OCI-AML5细胞、Embryonic Bovine Tracheal cells细胞

MDA-MB415 Cells;背景说明:这株细胞表达WNT7B癌基因。8168088].带瘤患者来自巴拉圭,虽然填报的是白人,但细胞表型存在G6PDA型,显示其属于混血。细胞株形成平展延伸的上皮细胞样,在电镜下呈现结节,伴随着延伸的微管和微板。不容易用胰酶消化。;传代方法:消化5-10分钟。1:2。4-5天长满。;生长特性:贴壁生长;形态特性:上皮细胞;相关产品有:VMCUB-1细胞、CAL 85-1细胞、Y-1细胞

SK.MEL.5 Cells;背景说明:详见相关文献介绍;传代方法:1:3-1:6传代,2-3天换液1次。;生长特性:贴壁生长;形态特性:星形的;相关产品有:Co 115细胞、HCT.116细胞、PLA801C细胞

Hs832T Cells;背景说明:卵巢,恶性囊肿;传代方法:1:2-1:3传代;每周换液2-3次。;生长特性:贴壁;形态特性:详见产品说明书;相关产品有:PA I细胞、SCL I细胞、mIMCD-3细胞

HELF Cells;背景说明:详见相关文献介绍;传代方法:1:2传代;生长特性:贴壁生长 ;形态特性:详见产品说明书;相关产品有:BAR-T细胞、MBT-2细胞、CAL-120细胞

NFHIOSE-29 Cells;背景说明:卵巢;上皮细胞;女性;传代方法:1:2-1:3传代;每周换液2-3次。;生长特性:贴壁;形态特性:详见产品说明书;相关产品有:NCM356细胞、NCI-H2029细胞、NCIH1341细胞

CATH.a Cells;背景说明:神经;SV40转化;C57BL/6 x DBA/2;传代方法:1:2-1:3传代;每周换液2-3次。;生长特性:贴壁;形态特性:详见产品说明书;相关产品有:ECC 12细胞、NCIADRRES细胞、SUP-M2细胞

NCI-H847 Cells;背景说明:详见相关文献介绍;传代方法:1:2-1:3传代;每周换液2-3次。;生长特性:贴壁或悬浮,详见产品说明书部分;形态特性:详见产品说明书;相关产品有:Namalwa细胞、NCI-H-128细胞、IPLB-SF 21AE细胞

COLO-320HSR Cells;背景说明:该细胞1984年建系,源自一位33岁患有大肠腺癌男性经5-fu治疗后的腹水。;传代方法:1:2传代。3天内可长满。;生长特性:半贴壁生长;形态特性:详见产品说明书;相关产品有:UACC-812细胞、G-401细胞、NIH3T3细胞

MV4:11 Cells;背景说明:详见相关文献介绍;传代方法:1:2-1:3传代;每周换液2-3次。;生长特性:贴壁或悬浮,详见产品说明书部分;形态特性:详见产品说明书;相关产品有:P30OHK细胞、K1细胞、BXPC3细胞

HCCC-9810 Cells;背景说明:HCCC-9810细胞株源自一位女性肝胆管细胞癌患者。 HCCC-9810细胞呈上皮细胞样,染色体模式数为71,但染色体数目可以在22-117的范围内变动。倍增时间为20.4小时。 AFP,CEA和CA19-9的分泌水平低,在裸鼠中的成瘤率为20%。;传代方法:1:2传代;生长特性:贴壁生长;形态特性:上皮细胞样;相关产品有:ES2细胞、CAL-148细胞、MDA-MB-231细胞

HL-60 Cells;背景说明:该细胞由CollinsSJ从一位患有急性早幼粒细胞性白血病的36岁白人女性的外周血中分离建立;可自发分化,或在盐、次黄嘌呤、佛波醇肉豆蔻酸(PMA,TPA)、DMSO(1%to1.5%)、D和视黄酸的刺激下发生分化;PMA刺激后可分泌TNF-α。该细胞具有吞噬活性和趋化反应,癌基因myc阳性,表达补体受体和FcR。;传代方法:维持细胞浓度在1×105-1×106/ml,每2-3天换液1次。;生长特性:悬浮生长;形态特性:髓母细胞样;相关产品有:Panc-813细胞、CX-1细胞、KNS62细胞

HT-29/CX-1 Cells;背景说明:详见相关文献介绍;传代方法:1:2-1:3传代;每周换液2-3次。;生长特性:贴壁或悬浮,详见产品说明书部分;形态特性:详见产品说明书;相关产品有:231-luc细胞、PC-3/M细胞、HL60细胞

RMS1598 Cells;背景说明:详见相关文献介绍;传代方法:消化3-5分钟。1:2。3天内可长满。;生长特性:贴壁生长;形态特性:成纤维细胞;相关产品有:NCIH1355细胞、T2细胞、Ramos 1细胞

MKN74 Cells#人胃癌细胞系保种中心(通过STR鉴定)

NCTC-3960 Cells;背景说明:黑色素瘤;雄性;DBA;传代方法:1:2-1:3传代;每周换液2-3次。;生长特性:贴壁;形态特性:详见产品说明书;相关产品有:JVM-2细胞、HuT102细胞、TPC-1细胞

NCI-H1650 Cells;背景说明:该细胞是从一名27岁白人男性(10年烟龄)支气管肺泡癌患者的胸腔积液中分离得到的。;传代方法:1:4-1:6传代;2-3天换液1次。;生长特性:贴壁生长;形态特性:上皮细胞样;相关产品有:P30/0HK细胞、Normal fibroblast-10细胞、SKRC-42细胞

P19 Cells;背景说明:P19细胞株是从C3H/He小鼠中诱导的恶性畸胎瘤中建立的。该细胞在含有0.1mM的培养基中可高效率地克隆。该细胞具有多能性,在500nM维A酸诱导下可以分化成神经和神经胶质样细胞;在0.5%~1.0%二甲亚砜(DMSO)存在下,分化形成心脏和骨骼肌样细胞,但不形成神经或神经胶质样细胞;在DMSO和维A酸同时存在时,细胞的分化与只有维A酸一样。;传代方法:1:2传代;生长特性:贴壁生长;形态特性:上皮样;相关产品有:KYSE140细胞、LN-18细胞、L 363细胞

H1688 Cells;背景说明:详见相关文献介绍;传代方法:1:2-1:3传代;每周换液2-3次。;生长特性:贴壁或悬浮,详见产品说明书部分;形态特性:详见产品说明书;相关产品有:T/G HA VSMC细胞、KLM1细胞、HEL-299细胞

RMS13 Cells;背景说明:肺泡横纹肌肉瘤;骨髓转移;传代方法:1:2-1:3传代;每周换液2-3次。;生长特性:贴壁;形态特性:详见产品说明书;相关产品有:WM115-mel细胞、P3 NS1 Ag4细胞、SP2细胞

┈订┈购(技术服务)┈热┈线:1┈3┈6┈4┈1┈9┈3┈0┈7┈9┈1【微信同号】┈Q┈Q:3┈1┈8┈0┈8┈0┈7┈3┈2┈4;

NALM-6-M1 Cells;背景说明:急性B淋巴细胞白血病;男性;传代方法:1:2-1:3传代;每周换液2-3次。;生长特性:悬浮;形态特性:详见产品说明书;相关产品有:HCC-15细胞、KRCY细胞、LAD 2细胞

DMS 79 Cells;背景说明:详见相关文献介绍;传代方法:1:2-1:4传代;每周换液2-3次。;生长特性:悬浮生长;形态特性:详见产品说明书;相关产品有:SH-SY5Y Parental细胞、Cates-1B细胞、HN6细胞

SKNDZ Cells;背景说明:详见相关文献介绍;传代方法:1:2传代;生长特性:贴壁生长;形态特性:详见产品说明书;相关产品有:751-NA-15细胞、SK-Hep1细胞、CCD1112Sk细胞

H-1963 Cells;背景说明:详见相关文献介绍;传代方法:每周换液2次。;生长特性:悬浮生长;形态特性:详见产品说明书;相关产品有:CTX TNA2细胞、MLA-144细胞、NCIADRRES细胞

MDCC MSB1 Cells;背景说明:淋巴瘤;传代方法:1:2-1:3传代;每周换液2-3次。;生长特性:悬浮;形态特性:详见产品说明书;相关产品有:MLA-144细胞、NCI H2106细胞、Jurkat77细胞

HPAF Cells;背景说明:详见相关文献介绍;传代方法:1:2-1:3传代;每周换液2-3次。;生长特性:贴壁或悬浮,详见产品说明书部分;形态特性:详见产品说明书;相关产品有:GOTO细胞、Jurkat-FHCRC细胞、RD-2细胞

WM115-mel Cells;背景说明:黑色素瘤;女性;传代方法:1:2-1:3传代;每周换液2-3次。;生长特性:贴壁;形态特性:详见产品说明书;相关产品有:H820细胞、U2932细胞、ME180细胞

BayGenomics ES cell line RRA129 Cells(提供STR鉴定图谱)

BayGenomics ES cell line XE228 Cells(提供STR鉴定图谱)

CT14-G4 Cells(提供STR鉴定图谱)

MFS8 Cells(提供STR鉴定图谱)

SP1 Cells(提供STR鉴定图谱)

LR10.6 Cells(提供STR鉴定图谱)

"



MKN74 Cells#人胃癌细胞系保种;复苏细胞系;细胞STR鉴定报告;细胞STR鉴定图谱;ATCC|DSMZ细胞库;

公司简介

公司提供ATCC、DSMZ、ECACC、NCI-DTP、RCB(Riken)等细胞系

成立日期 (9年)
注册资本 635万人民币
员工人数 50-100人
年营业额 ¥ 1亿以上
经营模式 贸易,工厂,服务
主营行业 细胞培养,细胞生物学,生物技术服务

MKN74 Cells#人胃癌细胞系保种中心(通过STR鉴定)相关厂家报价

内容声明
拨打电话 立即询价