基本信息 产品详情 公司简介 推荐产品
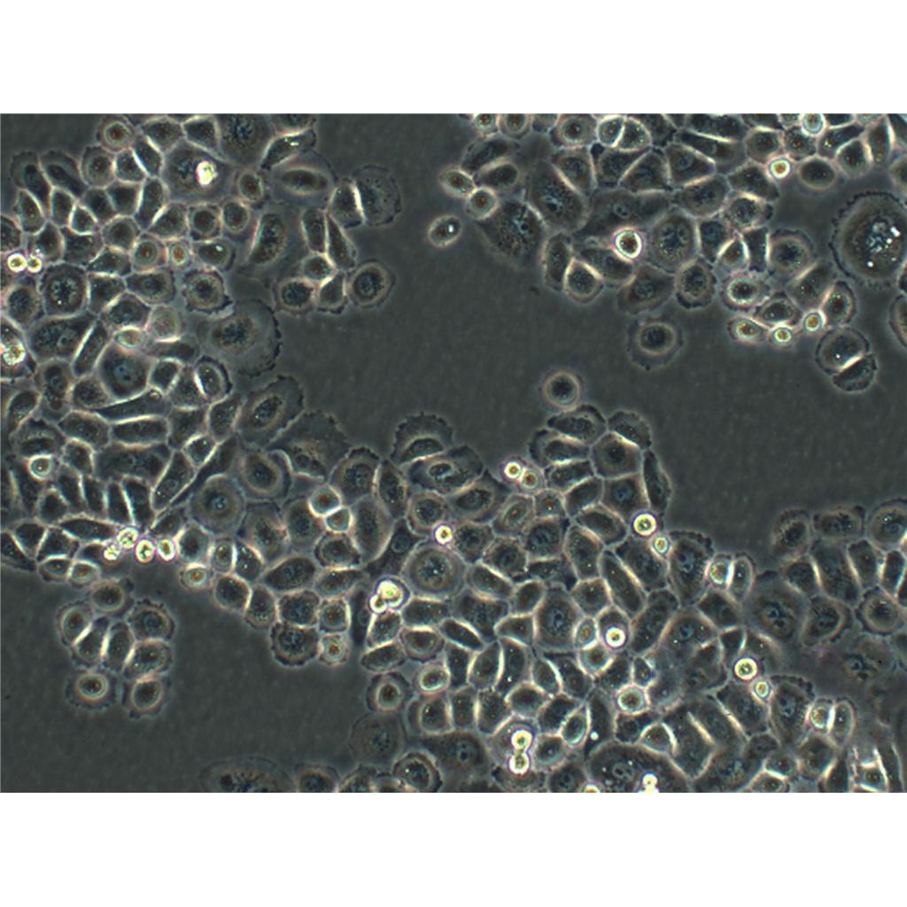
网站主页 KYSE30 CELLS:人食道鳞状细胞癌细胞系 KYSE 30 Cells人食道癌可传代细胞系(送STR鉴定图谱)
  • KYSE 30 Cells人食道癌可传代细胞系(送STR鉴定图谱)
  • KYSE 30 Cells人食道癌可传代细胞系(送STR鉴定图谱)
  • KYSE 30 Cells人食道癌可传代细胞系(送STR鉴定图谱)

1/3

KYSE 30 Cells人食道癌可传代细胞系(送STR鉴定图谱)

KYSE 30 Cells
询价 1000000Cells/瓶 起订
2000000Cells/瓶 起订
上海 更新日期:2025-12-31

上海宾穗生物科技有限公司

非会员
联系人:刘***
电话:183***
手机:183***
邮箱:129***

产品详情:

中文名称:
KYSE 30 Cells人食道癌可传代细胞系(送STR鉴定图谱)
英文名称:
KYSE 30 Cells
品牌:
ATCC、DSMZ等
产地:
美国、欧洲、德国等
保存条件:
低温避光
纯度规格:
KYSE 30 Cells人食道癌可传代细胞系(送STR鉴定图谱)
产品类别:
DSMZ细胞库 DSMZ细胞
货号:
详见细胞说明书
种属:
详见细胞说明书
组织:
详见细胞说明书
细胞系:
详见细胞说明书
用途范围:
详见细胞说明书
规格:
1*10^6cells/T25(1瓶)或1ml冻存管(2支)
是否进口:
来源ATCC、DSMZ、ECACC等细胞库
组织来源:
详见细胞说明书
是否是肿瘤细胞:
详见细胞说明书
细胞形态:
详见细胞说明书
生长状态:
详见细胞说明书
靶点:
详见细胞说明书
应用:
详见细胞说明书
器官来源:
详见细胞说明书
品系:
详见细胞说明书
免疫类型:
详见细胞说明书
物种来源:
人源或其它动物来源等
保质期:
可长期保存(液氮低温冻存)

"KYSE 30 Cells人食道癌可传代细胞系(送STR鉴定图谱)

形态特性:上皮细胞样

生长特性:贴壁

背景信息:来源于一位64岁,患有高分化的中段食管鳞癌的男性患者。

KYSE 30 Cells人食道癌可传代细胞系(送STR鉴定图谱)

┈订┈购(技术服务)┈热┈线:1┈3┈6┈4┈1┈9┈3┈0┈7┈9┈1【微信同号】┈Q┈Q:3┈1┈8┈0┈8┈0┈7┈3┈2┈4;

GM12343 Cells(提供STR鉴定图谱)

HAP1 EIF2D (-) 3 Cells(提供STR鉴定图谱)

细胞培养过程中相关问题总结:悬浮性细胞应如何继代处理?一般仅需持续加入新鲜培养基于原培养角瓶中,稀释细胞浓度即可,若培养太多时,可将培养角瓶口端稍微抬GAO,直到无法容纳为止。分瓶时取出一部份含细胞之培养至另一新的培养角瓶,加入新鲜培养基稀释至适当浓度,重复前述步骤即可。欲将一般动物细胞离心下来,其离心速率应为多少转速?欲回收动物细胞,其离心速率一般为300xg(约1,000rpm),5-10分钟,过GAO之转速,将造成细胞死亡;细胞之接种密度为何?依照细胞株基本数据上之接种密度或稀释分盘之比例接种即可。细胞数太少或稀释的太多亦是造成细胞无法生长之一重要原因;细胞冷冻培养基之成份为何?动物细胞冷冻保存时Zui常使用的冷冻培养基是含5-10%DMSO(dimehyl sulfoxide)和90-95%原来细胞生长用之新鲜培养基均匀混合之。注意:由于DMSO稀释时会放出大量热能,故不可将DMSO直接加入细胞中,必须使用前先行配制完成;DMSO之等级和无菌过滤之方式为何?冷冻保存使用之DMSO等级,必须为issue culure grade之DMSO,其本身即为无菌状况,第一次开瓶后应立即少量分装于无菌试管中,保存于4°C,避免反复冷冻解冻造成DMSO之裂解而释出有害物质,并可减少污染之机会。若要过滤DMSO,则须使用耐DMSO之Nylon材质滤膜;冷冻保存细胞之方法?冷冻保存方法一:冷冻管置于4°C 30~60分钟→ (-20°C 30分钟)→-80°C 16~18小时(或隔夜)→槽vaporphase长期储存。冷冻保存方法二:冷冻管置于已设定程序之可程序降温机中每分钟降1-3°C至–80°C以下,再放入槽vapor phase长期储存。-20°C不可超过1小时,以防止冰晶过大,造成细胞大量死亡,亦可跳过此步骤直接放入-80°C冰箱中,惟存活率稍微降低一些;细胞欲冷冻保存时,细胞冷冻管内应有多少细胞浓度?冷冻管内细胞数目一般为1x10(6)/ml vial,融合瘤细胞则以5x10(6)/ml vial为宜;应如何避免细胞污染?细胞污染的种类可分成细菌、酵母菌、霉菌、病毒和霉浆菌。主要的污染原因为无菌操作技术不当、操作室环境不佳、污染之血清和污染之细胞等。严格之无菌操作技术、清洁的环境、与品质良HAO之细胞来源和培养基配制是减低污染之ZuiHAO方法;如果细胞发生微生物污染时,应如何处理?直接灭菌后丢弃之。

HAP1 VAMP1 (-) 2 Cells(提供STR鉴定图谱)

HIME Cells(提供STR鉴定图谱)

换液周期:每周2-3次

ATCC细胞库(American Type Culture Colection),该中心一直致力于细胞分类、鉴定和保藏工作。ATCC是全球最大的生物资源保藏中心,ATCC通过行业标准产品、服务和创新解决方案支持全球学术、政府、生物技术、制药、食品、农业和工业领域的科学进步。ATCC提供的服务和定制解决方案包括细胞和微生物培养、鉴定、生物衍生物的开发和生产、性能测试和生物资源保藏服务。美国国家标准协会(ANSI)认可了ATCC标准开发组织,并制定了标准协议,以确保生物材料的可靠性和可重复性。ATCC的使命是为了获取、鉴定、保存、开发、标准化和分发生物资源和生物信息,以提高和应用生物科学知识。

传代比例:1:2-1:4(首次传代建议1:2)

产品包装:复苏发货:T25培养瓶(一瓶)或冻存发货:1ml冻存管(两支)

KYSE 30 Cells人食道癌可传代细胞系(送STR鉴定图谱)

┈订┈购(技术服务)┈热┈线:1┈3┈6┈4┈1┈9┈3┈0┈7┈9┈1【微信同号】┈Q┈Q:3┈1┈8┈0┈8┈0┈7┈3┈2┈4;

来源说明:细胞主要来源ATCC、ECACC、DSMZ、RIKEN等细胞库

IPLB-HZ-1079 Cells(提供STR鉴定图谱)

MARC.OKF Cells(提供STR鉴定图谱)

ND09783 Cells(提供STR鉴定图谱)

piPS2 Cells(提供STR鉴定图谱)

SG0020 Cells(提供STR鉴定图谱)

物种来源:人源、鼠源等其它物种来源

公司细胞库冻存并保种有2300多种各类细胞系。针对每种不同的细胞系,公司摸索并积累了大量细胞培养条件和YOU化参数,为您的细胞实验保驾护航。细胞培养是生命科学研究中Zui基础、也是Zui常用的实验手段。从冻存→复苏→传代→实验,在每一次细胞培养的过程中我们都是精心呵护,小心培养,心里都是默默承诺:我要护你一世周全!可是可是……无数次细胞都因污染而离我而去,投入的不只是我们貌美如花的青春,还有那一去不复返的经费!在细胞生物学,生物化学,免疫学,神经生物学,病理学……只要涉及细胞的研究领域,都面临着支原体污染的威胁。在众多污染物中,也就属支原体Zui狡猾了,他Zui善于隐藏自己,因为被支原体污染的细胞不会马上死亡,但会改变细胞的新陈代谢,甚至会改变细胞的基因表达谱,我们就这样被欺骗了无数次,谁让我们就是个看“颜值”的花痴了。可是我们通过被虐了几百次的经验中总结出来,当你的细胞出现了这些症状时:生长速率改变;活性减弱;形态改变;染色体畸变;转染效率显著降低;细胞复苏后存活率降低……。那你就得千万小心了,也许你的细胞已经被支原体欺凌了!

3B9-10 Cells(提供STR鉴定图谱)

Abcam Hep-G2 ARRB2 KO Cells(提供STR鉴定图谱)

Akata EBER(-) EBV Cells(提供STR鉴定图谱)

BayGenomics ES cell line RRJ388 Cells(提供STR鉴定图谱)

BayGenomics ES cell line XK355 Cells(提供STR鉴定图谱)

C8C37 Cells(提供STR鉴定图谱)

DA00348 Cells(提供STR鉴定图谱)

DA05829 Cells(提供STR鉴定图谱)

GM00097 Cells(提供STR鉴定图谱)

Tb1Lu Cells;背景说明:肺;传代方法:1:2-1:3传代;每周换液2-3次。;生长特性:贴壁;形态特性:详见产品说明书;相关产品有:J-774细胞、SUM-52细胞、BE(2)C细胞

HR8348 Cells;背景说明:详见相关文献介绍;传代方法:1:2-1:3传代;每周换液2-3次。;生长特性:贴壁或悬浮,详见产品说明书部分;形态特性:详见产品说明书;相关产品有:DHL10细胞、LS174T细胞、DMS153细胞

JTC-28 Cells;背景说明:详见相关文献介绍;传代方法:1:2传代。3天内可长满。;生长特性:贴壁生长;形态特性:上皮细胞;相关产品有:G 292 Clone A 141B1细胞、HSC2细胞、MD Anderson-Metastatic Breast-415细胞

NCIH2405 Cells;背景说明:详见相关文献介绍;传代方法:1:5-1:8传代;生长特性:混合生长;形态特性:详见产品说明书;相关产品有:H-865细胞、SHG 44细胞、143TK-细胞

H1734 Cells;背景说明:详见相关文献介绍;传代方法:1:4-1:6传代。;生长特性:贴壁生长;形态特性:上皮细胞样;相关产品有:H-250细胞、211H细胞、BE2C细胞

OVCAR 4 Cells;背景说明:详见相关文献介绍;传代方法:1:2-1:3传代;每周换液2-3次。;生长特性:贴壁或悬浮,详见产品说明书部分;形态特性:详见产品说明书;相关产品有:TSCC1细胞、HIEC细胞、NPA-87细胞

COR-L26 Cells;背景说明:详见相关文献介绍;传代方法:1:2-1:3传代;每周换液2-3次。;生长特性:贴壁或悬浮,详见产品说明书部分;形态特性:详见产品说明书;相关产品有:EJ 138细胞、Psi2 DAP细胞、JB-6细胞

JIMT1 Cells;背景说明:乳腺癌;女性;传代方法:1:2-1:3传代;每周换液2-3次。;生长特性:贴壁;形态特性:详见产品说明书;相关产品有:SKMel-28细胞、CL40细胞、Calu-6细胞

COLO 357 Cells;背景说明:胰腺癌;女性;传代方法:1:2-1:3传代;每周换液2-3次。;生长特性:贴壁;形态特性:详见产品说明书;相关产品有:MB-49细胞、PC 61-5-3细胞、AR42J细胞

NW-38 Cells;背景说明:详见相关文献介绍;传代方法:1:2-1:3传代;每周换液2-3次。;生长特性:贴壁或悬浮,详见产品说明书部分;形态特性:详见产品说明书;相关产品有:Y3-Ag1.2.3细胞、BEAS-2B细胞、Mevo细胞

P3-X63-Ag8.653 Cells;背景说明:详见相关文献介绍;传代方法:1:2-1:3传代;每周换液2-3次。;生长特性:贴壁或悬浮,详见产品说明书部分;形态特性:详见产品说明书;相关产品有:IMR 32细胞、SMMC 7721细胞、HCC-15细胞

OV 2008 Cells;背景说明:宫颈鳞癌;女性;传代方法:1:2-1:3传代;每周换液2-3次。;生长特性:贴壁;形态特性:详见产品说明书;相关产品有:FOXNY细胞、HFF-1细胞、NCI-H78细胞

OsA-CL Cells;背景说明:详见相关文献介绍;传代方法:1:5-1:10传代;每周换液2-3次。;生长特性:贴壁生长;形态特性:成纤维细胞;相关产品有:TE11细胞、TE6细胞、NRK 52E细胞

SU-DHL-4 Cells;背景说明:详见相关文献介绍;传代方法:1:2-1:3传代;每周换液2-3次。;生长特性:悬浮;形态特性:淋巴母细胞;相关产品有:NCI-522细胞、SW 579细胞、NIHOVCAR3细胞

SW 954 Cells;背景说明:详见相关文献介绍;传代方法:1:3-1:6传代,2-3天换液1次。;生长特性:贴壁生长;形态特性:上皮细胞;相关产品有:A375-S2细胞、Mel526细胞、SUIT 2细胞

NG 108-15 Cells;背景说明:详见相关文献介绍;传代方法:1:2-1:3传代;每周换液2-3次。;生长特性:贴壁或悬浮,详见产品说明书部分;形态特性:详见产品说明书;相关产品有:GM03569B细胞、MDA-MB-436细胞、A431细胞

NG 108-15 Cells;背景说明:详见相关文献介绍;传代方法:1:2-1:3传代;每周换液2-3次。;生长特性:贴壁或悬浮,详见产品说明书部分;形态特性:详见产品说明书;相关产品有:GM03569B细胞、MDA-MB-436细胞、A431细胞

HCC-1500 Cells;背景说明:详见相关文献介绍;传代方法:1:2-1:3传代;每3-5天换液;生长特性:贴壁生长;形态特性:上皮样;相关产品有:SKMES1细胞、Nb-2细胞、SW-1783细胞

16HBEo- Cells;背景说明:详见相关文献介绍;传代方法:1:2传代;生长特性:贴壁生长 ;形态特性:详见产品说明书;相关产品有:NCIH3255细胞、MH7A细胞、aNK细胞

H-1155 Cells;背景说明:详见相关文献介绍;传代方法:每周换液2-3次。;生长特性:悬浮生长;形态特性:上皮细胞;相关产品有:143BTK-细胞、LN 229细胞、hADSCs细胞

OCI-LY-18 Cells;背景说明:弥漫大B细胞淋巴瘤;男性;传代方法:1:2-1:3传代;每周换液2-3次。;生长特性:悬浮;形态特性:详见产品说明书;相关产品有:ROS17/2.8细胞、MCA38细胞、HCC-9724细胞

211H Cells;背景说明:MSTO-211H细胞株是1985年从一位肺二相间皮瘤患者的胸水中建株的。这个病人接受过多种药物联合前期化疗。MSTO-211H细胞具有高亲和力的EGF结合位点,并表达神经元特异性烯醇酶(NSE)及人绒毛膜促性腺激素(HCG)的α与β亚基。未检测到左旋多巴胺脱羧酶(DDC),邦巴辛与神经tensin。细胞过表达c-myc原癌基因,并没有观察到基因重排或扩增。V-src,v-abl,v-erbB,c-raf1,Ha-ras,Ki-ras,和N-ras的表达呈阳性。未检测到N-m;传代方法:消化3-5分钟。1:2。3天内可长满。;生长特性:贴壁生长;形态特性:成纤维细胞样;相关产品有:Gejiu Lung Carcinoma-82细胞、TO175T细胞、HSC 3细胞

KPL-1 Cells;背景说明:浸润性导管癌;女性;传代方法:1:2-1:3传代;每周换液2-3次。;生长特性:贴壁;形态特性:详见产品说明书;相关产品有:GM2219C细胞、WC00044细胞、Hs 940.T细胞

Case 3 Cells;背景说明:详见相关文献介绍;传代方法:1:2传代;生长特性:贴壁生长;形态特性:上皮样;相关产品有:NCIH2106细胞、BGC823细胞、H1666细胞

H-1963 Cells;背景说明:详见相关文献介绍;传代方法:每周换液2次。;生长特性:悬浮生长;形态特性:详见产品说明书;相关产品有:CTX TNA2细胞、OCI-AML-4细胞、SK-MEL24细胞

┈订┈购(技术服务)┈热┈线:1┈3┈6┈4┈1┈9┈3┈0┈7┈9┈1【微信同号】┈Q┈Q:3┈1┈8┈0┈8┈0┈7┈3┈2┈4;

CHL-IU Cells;背景说明:详见相关文献介绍;传代方法:1:2-1:3传代;每周换液2-3次。;生长特性:贴壁或悬浮,详见产品说明书部分;形态特性:详见产品说明书;相关产品有:KU-812-F细胞、SK-BR3细胞、QGY-7703细胞

CAL 85-1 Cells;背景说明:详见相关文献介绍;传代方法:1:2-1:3传代;每周换液2-3次。;生长特性:贴壁或悬浮,详见产品说明书部分;形态特性:详见产品说明书;相关产品有:Intestinal Epithelioid Cell line No. 18细胞、HIBEpiC细胞、SCC-7细胞

PC-3M-1E8 Cells;背景说明:前列腺癌;男性;传代方法:1:2-1:3传代;每周换液2-3次。;生长特性:贴壁;形态特性:详见产品说明书;相关产品有:OVCAR-4细胞、ARH 77细胞、QBI-293A细胞

SU.86.86 Cells;背景说明:详见相关文献介绍;传代方法:1:2传代;;生长特性:贴壁生长;形态特性:详见产品说明书;相关产品有:D6P2T细胞、U031细胞、IMR90细胞

OVCAR 420 Cells;背景说明:卵巢癌;女性;传代方法:1:2-1:3传代;每周换液2-3次。;生长特性:贴壁;形态特性:详见产品说明书;相关产品有:Panc 02.03细胞、GM01232细胞、Hs675T细胞

KYSE 30 Cells人食道癌可传代细胞系(送STR鉴定图谱)

CFSC-2G Cells;背景说明:详见相关文献介绍;传代方法:1:2传代;生长特性:贴壁生长;形态特性:详见产品说明书;相关产品有:H2405细胞、CCD-18Co细胞、NK 10a细胞

FHCRC subclone 11 Cells;背景说明:该细胞源自一位14岁患有T淋巴细胞白血病男性的外周血;传代方法:保持细胞密度在3—9×105cells/ml之间,1:5—1:10传代,每周换液2—3次;生长特性:悬浮生长;形态特性:圆形,单个或呈片;相关产品有:3T3细胞、OCM-1A细胞、ARO81细胞

bEnd.3[BEND3] Cells;背景说明:详见相关文献介绍;传代方法:1:2-1:3传代;每周换液2-3次。;生长特性:贴壁或悬浮,详见产品说明书部分;形态特性:详见产品说明书;相关产品有:H1819细胞、FL83B细胞、BC3 H1细胞

V79-1 Cells;背景说明:肺;自发永生;雄性;传代方法:1:2-1:3传代;每周换液2-3次。;生长特性:贴壁;形态特性:详见产品说明书;相关产品有:MM96L细胞、Capan1细胞、HEY-A8细胞

CATHa Cells;背景说明:神经;SV40转化;C57BL/6 x DBA/2;传代方法:1:2-1:3传代;每周换液2-3次。;生长特性:贴壁;形态特性:详见产品说明书;相关产品有:KMB17细胞、GM 637细胞、GM 637细胞

SW-756 Cells;背景说明:详见相关文献介绍;传代方法:1:2-1:3传代;每周换液2-3次。;生长特性:贴壁或悬浮,详见产品说明书部分;形态特性:详见产品说明书;相关产品有:CD-18细胞、H250细胞、PTK2细胞

RS411 Cells;背景说明:详见相关文献介绍;传代方法:每周2-3次;生长特性:悬浮生长;形态特性:成淋巴细胞;相关产品有:NT2-D1细胞、LAN-5细胞、HEK293-FT细胞

UACC-612 Cells(提供STR鉴定图谱)

UMILi018-A Cells(提供STR鉴定图谱)

24IA2E2E10D5 Cells(提供STR鉴定图谱)

VMM5A Cells;背景说明:黑色素瘤;神经节转移;男性;传代方法:1:2-1:3传代;每周换液2-3次。;生长特性:贴壁;形态特性:详见产品说明书;相关产品有:CX-1细胞、Fox/NY细胞、7860细胞

U118MG Cells;背景说明:注意: 据报道来自不同个体的胶质母细胞瘤细胞株U-118 MG (HTB-15) 和 U-138 MG (HTB-16)有着一致的VNTR和相近的STR模式。 U-118 MG 和 U-138 MG细胞遗传学上很相似并有至少六个衍生标记染色体。 这是1966年至1969年间J. Ponten和同事从恶性神经胶质瘤中构建的细胞株中的一株(其它包括ATCC HTB-14和 ATCC HTB-16 and ATCC HTB-17)。 1987年用BM-Cycline培养6周去除了支原体污染。 ;传代方法: 消化3-5分钟。1:2传代。3天内可长满。;生长特性:贴壁生长;形态特性:混合型;相关产品有:NCI-H2141细胞、TCCSUP细胞、SNU-878细胞

SCL-1 Cells;背景说明:详见相关文献介绍;传代方法:1:2-1:3传代;每周换液2-3次。;生长特性:贴壁;形态特性:上皮细胞样;相关产品有:MDA-MB-175-VII细胞、SO-RB50细胞、NCI-H1581细胞

RCC23 Cells;背景说明:详见相关文献介绍;传代方法:1:2-1:3传代;每周换液2-3次。;生长特性:贴壁或悬浮,详见产品说明书部分;形态特性:详见产品说明书;相关产品有:L 929细胞、BHK-21细胞、HCC-1438细胞

HNE1 Cells;背景说明:鼻咽部;男性;传代方法:1:2-1:3传代;每周换液2-3次。;生长特性:贴壁;形态特性:详见产品说明书;相关产品有:RINm5F细胞、TE-14细胞、AX-Mel细胞

N-2a Cells;背景说明:详见相关文献介绍;传代方法:1:2-1:4传代;2-3天换液1次;生长特性:贴壁生长;形态特性:详见产品说明书;相关产品有:SUDHL16细胞、B16-BL6细胞、NCI.H226细胞

J111 Cells;背景说明:单核细胞白血病;传代方法:1:2-1:3传代;每周换液2-3次。;生长特性:悬浮;形态特性:详见产品说明书;相关产品有:NCIH650细胞、Hs819T细胞、University of Michigan-Urothelial Carcinoma-14细胞

NCI-H526 Cells;背景说明:详见相关文献介绍;传代方法:每周换液2-3次。;生长特性:悬浮生长 ;形态特性:上皮细胞;相关产品有:P3-X63-Ag8.653细胞、HS-940-T细胞、MCMEC细胞

MD Anderson-Metastatic Breast-175-VIII Cells;背景说明:该细胞源自一位54岁患有乳腺导管癌白人女性的胸腔积液。;传代方法:1:2—1:6传代,每周换液2—3次;生长特性:松散贴壁生长;形态特性:上皮细胞样;相关产品有:LM TK negative细胞、MDAMB175细胞、OVCAR 5细胞

H-23 Cells;背景说明:详见相关文献介绍;传代方法:1:3传代;3-4天1次。;生长特性:贴壁生长;形态特性:上皮样;相关产品有:L 363细胞、SK-N-BE(2C)细胞、NCI-H187细胞

NS1-Ag4 Cells;背景说明:这是P3X63Ag8(ATCCTIB-9)的一个不分泌克隆。Kappa链合成了但不分泌。能抗0.1mM8-氮杂鸟嘌呤但不能在HAT培养基中生长。据报道它是由于缺失了3-酮类固醇还原酶活性的胆固醇营养缺陷型。检测表明肢骨发育畸形病毒(鼠痘)阴性。;传代方法:1:2传代,3天内可长满。;生长特性:悬浮生长;形态特性:淋巴母细胞;相关产品有:NCI-H2196细胞、OCI-Ly 3细胞、SW-626细胞

b.End3 Cells;背景说明:详见相关文献介绍;传代方法:1:2-1:3传代;每周换液2-3次。;生长特性:贴壁或悬浮,详见产品说明书部分;形态特性:详见产品说明书;相关产品有:Calu 6细胞、C1498细胞、8305-C细胞

ARO-81 Cells;背景说明:甲状腺癌;女性;传代方法:1:2-1:3传代;每周换液2-3次。;生长特性:贴壁;形态特性:详见产品说明书;相关产品有:CT-26细胞、RCC4细胞、SK-N-BE(1)细胞

Fukuoka University-Malignant mixed Mullerian Tumor-1 Cells;背景说明:子宫肉瘤;女性;传代方法:1:2-1:3传代;每周换液2-3次。;生长特性:贴壁;形态特性:详见产品说明书;相关产品有:Hs600T细胞、NCI-SNU-182细胞、NRK clone 52E细胞

MHCC-97 Cells;背景说明:详见相关文献介绍;传代方法:1:2-1:3传代;每周换液2-3次。;生长特性:贴壁或悬浮,详见产品说明书部分;形态特性:详见产品说明书;相关产品有:U-343细胞、LL2细胞、PTK-1细胞

CAL62 Cells;背景说明:详见相关文献介绍;传代方法:1:2-1:3传代;每周换液2-3次。;生长特性:贴壁或悬浮,详见产品说明书部分;形态特性:详见产品说明书;相关产品有:H-2405细胞、NCI-H-82细胞、AgC11x3A细胞

GT39 Cells;背景说明:胃癌;传代方法:1:2-1:3传代;每周换液2-3次。;生长特性:贴壁;形态特性:详见产品说明书;相关产品有:NCI.H460细胞、RPMI8226细胞、HCC1588细胞

SKLU-1 Cells;背景说明:该细胞系源于一位60岁的白人女性患者的肺腺癌组织。;传代方法:1:2传代;每周换液2次。;生长特性:贴壁生长;形态特性:上皮细胞样;相关产品有:SK-Mel1细胞、WEHI 3细胞、D283-MED细胞

WILL2 Cells;背景说明:弥漫大B淋巴瘤;女性;传代方法:1:2-1:3传代;每周换液2-3次。;生长特性:悬浮;形态特性:详见产品说明书;相关产品有:H-128细胞、CORL279细胞、OVCAR-4细胞

WILL2 Cells;背景说明:弥漫大B淋巴瘤;女性;传代方法:1:2-1:3传代;每周换液2-3次。;生长特性:悬浮;形态特性:详见产品说明书;相关产品有:H-128细胞、CORL279细胞、OVCAR-4细胞

143 B Cells;背景说明:详见相关文献介绍;传代方法:1:2—1:5传代;每周换液2-3次;生长特性:贴壁生长;形态特性:混合型;相关产品有:NCI-SNU-407细胞、ARO-81细胞、SKM-1细胞

OCI-AML-5 Cells;背景说明:急性髓系白血病细胞;男性;传代方法:1:2-1:3传代;每周换液2-3次。;生长特性:悬浮;形态特性:详见产品说明书;相关产品有:SNU398细胞、16HBE细胞、SK-N-BE(2C)细胞

NCI-H460 Cells;背景说明:该细胞1982年由A.F.Gazdar建系,源自一位患有大细胞肺癌的男性的胸腔积液。该细胞角蛋白、波形蛋白阳性。;传代方法:1:2传代;生长特性:贴壁生长;形态特性:上皮样;相关产品有:SK Mel28细胞、NCI-H1793细胞、SW 480细胞

BNL CL.2 Cells;背景说明:详见相关文献介绍;传代方法:1:2传代;生长特性:贴壁生长 ;形态特性:详见产品说明书;相关产品有:TF1细胞、JURKAT E-6.1细胞、Colo-206F细胞

OVCA 433 Cells;背景说明:卵巢癌;女性;传代方法:1:2-1:3传代;每周换液2-3次。;生长特性:贴壁;形态特性:详见产品说明书;相关产品有:Japanese Tissue Culture-28细胞、HPAF-II细胞、H-1944细胞

SCC-15 Cells;背景说明:详见相关文献介绍;传代方法:1:4-1:8传代,2-3天换液1次。;生长特性:贴壁生长;形态特性:详见产品说明书;相关产品有:MKN 28细胞、SK-MEL-1细胞、OB2细胞

H735 Cells;背景说明:详见相关文献介绍;传代方法:1:2-1:3传代;每周换液2-3次。;生长特性:贴壁或悬浮,详见产品说明书部分;形态特性:详见产品说明书;相关产品有:Hs 934.T细胞、IPLB-Sf21AE细胞、CAL 12细胞

Lec1 Cells;背景说明:详见相关文献介绍;传代方法:1:2-1:3传代;每周换液2-3次。;生长特性:贴壁或悬浮,详见产品说明书部分;形态特性:详见产品说明书;相关产品有:ChaGo-K-1细胞、Caco-2/BBe 1细胞、EOMA细胞

┈订┈购(技术服务)┈热┈线:1┈3┈6┈4┈1┈9┈3┈0┈7┈9┈1【微信同号】┈Q┈Q:3┈1┈8┈0┈8┈0┈7┈3┈2┈4;

ECC-10 Cells;背景说明:详见相关文献介绍;传代方法:1:2传代;生长特性:贴壁或悬浮,详见产品说明书部分;形态特性:详见产品说明书;相关产品有:LICR-LON-HN6-R细胞、Z138细胞、MDA-MB436细胞

MDA-MB-231-GFP Cells;背景说明:详见相关文献介绍;传代方法:1:2-1:3传代;每周换液2-3次。;生长特性:贴壁或悬浮,详见产品说明书部分;形态特性:详见产品说明书;相关产品有:EJ细胞、LuCL4细胞、BTI-Tn-5B1-4细胞

HDLM-2 Cells;背景说明:霍奇金淋巴瘤;男性;传代方法:1:2-1:3传代;每周换液2-3次。;生长特性:悬浮;形态特性:详见产品说明书;相关产品有:MHCC-97细胞、D407细胞、H2106细胞

SKM-1 Cells;背景说明:详见相关文献介绍;传代方法:1:2传代;;生长特性:贴壁生长;形态特性:详见产品说明书;相关产品有:HGMC细胞、GM00637H细胞、L cells细胞

NCI-H1838 Cells;背景说明:详见相关文献介绍;传代方法:1:3-1:4传代;每周换液2次。;生长特性:贴壁生长;形态特性:上皮细胞;相关产品有:A3细胞、Strain V细胞、B16细胞

RetroPack PT67 Cells;背景说明:逆转录病毒包装细胞;雄性;NIH Swiss;传代方法:1:2-1:3传代;每周换液2-3次。;生长特性:贴壁;形态特性:详见产品说明书;相关产品有:MAD109细胞、SPCA-1细胞、COLO 206F细胞

H378 Cells;背景说明:小细胞肺癌;胸腔积液转移;女性;传代方法:1:2-1:3传代;每周换液2-3次。;生长特性:贴壁;形态特性:详见产品说明书;相关产品有:McA-RH 8994细胞、293T细胞、SK_N_BE2C细胞

3T3(A31) Cells;背景说明:胚胎;成纤维;自发永生;雄性;BALB/c;传代方法:1:2-1:3传代;每周换液2-3次。;生长特性:贴壁;形态特性:详见产品说明书;相关产品有:MKN-1细胞、HSKMC细胞、Hs 729T细胞

NK92 Cells;背景说明:NK细胞;淋巴瘤;男性;传代方法:1:2-1:3传代;每周换液2-3次。;生长特性:悬浮;形态特性:详见产品说明书;相关产品有:H-510细胞、NPA87-1细胞、P30-OHK细胞

NCI-H647 Cells;背景说明:详见相关文献介绍;传代方法:1:3-1:6传代;每周换液2次。;生长特性:贴壁生长;形态特性:详见产品说明书;相关产品有:SKMEL-31细胞、Ls-174-T细胞、SGC996细胞

KYSE 30 Cells人食道癌可传代细胞系(送STR鉴定图谱)

BayGenomics ES cell line CSI608 Cells(提供STR鉴定图谱)

BayGenomics ES cell line RST735 Cells(提供STR鉴定图谱)

C8Mab-1 Cells(提供STR鉴定图谱)

LN22R8 Cells(提供STR鉴定图谱)

R45-180-7 Cells(提供STR鉴定图谱)

RLD-2 Cells(提供STR鉴定图谱)

"



KYSE 30 Cells人食道癌可传代;复苏细胞系;细胞STR鉴定报告;细胞STR鉴定图谱;ATCC|DSMZ细胞库;

公司简介

公司提供ATCC、DSMZ、ECACC、NCI-DTP、RCB(Riken)等细胞系

成立日期 (9年)
注册资本 635万人民币
员工人数 50-100人
年营业额 ¥ 1亿以上
经营模式 贸易,工厂,服务
主营行业 细胞培养,细胞生物学,生物技术服务

KYSE 30 Cells人食道癌可传代细胞系(送STR鉴定图谱)相关厂家报价

内容声明
拨打电话 立即询价