基本信息 产品详情 公司简介 推荐产品
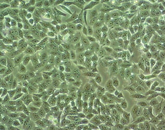
网站主页 KYSE410 CELLS:人食道鳞状细胞癌细胞系 KYSE 410 Cells人食管鳞癌可传代细胞系(送STR鉴定图谱)
  • KYSE 410 Cells人食管鳞癌可传代细胞系(送STR鉴定图谱)
  • KYSE 410 Cells人食管鳞癌可传代细胞系(送STR鉴定图谱)
  • KYSE 410 Cells人食管鳞癌可传代细胞系(送STR鉴定图谱)

1/3

KYSE 410 Cells人食管鳞癌可传代细胞系(送STR鉴定图谱)

KYSE 410 Cells
询价 1000000Cells/瓶 起订
2000000Cells/瓶 起订
上海 更新日期:2025-12-31

上海宾穗生物科技有限公司

非会员
联系人:刘***
电话:183***
手机:183***
邮箱:129***

产品详情:

中文名称:
KYSE 410 Cells人食管鳞癌可传代细胞系(送STR鉴定图谱)
英文名称:
KYSE 410 Cells
品牌:
ATCC、DSMZ等
产地:
美国、欧洲、德国等
保存条件:
低温避光
纯度规格:
KYSE 410 Cells人食管鳞癌可传代细胞系(送STR鉴定图谱)
产品类别:
DSMZ细胞库 DSMZ细胞
货号:
详见细胞说明书
种属:
详见细胞说明书
组织:
详见细胞说明书
细胞系:
详见细胞说明书
用途范围:
详见细胞说明书
规格:
1*10^6cells/T25(1瓶)或1ml冻存管(2支)
是否进口:
来源ATCC、DSMZ、ECACC等细胞库
组织来源:
详见细胞说明书
是否是肿瘤细胞:
详见细胞说明书
细胞形态:
详见细胞说明书
生长状态:
详见细胞说明书
靶点:
详见细胞说明书
应用:
详见细胞说明书
器官来源:
详见细胞说明书
品系:
详见细胞说明书
免疫类型:
详见细胞说明书
物种来源:
人源或其它动物来源等
保质期:
可长期保存(液氮低温冻存)

"KYSE 410 Cells人食管鳞癌可传代细胞系(送STR鉴定图谱)

形态特性:详见细胞说明书

生长特性:贴壁

背景信息:食管鳞癌;男性

KYSE 410 Cells人食管鳞癌可传代细胞系(送STR鉴定图谱)

┈订┈购(技术服务)┈热┈线:1┈3┈6┈4┈1┈9┈3┈0┈7┈9┈1【微信同号】┈Q┈Q:3┈1┈8┈0┈8┈0┈7┈3┈2┈4;

GM28344 Cells(提供STR鉴定图谱)

HAP1 PDCD5 (-) 2 Cells(提供STR鉴定图谱)

细胞培养基应用选择:选择培养基没有一定的标准,有几点建议可供参考:(1)建立某种细胞株所用的培养基应该是培养这种细胞的培养基。可以查阅参考文献,或在购买细胞株时咨询。(2)其它实验室惯用的培养基不妨一试,许多培养基可以适合多种细胞。(3)根据细胞株的点、实验的需要来选择培养基。如小鼠细胞株多选 RPMI1640。(4)用多种培养基培养目的细胞,观察其生长状态,可以用生长曲线、集落形成率等指标判断,根据实验结果选择Zui佳培养基,这是Zui客观的方法,但比较繁琐。以下是部分细胞常用的培养条件:293人胚胎肾细胞培养条件:MEM,10%热灭活马血清;IMR-90人肺成纤维细胞培养条件:MEM,10%胎牛血清和NEAA;W1-38人胚胎肺成纤维细胞培养条件:MEM,10%胎牛血清;A549人肺癌上皮细胞培养条件:F-12K,10%胎牛血清;A431人表皮癌细胞培养条件:DMEM,10%胎牛血清;BHL-100人乳房上皮细胞培养条件:McCoy'5A, 10%胎牛血清;BeWo人绒毛癌上皮滋养层细胞培养条件:F-12K,15%胎牛血清;Caco-2人结肠腺癌上皮细胞培养条件:MEM,10%胎牛血清和NEAA;Chang人肝脏上皮细胞培养条件:BME,10%小牛血清;HC-15人结肠直肠腺癌上皮细胞培养条件:RPMI-1640,10%胎牛血清;HEp-G2人肝细胞癌上皮细胞培养条件:MEM,10% 胎牛血清和NEAA;HEp-2人喉癌上皮细胞培养条件:MEM,10% 胎牛血清;或RPMI-1640,10%胎牛血清;H-29人结肠腺癌上皮细胞培养条件:McCoy'5A,10%胎牛血清;JEG-2人绒毛膜癌上皮细胞培养条件:MEM,10%胎牛血清;KB人口腔癌上皮细胞培养条件:MEM,10%胎牛血清和NEAA;Saos-2人骨肉瘤上皮细胞培养条件:McCoy'5A,15%胎牛血清;WI-38人胚胎肺上皮细胞培养条件:BME,10%胎牛血清;WISH人羊膜上皮细胞培养条件:BME, 10%胎牛血清;HUVEC人脐带内皮细胞培养条件:F-12K,10%胎牛血清和肝素100ug/ml;IM-9人骨髓瘤成淋巴细胞培养条件:RPMI-1640,10%胎牛血清;Daudi人淋巴瘤细胞培养条件:RPMI-1640,10%胎牛血清;Clone M-3小鼠黑素瘤上皮细胞培养条件:F-10,15%马血清和2.5%胎牛血清;BHK-21仓鼠肾成纤维细胞培养条件:GMEM,10%胎牛血清或MEM,10%胎牛血清和NEAA;CHO-K1仓鼠卵巢上皮细胞培养条件:F-12,10%胎牛血清;IEC-6大鼠正常小肠上皮样培养条件:DMEM,5%胎牛血清,胰岛素0.1μg/ml;COS-1猴肾成纤维细胞培养条件:MEM,10%胎牛血清;COS-3猴肾成纤维细胞培养条件:MEM,10%胎牛血清;COS-7猴非洲绿猴肾成纤维细胞培养条件:MEM,10%胎牛血清

HEV0032 Cells(提供STR鉴定图谱)

HS491 Cells(提供STR鉴定图谱)

换液周期:每周2-3次

细胞培养应用于分子生物学、细胞生物学、遗传学、免疫学、肿瘤学及病毒学等领域,细胞培养是指将细胞从动物或植物体内取出,然后在适宜的人工环境中生长的过程。细胞可以在培养前直接从组织中取出并通过酶或机械方法进行解离,也可以来源于已建立的细胞系。传代培养是指当细胞生长至高密度时,将其分殖至新的培养瓶中,以维持其生长和增殖。贴壁细胞是指在培养基表面附着生长的细胞,悬浮细胞是指在培养基中悬浮生长的细胞,不依附于培养皿表面。半贴壁半悬浮细胞同时具备贴壁细胞和悬浮细胞的特点,通常在培养基中部分附着生长,部分悬浮于培养基上。

传代比例:1:2-1:4(首次传代建议1:2)

产品包装:复苏发货:T25培养瓶(一瓶)或冻存发货:1ml冻存管(两支)

KYSE 410 Cells人食管鳞癌可传代细胞系(送STR鉴定图谱)

┈订┈购(技术服务)┈热┈线:1┈3┈6┈4┈1┈9┈3┈0┈7┈9┈1【微信同号】┈Q┈Q:3┈1┈8┈0┈8┈0┈7┈3┈2┈4;

来源说明:细胞主要来源ATCC、ECACC、DSMZ、RIKEN等细胞库

KOLF2.1J PDE10A 71.8KBDEL DEL/DEL Cells(提供STR鉴定图谱)

MO24 Cells(提供STR鉴定图谱)

NUT Cells(提供STR鉴定图谱)

RG-264 Cells(提供STR鉴定图谱)

STiPS O-XX2 Cells(提供STR鉴定图谱)

物种来源:人源、鼠源等其它物种来源

可以这样说,对于需要消化传代的细胞,每一次的消化都是对这个细胞存活与否,状态HAO与不HAO至关重要的考验。很多同学都遇到过这个问题,自己养的细胞开始的几代长的还挺HAO的,可是穿过几代之后就发现自己的细胞不行了,状态越来越差劲了。对于这个问题,可以非常肯定地说,你的消化环节出问题了。你每一次的消化都让细胞受到较大损伤了。所以,越长越差。在消化的过程中,你加入胰酶后,所有细胞都在被胰酶消化着,但是我们忽视了一个问题就是,细胞的生长状态是不一样的,每一个细胞的贴壁情况也是不一样的,有的贴壁牢固,有的贴壁没有那么牢固的,所以,让所有的细胞消化同样的时间对细胞是不公平的,他们受到了差别待遇当然会有脾气的,大家争取做到因材施教,比如试试下面的“四步消化法”。(以难消化细胞为例),具体操作:1)首先不加胰酶,倒掉旧培养基加入少量新培养基洗1-2遍(目的是将漂浮着的死细胞之类尽量洗掉)。2)然后再加入少量新培养基直接吹打一遍,这一遍是把贴壁不牢固的细胞吹打下来。再用培养基洗一遍,两次所得悬混合传入新瓶。(你可以将这些传入新瓶培养,以与后面胰酶消化过的细胞对比观察看谁长的更HAO一点就知道该细胞对胰酶的敏感度了)3)吸干净瓶内剩余体,加入0.3ml左右的胰酶润洗一遍,吸掉弃之,再加入1ml左右的胰酶消化。消化的同时置于显微镜下观察,待细胞与细胞之间间隙明显的时候立即吸掉胰酶,加入新培养基开始吹打,吹打2-3遍后吸取悬于试管或新瓶暂存。用2ml左右新培养基洗一遍与前面的混合。(也可以传入新瓶培养,以与后面及前面的做对比)4)然后把前面刚吸出来的胰酶重新加进去瓶里继续消化剩余的贴壁牢固的细胞。当然你也可以用新的胰酶,如果你们那比较富裕的话,继续镜下观察,待剩余细胞间隙明显,细胞独立开来的时候,吸掉胰酶,加入新培养基吹打。悬传入新瓶培养(根据实际情况把握)。

Abcam A-549 TRIM21 KO 1 Cells(提供STR鉴定图谱)

AG03308 Cells(提供STR鉴定图谱)

BayGenomics ES cell line CSH802 Cells(提供STR鉴定图谱)

BayGenomics ES cell line RST092 Cells(提供STR鉴定图谱)

BEL-A RHCE KO Cells(提供STR鉴定图谱)

CHO-SIVsmH4 gp130 Clone AD5 Cells(提供STR鉴定图谱)

DA02900 Cells(提供STR鉴定图谱)

EGC/PK240899egfr Cells(提供STR鉴定图谱)

GM05580 Cells(提供STR鉴定图谱)

THLE-2 Cells;背景说明:详见相关文献介绍;传代方法:1:3-1:6传代;2-3天换液1次。;生长特性:贴壁生长;形态特性:上皮样;相关产品有:TALL-1 [Human adult T-ALL]细胞、EBC-1细胞、NPC-TW039细胞

Ball 1 Cells;背景说明:详见相关文献介绍;传代方法:1:2传代;生长特性:悬浮生长;形态特性:淋巴母细胞;相关产品有:KM-H2细胞、HMEC1细胞、GM03569B细胞

PF382 Cells;背景说明:详见相关文献介绍;传代方法:1:2传代;生长特性:悬浮生长;形态特性:淋巴母细胞;相关产品有:FRTL-5 Cl 2细胞、RWPE1细胞、PC 61 5.3细胞

CCD-966SK Cells;背景说明:详见相关文献介绍;传代方法:1:2-1:3传代;每周换液2-3次。;生长特性:贴壁或悬浮,详见产品说明书部分;形态特性:详见产品说明书;相关产品有:P3X63Ag8653细胞、H-1836细胞、PJ34细胞

Y3.AG.1.2.3 Cells;背景说明:详见相关文献介绍;传代方法:1:2-1:3传代;每周换液2-3次。;生长特性:贴壁或悬浮,详见产品说明书部分;形态特性:详见产品说明书;相关产品有:Rat Fetal Lung-6细胞、MES-SA/Dx5细胞、TALL 1细胞

NCI-H2108 Cells;背景说明:详见相关文献介绍;传代方法:1:2-1:3传代;每周换液2-3次。;生长特性:贴壁或悬浮,详见产品说明书部分;形态特性:详见产品说明书;相关产品有:COLO 684细胞、D6P2T细胞、University of Arizona Cell Culture-893细胞

Hos TE-85 Cells;背景说明:骨肉瘤;女性;传代方法:1:2-1:3传代;每周换液2-3次。;生长特性:贴壁;形态特性:详见产品说明书;相关产品有:MS1细胞、H650细胞、ACC3细胞

A172 Cells;背景说明:详见相关文献介绍;传代方法:1:2-1:3传代;每周换液2-3次。;生长特性:贴壁或悬浮,详见产品说明书部分;形态特性:详见产品说明书;相关产品有:OCI-Ly 8细胞、SN12C-PM6细胞、RPMI-7951细胞

HSC-1 Cells;背景说明:皮肤鳞癌;男性;传代方法:1:2-1:3传代;每周换液2-3次。;生长特性:贴壁;形态特性:详见产品说明书;相关产品有:293 H细胞、HOP 62细胞、WI-38细胞

NCI-H1417 Cells;背景说明:小细胞肺癌;女性;传代方法:1:2-1:3传代;每周换液2-3次。;生长特性:贴壁;形态特性:详见产品说明书;相关产品有:KTCTL-140细胞、SNU-620细胞、HuT78细胞

Asian Medical Center-Head and Neck cancer-8 Cells;背景说明:喉癌;男性;传代方法:1:2-1:3传代;每周换液2-3次。;生长特性:贴壁;形态特性:详见产品说明书;相关产品有:L 540细胞、RMC细胞、P3-X63-Ag8-653细胞

TOV112D Cells;背景说明:详见相关文献介绍;传代方法:1:2-1:3传代,3-4天换液1次。;生长特性:贴壁生长;形态特性:上皮细胞;相关产品有:MKN7细胞、EB1细胞、HIC细胞

HEK293-EBNA1 Cells;背景说明:详见相关文献介绍;传代方法:1:4-1:10传代;每周2次。;生长特性:贴壁生长;形态特性:上皮细胞样;相关产品有:16HBE细胞、M21细胞、IPECJ2细胞

U-373-MG Cells;背景说明:胶质瘤;男性;传代方法:1:2-1:3传代;每周换液2-3次。;生长特性:贴壁;形态特性:详见产品说明书;相关产品有:MC 3T3-E1细胞、WSU-DLCL-2细胞、PANC0327细胞

TCCSUP Cells;背景说明:详见相关文献介绍;传代方法:1:2-1:3传代,2-3天换液1次。;生长特性:贴壁生长;形态特性:上皮细胞;相关产品有:DiFi细胞、FOX-NY细胞、KYSE-70细胞

OCI/AML3 Cells;背景说明:急性髓系白血病;男性;传代方法:1:2-1:3传代;每周换液2-3次。;生长特性:悬浮;形态特性:详见产品说明书;相关产品有:hRMECs细胞、Fetal Bovine Heart Endothelial细胞、PC.3细胞

MARC-145 Cells;背景说明:胚肾;自发永生;传代方法:1:2-1:3传代;每周换液2-3次。;生长特性:贴壁;形态特性:详见产品说明书;相关产品有:MC-26细胞、HUVEC细胞、HOMEC细胞

Roswell Park Memorial Institute 2650 Cells;背景说明:头颈鳞癌;胸腔积液转移;男性;传代方法:1:2-1:3传代;每周换液2-3次。;生长特性:贴壁;形态特性:详见产品说明书;相关产品有:LPC-H12细胞、NCI-H1417细胞、Duke University 145细胞

T2 Cells;背景说明:详见相关文献介绍;传代方法:1:3—1:6传代,每周换液2—3次;生长特性:悬浮生长;形态特性:淋巴母细胞样;相关产品有:HCC-38细胞、Mel-624细胞、Hs-695-T细胞

MDAMB-231 Cells;背景说明:MDA-MB-231来自患有转移乳腺腺癌的51岁女病人的胸水。在裸鼠和ALS处理的BALB/c小鼠中,它能形成低分化腺癌(III级)。;传代方法:消化3-5分钟,1:2,3天内可长满;生长特性:贴壁生长;形态特性:上皮样;相关产品有:KTCTL140细胞、SUM 149PT细胞、PC3-M细胞

95-D Cells;背景说明:这是一株高转移肺癌。;传代方法:消化3-5分钟,1:2,3天内可长满;生长特性:贴壁生长;形态特性:上皮样;相关产品有:Line 870 Emory University-4细胞、SHP77细胞、SCI1细胞

REC 1 Cells;背景说明:详见相关文献介绍;传代方法:1:3—1:6传代,2-3天换液1次;生长特性:悬浮生长 ;形态特性:淋巴母细胞样;相关产品有:HCC-4006细胞、U266B1细胞、HOS (TE85, Clone F5)细胞

MSCs(mUCMSCs) Cells;背景说明:详见相关文献介绍;传代方法:1:2-1:3传代;每周换液2-3次。;生长特性:贴壁或悬浮,详见产品说明书部分;形态特性:详见产品说明书;相关产品有:NCIH64细胞、NIH:OVCAR4细胞、MD Anderson-Metastatic Breast-231细胞

MCF-10A Cells;背景说明:乳腺;上皮细胞;自发永生;女性;传代方法:1:2-1:3传代;每周换液2-3次。;生长特性:贴壁;形态特性:详见产品说明书;相关产品有:NALM6细胞、Human Embryo Kidney-2细胞、MCF7-CTRL细胞

CTLL2 Cells;背景说明:该细胞是源自C57BL/6的细胞毒性的T淋巴细胞。其生长以来IL-2。;传代方法:1:2传代;生长特性:悬浮生长;形态特性:详见产品说明书;相关产品有:HeLa-S3细胞、CCRF SB细胞、NCI-H125细胞

┈订┈购(技术服务)┈热┈线:1┈3┈6┈4┈1┈9┈3┈0┈7┈9┈1【微信同号】┈Q┈Q:3┈1┈8┈0┈8┈0┈7┈3┈2┈4;

SK-RC-42 Cells;背景说明:详见相关文献介绍;传代方法:1:2-1:3传代;每周换液2-3次。;生长特性:贴壁或悬浮,详见产品说明书部分;形态特性:详见产品说明书;相关产品有:LoMeT-ccRcc细胞、U87细胞、Stanford University-Diffuse Histiocytic Lymphoma-6细胞

COR-L26 Cells;背景说明:详见相关文献介绍;传代方法:1:2-1:3传代;每周换液2-3次。;生长特性:贴壁或悬浮,详见产品说明书部分;形态特性:详见产品说明书;相关产品有:EJ 138细胞、Psi2 DAP细胞、JB-6细胞

HMC-1 Cells;背景说明:肥大 Cells;传代方法:1:2-1:3传代;每周换液2-3次。;生长特性:悬浮;形态特性:详见产品说明书;相关产品有:ML-2细胞、NCI-H711细胞、H35 Reuber细胞

TR-146 Cells;背景说明:食管鳞癌;传代方法:1:2-1:3传代;每周换液2-3次。;生长特性:贴壁;形态特性:详见产品说明书;相关产品有:MDA-231细胞、University of Michigan-Urothelial Carcinoma-3细胞、CHO细胞

JVM3 Cells;背景说明:慢性髓白血病;女性;传代方法:1:2-1:3传代;每周换液2-3次。;生长特性:悬浮;形态特性:详见产品说明书;相关产品有:NCI-SNU-761细胞、MDA-MB-231细胞、SH-SY5Y细胞

KYSE 410 Cells人食管鳞癌可传代细胞系(送STR鉴定图谱)

HCC366 Cells;背景说明:详见相关文献介绍;传代方法:1:2-1:3传代;每周换液2-3次。;生长特性:贴壁或悬浮,详见产品说明书部分;形态特性:详见产品说明书;相关产品有:L-363细胞、KYSE70细胞、GM00637H细胞

H-676B Cells;背景说明:详见相关文献介绍;传代方法:1:2-1:3传代;每周换液2-3次。;生长特性:贴壁或悬浮,详见产品说明书部分;形态特性:详见产品说明书;相关产品有:MHCCLM3细胞、MN-9D细胞、NT2-D1细胞

GS9L Cells;背景说明:胶质瘤;Fischer 344;传代方法:1:2-1:3传代;每周换液2-3次。;生长特性:贴壁;形态特性:详见产品说明书;相关产品有:Mouse INsulinoma 6细胞、RAMOS2G64C10细胞、RGE细胞

P3HR1 Cells;背景说明:详见相关文献介绍;传代方法:每2-3天换液;生长特性:悬浮生长 ;形态特性:淋巴母细胞样;相关产品有:SNU119细胞、KYSE 450细胞、Clone 166细胞

Lu99A Cells;背景说明:详见相关文献介绍;传代方法:1:10传代;生长特性:贴壁生长;形态特性:成纤维细胞;相关产品有:B16-F1细胞、Renal Carcinoma细胞、MBT2细胞

HCC1954BL Cells;背景说明:外周血B淋巴细胞;EBV转化;女性;传代方法:1:2-1:3传代;每周换液2-3次。;生长特性:悬浮;形态特性:详见产品说明书;相关产品有:HA1800细胞、S-16细胞、LOU-NH-91细胞

SCL1 Cells;背景说明:详见相关文献介绍;传代方法:1:2-1:3传代;每周换液2-3次。;生长特性:贴壁;形态特性:上皮细胞样;相关产品有:NCTC clone 1469细胞、HTR-8细胞、RWPE1细胞

Ubigene HeLa ATM KO Cells(提供STR鉴定图谱)

WT-AG09319 C2 Cells(提供STR鉴定图谱)

A387 Cells(提供STR鉴定图谱)

IGROV-1 Cells;背景说明:详见相关文献介绍;传代方法:1:2-1:3传代;每周换液2-3次。;生长特性:贴壁或悬浮,详见产品说明书部分;形态特性:详见产品说明书;相关产品有:G361细胞、PC-9/GR细胞、RPE-1细胞

L5178Y TK+/-3.7.2c Cells;背景说明:详见相关文献介绍;传代方法:1:2传代;生长特性:悬浮生长;形态特性:淋巴母细胞样;相关产品有:293S细胞、A375mel细胞、H4IIEC3细胞

NCIH1092 Cells;背景说明:详见相关文献介绍;传代方法:随细胞的密度而增加;生长特性:悬浮生长;形态特性:详见产品说明书;相关产品有:RCC-JF细胞、D283细胞、SK-OV-433细胞

NCI-SNU-1040 Cells;背景说明:结肠癌;男性;传代方法:1:2-1:3传代;每周换液2-3次。;生长特性:贴壁;形态特性:详见产品说明书;相关产品有:DHL-2细胞、NIE 115细胞、H-1417细胞

MTC-TT Cells;背景说明:TT细胞由LeongSS等,自一位77岁白人女性甲状腺髓样癌患者的穿刺活检样本中建立。TT细胞持续产生高水平的降血素和CEA。更换培养基后24h和72h,在培养基中检测到的免疫活性的降血素浓度分别为3900pg/106个细胞和7700pg/106个细胞。72小时后CEA积累浓度超过27ng/106个细胞;该细胞最初是在RPMI1640培养液中培养,可产生神经肽,但还不知道在F12培养液中培养是否会产生。;传代方法:1:3-1:4传代,每周换液2次。;生长特性:贴壁生长;形态特性:上皮样;相关产品有:UMC11细胞、MeWo细胞、HBVSMC细胞

MOLP8 Cells;背景说明:浆细胞骨髓瘤;男性;传代方法:1:2-1:3传代;每周换液2-3次。;生长特性:悬浮;形态特性:详见产品说明书;相关产品有:D341MD细胞、LX-2细胞、McCoy B细胞

H-1954 Cells;背景说明:详见相关文献介绍;传代方法:1:2-1:3传代;每周换液2-3次。;生长特性:贴壁或悬浮,详见产品说明书部分;形态特性:详见产品说明书;相关产品有:OV 1063细胞、ZR75_1细胞、C-Lu65细胞

H1573 Cells;背景说明:详见相关文献介绍;传代方法:1:2-1:3传代,每周2-3次。;生长特性:贴壁生长;形态特性:详见产品说明书;相关产品有:HUT 125细胞、OSK-1细胞、NK-10A细胞

CCRF.CEM Cells;背景说明:G.E. Foley 等人建立了类淋巴母细胞细胞株CCRF-CEM。 细胞是1964年11月从一位四岁白人女性急性淋巴细胞白血病患者的外周血白血球衣中得到。此细胞系从香港收集而来。;传代方法:1:2传代。3天内可长满。;生长特性:悬浮生长;形态特性:淋巴母细胞样;相关产品有:OCIAML2细胞、SUDHL-16细胞、Hs 688(A).T细胞

HeLa-S3 Cells;背景说明:该细胞是1955年由PuckTT,MarcusPI和CieciuraSJ建系的,含HPV-18序列;角蛋白阳性;可用于与染色体突变、细胞营养、集落形成相关的哺乳动物细胞的克隆分析。;传代方法:1:2传代;生长特性:贴壁生长;形态特性:上皮样;相关产品有:Hamster Islet Transformed-Tioguanine resistant clone 15细胞、P3-X63-Ag8细胞、SW 579细胞

3LL Cells;背景说明:详见相关文献介绍;传代方法:1:2传代;生长特性:贴壁生长;形态特性:详见产品说明书;相关产品有:HT-22细胞、PA-TU S细胞、SH-SY5Y Parental细胞

LIPF178C Cells;背景说明:胆管癌;传代方法:1:2-1:3传代;每周换液2-3次。;生长特性:贴壁;形态特性:详见产品说明书;相关产品有:NEC8细胞、GM04154细胞、C41细胞

MSB1 Cells;背景说明:淋巴瘤;传代方法:1:2-1:3传代;每周换液2-3次。;生长特性:悬浮;形态特性:详见产品说明书;相关产品有:LIPF178C细胞、HGC-27细胞、KPL1细胞

Huh 7.5.1 Cells;背景说明:肝癌;男性;传代方法:1:2-1:3传代;每周换液2-3次。;生长特性:贴壁;形态特性:详见产品说明书;相关产品有:LM(TK-)细胞、SuDHL 2细胞、UM2细胞

GOS3 Cells;背景说明:详见相关文献介绍;传代方法:1:2-1:3传代;每周换液2-3次。;生长特性:贴壁或悬浮,详见产品说明书部分;形态特性:详见产品说明书;相关产品有:NCIH660细胞、H-28细胞、LAN-1细胞

CLL-CII Cells;背景说明:慢性淋巴细胞白血病;女性;传代方法:1:2-1:3传代;每周换液2-3次。;生长特性:悬浮;形态特性:详见产品说明书;相关产品有:SW13细胞、H-441细胞、D341Med细胞

Line 207 Cells;背景说明:儿童急性髓系白血病;传代方法:1:2-1:3传代;每周换液2-3次。;生长特性:悬浮;形态特性:详见产品说明书;相关产品有:HCC1806细胞、BC-022细胞、U251-MG细胞

SW-48 Cells;背景说明:1971-1975年间,A. Leibovitz从结肠腺癌中分离建立十个细胞系,SW48为为其中之一。该细胞合成癌胚抗原,能在裸鼠中成瘤。;传代方法:1:3传代,2-3天传一代;生长特性:贴壁生长;形态特性:上皮细胞样;相关产品有:COLO 16细胞、H-2030细胞、B16 F1细胞

TE 85 ClF-5 Cells;背景说明:骨肉瘤;女性;传代方法:1:2-1:3传代;每周换液2-3次。;生长特性:贴壁;形态特性:详见产品说明书;相关产品有:IGROV细胞、Neuro 2a细胞、NCI-SNU-886细胞

H-1436 Cells;背景说明:详见相关文献介绍;传代方法:随细胞的密度而增加;生长特性:悬浮生长;形态特性:详见产品说明书;相关产品有:PNT1/A细胞、SUM-52-PE细胞、Hca-F细胞

4T1.2 Cells;背景说明:乳腺癌;雌性;BALB/cfC3H;传代方法:1:2-1:3传代;每周换液2-3次。;生长特性:贴壁;形态特性:详见产品说明书;相关产品有:SHG-44细胞、143 B细胞、Colon26细胞

8305-C Cells;背景说明:详见相关文献介绍;传代方法:1:6传代;生长特性:贴壁或悬浮,详见产品说明书部分;形态特性:详见产品说明书;相关产品有:CDC/EU.HMEC-1细胞、TGHAVSMC细胞、MCF12F细胞

PLCPRF5 Cells;背景说明:该细胞系分泌乙肝病毒表面抗原(HBsAg)。 此细胞系原先被支原体污染,后用BM-cycline去除支原体;传代方法:1:2传代;生长特性:贴壁生长;形态特性:上皮样;相关产品有:SCL-II细胞、QBC939细胞、L929(NCTC)细胞

HUCEC Cells;背景说明:宫颈;上皮 Cells;传代方法:1:2-1:3传代;每周换液2-3次。;生长特性:贴壁;形态特性:详见产品说明书;相关产品有:RKO细胞、SUD-4细胞、HT-29/CX-1细胞

NuTu 19 Cells;背景说明:卵巢癌;传代方法:1:2-1:3传代;每周换液2-3次。;生长特性:贴壁;形态特性:详见产品说明书;相关产品有:RGE细胞、PT-K75细胞、HB611细胞

HCC0366 Cells;背景说明:详见相关文献介绍;传代方法:1:2-1:3传代;每周换液2-3次。;生长特性:贴壁或悬浮,详见产品说明书部分;形态特性:详见产品说明书;相关产品有:MCF/Adr细胞、RN-c细胞、NTC200细胞

HCGC Cells;背景说明:小脑;颗粒 Cells;传代方法:1:2-1:3传代;每周换液2-3次。;生长特性:贴壁;形态特性:详见产品说明书;相关产品有:BC3H-1细胞、PG-BE1细胞、OCUM-1细胞

SW 1088 Cells;背景说明:星形胶质瘤;男性;传代方法:1:2-1:3传代;每周换液2-3次。;生长特性:贴壁;形态特性:详见产品说明书;相关产品有:NTera2/D1细胞、Hs888T细胞、ECV 304细胞

┈订┈购(技术服务)┈热┈线:1┈3┈6┈4┈1┈9┈3┈0┈7┈9┈1【微信同号】┈Q┈Q:3┈1┈8┈0┈8┈0┈7┈3┈2┈4;

rRTEC Cells;背景说明:肾小管;上皮 Cells;传代方法:1:2-1:3传代;每周换液2-3次。;生长特性:贴壁;形态特性:详见产品说明书;相关产品有:H596细胞、NCI-H1105细胞、MCF7ADR细胞

T98 Cells;背景说明:胶质瘤;男性;传代方法:1:2-1:3传代;每周换液2-3次。;生长特性:贴壁;形态特性:详见产品说明书;相关产品有:SUPB-15细胞、CF PAC-1细胞、MV-4-11细胞

NCI-UMC-11 Cells;背景说明:肺肿瘤;男性;传代方法:1:2-1:3传代;每周换液2-3次。;生长特性:贴壁;形态特性:详见产品说明书;相关产品有:WM-115细胞、H1623细胞、NK-92 MI细胞

HCC44 Cells;背景说明:详见相关文献介绍;传代方法:1:2-1:3传代;每周换液2-3次。;生长特性:贴壁或悬浮,详见产品说明书部分;形态特性:详见产品说明书;相关产品有:NCIH358细胞、SF295细胞、ME1细胞

MDA-MB 468 Cells;背景说明:该细胞是1977年由CailleauR等从一位患有转移性乳腺癌的51岁黑人女性的胸腔积液中分离得到的。虽然供体组织的G6PD等位基因杂合,但此细胞株始终表现为G6PDA表型。P53基因273位密码子存在G→A突变,从而导致Arg→His替代。每个细胞上存在1×106个EGF受体。;传代方法:1:2-1:4传代;2-3天换液1次;生长特性:贴壁生长;形态特性:上皮样;相关产品有:U373细胞、SKMEL5细胞、ARPE19细胞

GLC-15 Cells;背景说明:详见相关文献介绍;传代方法:1:2-1:3传代;每周换液2-3次。;生长特性:贴壁或悬浮,详见产品说明书部分;形态特性:详见产品说明书;相关产品有:LLCMK2细胞、NCIH244细胞、Panc02.03细胞

YTMLC-90 Cells;背景说明:肺鳞癌;男性;传代方法:1:2-1:3传代;每周换液2-3次。;生长特性:贴壁;形态特性:详见产品说明书;相关产品有:ONS76细胞、HNE-2细胞、CCRF-CEM C7细胞

NIH-OVCAR-3 Cells;背景说明:该细胞1982年由T.C. Hamilton等建系,源自一位60卵巢腺癌的腹水,是卵巢癌抗药性研究的模型。;传代方法:1:2—1:4传代,每周换液2—3次;生长特性:贴壁生长;形态特性:上皮细胞样;相关产品有:251 MG细胞、P815细胞、GCT0404细胞

SUM-102PT Cells;背景说明:乳腺癌;女性;传代方法:1:2-1:3传代;每周换液2-3次。;生长特性:贴壁;形态特性:详见产品说明书;相关产品有:HTori 3细胞、HTR8细胞、EB-1细胞

HSC1 Cells;背景说明:皮肤鳞癌;男性;传代方法:1:2-1:3传代;每周换液2-3次。;生长特性:贴壁;形态特性:详见产品说明书;相关产品有:SK-Mel1细胞、H2081细胞、SK-BR-3细胞

KYSE 410 Cells人食管鳞癌可传代细胞系(送STR鉴定图谱)

BayGenomics ES cell line RRJ372 Cells(提供STR鉴定图谱)

BayGenomics ES cell line XK335 Cells(提供STR鉴定图谱)

FPa#12 Cells(提供STR鉴定图谱)

NQ11.8.1 Cells(提供STR鉴定图谱)

WR1 Cells(提供STR鉴定图谱)

MCF10A_EZH2_10B4 Cells(提供STR鉴定图谱)

"



KYSE 410 Cells人食管鳞癌可;复苏细胞系;细胞STR鉴定报告;细胞STR鉴定图谱;ATCC|DSMZ细胞库;

公司简介

公司提供ATCC、DSMZ、ECACC、NCI-DTP、RCB(Riken)等细胞系

成立日期 (9年)
注册资本 635万人民币
员工人数 50-100人
年营业额 ¥ 1亿以上
经营模式 贸易,工厂,服务
主营行业 细胞培养,细胞生物学,生物技术服务

KYSE 410 Cells人食管鳞癌可传代细胞系(送STR鉴定图谱)相关厂家报价

  • KYSE410细胞
  • KYSE410细胞
  • 吉奥蓝图(广东)生命科学技术中心 VIP
  • 2026-04-30
  • ¥99999
内容声明
拨打电话 立即询价