基本信息 产品详情 公司简介 推荐产品
网站主页 化工产品目录 生物 细胞培养 细胞系 大鼠细胞系 H4-II-E CELLS|大鼠肝贴壁细胞 H4IIE Cells#大鼠肝细胞系源头种子库|培养基|STR图谱
  • H4IIE Cells#大鼠肝细胞系源头种子库|培养基|STR图谱
  • H4IIE Cells#大鼠肝细胞系源头种子库|培养基|STR图谱
  • H4IIE Cells#大鼠肝细胞系源头种子库|培养基|STR图谱

1/3

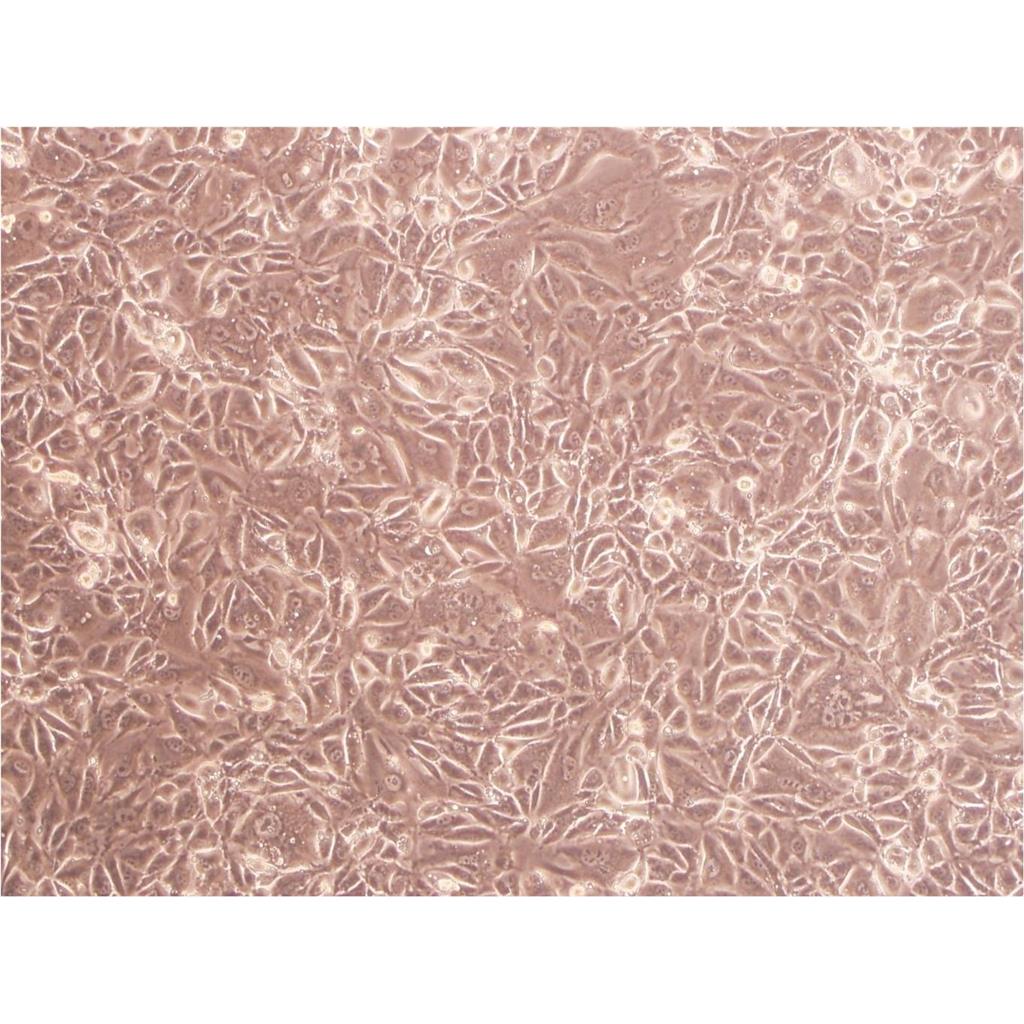
H4IIE Cells#大鼠肝细胞系源头种子库|培养基|STR图谱

H4IIE Cells#
询价 1000000Cells/瓶 起订
2000000Cells/瓶 起订
上海 更新日期:2025-12-31

上海宾穗生物科技有限公司

非会员
联系人:刘***
电话:183***
手机:183***
邮箱:129***

产品详情:

中文名称:
H4IIE Cells#大鼠肝细胞系源头种子库|培养基|STR图谱
英文名称:
H4IIE Cells#
品牌:
ATCC、DSMZ等
产地:
美国、欧洲、德国等
保存条件:
低温避光
纯度规格:
H4IIE Cells#大鼠肝细胞系源头种子库|培养基|STR图谱
产品类别:
DSMZ细胞库 DSMZ细胞
货号:
详见细胞说明书
种属:
详见细胞说明书
组织:
详见细胞说明书
细胞系:
详见细胞说明书
用途范围:
详见细胞说明书
规格:
1*10^6cells/T25(1瓶)或1ml冻存管(2支)
是否进口:
来源ATCC、DSMZ、ECACC等细胞库
组织来源:
详见细胞说明书
是否是肿瘤细胞:
详见细胞说明书
细胞形态:
详见细胞说明书
生长状态:
详见细胞说明书
靶点:
详见细胞说明书
应用:
详见细胞说明书
器官来源:
详见细胞说明书
品系:
详见细胞说明书
免疫类型:
详见细胞说明书
物种来源:
人源或其它动物来源等
保质期:
可长期保存(液氮低温冻存)

"H4IIE Cells#大鼠肝细胞系源头种子库|培养基|STR图谱

换液周期:每周2-3次

生长特性:贴壁或悬浮,详见细胞说明书部分

背景信息:详见相关文献介绍

上皮细胞(epithelial cell)是构成上皮组织的基本单位,广泛分布在人体的各个表面和体腔内,外胚层来源:皮肤、腺垂体、内耳膜、角膜、晶状体、鼻腔、口腔、肛门等处的上皮细胞由外胚层发育而来。中胚层来源:间皮、内皮等上皮细胞由中胚层发育而来。内胚层来源:中耳、呼吸道、肺、胸腺、消化道、消化腺、膀胱、阴道、甲状腺、甲状旁腺等处的上皮细胞由内胚层发育而来。许多癌症起源于上皮细胞,如肝细胞癌、结直肠癌、乳腺癌、肺癌、胃癌、前列腺癌、卵巢癌和子宫内膜癌。这些癌症中的上皮细胞通常表现出细胞标志物的变化,如E-cadherin的缺失和N-cadherin、vimentin等间充质细胞标志物的表达上调。

alphaTC1 Clone 6 Cells;背景说明:胰岛素瘤;a细胞;C57BL/6xDBA/2;传代方法:1:2-1:3传代;每周换液2-3次。;生长特性:贴壁;形态特性:详见产品说明书;相关产品有:CCRF.CEM细胞、HBE135-E6E7细胞、ZR-75-1细胞

SVOG Cells;背景说明:卵巢;颗粒 Cells;传代方法:1:2-1:3传代;每周换液2-3次。;生长特性:贴壁;形态特性:详见产品说明书;相关产品有:Panc-1-P细胞、HCC94细胞、B10BR细胞

USMC Cells;背景说明:血管平滑肌;传代方法:1:2-1:3传代;每周换液2-3次。;生长特性:贴壁;形态特性:详见产品说明书;相关产品有:UT7细胞、Hs 840.T细胞、HEK-293-F细胞

HeLa S 3 Cells;背景说明:该细胞是1955年由PuckTT,MarcusPI和CieciuraSJ建系的,含HPV-18序列;角蛋白阳性;可用于与染色体突变、细胞营养、集落形成相关的哺乳动物细胞的克隆分析。;传代方法:1:2传代;生长特性:贴壁生长;形态特性:上皮样;相关产品有:YD-38细胞、C2BBe 1细胞、L-363细胞

┈订┈购(技术服务)┈热┈线:1┈3┈6┈4┈1┈9┈3┈0┈7┈9┈1【微信同号】┈Q┈Q:3┈1┈8┈0┈8┈0┈7┈3┈2┈4;

产品包装:复苏发货:T25培养瓶(一瓶)或冻存发货:1ml冻存管(两支)

传代比例:1:2-1:4(首次传代建议1:2)

细胞培养实验中常见问题总结:1)一般客户拿到细胞后,应该注意什么?客户收到细胞后先不开盖,放在培养箱静置若干小时后(看细胞密度而定)在倒置显微镜下观察细胞生长情况,并对细胞进行不同倍数拍照(建议受收细胞后观察培养基的颜色和是否有漏情况,显微镜下拍细胞100X,200X各一张),排除细胞本身污染的情况;收到细胞未开封,出现污染状况我们负责免费发送一株细胞。收到细胞时如无异常情况,请在显微镜下观察细胞密度,如为贴壁细胞,未超过80%汇合度时,将培养瓶中培养吸出,留下10ml培养继续培养;超过80%汇合度时,请按细胞培养条件传代培养。如为悬浮细胞,吸出培养、1000转/分钟离心2分钟,吸出上清,管底细胞用新鲜培养基悬浮细胞后移回培养瓶。细胞消化建议使用PBS配制,慎用Hanks配制;2)快递细胞多久能到,是寄冻存的细胞还是复苏HAO的细胞?我们采用快递发货,一般外地2--3天,寄细胞前请确认当地温度,如果气温低于4度的,则采用邮寄冻存细胞;3)可否使用与原先培养条件不同之培养基?不能。每一细胞株均有其定使用且已适应之细胞培养基,若骤然使用和原先提供之培养条件不同之培养基,细胞大都无法立即适应,造成细胞无法存活;4)可否使用与原先培养条件不同之血清种类?不能。血清是细胞培养上一个为重要的营养来源,所以血清的种类和品质对于细胞的生长会产生大的影响。来自不同物种的血清,在一些物质或分子的量或内容物上都有所不同,血清使用错误常会造成细胞无法存活。

来源说明:细胞主要来源ATCC、ECACC、DSMZ、RIKEN等细胞库

HS688AT Cells;背景说明:详见相关文献介绍;传代方法:1:2-1:3传代;生长特性:贴壁生长;形态特性:成纤维细胞;相关产品有:OPM2细胞、COV 504细胞、Adeno 293细胞

HS688AT Cells;背景说明:详见相关文献介绍;传代方法:1:2-1:3传代;生长特性:贴壁生长;形态特性:成纤维细胞;相关产品有:OPM2细胞、COV 504细胞、Adeno 293细胞

VMRCRCZ Cells;背景说明:详见相关文献介绍;传代方法:1:6传代;生长特性:贴壁生长;形态特性:上皮细胞;相关产品有:BE(2)-C细胞、SL1细胞、NU-GC-3细胞

OV-90 Cells;背景说明:详见相关文献介绍;传代方法:1:2-1:3传代,3-4天换液1次。;生长特性:贴壁生长;形态特性:上皮细胞;相关产品有:P3JHR-1细胞、RK-13细胞、OK-WT细胞

PANC0813 Cells;背景说明:详见相关文献介绍;传代方法:1:2传代;生长特性:贴壁生长;形态特性:上皮样;相关产品有:293c18细胞、P3/ag细胞、BRL-3A细胞

物种来源:人源、鼠源等其它物种来源

H4IIE Cells#大鼠肝细胞系源头种子库|培养基|STR图谱

形态特性:详见细胞说明书

┈订┈购(技术服务)┈热┈线:1┈3┈6┈4┈1┈9┈3┈0┈7┈9┈1【微信同号】┈Q┈Q:3┈1┈8┈0┈8┈0┈7┈3┈2┈4;

贴壁细胞的传代培养,详细步骤如下:首先倒掉培养基,在这一步骤可以收集一些细胞上清做支原体检测;加入胰蛋白酶,一般T25是加2mL,盖好瓶盖,摇晃T25培养瓶,使胰蛋白酶均匀覆盖在细胞表面,放入培养箱2-3min,期间可在显微镜下观察,看到大部分细胞变圆,即可放入超净台,加入2倍的完全培养基,这里就是加4mL培养基,终止消化;将含有胰蛋白酶,细胞和培养基一起转移到离心管中,1000rpm/3min离心,去掉上清;新鲜的完全培养基重悬,根据细胞的生长特性和后续的实验需求进行传代,比如我养的Hepa1-6就长的比较快,不是着急用的话,我就会按1E6个细胞/T75培养瓶进行传代;但如果后两天要用,就会适当多传一点;还可通过显微镜计数后,直接用于细胞铺板,继续后续的实验。

3Y1tsB107 Cells(提供STR鉴定图谱)

Abcam Jurkat HSD17B4 KO Cells(提供STR鉴定图谱)

alpha48T Cells(提供STR鉴定图谱)

BayGenomics ES cell line RRJ653 Cells(提供STR鉴定图谱)

BayGenomics ES cell line XK681 Cells(提供STR鉴定图谱)

CaBa62 Cells(提供STR鉴定图谱)

DA00440 Cells(提供STR鉴定图谱)

DA05944 Cells(提供STR鉴定图谱)

GM00323 Cells(提供STR鉴定图谱)

143B TK- Cells;背景说明:详见相关文献介绍;传代方法:1:2—1:5传代;每周换液2-3次;生长特性:贴壁生长;形态特性:混合型;相关产品有:GM03571细胞、MH-22a细胞、SK RC 52细胞

8402 Cells;背景说明:急性T淋巴细胞白血病;女性;传代方法:1:2-1:3传代;每周换液2-3次。;生长特性:悬浮;形态特性:详见产品说明书;相关产品有:VMCUB1细胞、BMDC细胞、WM 2664细胞

HFF1 Cells;背景说明:详见相关文献介绍;传代方法:1:5-1:7传代;生长特性:贴壁生长;形态特性:成纤维细胞;相关产品有:BNL 1ME A.7R.1细胞、MB39细胞、H295R-S1细胞

EST50 Cells;背景说明:详见相关文献介绍;传代方法:1:3-1:5传代,2-3天换液1次。;生长特性:混合生长;形态特性:成纤维细胞;相关产品有:CCD-1095Sk细胞、GLRK 13细胞、SKES1细胞

Hs 819.T Cells;背景说明:详见相关文献介绍;传代方法:1:2—1:3传代;每周换液2-3次;生长特性:贴壁生长;形态特性:成纤维;相关产品有:MPVECs细胞、NU-GC-3细胞、M3 Clone M-3细胞

SN12PM6 Cells;背景说明:肾癌;男性;传代方法:1:2-1:3传代;每周换液2-3次。;生长特性:贴壁;形态特性:详见产品说明书;相关产品有:COLO679细胞、HeLa细胞、KYSE180细胞

Menschliche Und Tierische Zellkulture-1 Cells;背景说明:骨髓增生异常综合征;女性;传代方法:1:2-1:3传代;每周换液2-3次。;生长特性:悬浮;形态特性:详见产品说明书;相关产品有:NCIH1838细胞、H157细胞、SK 1细胞

H4IIE Cells#大鼠肝细胞系源头种子库|培养基|STR图谱

Stanford University-Diffuse Histiocytic Lymphoma-16 Cells;背景说明:详见相关文献介绍;传代方法:1:2-1:3传代;每周换液2-3次。;生长特性:贴壁或悬浮,详见产品说明书部分;形态特性:详见产品说明书;相关产品有:EFM19细胞、DHL-2细胞、U937细胞

HS-683 Cells;背景说明:该细胞源自76岁白人男性的左颞叶侧胶质瘤组织,有微绒毛,无桥粒。 ;传代方法:1:4传代,每周换液2次;生长特性:贴壁生长;形态特性:成纤维细胞;相关产品有:HTori3细胞、OK-WT细胞、HCC 38细胞

JF305 Cells;背景说明:胰腺癌;传代方法:1:2-1:3传代;每周换液2-3次。;生长特性:贴壁;形态特性:详见产品说明书;相关产品有:HT115细胞、HT22细胞、HTh74细胞

BBE Cells;背景说明:详见相关文献介绍;传代方法:1:6—1:10传代,每周换液2次;生长特性:贴壁生长;形态特性:上皮细胞;相关产品有:Kupffer细胞、Y1细胞、HuCCT-1细胞

H-460 Cells;背景说明:该细胞1982年由A.F.Gazdar建系,源自一位患有大细胞肺癌的男性的胸腔积液。该细胞角蛋白、波形蛋白阳性。;传代方法:1:2传代;生长特性:贴壁生长;形态特性:上皮样;相关产品有:GLC-82细胞、RT-4细胞、B16F0细胞

MOLP-8 Cells;背景说明:浆细胞骨髓瘤;男性;传代方法:1:2-1:3传代;每周换液2-3次。;生长特性:悬浮;形态特性:详见产品说明书;相关产品有:Hs 742.T细胞、HSC-4细胞、SNU475细胞

OUMS-23 Cells;背景说明:详见相关文献介绍;传代方法:1:2-1:3传代;每周换液2-3次。;生长特性:贴壁或悬浮,详见产品说明书部分;形态特性:详见产品说明书;相关产品有:210RCY3-Ag1.2.3细胞、SF 763细胞、COLO206F细胞

ZR75_1 Cells;背景说明:该细胞产生高水平的黏液素MUC-1 mRNA,低水平的MUC-2 mRNA,但不表达MUC-3基因;表达雌激素受体。;传代方法:1:4-1:6传代;每周换液2-3次。;生长特性:贴壁生长;形态特性:上皮样;相关产品有:AML193细胞、CCC-ESF-1细胞、RPMI 2650细胞

┈订┈购(技术服务)┈热┈线:1┈3┈6┈4┈1┈9┈3┈0┈7┈9┈1【微信同号】┈Q┈Q:3┈1┈8┈0┈8┈0┈7┈3┈2┈4;

NCI-H1184 Cells;背景说明:详见相关文献介绍;传代方法:1:2-1:3传代;每周换液2-3次。;生长特性:贴壁或悬浮,详见产品说明书部分;形态特性:详见产品说明书;相关产品有:H748细胞、L363细胞、Hs 870.T细胞

Y1 Cells;背景说明:详见相关文献介绍;传代方法:1:2-1:3传代;每周换液2-3次。;生长特性:贴壁或悬浮,详见产品说明书部分;形态特性:详见产品说明书;相关产品有:CaSki细胞、28SC细胞、LS-123细胞

SW1353 Cells;背景说明:骨肉瘤;女性;传代方法:1:2-1:3传代;每周换液2-3次。;生长特性:贴壁;形态特性:详见产品说明书;相关产品有:GP293细胞、L5178Y细胞、CAL-51细胞

HCC0070 Cells;背景说明:详见相关文献介绍;传代方法:1:4-1:6传代;每周换液2-3次。;生长特性:贴壁生长;形态特性:上皮样;相关产品有:NCIH1395细胞、TO 175.T细胞、DHL-16细胞

PTK1 Cells;背景说明:详见相关文献介绍;传代方法:1:2-1:3传代;每周换液2-3次。;生长特性:贴壁或悬浮,详见产品说明书部分;形态特性:详见产品说明书;相关产品有:UPCISCC154细胞、CHP 100细胞、GLRK 13细胞

L-cells Cells;背景说明:详见相关文献介绍;传代方法:1:2-1:3传代;每周换液2-3次。;生长特性:贴壁或悬浮,详见产品说明书部分;形态特性:详见产品说明书;相关产品有:UPCI-SCC-090细胞、HCT 116细胞、Hopkins-92细胞

A-172MG Cells;背景说明:详见相关文献介绍;传代方法:1:2-1:3传代;每周换液2-3次。;生长特性:贴壁或悬浮,详见产品说明书部分;形态特性:详见产品说明书;相关产品有:HLEpiC细胞、SKG IIIa细胞、MD Anderson-Metastatic Breast-361细胞

MiaPaCa-2 Cells;背景说明:详见相关文献介绍;传代方法:1:2传代;;生长特性:贴壁生长;形态特性:详见产品说明书;相关产品有:TW-039细胞、FET细胞、Potorous tridactylus Kidney 1细胞

H-2405 Cells;背景说明:详见相关文献介绍;传代方法:1:5-1:8传代;生长特性:混合生长;形态特性:详见产品说明书;相关产品有:Lu-99A细胞、WiDr细胞、WM115F细胞

Homo sapiens No. 578, tumor cells Cells;背景说明:详见相关文献介绍;传代方法:1:2-1:3传代;每周换液2-3次。;生长特性:贴壁或悬浮,详见产品说明书部分;形态特性:详见产品说明书;相关产品有:HS852.T细胞、NCI-H146细胞、Giant Cell Tumor细胞

T1-73 Cells;背景说明:详见相关文献介绍;传代方法:1:2-1:4传代;每周换液2-3次。;生长特性:贴壁生长;形态特性:成纤维细胞;相关产品有:PM6细胞、C12细胞、CL MC/9细胞

Buffalo Rat Liver-3A Cells;背景说明:详见相关文献介绍;传代方法:1:2-1:3传代;每周换液2-3次。;生长特性:贴壁或悬浮,详见产品说明书部分;形态特性:详见产品说明书;相关产品有:VMRCLCD细胞、Hs940.T细胞、Verda reno细胞

OVCAR432 Cells;背景说明:详见相关文献介绍;传代方法:1:2-1:3传代;每周换液2-3次。;生长特性:贴壁或悬浮,详见产品说明书部分;形态特性:详见产品说明书;相关产品有:LU-65M细胞、Malme-3M细胞、H-2030细胞

GM12625 Cells(提供STR鉴定图谱)

HAP1 ERCC6L (-) 1 Cells(提供STR鉴定图谱)

HAP1 WDR6 (-) 1 Cells(提供STR鉴定图谱)

HiPS-RIKEN-4H Cells(提供STR鉴定图谱)

iPS-14 Cells(提供STR鉴定图谱)

MBC1 Cells(提供STR鉴定图谱)

ND10711 Cells(提供STR鉴定图谱)

PL36 Cells(提供STR鉴定图谱)

SGD5 Cells(提供STR鉴定图谱)

Ubigene A-549 ADAM17 KO Cells(提供STR鉴定图谱)

UNEWi025-B Cells(提供STR鉴定图谱)

292.63.5.3 Cells(提供STR鉴定图谱)

THP-1 Cells;背景说明:该细胞从一名1岁的患有急性单核细胞性白血病的男孩的外周血中分离建立。该细胞可以吞噬乳胶颗粒和激活的红细胞,细胞膜和胞浆内均没有免疫球蛋白,表达C3R和FcR;可受佛波酯TPA诱导向单核系方向分化;可作为转染宿主。;传代方法:维持细胞浓度在2-4×105-8×105/ml,勿超过1×106/ml;2-3天换液1次。;生长特性:悬浮生长;形态特性:单核细胞;相关产品有:OVCAR420细胞、P388-D1细胞、High Five细胞

SKO-007 Cells;背景说明:骨髓瘤;男性;传代方法:1:2-1:3传代;每周换液2-3次。;生长特性:悬浮;形态特性:详见产品说明书;相关产品有:HCC1833细胞、NBL-5细胞、HKBML细胞

GCT Cells;背景说明:详见相关文献介绍;传代方法:1:2-1:4传代;每周换液2次。;生长特性:贴壁生长;形态特性:详见产品说明书;相关产品有:BRL-3A细胞、M1细胞、EFM-192B细胞

CHL-IU Cells;背景说明:详见相关文献介绍;传代方法:1:2-1:3传代;每周换液2-3次。;生长特性:贴壁或悬浮,详见产品说明书部分;形态特性:详见产品说明书;相关产品有:KU-812-F细胞、SK-BR3细胞、QGY-7703细胞

MKN1 Cells;背景说明:详见相关文献介绍;传代方法:1:2传代;生长特性:贴壁生长;形态特性:上皮细胞;相关产品有:MDCK2细胞、KLN-205细胞、Ly3细胞

KOPN8 Cells;背景说明:B淋巴细胞白血病;女性;传代方法:1:2-1:3传代;每周换液2-3次。;生长特性:悬浮;形态特性:详见产品说明书;相关产品有:HCC 94细胞、OE-19细胞、BS-C-1细胞

D10G41 Cells;背景说明:T淋巴细胞;AKR/J;传代方法:1:2-1:3传代;每周换液2-3次。;生长特性:悬浮;形态特性:详见产品说明书;相关产品有:SUM-102细胞、AR4IP细胞、bEnd3细胞

NCTC-3960 Cells;背景说明:黑色素瘤;雄性;DBA;传代方法:1:2-1:3传代;每周换液2-3次。;生长特性:贴壁;形态特性:详见产品说明书;相关产品有:JVM-2细胞、HuT102细胞、TPC-1细胞

T 84 Cells;背景说明:T84细胞株是从一位72岁男性结肠癌患者的肺转移灶建立的可移植人类癌细胞株。 肿瘤组织皮下接种于BALB/c裸鼠,并连续进行移植。 [26072] 在裸鼠身上的移植过程中,细胞株始终保持结肠癌的原始组织性状。 [26072] 在无胸腺小鼠中传代23代后建立了T84细胞株。 这些细胞单层生长到饱和并在接触细胞间展现出紧密连接和桥粒。 [1155] 有很多关于多肽类激素和神经递质并维持定向电解质传输的受体。 [1155] 这株细胞展现了接触细胞中的紧密连接和桥粒。 [1155] 角蛋白免疫过氧化物酶染色阳性。;传代方法:1:2-1:4传代;每周2次。;生长特性:贴壁生长;形态特性:上皮细胞,多角;相关产品有:SACC83细胞、Strain L-929细胞、BCP1细胞

HSC/mHSC Cells;背景说明:肝星状 Cells;传代方法:1:2-1:3传代;每周换液2-3次。;生长特性:贴壁;形态特性:详见产品说明书;相关产品有:Human Embryonic Kidney 293细胞、Danio rerio Gill细胞、hESC细胞

COLO 320DM Cells;背景说明:该细胞可产生5-羟色胺、去甲、、ACTH和甲状旁腺素。角蛋白、波形蛋白弱阳性。培养条件: RPMI 1640  10%FBS;传代方法:1:2-1:3传代;每周换液2-3次。;生长特性:悬浮+贴壁;形态特性:淋巴细胞;相关产品有:4T1.2细胞、R2C细胞、C3H/10T1/2 CL8细胞

OCI-AML2 Cells;背景说明:急性髓系白血病;男性;传代方法:1:2-1:3传代;每周换液2-3次。;生长特性:悬浮;形态特性:详见产品说明书;相关产品有:COLO320DM细胞、Panc02.03细胞、HNE1细胞

TGBC11T Cells;背景说明:详见相关文献介绍;传代方法:1:2传代;生长特性:贴壁生长;形态特性:上皮细胞;相关产品有:Co 205细胞、CLONE M3细胞、CMT167细胞

NPA 87 Cells;背景说明:详见相关文献介绍;传代方法:1:2-1:3传代;每周换液2-3次。;生长特性:贴壁或悬浮,详见产品说明书部分;形态特性:详见产品说明书;相关产品有:L-6TG细胞、32Dcl3细胞、Swiss 3T3细胞

Roswell Park Memorial Institute 6666 Cells;背景说明:详见相关文献介绍;传代方法:1:2-1:3传代;每周换液2-3次。;生长特性:贴壁或悬浮,详见产品说明书部分;形态特性:详见产品说明书;相关产品有:BC-019细胞、UM2细胞、LU-65M细胞

KU19-19 Cells;背景说明:膀胱癌;男性;传代方法:1:2-1:3传代;每周换液2-3次。;生长特性:贴壁;形态特性:详见产品说明书;相关产品有:LTEPa2细胞、GalK1细胞、PLB-985细胞

SK-MEL-1 Cells;背景说明:详见相关文献介绍;传代方法:维持细胞浓度在1×105-2×105,每周补液2-3次。;生长特性:悬浮生长;形态特性:球形的;相关产品有:BV173细胞、ACC-M细胞、MDA-436细胞

MDA-MB-134-VI Cells;背景说明:该细胞1973年由R. Cailleau建系,源自74岁乳腺导管癌女性患者的胸腔积液,细胞生长缓慢,松散贴壁,生长过程中会脱落到培养基,不会汇合,过表达FGF受体;传代方法:1:2—1:4传代,每周换液2—3次;生长特性:松散贴壁生长;形态特性:上皮细胞样;相关产品有:MDA-MB436细胞、TGW-nu细胞、RAOEC细胞

RL-952 Cells;背景说明:这些细胞有α角蛋白,定义明确的连接复合体,张力丝和表面微绒毛。;传代方法:1:2传代;生长特性:贴壁生长;形态特性:上皮样;相关产品有:B16细胞、BEND细胞、TE3A细胞

293-EBNA1 Cells;背景说明:详见相关文献介绍;传代方法:1:4-1:10传代;每周2次。;生长特性:贴壁生长;形态特性:上皮细胞样;相关产品有:NS-1-Ag4-1细胞、RAW264.7细胞、Blotchy fibroblast-11细胞

STTG1 Cells;背景说明:详见相关文献介绍;传代方法:1:3—1:6传代;每周换液2-3次;生长特性:贴壁生长;形态特性:星形胶质细胞;相关产品有:QGY 7701细胞、LNCaP-Clone-FGC细胞、SKRC20细胞

SW260 Cells;背景说明:结肠癌;传代方法:1:2-1:3传代;每周换液2-3次。;生长特性:贴壁;形态特性:详见产品说明书;相关产品有:OVCAR-10细胞、PLMVEC细胞、PG-4(S+L-)细胞

2B4-L Cells;背景说明:前列腺癌;骨转移;男性;传代方法:1:2-1:3传代;每周换液2-3次。;生长特性:贴壁;形态特性:详见产品说明书;相关产品有:SKNF1细胞、Hs 343.T细胞、GM04680细胞

BTI-Tn-5B1-4 Cells;背景说明:详见相关文献介绍;传代方法:1:2-1:3传代;每周换液2-3次。;生长特性:贴壁或悬浮,详见产品说明书部分;形态特性:详见产品说明书;相关产品有:RMC细胞、H1581细胞、OKT 3细胞

AML-EOL-1 Cells;背景说明:急性髓系白血病;男性;传代方法:1:2-1:3传代;每周换液2-3次。;生长特性:悬浮;形态特性:详见产品说明书;相关产品有:HSAS1细胞、FAK+/+细胞、NCI-H2009细胞

BT 325 Cells;背景说明:详见相关文献介绍;传代方法:1:2-1:3传代;每周换液2-3次。;生长特性:贴壁或悬浮,详见产品说明书部分;形态特性:详见产品说明书;相关产品有:BCaP-37细胞、KNS-62细胞、DU-4475细胞

H-2171 Cells;背景说明:详见相关文献介绍;传代方法:3-4天换液1次。;生长特性:悬浮生长;形态特性:聚团悬浮;相关产品有:H-2030细胞、MO59J细胞、HIT T-15细胞

HcaF Cells;背景说明:肝癌;传代方法:1:2-1:3传代;每周换液2-3次。;生长特性:贴壁;形态特性:详见产品说明书;相关产品有:H8细胞、YD-15细胞、RT-112细胞

CWR22Rv1 Cells;背景说明:22RV1是来自异种移植(在阉割引起前列腺癌衰退又在其父亲的雄性激素信赖型CWR22嫁接后复发的小鼠中连续传代)的人前列腺癌上皮细胞系。此细胞系表达前列腺特异抗原。二羟基睾丸脂酮轻微刺激细胞生长,经westernblot检测溶解产物与抗雄性激素受体抗体起免疫反应。EGF刺激细胞生长,但TGFβ-1不能抑制细胞生长。该细胞在裸鼠中成瘤。;传代方法:消化3-5分钟。1:2。3天内可长满。;生长特性:贴壁生长;形态特性:上皮细胞;相关产品有:NCI-H2110细胞、Det 562细胞、HME-1细胞

HT 1197.T Cells;背景说明:详见相关文献介绍;传代方法:1:5-1:10传代,2天换液1次。;生长特性:贴壁生长;形态特性:详见产品说明书;相关产品有:RBSMC细胞、RMS 13细胞、KNS-42细胞

IB-RS2 Cells;背景说明:肾;自发永生;传代方法:1:2-1:3传代;每周换液2-3次。;生长特性:贴壁;形态特性:详见产品说明书;相关产品有:SW-1417细胞、MKN-45细胞、OUMS-23细胞

┈订┈购(技术服务)┈热┈线:1┈3┈6┈4┈1┈9┈3┈0┈7┈9┈1【微信同号】┈Q┈Q:3┈1┈8┈0┈8┈0┈7┈3┈2┈4;

H2110 Cells;背景说明:详见相关文献介绍;传代方法:1:3-1:6传代,每周换液2-3次;生长特性:贴壁或悬浮,详见产品说明书部分;形态特性:上皮细胞;相关产品有:COV504细胞、HEK-AD 293细胞、CCD18Co细胞

hTERT-HME-1 Cells;背景说明:详见相关文献介绍;传代方法:1:2-1:3传代;每周换液2-3次。;生长特性:贴壁或悬浮,详见产品说明书部分;形态特性:详见产品说明书;相关产品有:293-EBNA细胞、HGF-1细胞、KOPN-8细胞

H4IIE Cells#大鼠肝细胞系源头种子库|培养基|STR图谱

CHL-1 Cells;背景说明:详见相关文献介绍;传代方法:1:6—1:10传代;生长特性:贴壁生长;形态特性:上皮细胞;相关产品有:NCI-128细胞、RCM1细胞、LLC1细胞

MAVER1 Cells;背景说明:详见相关文献介绍;传代方法:1:3-1:5传代;2-3天换液1次。;生长特性:悬浮生长;形态特性:淋巴母细胞;相关产品有:SNU-761细胞、RPMI-2650细胞、Huh-7细胞

H2108 Cells;背景说明:详见相关文献介绍;传代方法:1:2-1:3传代;每周换液2-3次。;生长特性:贴壁或悬浮,详见产品说明书部分;形态特性:详见产品说明书;相关产品有:MES-13细胞、SF-539 BT细胞、Case 3细胞

PASMCS Cells;背景说明:肺动脉平滑肌 Cells;传代方法:1:2-1:3传代;每周换液2-3次。;生长特性:贴壁;形态特性:详见产品说明书;相关产品有:HLCL9B10细胞、GalK 1细胞、SN-12C细胞

CV-1 in Origin Simian-7 Cells;背景说明:此细胞株源自CV-1细胞株,经转染起始点缺失的SV40病毒突变体得到;编码表达野生型T抗原,所以该细胞适合作为需要SV40T抗原表达的载体的转染宿主。该细胞表达T抗原,允许SV40病毒的溶解性生长,支持40℃时温度敏感性A209病毒的复制,支持起始区域缺陷的SV40突变体的复制。因含有SV40病毒的DNA序列,该细胞需要在2级生物安全柜中操作。;传代方法:1:2传代;生长特性:贴壁生长;形态特性:成纤维细胞样;相关产品有:J774.A1细胞、HO-8910细胞、Rat Lung Epithelial-6-T-antigen Negative细胞

BayGenomics ES cell line CSI823 Cells(提供STR鉴定图谱)

BayGenomics ES cell line SYA176 Cells(提供STR鉴定图谱)

CBLC240.8 Cells(提供STR鉴定图谱)

LXXVIII-2E5-A8 Cells(提供STR鉴定图谱)

RAW-Dual Cells(提供STR鉴定图谱)

ROC-1 Cells(提供STR鉴定图谱)

"




H4IIE Cells#大鼠肝细胞系源头;复苏细胞系;细胞STR鉴定报告;细胞STR鉴定图谱;ATCC|DSMZ细胞库;

公司简介

公司提供ATCC、DSMZ、ECACC、NCI-DTP、RCB(Riken)等细胞系

成立日期 (9年)
注册资本 635万人民币
员工人数 50-100人
年营业额 ¥ 1亿以上
经营模式 贸易,工厂,服务
主营行业 细胞培养,细胞生物学,生物技术服务

H4IIE Cells#大鼠肝细胞系源头种子库|培养基|STR图谱相关厂家报价

  • H4IIE细胞
  • H4IIE细胞
  • 吉奥蓝图(广东)生命科学技术中心 VIP
  • 2026-04-17
  • 询价
内容声明
拨打电话 立即询价