基本信息 产品详情 公司简介 推荐产品
网站主页 HEK 293 T CELLS#人胚肾细胞系种子库|完全培养基|STR图谱 HEK-293-T Cells#人胚肾细胞系源头种子库|培养基|STR图谱
  • HEK-293-T Cells#人胚肾细胞系源头种子库|培养基|STR图谱
  • HEK-293-T Cells#人胚肾细胞系源头种子库|培养基|STR图谱
  • HEK-293-T Cells#人胚肾细胞系源头种子库|培养基|STR图谱

1/3

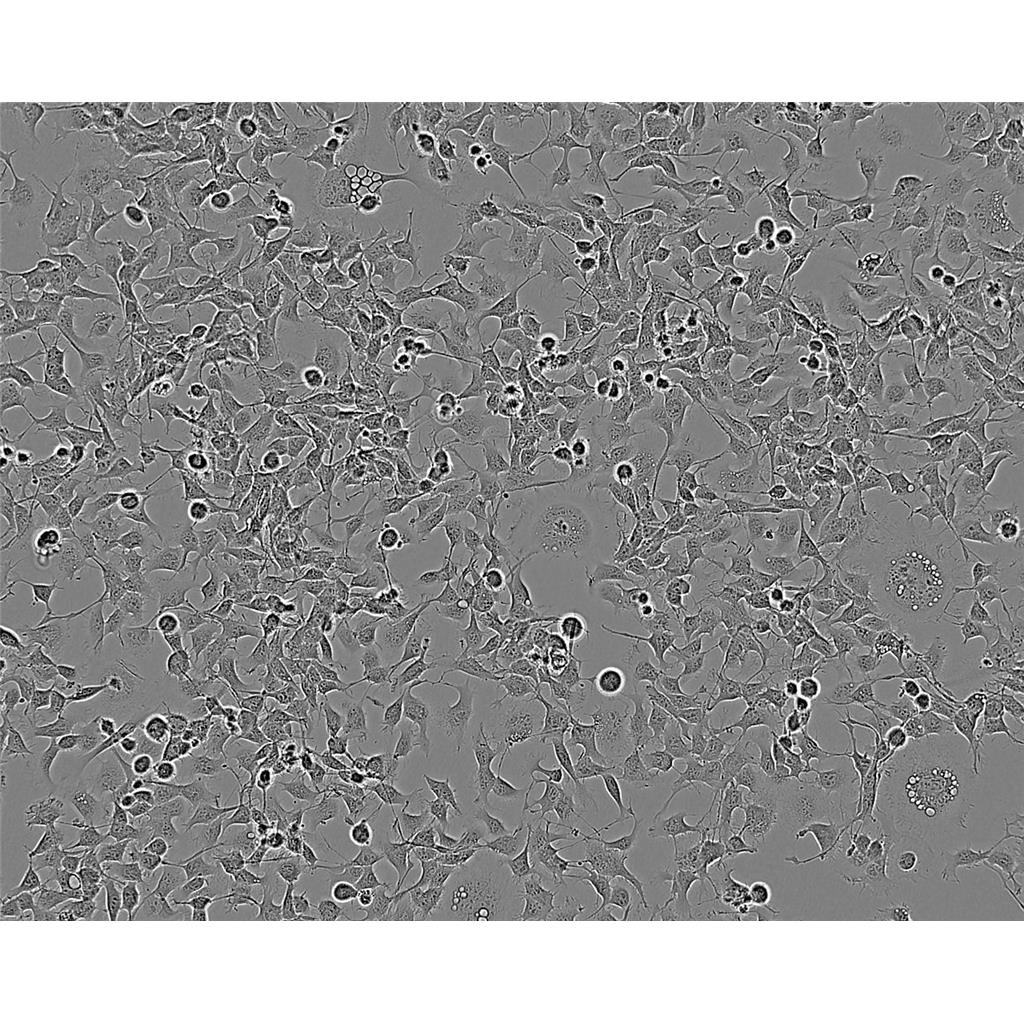
HEK-293-T Cells#人胚肾细胞系源头种子库|培养基|STR图谱

HEK-293-T Cells#
询价 1000000Cells/瓶 起订
2000000Cells/瓶 起订
上海 更新日期:2025-12-31

上海宾穗生物科技有限公司

非会员
联系人:刘***
电话:183***
手机:183***
邮箱:129***

产品详情:

中文名称:
HEK-293-T Cells#人胚肾细胞系源头种子库|培养基|STR图谱
英文名称:
HEK-293-T Cells#
品牌:
ATCC、DSMZ等
产地:
美国、欧洲、德国等
保存条件:
低温避光
纯度规格:
HEK-293-T Cells#人胚肾细胞系源头种子库|培养基|STR图谱
产品类别:
DSMZ细胞库 DSMZ细胞
货号:
详见细胞说明书
种属:
详见细胞说明书
组织:
详见细胞说明书
细胞系:
详见细胞说明书
用途范围:
详见细胞说明书
规格:
1*10^6cells/T25(1瓶)或1ml冻存管(2支)
是否进口:
来源ATCC、DSMZ、ECACC等细胞库
组织来源:
详见细胞说明书
是否是肿瘤细胞:
详见细胞说明书
细胞形态:
详见细胞说明书
生长状态:
详见细胞说明书
靶点:
详见细胞说明书
应用:
详见细胞说明书
器官来源:
详见细胞说明书
品系:
详见细胞说明书
免疫类型:
详见细胞说明书
物种来源:
人源或其它动物来源等
保质期:
可长期保存(液氮低温冻存)

"HEK-293-T Cells#人胚肾细胞系源头种子库|培养基|STR图谱

换液周期:每周2-3次

生长特性:贴壁

背景信息:293T细胞是293 [HEK-293]细胞株插入了SV40 T-antigen的温度敏感基因形成的高转衍生株。

淋巴母细胞(lymphoblast)是一类未成熟的淋巴细胞,通常在淋巴组织的发育过程中出现。它们在淋巴瘤和白血病的病理过程中扮演重要角色。淋巴母细胞是淋巴细胞的前体细胞,处于从造血干细胞向成熟淋巴细胞分化的过程中。它们可以来源于T细胞或B细胞。根据来源不同,淋巴母细胞可分为T细胞淋巴母细胞和B细胞淋巴母细胞。

Panc04.03 Cells;背景说明:详见相关文献介绍;传代方法:1:2传代;生长特性:贴壁生长;形态特性:上皮样;相关产品有:NK92细胞、NF639细胞、Rabbit Kidney 13细胞

SNU-886 Cells;背景说明:详见相关文献介绍;传代方法:1:2传代;生长特性:贴壁或悬浮,详见产品说明书部分;形态特性:详见产品说明书;相关产品有:SuDHL 2细胞、RBL 1细胞、MIN-6细胞

HLMVEC Cells;背景说明:肺微血管;内皮 Cells;传代方法:1:2-1:3传代;每周换液2-3次。;生长特性:贴壁;形态特性:详见产品说明书;相关产品有:MKN 7细胞、ML-2细胞、HPaSteC(HPSC)细胞

SUM102PT Cells;背景说明:乳腺癌;女性;传代方法:1:2-1:3传代;每周换液2-3次。;生长特性:贴壁;形态特性:详见产品说明书;相关产品有:H-920细胞、TE 354.T细胞、Chang liver细胞

┈订┈购(技术服务)┈热┈线:1┈3┈6┈4┈1┈9┈3┈0┈7┈9┈1【微信同号】┈Q┈Q:3┈1┈8┈0┈8┈0┈7┈3┈2┈4;

产品包装:复苏发货:T25培养瓶(一瓶)或冻存发货:1ml冻存管(两支)

传代比例:1:2-1:4(首次传代建议1:2)

培养细胞真的不难,Zui关键几点:1)所有的东西使用,如果你用的血清、培养皿、培养基、胰酶什么的都是进口的,真的很难相信你会把细胞养坏;2)动作要快,胰酶消化,换什么,细胞暴露在空气中的时间越少越HAO。另外,要掌握HAO胰酶消化时间,所谓的细胞状态差,很多时候是传代的原因;3)有时间的话,需要细胞计数,传相应数目的细胞到培养皿中,可以大致清楚细胞的生长曲线,不会临时要处理,手足无措;4)要做什么心里要非常清楚,合理安排时间,传代细胞的实验穿插进行,可以节省很多时间,也不会耽误别人的实验;5)个人的实验器具自己收一套,不要和别人混用,Zui近换了什么新的东西稍微记一下,试剂一旦怀疑污染,马上丢;6)传代细胞不能进去太多人,避免相互干扰。每天对待细胞比孝敬爹妈还用心,那真是捧在手里怕碎了,含在嘴里怕化了,看在眼里怕丢了,培养细胞时有哪些经验教训可以分享呢?1)严格无菌操作,多喷喷酒精,要是对灭菌的东西不放心,自己包自己送自己烘干;2)不要和别人共用试剂耗材,自己准备一套;3)有可能的话在拿到新细胞的时候做HAO支原体衣原体检测;4)水浴锅很脏,生化培养箱要是得手动加湿的话盘里的水也会很脏,勤换(灭菌水加进去);5)晚上离开的时候ZuiHAO给传代细胞照紫外,超净台是用完就开;6)是同一时间就你一个人在用传代细胞在养细胞。

来源说明:细胞主要来源ATCC、ECACC、DSMZ、RIKEN等细胞库

Mono Mac 6 Cells;背景说明:详见相关文献介绍;传代方法:1:2传代;生长特性:悬浮生长;形态特性:淋巴母细胞;相关产品有:CCD-841CoN细胞、Walker-Ca.256细胞、Hs 578Bst细胞

Mono Mac 6 Cells;背景说明:详见相关文献介绍;传代方法:1:2传代;生长特性:悬浮生长;形态特性:淋巴母细胞;相关产品有:CCD-841CoN细胞、Walker-Ca.256细胞、Hs 578Bst细胞

H1568 Cells;背景说明:详见相关文献介绍;传代方法:1:3-1:6传代;每周换液2-3次。;生长特性:贴壁或悬浮,详见产品说明书部分;形态特性:详见产品说明书;相关产品有:MSTO-211细胞、NCIH1694细胞、H-676细胞

GM02131A Cells;背景说明:B淋巴细胞;EBV转化;传代方法:1:2-1:3传代;每周换液2-3次。;生长特性:悬浮;形态特性:详见产品说明书;相关产品有:B16/F10细胞、PLC-8024细胞、MDA MB 453细胞

Madin-Darby Canine Kidney Cells;背景说明:详见相关文献介绍;传代方法:1:2传代;生长特性:贴壁生长 ;形态特性:详见产品说明书;相关产品有:U-251细胞、CCC-HEL-1细胞、RERF-LC-MS细胞

物种来源:人源、鼠源等其它物种来源

HEK-293-T Cells#人胚肾细胞系源头种子库|培养基|STR图谱

形态特性:详见细胞说明书

┈订┈购(技术服务)┈热┈线:1┈3┈6┈4┈1┈9┈3┈0┈7┈9┈1【微信同号】┈Q┈Q:3┈1┈8┈0┈8┈0┈7┈3┈2┈4;

细胞培养应用于分子生物学、细胞生物学、遗传学、免疫学、肿瘤学及病毒学等领域,细胞培养是指将细胞从动物或植物体内取出,然后在适宜的人工环境中生长的过程。细胞可以在培养前直接从组织中取出并通过酶或机械方法进行解离,也可以来源于已建立的细胞系。传代培养是指当细胞生长至高密度时,将其分殖至新的培养瓶中,以维持其生长和增殖。贴壁细胞是指在培养基表面附着生长的细胞,悬浮细胞是指在培养基中悬浮生长的细胞,不依附于培养皿表面。半贴壁半悬浮细胞同时具备贴壁细胞和悬浮细胞的特点,通常在培养基中部分附着生长,部分悬浮于培养基上。

1039A1 Cells(提供STR鉴定图谱)

Abcam HEK293T ZYX KO 1 Cells(提供STR鉴定图谱)

AG13968 Cells(提供STR鉴定图谱)

BayGenomics ES cell line RRD138 Cells(提供STR鉴定图谱)

BayGenomics ES cell line XF014 Cells(提供STR鉴定图谱)

BY00623 Cells(提供STR鉴定图谱)

CT314X6 Cells(提供STR鉴定图谱)

DA04663 Cells(提供STR鉴定图谱)

FPMI-CO-112 Cells(提供STR鉴定图谱)

Sp2/O-Ag14 Cells;背景说明:该细胞是由绵羊红细胞免疫的BALB/c小鼠脾细胞和P3X63Ag8骨髓瘤细胞融合得到的。该细胞不分泌免疫球蛋白,对20μg/ml的8-氮鸟嘌呤有抗性,对HAT比较敏感;该细胞可以作为细胞融合时的B细胞组分用于制备杂交瘤;鼠痘病毒阴性。;传代方法:1:2传代;生长特性:悬浮生长;形态特性:淋巴母细胞样;圆形;相关产品有:MUVEC细胞、SJ-RH30细胞、H-87细胞

Pa017C Cells;背景说明:详见相关文献介绍;传代方法:1:2传代;生长特性:贴壁生长;形态特性:上皮样;相关产品有:PLA802细胞、CWR22Rv1细胞、Li-7细胞

NCIH1385 Cells;背景说明:详见相关文献介绍;传代方法:1:2-1:3传代;每周换液2-3次。;生长特性:贴壁或悬浮,详见产品说明书部分;形态特性:详见产品说明书;相关产品有:P 815细胞、NCI H345细胞、Kobe university Oral Squamous Cell culture-2细胞

NCTC 3960 Cells;背景说明:黑色素瘤;雄性;DBA;传代方法:1:2-1:3传代;每周换液2-3次。;生长特性:贴壁;形态特性:详见产品说明书;相关产品有:MD Anderson-Metastatic Breast-157细胞、HOS/MNNG细胞、JAR细胞

GM05372E Cells;背景说明:详见相关文献介绍;传代方法:1:2-1:3传代;每周换液2-3次。;生长特性:贴壁或悬浮,详见产品说明书部分;形态特性:详见产品说明书;相关产品有:SNU423细胞、NBL-7细胞、L5178YR细胞

SK-MEL-28 Cells;背景说明:详见相关文献介绍;传代方法:1:3-1:8传代,2-3天换液1次。;生长特性:贴壁生长;形态特性:星形的;相关产品有:HSF细胞、AQ-Mel细胞、4-1st细胞

NCI-H526 Cells;背景说明:详见相关文献介绍;传代方法:每周换液2-3次。;生长特性:悬浮生长 ;形态特性:上皮细胞;相关产品有:P3-X63-Ag8.653细胞、HS-940-T细胞、MCMEC细胞

HEK-293-T Cells#人胚肾细胞系源头种子库|培养基|STR图谱

SR Cells;背景说明:间变性大细胞淋巴瘤;男性;传代方法:1:2-1:3传代;每周换液2-3次。;生长特性:悬浮;形态特性:详见产品说明书;相关产品有:RPMI 1788细胞、CaEs17细胞、MALME.3M细胞

NCIH510 Cells;背景说明:详见相关文献介绍;传代方法:1:3-1:8传代;每周换液2次。;生长特性:混合生长;形态特性:上皮细胞样;相关产品有:N-9细胞、HCT GEO细胞、SNU-886细胞

COR-L 105 Cells;背景说明:详见相关文献介绍;传代方法:1:2-1:3传代;每周换液2-3次。;生长特性:贴壁或悬浮,详见产品说明书部分;形态特性:详见产品说明书;相关产品有:CHP212细胞、MDCKII细胞、HCCLM3细胞

MCF-7 Cells;背景说明:MCF-7细胞保留了多个分化了的乳腺上皮的特性,包括:能通过胞质雌激素受体加工雌二醇并能形成圆形复合物(domes)。该细胞含有Tx-4癌基因。肿瘤坏死因子α(TNFalpha)可以抑制MCF-7细胞的生长。抗雌激素处理细胞能调变IGFBP'S的分泌。;传代方法:1:2传代,3-4天长满;生长特性:贴壁生长;形态特性:上皮样;相关产品有:MONO-MAC 6细胞、NCIH1436细胞、LS 513细胞

NCIH841 Cells;背景说明:详见相关文献介绍;传代方法:1:3—1:5传代,;生长特性:混合型生长;形态特性:详见产品说明书;相关产品有:C33-A细胞、HARAB细胞、NCI-SNU-761细胞

RC-K8 Cells;背景说明:弥漫大B淋巴瘤;腹腔转移;男性;传代方法:1:2-1:3传代;每周换液2-3次。;生长特性:悬浮;形态特性:详见产品说明书;相关产品有:HEK293-FT细胞、Molm 14细胞、KLN205细胞

Panc 02.03 Cells;背景说明:详见相关文献介绍;传代方法:1:2传代;生长特性:贴壁生长;形态特性:上皮样;相关产品有:HES [Human embryonic skin fibroblast]细胞、VK2/E6E7细胞、CCD-841CoN细胞

OE-19 Cells;背景说明:详见相关文献介绍;传代方法:1:2传代;生长特性:贴壁生长;形态特性:上皮样;相关产品有:Nthy-ori 3.1细胞、CTLA4Ig-24细胞、JM-1细胞

┈订┈购(技术服务)┈热┈线:1┈3┈6┈4┈1┈9┈3┈0┈7┈9┈1【微信同号】┈Q┈Q:3┈1┈8┈0┈8┈0┈7┈3┈2┈4;

HCC1438 Cells;背景说明:详见相关文献介绍;传代方法:1:2-1:3传代;每周换液2-3次。;生长特性:贴壁或悬浮,详见产品说明书部分;形态特性:详见产品说明书;相关产品有:SK-N-BE-2细胞、OVCA-433细胞、A-673细胞

HCC1833 Cells;背景说明:详见相关文献介绍;传代方法:1:2-1:3传代;每周换液2-3次。;生长特性:贴壁或悬浮,详见产品说明书部分;形态特性:详见产品说明书;相关产品有:HBL-100细胞、NGEC细胞、HUT-125细胞

SF 763 Cells;背景说明:详见相关文献介绍;传代方法:1:2-1:3传代;每周换液2-3次。;生长特性:贴壁或悬浮,详见产品说明书部分;形态特性:详见产品说明书;相关产品有:GM2131细胞、RD细胞、HT-29细胞

RT 112 Cells;背景说明:详见相关文献介绍;传代方法:1:2-1:3传代;每周换液2-3次。;生长特性:贴壁或悬浮,详见产品说明书部分;形态特性:详见产品说明书;相关产品有:PLC/PRF5细胞、H-2291细胞、KYSE0520细胞

NS1-Ag4 Cells;背景说明:这是P3X63Ag8(ATCCTIB-9)的一个不分泌克隆。Kappa链合成了但不分泌。能抗0.1mM8-氮杂鸟嘌呤但不能在HAT培养基中生长。据报道它是由于缺失了3-酮类固醇还原酶活性的胆固醇营养缺陷型。检测表明肢骨发育畸形病毒(鼠痘)阴性。;传代方法:1:2传代,3天内可长满。;生长特性:悬浮生长;形态特性:淋巴母细胞;相关产品有:NCI-H2196细胞、OCI-Ly 3细胞、SW-626细胞

HBSMC Cells;背景说明:详见相关文献介绍;传代方法:1:2-1:3传代;每周换液2-3次。;生长特性:贴壁或悬浮,详见产品说明书部分;形态特性:详见产品说明书;相关产品有:Hs 832(C).T细胞、SW1222细胞、CWR22R细胞

NT-2 Cells;背景说明:畸胎瘤;男性;传代方法:1:2-1:3传代;每周换液2-3次。;生长特性:贴壁;形态特性:详见产品说明书;相关产品有:CATH.a细胞、CT 26细胞、3T3-L1细胞

Human Intestinal Epithelial Cell-6 Cells;背景说明:肠;上皮 Cells;传代方法:1:2-1:3传代;每周换液2-3次。;生长特性:贴壁;形态特性:详见产品说明书;相关产品有:QGY7701细胞、CNE-2细胞、PK (15)细胞

HOP 92 Cells;背景说明:详见相关文献介绍;传代方法:1:2-1:3传代;每周换液2-3次。;生长特性:贴壁或悬浮,详见产品说明书部分;形态特性:详见产品说明书;相关产品有:WiDr/S细胞、624mel细胞、DI-TNC1细胞

H-4-II-E Cells;背景说明:详见相关文献介绍;传代方法:1:2-1:3传代;每周换液2-3次。;生长特性:贴壁或悬浮,详见产品说明书部分;形态特性:详见产品说明书;相关产品有:8505C细胞、SNUC2A细胞、U-373-MG细胞

KNS62 Cells;背景说明:详见相关文献介绍;传代方法:每周换液2次。;生长特性:贴壁生长;形态特性:上皮细胞;相关产品有:LLC-MK-2细胞、AML12细胞、SKNEP-1细胞

OK-WT Cells;背景说明:肾;传代方法:1:2-1:3传代;每周换液2-3次。;生长特性:贴壁;形态特性:详见产品说明书;相关产品有:BBE细胞、AML-193细胞、PLA-801C细胞

AKR Cells;背景说明:食管癌;AKR;传代方法:1:2-1:3传代;每周换液2-3次。;生长特性:贴壁;形态特性:详见产品说明书;相关产品有:PA-TU S细胞、RS 4;11细胞、184A1细胞

GM09722 Cells(提供STR鉴定图谱)

HAP1 BAX (-) 1 Cells(提供STR鉴定图谱)

HAP1 SNCA (-) 3 Cells(提供STR鉴定图谱)

HG03139 Cells(提供STR鉴定图谱)

IBMS-iPSC-077-01 Cells(提供STR鉴定图谱)

LM-MEL-77 Cells(提供STR鉴定图谱)

NCI-H1622 Cells(提供STR鉴定图谱)

PathHunter CHO-K1 mGCGR beta-arrestin-1 Cells(提供STR鉴定图谱)

SA046 Cells(提供STR鉴定图谱)

TMHepTG4912 10 Cells(提供STR鉴定图谱)

UCT0313 Cells(提供STR鉴定图谱)

10B6 Cells(提供STR鉴定图谱)

Human Corneal Epithelial cells-Transformed Cells;背景说明:角膜上皮细胞;Ad-SV40转化;女性;传代方法:1:2-1:3传代;每周换液2-3次。;生长特性:贴壁;形态特性:详见产品说明书;相关产品有:NCIH1755细胞、NCI H69细胞、WEHI-3B细胞

HAEC Cells;背景说明:主动脉;内皮 Cells;传代方法:1:2-1:3传代;每周换液2-3次。;生长特性:贴壁;形态特性:详见产品说明书;相关产品有:Baby Hamster Kidney 21细胞、A-72细胞、DU4475细胞

DLM8 Cells;背景说明:Dunn's骨肉瘤;雌性;C3H;传代方法:1:2-1:3传代;每周换液2-3次。;生长特性:贴壁;形态特性:详见产品说明书;相关产品有:TFH细胞、U-343细胞、CC-LP-1细胞

EBC-1/original Cells;背景说明:肺鳞癌;皮肤转移;男性;传代方法:1:2-1:3传代;每周换液2-3次。;生长特性:贴壁;形态特性:详见产品说明书;相关产品有:Caki-2细胞、ACC-3细胞、AN-3细胞

CA922 Cells;背景说明:详见相关文献介绍;传代方法:1:2-1:3传代;每周换液2-3次。;生长特性:贴壁生长;形态特性:上皮细胞;相关产品有:MOLT4细胞、Mv.1.Lu细胞、SK-N-SH细胞

NCIH250 Cells;背景说明:小细胞肺癌;男性;传代方法:1:2-1:3传代;每周换液2-3次。;生长特性:半贴壁;形态特性:详见产品说明书;相关产品有:NCIH322细胞、8305-C细胞、SNU-761细胞

hTERT RPE-1 Cells;背景说明:视网膜色素上皮;hTERT永生;女性;传代方法:1:2-1:3传代;每周换液2-3次。;生长特性:贴壁;形态特性:详见产品说明书;相关产品有:QGY-7703细胞、CCRFCEM细胞、G519细胞

BT 549 Cells;背景说明:该细胞1978年由W.G.Coutinho和E.Y.Lasfargues建系,源自一位72岁患有乳腺导管癌的白人女性,来源组织包括乳头及浸润导管。该细胞形态包括上皮样细胞及多核巨细胞,可分泌一种粘性物质。;传代方法:1:2传代;生长特性:贴壁生长;形态特性:上皮样;相关产品有:DU4475细胞、HS-729细胞、Mouse podocyte细胞

SKG-IIIa Cells;背景说明:详见相关文献介绍;传代方法:2x10^4 cells/ml;生长特性:贴壁生长;形态特性:上皮细胞样;相关产品有:IOSE80细胞、BC-019细胞、H-2196细胞

SK-N-BE(1) Cells;背景说明:详见相关文献介绍;传代方法:1:2-1:3传代;每周换液2-3次。;生长特性:贴壁或悬浮,详见产品说明书部分;形态特性:详见产品说明书;相关产品有:AZ-521细胞、NOR-10细胞、RAMOS2G64C10细胞

NCIH1734 Cells;背景说明:详见相关文献介绍;传代方法:1:4-1:6传代。;生长特性:贴壁生长;形态特性:上皮细胞样;相关产品有:SUDHL-1细胞、NCI-H1395细胞、SW-403细胞

PVEC Cells;背景说明:详见相关文献介绍;传代方法:1:2-1:3传代;每周换液2-3次。;生长特性:贴壁或悬浮,详见产品说明书部分;形态特性:详见产品说明书;相关产品有:L-5178-Y细胞、MDAMB453细胞、HeLaS3细胞

SN12C Cells;背景说明:详见相关文献介绍;传代方法:2x10^4 cells/ml;生长特性:贴壁生长;形态特性:上皮细胞样;相关产品有:H727细胞、D283-MED细胞、TJ905细胞

BE(2)-M17 Cells;背景说明:详见相关文献介绍;传代方法:1:2-1:3传代;每周换液2-3次。;生长特性:贴壁或悬浮,详见产品说明书部分;形态特性:详见产品说明书;相关产品有:H-774细胞、A2780细胞、beta-TC6细胞

U2932 Cells;背景说明:弥漫大B淋巴瘤;女性;传代方法:1:2-1:3传代;每周换液2-3次。;生长特性:悬浮;形态特性:详见产品说明书;相关产品有:RL95细胞、Rat-1细胞、HUT-226细胞

HCC9724 Cells;背景说明:详见相关文献介绍;传代方法:1:2-1:3传代;每周换液2-3次。;生长特性:贴壁或悬浮,详见产品说明书部分;形态特性:详见产品说明书;相关产品有:BIU87细胞、MRAEC细胞、T-47D细胞

SVGp12 Cells;背景说明:星形胶质细胞;SV40转化;男性;传代方法:1:2-1:3传代;每周换液2-3次。;生长特性:贴壁;形态特性:详见产品说明书;相关产品有:H-2066细胞、SW-1573细胞、TE354T细胞

RASMCs Cells;背景说明:气道平滑肌;传代方法:1:2-1:3传代;每周换液2-3次。;生长特性:贴壁;形态特性:详见产品说明书;相关产品有:U2932细胞、JIMT1细胞、SKNBE2C细胞

EOC20 Cells;背景说明:详见相关文献介绍;传代方法:1:2-1:3传代;每周换液2-3次。;生长特性:贴壁或悬浮,详见产品说明书部分;形态特性:详见产品说明书;相关产品有:COV-434细胞、AgC11x3A细胞、Madin-Darby Canine Kidney细胞

KASUMI1 Cells;背景说明:详见相关文献介绍;传代方法:1:2传代。3天内可长满。;生长特性:悬浮生长;形态特性:原粒细胞;相关产品有:9L细胞、Tca-8113细胞、NCI-H295R细胞

PLC PRF 5 Cells;背景说明:该细胞系分泌乙肝病毒表面抗原(HBsAg)。 此细胞系原先被支原体污染,后用BM-cycline去除支原体;传代方法:1:2传代;生长特性:贴壁生长;形态特性:上皮样;相关产品有:RLE-6TN细胞、U-2932细胞、DMS-53细胞

UPCI:SCC090 Cells;背景说明:舌鳞癌细胞;男性;传代方法:1:2-1:3传代;每周换液2-3次。;生长特性:贴壁;形态特性:详见产品说明书;相关产品有:alpha-TC1.6细胞、HP615细胞、EFM-19细胞

MUVEC Cells;背景说明:脐静脉;内皮 Cells;传代方法:1:2-1:3传代;每周换液2-3次。;生长特性:贴壁;形态特性:详见产品说明书;相关产品有:SCC-25细胞、MOLT-3细胞、SNB19细胞

COLO-1 Cells;背景说明:角质形成层;传代方法:1:2-1:3传代;每周换液2-3次。;生长特性:贴壁;形态特性:详见产品说明书;相关产品有:Hs 766T细胞、OACP4 C细胞、Hs-675-T细胞

H1930 Cells;背景说明:详见相关文献介绍;传代方法:3-4天换液1次。;生长特性:悬浮生长;形态特性:详见产品说明书;相关产品有:NB.4细胞、HPBALL细胞、HuTu 80细胞

NEC8 Cells;背景说明:睾丸胚胎性癌;男性;传代方法:1:2-1:3传代;每周换液2-3次。;生长特性:贴壁;形态特性:详见产品说明书;相关产品有:EB3 [Human Burkitt lymphoma]细胞、Rca-B细胞、KYSE410细胞

H-292 Cells;背景说明:详见相关文献介绍;传代方法:1:3-1:8传代;2-3天换液1次。;生长特性:贴壁生长;形态特性:上皮样;相关产品有:WEHI164细胞、PC3M细胞、NCI-H-128细胞

RCM1 Cells;背景说明:详见相关文献介绍;传代方法:1:4传代,2-3天换液1次。;生长特性:贴壁生长;形态特性:上皮细胞;相关产品有:J-82细胞、RMS 1598细胞、Laboratory of Allergic Diseases 2细胞

HCC0070 Cells;背景说明:详见相关文献介绍;传代方法:1:4-1:6传代;每周换液2-3次。;生长特性:贴壁生长;形态特性:上皮样;相关产品有:NCIH1395细胞、TO 175.T细胞、DHL-16细胞

Ramos.2G6.4C10 Cells;背景说明:详见相关文献介绍;传代方法: 维持细胞浓度在2×105/ml-1×106/ml;根据细胞浓度每2-3天补液1次。;生长特性:悬浮生长 ;形态特性:淋巴母细胞样;相关产品有:Hepa1-6细胞、NCI-H1915细胞、GC-1 spg细胞

Pt K1 Cells;背景说明:详见相关文献介绍;传代方法:1:2-1:3传代;每周换液2-3次。;生长特性:贴壁或悬浮,详见产品说明书部分;形态特性:详见产品说明书;相关产品有:Ly18细胞、PZ-HPV-7细胞、H2452细胞

┈订┈购(技术服务)┈热┈线:1┈3┈6┈4┈1┈9┈3┈0┈7┈9┈1【微信同号】┈Q┈Q:3┈1┈8┈0┈8┈0┈7┈3┈2┈4;

786O Cells;背景说明:该细胞源自一位原发性肾透明细胞癌患者。该细胞有微绒毛和桥粒,能在软琼脂上生长。此细胞生成一种PTH(甲状旁腺素)样的多肽,与乳癌和肺癌中生成的肽相似,其N端序列与PTH相似,具有PTH样活性,分子量为6000D。;传代方法:1:2传代;生长特性:贴壁生长;形态特性:上皮样;相关产品有:OCI-Ly 1细胞、NCI/ADR-RES细胞、NCI-H441-4细胞

Ca 9-22 Cells;背景说明:详见相关文献介绍;传代方法:1:2-1:3传代;每周换液2-3次。;生长特性:贴壁生长;形态特性:上皮细胞;相关产品有:Caco-2 BBe细胞、CHL细胞、CHP212细胞

HEK-293-T Cells#人胚肾细胞系源头种子库|培养基|STR图谱

H-209 Cells;背景说明:详见相关文献介绍;传代方法:1:2-1:4传代;每周换液2次。;生长特性:悬浮生长,有少数细胞疏松贴壁;形态特性:上皮样;相关产品有:253J-BV细胞、HS-294-T细胞、GM02132细胞

NCI-H2195 Cells;背景说明:详见相关文献介绍;传代方法:1:2-1:3传代;每周换液2-3次。;生长特性:贴壁或悬浮,详见产品说明书部分;形态特性:详见产品说明书;相关产品有:Menschliche Und Tierische Zellkulture-3细胞、B95-8细胞、HPAEC细胞

MV4:11 Cells;背景说明:详见相关文献介绍;传代方法:1:2-1:3传代;每周换液2-3次。;生长特性:贴壁或悬浮,详见产品说明书部分;形态特性:详见产品说明书;相关产品有:P30OHK细胞、NCI-H735细胞、NHRF细胞

BALB/3T3 clone A31 Cells;背景说明:胚胎;成纤维;自发永生;雄性;BALB/c;传代方法:1:2-1:3传代;每周换液2-3次。;生长特性:贴壁;形态特性:详见产品说明书;相关产品有:H2106细胞、D407细胞、Hs 578.Bst细胞

LS-411N Cells;背景说明:详见相关文献介绍;传代方法:1:2传代;每周2次;生长特性:贴壁生长;形态特性:上皮样;相关产品有:Intestinal Epithelioid Cell line No. 18细胞、A204细胞、Hep 3B细胞

BayGenomics ES cell line CSC175 Cells(提供STR鉴定图谱)

BayGenomics ES cell line RRS676 Cells(提供STR鉴定图谱)

BayGenomics ES cell line YTC091 Cells(提供STR鉴定图谱)

iMEPM Cells(提供STR鉴定图谱)

PCRP-SETD6-1E8 Cells(提供STR鉴定图谱)

LAM-II Cells(提供STR鉴定图谱)

"



HEK-293-T Cells#人胚肾细;复苏细胞系;细胞STR鉴定报告;细胞STR鉴定图谱;ATCC|DSMZ细胞库;

公司简介

公司提供ATCC、DSMZ、ECACC、NCI-DTP、RCB(Riken)等细胞系

成立日期 (9年)
注册资本 635万人民币
员工人数 50-100人
年营业额 ¥ 1亿以上
经营模式 贸易,工厂,服务
主营行业 细胞培养,细胞生物学,生物技术服务

HEK-293-T Cells#人胚肾细胞系源头种子库|培养基|STR图谱相关厂家报价

内容声明
拨打电话 立即询价