基本信息 产品详情 公司简介 推荐产品
网站主页 NOZAWA CELLS人胆囊癌细胞系 NOZAWA Cells#人胆囊癌细胞系复苏中心|完全培养基|STR图谱
  • NOZAWA Cells#人胆囊癌细胞系复苏中心|完全培养基|STR图谱
  • NOZAWA Cells#人胆囊癌细胞系复苏中心|完全培养基|STR图谱
  • NOZAWA Cells#人胆囊癌细胞系复苏中心|完全培养基|STR图谱

1/3

NOZAWA Cells#人胆囊癌细胞系复苏中心|完全培养基|STR图谱

NOZAWA Cells#
询价 1000000Cells/瓶 起订
2000000Cells/瓶 起订
上海 更新日期:2025-12-31

上海宾穗生物科技有限公司

非会员
联系人:刘***
电话:183***
手机:183***
邮箱:129***

产品详情:

中文名称:
NOZAWA Cells#人胆囊癌细胞系复苏中心|完全培养基|STR图谱
英文名称:
NOZAWA Cells#
品牌:
ATCC、DSMZ等
产地:
美国、欧洲、德国等
保存条件:
低温避光
纯度规格:
NOZAWA Cells#人胆囊癌细胞系复苏中心|完全培养基|STR图谱
产品类别:
DSMZ细胞库 DSMZ细胞
货号:
详见细胞说明书
种属:
详见细胞说明书
组织:
详见细胞说明书
细胞系:
详见细胞说明书
用途范围:
详见细胞说明书
规格:
1*10^6cells/T25(1瓶)或1ml冻存管(2支)
是否进口:
来源ATCC、DSMZ、ECACC等细胞库
组织来源:
详见细胞说明书
是否是肿瘤细胞:
详见细胞说明书
细胞形态:
详见细胞说明书
生长状态:
详见细胞说明书
靶点:
详见细胞说明书
应用:
详见细胞说明书
器官来源:
详见细胞说明书
品系:
详见细胞说明书
免疫类型:
详见细胞说明书
物种来源:
人源或其它动物来源等
保质期:
可长期保存(液氮低温冻存)

"NOZAWA Cells#人胆囊癌细胞系复苏中心|完全培养基|STR图谱

换液周期:每周2-3次

生长特性:贴壁

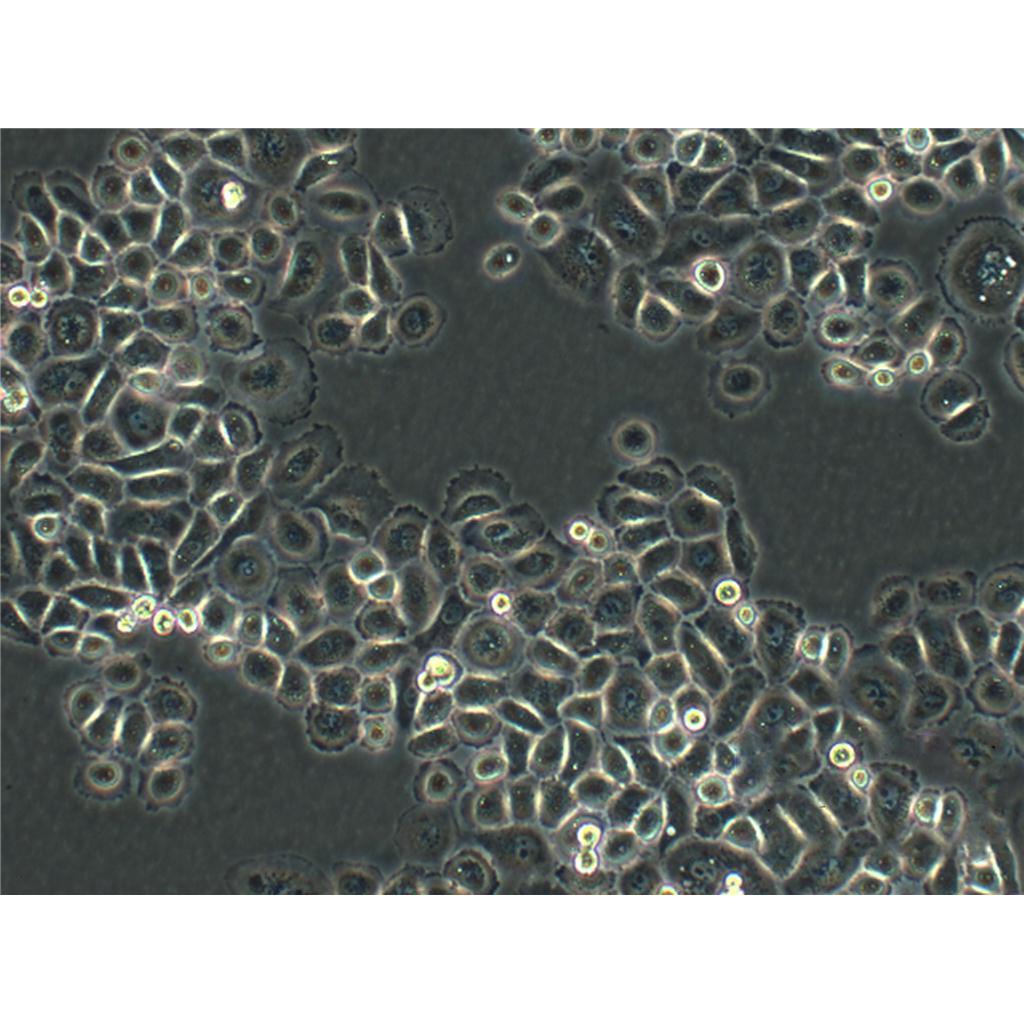
背景信息:患者有癌性腹膜炎。细胞为中等分化的管状胆囊癌。会分泌AFP和A。倍增时间48小时,板植率14-19%。细胞可在裸鼠中成瘤,形态与原发肿瘤相似。

绝大部分细胞消化的时候是只要用胰酶润洗一遍即可。吸去胰酶后,残留的那些无法计算体积的附着在细胞表面的微量胰酶在37℃一般不到2min足够消化细胞。对于这些细胞原则上不要用胰酶孵育细胞,连续这样传代,对细胞伤害很大。简单的程序是PBS润洗吸去,胰酶润洗吸去,然后37℃消化。比较难消化的细胞(润洗方法5min还不能消化),这样的细胞一般需要用少量胰酶孵育。不是细胞全部成间隔分布很离散的单个圆形才算消化HAO了,一般你肉眼观察贴壁细胞层,只要能移动了,多半呈沙壮移动,其实已经可以了,很多人喜欢把细胞消化或者吹打成完全分离细胞,这是没有必要的。一般能移动了,说明细胞与培养基质材料的附着已经消失了,细胞之间的附着也已经消失了,细胞已经独立分布了(虽然没有呈现很广的离散分布)。这个时候应该停止消化,不要等到看到镜下所有细胞都分离得非常HAO,间隙很大,才停止。细胞就是完全成单个细胞悬,之后在贴壁的过程中仍然会聚集,这个是贴壁培养的细胞,尤其是肿瘤细胞的一个性。如果和标准形态不一致,那可能是自己没消化HAO导致的,但如果消化方法正确,仍然成片分布,甚至完全吹打成单细胞悬,贴壁后仍然成片分布,这是细胞的性,是因为贴壁过程中重新聚集了。这个时候你拼了命要去让它均匀分布,你的细胞之后会对你越来越不HAO。

MA-104 Cells;背景说明:胚肾;自发永生;传代方法:1:2-1:3传代;每周换液2-3次。;生长特性:贴壁;形态特性:详见产品说明书;相关产品有:Rin-M-5F细胞、RT4-D6P2T细胞、UMR106细胞

TE-7 Cells;背景说明:食管鳞癌;男性;传代方法:1:2-1:3传代;每周换液2-3次。;生长特性:贴壁;形态特性:详见产品说明书;相关产品有:Human Intestinal Epithelial Cell-6细胞、MGH-UI细胞、H2291细胞

hUC-MSC Cells;背景说明:脐带;间充质干 Cells;传代方法:1:2-1:3传代;每周换液2-3次。;生长特性:贴壁;形态特性:详见产品说明书;相关产品有:NCIH378细胞、CHO-ori细胞、MXI细胞

ARH77 Cells;背景说明:详见相关文献介绍;传代方法:1:2-1:3传代;每周换液2-3次。;生长特性:悬浮生长;形态特性:淋巴母细胞样 ;相关产品有:H-9细胞、SNU407细胞、P19细胞

SRS-82 Cells;背景说明:详见相关文献介绍;传代方法:1:2-1:3传代;每周换液2-3次。;生长特性:贴壁或悬浮,详见产品说明书部分;形态特性:详见产品说明书;相关产品有:BIC-1细胞、MDA-MB415细胞、UMNSAH-DF-1细胞

┈订┈购(技术服务)┈热┈线:1┈3┈6┈4┈1┈9┈3┈0┈7┈9┈1【微信同号】┈Q┈Q:3┈1┈8┈0┈8┈0┈7┈3┈2┈4;

产品包装:复苏发货:T25培养瓶(一瓶)或冻存发货:1ml冻存管(两支)

NOZAWA Cells#人胆囊癌细胞系复苏中心|完全培养基|STR图谱

传代比例:1:2-1:4(首次传代建议1:2)

来源说明:细胞主要来源ATCC、ECACC、DSMZ、RIKEN等细胞库

【细胞培养经验分享】启蒙老师的重要性:一般进实验室都有师兄师姐带着做,他们就是你做细胞的启蒙老师。他们的操作手法、细节、理论讲解就成了你操作的准则,如营养液、细胞瓶的摆放位置、灭菌处理程序、开盖手法、细胞吹打手法等等。要学会他们的正确操作,在第一次的时候就要重视。像养孩子一样养细胞,细胞有时真的很脆弱,最好每天都去看看它,以防止出现培养箱缺水、缺二氧化碳、停电、温度不够等异常现象,也好及时解决这些意外,避免重复实验带来的更大痛苦。好细胞要及时保种:细胞要分批传代,这样即使有一批出了问题,还有一批备用的。像后者一般人可能不容易做到。但这是我血的教训,有一次细胞污染了,全军覆没。当时可后悔没有保种。细胞跟人一样,不同的细胞,培养特性是不一样的。培养过程中要细细体会,不同细胞系使用不同的培养基和血清。

物种来源:人源、鼠源等其它物种来源

H-2030 Cells;背景说明:详见相关文献介绍;传代方法:1:3-1:4传代;每周换液2-3次。;生长特性:贴壁生长;形态特性:上皮细胞样;相关产品有:OCIAML4细胞、HCC827细胞、H-128细胞

GM21037 Cells(提供STR鉴定图谱)

HAP1 LDHA (-) 1 Cells(提供STR鉴定图谱)

HCT116-SLC35E3-KO-c9 Cells(提供STR鉴定图谱)

NOZAWA Cells#人胆囊癌细胞系种子库|完全培养基|STR图谱

┈订┈购(技术服务)┈热┈线:1┈3┈6┈4┈1┈9┈3┈0┈7┈9┈1【微信同号】┈Q┈Q:3┈1┈8┈0┈8┈0┈7┈3┈2┈4;

NOZAWA Cells#人胆囊癌细胞系复苏中心|完全培养基|STR图谱

形态特性:上皮细胞样

ATCC细胞库(American Type Culture Colection),该中心一直致力于细胞分类、鉴定和保藏工作。ATCC是全球最大的生物资源保藏中心,ATCC通过行业标准产品、服务和创新解决方案支持全球学术、政府、生物技术、制药、食品、农业和工业领域的科学进步。ATCC提供的服务和定制解决方案包括细胞和微生物培养、鉴定、生物衍生物的开发和生产、性能测试和生物资源保藏服务。美国国家标准协会(ANSI)认可了ATCC标准开发组织,并制定了标准协议,以确保生物材料的可靠性和可重复性。ATCC的使命是为了获取、鉴定、保存、开发、标准化和分发生物资源和生物信息,以提高和应用生物科学知识。

ABAD-CuVa-1087-2 Cells(提供STR鉴定图谱)

Abcam Raji IL13RA1 KO Cells(提供STR鉴定图谱)

Basc-2 Cells(提供STR鉴定图谱)

BayGenomics ES cell line RRR593 Cells(提供STR鉴定图谱)

BayGenomics ES cell line YTA080 Cells(提供STR鉴定图谱)

CHA-hES24 Cells(提供STR鉴定图谱)

DA01696 Cells(提供STR鉴定图谱)

DF508 4 Cells(提供STR鉴定图谱)

GM02681 Cells(提供STR鉴定图谱)

NCIH196 Cells;背景说明:详见相关文献介绍;传代方法:1:4-1:6传代;每周换液2-3次。;生长特性:贴壁生长;形态特性:详见产品说明书;相关产品有:YES 2细胞、AZ521细胞、ZR75-1细胞

A-704 Cells;背景说明:详见相关文献介绍;传代方法:1:3—1:4传代,每周换液2-3次;生长特性:贴壁生长;形态特性:上皮细胞样;相关产品有:CEM C7细胞、HCV29细胞、NCI-H676B细胞

NCIH2347 Cells;背景说明:详见相关文献介绍;传代方法:1:2-1:6传代,每周2-3次。;生长特性:贴壁生长;形态特性:上皮样;相关产品有:SW-48细胞、MFE296细胞、KOPN8细胞

End1/E6E7 Cells;背景说明:子宫内膜;女性;HPV16转化;传代方法:1:2-1:3传代;每周换液2-3次。;生长特性:贴壁;形态特性:详见产品说明书;相关产品有:Vero E6细胞、HECCL-1细胞、H1869细胞

UMR106 Cells;背景说明:注射放射性同位素磷(32P)诱导产生的可移植性大鼠骨肉瘤克隆建立了UMR-106细胞株。 细胞对PTH,前列腺素及破骨甾体有响应。 对PTH的响应度,UMR-106比相关细胞株UMR-108(ATCC CRL-1663)要高。 蛋白激酶C的活化抑制ATP诱导的胞内水平的升高。 起始骨肉瘤和克隆株都是University of Sheffield的T.J. Martin建立的。;传代方法:1:2-1:3传代;每周换液2-3次。;生长特性:贴壁;形态特性:上皮细胞样;相关产品有:TGW-nu细胞、Panc203细胞、Mouse INsulinoma 6细胞

NCI-H1819 Cells;背景说明:详见相关文献介绍;传代方法:1:2-1:3传代;每周换液2-3次。;生长特性:贴壁或悬浮,详见产品说明书部分;形态特性:详见产品说明书;相关产品有:NCIH2110细胞、KYSE 510细胞、CNE1细胞

SK-N-BE(2)-M17 Cells;背景说明:详见相关文献介绍;传代方法:1:2-1:3传代;每周换液2-3次。;生长特性:贴壁或悬浮,详见产品说明书部分;形态特性:详见产品说明书;相关产品有:MAntle cell VERona-1细胞、Mono-Mac-1细胞、J111细胞

Namalva Cells;背景说明:这株细胞有EB病毒基因组。;传代方法:1:2传代。3天内可长满。;生长特性:悬浮生长 ;形态特性:淋巴母细胞样;相关产品有:Nakata-1细胞、FF-WT-BJ细胞、Tca-83细胞

RMG-I Cells;背景说明:详见相关文献介绍;传代方法:1:2传代;生长特性:贴壁生长;形态特性:详见产品说明书;相关产品有:HMCB细胞、C3H-10T1/2细胞、293T/17细胞

MBVP Cells;背景说明:脑血管;传代方法:1:2-1:3传代;每周换液2-3次。;生长特性:贴壁;形态特性:详见产品说明书;相关产品有:COLO-16细胞、Human Corneal Endothelial Cells-12细胞、SK-N-DZ细胞

J.E6-1 Cells;背景说明:详见相关文献介绍;传代方法:1:2-1:3传代;每周换液2-3次。;生长特性:贴壁或悬浮,详见产品说明书部分;形态特性:详见产品说明书;相关产品有:JROECL 33细胞、SU86_86细胞、18G3.cl 1细胞

HUVEC-C[HUVEC] Cells;背景说明:脐静脉;内皮 Cells;传代方法:1:2-1:3传代;每周换液2-3次。;生长特性:贴壁;形态特性:详见产品说明书;相关产品有:N1S1细胞、M-07e细胞、Virginia Mason Research Center-Lung Cancer D细胞

NOZAWA Cells#人胆囊癌细胞系复苏中心|完全培养基|STR图谱

MES-SA/Dx5 Cells;背景说明:详见相关文献介绍;传代方法:1:2-1:8传代;每周2-3次。;生长特性:贴壁生长;形态特性:成纤维细胞样 ;相关产品有:Glioma-261细胞、B16-F1细胞、HANK1细胞

CMT64 Cells;背景说明:肺腺癌;雌性;C57;传代方法:1:2-1:3传代;每周换液2-3次。;生长特性:贴壁;形态特性:详见产品说明书;相关产品有:LN382细胞、Ramos(RA1)细胞、LMH细胞

RPMI-8226S Cells;背景说明:来源于一位61岁的男性浆细胞瘤患者;可产生免疫球蛋白轻链,未检测到重链。;传代方法:按1:2传代,5-6小时可以看到细胞分裂;生长特性:悬浮生长;形态特性:淋巴母细胞样;相关产品有:RCSMC细胞、C32 mel细胞、HT115细胞

U-251-MG Cells;背景说明:U-251 MG分离至一位患者的胶质母细胞瘤组织。;传代方法:1:2-1:3传代;每周换液2-3次。;生长特性:贴壁;形态特性:成纤维细胞样;相关产品有:SW-962细胞、RPTEC TERT1细胞、Hs840T细胞

U-251-MG Cells;背景说明:U-251 MG分离至一位患者的胶质母细胞瘤组织。;传代方法:1:2-1:3传代;每周换液2-3次。;生长特性:贴壁;形态特性:成纤维细胞样;相关产品有:SW-962细胞、RPTEC TERT1细胞、Hs840T细胞

C4-2 B Cells;背景说明:前列腺癌;左锁骨上淋巴结转移;男性;传代方法:1:2-1:3传代;每周换液2-3次。;生长特性:贴壁;形态特性:详见产品说明书;相关产品有:AR41P细胞、EB-3细胞、Panc-813细胞

Glioma 261 Cells;背景说明:详见相关文献介绍;传代方法:1:2-1:3传代;每周换液2-3次。;生长特性:贴壁;形态特性:上皮细胞样;相关产品有:A431细胞、KYSE450细胞、WM 115细胞

┈订┈购(技术服务)┈热┈线:1┈3┈6┈4┈1┈9┈3┈0┈7┈9┈1【微信同号】┈Q┈Q:3┈1┈8┈0┈8┈0┈7┈3┈2┈4;

Panc-02 Cells;背景说明:详见相关文献介绍;传代方法:1:2传代;生长特性:贴壁生长 ;形态特性:详见产品说明书;相关产品有:UM-UC3细胞、LC-2 ad细胞、MARC-145细胞

OV90 Cells;背景说明:详见相关文献介绍;传代方法:1:2-1:3传代,3-4天换液1次。;生长特性:贴壁生长;形态特性:上皮细胞;相关产品有:McG-1细胞、Hs 821.T细胞、PANC-03-27细胞

GM05862 Cells;背景说明:胚胎;成纤维;自发永生;雄性;Swiss albino;传代方法:1:2-1:3传代;每周换液2-3次。;生长特性:贴壁;形态特性:详见产品说明书;相关产品有:H-1404细胞、Hs695T细胞、OVCA-433细胞

P560 Cells;背景说明:详见相关文献介绍;传代方法:1:2-1:3传代;每周换液2-3次。;生长特性:贴壁或悬浮,详见产品说明书部分;形态特性:详见产品说明书;相关产品有:HuT-78细胞、H889细胞、OVCAR-10细胞

H-1341 Cells;背景说明:详见相关文献介绍;传代方法:3-4天换液1次。;生长特性:悬浮生长;形态特性:圆形细胞;相关产品有:A1847细胞、MDBK (NBL-1)细胞、D-341Med细胞

H19-7 Cells;背景说明:详见相关文献介绍;传代方法:1:2-1:3传代;每周换液2-3次。;生长特性:贴壁或悬浮,详见产品说明书部分;形态特性:详见产品说明书;相关产品有:GM07404细胞、OCI AML2细胞、SCL-II细胞

M1 Cells;背景说明:髓系白血病;SL;传代方法:1:2-1:3传代;每周换液2-3次。;生长特性:悬浮;形态特性:详见产品说明书;相关产品有:VM-CUB-1细胞、COLO-320细胞、MDA-MB-435S细胞

BALL1 Cells;背景说明:详见相关文献介绍;传代方法:1:2传代;生长特性:悬浮生长;形态特性:淋巴母细胞;相关产品有:Wien 133细胞、HEH2细胞、UCLA-SO-M21细胞

UK Pan-1 Cells;背景说明:详见相关文献介绍;传代方法:1:2-1:3传代;每周换液2-3次。;生长特性:贴壁或悬浮,详见产品说明书部分;形态特性:详见产品说明书;相关产品有:HPMEC细胞、DAN-G细胞、RBE4细胞

MDAMB134 Cells;背景说明:该细胞1973年由R. Cailleau建系,源自74岁乳腺导管癌女性患者的胸腔积液,细胞生长缓慢,松散贴壁,生长过程中会脱落到培养基,不会汇合,过表达FGF受体;传代方法:1:2—1:4传代,每周换液2—3次;生长特性:松散贴壁生长;形态特性:上皮细胞样;相关产品有:HIT.T15细胞、Panc-10.05细胞、Nittby-Salford 1细胞

NCIH524 Cells;背景说明:该细胞1982年建系,源自非小细胞肺癌男性患者的转移淋巴结。;传代方法:1:2-1:3传代;每周换液2-3次。;生长特性:悬浮生长;形态特性:圆形细胞;相关产品有:SDBMSC细胞、MDA-415细胞、Kit225细胞

C1R Cells;背景说明:B细胞;EBV转染;女性;传代方法:1:2-1:3传代;每周换液2-3次。;生长特性:悬浮;形态特性:详见产品说明书;相关产品有:HEK-293细胞、UMNSAH-DF1细胞、NOR 10细胞

HPSI0115i-sehp_3 Cells(提供STR鉴定图谱)

K562 eGFP-CEBPB Cells(提供STR鉴定图谱)

Me32A-DmATP7 Cells(提供STR鉴定图谱)

NH50130 Cells(提供STR鉴定图谱)

QBC939 Cells(提供STR鉴定图谱)

SPC-PL-65 P1 Cells(提供STR鉴定图谱)

Ubigene HCT 116 PIP5K1C KO Cells(提供STR鉴定图谱)

WAe001-A-99 Cells(提供STR鉴定图谱)

4G3 Cells(提供STR鉴定图谱)

CV-1 in Origin Simian-7 Cells;背景说明:此细胞株源自CV-1细胞株,经转染起始点缺失的SV40病毒突变体得到;编码表达野生型T抗原,所以该细胞适合作为需要SV40T抗原表达的载体的转染宿主。该细胞表达T抗原,允许SV40病毒的溶解性生长,支持40℃时温度敏感性A209病毒的复制,支持起始区域缺陷的SV40突变体的复制。因含有SV40病毒的DNA序列,该细胞需要在2级生物安全柜中操作。;传代方法:1:2传代;生长特性:贴壁生长;形态特性:成纤维细胞样;相关产品有:MCF-7/ADR细胞、U937细胞、Vero C1008细胞

PF382 Cells;背景说明:详见相关文献介绍;传代方法:1:2传代;生长特性:悬浮生长;形态特性:淋巴母细胞;相关产品有:FRTL-5 Cl 2细胞、RWPE1细胞、PC 61 5.3细胞

KP-N-YN Cells;背景说明:详见相关文献介绍;传代方法:1:2传代;生长特性:贴壁生长;形态特性:上皮样;相关产品有:SW-954细胞、Bovine ENDometrial cells细胞、COV504细胞

H-2052 Cells;背景说明:详见相关文献介绍;传代方法:1:3-1:6传代;生长特性:贴壁生长;形态特性:上皮细胞;相关产品有:SUM149-PT细胞、SCL II细胞、Hs 863.T细胞

SUIT-2 Cells;背景说明:胰腺管癌;男性;传代方法:1:2-1:3传代;每周换液2-3次。;生长特性:贴壁;形态特性:详见产品说明书;相关产品有:K1735细胞、GalK 1细胞、HLCL9B10细胞

OACP4C Cells;背景说明:详见相关文献介绍;传代方法:1:2-1:3传代;每周换液2-3次。;生长特性:贴壁或悬浮,详见产品说明书部分;形态特性:详见产品说明书;相关产品有:B-cell Acute Lymphoblastic Leukemia-1细胞、EOC 20细胞、NB-4细胞

SW1222 Cells;背景说明:详见相关文献介绍;传代方法:1:2-1:3传代;每周换液2-3次。;生长特性:贴壁或悬浮,详见产品说明书部分;形态特性:详见产品说明书;相关产品有:HRA 19细胞、Normal Rat Kidney-49F细胞、HCC941122细胞

BE(2)M17 Cells;背景说明:详见相关文献介绍;传代方法:1:2-1:3传代;每周换液2-3次。;生长特性:贴壁或悬浮,详见产品说明书部分;形态特性:详见产品说明书;相关产品有:Mhh-Call 2细胞、MPP-89细胞、Normal Rat, August 3, 1983细胞

H-1651 Cells;背景说明:详见相关文献介绍;传代方法:1:3-1:8传代,每周换液2次;生长特性:贴壁生长;形态特性:上皮细胞;相关产品有:A431/P细胞、SC1细胞、LTEP-sm细胞

3D4/21 Cells;背景说明:肺泡巨噬细胞;SV40转化;Landrace;传代方法:1:2-1:3传代;每周换液2-3次。;生长特性:贴壁;形态特性:详见产品说明书;相关产品有:32D CL3细胞、MNNG/HOS Cl #5细胞、TFH细胞

Jurkat Cells;背景说明:该细胞源自一位14岁患有T淋巴细胞白血病男性的外周血;传代方法:保持细胞密度在3—9×105cells/ml之间,1:5—1:10传代,每周换液2—3次;生长特性:悬浮生长;形态特性:圆形,单个或呈片;相关产品有:Pt-K1细胞、ACC2细胞、mRMEC细胞

NB-19 Cells;背景说明:神经母细胞瘤;女性;传代方法:1:2-1:3传代;每周换液2-3次。;生长特性:贴壁;形态特性:详见产品说明书;相关产品有:HREC细胞、PGLH7细胞、F98细胞

H-1666 Cells;背景说明:详见相关文献介绍;传代方法:1:2-1:4传代;每周换液2次。;生长特性:贴壁生长,松散;形态特性:上皮细胞;相关产品有:OCI-AML-2细胞、BE(2)M-17细胞、HCC1428细胞

BEL 7402 Cells;背景说明:BEL-7402细胞株是1974年从临床肝癌手术标本中建立的。;传代方法:消化3-5分钟,1:2,3天内可长满;生长特性:贴壁生长;形态特性:上皮样;相关产品有:HTR-8/SVneo细胞、SW403细胞、NT-2细胞

TOV-21G Cells;背景说明:详见相关文献介绍;传代方法:1:3-1:4传代,3-4天换液1次。;生长特性:贴壁生长;形态特性:上皮细胞;相关产品有:H22-H8D8细胞、H865细胞、SNU-251细胞

VM-CUB-1 Cells;背景说明:详见相关文献介绍;传代方法:1:2-1:3传代;每周换液2-3次。;生长特性:贴壁或悬浮,详见产品说明书部分;形态特性:详见产品说明书;相关产品有:BT-483细胞、SF-126细胞、AU565细胞

MDAMB157 Cells;背景说明:该细胞源自一位患有乳腺髓样癌的44岁黑人女性,表达WNT7B癌基因,细胞与细胞边界处有细胞桥粒、微绒毛、张力细丝。;传代方法:1:2-1:3传代;每周换液2-3次。;生长特性:贴壁生长;形态特性:上皮样;相关产品有:MRC-V细胞、H-596细胞、no-11细胞

CNLMG-B5537SKIN Cells;背景说明:成纤维 Cells;传代方法:1:2-1:3传代;每周换液2-3次。;生长特性:贴壁;形态特性:详见产品说明书;相关产品有:UPCI:SCC90细胞、L 540细胞、SK-N-BE2细胞

MH-22a Cells;背景说明:肝癌;C3HA;传代方法:1:2-1:3传代;每周换液2-3次。;生长特性:贴壁;形态特性:详见产品说明书;相关产品有:High-5细胞、NCI-H2286细胞、P3-NS1/1Ag 4.1细胞

PECAPJ34 Cells;背景说明:详见相关文献介绍;传代方法:1:2传代;生长特性:贴壁生长;形态特性:上皮样;相关产品有:BT细胞、C518细胞、Hs611T细胞

Hs 766.T Cells;背景说明:详见相关文献介绍;传代方法:1:2—1:8传代,每周换液2—3次;生长特性:贴壁生长;形态特性:上皮细胞;相关产品有:NCIH838细胞、HPMC细胞、HT 1376.T细胞

NCI-Hut 125 Cells;背景说明:腺鳞状肺癌;男性;传代方法:1:2-1:3传代;每周换液2-3次。;生长特性:贴壁;形态特性:详见产品说明书;相关产品有:R1800[RA]细胞、NMCG-1细胞、Strain V细胞

Hs863T Cells;背景说明:详见相关文献介绍;传代方法:1:2-1:4传代;每周换液2-3次。;生长特性:贴壁生长;形态特性:成纤维细胞;相关产品有:NCIH1836细胞、LC-1细胞、RDES-1细胞

4T1 Cells;背景说明:4T1是从410.4瘤株中未经诱变筛得的6-鸟嘌噙抗性细胞株。当注射到BALB/c小鼠中时,4T1自发产生高转移肿瘤,可转移到肺,肝,淋巴结和大脑,同时在注射部位形成始发灶。诱导转移时不需要摘除始发灶。4T1细胞在BALB/c小鼠中的生长与转移特性与人体中的乳腺癌十分相近。这种肿瘤是人VI期乳腺癌的动物模型。4T1-诱导的肿瘤在手术后及未手术情况下转移的动力学相近,可以用作手术后及未手术模型。跟其他肿瘤模型相比,由于4T1的抗6-鸟嘌噙特性,微小的转移细胞团(少到仅仅1个)也可以在许多远端器官中检测到。没必要数淋巴结或称重器官。;传代方法:消化3-5分钟,1:2,3天内可长满;生长特性:贴壁生长;形态特性:上皮样;相关产品有:BSC40细胞、T173细胞、SK_HEP1细胞

KMB 17 Cells;背景说明:详见相关文献介绍;传代方法:1:2传代;生长特性:贴壁生长 ;形态特性:详见产品说明书;相关产品有:MCF10A细胞、COV362细胞、SNU216细胞

Caco-2BBe Cells;背景说明:详见相关文献介绍;传代方法:1:6—1:10传代,每周换液2次;生长特性:贴壁生长;形态特性:上皮细胞;相关产品有:SW 954细胞、SCC-9细胞、NCI-H2141细胞

HO-1-N-1 Cells;背景说明:详见相关文献介绍;传代方法:1:2-1:3传代;每周换液2-3次。;生长特性:贴壁生长;形态特性:上皮样;相关产品有:PGLH7细胞、Kobe university Oral Squamous Cell culture-2细胞、HUSMC细胞

NCIH1650 Cells;背景说明:该细胞是从一名27岁白人男性(10年烟龄)支气管肺泡癌患者的胸腔积液中分离得到的。;传代方法:1:4-1:6传代;2-3天换液1次。;生长特性:贴壁生长;形态特性:上皮细胞样;相关产品有:MUTZ1细胞、Anip973细胞、32Dc3细胞

639V Cells;背景说明:膀胱癌;男性;传代方法:1:2-1:3传代;每周换液2-3次。;生长特性:贴壁;形态特性:详见产品说明书;相关产品有:Hs695T细胞、OPM2细胞、SUDHL-4细胞

C-28/I2 Cells;背景说明:软骨;SV40转化;女性;传代方法:1:2-1:3传代;每周换液2-3次。;生长特性:贴壁;形态特性:详见产品说明书;相关产品有:C-32细胞、L-5178-Y-R细胞、BNCL-2细胞

WM115 Cells;背景说明:黑色素瘤;女性;传代方法:1:2-1:3传代;每周换液2-3次。;生长特性:贴壁;形态特性:详见产品说明书;相关产品有:NE1细胞、SN12PM6细胞、Jurkat FHCRC细胞

┈订┈购(技术服务)┈热┈线:1┈3┈6┈4┈1┈9┈3┈0┈7┈9┈1【微信同号】┈Q┈Q:3┈1┈8┈0┈8┈0┈7┈3┈2┈4;

COLO 320F Cells;背景说明:详见相关文献介绍;传代方法:1:2-1:3传代;每周换液2-3次。;生长特性:贴壁;形态特性:淋巴母细胞;相关产品有:G-402细胞、IAR-20细胞、Immortalized Human Hepatocytes细胞

NCI-H1668 Cells;背景说明:小细胞肺癌;传代方法:1:2-1:3传代;每周换液2-3次。;生长特性:贴壁;形态特性:详见产品说明书;相关产品有:NPA细胞、Michigan Cancer Foundation-7细胞、HOS TE85细胞

U20-S Cells;背景说明:骨肉瘤;女性;传代方法:1:2-1:3传代;每周换液2-3次。;生长特性:贴壁;形态特性:详见产品说明书;相关产品有:MCF-12F细胞、TGHAVSMC细胞、HPAFII细胞

NOZAWA Cells#人胆囊癌细胞系复苏中心|完全培养基|STR图谱

MDA-MB157 Cells;背景说明:该细胞源自一位患有乳腺髓样癌的44岁黑人女性,表达WNT7B癌基因,细胞与细胞边界处有细胞桥粒、微绒毛、张力细丝。;传代方法:1:2-1:3传代;每周换液2-3次。;生长特性:贴壁生长;形态特性:上皮样;相关产品有:hUC-MSC细胞、Hepa1-6细胞、TGHAVSMC细胞

Ishikawa Cells;背景说明:详见相关文献介绍;传代方法:1:3传代,3-4天换液一次;生长特性:贴壁生长;形态特性:上皮样;相关产品有:C166细胞、HHL5细胞、LC-1-sq细胞

SNU251 Cells;背景说明:卵巢内膜癌;腹水转移;女性;传代方法:1:2-1:3传代;每周换液2-3次。;生长特性:贴壁;形态特性:详见产品说明书;相关产品有:SUM 190PT细胞、MeT5A细胞、HEL 92.1.7细胞

GM06141 Cells;背景说明:这株淋巴母细胞样细胞株,源自一位30岁白人男性一,患有恶性红细胞白血病,能够自然产生并能诱导球蛋白合成。细胞的EB病毒核抗原阴性,没有表面免疫球蛋白与细胞质免疫球蛋白。HEL细胞表达HLA抗原(HLA-A3,AW32,BW35),β-2小球蛋白,一定比例的细胞还表达Ia抗原。这个细胞株提供了一种用于研究红细胞分化和球蛋白基因表达的模型。它类似于小鼠中的血友病。;传代方法:1:2传代。3天内可长满。;生长特性:悬浮生长;形态特性:淋巴母细胞样;相关产品有:HCoEpiC细胞、LS513细胞、H1618细胞

BayGenomics ES cell line RRC298 Cells(提供STR鉴定图谱)

BayGenomics ES cell line XE751 Cells(提供STR鉴定图谱)

D6D Cells(提供STR鉴定图谱)

MIB 1 Cells(提供STR鉴定图谱)

SWA21 Cells(提供STR鉴定图谱)

LT259 Cells(提供STR鉴定图谱)

"



NOZAWA Cells#人胆囊癌细胞系;复苏细胞系;细胞STR鉴定报告;细胞STR鉴定图谱;ATCC|DSMZ细胞库;

公司简介

公司提供ATCC、DSMZ、ECACC、NCI-DTP、RCB(Riken)等细胞系

成立日期 (9年)
注册资本 635万人民币
员工人数 50-100人
年营业额 ¥ 1亿以上
经营模式 贸易,工厂,服务
主营行业 细胞培养,细胞生物学,生物技术服务

NOZAWA Cells#人胆囊癌细胞系复苏中心|完全培养基|STR图谱相关厂家报价

内容声明
拨打电话 立即询价