基本信息 产品详情 公司简介 推荐产品
网站主页 LN-18 CELLS|人神经胶质瘤克隆细胞(包送STR鉴定报告) LN-18 Cells#人胶质母细胞瘤细胞系来源可靠|培养基|带STR基因图谱
  • LN-18 Cells#人胶质母细胞瘤细胞系来源可靠|培养基|带STR基因图谱
  • LN-18 Cells#人胶质母细胞瘤细胞系来源可靠|培养基|带STR基因图谱
  • LN-18 Cells#人胶质母细胞瘤细胞系来源可靠|培养基|带STR基因图谱

1/3

LN-18 Cells#人胶质母细胞瘤细胞系来源可靠|培养基|带STR基因图谱

LN-18 Cells#
询价 1000000Cells/瓶 起订
2000000Cells/瓶 起订
上海 更新日期:2025-12-31

上海宾穗生物科技有限公司

非会员
联系人:刘***
电话:183***
手机:183***
邮箱:129***

产品详情:

中文名称:
LN-18 Cells#人胶质母细胞瘤细胞系来源可靠|培养基|带STR基因图谱
英文名称:
LN-18 Cells#
品牌:
ATCC、DSMZ等
产地:
美国、欧洲、德国等
保存条件:
低温避光
纯度规格:
LN-18 Cells#人胶质母细胞瘤细胞系来源可靠|培养基|带STR基因图谱
产品类别:
ATCC细胞库
货号:
详见细胞说明书
种属:
详见细胞说明书
组织:
详见细胞说明书
细胞系:
详见细胞说明书
用途范围:
详见细胞说明书
规格:
1*10^6cells/T25(1瓶)或1ml冻存管(2支)
是否进口:
来源ATCC、DSMZ、ECACC等细胞库
组织来源:
详见细胞说明书
是否是肿瘤细胞:
详见细胞说明书
细胞形态:
详见细胞说明书
生长状态:
详见细胞说明书
靶点:
详见细胞说明书
应用:
详见细胞说明书
器官来源:
详见细胞说明书
品系:
详见细胞说明书
免疫类型:
详见细胞说明书
物种来源:
人源或其它动物来源等
保质期:
可长期保存(液氮低温冻存)

"LN-18 Cells#人胶质母细胞瘤细胞系来源可靠|培养基|带STR基因图谱

换液周期:每周2-3次

生长特性:贴壁生长

背景信息:详见相关文献介绍

┈订┈购(技术服务)┈热┈线:1┈3┈6┈4┈1┈9┈3┈0┈7┈9┈1【微信同号】┈Q┈Q:3┈1┈8┈0┈8┈0┈7┈3┈2┈4;

NCI-H1573 Cells;背景说明:详见相关文献介绍;传代方法:1:2-1:3传代,每周2-3次。;生长特性:贴壁生长;形态特性:详见产品说明书;相关产品有:CCD19-Lu细胞、CNE1-LUC细胞、Scott细胞

H-1437 Cells;背景说明:详见相关文献介绍;传代方法:1:2-1:6传代,每周换液2次。;生长特性:贴壁生长;形态特性:上皮样;相关产品有:H-64细胞、L02细胞、PA-TU S细胞

HIEC Cells;背景说明:肠;上皮 Cells;传代方法:1:2-1:3传代;每周换液2-3次。;生长特性:贴壁;形态特性:详见产品说明书;相关产品有:Hs 600.T细胞、DoHH-2细胞、CCRF.CEM细胞

KYSE-30 Cells;背景说明:来源于一位64岁,患有高分化的中段食管鳞癌的男性患者。;传代方法:1:2-1:3传代;每周换液2-3次。;生长特性:贴壁;形态特性:上皮细胞样;相关产品有:95-D细胞、NCTC929细胞、3T3 L1细胞

KBM7 Cells;背景说明:慢性髓原白血病;男性;传代方法:1:2-1:3传代;每周换液2-3次。;生长特性:悬浮;形态特性:详见产品说明书;相关产品有:C3A细胞、MDA-MB-231-luc细胞、HS-766-T细胞

LN-18 Cells#人胶质母细胞瘤细胞系来源可靠|培养基|带STR基因图谱

产品包装:复苏发货:T25培养瓶(一瓶)或冻存发货:1ml冻存管(两支)

传代比例:1:2-1:4(首次传代建议1:2)

来源说明:细胞主要来源ATCC、ECACC、DSMZ、RIKEN等细胞库

物种来源:人源、鼠源等其它物种来源

MDA-435 Cells;背景说明:乳腺癌;传代方法:1:2-1:3传代;每周换液2-3次。;生长特性:贴壁;形态特性:详见产品说明书;相关产品有:GA-10 (Clone 4)细胞、SK-RC-20细胞、F-36P细胞

EU-4 Cells;背景说明:儿童急性髓系白血病;传代方法:1:2-1:3传代;每周换液2-3次。;生长特性:悬浮;形态特性:详见产品说明书;相关产品有:FUOV1细胞、ZYM-DIEC02细胞、HEK-293F细胞

VERO C 1008 Cells;背景说明:详见相关文献介绍;传代方法:1:2-1:3传代;每周换液2-3次。;生长特性:贴壁或悬浮,详见产品说明书部分;形态特性:详见产品说明书;相关产品有:IMCD3细胞、FDCP-1细胞、Ontario Cancer Institute-Acute Myeloid Leukemia-4细胞

GM 637 Cells;背景说明:详见相关文献介绍;传代方法:1:2-1:3传代;每周换液2-3次。;生长特性:贴壁或悬浮,详见产品说明书部分;形态特性:详见产品说明书;相关产品有:TALL 1细胞、MV-1-Lu细胞、HCT15细胞

┈订┈购(技术服务)┈热┈线:1┈3┈6┈4┈1┈9┈3┈0┈7┈9┈1【微信同号】┈Q┈Q:3┈1┈8┈0┈8┈0┈7┈3┈2┈4;

LN-18 Cells#人胶质母细胞瘤细胞系来源可靠|培养基|带STR基因图谱

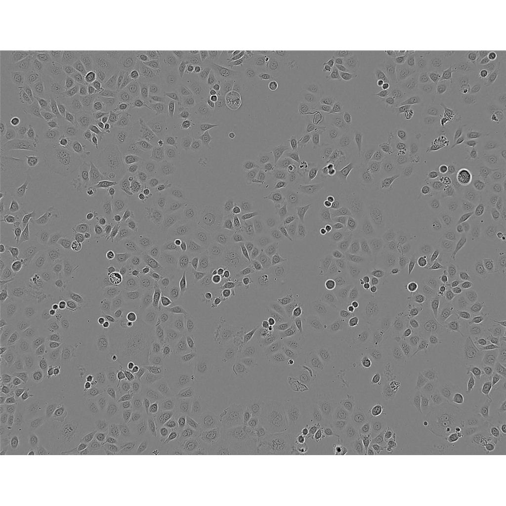
形态特性:上皮细胞样

在细胞传代过程中,离心操作后的上清液处理是一个关键步骤,而关于是用移液枪吸走还是直接倒掉上清液,需要综合多方面因素来考量。使用移液枪吸走上清液具有一定的优势。移液枪能够较为精准地控制吸取的量和速度,可以最大程度地减少对细胞沉淀的扰动。可以根据实际情况尽可能地吸净上清液,减少残留血清或培养基成分对后续细胞培养的潜在影响,比如残留的血清可能会改变新培养基的营养成分比例或带来一些未知的生长因子干扰。然而,直接倒掉上清液也并非不可行。在处理一些细胞数量较多、细胞耐受性较好且对实验精度要求并非极高的细胞传代时,直接倒掉上清液能够提高操作效率,节省时间。但这种方式存在一定风险,直接倾倒时较难控制力度和角度,如果操作不慎,容易使细胞沉淀随着上清液一起流出,导致细胞损失,而且可能会因液体快速流下冲击细胞沉淀造成细胞的物理性损伤。在实际的细胞传代操作中,应根据细胞的特性、实验的要求以及个人的操作熟练程度来选择合适的上清液处理方式。对于新手或者处理珍贵细胞系时,建议优先采用移液枪吸走的方式,以保障细胞的活性和传代的成功率。而在积累了丰富经验且对实验条件有充分把握的情况下,可以根据具体情况灵活运用直接倒掉上清液的方法,在保证实验质量的同时提高工作效率。

造成实验室细胞污染常见情况总结:细胞培养中Zui常见污染的是细菌、真菌和支原体污染。细胞一旦污染,大多数较难处理。那么,哪些情况我们不注意的话就会造成细胞污染呢?我们根据常见细胞培养实验分析总结下。【违规操作】1)为节省时间,有人已经用超净台四个多小时,不开紫外灭菌30min,酒精擦拭后直接开始试验;2)器材或者溶很久没用,未检测是否污染而直接使用;离心管多次使用,枪头为了方便交叉使用;3)超净台不点酒精灯;点了酒精灯放在右上角,而你在左下角做试验;4)不带手套,徒手操作;5)细胞培养间配备枪式移器、手术器械、离心机、冰箱等专用仪器设备以及专用的实验服和拖鞋,未定期消毒。专用物品被带出传代细胞使用。培养细胞过程中使用的所有实验用具,如移管、一次性枪头、一次性塑料离心管、冻存管等未按要求灭菌使用(通常需121°CGAO压灭菌20分钟后37%烤干备用)。超净台和桌面,东西太多太乱:超净台不是储物箱,什么培养皿、各种规格的板子、枪头就不要堆在超净台!这样就会有许多紫外线顾不到的卫生死角。传代细胞其他的桌面,切忌东西堆积如山,不要将酒精棉球、标签纸、牛皮纸买来后全部堆在传代细胞!一不小心“飘”进你的细胞培养板里,细胞就会养的不HAO,啥时候死了都不知道!【培养箱太久没清洁】细胞污染了,并非直接扔了培养皿就不管了,首先你还得看看这个恒温培养箱里其他培养皿或孔板里的细胞是否污染,如果有而且HAO几个板子都有类似的污染块,那很可能是培养箱中的水或者空气污染了,得给培养箱做个大扫除,重新酒精消毒,照紫外;孵箱里的水,水没了要记得加,还得记得十天半个月的就用酒精擦擦托盘。【传代细胞人多口杂,难管理】在传代细胞这种卫生要求GAO,人多了,不确定因素多了,难以保证试验在无菌条件下操作。出入试验室,实验服当风衣穿,不扣纽扣,不戴,就容易造成细胞污染;超净台做实验时,喜欢说话聊着做试验,要是还不带口罩,里面就有很多细菌等着去攻击你的细胞呢!

细胞接收操作说明:请仔细阅读本操作说明及相应的细胞说明书。本公司细胞发货有四种形式:25培养瓶(一般是贴壁细胞使用,悬浮细胞也可以)、离心管(悬浮细胞使用多,当然,有些公司也会用这种离心管形式发贴壁细胞,但是,长期经验来说,贴壁细胞容易发生形态变化,估计是细胞培养空间狭小,血清不足导致(Zui主要是怕运输延误导致这些情况发生),个人不建议用离心管形式发贴壁细胞)及干冰(冻存细胞用,主要是冬天天气冷,温度低于4℃的地方,都要考虑冻存细胞)。25培养瓶:是用25细胞培养瓶直接发货的形式。收到细胞后,拆开包装25培养瓶的自封袋,不拆封口膜,表面喷75%酒精消毒后显微镜观察细胞状态(有条件可以拍下此时细胞照片)。将细胞放入37度培养箱平衡两小时以上,再处理细胞。首先将25中培养基取出装HAO备用,如细胞密度GAO于80%,可以直接消化传代,相反则加入5-6ml培养基放回培养箱继续培养即可。离心管:是用15ml离心管发货的形式,只用于悬浮细胞发货。收到细胞后消毒处理及将细胞放入37度培养箱平衡两小时以上,再处理细胞。首先将25中培养基取出装HAO备用(如果实验室没有25培养瓶,可以暂时75培养瓶,加入10-15ml培养基,建议10ml培养基,也可以使用175培养瓶,加入50-60ml培养基,培养瓶越大,需要的培养基越多。当然如果刚接收到细胞密度不够的话,ZuiHAO不用大瓶子,先用小瓶子养起来再换大的,不然会长得很慢,严重的,会导致细胞死亡等危险),平衡完成后,离心(1000rpm,3min)收集细胞,弃上清,用新的培养基重悬细胞并接种至培养瓶或皿中,放回培养箱继续培养。干冰:是用本公司冻存冻存细胞后,直接用干冰将冻存的细胞冷冻发货的形式。收到细胞后按照细胞复苏的步骤操作即可。

137-2-1 Cells(提供STR鉴定图谱)

Abcam HeLa FABP5 KO Cells(提供STR鉴定图谱)

AG21156 Cells(提供STR鉴定图谱)

BayGenomics ES cell line RRF184 Cells(提供STR鉴定图谱)

BayGenomics ES cell line XG370 Cells(提供STR鉴定图谱)

C0161 Cells(提供STR鉴定图谱)

CW50064 Cells(提供STR鉴定图谱)

DA04982 Cells(提供STR鉴定图谱)

G. T. Cells(提供STR鉴定图谱)

GM2132 Cells;背景说明:来源于一位61岁的男性浆细胞瘤患者;可产生免疫球蛋白轻链,未检测到重链。;传代方法:按1:2传代,5-6小时可以看到细胞分裂;生长特性:悬浮生长;形态特性:淋巴母细胞样;相关产品有:CCD 841 CoTr细胞、H2347细胞、WEHI-3细胞

VMM39 Cells;背景说明:黑色素瘤;神经节转移;男性;传代方法:1:2-1:3传代;每周换液2-3次。;生长特性:贴壁;形态特性:详见产品说明书;相关产品有:A498细胞、SK-ML2细胞、KCL22细胞

DrG Cells;背景说明:背根神经 Cells;传代方法:1:2-1:3传代;每周换液2-3次。;生长特性:贴壁;形态特性:详见产品说明书;相关产品有:H1373细胞、OAW42细胞、JB6 clone 30, subclone 7b细胞

SK-LMS-1 Cells;背景说明:详见相关文献介绍;传代方法:1:2-1:5传代,2-3天换液1次。;生长特性:贴壁生长;形态特性:成纤维细胞;相关产品有:HNE1细胞、MDCC-MSB-1细胞、NCI-SNU-1细胞

Emory University-3 Cells;背景说明:B淋巴细胞白血病;男性;传代方法:1:2-1:3传代;每周换液2-3次。;生长特性:悬浮;形态特性:详见产品说明书;相关产品有:NCI747细胞、CHP100细胞、Capan-2细胞

RKO Cells;背景说明:RKO是一个低分化的结肠癌细胞系。RKO细胞含有野生型P53,但缺乏人甲状腺受体核受体(h-TRbeta1)。RKO细胞的P53蛋白的水平高于RKO-E6细胞。RKO细胞系是RKO-E6和RKO-AS45-1的亲本细胞系。该细胞系在裸鼠中成瘤,且在软琼脂中形成集落。;传代方法:消化3-5分钟。1:2。3天内可长满。;生长特性:贴壁生长;形态特性:上皮样;相关产品有:WM451Lu细胞、SKML-28细胞、HSC(Human Schwann)细胞

MCF10A Cells;背景说明:乳腺;上皮细胞;自发永生;女性;传代方法:1:2-1:3传代;每周换液2-3次。;生长特性:贴壁;形态特性:详见产品说明书;相关产品有:NCI-H647细胞、GP5d细胞、CV-1.K细胞

H1048 Cells;背景说明:详见相关文献介绍;传代方法:1:3-1:8传代;;生长特性:贴壁生长;形态特性:上皮细胞样;相关产品有:IGROV1细胞、HT55细胞、NL20细胞

┈订┈购(技术服务)┈热┈线:1┈3┈6┈4┈1┈9┈3┈0┈7┈9┈1【微信同号】┈Q┈Q:3┈1┈8┈0┈8┈0┈7┈3┈2┈4;

SW-1088 Cells;背景说明:星形胶质瘤;男性;传代方法:1:2-1:3传代;每周换液2-3次。;生长特性:贴壁;形态特性:详见产品说明书;相关产品有:CEMO-1细胞、C17细胞、PL45细胞

NTERA-2 clone D1 Cells;背景说明:详见相关文献介绍;传代方法:1:2-1:3传代;每周换液2-3次。;生长特性:贴壁或悬浮,详见产品说明书部分;形态特性:详见产品说明书;相关产品有:NCI-H226细胞、H-226细胞、C81-61细胞

675T Cells;背景说明:详见相关文献介绍;传代方法:1:2-1:3传代,每周2-3次。;生长特性:贴壁生长;形态特性:成纤维细胞;相关产品有:L-428细胞、VM-CUB-I细胞、FRTL 5细胞

MCF-7 Cells;背景说明:MCF-7细胞保留了多个分化了的乳腺上皮的特性,包括:能通过胞质雌激素受体加工雌二醇并能形成圆形复合物(domes)。该细胞含有Tx-4癌基因。肿瘤坏死因子α(TNFalpha)可以抑制MCF-7细胞的生长。抗雌激素处理细胞能调变IGFBP'S的分泌。;传代方法:1:2传代,3-4天长满;生长特性:贴壁生长;形态特性:上皮样;相关产品有:MONO-MAC 6细胞、NCIH1436细胞、LS 513细胞

T98 G Cells;背景说明:详见相关文献介绍;传代方法:按1:3传代;生长特性:贴壁生长;形态特性:详见产品说明书;相关产品有:Colon38细胞、MMQ细胞、32D.cl3细胞

OP-9 Cells;背景说明:骨髓基质;C57BL/6 x C3H;传代方法:1:2-1:3传代;每周换液2-3次。;生长特性:贴壁;形态特性:详见产品说明书;相关产品有:MADB-106细胞、RERF-LCMS细胞、Y3-Ag1.2.3细胞

LN-18 Cells#人胶质母细胞瘤细胞系来源可靠|培养基|带STR基因图谱

CAL 62 Cells;背景说明:详见相关文献介绍;传代方法:1:2-1:3传代;每周换液2-3次。;生长特性:贴壁或悬浮,详见产品说明书部分;形态特性:详见产品说明书;相关产品有:NTC200细胞、TB1 Lu细胞、SP2-0-Ag14细胞

MDA MB 453 Cells;背景说明:该细胞系由CailleauR在1976年从一名48岁的患有转移性乳腺癌的白人女性的心包渗出液中分离建立的。该细胞表达FGF的受体。;传代方法:1:2-1:4传代;2-3天换液1次;生长特性:贴壁生长;形态特性:上皮样;多角形;相关产品有:M-G63细胞、T47D:A细胞、C32-mel细胞

MDA MB 453 Cells;背景说明:该细胞系由CailleauR在1976年从一名48岁的患有转移性乳腺癌的白人女性的心包渗出液中分离建立的。该细胞表达FGF的受体。;传代方法:1:2-1:4传代;2-3天换液1次;生长特性:贴壁生长;形态特性:上皮样;多角形;相关产品有:M-G63细胞、T47D:A细胞、C32-mel细胞

Huh-7 Cells;背景说明:详见相关文献介绍;传代方法:消化3-5分钟。1:2。3天内可长满。;生长特性:贴壁生长;形态特性:上皮样;相关产品有:MCM细胞、EAhy926细胞、MDAMB435S细胞

DHL-4 Cells;背景说明:详见相关文献介绍;传代方法:1:2-1:3传代;每周换液2-3次。;生长特性:悬浮;形态特性:淋巴母细胞;相关产品有:NTHY-ORI3.1细胞、Panc-813细胞、H2110细胞

HDQ-P1 Cells;背景说明:详见相关文献介绍;传代方法:1:2-1:3传代;每周换液2-3次。;生长特性:贴壁或悬浮,详见产品说明书部分;形态特性:详见产品说明书;相关产品有:HCT.116细胞、A-673细胞、HIEC细胞

NE1 Cells;背景说明:详见相关文献介绍;传代方法:1:2-1:3传代;每周换液2-3次。;生长特性:贴壁或悬浮,详见产品说明书部分;形态特性:详见产品说明书;相关产品有:LS 180细胞、OV-2008细胞、MEC-1细胞

TE-10 Cells;背景说明:详见相关文献介绍;传代方法:消化3-5分钟。1:2。3天内可长满。;生长特性:贴壁生长;形态特性:上皮样;相关产品有:NGEC细胞、SK-N-BE(2)-C细胞、SUPB-15细胞

NCI-H1869 Cells;背景说明:详见相关文献介绍;传代方法:1:3-1:4传代;每周换液2次。;生长特性:贴壁生长;形态特性:上皮细胞;相关产品有:LS-1034细胞、ssMCF7细胞、TGHAVSMC细胞

SNU368 Cells;背景说明:详见相关文献介绍;传代方法:1:2传代;生长特性:贴壁生长;形态特性:上皮细胞样;相关产品有:NB-4细胞、GM02219细胞、Detroit562细胞

HBZY-1 Cells;背景说明:详见相关文献介绍;传代方法:1:2传代;生长特性:贴壁生长;形态特性:上皮细胞样;相关产品有:OCI-AML-3细胞、HSC1细胞、P-388细胞

OCI-Ly 8 Cells;背景说明:弥漫大B淋巴瘤;传代方法:1:2-1:3传代;每周换液2-3次。;生长特性:悬浮;形态特性:详见产品说明书;相关产品有:K562/ADP细胞、MOLT3细胞、MDA-MB-436细胞

KHYG1 Cells;背景说明:NK细胞淋巴瘤/白血病;女性;传代方法:1:2-1:3传代;每周换液2-3次。;生长特性:悬浮;形态特性:详见产品说明书;相关产品有:no-11细胞、Michigan Cancer Foundation-12A细胞、P30OHK细胞

H1437 Cells;背景说明:详见相关文献介绍;传代方法:1:2-1:6传代,每周换液2次。;生长特性:贴壁生长;形态特性:上皮样;相关产品有:C918细胞、THP1细胞、HGC27细胞

GM10302 Cells(提供STR鉴定图谱)

HAP1 CAMKV (-) 1 Cells(提供STR鉴定图谱)

HAP1 TCF7L2 (-) 2 Cells(提供STR鉴定图谱)

HG03700 Cells(提供STR鉴定图谱)

IGIBi013-A Cells(提供STR鉴定图谱)

LS180-SLC28A3-KO-c13 Cells(提供STR鉴定图谱)

NCTC 3959 Cells(提供STR鉴定图谱)

PC-3 D8 Cells(提供STR鉴定图谱)

SCC-71 Cells(提供STR鉴定图谱)

TRDSi002-A Cells(提供STR鉴定图谱)

UKF-NB-2rPCL20 Cells(提供STR鉴定图谱)

14D10 Cells(提供STR鉴定图谱)

624 MEL Cells;背景说明:黑色素瘤;男性;传代方法:1:2-1:3传代;每周换液2-3次。;生长特性:贴壁;形态特性:详见产品说明书;相关产品有:SNUC1细胞、CCD-841CoN细胞、COLO-684细胞

K299 Cells;背景说明:间变性大细胞淋巴瘤;男性;传代方法:1:2-1:3传代;每周换液2-3次。;生长特性:悬浮;形态特性:详见产品说明书;相关产品有:CL34细胞、H-2347细胞、NK-92细胞

UM2 Cells;背景说明:详见相关文献介绍;传代方法:1:2-1:3传代;每周换液2-3次。;生长特性:贴壁或悬浮,详见产品说明书部分;形态特性:详见产品说明书;相关产品有:Pt K1 (NBL-3)细胞、MDA-MB-435S细胞、Molm 14细胞

HEK 293-F Cells;背景说明:详见相关文献介绍;传代方法:1:2传代;生长特性:贴壁生长;悬浮生长;形态特性:上皮细胞样;相关产品有:TR 146细胞、Chang liver细胞、RPMI No. 1846细胞

PC-3M Cells;背景说明:详见相关文献介绍;传代方法:1:2传代;生长特性:贴壁生长 ;形态特性:详见产品说明书;相关产品有:Murine Lung Epithelial-12细胞、NCIH128细胞、8226/S细胞

MFE 280 Cells;背景说明:详见相关文献介绍;传代方法:1:2传代;生长特性:贴壁生长;形态特性:详见产品说明书;相关产品有:C57 Mouse Tumor 64细胞、SK ES 01细胞、HCC-1833细胞

AMJ2C8 Cells;背景说明:巨噬细胞;J2病毒转化;C57BL/6J;传代方法:1:2-1:3传代;每周换液2-3次。;生长特性:悬浮;形态特性:详见产品说明书;相关产品有:Capan 2细胞、BE2C细胞、X63-Ag 8.6.5.3细胞

SCC 9 Cells;背景说明:详见相关文献介绍;传代方法:1:2传代;生长特性:贴壁生长;形态特性:上皮样;相关产品有:MLE-12细胞、SK-MEL-24细胞、GM03671C细胞

RKO-AS45-1 Cells;背景说明:详见相关文献介绍;传代方法:1:2-1:3传代;每周换液2-3次。;生长特性:贴壁或悬浮,详见产品说明书部分;形态特性:详见产品说明书;相关产品有:HCC0827细胞、MDA-MB-468-RED细胞、OCI Ly19细胞

MEC1 Cells;背景说明:粘液表皮样癌;传代方法:1:2-1:3传代;每周换液2-3次。;生长特性:贴壁;形态特性:详见产品说明书;相关产品有:J 111细胞、Rat Chondrosarcoma Swarm细胞、SK Col 1细胞

H-1341 Cells;背景说明:详见相关文献介绍;传代方法:3-4天换液1次。;生长特性:悬浮生长;形态特性:圆形细胞;相关产品有:A1847细胞、MDBK (NBL-1)细胞、D-341Med细胞

SHSY-5Y Cells;背景说明:据报道,该细胞的密度可高达1×106cells/cm2,具有中等水平的多巴胺β羟化酶的活性。;传代方法:1:2传代;生长特性:贴壁生长;形态特性:上皮样;相关产品有:HEL-1细胞、SKLMS-1细胞、Human Corneal Epithelial cells-Transformed细胞

RBL-1 Cells;背景说明:详见相关文献介绍;传代方法:1:2-1:3传代;每周换液2-3次。;生长特性:贴壁或悬浮,详见产品说明书部分;形态特性:详见产品说明书;相关产品有:RBVEC细胞、Hs 604.T细胞、GM00215细胞

Rat Lung-65 Cells;背景说明:详见相关文献介绍;传代方法:1:2-1:3传代;每周换液2-3次。;生长特性:贴壁或悬浮,详见产品说明书部分;形态特性:详见产品说明书;相关产品有:M-07e细胞、OCI Ly3细胞、Mv.1.Lu细胞

Lewis-Lung Cells;背景说明:详见相关文献介绍;传代方法:1:2-1:3传代;每周换液2-3次。;生长特性:贴壁或悬浮,详见产品说明书部分;形态特性:详见产品说明书;相关产品有:NCIH187细胞、CCRF细胞、HCC-1954细胞

HCC-1954 Cells;背景说明:详见相关文献介绍;传代方法:1:4-1:8传代;每周换液2-3次。;生长特性:偶尔上皮细胞空泡;形态特性:上皮细胞样;相关产品有:CMECs细胞、P3-X63Ag8细胞、EST50细胞

PC 61.5.3 Cells;背景说明:详见相关文献介绍;传代方法:1:2-1:3传代;每周换液2-3次。;生长特性:贴壁或悬浮,详见产品说明书部分;形态特性:详见产品说明书;相关产品有:alpha TC1 clone 6细胞、SK-MEL-MeWo细胞、U-251-MG细胞

AM38 Cells;背景说明:详见相关文献介绍;传代方法:1:2传代;生长特性:贴壁生长;形态特性:上皮细胞;相关产品有:RPMI8226/S细胞、VMRCLCD细胞、Co 205细胞

HCC1599 Cells;背景说明:详见相关文献介绍;传代方法:每3-4天换液;生长特性:悬浮生长;形态特性:上皮样;相关产品有:ARO 81-1细胞、ChaGo-K-1细胞、HCC95细胞

HCC1599 Cells;背景说明:详见相关文献介绍;传代方法:每3-4天换液;生长特性:悬浮生长;形态特性:上皮样;相关产品有:ARO 81-1细胞、ChaGo-K-1细胞、HCC95细胞

Hs746T Cells;背景说明:详见相关文献介绍;传代方法:1:2-1:3传代;每周换液2-3次。;生长特性:贴壁或悬浮,详见产品说明书部分;形态特性:详见产品说明书;相关产品有:CEMC1细胞、TE-6细胞、U-87细胞

OS-RC-2 Cells;背景说明:来源于日本人的肾脏肿瘤细胞。 可以移植到裸鼠。;传代方法:1:2传代;生长特性:贴壁生长;形态特性:上皮细胞样;相关产品有:NUGC2细胞、SF-767细胞、3T6细胞

BC-028 Cells;背景说明:详见相关文献介绍;传代方法:1:2-1:3传代;每周换液2-3次。;生长特性:贴壁或悬浮,详见产品说明书部分;形态特性:详见产品说明书;相关产品有:FHC细胞、H446细胞、IAR20细胞

HT1080 Cells;背景说明:该细胞源自一名35岁患有纤维肉瘤的白人男性的结缔组织;ras+。;传代方法:1:4-1:8传代;2-3天换液1次。;生长特性:贴壁生长;形态特性:上皮样;相关产品有:PK-13细胞、PANC.1细胞、OS-732细胞

BEL7405 Cells;背景说明:详见相关文献介绍;传代方法:1:2-1:3传代;每周换液2-3次。;生长特性:贴壁;形态特性:上皮细胞样;相关产品有:GDM1细胞、MD Anderson-Metastatic Breast-361细胞、CAL33细胞

TMD-8 Cells;背景说明:弥漫大B淋巴瘤;男性;传代方法:1:2-1:3传代;每周换液2-3次。;生长特性:悬浮;形态特性:详见产品说明书;相关产品有:293-FT细胞、SKNBE-2细胞、CEM-0细胞

HOS TE 85 Cells;背景说明:骨肉瘤;女性;传代方法:1:2-1:3传代;每周换液2-3次。;生长特性:贴壁;形态特性:详见产品说明书;相关产品有:293AD细胞、LI7细胞、MOVAS-1细胞

P3.653 Cells;背景说明:详见相关文献介绍;传代方法:1:2-1:3传代;每周换液2-3次。;生长特性:贴壁或悬浮,详见产品说明书部分;形态特性:详见产品说明书;相关产品有:Ect1/E6E7细胞、Stanford University-Diffuse Histiocytic Lymphoma-2细胞、H446细胞

HS940 Cells;背景说明:详见相关文献介绍;传代方法:1:2-1:3传代,2-3天换液1次。;生长特性:贴壁生长;形态特性:成纤维细胞;相关产品有:Panc_02_03细胞、Anip-973细胞、A-9细胞

LC-1 sq Cells;背景说明:详见相关文献介绍;传代方法:1:2-1:3传代;每周换液2-3次。;生长特性:贴壁或悬浮,详见产品说明书部分;形态特性:详见产品说明书;相关产品有:CEM/C1细胞、NCI-H1618细胞、Bac1 2F5细胞

PANC 327 Cells;背景说明:详见相关文献介绍;传代方法:1:2传代;生长特性:贴壁生长;形态特性:上皮样;相关产品有:HepG2/C3A细胞、PC-3M IE8细胞、2E8细胞

Colo-678 Cells;背景说明:详见相关文献介绍;传代方法:1:2-1:3传代;每周换液2-3次。;生长特性:贴壁或悬浮,详见产品说明书部分;形态特性:详见产品说明书;相关产品有:SupB15WT细胞、Hela-mock细胞、Biopsy xenograft of Pancreatic Carcinoma line-3细胞

┈订┈购(技术服务)┈热┈线:1┈3┈6┈4┈1┈9┈3┈0┈7┈9┈1【微信同号】┈Q┈Q:3┈1┈8┈0┈8┈0┈7┈3┈2┈4;

CCRF-CEM/S Cells;背景说明:G.E. Foley 等人建立了类淋巴母细胞细胞株CCRF-CEM。 细胞是1964年11月从一位四岁白人女性急性淋巴细胞白血病患者的外周血白血球衣中得到。此细胞系从香港收集而来。;传代方法:1:2传代。3天内可长满。;生长特性:悬浮生长;形态特性:淋巴母细胞样;相关产品有:Panc05.04细胞、PANC0403细胞、MLOY4细胞

C26 Cells;背景说明:详见相关文献介绍;传代方法:1:2-1:3传代;每周换液2-3次。;生长特性:贴壁或悬浮,详见产品说明书部分;形态特性:详见产品说明书;相关产品有:LS123细胞、HFL-I细胞、SK-MEL-24细胞

293-EBNA1 Cells;背景说明:详见相关文献介绍;传代方法:1:4-1:10传代;每周2次。;生长特性:贴壁生长;形态特性:上皮细胞样;相关产品有:NS-1-Ag4-1细胞、HEK 293 c18细胞、NCTC-3960细胞

LN-18 Cells#人胶质母细胞瘤细胞系来源可靠|培养基|带STR基因图谱

HEK.EBNA Cells;背景说明:详见相关文献介绍;传代方法:1:4-1:10传代;每周2次。;生长特性:贴壁生长;形态特性:上皮细胞样;相关产品有:NCIH2196细胞、C4-2 Bone metastatic细胞、A 375细胞

SNU886 Cells;背景说明:详见相关文献介绍;传代方法:1:2传代;生长特性:贴壁或悬浮,详见产品说明书部分;形态特性:详见产品说明书;相关产品有:F9细胞、LN299细胞、Ly7细胞

BV-2 Cells;背景说明:源于C57BL/6小鼠小胶质细胞,表达核v-myc、染色体v-raf癌基因,表面表达envgp70抗原,在形态学、表型及功能上有吞噬细胞的特征。;传代方法:1:6传代;2-3天1次。;生长特性:半贴壁生长;形态特性:多形型;相关产品有:MCF7-CTRL细胞、RH35细胞、CMEC/D3细胞

BayGenomics ES cell line CSG235 Cells(提供STR鉴定图谱)

BayGenomics ES cell line RRU035 Cells(提供STR鉴定图谱)

BayGenomics ES cell line YTC615 Cells(提供STR鉴定图谱)

K37 Cells(提供STR鉴定图谱)

PCRP-ZFYVE20-2B9 Cells(提供STR鉴定图谱)

MNB10 Cells(提供STR鉴定图谱)

"



LN-18 Cells#人胶质母细胞瘤细;复苏细胞系;细胞STR鉴定报告;细胞STR鉴定图谱;ATCC|DSMZ细胞库;

公司简介

公司提供ATCC、DSMZ、ECACC、NCI-DTP、RCB(Riken)等细胞系

成立日期 (9年)
注册资本 635万人民币
员工人数 50-100人
年营业额 ¥ 1亿以上
经营模式 贸易,工厂,服务
主营行业 细胞培养,细胞生物学,生物技术服务

LN-18 Cells#人胶质母细胞瘤细胞系来源可靠|培养基|带STR基因图谱相关厂家报价

内容声明
拨打电话 立即询价