基本信息 产品详情 公司简介 推荐产品
网站主页 化工产品目录 生物 细胞培养 细胞系 人细胞系 HEK-293 CELLS:人胚肾细胞系 HEK293 Cells#人胚肾细胞系来源可靠|培养基|带STR基因图谱
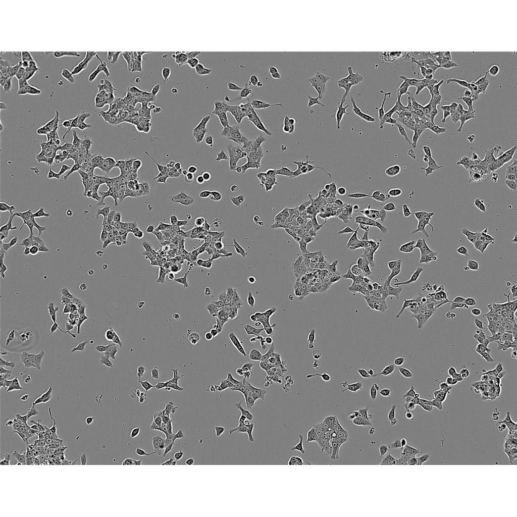
  • HEK293 Cells#人胚肾细胞系来源可靠|培养基|带STR基因图谱
  • HEK293 Cells#人胚肾细胞系来源可靠|培养基|带STR基因图谱
  • HEK293 Cells#人胚肾细胞系来源可靠|培养基|带STR基因图谱

1/3

HEK293 Cells#人胚肾细胞系来源可靠|培养基|带STR基因图谱

HEK293 Cells#
询价 1000000Cells/瓶 起订
2000000Cells/瓶 起订
上海 更新日期:2025-12-31

上海宾穗生物科技有限公司

非会员
联系人:刘***
电话:183***
手机:183***
邮箱:129***

产品详情:

中文名称:
HEK293 Cells#人胚肾细胞系来源可靠|培养基|带STR基因图谱
英文名称:
HEK293 Cells#
品牌:
ATCC、DSMZ等
产地:
美国、欧洲、德国等
保存条件:
低温避光
纯度规格:
HEK293 Cells#人胚肾细胞系来源可靠|培养基|带STR基因图谱
产品类别:
ATCC细胞库
货号:
详见细胞说明书
种属:
详见细胞说明书
组织:
详见细胞说明书
细胞系:
详见细胞说明书
用途范围:
详见细胞说明书
规格:
1*10^6cells/T25(1瓶)或1ml冻存管(2支)
是否进口:
来源ATCC、DSMZ、ECACC等细胞库
组织来源:
详见细胞说明书
是否是肿瘤细胞:
详见细胞说明书
细胞形态:
详见细胞说明书
生长状态:
详见细胞说明书
靶点:
详见细胞说明书
应用:
详见细胞说明书
器官来源:
详见细胞说明书
品系:
详见细胞说明书
免疫类型:
详见细胞说明书
物种来源:
人源或其它动物来源等
保质期:
可长期保存(液氮低温冻存)

"HEK293 Cells#人胚肾细胞系来源可靠|培养基|带STR基因图谱

换液周期:每周2-3次

生长特性:贴壁或悬浮,详见细胞说明书部分

背景信息:详见相关文献介绍

┈订┈购(技术服务)┈热┈线:1┈3┈6┈4┈1┈9┈3┈0┈7┈9┈1【微信同号】┈Q┈Q:3┈1┈8┈0┈8┈0┈7┈3┈2┈4;

OUMS27 Cells;背景说明:软骨肉瘤;男性;传代方法:1:2-1:3传代;每周换液2-3次。;生长特性:贴壁;形态特性:详见产品说明书;相关产品有:Tu-177细胞、SK-GT-2细胞、Panc_02_03细胞

NCI-H1568 Cells;背景说明:详见相关文献介绍;传代方法:1:3-1:6传代;每周换液2-3次。;生长特性:贴壁或悬浮,详见产品说明书部分;形态特性:详见产品说明书;相关产品有:MC26细胞、H2030细胞、D-283 Med细胞

HCMEC Cells;背景说明:心脏微血管;内皮 Cells;传代方法:1:2-1:3传代;每周换液2-3次。;生长特性:贴壁;形态特性:详见产品说明书;相关产品有:C4-2B细胞、LAD-2细胞、Hs706T细胞

293S Cells;背景说明:详见相关文献介绍;传代方法:1:2-1:3传代;每周换液2-3次。;生长特性:贴壁或悬浮,详见产品说明书部分;形态特性:详见产品说明书;相关产品有:CL-34细胞、LC1sq细胞、RBL-2H3细胞

NL20SV Cells;背景说明:支气管上皮细胞;SV40转化;女性;传代方法:1:2-1:3传代;每周换液2-3次。;生长特性:贴壁;形态特性:详见产品说明书;相关产品有:MA-c细胞、NCI-SNU-398细胞、Jiyoye细胞

HEK293 Cells#人胚肾细胞系来源可靠|培养基|带STR基因图谱

产品包装:复苏发货:T25培养瓶(一瓶)或冻存发货:1ml冻存管(两支)

传代比例:1:2-1:4(首次传代建议1:2)

来源说明:细胞主要来源ATCC、ECACC、DSMZ、RIKEN等细胞库

物种来源:人源、鼠源等其它物种来源

TGW Cells;背景说明:详见相关文献介绍;传代方法:1:2传代;生长特性:贴壁生长;形态特性:神经元细胞;相关产品有:Clone Y-1细胞、ARO细胞、RCC-JF细胞

NIH:OVCAR3 Cells;背景说明:该细胞1982年由T.C. Hamilton等建系,源自一位60卵巢腺癌的腹水,是卵巢癌抗药性研究的模型。;传代方法:1:2—1:4传代,每周换液2—3次;生长特性:贴壁生长;形态特性:上皮细胞样;相关产品有:NRK 52E细胞、Epstein-Barr-2细胞、SR细胞

UCH-1 Cells;背景说明:骶骨脊索瘤;男性;传代方法:1:2-1:3传代;每周换液2-3次。;生长特性:贴壁;形态特性:详见产品说明书;相关产品有:RCC10RGB细胞、LA-N-5细胞、H1944细胞

Bronchial Epithelium transformed with Ad12-SV40 2B Cells;背景说明:从一位非癌个体的正常人支气管上皮病理切片分离出上皮细胞。这些细胞用腺病毒12-SV40病毒杂交病毒感染并克隆。DEAS-2B细胞保留了对血清反应进行鳞关分化的能力,并有用于筛选诱导或影响分化及致癌的化学或生物制剂。细胞角蛋白及SV40抗原染色阳性。;传代方法:消化3-5分钟。1:2。3天内可长满;生长特性:贴壁生长;形态特性:上皮细胞样;相关产品有:QBC(939)细胞、JB 6细胞、HIT T15细胞

┈订┈购(技术服务)┈热┈线:1┈3┈6┈4┈1┈9┈3┈0┈7┈9┈1【微信同号】┈Q┈Q:3┈1┈8┈0┈8┈0┈7┈3┈2┈4;

HEK293 Cells#人胚肾细胞系来源可靠|培养基|带STR基因图谱

形态特性:详见细胞说明书

关于细胞株是否都能一直传代,答案是否定的。细胞系分为有限细胞系与连续细胞系两类。有限细胞系就像一位有着既定行程的行者,其传代之旅存在明确的终点。以正常的人体肝细胞系为例,在体外培养时,它大约能传代20-30次。随着传代次数的递增,细胞内部仿佛一台精密仪器的零件逐渐磨损老化。端粒酶活性降低,端粒不断缩短,染色体结构开始不稳定,基因表达也出现异常。同时,细胞的代谢速率减缓,对营养物质的摄取和利用效率大打折扣,有害物质的积累却日益增多,最终导致细胞停止分裂,走向生命的尽头。而连续细胞系则像是拥有无限活力的长跑健将,具有较强的传代能力。如Hela细胞系,自1951年从Henrietta Lacks女士的宫颈癌组织中分离出来后,便在全球生物实验室中“大放异彩”,至今已传代无数次。它能持续分裂得益于其特殊的遗传变异,使其染色体端粒能够维持稳定长度,并且细胞内的一些关键信号通路持续激活,促进细胞增殖。但这并不意味着它的传代毫无风险与限制。在漫长的传代过程中,它可能会发生新的基因突变、染色体易位等变异事件,从而改变细胞的生物学特性,如细胞形态、生长速度、对药物的敏感性等。

细胞接收后的操作流程与注意事项:1)如果细胞为贴壁细胞,而收到时呈悬浮或者部分悬浮的状态,请将悬浮的细胞即时离心,加15%血清的完全培养基到新的培养皿/瓶继续培养3天;同时原培养瓶中剩下的贴壁细胞更换为15%血清的完全培养基培养3天。3天后若原瓶或者新瓶中的细胞都没有出现增值而是继续脱落死亡,请及时联系实验室技术人员会跟进解决;2)贴壁细胞生长缓慢;适当提GAO血清浓度(ZuiGAO不能超过20%),或可根据该细胞生长密度,考虑胰酶消化后,转移到新的培养瓶继续培养;3)生长不均:贴壁细胞若出现分布不均,成岛状生长,可将细胞进行消化,重悬打散细胞,加入新鲜培养基进行培养。

养了几年细胞,说一点自己培养细胞方面的看法:1)培养细胞前,可以看看细胞点说明书,包括细胞正常生长的状态图、传代、培养基的类型等;2)不同细胞生长周期不同,有的生长很快,比如说-MB-231,传代的时候取离心悬的十分之一就已经足够了,有的又是别慢,等的人心焦,B474就是,传代是一分二,复苏起始的时候两周多才能长满,所以就要在培养细胞的过程中多多摸索了;3)对于娇弱的细胞,就得细心呵护了,胰酶消化不能过久,吹得时候要轻柔,离心时候也要注意转速和时间,每天都要去看一下细胞,肉眼观察培养基状况、显微镜下观察细胞生长状况;4)冻存细胞复苏后第二天ZuiHAO更换一次培养基;5)培养箱隔一段时间彻底用酒精棉擦洗一次;6)养细胞Zui大的教训:不能偷懒!细胞虐我千百遍,我待细胞如初恋。1)不管买的细胞、惠赠的细胞,刚拿到手赶紧做两件事:检测是否有支原体污染; 迅速扩增冻存;2)发现有污染迅速处理掉,别是当你养了很多种细胞时; 细菌污染,真菌污染很容易发现,支原体污染的话,细胞会长的慢,买个支原体检测的ki定期检测一下;3)传代细胞日常的值日清洁是必须的,此外还要定期熏蒸;4)细胞的传代一定要规律,保持相同的confluency和传代时间间隔,不要随心所欲或者拖延;5)注意个人卫生。

246B2 Cells(提供STR鉴定图谱)

Abcam HeLa PPP2R5E KO Cells(提供STR鉴定图谱)

AG24303 Cells(提供STR鉴定图谱)

BayGenomics ES cell line RRH290 Cells(提供STR鉴定图谱)

BayGenomics ES cell line XH327 Cells(提供STR鉴定图谱)

C1498-Fluc-Puro Cells(提供STR鉴定图谱)

D422T Cells(提供STR鉴定图谱)

DA05413 Cells(提供STR鉴定图谱)

GeneBLAzer GCGR-CRE-bla CHO-K1 Cells(提供STR鉴定图谱)

University of Michigan-Urothelial Carcinoma-3 Cells;背景说明:详见相关文献介绍;传代方法:1:2传代;生长特性:贴壁生长;形态特性:上皮细胞样;相关产品有:HCC366细胞、CG4细胞、COLO-680N细胞

NCI-H322T Cells;背景说明:详见相关文献介绍;传代方法:1:2传代;生长特性:贴壁生长;形态特性:详见产品说明书;相关产品有:Rh30细胞、H-660细胞、BC-PAP细胞

SCL-II Cells;背景说明:皮肤鳞癌;男性;传代方法:1:2-1:3传代;每周换液2-3次。;生长特性:贴壁;形态特性:详见产品说明书;相关产品有:C41细胞、LL/2(LLc1)细胞、CCFSTTG1细胞

F-36P Cells;背景说明:详见相关文献介绍;传代方法:每周2次换液;生长特性:贴壁或悬浮,详见产品说明书部分;形态特性:详见产品说明书;相关产品有:Hepa 1-6细胞、NB9细胞、PLMVEC细胞

ECV Cells;背景说明:详见相关文献介绍;传代方法:1:2-1:3传代;每周换液2-3次。;生长特性:贴壁或悬浮,详见产品说明书部分;形态特性:详见产品说明书;相关产品有:S91细胞、NCIH522细胞、H1954细胞

CPAE Cells;背景说明:肺血管;内皮 Cells;传代方法:1:2-1:3传代;每周换液2-3次。;生长特性:贴壁;形态特性:详见产品说明书;相关产品有:OSRC2细胞、LS411细胞、SW48细胞

HCC-2218 Cells;背景说明:详见相关文献介绍;传代方法:每周换液2—3次;生长特性:悬浮生长;形态特性:上皮样;相关产品有:WRL 68细胞、SCC4细胞、RT-BM 1细胞

SCC9 Cells;背景说明:详见相关文献介绍;传代方法:1:2传代;生长特性:贴壁生长;形态特性:上皮样;相关产品有:NCI-H2135细胞、CCD-841-CoTr细胞、NIH:OVCAR-10细胞

┈订┈购(技术服务)┈热┈线:1┈3┈6┈4┈1┈9┈3┈0┈7┈9┈1【微信同号】┈Q┈Q:3┈1┈8┈0┈8┈0┈7┈3┈2┈4;

Highly Aggressively Proliferating Immortalized Cells;背景说明:小胶质细胞;自发永生;Wistar;传代方法:1:2-1:3传代;每周换液2-3次。;生长特性:半贴壁;形态特性:详见产品说明书;相关产品有:THP 1细胞、IGR-OV1细胞、BHK-21细胞

HEK293-A Cells;背景说明:胚肾;腺病毒包装;传代方法:1:2-1:3传代;每周换液2-3次。;生长特性:贴壁;形态特性:详见产品说明书;相关产品有:UPCI:SCC154细胞、H-2170细胞、C-4-I细胞

H1623 Cells;背景说明:详见相关文献介绍;传代方法:每周换液2-3次。;生长特性:贴壁生长;形态特性:详见产品说明书;相关产品有:OCILY7细胞、HO-8910PM细胞、mouse Inner Medullary Collecting Duct-3细胞

OsA-CL Cells;背景说明:详见相关文献介绍;传代方法:1:5-1:10传代;每周换液2-3次。;生长特性:贴壁生长;形态特性:成纤维细胞;相关产品有:TE11细胞、TE6细胞、NRK 52E细胞

U14 Cells;背景说明:详见相关文献介绍;传代方法:1:2传代;生长特性:贴壁生长;形态特性:详见产品说明书;相关产品有:IFRS1细胞、DR2R 1610细胞、H-1838细胞

PAN 02 Cells;背景说明:详见相关文献介绍;传代方法:1:2传代;生长特性:贴壁生长 ;形态特性:详见产品说明书;相关产品有:MFM-223细胞、MTEC1细胞、RAW-264.7细胞

HEK293 Cells#人胚肾细胞系来源可靠|培养基|带STR基因图谱

JROECL 33 Cells;背景说明:详见相关文献介绍;传代方法:1:2传代;生长特性:贴壁生长;形态特性:上皮样;相关产品有:HOCF细胞、BHK细胞、C3H10T1/2CL8细胞

H-2081 Cells;背景说明:详见相关文献介绍;传代方法:随细胞的密度而增加;生长特性:悬浮生长;形态特性:聚团悬浮;相关产品有:PK 15细胞、NuTu-19细胞、HCC-1569细胞

H-2081 Cells;背景说明:详见相关文献介绍;传代方法:随细胞的密度而增加;生长特性:悬浮生长;形态特性:聚团悬浮;相关产品有:PK 15细胞、NuTu-19细胞、HCC-1569细胞

LM3 Cells;背景说明:详见相关文献介绍;传代方法:1:2传代;生长特性:贴壁生长;形态特性:上皮样;相关产品有:HCC1500细胞、UCLA-SO-M14细胞、H-35细胞

HB611 Cells;背景说明:肝母细胞癌;男性;传代方法:1:2-1:3传代;每周换液2-3次。;生长特性:贴壁;形态特性:详见产品说明书;相关产品有:HTR8/SVneo细胞、Human Kidney-2细胞、HCFB(HCF)细胞

X63Ag8-653 Cells;背景说明:详见相关文献介绍;传代方法:1:2-1:3传代;每周换液2-3次。;生长特性:贴壁或悬浮,详见产品说明书部分;形态特性:详见产品说明书;相关产品有:HCMEC(BL12-H)细胞、HCCLM3细胞、GNM细胞

293A Cells;背景说明:胚肾;腺病毒包装;传代方法:1:2-1:3传代;每周换液2-3次。;生长特性:贴壁;形态特性:详见产品说明书;相关产品有:WC00044细胞、A-2058细胞、4175细胞

PTK-2 Cells;背景说明:详见相关文献介绍;传代方法:1:2-1:3传代;每周换液2-3次。;生长特性:贴壁或悬浮,详见产品说明书部分;形态特性:详见产品说明书;相关产品有:MHCC97L细胞、SUDHL-1细胞、Ramos (RA 1)细胞

RCC 786-O Cells;背景说明:该细胞源自一位原发性肾透明细胞癌患者。该细胞有微绒毛和桥粒,能在软琼脂上生长。此细胞生成一种PTH(甲状旁腺素)样的多肽,与乳癌和肺癌中生成的肽相似,其N端序列与PTH相似,具有PTH样活性,分子量为6000D。;传代方法:1:2传代;生长特性:贴壁生长;形态特性:上皮样;相关产品有:IM95细胞、NCI-H1869细胞、T-84细胞

IMCD-3 Cells;背景说明:肾;内髓集合管;上皮 Cells;传代方法:1:2-1:3传代;每周换液2-3次。;生长特性:贴壁;形态特性:详见产品说明书;相关产品有:NCI-H2009细胞、Ontario Cancer Institute-Acute Myeloid Leukemia-2细胞、LIM 1215细胞

Hs683 Cells;背景说明:该细胞源自76岁白人男性的左颞叶侧胶质瘤组织,有微绒毛,无桥粒。 ;传代方法:1:4传代,每周换液2次;生长特性:贴壁生长;形态特性:成纤维细胞;相关产品有:293-F细胞、LK 2细胞、Line 697细胞

H2228 Cells;背景说明:详见相关文献介绍;传代方法:1:2-1:3传代,每周2-3次。;生长特性:贴壁生长;形态特性:详见产品说明书;相关产品有:Ocular Choroidal Melanoma-1细胞、N87细胞、210RCY3-Ag1.2.3细胞

149 PT Cells;背景说明:乳腺癌;女性;传代方法:1:2-1:3传代;每周换液2-3次。;生长特性:贴壁;形态特性:详见产品说明书;相关产品有:Hs 578T细胞、H-9细胞、SNU878细胞

SK Col 1 Cells;背景说明:该细胞来源于结直肠病人的转移性腹水。;传代方法:1:2-1:3传代,每周2-3次。;生长特性:贴壁生长;形态特性:上皮细胞样;相关产品有:KOSC-2细胞、NCIH2228细胞、NCI H929细胞

GM11124 Cells(提供STR鉴定图谱)

HAP1 COL1A1 (-) 1 Cells(提供STR鉴定图谱)

HAP1 TRIM58 (-) 1 Cells(提供STR鉴定图谱)

HGADFN127 hTERT Cells(提供STR鉴定图谱)

IMR-5rCARBO5000 Cells(提供STR鉴定图谱)

LYCS-1 Cells(提供STR鉴定图谱)

ND04666 Cells(提供STR鉴定图谱)

PeLe-02 Cells(提供STR鉴定图谱)

SCVIi125-A Cells(提供STR鉴定图谱)

TW4 Cells(提供STR鉴定图谱)

UM-SCC-74A Cells(提供STR鉴定图谱)

1D3 [Mouse hybridoma against aflatoxins] Cells(提供STR鉴定图谱)

HN-6 Cells;背景说明:舌鳞癌;男性;传代方法:1:2-1:3传代;每周换液2-3次。;生长特性:贴壁;形态特性:详见产品说明书;相关产品有:ANA-1细胞、MDA-MB 453细胞、OSA细胞

FU-97 Cells;背景说明:详见相关文献介绍;传代方法:1:2-1:3传代;每周换液2-3次。;生长特性:贴壁或悬浮,详见产品说明书部分;形态特性:详见产品说明书;相关产品有:NCl-H157细胞、MAD109细胞、Hs819T细胞

CORL279 Cells;背景说明:详见相关文献介绍;传代方法:1:2-1:3传代;每周换液2-3次。;生长特性:贴壁或悬浮,详见产品说明书部分;形态特性:详见产品说明书;相关产品有:MILE SVEN1细胞、SR细胞、U87 MG细胞

SW620 Cells;背景说明:SW620是从一个51岁男性白人组织中分离得到。由A.Leibovitz等从一个淋巴结建株。细胞系主要由无绒毛的小园球细胞和双极细胞组成。它仅合成少量癌胚抗原(CEA)且在裸鼠中有高度的致瘤性;传代方法:1:3传代,2-3天换液一次;生长特性:贴壁生长;形态特性:上皮样;相关产品有:Granta 519细胞、MD Anderson-Metastatic Breast-436细胞、Vero-76细胞

HLEpiC Cells;背景说明:晶状体;上皮 Cells;传代方法:1:2-1:3传代;每周换液2-3次。;生长特性:贴壁;形态特性:详见产品说明书;相关产品有:Tca8113细胞、AAV293细胞、DHL5细胞

CEM-T4 Cells;背景说明:急性T淋巴细胞白血病;女性;传代方法:1:2-1:3传代;每周换液2-3次。;生长特性:悬浮;形态特性:详见产品说明书;相关产品有:MDA-MB 468细胞、OCI-AML-2细胞、MDCK (NBL-2)细胞

ECC-10 Cells;背景说明:详见相关文献介绍;传代方法:1:2传代;生长特性:贴壁或悬浮,详见产品说明书部分;形态特性:详见产品说明书;相关产品有:LICR-LON-HN6-R细胞、Z138细胞、MDA-MB436细胞

MCF-7 Cells;背景说明:MCF-7细胞保留了多个分化了的乳腺上皮的特性,包括:能通过胞质雌激素受体加工雌二醇并能形成圆形复合物(domes)。该细胞含有Tx-4癌基因。肿瘤坏死因子α(TNFalpha)可以抑制MCF-7细胞的生长。抗雌激素处理细胞能调变IGFBP'S的分泌。;传代方法:1:2传代,3-4天长满;生长特性:贴壁生长;形态特性:上皮样;相关产品有:MONO-MAC 6细胞、NCIH1436细胞、LS 513细胞

95D Cells;背景说明:这是一株高转移肺癌。;传代方法:消化3-5分钟,1:2,3天内可长满;生长特性:贴壁生长;形态特性:上皮样;相关产品有:OCUM-1细胞、C4-2细胞、NTHY-ORI3.1细胞

OB2 Cells;背景说明:详见相关文献介绍;传代方法:每周2-3次。;生长特性:悬浮生长;形态特性:淋巴母细胞;相关产品有:Lieming Xu-2细胞、OCI/AML4细胞、A2780细胞

mIMCD3 Cells;背景说明:肾;内髓集合管;上皮 Cells;传代方法:1:2-1:3传代;每周换液2-3次。;生长特性:贴壁;形态特性:详见产品说明书;相关产品有:BC-023细胞、CEM C7细胞、CNE-1细胞

SUM-159-PT Cells;背景说明:乳腺癌;女性;传代方法:1:2-1:3传代;每周换液2-3次。;生长特性:贴壁;形态特性:详见产品说明书;相关产品有:Sp2/0-Ag-14细胞、SW1271细胞、OVCAR4细胞

HCC94 Cells;背景说明:详见相关文献介绍;传代方法:1:2-1:3传代;每周换液2-3次。;生长特性:贴壁或悬浮,详见产品说明书部分;形态特性:详见产品说明书;相关产品有:HCC-2218细胞、AN-3细胞、H2227细胞

MM1-S Cells;背景说明:详见相关文献介绍;传代方法:1:2-1:4传代,2-3天换液1次。;生长特性:混合生长;形态特性:淋巴母细胞样;相关产品有:NR8383细胞、L-M (TK-)细胞、UMRC2细胞

huH 1 Cells;背景说明:详见相关文献介绍;传代方法:1:2-1:3传代;每周换液2-3次。;生长特性:贴壁或悬浮,详见产品说明书部分;形态特性:详见产品说明书;相关产品有:Lewis lung carcinoma细胞、D283 Med细胞、343MG细胞

JB6 [Mouse] Cells;背景说明:表皮;自发永生;BALB/c;传代方法:1:2-1:3传代;每周换液2-3次。;生长特性:贴壁;形态特性:详见产品说明书;相关产品有:NRK49F细胞、CL1-5细胞、ST-2细胞

SUDHL1 Cells;背景说明:间变性大细胞淋巴瘤;胸腔积液转移;男性;传代方法:1:2-1:3传代;每周换液2-3次。;生长特性:悬浮;形态特性:详见产品说明书;相关产品有:GC-1 spg细胞、ZR7530细胞、Huh 7.5.1细胞

NCI-H1792 Cells;背景说明:详见相关文献介绍;传代方法:1:3-1:8传代。;生长特性:贴壁生长;形态特性:上皮细胞样;相关产品有:MA 104细胞、COLO 678细胞、A-375SM细胞

U87MG Cells;背景说明:详见相关文献介绍;传代方法:1:2-1:3传代;每周换液2-3次。;生长特性:贴壁或悬浮,详见产品说明书部分;形态特性:详见产品说明书;相关产品有:OE-19细胞、EFM-192C细胞、BHK 21细胞

U87MG Cells;背景说明:详见相关文献介绍;传代方法:1:2-1:3传代;每周换液2-3次。;生长特性:贴壁或悬浮,详见产品说明书部分;形态特性:详见产品说明书;相关产品有:OE-19细胞、EFM-192C细胞、BHK 21细胞

NCIH1648 Cells;背景说明:详见相关文献介绍;传代方法:1:3-1:6传代;生长特性:贴壁生长;形态特性:上皮细胞;相关产品有:NRK-49F细胞、Hs343T细胞、NS-1细胞

A2780 Cells;背景说明:详见相关文献介绍;传代方法:1:2传代;生长特性:贴壁生长;形态特性:上皮细胞样;相关产品有:RMG1细胞、Sf21细胞、CCD 841 CoTr细胞

HCoEpiC Cells;背景说明:结肠上皮 Cells;传代方法:1:2-1:3传代;每周换液2-3次。;生长特性:贴壁;形态特性:详见产品说明书;相关产品有:P36细胞、C8D1A细胞、HONE-1细胞

NCI-H1792 Cells;背景说明:详见相关文献介绍;传代方法:1:3-1:8传代。;生长特性:贴壁生长;形态特性:上皮细胞样;相关产品有:MA 104细胞、COLO 678细胞、A-375SM细胞

TOV112D Cells;背景说明:详见相关文献介绍;传代方法:1:2-1:3传代,3-4天换液1次。;生长特性:贴壁生长;形态特性:上皮细胞;相关产品有:MKN7细胞、EB1细胞、HIC细胞

SGC7901 Cells;背景说明:1979年建系;这株细胞源自一位56岁女性胃腺癌患者的淋巴结转移灶。RPMI-1640培养12天,细胞开始生长,首次传代10天;31个月中传代186代。免疫抑制的ICR小鼠、乳犬皮下移植成功,家兔、乳犬眼前房移植成功;淋巴结转移,从小鼠皮下侵袭至肌层。;传代方法:1:2传代;生长特性:贴壁生长;形态特性:上皮样;相关产品有:Daoy细胞、Tokyo Medical and Dental university 8细胞、MDA-415细胞

H7721 Cells;背景说明:用Northernblot方法,未能检测到细胞中1.3kbLFIRE-1/HFREP-1mRNA的表达。;传代方法:1:3传代,2-3天换液一次;生长特性:贴壁生长;形态特性:上皮样;相关产品有:OCI-Ly 18细胞、NCIH2073细胞、PY8119细胞

KMS-11 Cells;背景说明:多发性骨髓瘤;传代方法:1:2-1:3传代;每周换液2-3次。;生长特性:悬浮;形态特性:详见产品说明书;相关产品有:NOR10细胞、NCIH2106细胞、BT细胞

H358 Cells;背景说明:1981年从一位开始化疗之前的患者的肿瘤组织中分离建株。超微结构研究表明细胞质中有Clara细胞的特征结构细胞表达主要的肺表面结合蛋白SP-A的蛋白和RNA。不表达SP-B和SP-C。他们在软琼脂中的克隆形成效率为0.83%。;传代方法:消化3-5分钟。1:2。3天内可长满。;生长特性:贴壁生长;形态特性:上皮样;相关产品有:P3/NS1/1-Ag4.1细胞、NK-92 transfected with MFG-hIL2细胞、ACC-2细胞

H7721 Cells;背景说明:用Northernblot方法,未能检测到细胞中1.3kbLFIRE-1/HFREP-1mRNA的表达。;传代方法:1:3传代,2-3天换液一次;生长特性:贴壁生长;形态特性:上皮样;相关产品有:OCI-Ly 18细胞、NCIH2073细胞、PY8119细胞

LAN-5 Cells;背景说明:神经母细胞瘤;骨髓转移;男性;传代方法:1:2-1:3传代;每周换液2-3次。;生长特性:贴壁;形态特性:详见产品说明书;相关产品有:GA-10细胞、HCC941122细胞、HEM-L细胞

KYSE520 Cells;背景说明:食管鳞癌;女性;传代方法:1:2-1:3传代;每周换液2-3次。;生长特性:贴壁;形态特性:详见产品说明书;相关产品有:TE-85细胞、Lewis lung carcinoma细胞、LC-2 ad细胞

┈订┈购(技术服务)┈热┈线:1┈3┈6┈4┈1┈9┈3┈0┈7┈9┈1【微信同号】┈Q┈Q:3┈1┈8┈0┈8┈0┈7┈3┈2┈4;

PC3M-1E8 Cells;背景说明:前列腺癌;男性;传代方法:1:2-1:3传代;每周换液2-3次。;生长特性:贴壁;形态特性:详见产品说明书;相关产品有:CEMx721.174.T2细胞、MC3T3-E1 Subclone 4细胞、Hs839.T细胞

MS751 Cells;背景说明:这株细胞是J. Sykes于1974年建立的(参考ATCC HTB-33)。有报告称MS751细胞含有人乳头状瘤病毒18 (HPV-18)序列。[22995] [23180]后来发现MS751细胞包含HPV-45基因组的一部分,而其中E6/E7区域表达呈poly(A)+RNA的形式。[49721];传代方法:1:2传代;生长特性:贴壁生长;形态特性:上皮细胞样;相关产品有:INS1细胞、Sp 2/0-Ag 14细胞、Gerner 7666细胞

HOMEC Cells;背景说明:卵巢微血管;内皮 Cells;传代方法:1:2-1:3传代;每周换液2-3次。;生长特性:贴壁;形态特性:详见产品说明书;相关产品有:SK-MES细胞、MLTC-1细胞、CL 1-0细胞

HEK293 Cells#人胚肾细胞系来源可靠|培养基|带STR基因图谱

H-446 Cells;背景说明:该细胞是1982年由CarneyD和GazdarAF等从一位小细胞肺癌患者的胸腔积液中建立的。细胞的原始形态并不具有小细胞肺癌特征。这个细胞株是小细胞肺癌的生化和形态学上的变种,表达神经元特有的烯醇酶和脑型肌酸激酶同工酶;左旋多巴脱羧酶、蚕素、抗利尿激素、催产素或胃泌激素释放肽未达到可检测水平。与正常细胞相比,该细胞c-mycDNA序列扩增约20倍,RNA增加15倍。最初传代培养基用含有5%FBS的RPMI1640,另外添加10nM化可的松、0.005mg/ml胰岛素、0.01mg/ml转铁;传代方法:1:2传代;生长特性:贴壁/悬浮生长,混合;形态特性:上皮样;相关产品有:U251-MG细胞、Hs940T细胞、A101D细胞

SW-579 Cells;背景说明:在裸鼠中成瘤(产生三级恶性纺锤状巨细胞瘤)。 ;传代方法:1:2传代;生长特性:贴壁生长;形态特性:上皮细胞样;相关产品有:NS-20Y细胞、HANK1细胞、J-774A.1细胞

SNU-C2B Cells;背景说明:详见相关文献介绍;传代方法:1:2-1:3传代;每周换液2-3次。;生长特性:贴壁或悬浮,详见产品说明书部分;形态特性:详见产品说明书;相关产品有:T/G HA VSMC细胞、KU1919细胞、Earle's L cells细胞

BayGenomics ES cell line CSH633 Cells(提供STR鉴定图谱)

BayGenomics ES cell line RRZ410 Cells(提供STR鉴定图谱)

BoMaMa-J2imm Tlr6-/- Cells(提供STR鉴定图谱)

L 101 Cells(提供STR鉴定图谱)

Pit1/Prl Cells(提供STR鉴定图谱)

Py-3Y1-S2 Cells(提供STR鉴定图谱)

"



HEK293 Cells#人胚肾细胞系来;复苏细胞系;细胞STR鉴定报告;细胞STR鉴定图谱;ATCC|DSMZ细胞库;

公司简介

公司提供ATCC、DSMZ、ECACC、NCI-DTP、RCB(Riken)等细胞系

成立日期 (9年)
注册资本 635万人民币
员工人数 50-100人
年营业额 ¥ 1亿以上
经营模式 贸易,工厂,服务
主营行业 细胞培养,细胞生物学,生物技术服务

HEK293 Cells#人胚肾细胞系来源可靠|培养基|带STR基因图谱相关厂家报价

内容声明
拨打电话 立即询价