基本信息 产品详情 公司简介 推荐产品
网站主页 化工产品目录 生物 细胞培养 细胞系 人细胞系 表达HBV病毒的人肝细胞 Hep G2.2.15人肝癌细胞库|培养基|带STR图谱
  • Hep G2.2.15人肝癌细胞库|培养基|带STR图谱
  • Hep G2.2.15人肝癌细胞库|培养基|带STR图谱
  • Hep G2.2.15人肝癌细胞库|培养基|带STR图谱

1/3

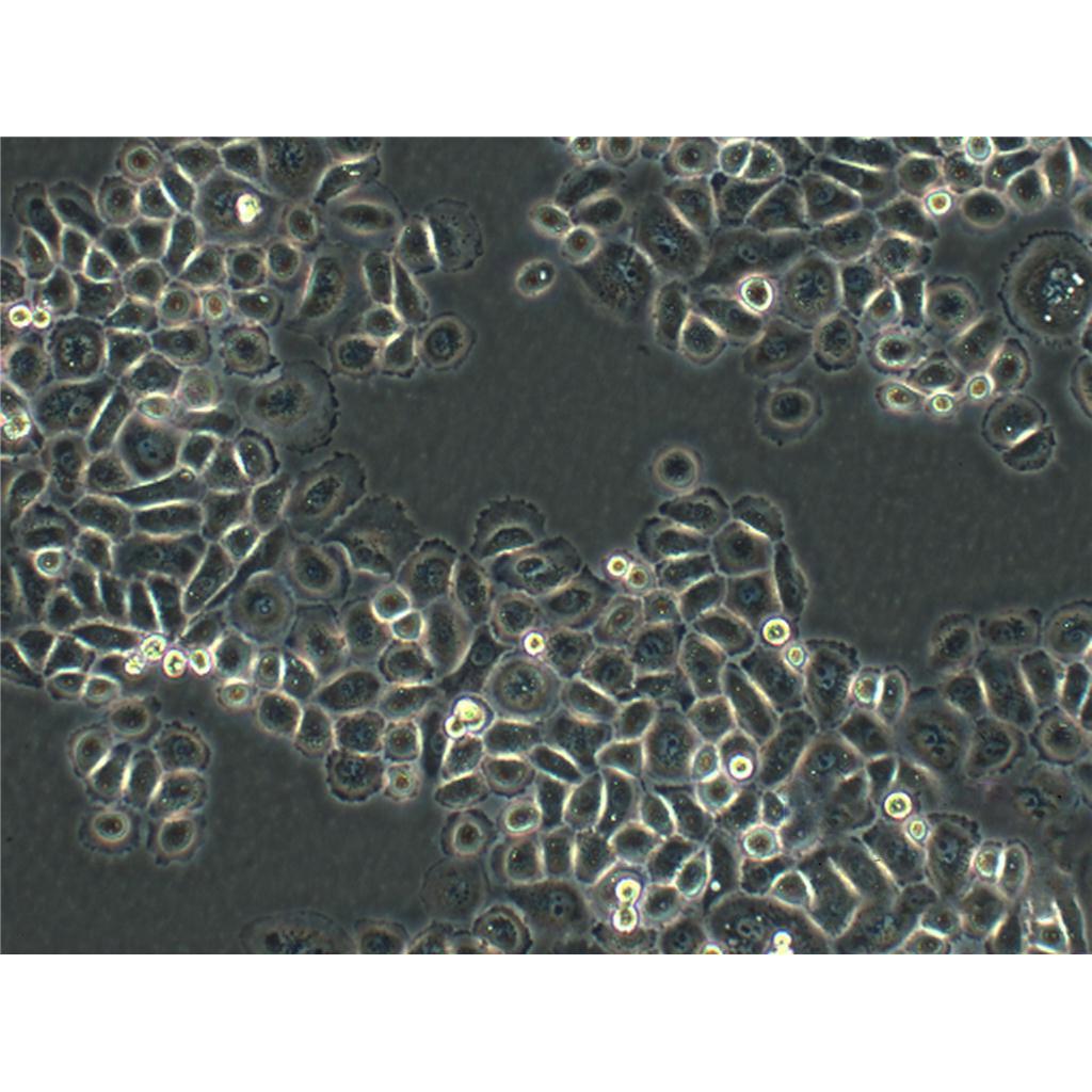
Hep G2.2.15人肝癌细胞库|培养基|带STR图谱

Hep G2.2.15
询价 1000000Cells/瓶 起订
2000000Cells/瓶 起订
上海 更新日期:2025-12-31

上海宾穗生物科技有限公司

非会员
联系人:刘***
电话:183***
手机:183***
邮箱:129***

产品详情:

中文名称:
Hep G2.2.15人肝癌细胞库|培养基|带STR图谱
英文名称:
Hep G2.2.15
品牌:
ATCC、DSMZ等
产地:
美国、欧洲、德国等
保存条件:
低温避光
纯度规格:
Hep G2.2.15人肝癌细胞库|培养基|带STR图谱
产品类别:
ATCC细胞库
种属:
详见细胞说明书
组织:
详见细胞说明书
细胞系:
详见细胞说明书
细胞形态:
详见细胞说明书
生长状态:
详见细胞说明书
靶点:
详见细胞说明书
应用:
详见细胞说明书
货号:
详见细胞说明书
用途范围:
详见细胞说明书
规格:
1*10^6cells/T25(1瓶)或1ml冻存管(2支)
是否进口:
来源ATCC、DSMZ、ECACC等细胞库
组织来源:
详见细胞说明书
是否是肿瘤细胞:
详见细胞说明书
器官来源:
详见细胞说明书
品系:
详见细胞说明书
免疫类型:
详见细胞说明书
物种来源:
人源或其它动物来源等
保质期:
可长期保存(液氮低温冻存)

"Hep G2.2.15人肝癌细胞库|培养基|带STR图谱

传代比例:1:2-1:4(首次传代建议1:2)

生长特性:贴壁生长

换液周期:每周2-3次

背景信息:详见相关文献介绍

NW-MEL-38 Cells;背景说明:详见相关文献介绍;传代方法:1:2-1:3传代;每周换液2-3次。;生长特性:贴壁或悬浮,详见产品说明书部分;形态特性:详见产品说明书;相关产品有:LL/2(LLc1)细胞、D324 Med细胞、NCIH1944细胞

CT26.WT Cells;背景说明:CT26细胞是被N-亚硝基-N-甲基脲烷(NNMU)诱导得到的未分化的小鼠结肠癌细胞,该细胞的一个克隆形成的细胞系被命名为CT26.WT。CT26.WT被逆转录病毒载体LXSN稳定转化形成了一个致死性的亚克隆CT26.CL25,这一病毒载体含有lacZ基因、编码肿瘤相关抗原(TAA)和beta半乳糖苷酶。CT26.WT和CT26.CL25细胞在小鼠中生长速度和致死率都很相似,不同的是CT26.CL25细胞可以表达肿瘤相关抗原和beta半乳糖苷酶,因此这两株细胞可以联合用于免疫治疗和宿主免疫反应的研究。 ;传代方法:1:4-1:10传代,2-3天换液1次。;生长特性:贴壁生长;形态特性:成纤维细胞;相关产品有:NCIH1341细胞、SCC-25细胞、SN-12C细胞

NTERA-2 Cells;背景说明:畸胎瘤;男性;传代方法:1:2-1:3传代;每周换液2-3次。;生长特性:贴壁;形态特性:详见产品说明书;相关产品有:TCMK1细胞、FD-LSC-1细胞、NCI-H378细胞

Hep G2.2.15人肝癌细胞库|培养基|带STR图谱

细胞培养无菌操作步骤和注意事项:1.打开无菌工作台及净化室的紫外灯,消毒半小时以上。2.进入净化室前先关闭紫外灯,打开超净台风机,等待30min以上,以排尽臭氧。3.穿HAO隔离衣,戴HAO口罩,帽子。4.风淋2分钟。5.0.1%水泡手,擦干。6.点燃酒精灯;超净台内应避免放入过多的物品;使用的吸管,滴管,试管,培养瓶等均事先灭菌。7.打开各类瓶盖前先过火,以固定灰尘;打开的瓶口、试管口过火焰,镊子使用前应经火焰烧灼。8.水平式风机的超净台,应使瓶口斜置,应尽量避免瓶口敞开直立。9.同一根吸管或滴管不应连续用于几个不同的细胞系;吸取培养基的吸管应离开培养瓶或试管口0.5cm,避免伸入培养瓶口或试管口;以防止细胞系的互相混杂污染。10.漏在培养瓶上或台上的体,立即用酒精棉球擦净。11.操作完毕后恢复工作台面。

┈订┈购(技术服务)┈热┈线:1┈3┈6┈4┈1┈9┈3┈0┈7┈9┈1【微信同号】┈Q┈Q:3┈1┈8┈0┈8┈0┈7┈3┈2┈4;

产品包装:复苏发货:T25培养瓶(一瓶)或冻存发货:1ml冻存管(两支)

常见细胞贴壁较弱原因:在遇到运输低温及震荡、室温静置太长时间、添加的培养基或其他试剂过冷、密度较高、聚集未吹散、加液吹打到细胞面等情况时会出现明显的成片脱落现象,此时若脱落现象不严重应尽快放回培养基继续培养,若呈大片脱落的情况时需要收集细胞重新消化吹散并接种;建议使用经过包被或者高贴壁培养瓶培养细胞,尽量避免接触低温或密度过高。

来源说明:细胞主要来源ATCC、ECACC、DSMZ、RIKEN等细胞库

物种来源:人源、鼠源等其它物种来源

ARH 77 Cells;背景说明:详见相关文献介绍;传代方法:1:2-1:3传代;每周换液2-3次。;生长特性:悬浮生长;形态特性:淋巴母细胞样 ;相关产品有:UMUC-14细胞、MDA-453细胞、HET1A细胞

OVTOKO Cells;背景说明:卵巢透明细胞癌;脾转移;女性;传代方法:1:2-1:3传代;每周换液2-3次。;生长特性:贴壁;形态特性:详见产品说明书;相关产品有:RL-65细胞、Tn 5B1-4细胞、ketr 3细胞

AZ521 Cells;背景说明:详见相关文献介绍;传代方法:1:4传代;生长特性:贴壁或悬浮,详见产品说明书部分;形态特性:上皮样;相关产品有:3T6 Swiss Albino细胞、X63Ag8-653细胞、Uhth-74细胞

3T3 clone A31 Cells;背景说明:胚胎;成纤维;自发永生;雄性;BALB/c;传代方法:1:2-1:3传代;每周换液2-3次。;生长特性:贴壁;形态特性:详见产品说明书;相关产品有:EC-109细胞、NB-4细胞、BDCM细胞

┈订┈购(技术服务)┈热┈线:1┈3┈6┈4┈1┈9┈3┈0┈7┈9┈1【微信同号】┈Q┈Q:3┈1┈8┈0┈8┈0┈7┈3┈2┈4;

Hep G2.2.15人肝癌细胞库|培养基|带STR图谱

形态特性:上皮细胞样

常规的细胞实验(增殖,凋亡,迁移,分化之类的),受消化影响不是很大,如果不用胰酶去孵育而使用润洗的方法消化的话(难消化细胞例外)。但少数实验,比如病毒包装,对细胞代数,对细胞状态要求GAO。这个时候,胰酶消化,就是润洗,都会对细胞包装病毒的能力有影响,传代次数一多,细胞包装能力就会逐渐下降(当然也有其它因素影响包装效率)。这个时候都不用胰酶消化,用一些盐溶(不是EDA)即可。这些盐溶通过影响ECM相关酶的活性,来使得细胞脱离基质附着表面,但不切割任何蛋白;EDA的作用。许多人不用胰酶,只用EDA,或者用rypsin/EDA联合作用。这里要明白,rypsin切割ECM的一些负责粘连和附着的蛋白,而EDA通过螯合Ca离子,作用于Inegrin的活性,所以EDA的作用更加温和。有的人在rypsin里添加一些EDA,或者对付别难消化的细胞,添加多一些EDA,就是这个道理。一般不要试图延长消化时间(如果10min还消化不彻底的话),而应该想其它办法;PBS洗涤。消化之前用PBS洗涤,是常见的操作,因为Serum含有抑制rypsin的蛋白。但这里面也有学问可以讲,对于一些难消化细胞,那么可以配制不含Ca,Mg离子的PBS,因为这些离子也会抑制rypsin的活性。但对于绝大部分胰酶或者EDA溶润洗即可消化的细胞,不需要配制如此溶。

NCIH1623 Cells;背景说明:详见相关文献介绍;传代方法:每周换液2-3次。;生长特性:贴壁生长;形态特性:详见产品说明书;相关产品有:MRC5细胞、PLA801-95D细胞、HRA19细胞

TE-11 Cells;背景说明:详见相关文献介绍;传代方法:消化3-5分钟。1:2。3天内可长满。;生长特性:贴壁生长;形态特性:上皮样;相关产品有:HuPT4细胞、COV434细胞、RPMI6666细胞

MOLT 3 Cells;背景说明:急性T淋巴细胞白血病;男性;传代方法:1:2-1:3传代;每周换液2-3次。;生长特性:悬浮;形态特性:详见产品说明书;相关产品有:BC-009细胞、OAW-42细胞、LA-4 [Mouse lung adenoma]细胞

McARH7777 Cells;背景说明:肝癌;雌性;Buffalo;传代方法:1:2-1:3传代;每周换液2-3次。;生长特性:贴壁;形态特性:详见产品说明书;相关产品有:NCIADR.RES细胞、MRCV细胞、MASMC细胞

NCI-H2291 Cells;背景说明:详见相关文献介绍;传代方法:1:3-1:4传代;每周换液2-3次。;生长特性:贴壁生长;形态特性:上皮细胞样;相关产品有:NCI-H1299细胞、OCI-LY-19细胞、H1435细胞

HTR-8/SV-neo Cells;背景说明:详见相关文献介绍;传代方法:1:2-1:3传代;每周换液2-3次。;生长特性:贴壁;形态特性:上皮细胞样;相关产品有:T24细胞、Doubling time: ~50 hours (ATCC).细胞、H1666_DA细胞

A431 Cells;背景说明:该细胞源自一位患有皮肤鳞状细胞癌的85岁女性,是GiardDJ等人建立的一系列细胞株中的一株。该细胞在免疫抑制小鼠体内可成瘤,在琼脂上培养可形成克隆;是一个超三倍体人细胞株。;传代方法:1:2传代;生长特性:贴壁生长;形态特性:上皮样;相关产品有:HS688AT细胞、H740细胞、HCC 94细胞

H524 Cells;背景说明:该细胞1982年建系,源自非小细胞肺癌男性患者的转移淋巴结。;传代方法:1:2-1:3传代;每周换液2-3次。;生长特性:悬浮生长;形态特性:圆形细胞;相关产品有:MN-60细胞、H1781细胞、GM3569细胞

Panc 02 Cells;背景说明:详见相关文献介绍;传代方法:1:2传代;生长特性:贴壁生长 ;形态特性:详见产品说明书;相关产品有:T47-D细胞、Hs675T细胞、Pan02细胞

8226 Cells;背景说明:来源于一位61岁的男性浆细胞瘤患者;可产生免疫球蛋白轻链,未检测到重链。;传代方法:按1:2传代,5-6小时可以看到细胞分裂;生长特性:悬浮生长;形态特性:淋巴母细胞样;相关产品有:HCT-15细胞、H-1930细胞、NCI H295R细胞

HR8348 Cells;背景说明:详见相关文献介绍;传代方法:1:2-1:3传代;每周换液2-3次。;生长特性:贴壁或悬浮,详见产品说明书部分;形态特性:详见产品说明书;相关产品有:DHL10细胞、LS174T细胞、DMS153细胞

SUM102 Cells;背景说明:乳腺癌;女性;传代方法:1:2-1:3传代;每周换液2-3次。;生长特性:贴壁;形态特性:详见产品说明书;相关产品有:CPAE细胞、GS9L细胞、H2.35细胞

GBC-SD Cells;背景说明:GBC-SD 细胞株是王展明等2000年从一位61岁的男性低分化胆囊癌患者中建立的。 细胞的形状有多边形、纺锤形和正方形。 分泌CEA和CA19-9。倍增时间大约为21.4小时。 可移植到裸鼠。 生成的肿瘤与原发肿瘤相似。;传代方法:1:2传代;生长特性:贴壁生长;形态特性:上皮细胞样;相关产品有:Alexander细胞、Hx-147细胞、PL5细胞

CoCL2 Cells;背景说明:结肠腺癌;男性;传代方法:1:2-1:3传代;每周换液2-3次。;生长特性:贴壁;形态特性:详见产品说明书;相关产品有:HBL-1 [Human diffuse large B-cell lymphoma]细胞、143BTK-细胞、J774A.1细胞

Bovine ENDometrial cells Cells;背景说明:子宫内膜;上皮细胞;雌性;传代方法:1:2-1:3传代;每周换液2-3次。;生长特性:贴壁;形态特性:详见产品说明书;相关产品有:N9细胞、MDA-MB-134-VI细胞、CF Pac1细胞

TGHAVSMC Cells;背景说明:详见相关文献介绍;传代方法:1:2-1:3传代;每周换液2-3次。;生长特性:贴壁或悬浮,详见产品说明书部分;形态特性:详见产品说明书;相关产品有:HCC70细胞、Hs839.T细胞、Raji细胞

Hs888Lu Cells;背景说明:详见相关文献介绍;传代方法:1:2传代;生长特性:贴壁生长 ;形态特性:详见产品说明书;相关产品有:COLO 829细胞、Y79细胞、SUM52PE细胞

┈订┈购(技术服务)┈热┈线:1┈3┈6┈4┈1┈9┈3┈0┈7┈9┈1【微信同号】┈Q┈Q:3┈1┈8┈0┈8┈0┈7┈3┈2┈4;

A549 IFITM2/3-KO Cells(提供STR鉴定图谱)

Hep G2.2.15人肝癌细胞库|培养基|带STR图谱

Abcam PC-3 PTGER4 KO Cells(提供STR鉴定图谱)

BA Cells(提供STR鉴定图谱)

BayGenomics ES cell line RRR115 Cells(提供STR鉴定图谱)

BayGenomics ES cell line YHD098 Cells(提供STR鉴定图谱)

CF-RiPS-1.2 Cells(提供STR鉴定图谱)

DA01449 Cells(提供STR鉴定图谱)

FHS036i-sh18961C Cells(提供STR鉴定图谱)

GM09009 Cells(提供STR鉴定图谱)

LS-411 Cells;背景说明:详见相关文献介绍;传代方法:1:2传代;每周2次;生长特性:贴壁生长;形态特性:上皮样;相关产品有:H1693细胞、MC3T3-E1 Subclone 14细胞、OVCA433_Bast细胞

MDA MB 175 VII Cells;背景说明:该细胞源自一位54岁患有乳腺导管癌白人女性的胸腔积液。;传代方法:1:2—1:6传代,每周换液2—3次;生长特性:松散贴壁生长;形态特性:上皮细胞样;相关产品有:Ontario Cancer Institute-Acute Myeloid Leukemia-5细胞、H-1623细胞、TO 175.T细胞

HeLaS3 Cells;背景说明:该细胞是1955年由PuckTT,MarcusPI和CieciuraSJ建系的,含HPV-18序列;角蛋白阳性;可用于与染色体突变、细胞营养、集落形成相关的哺乳动物细胞的克隆分析。;传代方法:1:2传代;生长特性:贴壁生长;形态特性:上皮样;相关产品有:KP-N-RT-BM细胞、HCC0202细胞、AC29细胞

NCI.H226 Cells;背景说明:1980年分离建立。;传代方法:1:2传代;生长特性:贴壁生长;形态特性:上皮细胞样;相关产品有:HEC1-B细胞、5-8F细胞、NCI H508细胞

OVCAR432 Cells;背景说明:详见相关文献介绍;传代方法:1:2-1:3传代;每周换液2-3次。;生长特性:贴壁或悬浮,详见产品说明书部分;形态特性:详见产品说明书;相关产品有:LU-65M细胞、Malme-3M细胞、H-2030细胞

LM TK negative Cells;背景说明:详见相关文献介绍;传代方法:1:2-1:3传代;每周换液2-3次。;生长特性:贴壁或悬浮,详见产品说明书部分;形态特性:详见产品说明书;相关产品有:SW1088细胞、P3J细胞、HR1K细胞

BALB/3T3 clone A31 ts20 Cells(提供STR鉴定图谱)

SUM52PE Cells;背景说明:乳腺癌;胸腔积液转移;女性;传代方法:1:2-1:3传代;每周换液2-3次。;生长特性:贴壁;形态特性:详见产品说明书;相关产品有:AtT-20细胞、451Lu细胞、JM1细胞

MeWo Cells;背景说明:详见相关文献介绍;传代方法:1:3-1:5传代,2-3天换液1次。;生长特性:混合生长;形态特性:成纤维细胞;相关产品有:OCI-Ly3细胞、HBVSMC细胞、OPM-2细胞

G-Olig2 Cells;背景说明:胚胎干细胞;129X1/SvJ;传代方法:1:2-1:3传代;每周换液2-3次。;生长特性:贴壁;形态特性:详见产品说明书;相关产品有:C3H10T1-2细胞、SNUC1细胞、Calu 6细胞

PK13 Cells;背景说明:详见相关文献介绍;传代方法:1:2—1:4传代,每周换液2—3次;生长特性:贴壁生长;形态特性:上皮细胞样;相关产品有:MIA PaCa-2细胞、MM1S细胞、BEAS-2B细胞

OCI-AML-2 Cells;背景说明:急性髓系白血病;男性;传代方法:1:2-1:3传代;每周换液2-3次。;生长特性:悬浮;形态特性:详见产品说明书;相关产品有:PSN1细胞、DMS79细胞、KLE细胞

KP-4 Cells;背景说明:详见相关文献介绍;传代方法:1:2传代;生长特性:贴壁生长;形态特性:上皮样;相关产品有:ES-2细胞、IR983F细胞、P-19细胞

KP-4 Cells;背景说明:详见相关文献介绍;传代方法:1:2传代;生长特性:贴壁生长;形态特性:上皮样;相关产品有:ES-2细胞、IR983F细胞、P-19细胞

B16F1 Cells;背景说明:详见相关文献介绍;传代方法:1:2传代;生长特性:贴壁生长;形态特性:上皮细胞样;相关产品有:870细胞、IPLB-Sf21细胞、BALB/3T3 cl. A31细胞

H80HrPE-6 Cells(提供STR鉴定图谱)

HAP1 RBL2 (-) 2 Cells(提供STR鉴定图谱)

SNU886 Cells;背景说明:详见相关文献介绍;传代方法:1:2传代;生长特性:贴壁或悬浮,详见产品说明书部分;形态特性:详见产品说明书;相关产品有:Huh 7.5细胞、SNU-719细胞、Hu-P-T3细胞

CMT-167 Cells;背景说明:肺腺癌;雌性;C57BL/ICRF-a(t);传代方法:1:2-1:3传代;每周换液2-3次。;生长特性:贴壁;形态特性:详见产品说明书;相关产品有:SCLC21H细胞、Hs-578-T细胞、SU8686细胞

AN-3 Cells;背景说明:AN3CA细胞建系于1964年。它衍生于子宫内膜癌患者淋巴结转移组织,具有癌细胞的基本特性,能在体外长期传代培养,接种实验动物产生明显肿瘤。但细胞的生物学特性及超微结构尚未深入研究,仅发现该细胞系促黑激素合成为阴性。细胞常用于人子宫内膜癌细胞生物学及其相关特性研究。;传代方法:1:2传代;生长特性:贴壁生长;形态特性:上皮样;相关产品有:U373MG细胞、COLO 320细胞、HCM细胞

Tb1.Lu Cells;背景说明:肺;传代方法:1:2-1:3传代;每周换液2-3次。;生长特性:贴壁;形态特性:详见产品说明书;相关产品有:CPA47细胞、H-1869细胞、L363细胞

HHL5 Cells;背景说明:肝;HPV16转化;男性;传代方法:1:2-1:3传代;每周换液2-3次。;生长特性:贴壁;形态特性:详见产品说明书;相关产品有:NCI-H322细胞、HTori3细胞、DOK细胞

NRK52E Cells;背景说明:详见相关文献介绍;传代方法:1:2传代;生长特性:贴壁生长;形态特性:上皮细胞样;相关产品有:HCC-1500细胞、SK-MEL-2细胞、SKNEP1细胞

U-937 Cells;背景说明:该细胞是由NilssonK实验室于1974年从一名37岁的患有恶性组织细胞性淋巴瘤的白人男性的胸水中分离建立的。1979年来的研究显示该细胞在人混合淋巴细胞培养物上清、佛波酯、VitD3、γ-IFN、TNF和维A酸的诱导下可以向终末单核细胞分化。该细胞不合成免疫球蛋白,EBV阴性;可产生溶菌酶、β-2-微球蛋白,受PMA刺激后可产生TNF-α;表达C3R;可作转染宿主;表达Fas,对TNF和抗Fas的抗体敏感。;传代方法:维持细胞浓度在1×105-2×106/ml;根据细胞浓度3-4换液1次。;生长特性:悬浮生长;形态特性:单核细胞;相关产品有:MPC 11细胞、JM细胞、Epstein-Barr-2细胞

NF639 Cells;背景说明:乳腺癌;传代方法:1:2-1:3传代;每周换液2-3次。;生长特性:贴壁;形态特性:详见产品说明书;相关产品有:MKN74细胞、MDAPCa-2b细胞、SJRH 30细胞

HUOCA-II Cells(提供STR鉴定图谱)

L87/4 Cells(提供STR鉴定图谱)

MU3 Cells(提供STR鉴定图谱)

OPCN-2 Cells(提供STR鉴定图谱)

Royan N50 Cells(提供STR鉴定图谱)

UACC-245 Cells(提供STR鉴定图谱)

UMi048-A Cells(提供STR鉴定图谱)

HAP1 TRIM41 (-) 2 Cells(提供STR鉴定图谱)

THP-1(ATCC) Cells;背景说明:该细胞从一名1岁的患有急性单核细胞性白血病的男孩的外周血中分离建立。该细胞可以吞噬乳胶颗粒和激活的红细胞,细胞膜和胞浆内均没有免疫球蛋白,表达C3R和FcR;可受佛波酯TPA诱导向单核系方向分化;可作为转染宿主。;传代方法:维持细胞浓度在2-4×105-8×105/ml,勿超过1×106/ml;2-3天换液1次。;生长特性:悬浮生长;形态特性:单核细胞;相关产品有:J.E6-1细胞、BLO-11细胞、Vero 76细胞

L Cells;背景说明:详见相关文献介绍;传代方法:1:2-1:3传代;每周换液2-3次。;生长特性:贴壁或悬浮,详见产品说明书部分;形态特性:详见产品说明书;相关产品有:PMVEC细胞、DU-4475细胞、NCI-SNU-668细胞

MIA Paca2 Cells;背景说明:详见相关文献介绍;传代方法:1:2传代;;生长特性:贴壁生长;形态特性:详见产品说明书;相关产品有:HUT-28细胞、rRTEC细胞、BL2141细胞

Nakata-1 Cells;背景说明:详见相关文献介绍;传代方法:1:2-1:3传代;每周换液2-3次。;生长特性:贴壁生长;形态特性:上皮样;相关产品有:H2172细胞、JVM-2细胞、NCIADRRES细胞

SW1088 Cells;背景说明:星形胶质瘤;男性;传代方法:1:2-1:3传代;每周换液2-3次。;生长特性:贴壁;形态特性:详见产品说明书;相关产品有:P3X63NS1细胞、SUDHL-2细胞、SW-1573细胞

MCF-12A Cells;背景说明:非致瘤性乳腺上皮细胞;女性;传代方法:1:2-1:3传代;每周换液2-3次。;生长特性:贴壁;形态特性:详见产品说明书;相关产品有:LSC-1细胞、SKHEP-1细胞、EB-2细胞

WILL2 Cells;背景说明:弥漫大B淋巴瘤;女性;传代方法:1:2-1:3传代;每周换液2-3次。;生长特性:悬浮;形态特性:详见产品说明书;相关产品有:H-128细胞、CORL279细胞、OVCAR-4细胞

LS-513 Cells;背景说明:详见相关文献介绍;传代方法:1:3—1:4传代,每周换液2次;生长特性:贴壁生长;形态特性:上皮样;相关产品有:NCIH1792细胞、OCIAML4细胞、brain-derived Endothelial cells.3细胞

Granta519 Cells;背景说明:详见相关文献介绍;传代方法:1:2-1:3传代;每周换液2-3次。;生长特性:贴壁或悬浮,详见产品说明书部分;形态特性:详见产品说明书;相关产品有:TE15细胞、Balb/c 3T3细胞、Ishikawa细胞

CT 26 Cells;背景说明:详见相关文献介绍;传代方法:1:2-1:3传代;每周换液2-3次。;生长特性:贴壁或悬浮,详见产品说明书部分;形态特性:详见产品说明书;相关产品有:NCI/ADR-RES细胞、CMT 64细胞、GM-346细胞

MCF12A Cells;背景说明:非致瘤性乳腺上皮细胞;女性;传代方法:1:2-1:3传代;每周换液2-3次。;生长特性:贴壁;形态特性:详见产品说明书;相关产品有:EST50细胞、NCI-SNU-C2B细胞、GC-2细胞

McArdle RH-7777 Cells;背景说明:肝癌;雌性;Buffalo;传代方法:1:2-1:3传代;每周换液2-3次。;生长特性:贴壁;形态特性:详见产品说明书;相关产品有:WB F344细胞、786.O细胞、OVCAR-420细胞

CTV1 Cells;背景说明:急性T淋巴细胞白血病;男性;传代方法:1:2-1:3传代;每周换液2-3次。;生长特性:悬浮;形态特性:详见产品说明书;相关产品有:Intestinal Epithelioid Cell line No. 6细胞、NEC细胞、PANC.1细胞

SHP77 Cells;背景说明:详见相关文献介绍;传代方法:3-4天换液1次。;生长特性:悬浮生长,少量贴壁;形态特性:上皮细胞;相关产品有:HS-683细胞、PFSK细胞、TE-10细胞

SKMel-5 Cells;背景说明:详见相关文献介绍;传代方法:1:3-1:6传代,2-3天换液1次。;生长特性:贴壁生长;形态特性:星形的;相关产品有:WC00097细胞、Hepatoma-22细胞、HL-1细胞

T45 Cells(提供STR鉴定图谱)

H-929 Cells;背景说明:详见相关文献介绍;传代方法:保持细胞密度在5×105—1×106 cells/ml之间,每周换液2—3次;生长特性:悬浮生长 ;形态特性:淋巴母细胞样;相关产品有:C3H/10T1/2 CL8细胞、ZR751细胞、NCI-H661细胞

Hep G2.2.15人肝癌细胞库|培养基|带STR图谱

NCI-H508 Cells;背景说明:详见相关文献介绍;传代方法:1:2传代;生长特性:贴壁生长;形态特性:详见产品说明书;相关产品有:293-H细胞、NCI660细胞、JVM3细胞

A549 Cells;背景说明:详见相关文献介绍;传代方法:1:2-1:3传代;每周换液2-3次。;生长特性:贴壁或悬浮,详见产品说明书部分;形态特性:详见产品说明书;相关产品有:D-341Med细胞、38C13细胞、CATHa细胞

MUG-Chor1 Cells;背景说明:骶骨脊索瘤;女性;传代方法:1:2-1:3传代;每周换液2-3次。;生长特性:贴壁;形态特性:详见产品说明书;相关产品有:Mv1.Lu细胞、L细胞、SW 1783细胞

hADSCs Cells;背景说明:脂肪间充质干 Cells;传代方法:1:2-1:3传代;每周换液2-3次。;生长特性:贴壁;形态特性:详见产品说明书;相关产品有:CLONE M3细胞、MESSA Dx5细胞、J82COT细胞

SF 767 Cells;背景说明:脑瘤;女性;传代方法:1:2-1:3传代;每周换液2-3次。;生长特性:贴壁;形态特性:详见产品说明书;相关产品有:TSUpr1细胞、ESC细胞、PE/CA-PJ-34细胞

┈订┈购(技术服务)┈热┈线:1┈3┈6┈4┈1┈9┈3┈0┈7┈9┈1【微信同号】┈Q┈Q:3┈1┈8┈0┈8┈0┈7┈3┈2┈4;

Caco 2 Cells;背景说明:细胞株分离自一个原发性结肠癌。当细胞长满时,表现出典型的肠细胞分化的特征。Caco-2细胞表达维生素A酸结合蛋白I和视黄醇结合蛋白II,角蛋白阳性。;传代方法:1:2-1:3传代;每周换液2-3次。;生长特性:贴壁;形态特性:上皮细胞样;相关产品有:HEM-L细胞、hSCC-25细胞、FRO细胞

HLE-SRA-01/04 Cells;背景说明:晶状体;上皮细胞;SV40转化;男性;传代方法:1:2-1:3传代;每周换液2-3次。;生长特性:贴壁;形态特性:详见产品说明书;相关产品有:Panc2.03细胞、CEMC7细胞、NTera 2细胞

MDA453 Cells;背景说明:该细胞系由CailleauR在1976年从一名48岁的患有转移性乳腺癌的白人女性的心包渗出液中分离建立的。该细胞表达FGF的受体。;传代方法:1:2-1:4传代;2-3天换液1次;生长特性:贴壁生长;形态特性:上皮样;多角形;相关产品有:EMT-6细胞、CEM clone 7细胞、P3/X63-Ag8细胞

TE-5 Cells;背景说明:详见相关文献介绍;传代方法:消化3-5分钟。1:2。3天内可长满。;生长特性:贴壁生长;形态特性:上皮样;相关产品有:Leydig细胞、HSC5细胞、THC-8307细胞

ChaGo-K1 Cells;背景说明:详见相关文献介绍;传代方法:1:4-1:8传代;每周换液2次。;生长特性:贴壁生长;形态特性:上皮细胞;相关产品有:U-118 MG细胞、DU 145细胞、Mel-624细胞

MEC-1 Cells;背景说明:粘液表皮样癌;传代方法:1:2-1:3传代;每周换液2-3次。;生长特性:贴壁;形态特性:详见产品说明书;相关产品有:HPAF-I细胞、IGROV1细胞、UMR-106细胞

HO1N1 Cells;背景说明:详见相关文献介绍;传代方法:1:2-1:3传代;每周换液2-3次。;生长特性:贴壁生长;形态特性:上皮样;相关产品有:SK-RC 52细胞、GM02132C细胞、Roswell Park Memorial Institute 1788细胞

WiDr-TC Cells;背景说明:结肠癌;女性;传代方法:1:2-1:3传代;每周换液2-3次。;生长特性:贴壁;形态特性:详见产品说明书;相关产品有:EBTr细胞、RetroPack PT67细胞、P3J HR-1细胞

BayGenomics ES cell line CSH123 Cells(提供STR鉴定图谱)

BayGenomics ES cell line RRU470 Cells(提供STR鉴定图谱)

BC3A1 Cells(提供STR鉴定图谱)

Ki-67 Cells(提供STR鉴定图谱)

PCRP-ZNF398-1A1 Cells(提供STR鉴定图谱)

NIMP-R10 Cells(提供STR鉴定图谱)

"


Hep G2.2.15人肝癌细胞库|培养;复苏细胞系;细胞STR鉴定报告;细胞STR鉴定图谱;ATCC|DSMZ细胞库;

公司简介

公司提供ATCC、DSMZ、ECACC、NCI-DTP、RCB(Riken)等细胞系

成立日期 (9年)
注册资本 635万人民币
员工人数 50-100人
年营业额 ¥ 1亿以上
经营模式 贸易,工厂,服务
主营行业 细胞培养,细胞生物学,生物技术服务

Hep G2.2.15人肝癌细胞库|培养基|带STR图谱相关厂家报价 更多

  • HepG2.2.15
  • HepG2.2.15
  • 吉奥蓝图(广东)生命科学技术中心 VIP
  • 2026-04-03
  • 询价
内容声明
拨打电话 立即询价