基本信息 产品详情 公司简介 推荐产品
网站主页 化工产品目录 生物 细胞培养 细胞系 人细胞系 NCI-H196人肺癌贴壁细胞系 NCI-H196人小细胞肺癌细胞库|培养基|带STR图谱
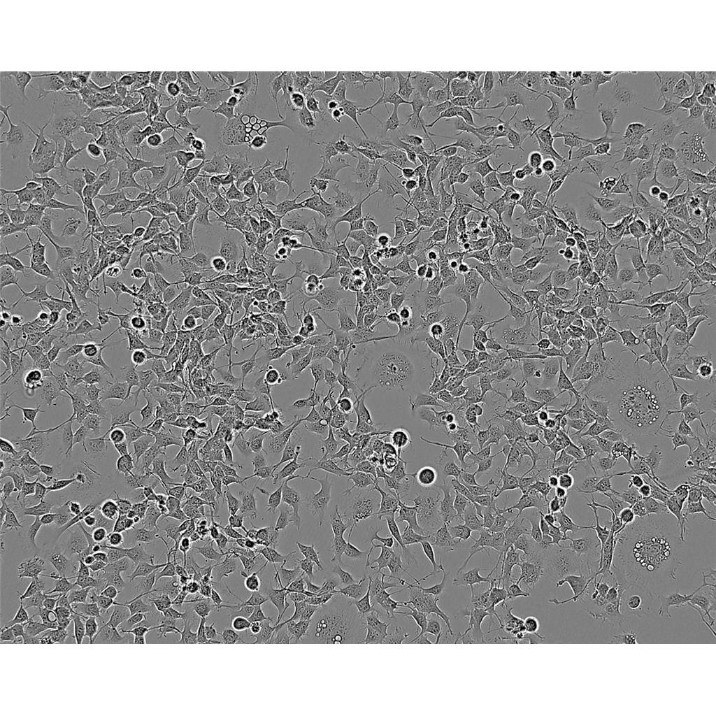
  • NCI-H196人小细胞肺癌细胞库|培养基|带STR图谱
  • NCI-H196人小细胞肺癌细胞库|培养基|带STR图谱
  • NCI-H196人小细胞肺癌细胞库|培养基|带STR图谱

1/3

NCI-H196人小细胞肺癌细胞库|培养基|带STR图谱

NCI-H196
询价 1000000Cells/瓶 起订
2000000Cells/瓶 起订
上海 更新日期:2025-12-31

上海宾穗生物科技有限公司

非会员
联系人:刘***
电话:183***
手机:183***
邮箱:129***

产品详情:

中文名称:
NCI-H196人小细胞肺癌细胞库|培养基|带STR图谱
英文名称:
NCI-H196
品牌:
ATCC、DSMZ等
产地:
美国、欧洲、德国等
保存条件:
低温避光
纯度规格:
NCI-H196人小细胞肺癌细胞库|培养基|带STR图谱
产品类别:
ATCC细胞库
种属:
详见细胞说明书
组织:
详见细胞说明书
细胞系:
详见细胞说明书
细胞形态:
详见细胞说明书
生长状态:
详见细胞说明书
靶点:
详见细胞说明书
应用:
详见细胞说明书
货号:
详见细胞说明书
规格:
1*10^6cells/T25(1瓶)或1ml冻存管(2支)
是否进口:
来源ATCC、DSMZ、ECACC等细胞库
组织来源:
详见细胞说明书
是否是肿瘤细胞:
详见细胞说明书
器官来源:
详见细胞说明书
品系:
详见细胞说明书
免疫类型:
详见细胞说明书
物种来源:
人源或其它动物来源等
保质期:
可长期保存(液氮低温冻存)

"NCI-H196人小细胞肺癌细胞库|培养基|带STR图谱

传代比例:1:2-1:4(首次传代建议1:2)

生长特性:贴壁生长

换液周期:每周2-3次

背景信息:详见相关文献介绍

JB6 [Mouse] Cells;背景说明:表皮;自发永生;BALB/c;传代方法:1:2-1:3传代;每周换液2-3次。;生长特性:贴壁;形态特性:详见产品说明书;相关产品有:NRK49F细胞、CL1-5细胞、ST-2细胞

MiaPaca.2 Cells;背景说明:详见相关文献介绍;传代方法:1:2传代;;生长特性:贴壁生长;形态特性:详见产品说明书;相关产品有:MGHU1细胞、L-428细胞、MDA-MB-330细胞

NCIH3255 Cells;背景说明:详见相关文献介绍;传代方法:1:2传代;生长特性:贴壁生长 ;形态特性:详见产品说明书;相关产品有:EAhy 926细胞、A-375细胞、VK2 (E6/E7)细胞

NCI-H196人小细胞肺癌细胞库|培养基|带STR图谱

细胞传代培养实验:体外培养的原代细胞或细胞株要在体外持续地培养就必须传代,以便获得稳定的细胞株或得到大量的同种细胞,并维持细胞种的延续。培养的细胞形成单层汇合以后,由于密度过大生存空间不足而引起营养枯竭,将培养的细胞分散,从容器中取出,以1:2或1:3以上的比率转移到另外的容器中进行培养,即为传代培养;细胞“一代”指从细胞接种到分离再培养的一段期间,与细胞世代或倍增不同。在一代中,细胞培增3~6次。细胞传代后,一般经过三个阶段:游离期、指数增生期和停止期。常用细胞分裂指数表示细胞增殖的旺盛程度,即细胞群的分裂相数/100个细胞。一般细胞分裂指数介于0.2%~0.5%,肿瘤细胞可达3~5%;细胞接种2~3天分裂增殖旺盛,是活力ZuiHAO时期,称指数增生期(对数生长期),适宜进行各种试验。实验步骤:1.将长成的培养细胞从二氧化碳培养箱中取出,在超净工作台中倒掉瓶内的培养,加入少许消化。(以面盖住细胞为宜),静置5~10分钟。2.在倒置镜下观察被消化的细胞,如果细胞变圆,相互之间不再连接成片,这时应立即在超净台中将消化倒掉,加入3~5ml新鲜培养,吹打,制成细胞悬。3.将细胞悬吸出2ml左右,加到另一个培养瓶中并向每个瓶中分别加3ml左右培养,盖HAO瓶塞,送回二氧化碳培养箱中,继续进行培养。一般情况,传代后的细胞在2小时左右就能附着在培养瓶壁上,2~4天就可在瓶内形成单层,需要再次进行传代。

┈订┈购(技术服务)┈热┈线:1┈3┈6┈4┈1┈9┈3┈0┈7┈9┈1【微信同号】┈Q┈Q:3┈1┈8┈0┈8┈0┈7┈3┈2┈4;

产品包装:复苏发货:T25培养瓶(一瓶)或冻存发货:1ml冻存管(两支)

【细胞培养经验分享】启蒙老师的重要性:一般进实验室都有师兄师姐带着做,他们就是你做细胞的启蒙老师。他们的操作手法、细节、理论讲解就成了你操作的准则,如营养液、细胞瓶的摆放位置、灭菌处理程序、开盖手法、细胞吹打手法等等。要学会他们的正确操作,在第一次的时候就要重视。像养孩子一样养细胞,细胞有时真的很脆弱,最好每天都去看看它,以防止出现培养箱缺水、缺二氧化碳、停电、温度不够等异常现象,也好及时解决这些意外,避免重复实验带来的更大痛苦。好细胞要及时保种:细胞要分批传代,这样即使有一批出了问题,还有一批备用的。像后者一般人可能不容易做到。但这是我血的教训,有一次细胞污染了,全军覆没。当时可后悔没有保种。细胞跟人一样,不同的细胞,培养特性是不一样的。培养过程中要细细体会,不同细胞系使用不同的培养基和血清。

来源说明:细胞主要来源ATCC、ECACC、DSMZ、RIKEN等细胞库

物种来源:人源、鼠源等其它物种来源

DF-1 Cells;背景说明:详见相关文献介绍;传代方法:1:2传代;生长特性:贴壁生长;形态特性:成纤维母细胞样;相关产品有:H1184细胞、UPCI:SCC090细胞、NCIH727细胞

HFF1 Cells;背景说明:详见相关文献介绍;传代方法:1:5-1:7传代;生长特性:贴壁生长;形态特性:成纤维细胞;相关产品有:BNL 1ME A.7R.1细胞、MB39细胞、H295R-S1细胞

A673 Cells;背景说明:详见相关文献介绍;传代方法:消化3-5分钟。1:2。3天内可长满。;生长特性:贴壁生长;形态特性:成纤维细胞;相关产品有:MKN1细胞、SHI-1细胞、UCW 100细胞

801-D Cells;背景说明:这是一株高转移肺癌。;传代方法:消化3-5分钟,1:2,3天内可长满;生长特性:贴壁生长;形态特性:上皮样;相关产品有:IPEC1细胞、Panc02细胞、PANC0813细胞

┈订┈购(技术服务)┈热┈线:1┈3┈6┈4┈1┈9┈3┈0┈7┈9┈1【微信同号】┈Q┈Q:3┈1┈8┈0┈8┈0┈7┈3┈2┈4;

NCI-H196人小细胞肺癌细胞库|培养基|带STR图谱

形态特性:上皮细胞样

常规的细胞实验(增殖,凋亡,迁移,分化之类的),受消化影响不是很大,如果不用胰酶去孵育而使用润洗的方法消化的话(难消化细胞例外)。但少数实验,比如病毒包装,对细胞代数,对细胞状态要求GAO。这个时候,胰酶消化,就是润洗,都会对细胞包装病毒的能力有影响,传代次数一多,细胞包装能力就会逐渐下降(当然也有其它因素影响包装效率)。这个时候都不用胰酶消化,用一些盐溶(不是EDA)即可。这些盐溶通过影响ECM相关酶的活性,来使得细胞脱离基质附着表面,但不切割任何蛋白;EDA的作用。许多人不用胰酶,只用EDA,或者用rypsin/EDA联合作用。这里要明白,rypsin切割ECM的一些负责粘连和附着的蛋白,而EDA通过螯合Ca离子,作用于Inegrin的活性,所以EDA的作用更加温和。有的人在rypsin里添加一些EDA,或者对付别难消化的细胞,添加多一些EDA,就是这个道理。一般不要试图延长消化时间(如果10min还消化不彻底的话),而应该想其它办法;PBS洗涤。消化之前用PBS洗涤,是常见的操作,因为Serum含有抑制rypsin的蛋白。但这里面也有学问可以讲,对于一些难消化细胞,那么可以配制不含Ca,Mg离子的PBS,因为这些离子也会抑制rypsin的活性。但对于绝大部分胰酶或者EDA溶润洗即可消化的细胞,不需要配制如此溶。

HCC1419 Cells;背景说明:详见相关文献介绍;传代方法:1:2-1:3传代;每周换液2-3次。;生长特性:贴壁生长;形态特性:上皮样;相关产品有:Lymph Node Carcinoma of the prostate细胞、LC-1Sq细胞、SK-RC 52细胞

NCI-BL1339 Cells;背景说明:详见相关文献介绍;传代方法:3-4天换液1次。;生长特性:悬浮生长;形态特性:淋巴母细胞样 ;相关产品有:Neuro-2a细胞、Tb 1-Lu细胞、NCTC1469细胞

NCIH647 Cells;背景说明:详见相关文献介绍;传代方法:1:3-1:6传代;每周换液2次。;生长特性:贴壁生长;形态特性:详见产品说明书;相关产品有:Kit 225-K6细胞、Tca-83细胞、CX1细胞

PA317 Cells;背景说明:胚胎;成纤维细胞;NIH Swiss;传代方法:1:2-1:3传代;每周换液2-3次。;生长特性:贴壁;形态特性:详见产品说明书;相关产品有:R 2 C细胞、Panc04.03细胞、H3396细胞

U031 Cells;背景说明:详见相关文献介绍;传代方法:1:3-1:6传代;2-3天换液1次。;生长特性:贴壁生长;形态特性:上皮样;相关产品有:HEL299细胞、NCIH1385细胞、CCF-STTG1细胞

BL2141 Cells;背景说明:详见相关文献介绍;传代方法:1:2-1:3传代;每周换液2-3次。;生长特性:贴壁或悬浮,详见产品说明书部分;形态特性:详见产品说明书;相关产品有:CAL148细胞、MOVAS-1细胞、PL 45细胞

OCLY8 Cells;背景说明:弥漫大B淋巴瘤;传代方法:1:2-1:3传代;每周换液2-3次。;生长特性:悬浮;形态特性:详见产品说明书;相关产品有:PF-382细胞、Hs940T细胞、U251MG细胞

H2342 Cells;背景说明:详见相关文献介绍;传代方法:1:2-1:6传代 ;生长特性:贴壁生长;形态特性:上皮样;相关产品有:HGE细胞、3AA细胞、MC 3T3-E1细胞

SUDHL-16 Cells;背景说明:详见相关文献介绍;传代方法:1:2-1:3传代;每周换液2-3次。;生长特性:贴壁或悬浮,详见产品说明书部分;形态特性:详见产品说明书;相关产品有:F-81细胞、Porcine Kidney-13细胞、NCIH1781细胞

NCI-128 Cells;背景说明:小细胞肺癌;胸腔积液转移;男性;传代方法:1:2-1:3传代;每周换液2-3次。;生长特性:贴壁;形态特性:详见产品说明书;相关产品有:SL1细胞、SW 48细胞、NCIH1651细胞

67NR Cells;背景说明:乳腺癌;BALB/cfC3H;传代方法:1:2-1:3传代;每周换液2-3次。;生长特性:贴壁;形态特性:详见产品说明书;相关产品有:Hs839T细胞、H2195细胞、LLCMK2细胞

NOR-10 Cells;背景说明:详见相关文献介绍;传代方法:1:2-1:3传代;每周换液2-3次。;生长特性:贴壁或悬浮,详见产品说明书部分;形态特性:详见产品说明书;相关产品有:ROS-17/2.8细胞、H146细胞、SKNFI细胞

Mouse Colon 38 Cells;背景说明:详见相关文献介绍;传代方法:1:2传代;生长特性:贴壁生长;形态特性:上皮细胞样;相关产品有:KTC1细胞、SNU-484细胞、MDA-231细胞

SiHa Cells;背景说明:该细胞来源于一位日本病人的手术切除的肿瘤组织。电镜下可以看到细胞间典型的桥粒和细胞质中大量的张力丝。1975年发现有支原体污染,而后被去除。该细胞整合有HPV16基因组,每个细胞中有1~2个拷贝。;传代方法:1:3传代,2-3天换液一次;生长特性:贴壁生长;形态特性:上皮样;相关产品有:SW 620细胞、HCT8细胞、A.704细胞

H128 Cells;背景说明:小细胞肺癌;胸腔积液转移;男性;传代方法:1:2-1:3传代;每周换液2-3次。;生长特性:贴壁;形态特性:详见产品说明书;相关产品有:Caco2BBe细胞、MBVP细胞、MGH-U3 (RN)细胞

HL1 Cells;背景说明:心肌;SV40转化;传代方法:1:2-1:3传代;每周换液2-3次。;生长特性:贴壁;形态特性:详见产品说明书;相关产品有:EM-3细胞、KU-812F细胞、Human Foreskin Fibroblast细胞

MUTZ-1 Cells;背景说明:骨髓增生异常综合征;女性;传代方法:1:2-1:3传代;每周换液2-3次。;生长特性:悬浮;形态特性:详见产品说明书;相关产品有:SKM1细胞、HEK293-EBNA细胞、HIT-T15细胞

┈订┈购(技术服务)┈热┈线:1┈3┈6┈4┈1┈9┈3┈0┈7┈9┈1【微信同号】┈Q┈Q:3┈1┈8┈0┈8┈0┈7┈3┈2┈4;

2.B2 Cells(提供STR鉴定图谱)

NCI-H196人小细胞肺癌细胞库|培养基|带STR图谱

Abcam HeLa NDUFB9 KO Cells(提供STR鉴定图谱)

AG24160 Cells(提供STR鉴定图谱)

BayGenomics ES cell line RRG337 Cells(提供STR鉴定图谱)

BayGenomics ES cell line XH045 Cells(提供STR鉴定图谱)

C0914 Cells(提供STR鉴定图谱)

CX16-RV8 Endo Cells(提供STR鉴定图谱)

DS4 Cells(提供STR鉴定图谱)

GM03864 Cells(提供STR鉴定图谱)

NCI N87 Cells;背景说明:NCI-N87细胞表达表面糖蛋白癌胚抗原(CEA)和TAG72,并且没有左旋多巴胺脱羧酶(DDC)活性。它们的血管活性的肠肽(VIP)受体活性极低并缺乏胃泌激素受体。它们表达蕈毒碱胆碱受体。没有证据表明存在N-myc,L-myc,myb和EGF受体基因的重组。这个细胞株表达的c-myc和c-erb-B2RNA水平与其它细胞株相当。以下基因不表达:N-myc,L-myc,c-cis,IGF-2,或胃泌激素释放肽。报道NCI-N87细胞的植板率为4.3%。;传代方法:消化15-20分钟。1:2。4-5天长满。;生长特性:贴壁生长;形态特性:上皮细胞样;相关产品有:MGC-803细胞、MV4-11细胞、NCIH208细胞

NH-6 Cells;背景说明:详见相关文献介绍;传代方法:1:2传代;每周换液2-3次;生长特性:贴壁生长;形态特性:成纤维细胞;相关产品有:SKNBE-2细胞、HS0578T细胞、SK-MES1细胞

NE-1 Cells;背景说明:详见相关文献介绍;传代方法:1:2-1:3传代;每周换液2-3次。;生长特性:贴壁或悬浮,详见产品说明书部分;形态特性:详见产品说明书;相关产品有:159 PT细胞、MGC803细胞、HSC-6细胞

PC.3 Cells;背景说明:PC-3源于一位62岁白人男性IV级前列腺腺癌患者的骨转移灶;有低水平的酸性酶活性和5-α-睾酮还原酶活性。;传代方法:消化3-5分钟,1:2,3天内可长满;生长特性:贴壁生长,在软琼脂中成簇生长,并可悬浮生长;形态特性:上皮样;相关产品有:SK-NM-C细胞、AZ 521细胞、SK-NM-C细胞

DoTc2 Cells;背景说明:详见相关文献介绍;传代方法:1:2—1:3传代,每周换液2—3次;生长特性:贴壁生长 ;形态特性:上皮样;相关产品有:Hs 688(A).T细胞、FU-OV-1细胞、MV4:11细胞

H1755 Cells;背景说明:详见相关文献介绍;传代方法:1:2传代;生长特性:贴壁生长;形态特性:详见产品说明书;相关产品有:Panc_04_03细胞、ME180细胞、MDAPCa-2b细胞

6E-12 Cells(提供STR鉴定图谱)

ANA1 Cells;背景说明:详见相关文献介绍;传代方法:1:2传代;生长特性:悬浮生长;形态特性:详见产品说明书;相关产品有:C-127细胞、KBM7细胞、H-2081细胞

P-388D1 Cells;背景说明:详见相关文献介绍;传代方法:1:2-1:3传代;每周换液2-3次。;生长特性:悬浮;形态特性:详见产品说明书;相关产品有:OV1063细胞、L-Wnt3A细胞、Neuro 2a细胞

OVCAR-8/ADR Cells;背景说明:详见相关文献介绍;传代方法:1:2-1:3传代;每周换液2-3次。;生长特性:贴壁或悬浮,详见产品说明书部分;形态特性:详见产品说明书;相关产品有:Psi2 DAP细胞、MDAMB134VI细胞、X63-Ag8-653细胞

SK-N-SH Cells;背景说明:SK-N-SH细胞系由J.L.Bieder建系,它与SK-N-MC所不同的是倍增时间较长且多巴胺-β-羟基酶水平较高。 SK-N-SH在细胞介导的细胞毒性试验中用作靶细胞系。;传代方法:1:2传代;生长特性:悬浮生长;形态特性:上皮细胞样;相关产品有:Moorfields/Institute of Ophthalmology-Muller 1细胞、DMS-79细胞、STC-1细胞

MDAMB175 Cells;背景说明:该细胞源自一位54岁患有乳腺导管癌白人女性的胸腔积液。;传代方法:1:2—1:6传代,每周换液2—3次;生长特性:松散贴壁生长;形态特性:上皮细胞样;相关产品有:FCCH1018细胞、Reuber H-35细胞、H292细胞

C22 (Clara) Cells;背景说明:肺;上皮 Cells;传代方法:1:2-1:3传代;每周换液2-3次。;生长特性:贴壁;形态特性:详见产品说明书;相关产品有:EFM-192C细胞、HCC1833细胞、NCI/ADRRES细胞

C22 (Clara) Cells;背景说明:肺;上皮 Cells;传代方法:1:2-1:3传代;每周换液2-3次。;生长特性:贴壁;形态特性:详见产品说明书;相关产品有:EFM-192C细胞、HCC1833细胞、NCI/ADRRES细胞

SW-839 Cells;背景说明:详见相关文献介绍;传代方法:1:2传代;生长特性:贴壁生长 ;形态特性:详见产品说明书;相关产品有:OCILY19细胞、H-87细胞、Hi5细胞

GM10530 Cells(提供STR鉴定图谱)

HAP1 CD24 (-) 2 Cells(提供STR鉴定图谱)

COR-L 105 Cells;背景说明:详见相关文献介绍;传代方法:1:2-1:3传代;每周换液2-3次。;生长特性:贴壁或悬浮,详见产品说明书部分;形态特性:详见产品说明书;相关产品有:CHP212细胞、MDCKII细胞、HCCLM3细胞

CL40 Cells;背景说明:详见相关文献介绍;传代方法:1:2-1:3传代;每周换液2-3次。;生长特性:贴壁或悬浮,详见产品说明书部分;形态特性:详见产品说明书;相关产品有:HEK-293H细胞、Immortal Pig Intestinal-2I细胞、B16BL-6细胞

NCIH226 Cells;背景说明:1980年分离建立。;传代方法:1:2传代;生长特性:贴壁生长;形态特性:上皮细胞样;相关产品有:H-524细胞、LTPA细胞、COLO320DM细胞

Danio rerio Gill Cells;背景说明:背根神经 Cells;传代方法:1:2-1:3传代;每周换液2-3次。;生长特性:贴壁;形态特性:详见产品说明书;相关产品有:SKG-3a细胞、343MG细胞、FHs74Int细胞

KNS81 Cells;背景说明:详见相关文献介绍;传代方法:1:2传代;生长特性:贴壁生长;形态特性:上皮样;相关产品有:3T3-J2细胞、LS-513细胞、LUDLU 1细胞

H-522 Cells;背景说明:详见相关文献介绍;传代方法:1:3-1:6传代;每周换液2-3次。;生长特性:贴壁生长;形态特性:上皮样;相关产品有:HEK-293-F细胞、HTR8/SVneo细胞、H-1703细胞

PCI-SG231 Cells;背景说明:肝内胆管癌;男性;传代方法:1:2-1:3传代;每周换液2-3次。;生长特性:贴壁;形态特性:详见产品说明书;相关产品有:HT1376细胞、DU-145细胞、DF1细胞

MDA436 Cells;背景说明:该细胞源于一名43岁患有乳腺腺癌女性的胸腔积液。;传代方法:1:2传代,每周换液2—3次;生长特性:贴壁生长;形态特性:多角形;相关产品有:UMR106细胞、HCE-T细胞、Anip 973细胞

HG03844 Cells(提供STR鉴定图谱)

iKUF01 Cells(提供STR鉴定图谱)

LSTM-AS-44 Cells(提供STR鉴定图谱)

ND00939 Cells(提供STR鉴定图谱)

PC3-neo Cells(提供STR鉴定图谱)

TRF2 F/- Rosa26-CreERT2 Cells(提供STR鉴定图谱)

UKF-NB-3rBORTE20 Cells(提供STR鉴定图谱)

HAP1 STX2 (-) 4 Cells(提供STR鉴定图谱)

SUPB15 Cells;背景说明:详见相关文献介绍;传代方法:1:2传代。3天内可长满。;生长特性:悬浮生长;形态特性:淋巴母细胞;相关产品有:SN12C-PM6细胞、HRPEpiC细胞、A 2058细胞

HT-144 Cells;背景说明:详见相关文献介绍;传代方法:1:3-1:8传代,2-3天换液1次。;生长特性:贴壁生长;形态特性:成纤维细胞;相关产品有:RMC-1细胞、SU-DH-L5细胞、Line 522细胞

HPAF-I Cells;背景说明:详见相关文献介绍;传代方法:1:2-1:3传代;每周换液2-3次。;生长特性:贴壁或悬浮,详见产品说明书部分;形态特性:详见产品说明书;相关产品有:KM.12细胞、HC11 Mammary Epithelium细胞、Hs 832(C).T细胞

Hs-729-T Cells;背景说明:详见相关文献介绍;传代方法:1:2传代;每周换液2-3次。;生长特性:贴壁生长;形态特性:成纤维细胞;相关产品有:RPMI8226细胞、OCILY-10细胞、MM96L细胞

Panc_04_03 Cells;背景说明:详见相关文献介绍;传代方法:1:2传代;生长特性:贴壁生长;形态特性:上皮样;相关产品有:YD38细胞、J 111细胞、SNU-739细胞

PANC-08-13 Cells;背景说明:详见相关文献介绍;传代方法:1:2传代;生长特性:贴壁生长;形态特性:上皮样;相关产品有:SUM102细胞、JROECL21细胞、KYSE 150 KYSE150 Kyse150 KY150

细胞

Hs-729-T Cells;背景说明:详见相关文献介绍;传代方法:1:2传代;每周换液2-3次。;生长特性:贴壁生长;形态特性:成纤维细胞;相关产品有:RPMI8226细胞、OCILY-10细胞、MM96L细胞

DCS Cells;背景说明:树突状 Cells;传代方法:1:2-1:3传代;每周换液2-3次。;生长特性:贴壁;形态特性:详见产品说明书;相关产品有:GM16136细胞、KMS-26细胞、DU_145细胞

Y1 Cells;背景说明:详见相关文献介绍;传代方法:1:2-1:3传代;每周换液2-3次。;生长特性:贴壁或悬浮,详见产品说明书部分;形态特性:详见产品说明书;相关产品有:CaSki细胞、28SC细胞、LS-123细胞

OVCA-433 Cells;背景说明:卵巢癌;女性;传代方法:1:2-1:3传代;每周换液2-3次。;生长特性:贴壁;形态特性:详见产品说明书;相关产品有:HOS细胞、NCC-IT细胞、Bowes melanoma cells细胞

PANC-10-05 Cells;背景说明:详见相关文献介绍;传代方法:1:2传代;生长特性:贴壁生长;形态特性:上皮样;相关产品有:SNU-878细胞、TGBC11TKB细胞、B16 BL6细胞

Panc2.03 Cells;背景说明:详见相关文献介绍;传代方法:1:2传代;生长特性:贴壁生长;形态特性:上皮样;相关产品有:AMJ2-C8细胞、U266BL细胞、C 6细胞

Mono Mac 1 Cells;背景说明:急性单核细胞白血病;男性;传代方法:1:2-1:3传代;每周换液2-3次。;生长特性:悬浮;形态特性:详见产品说明书;相关产品有:BHP-10细胞、KE 37细胞、Leukemia 1210细胞

TF-1 Cells;背景说明:详见相关文献介绍;传代方法:维持细胞浓度在3×104-5×105 cells/ml;2-3天换液1次。;生长特性:悬浮生长;形态特性:淋巴母细胞样 ;相关产品有:Chang liver细胞、Alexander cells细胞、hTERT RPE1细胞

WC00079 Cells;背景说明:黑色素瘤;女性;传代方法:1:2-1:3传代;每周换液2-3次。;生长特性:贴壁;形态特性:详见产品说明书;相关产品有:A549ATCC细胞、MKN74细胞、D 407细胞

SCp2-Id-1B Cells(提供STR鉴定图谱)

BC-020 Cells;背景说明:详见相关文献介绍;传代方法:1:2-1:3传代;每周换液2-3次。;生长特性:贴壁或悬浮,详见产品说明书部分;形态特性:详见产品说明书;相关产品有:C-8161细胞、Vero E6细胞、B-16细胞

NCI-H196人小细胞肺癌细胞库|培养基|带STR图谱

RCS Cells;背景说明:软骨肉瘤;SD;传代方法:1:2-1:3传代;每周换液2-3次。;生长特性:贴壁;形态特性:详见产品说明书;相关产品有:A375细胞、GM17219细胞、PANC3.27细胞

ME16C Cells;背景说明:详见相关文献介绍;传代方法:1:2-1:3传代;每周换液2-3次。;生长特性:贴壁或悬浮,详见产品说明书部分;形态特性:详见产品说明书;相关产品有:NCI-H250细胞、Hs-611-T细胞、3T3J2细胞

MDA-MB436 Cells;背景说明:该细胞源于一名43岁患有乳腺腺癌女性的胸腔积液。;传代方法:1:2传代,每周换液2—3次;生长特性:贴壁生长;形态特性:多角形;相关产品有:LA-795细胞、X63Ag8.653细胞、Colon 38细胞

HK2 Cells;背景说明:该细胞属源于正常肾的近曲小管细胞,通过导入HPV-16 E6/E7基因而获得永生化。将含有HPV-16 E6/E7基因的重组的逆转录病毒载体pLXSN 16 E6/E7转染外生包装细胞Psi-2,Psi-2细胞产生的病毒再去感染兼嗜性包装细胞系PA317,最后将PA317产生的病毒颗粒导入正常的肾皮质近曲小管细胞。尽管pLXSN 16 E6/E7中含有新霉素抗性,但未用G418筛选转导克隆。Southern和FISH分析显示HK-2细胞来源于单克隆。PCR检测证实HK-2细胞基因组中含有E6/E7基因。;传代方法:1:4传代;2-3天换液1次;生长特性:贴壁生长;形态特性:上皮样;相关产品有:OCI-Ly 10细胞、2E8细胞、H-4-II-E细胞

HCC2218 Cells;背景说明:详见相关文献介绍;传代方法:每周换液2—3次;生长特性:悬浮生长;形态特性:上皮样;相关产品有:Hs 819.T细胞、rHSC-99细胞、HCC-78细胞

┈订┈购(技术服务)┈热┈线:1┈3┈6┈4┈1┈9┈3┈0┈7┈9┈1【微信同号】┈Q┈Q:3┈1┈8┈0┈8┈0┈7┈3┈2┈4;

Hs 606.T Cells;背景说明:详见相关文献介绍;传代方法:1:2—1:3传代,2—3天换液一次;生长特性:贴壁生长;形态特性:成纤维细胞;相关产品有:NCI-SNU-16细胞、TM3细胞、HDSMC细胞

NCIH1755 Cells;背景说明:详见相关文献介绍;传代方法:1:2传代;生长特性:贴壁生长;形态特性:详见产品说明书;相关产品有:FET细胞、RGM-1细胞、MILE SVEN1细胞

CTLA4Ig-24 Cells;背景说明:详见相关文献介绍;传代方法:1:2-1:3传代;每周换液2-3次。;生长特性:贴壁或悬浮,详见产品说明书部分;形态特性:详见产品说明书;相关产品有:HEK293-H细胞、NCTC-929细胞、A2008细胞

GP293 Cells;背景说明:详见相关文献介绍;传代方法:1:2-1:3传代;每周换液2-3次。;生长特性:贴壁或悬浮,详见产品说明书部分;形态特性:详见产品说明书;相关产品有:KU 812细胞、SJSA1细胞、T-47-D细胞

NE-4C Cells;背景说明:神经干 Cells;传代方法:1:2-1:3传代;每周换液2-3次。;生长特性:贴壁;形态特性:详见产品说明书;相关产品有:PK-136细胞、Lu-165细胞、R.K.13细胞

Mesothelial cells transfected with pRSV-T 5A Cells;背景说明:详见相关文献介绍;传代方法:1:2传代;生长特性:贴壁生长;形态特性:详见产品说明书;相关产品有:H128细胞、PANC-08-13细胞、MDAMB175细胞

NB.4 Cells;背景说明:详见相关文献介绍;传代方法:1:2传代;生长特性:贴壁生长;形态特性:详见产品说明书;相关产品有:Hs 840.T细胞、NCIH208细胞、HNTEC细胞

MonoMac 6 Cells;背景说明:详见相关文献介绍;传代方法:1:2传代;生长特性:悬浮生长;形态特性:淋巴母细胞;相关产品有:IPLB-SF-21细胞、Porcine Kidney-15细胞、293 F细胞

BayGenomics ES cell line RRI065 Cells(提供STR鉴定图谱)

BayGenomics ES cell line XH524 Cells(提供STR鉴定图谱)

ESC 98B27 Cells(提供STR鉴定图谱)

NC 14.9.10 Cells(提供STR鉴定图谱)

UL/F11 Cells(提供STR鉴定图谱)

MC3T3-E1 Subclone 17 Cells(提供STR鉴定图谱)

"



NCI-H196人小细胞肺癌细胞库|培养;复苏细胞系;细胞STR鉴定报告;细胞STR鉴定图谱;ATCC|DSMZ细胞库;

公司简介

公司提供ATCC、DSMZ、ECACC、NCI-DTP、RCB(Riken)等细胞系

成立日期 (9年)
注册资本 635万人民币
员工人数 50-100人
年营业额 ¥ 1亿以上
经营模式 贸易,工厂,服务
主营行业 细胞培养,细胞生物学,生物技术服务

NCI-H196人小细胞肺癌细胞库|培养基|带STR图谱相关厂家报价

  • NCI-H196
  • NCI-H196
  • 吉奥蓝图(广东)生命科学技术中心 VIP
  • 2026-04-17
  • 询价
内容声明
拨打电话 立即询价