基本信息 产品详情 公司简介 推荐产品
网站主页 化工产品目录 生物 细胞培养 细胞系 人细胞系 A-431(人表皮癌细胞) A-431人表皮癌细胞实验室|已有STR图谱
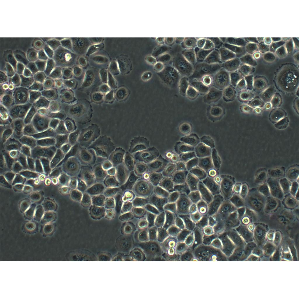
  • A-431人表皮癌细胞实验室|已有STR图谱

A-431人表皮癌细胞实验室|已有STR图谱

A-431
询价 1000000细胞数 起订
2000000细胞数 起订
上海 更新日期:2026-04-15

上海冠导生物工程有限公司

VIP6年
联系人:全经理
电话:18818239863拨打
邮箱:3171921642@qq.com

产品详情:

中文名称:
A-431人表皮癌细胞实验室|已有STR图谱
英文名称:
A-431
品牌:
ATCC\RCB等
产地:
国外
保存条件:
常温培养或液氮冻存
纯度规格:
A-431人表皮癌细胞实验室|已有STR图谱
产品类别:
化学试剂
种属:
详见产品资料
组织:
详见产品资料
细胞系:
详见产品资料
细胞形态:
详见产品资料
生长状态:
详见产品资料
靶点:
详见产品资料
应用:
详见产品资料

"A-431人表皮癌细胞实验室|已有STR图谱

传代比例:1:2-1:4(首次传代建议1:2)

生长特性:贴壁生长

Intestinal Porcine Epithelial Cell line-1 Cells;背景说明:小肠;上皮细胞;自发永生;传代方法:1:2-1:3传代;每周换液2-3次。;生长特性:贴壁;形态特性:详见产品说明书;相关产品有:OVCAR-5细胞、A-101D细胞、FCCH1018细胞

SNU878 Cells;背景说明:详见相关文献介绍;传代方法:1:2传代;生长特性:贴壁或悬浮,详见产品说明书部分;形态特性:详见产品说明书;相关产品有:L cell细胞、CMECs细胞、A-875细胞

NCIH1385 Cells;背景说明:详见相关文献介绍;传代方法:1:2-1:3传代;每周换液2-3次。;生长特性:贴壁或悬浮,详见产品说明书部分;形态特性:详见产品说明书;相关产品有:P 815细胞、NCI H345细胞、Kobe university Oral Squamous Cell culture-2细胞

细胞冻存复苏材料与方法步骤:常用的细胞冷冻贮存器为贮存器,规格有35L和50L两种。使用时要注意以下几点:(1)一般两周需充一次,至少一个月充一次。温度达-196℃,使用时注意勿让溅到皮肤上,以免引起冻伤。(2)容器为双层结构,中间为真空层,瓶口有双层焊接处,应防止焊接部裂开。(3)在装入时,要注意缓慢小心,并用厚纸卷筒或制漏斗作引导,使直达瓶底,如有专用灌注装置则更HAO。若为初次使用,加时更要缓慢,以免温度骤降而使容器损坏。细胞冻存时常备的材料有:0.25%胰蛋白酶,含10%~20%的血清培养,DMSO(分析纯)或无色新鲜甘油(121°C蒸气GAO压消毒),2mL安瓿(或专用细胞冻存管)、吸管、离心管、喷灯、纱布袋(或冻存管架)等。主要操作步骤为:(1)选择处于对数生长期的细胞,在冻存前一天ZuiHAO换。将多个培养瓶中的细胞培养 去掉,用0.25%胰蛋白酶消化。适时去掉胰蛋白酶,加入少量新培养。用吸管吸取培养反复吹打瓶壁上的细胞,使其成为均匀分散的细胞悬。悬浮生产细胞则不要消化处理。然后将细胞收集于离心管中离心(1000r/min,10分钟)。(2)去上清,加入含20%小牛血清的完全培养基,于4℃预冷15分钟后,逐滴加入已无菌的DMSO或甘油,用吸管轻轻吹打使细胞均匀,细胞浓度为3×106~1×107/mL之间。(3)将上述细胞分装于安瓿或专用冷冻塑料管中,安瓿装1~1.5mL在火焰喷灯上封口,封口处要完全封闭,圆滑无勾。冷冻管要将盖子盖紧,并标记HAO细胞名称和冻存日期,同时作HAO登记(日期、细胞种类及代次、冻存支数)。(4)将装HAO细胞的安瓿或冻存管装入沙布袋内;置于容器颈口处存放过夜,次日转入中。采用控制降温速度的方法也可采用下列步骤:先将安瓿置入4℃冰箱中2~3小时,再移至冰箱冷冻室内3~4小时,再吊入容器颈气态部分存放2小时,Zui后沉入中。细胞冻存在中可以长期保存,但为妥善起见,冻存半年后,ZuiHAO取出一只安瓿细胞复苏培养,观察生长情况,然后再继续冻存。

换液周期:每周2-3次

A-431人表皮癌细胞实验室|已有STR图谱

背景信息:该细胞源自一位患有皮肤鳞状细胞癌的85岁女性,是GiardDJ等人建立的一系列细胞株中的一株。该细胞在免疫抑制小鼠体内可成瘤,在琼脂上培养可形成克隆;是一个超三倍体人细胞株。

产品包装:复苏发货:T25培养瓶(一瓶)或冻存发货:1ml冻存管(两支)

细胞系的选择需要考虑到细胞系的功能特点、生长速率、铺板效率、生长条件和生长特征、克隆效率、培养方式等因素,如果您想高产量表达重组蛋白,您可以选择可以悬浮生长的快速生长细胞系。细胞培养的操作步骤主要包括传代、换液、冻存和复苏。这些步骤确保了细胞能够在实验室环境中长期存活并继续增殖。传代是将细胞从一个容器转移到另一个容器的过程,以扩大细胞数量;换液是为了清除代谢废物并补充新鲜培养基;冻存则是为了长期保存细胞,而复苏则是重新激活冷冻保存的细胞使其恢复正常生长。

来源说明:细胞主要来源ATCC、ECACC、DSMZ、RIKEN等细胞库

863.D4 Cells(提供STR鉴定图谱)

Scott and White No. 13 Cells;背景说明:详见相关文献介绍;传代方法:1:2-1:3传代;每周换液2-3次。;生长特性:贴壁或悬浮,详见产品说明书部分;形态特性:详见产品说明书;相关产品有:NCI-H735细胞、MCF-7ADR细胞、NCIH740细胞

C8D1A Cells;背景说明:该永生化细胞系源自出生8天小鼠小脑组织,由B Pessac, D Trisler建立。该细胞具有小神经胶质细胞特征。该细胞为GFAP阳性细胞,除此之外,没有检测到其它神经胶质神经元或小神经胶质细胞的分子标记。;传代方法:1:2传代;生长特性:贴壁生长 ;形态特性:详见产品说明书;相关产品有:NCIH1930细胞、HELA-GFP细胞、Dunn LM8细胞

IEC6 Cells;背景说明:详见相关文献介绍;传代方法:1:2传代;生长特性:贴壁生长;形态特性:上皮细胞样;相关产品有:HEK 293-EBNA细胞、COR-L23细胞、ME-180细胞

A-431人表皮癌细胞实验室|已有STR图谱

物种来源:人源、鼠源等其它物种来源

形态特性:上皮细胞样

可以这样说,对于需要消化传代的细胞,每一次的消化都是对这个细胞存活与否,状态HAO与不HAO至关重要的考验。很多同学都遇到过这个问题,自己养的细胞开始的几代长的还挺HAO的,可是穿过几代之后就发现自己的细胞不行了,状态越来越差劲了。对于这个问题,可以非常肯定地说,你的消化环节出问题了。你每一次的消化都让细胞受到较大损伤了。所以,越长越差。在消化的过程中,你加入胰酶后,所有细胞都在被胰酶消化着,但是我们忽视了一个问题就是,细胞的生长状态是不一样的,每一个细胞的贴壁情况也是不一样的,有的贴壁牢固,有的贴壁没有那么牢固的,所以,让所有的细胞消化同样的时间对细胞是不公平的,他们受到了差别待遇当然会有脾气的,大家争取做到因材施教,比如试试下面的“四步消化法”。(以难消化细胞为例),具体操作:1)首先不加胰酶,倒掉旧培养基加入少量新培养基洗1-2遍(目的是将漂浮着的死细胞之类尽量洗掉)。2)然后再加入少量新培养基直接吹打一遍,这一遍是把贴壁不牢固的细胞吹打下来。再用培养基洗一遍,两次所得悬混合传入新瓶。(你可以将这些传入新瓶培养,以与后面胰酶消化过的细胞对比观察看谁长的更HAO一点就知道该细胞对胰酶的敏感度了)3)吸干净瓶内剩余体,加入0.3ml左右的胰酶润洗一遍,吸掉弃之,再加入1ml左右的胰酶消化。消化的同时置于显微镜下观察,待细胞与细胞之间间隙明显的时候立即吸掉胰酶,加入新培养基开始吹打,吹打2-3遍后吸取悬于试管或新瓶暂存。用2ml左右新培养基洗一遍与前面的混合。(也可以传入新瓶培养,以与后面及前面的做对比)4)然后把前面刚吸出来的胰酶重新加进去瓶里继续消化剩余的贴壁牢固的细胞。当然你也可以用新的胰酶,如果你们那比较富裕的话,继续镜下观察,待剩余细胞间隙明显,细胞独立开来的时候,吸掉胰酶,加入新培养基吹打。悬传入新瓶培养(根据实际情况把握)。

SK Mel28 Cells;背景说明:详见相关文献介绍;传代方法:1:3-1:8传代,2-3天换液1次。;生长特性:贴壁生长;形态特性:星形的;相关产品有:USMC细胞、KU 812F细胞、RWPE-2细胞

624 MEL Cells;背景说明:黑色素瘤;男性;传代方法:1:2-1:3传代;每周换液2-3次。;生长特性:贴壁;形态特性:详见产品说明书;相关产品有:SNUC1细胞、CCD-841CoN细胞、COLO-684细胞

Line 207 Cells;背景说明:儿童急性髓系白血病;传代方法:1:2-1:3传代;每周换液2-3次。;生长特性:悬浮;形态特性:详见产品说明书;相关产品有:HCC1806细胞、BC-022细胞、U251-MG细胞

RCC10RGB Cells;背景说明:详见相关文献介绍;传代方法:1:2-1:3传代;每周换液2-3次。;生长特性:贴壁或悬浮,详见产品说明书部分;形态特性:详见产品说明书;相关产品有:PLA801-95C细胞、Michigan Cancer Foundation-10A细胞、MIO-M1细胞

SW579 Cells;背景说明:在裸鼠中成瘤(产生三级恶性纺锤状巨细胞瘤)。 ;传代方法:1:2传代;生长特性:贴壁生长;形态特性:上皮细胞样;相关产品有:Human ErythroLeukemia细胞、HS766T细胞、Ej138细胞

OV2008 Cells;背景说明:宫颈鳞癌;女性;传代方法:1:2-1:3传代;每周换液2-3次。;生长特性:贴壁;形态特性:详见产品说明书;相关产品有:NS1-Ag4/1细胞、HRC-99细胞、NCI-H727细胞

FET Cells;背景说明:结肠癌;传代方法:1:2-1:3传代;每周换液2-3次。;生长特性:贴壁;形态特性:详见产品说明书;相关产品有:CTLL-2细胞、N-Tera-2细胞、H-1563细胞

SNUC2A Cells;背景说明:详见相关文献介绍;传代方法:每周两次换液;生长特性:松散附着、多单元的聚合;形态特性:上皮细胞样;相关产品有:A 549细胞、Panc_02_03细胞、Michigan Cancer Foundation-12A细胞

Nakata-1 Cells;背景说明:详见相关文献介绍;传代方法:1:2-1:3传代;每周换液2-3次。;生长特性:贴壁生长;形态特性:上皮样;相关产品有:H2172细胞、JVM-2细胞、NCIADRRES细胞

DSL6A/C1 Cells;背景说明:胰腺癌;雄性;Lewis;传代方法:1:2-1:3传代;每周换液2-3次。;生长特性:贴壁;形态特性:详见产品说明书;相关产品有:HSC-4细胞、SW 900细胞、LK-2细胞

CAKI 2 Cells;背景说明:该细胞源自一位69岁白人男性的初期肾腺癌组织;传代方法:1:3—1:6传代,每周换液2—3次;生长特性:贴壁生长;形态特性:上皮细胞样;相关产品有:RPMI-6666细胞、BNL 1MEA.7R.1细胞、CHL/IU细胞

TE9 Cells;背景说明:详见相关文献介绍;传代方法:消化3-5分钟。1:2。3天内可长满。;生长特性:贴壁生长;形态特性:上皮样;相关产品有:GM03569细胞、NCIH838细胞、RPMI-6666细胞

Panc-1-P Cells;背景说明:这株人胰腺癌细胞株源自于胰腺癌导管细胞,其倍增时间为52小时。染色体研究表明,该细胞染色体众数为63,包括3个独特标记的染色体和1个小环状染色体。该细胞的生长可被1unit/ml的左旋天冬酰胺酶抑制;能在软琼脂上生长;能在裸鼠上成瘤。;传代方法:1:2-1:4传代;每周2-3次。;生长特性:贴壁生长;形态特性:上皮样;多角形;相关产品有:NCI-H460细胞、GM03570E细胞、PLA801-95D细胞

746T Cells;背景说明:详见相关文献介绍;传代方法:1:2-1:3传代;每周换液2-3次。;生长特性:贴壁或悬浮,详见产品说明书部分;形态特性:详见产品说明书;相关产品有:MNNG-HOS (Cl#5)细胞、PC3M-2B4细胞、VM-CUB1细胞

Stanford University-Diffuse Histiocytic Lymphoma-4 Cells;背景说明:详见相关文献介绍;传代方法:1:2-1:3传代;每周换液2-3次。;生长特性:悬浮;形态特性:淋巴母细胞;相关产品有:MDA-MB361细胞、SW-837细胞、Cloudman M3细胞

Michigan Cancer Foundation-12F Cells;背景说明:乳腺上皮细胞;女性;传代方法:1:2-1:3传代;每周换液2-3次。;生长特性:贴壁;形态特性:详见产品说明书;相关产品有:HBL 100细胞、HRCEC细胞、WM-2664细胞

SW1783 Cells;背景说明:间变性星形细胞瘤;男性;传代方法:1:2-1:3传代;每周换液2-3次。;生长特性:贴壁;形态特性:详见产品说明书;相关产品有:HCT-GEO细胞、HuH-1细胞、LNCaP-C4-2细胞

A-431人表皮癌细胞实验室|已有STR图谱

A431 siYAP Cells(提供STR鉴定图谱)

Abcam PC-3 KAT7 KO Cells(提供STR鉴定图谱)

B6.1.SF.1 Cells(提供STR鉴定图谱)

BayGenomics ES cell line RRR051 Cells(提供STR鉴定图谱)

BayGenomics ES cell line YHD015 Cells(提供STR鉴定图谱)

CENSOi057-B Cells(提供STR鉴定图谱)

DA01406 Cells(提供STR鉴定图谱)

EAGSB Cells(提供STR鉴定图谱)

GM04776 Cells(提供STR鉴定图谱)

OVCAR.5 Cells;背景说明:卵巢癌;腹水转移;女性;传代方法:1:2-1:3传代;每周换液2-3次。;生长特性:贴壁;形态特性:详见产品说明书;相关产品有:NCI-H2052细胞、LCLC103H细胞、NS1-Ag4细胞

COLO 357 Cells;背景说明:胰腺癌;女性;传代方法:1:2-1:3传代;每周换液2-3次。;生长特性:贴壁;形态特性:详见产品说明书;相关产品有:MB-49细胞、PC 61-5-3细胞、AR42J细胞

PCI-4B Cells;背景说明:喉鳞癌;淋巴结转移;男性;传代方法:1:2-1:3传代;每周换液2-3次。;生长特性:贴壁;形态特性:详见产品说明书;相关产品有:GDM-1细胞、NUGC4细胞、HUT125细胞

MT-2 Cells;背景说明:详见相关文献介绍;传代方法:1:2-1:3传代;生长特性:悬浮生长;形态特性:淋巴母细胞;相关产品有:Stanford University-Diffuse Histiocytic Lymphoma-16细胞、SKNO-1细胞、RPTEC TERT1细胞

HCC-1833 Cells;背景说明:详见相关文献介绍;传代方法:1:2-1:3传代;每周换液2-3次。;生长特性:贴壁或悬浮,详见产品说明书部分;形态特性:详见产品说明书;相关产品有:Menschliche Und Tierische Zellkulture-1细胞、Panc 5.04细胞、HOCF细胞

RLE-6TN Cells;背景说明:详见相关文献介绍;传代方法:1:2-1:3传代;每周换液2-3次。;生长特性:贴壁;形态特性:上皮细胞样;相关产品有:C3H10T1/2CL8细胞、U-251MG细胞、RWPE-1细胞

HK2 Cells;背景说明:该细胞属源于正常肾的近曲小管细胞,通过导入HPV-16 E6/E7基因而获得永生化。将含有HPV-16 E6/E7基因的重组的逆转录病毒载体pLXSN 16 E6/E7转染外生包装细胞Psi-2,Psi-2细胞产生的病毒再去感染兼嗜性包装细胞系PA317,最后将PA317产生的病毒颗粒导入正常的肾皮质近曲小管细胞。尽管pLXSN 16 E6/E7中含有新霉素抗性,但未用G418筛选转导克隆。Southern和FISH分析显示HK-2细胞来源于单克隆。PCR检测证实HK-2细胞基因组中含有E6/E7基因。;传代方法:1:4传代;2-3天换液1次;生长特性:贴壁生长;形态特性:上皮样;相关产品有:OCI-Ly 10细胞、2E8细胞、H-4-II-E细胞

LuCL4 Cells;背景说明:详见相关文献介绍;传代方法:1:2-1:3传代;每周换液2-3次。;生长特性:贴壁或悬浮,详见产品说明书部分;形态特性:详见产品说明书;相关产品有:CD 18细胞、BC-025细胞、Baby Hamster Kidney 21细胞

CCD966SK Cells;背景说明:详见相关文献介绍;传代方法:1:2-1:3传代;每周换液2-3次。;生长特性:贴壁或悬浮,详见产品说明书部分;形态特性:详见产品说明书;相关产品有:KYSE-150细胞、Hs821T细胞、YD38细胞

CAL 148 Cells;背景说明:乳腺癌;胸腔积液转移;女性;传代方法:1:2-1:3传代;每周换液2-3次。;生长特性:贴壁;形态特性:详见产品说明书;相关产品有:TPC-1细胞、SNK-1细胞、HRA-19细胞

D-341Med Cells;背景说明:详见相关文献介绍;传代方法:每周换液2-3次。;生长特性:悬浮生长;形态特性:髓母细胞样;相关产品有:MT2细胞、hTERT-HPNE细胞、RPMI #8226细胞

Hk-2 Cells;背景说明:该细胞属源于正常肾的近曲小管细胞,通过导入HPV-16 E6/E7基因而获得永生化。将含有HPV-16 E6/E7基因的重组的逆转录病毒载体pLXSN 16 E6/E7转染外生包装细胞Psi-2,Psi-2细胞产生的病毒再去感染兼嗜性包装细胞系PA317,最后将PA317产生的病毒颗粒导入正常的肾皮质近曲小管细胞。尽管pLXSN 16 E6/E7中含有新霉素抗性,但未用G418筛选转导克隆。Southern和FISH分析显示HK-2细胞来源于单克隆。PCR检测证实HK-2细胞基因组中含有E6/E7基因。;传代方法:1:4传代;2-3天换液1次;生长特性:贴壁生长;形态特性:上皮样;相关产品有:B5537SKIN细胞、BT20细胞、PC-10细胞

TALL1 Cells;背景说明:该细胞源于一名复发T-ALL(急性T淋巴细胞性白血病)的儿童的外周血;具有很强的细胞毒性,体内体外实验中都能破坏肿瘤细胞;IL-2可使细胞更好地生长;α/β TCR阳性,γ/δ TCR阴性;可产生IFNγ、TNF-α和GM-CSF。;传代方法:维持细胞密度在4×105-1×106 cells/ml之间,2-3天换液1次 ;生长特性:悬浮生长;形态特性:淋巴母细胞;相关产品有:VERO76细胞、293-H细胞、SHZ-88细胞

32D clone 3 Cells;背景说明:骨髓淋巴瘤;C3H/HeJ;传代方法:1:2-1:3传代;每周换液2-3次。;生长特性:悬浮;形态特性:详见产品说明书;相关产品有:A875细胞、MDA231-LM2细胞、N-9细胞

H-596 Cells;背景说明:详见相关文献介绍;传代方法:1:4-1:8传代;每周换液2-3次。;生长特性:贴壁生长;形态特性:上皮样;相关产品有:H-661细胞、CAL62细胞、Tb1Lu细胞

GM50101 Cells(提供STR鉴定图谱)

HAP1 PIAS1 (-) Cells(提供STR鉴定图谱)

R3/1 Cells;背景说明:肺;Ⅰ 型上皮 Cells;传代方法:1:2-1:3传代;每周换液2-3次。;生长特性:贴壁;形态特性:详见产品说明书;相关产品有:JS1细胞、NK-10A细胞、HSC2细胞

WM115-mel Cells;背景说明:黑色素瘤;女性;传代方法:1:2-1:3传代;每周换液2-3次。;生长特性:贴壁;形态特性:详见产品说明书;相关产品有:L-Wnt3A细胞、SK-MES1细胞、Pt K1细胞

LO2 Cells;背景说明:详见相关文献介绍;传代方法:1:2-1:3传代;每周换液2-3次。;生长特性:贴壁或悬浮,详见产品说明书部分;形态特性:详见产品说明书;相关产品有:IOSE 29细胞、NR 8383细胞、Hs 695T细胞

SW 626 Cells;背景说明:卵巢癌;传代方法:1:2-1:3传代;每周换液2-3次。;生长特性:贴壁;形态特性:详见产品说明书;相关产品有:LC-1/sq细胞、HK-2 [Human kidney]细胞、159 PT细胞

CAL39 Cells;背景说明:外阴鳞癌细胞;女性;传代方法:1:2-1:3传代;每周换液2-3次。;生长特性:贴壁;形态特性:详见产品说明书;相关产品有:SK-UT-1细胞、RBE细胞、BT-20细胞

MZCRC1 Cells;背景说明:甲状腺髓样癌;女性;传代方法:1:2-1:3传代;每周换液2-3次。;生长特性:贴壁;形态特性:详见产品说明书;相关产品有:PNT-1A细胞、YD15细胞、HLF-a细胞

KYSE 140 Cells;背景说明:食管鳞癌细胞;男性;传代方法:1:2-1:3传代;每周换液2-3次。;生长特性:贴壁;形态特性:详见产品说明书;相关产品有:KU19-19细胞、SG231细胞、LC1/Sq细胞

JB-6 Cells;背景说明:表皮;自发永生;BALB/c;传代方法:1:2-1:3传代;每周换液2-3次。;生长特性:贴壁;形态特性:详见产品说明书;相关产品有:H322细胞、NCIH740细胞、COLO 824细胞

HSF-PI 18 Cells(提供STR鉴定图谱)

KOPN-67 Cells(提供STR鉴定图谱)

MoOV-14 Cells(提供STR鉴定图谱)

NYSCF-10005-470-470-Skin-mR-iPSC Cells(提供STR鉴定图谱)

RG-79 Cells(提供STR鉴定图谱)

Ubigene HCT 116 CAMK1 KO Cells(提供STR鉴定图谱)

VMRC-LCF Cells(提供STR鉴定图谱)

HG02003 Cells(提供STR鉴定图谱)

NRK 49F Cells;背景说明:肾;成纤维细胞;自发永生;传代方法:1:2-1:3传代;每周换液2-3次。;生长特性:贴壁;形态特性:详见产品说明书;相关产品有:MCA205细胞、YAC-1细胞、T-CAM2细胞

HCC44 Cells;背景说明:详见相关文献介绍;传代方法:1:2-1:3传代;每周换液2-3次。;生长特性:贴壁或悬浮,详见产品说明书部分;形态特性:详见产品说明书;相关产品有:NCIH358细胞、SF295细胞、ME1细胞

HCC-1438 Cells;背景说明:详见相关文献介绍;传代方法:1:2-1:3传代;每周换液2-3次。;生长特性:贴壁或悬浮,详见产品说明书部分;形态特性:详见产品说明书;相关产品有:LN229细胞、PA I细胞、BpRcl细胞

MGC-803 Cells;背景说明:1980年建系,人胃癌低分化黏液腺癌组织小块用RPMI-1640培养液培养4天细胞开始生长,首次传代8日。免疫抑制的Wistar雄幼大鼠皮下移植成功。;传代方法:1:3传代,2-3天换液一次;生长特性:贴壁生长;形态特性:上皮样;相关产品有:NMC-G1细胞、Leukemic 1210细胞、SKMEL-24细胞

RERFLCMS Cells;背景说明:详见相关文献介绍;传代方法:每周换液2次。;生长特性:贴壁生长;形态特性:上皮细胞样;相关产品有:DI TNC-1细胞、Murine Leydig Tumor Cell line-1细胞、CV-1 in Origin Simian-1细胞

RERFLCMS Cells;背景说明:详见相关文献介绍;传代方法:每周换液2次。;生长特性:贴壁生长;形态特性:上皮细胞样;相关产品有:DI TNC-1细胞、Murine Leydig Tumor Cell line-1细胞、CV-1 in Origin Simian-1细胞

Centre Antoine Lacassagne-62 Cells;背景说明:详见相关文献介绍;传代方法:1:2-1:3传代;每周换液2-3次。;生长特性:贴壁或悬浮,详见产品说明书部分;形态特性:详见产品说明书;相关产品有:MESSA细胞、IHC-ST1细胞、CEM-CCRF (CAMR)细胞

Hs 742.T Cells;背景说明:详见相关文献介绍;传代方法:1:2—1:4传代,每周换液2—3次;生长特性:贴壁生长;形态特性:成纤维细胞;相关产品有:High5细胞、H-1435细胞、B16 subline B78细胞

HSKMC Cells;背景说明:骨骼肌;传代方法:1:2-1:3传代;每周换液2-3次。;生长特性:贴壁;形态特性:详见产品说明书;相关产品有:C8166-CD4细胞、MD Anderson-Metastatic Breast-157细胞、SIRC细胞

NCIH1581 Cells;背景说明:详见相关文献介绍;传代方法:每周换液2次。;生长特性:混合型;形态特性:上皮样;相关产品有:H-125细胞、EB-2细胞、Soleus clone 8细胞

RERF-LC-MS Cells;背景说明:详见相关文献介绍;传代方法:每周换液2次。;生长特性:贴壁生长;形态特性:上皮细胞样;相关产品有:NH6细胞、H-211细胞、RBL-I细胞

RERFLCMS Cells;背景说明:详见相关文献介绍;传代方法:每周换液2次。;生长特性:贴壁生长;形态特性:上皮细胞样;相关产品有:DI TNC-1细胞、Murine Leydig Tumor Cell line-1细胞、CV-1 in Origin Simian-1细胞

NP69 Cells;背景说明:鼻咽;上皮细胞;SV40转化;传代方法:1:2-1:3传代;每周换液2-3次。;生长特性:贴壁;形态特性:详见产品说明书;相关产品有:H-2023细胞、LM(TK-)细胞、NCI-H1573细胞

BPH-1 Cells;背景说明:良性前列腺增生;男性;传代方法:1:2-1:3传代;每周换液2-3次。;生长特性:贴壁;形态特性:详见产品说明书;相关产品有:H711细胞、HEK;293细胞、Hs-746T细胞

H1568 Cells;背景说明:详见相关文献介绍;传代方法:1:3-1:6传代;每周换液2-3次。;生长特性:贴壁或悬浮,详见产品说明书部分;形态特性:详见产品说明书;相关产品有:MSTO-211细胞、NCIH1694细胞、H-676细胞

Sua5B wMel+ Cells(提供STR鉴定图谱)

UMUC-3 Cells;背景说明:详见相关文献介绍;传代方法:1:2传代;生长特性:贴壁生长;形态特性:上皮细胞样;相关产品有:P388D1细胞、Psi-2 DAP细胞、MOLT 16细胞

A-431人表皮癌细胞实验室|已有STR图谱

F98 Cells;背景说明:恶性胶质瘤;雌性;Fischer大鼠;传代方法:1:2-1:3传代;每周换液2-3次。;生长特性:贴壁;形态特性:详见产品说明书;相关产品有:MC-CAR细胞、YES 2细胞、YAC-1细胞

NCI-H522 Cells;背景说明:详见相关文献介绍;传代方法:1:3-1:6传代;每周换液2-3次。;生长特性:贴壁生长;形态特性:上皮样;相关产品有:SJCRH30细胞、RIN-m 14B细胞、H2170细胞

Y3-Ag123 Cells;背景说明:详见相关文献介绍;传代方法:1:2-1:3传代;每周换液2-3次。;生长特性:贴壁或悬浮,详见产品说明书部分;形态特性:详见产品说明书;相关产品有:C4-1细胞、SK RC 20细胞、Hep-G2/C3A细胞

SW 1088 Cells;背景说明:星形胶质瘤;男性;传代方法:1:2-1:3传代;每周换液2-3次。;生长特性:贴壁;形态特性:详见产品说明书;相关产品有:NTera2/D1细胞、Hs888T细胞、ECV 304细胞

Capan-2 Cells;背景说明:详见相关文献介绍;传代方法:1:2-1:4传代,2-3天换液1次。;生长特性:贴壁生长;形态特性:多边形;相关产品有:H-1341细胞、NOR 10细胞、NG10815细胞

OV433 Cells;背景说明:卵巢癌;女性;传代方法:1:2-1:3传代;每周换液2-3次。;生长特性:贴壁;形态特性:详见产品说明书;相关产品有:HMO6细胞、SH-SY5Y细胞、RSC96细胞

NCIH1781 Cells;背景说明:详见相关文献介绍;传代方法:1:2-1:3传代;每周换液2-3次。;生长特性:贴壁或悬浮,详见产品说明书部分;形态特性:详见产品说明书;相关产品有:Jijoye细胞、NRK52E细胞、Sarcoma OSteogenic-2细胞

MIN6 Cells;背景说明:详见相关文献介绍;传代方法:1:2传代;生长特性:贴壁生长;形态特性:详见产品说明书;相关产品有:NCIH1568细胞、10RGB细胞、LS 123细胞

GM03573 Cells;背景说明:这是P3X63Ag8(ATCCTIB-9)的一个不分泌克隆。Kappa链合成了但不分泌。能抗0.1mM8-氮杂鸟嘌呤但不能在HAT培养基中生长。据报道它是由于缺失了3-酮类固醇还原酶活性的胆固醇营养缺陷型。检测表明肢骨发育畸形病毒(鼠痘)阴性。;传代方法:1:2传代,3天内可长满。;生长特性:悬浮生长;形态特性:淋巴母细胞;相关产品有:L5178Y TK+/-3.7.2c细胞、U373细胞、LICR-HN-6细胞

Astrocyte type I clone Cells;背景说明:该永生化细胞系源自出生8天小鼠小脑组织,由B Pessac, D Trisler建立。该细胞具有小神经胶质细胞特征。该细胞为GFAP阳性细胞,除此之外,没有检测到其它神经胶质神经元或小神经胶质细胞的分子标记。;传代方法:1:2传代;生长特性:贴壁生长 ;形态特性:详见产品说明书;相关产品有:NCI-SNU-1细胞、Mo 59J细胞、OCM1A细胞

MDA.MB.231 Cells;背景说明:MDA-MB-231来自患有转移乳腺腺癌的51岁女病人的胸水。在裸鼠和ALS处理的BALB/c小鼠中,它能形成低分化腺癌(III级)。;传代方法:消化3-5分钟,1:2,3天内可长满;生长特性:贴壁生长;形态特性:上皮样;相关产品有:PANC 203细胞、E.L.4细胞、MV(4;11)细胞

HCT-15 Cells;背景说明:详见相关文献介绍;传代方法:1:2-1:3传代;每周换液2-3次。;生长特性:贴壁或悬浮,详见产品说明书部分;形态特性:详见产品说明书;相关产品有:IHC-ST1细胞、OSC19细胞、CHL1细胞

Hs822T Cells;背景说明:详见相关文献介绍;传代方法:1:2-1:4传代;每周换液2-3次。;生长特性:贴壁生长;形态特性:上皮样;相关产品有:FL 62891细胞、RC-K8细胞、S.B.细胞

BayGenomics ES cell line CSH045 Cells(提供STR鉴定图谱)

BayGenomics ES cell line RRU416 Cells(提供STR鉴定图谱)

BBG-42 Cells(提供STR鉴定图谱)

Keck MirKO ES cell line Mirc26 Cells(提供STR鉴定图谱)

PCRP-ZNF324-1B7 Cells(提供STR鉴定图谱)

ND27 Cells(提供STR鉴定图谱)

"



A-431人表皮癌细胞实验室|已有STR;传代细胞;复苏细胞;实验细胞;科研细胞;

公司简介

上海冠导生物工程有限公司,先后从ATCC、DSMZ、ECACC、RIKEN、PromoCell、ScienCell、JCRB等国内外细胞库引进细胞2000余株。以此为契机,公司组建了冠导细胞库,我司细胞均由资深细胞培养工程师进行培养。我司可以提供的细胞有:①细胞系②原代细胞③稳转株④耐药株⑤标记细胞⑥细胞配套试剂等。

成立日期 (11年)
注册资本 100万(元)
员工人数 50-100人
年营业额 ¥ 1000万-5000万
经营模式 工厂,试剂,定制,服务
主营行业 细胞培养,微生物学,细胞生物学

A-431人表皮癌细胞实验室|已有STR图谱相关厂家报价 更多

  • A431
  • A431
  • 吉奥蓝图(广东)生命科学技术中心 VIP
  • 2026-04-15
  • ¥9999
内容声明
拨打电话 立即询价