基本信息 产品详情 公司简介 推荐产品
网站主页 化工产品目录 生物 细胞培养 细胞系 人细胞系 Caco-2细胞 (人结直肠腺癌细胞) Caco-2人结直肠腺癌细胞实验室|已有STR图谱
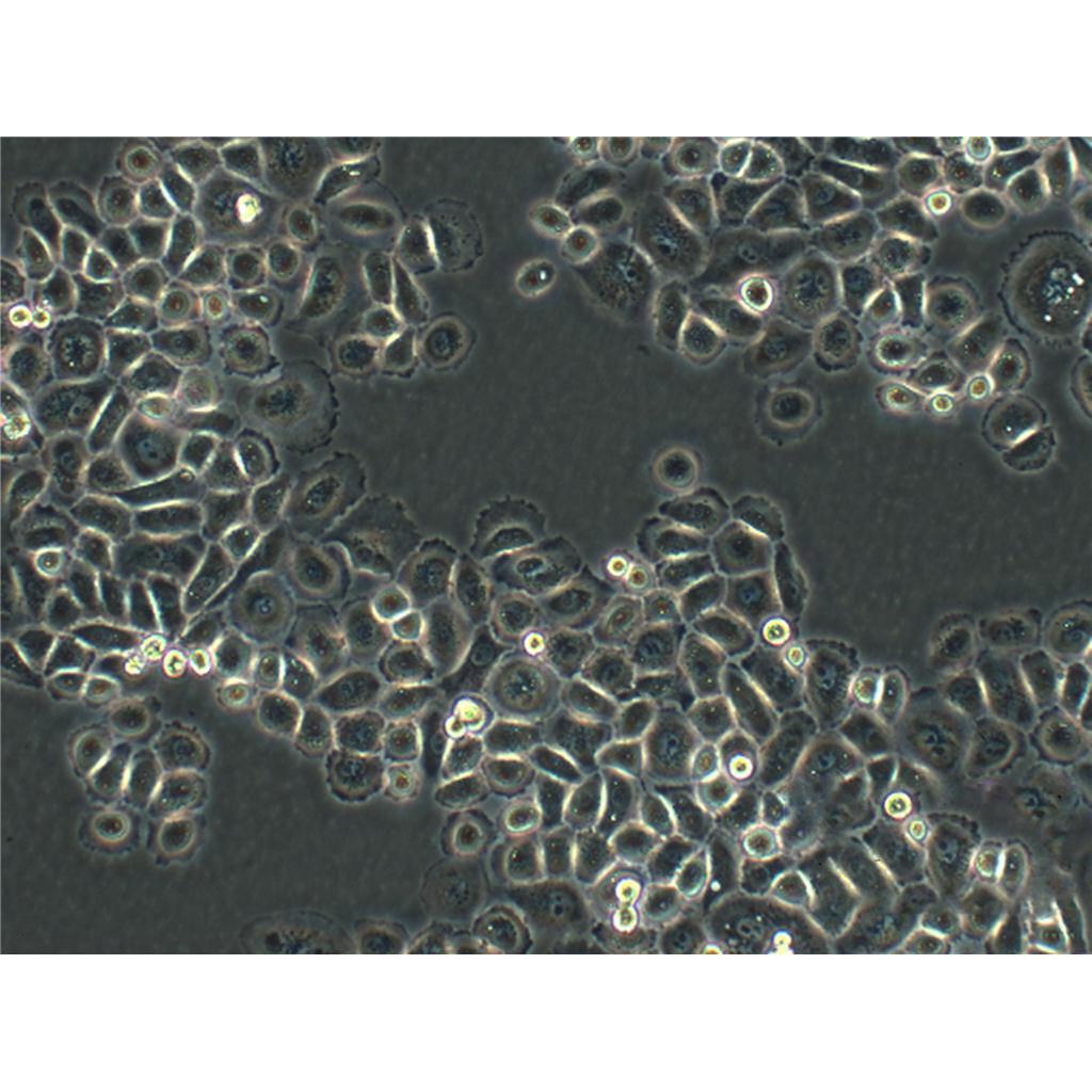
  • Caco-2人结直肠腺癌细胞实验室|已有STR图谱

Caco-2人结直肠腺癌细胞实验室|已有STR图谱

Caco-2
询价 1000000细胞数 起订
2000000细胞数 起订
上海 更新日期:2026-04-13

上海冠导生物工程有限公司

VIP6年
联系人:全经理
电话:18818239863拨打
邮箱:3171921642@qq.com

产品详情:

中文名称:
Caco-2人结直肠腺癌细胞实验室|已有STR图谱
英文名称:
Caco-2
品牌:
ATCC\RCB等
产地:
国外
保存条件:
常温培养或液氮冻存
纯度规格:
Caco-2人结直肠腺癌细胞实验室|已有STR图谱
产品类别:
化学试剂
种属:
详见产品资料
组织:
详见产品资料
细胞系:
详见产品资料
细胞形态:
详见产品资料
生长状态:
详见产品资料
靶点:
详见产品资料
应用:
详见产品资料

"Caco-2人结直肠腺癌细胞实验室|已有STR图谱

传代比例:1:2-1:4(首次传代建议1:2)

生长特性:贴壁生长

CHP 126 Cells;背景说明:详见相关文献介绍;传代方法:1:2-1:3传代;每周换液2-3次。;生长特性:贴壁或悬浮,详见产品说明书部分;形态特性:详见产品说明书;相关产品有:H-23细胞、OVCAR.3细胞、Cates-1B细胞

SK-N-BE-2 Cells;背景说明:1972年11月从一们多次化疗及放疗的扩散性神经母细胞瘤患儿骨髓穿刺物中建立了SK-N-BE(2)神经母细胞瘤细胞株。 该细胞显示中等水平的多巴胺-β-羟基酶活性。 有报道称SK-N-BE(2)细胞的饱和浓度超过1x106细胞/平方厘米。细胞形态多样,有的有长突触,有的呈上皮细胞样。 细胞会聚集,形成团块并浮起;传代方法:1:2传代;生长特性:贴壁生长;形态特性:上皮细胞样;相关产品有:ID8/MOSEC细胞、BpRc1细胞、SK-CO-1细胞

NG 108-15 Cells;背景说明:详见相关文献介绍;传代方法:1:2-1:3传代;每周换液2-3次。;生长特性:贴壁或悬浮,详见产品说明书部分;形态特性:详见产品说明书;相关产品有:GM03569B细胞、MDA-MB-436细胞、A431细胞

细胞复苏相关注意事项:1.取细胞的过程中注意带HAO防冻手套,护目镜。此项尤为重要,细胞冻存管可能漏入,解冻时冻存管中的气温急剧上升,可导致爆炸。2.冻存的问题:冻存的配置已是常识,在这里不作详述,但二甲基亚砜(DMSO )对细胞不是完全无毒副作用,在常温下,二甲基亚砜对细胞的毒副作较大,因此,必须在1-2min内使冻存完全融化。如果复苏温度太慢,会造成细胞的损伤,二甲基亚砜(DMSO)ZuiHAO选择进口产品。3.离心前须加入少量培养。细胞解冻后二甲基亚砜浓度较GAO,注意加入少量培养可稀释其浓度,以减少对细胞的损伤。4.离心问题:目前主要有两种见解。一种是解冻后的细胞悬直接吹打均匀后分装到培养瓶中进行培养,第二天换。因为离心的目的是两个,去除DMSO,去除死细胞,这个是标准流程,但对一般人来说,把握不HAO离心转速和时间,转的不够活细胞沉底的少,细胞就全被扔掉了,转过了活细胞会受压过大,死亡。此外在操作过程中容易污染,所以不推荐。另一种说法为细胞悬中含有二甲基亚砜(DMSO),DMSO对细胞有一定的毒副作用,所以须将离心后的体前倒净,且一定倒干净。我在试验中按照常规的离心分装的方法进行复苏,结果无异常。5.细胞贴壁少的问题:教科书中说明冻存细胞解冻时1ml细胞要加10ml-15ml培养,而在我的试验中的经验总结为培养基越少细胞越容易贴附。6.复苏细胞分装的问题:试验中我的经验总结为复苏1管细胞一般可分装到1-2只培养瓶中,分装过多,细胞浓度过低,不利于细胞的贴壁。7.加培养基的量放入问题:这个量的多少的把握主要涉及到的问题DMSO的浓度,从如果你加培养基的太少,那么DMSO的浓度就会比较大,就会影响细胞生长,从以前的资料来看,DMSO的浓度在小于0.5%的时候对一般细胞没有什么影响,还有一个说法是1%。所以如果你的冻存的浓度是10%DMSO的话那么加10ml以上的培养基就恰HAO稀释到了无害浓度。

换液周期:每周2-3次

Caco-2人结直肠腺癌细胞实验室|已有STR图谱

背景信息:细胞株分离自一个原发性结肠癌。当细胞长满时,表现出典型的肠细胞分化的特征。Caco-2细胞表达维生素A结合蛋白I和视黄醇结合蛋白II,角蛋白阳性。

产品包装:复苏发货:T25培养瓶(一瓶)或冻存发货:1ml冻存管(两支)

【细胞培养经验分享】启蒙老师的重要性:一般进实验室都有师兄师姐带着做,他们就是你做细胞的启蒙老师。他们的操作手法、细节、理论讲解就成了你操作的准则,如营养液、细胞瓶的摆放位置、灭菌处理程序、开盖手法、细胞吹打手法等等。要学会他们的正确操作,在第一次的时候就要重视。像养孩子一样养细胞,细胞有时真的很脆弱,最好每天都去看看它,以防止出现培养箱缺水、缺二氧化碳、停电、温度不够等异常现象,也好及时解决这些意外,避免重复实验带来的更大痛苦。好细胞要及时保种:细胞要分批传代,这样即使有一批出了问题,还有一批备用的。像后者一般人可能不容易做到。但这是我血的教训,有一次细胞污染了,全军覆没。当时可后悔没有保种。细胞跟人一样,不同的细胞,培养特性是不一样的。培养过程中要细细体会,不同细胞系使用不同的培养基和血清。

来源说明:细胞主要来源ATCC、ECACC、DSMZ、RIKEN等细胞库

AFRC MAC 160 Cells(提供STR鉴定图谱)

S37 Cells;背景说明:肉瘤 Cells;传代方法:1:2-1:3传代;每周换液2-3次。;生长特性:贴壁;形态特性:详见产品说明书;相关产品有:HBE135-E6E7细胞、Jurkat, Clone E6-1细胞、NCIH716细胞

PA I Cells;背景说明:详见相关文献介绍;传代方法:1:4-1:10传代;每周2-3次。 ;生长特性:贴壁生长;形态特性:上皮细胞;相关产品有:GM00637H细胞、P3J.HR1K细胞、EU-2细胞

Panc-327 Cells;背景说明:详见相关文献介绍;传代方法:1:2传代;生长特性:贴壁生长;形态特性:上皮样;相关产品有:HCEC-12细胞、SN12C细胞、SNU-C2B细胞

Caco-2人结直肠腺癌细胞实验室|已有STR图谱

物种来源:人源、鼠源等其它物种来源

形态特性:上皮细胞样

贴壁细胞传代实验准备事项:将15mL离心管、25细胞培养瓶、PBS缓冲、移管、电动移器等物品提前放入生物安全柜中,紫外照射30min消毒灭菌;细胞完全培养基、0.25%胰酶-0.02%EDA从4℃冰箱中取出后,复温至室温,备用。贴壁细胞传代实验步骤:将准备HAO的培养基等物品用酒精消毒后放入安全柜中;从培养箱中取出待处理的细胞,在显微镜下观察细胞状态;用酒精消毒培养瓶,放入安全柜中;轻轻吸去细胞上清;加入2~3ml(PBS缓冲)润洗一次,吸去上清;加入1mL(0.25%胰酶-0.02%EDA),轻轻晃匀、覆盖所有细胞后,置于37℃培养箱静置消化;消化1min左右,在显微镜下观察细胞消化情况;消化完全后,加3ml完全培养基终止;按比例将细胞悬分装至培养瓶中;在显微镜下观察传代后的细胞密度及状态;将培养瓶放入培养箱中培养。注意事项:培养过程中需维持细胞处于对数生长期,80%左右即可传代,传代比例请参照说明书建议;消化时间不宜过长,大部分细胞回缩变圆并有少量细胞脱落即可中止消化,难消化的细胞可分次消化,每次时间不超过5min;培养过程中需要定期换,一般细胞建议2~3天换一次。

BC-025 Cells;背景说明:详见相关文献介绍;传代方法:1:2-1:3传代;每周换液2-3次。;生长特性:贴壁或悬浮,详见产品说明书部分;形态特性:详见产品说明书;相关产品有:Ramos G6.C10细胞、Human Microglia Clone 3细胞、NCI-H748细胞

NOR10 Cells;背景说明:详见相关文献介绍;传代方法:1:2-1:3传代;每周换液2-3次。;生长特性:贴壁或悬浮,详见产品说明书部分;形态特性:详见产品说明书;相关产品有:NCI-SNU-387细胞、SL-29细胞、UM-UC14细胞

P3X63NS1 Cells;背景说明:这是P3X63Ag8(ATCCTIB-9)的一个不分泌克隆。Kappa链合成了但不分泌。能抗0.1mM8-氮杂鸟嘌呤但不能在HAT培养基中生长。据报道它是由于缺失了3-酮类固醇还原酶活性的胆固醇营养缺陷型。检测表明肢骨发育畸形病毒(鼠痘)阴性。;传代方法:1:2传代,3天内可长满。;生长特性:悬浮生长;形态特性:淋巴母细胞;相关产品有:KYSE 30细胞、RSC 96细胞、VP 267细胞

MKN28 Cells;背景说明:详见相关文献介绍;传代方法:1:2-1:3传代;每周换液2-3次。;生长特性:贴壁或悬浮,详见产品说明书部分;形态特性:详见产品说明书;相关产品有:TOV112细胞、D324细胞、SKLU1细胞

A-704 Cells;背景说明:详见相关文献介绍;传代方法:1:3—1:4传代,每周换液2-3次;生长特性:贴壁生长;形态特性:上皮细胞样;相关产品有:CEM C7细胞、HCV29细胞、NCI-H676B细胞

Nb-2 Cells;背景说明:恶性淋巴瘤;雄性;Nb;传代方法:1:2-1:3传代;每周换液2-3次。;生长特性:悬浮;形态特性:详见产品说明书;相关产品有:C666-1细胞、SK MEL 5细胞、CL40细胞

SW 954 Cells;背景说明:详见相关文献介绍;传代方法:1:3-1:6传代,2-3天换液1次。;生长特性:贴壁生长;形态特性:上皮细胞;相关产品有:A375-S2细胞、Mel526细胞、SUIT 2细胞

H2.35 Cells;背景说明:肝;SV40转化;雌性;BALB/c;传代方法:1:2-1:3传代;每周换液2-3次。;生长特性:贴壁;形态特性:详见产品说明书;相关产品有:LNT-229细胞、CCD1112Sk细胞、Karpas 299细胞

AD293 Cells;背景说明:详见相关文献介绍;传代方法:1:2传代;生长特性:贴壁生长;形态特性:详见产品说明书;相关产品有:T-T细胞、MV4:11细胞、ID8/MOSEC细胞

NCIH1623 Cells;背景说明:详见相关文献介绍;传代方法:每周换液2-3次。;生长特性:贴壁生长;形态特性:详见产品说明书;相关产品有:MRC5细胞、PLA801-95D细胞、HRA19细胞

MUGCHOR1 Cells;背景说明:骶骨脊索瘤;女性;传代方法:1:2-1:3传代;每周换液2-3次。;生长特性:贴壁;形态特性:详见产品说明书;相关产品有:no.11细胞、HCCC-9810细胞、WIL2S细胞

WEHI 3 Cells;背景说明:白血病;BALB/c;传代方法:1:2-1:3传代;每周换液2-3次。;生长特性:悬浮;形态特性:详见产品说明书;相关产品有:NCI-H292细胞、Hs27F细胞、Clone 15 HL-60细胞

HEL-92 Cells;背景说明:详见相关文献介绍;传代方法:每周2-3次。;生长特性:悬浮生长;形态特性:成淋巴细胞;相关产品有:Hs 737.T细胞、NCIH1184细胞、PT-K75细胞

IMR90 Cells;背景说明:W.W. Nichols及其同事从一位16周女婴的肺中取材,建立了人二倍体成纤维细胞株IMR-90。分裂潜能,病毒感受性和其它性质都得到了充分研究,因而这株细胞可以作为WI-38或其它标准人肺细胞株的替代株。有报道称这株细胞在表现出衰老前可倍增58次。;传代方法:1:2传代;生长特性:贴壁生长 ;形态特性:详见产品说明书;相关产品有:Natural Killer-92细胞、Line 522细胞、COLO684细胞

Michigan Cancer Foundation-12A Cells;背景说明:非致瘤性乳腺上皮细胞;女性;传代方法:1:2-1:3传代;每周换液2-3次。;生长特性:贴壁;形态特性:详见产品说明书;相关产品有:NBL-12细胞、HSC/mHSC细胞、CAL27细胞

N9 Cells;背景说明:小胶质细胞;雄性;CD-1;传代方法:1:2-1:3传代;每周换液2-3次。;生长特性:半贴壁;形态特性:详见产品说明书;相关产品有:KB细胞、KU-812-F细胞、HT144mel细胞

OUMS-27 Cells;背景说明:软骨肉瘤;男性;传代方法:1:2-1:3传代;每周换液2-3次。;生长特性:贴壁;形态特性:详见产品说明书;相关产品有:KYSE270细胞、H774细胞、B-cell Acute Lymphoblastic Leukemia-1细胞

Caco-2人结直肠腺癌细胞实验室|已有STR图谱

11b Cells(提供STR鉴定图谱)

Abcam HeLa AZI2 KO Cells(提供STR鉴定图谱)

AG14844 Cells(提供STR鉴定图谱)

BayGenomics ES cell line RRE053 Cells(提供STR鉴定图谱)

BayGenomics ES cell line XF572 Cells(提供STR鉴定图谱)

BY00782 Cells(提供STR鉴定图谱)

CU-14 Cells(提供STR鉴定图谱)

EquiPSC Line H Cells(提供STR鉴定图谱)

GM06248 Cells(提供STR鉴定图谱)

DV90 Cells;背景说明:详见相关文献介绍;传代方法:1:2-1:3传代;每周换液2-3次。;生长特性:贴壁或悬浮,详见产品说明书部分;形态特性:详见产品说明书;相关产品有:SRA01/04 (HLE)细胞、RenCa细胞、373 MG细胞

HeLa/DDP Cells;背景说明:详见相关文献介绍;传代方法:1:2-1:3传代;每周换液2-3次。;生长特性:贴壁或悬浮,详见产品说明书部分;形态特性:详见产品说明书;相关产品有:COLO 320细胞、KATO 3细胞、L-6 myoblast细胞

EBNA293 Cells;背景说明:详见相关文献介绍;传代方法:1:4-1:10传代;每周2次。;生长特性:贴壁生长;形态特性:上皮细胞样;相关产品有:HSC-I细胞、OV-1063细胞、MiaPaCa2细胞

BHK Cells;背景说明:详见相关文献介绍;传代方法:1:2传代,每周换液1-2次。;生长特性:贴壁生长;形态特性:成纤维细胞样;相关产品有:TEC细胞、I90细胞、H2085细胞

HEC-1-B Cells;背景说明:该细胞是H.Kuramoto1968年分离的HEC-1-A细胞亚株。不同於HEC-A-1的是:该亚株在培养第135天到190天之间表现出稳定的生长周期,且重现扁平,与亲本细胞系相比更具铺路石式样。此外主要染色体组是亲本细胞的两倍。;传代方法:1:3传代,2-3天换液一次;生长特性:贴壁生长;形态特性:上皮样;相关产品有:QBC939细胞、BrCL15细胞、KP-4细胞

JIMT Cells;背景说明:乳腺癌;女性;传代方法:1:2-1:3传代;每周换液2-3次。;生长特性:贴壁;形态特性:详见产品说明书;相关产品有:HECV细胞、OCILY19细胞、SUPB15细胞

Normal Rat Kidney-52E Cells;背景说明:详见相关文献介绍;传代方法:1:2传代;生长特性:贴壁生长;形态特性:上皮细胞样;相关产品有:U-138-MG细胞、MDA-MB157细胞、Wayne State University-Head and Neck 13细胞

NCIH295R Cells;背景说明:肾上腺皮质癌;女性;传代方法:1:2-1:3传代;每周换液2-3次。;生长特性:贴壁;形态特性:详见产品说明书;相关产品有:TI-73细胞、NCIH1755细胞、NCI-H2591细胞

NCIH2228 Cells;背景说明:详见相关文献介绍;传代方法:1:2-1:3传代,每周2-3次。;生长特性:贴壁生长;形态特性:详见产品说明书;相关产品有:KCL-22细胞、FHL-124细胞、ZYM-SVEC01细胞

COLO-679 Cells;背景说明:详见相关文献介绍;传代方法:1:2传代;生长特性:贴壁生长 ;形态特性:详见产品说明书;相关产品有:TE-6细胞、H283细胞、3T3-442A细胞

624 Cells;背景说明:黑色素瘤;男性;传代方法:1:2-1:3传代;每周换液2-3次。;生长特性:贴壁;形态特性:详见产品说明书;相关产品有:MCMEC细胞、D10.G4.1细胞、CMT 64细胞

MUTZ-1 Cells;背景说明:骨髓增生异常综合征;女性;传代方法:1:2-1:3传代;每周换液2-3次。;生长特性:悬浮;形态特性:详见产品说明书;相关产品有:SKM1细胞、HEK293-EBNA细胞、HIT-T15细胞

D407 RPE Cells;背景说明:详见相关文献介绍;传代方法:1:2传代;生长特性:贴壁生长 ;形态特性:详见产品说明书;相关产品有:NCI H508细胞、SuDHL 10细胞、GM05384细胞

LS-174 Cells;背景说明:LS 174T是LS 180 (ATCC CL 187)结肠腺癌细胞株的胰蛋白酶化变种。 它比亲本更易传代,象LS 180一样生成大量的癌胚抗原(CEA)。 电镜研究表明有丰富的微丝和细胞质粘液素液泡。 直肠抗原3阳性。 p53抗原表达阴性,但mRNA表达阳性。 与ATCC CL-187来源于同一个肿瘤。LS 174T细胞角蛋白染色阳性。 癌基因c-myc, N-myc, H-ras, N-ras, Myb, 和 fos的表达呈阳性。 癌基因k-ras和sis的表达未做检测。;传代方法:1:2传代;生长特性:贴壁生长;形态特性:上皮样;相关产品有:OLN-93细胞、NCI-H1703细胞、HCC-2279细胞

OVCAR.5 Cells;背景说明:卵巢癌;腹水转移;女性;传代方法:1:2-1:3传代;每周换液2-3次。;生长特性:贴壁;形态特性:详见产品说明书;相关产品有:NCI-H2052细胞、LCLC103H细胞、NS1-Ag4细胞

GM09708 Cells(提供STR鉴定图谱)

HAP1 BAIAP2 (-) 5 Cells(提供STR鉴定图谱)

MDCK Type II Cells;背景说明:详见相关文献介绍;传代方法:1:3传代,3-4天传1次;生长特性:贴壁生长;形态特性:上皮样;相关产品有:LMH细胞、Michigan Cancer Foundation-12F细胞、HEC-1A细胞

TK+/- (clone 3.7.2C) Cells;背景说明:详见相关文献介绍;传代方法:1:2传代;生长特性:悬浮生长;形态特性:淋巴母细胞样;相关产品有:NCI-H2106细胞、130 T细胞、PLC-8024细胞

NCI-H187 Cells;背景说明:经典小细胞肺癌;胸腔积液转移;男性;传代方法:1:2-1:3传代;每周换液2-3次。;生长特性:悬浮;形态特性:详见产品说明书;相关产品有:RCK8细胞、Y 1细胞、HEK-293H细胞

VMM5A Cells;背景说明:黑色素瘤;神经节转移;男性;传代方法:1:2-1:3传代;每周换液2-3次。;生长特性:贴壁;形态特性:详见产品说明书;相关产品有:CX-1细胞、Fox/NY细胞、7860细胞

LA-N-6 Cells;背景说明:详见相关文献介绍;传代方法:1:2-1:3传代;每周换液2-3次。;生长特性:贴壁或悬浮,详见产品说明书部分;形态特性:详见产品说明书;相关产品有:NCIH1781细胞、HLEC-SRA 01/04细胞、KLN 205细胞

COR-L279 Cells;背景说明:详见相关文献介绍;传代方法:1:2-1:3传代;每周换液2-3次。;生长特性:贴壁或悬浮,详见产品说明书部分;形态特性:详见产品说明书;相关产品有:NS1细胞、Caov-4细胞、HCC0015细胞

SN4741 Cells;背景说明:多巴胺能神经 Cells;传代方法:1:2-1:3传代;每周换液2-3次。;生长特性:贴壁;形态特性:详见产品说明书;相关产品有:Tb1.Lu细胞、Tn-5细胞、Fetal Human Lens-124细胞

HCC-94 Cells;背景说明:详见相关文献介绍;传代方法:1:2-1:3传代;每周换液2-3次。;生长特性:贴壁或悬浮,详见产品说明书部分;形态特性:详见产品说明书;相关产品有:RPE D407细胞、8226/S细胞、H2081细胞

HG03132 Cells(提供STR鉴定图谱)

IBMS-iPSC-048-05 Cells(提供STR鉴定图谱)

LM-MEL-51 Cells(提供STR鉴定图谱)

NCI-H1522 Cells(提供STR鉴定图谱)

PathHunter CHO-K1 mEDNRA beta-arrestin Cells(提供STR鉴定图谱)

Ubigene HeLa SOCS7 KO Cells(提供STR鉴定图谱)

XP5TU Cells(提供STR鉴定图谱)

HAP1 TRIM8 (-) 3 Cells(提供STR鉴定图谱)

C81-61 Cells;背景说明:皮肤黑色素瘤;腹壁转移;女性;传代方法:1:2-1:3传代;每周换液2-3次。;生长特性:贴壁;形态特性:详见产品说明书;相关产品有:JB 6细胞、Hs 445细胞、Panc8.13细胞

SK Col 1 Cells;背景说明:该细胞来源于结直肠病人的转移性腹水。;传代方法:1:2-1:3传代,每周2-3次。;生长特性:贴壁生长;形态特性:上皮细胞样;相关产品有:KOSC-2细胞、NCIH2228细胞、NCI H929细胞

HEK293-EBNA1 Cells;背景说明:详见相关文献介绍;传代方法:1:4-1:10传代;每周2次。;生长特性:贴壁生长;形态特性:上皮细胞样;相关产品有:16HBE细胞、M21细胞、IPECJ2细胞

NTERA2D1 Cells;背景说明:详见相关文献介绍;传代方法:1:2-1:3传代;每周换液2-3次。;生长特性:贴壁或悬浮,详见产品说明书部分;形态特性:详见产品说明书;相关产品有:MARC145细胞、MGH-U3细胞、H2195细胞

MLTC-1 Cells;背景说明:睾丸间质瘤;传代方法:1:2-1:3传代;每周换液2-3次。;生长特性:贴壁;形态特性:详见产品说明书;相关产品有:MV3细胞、HemECs细胞、SK N SH细胞

MLTC-1 Cells;背景说明:睾丸间质瘤;传代方法:1:2-1:3传代;每周换液2-3次。;生长特性:贴壁;形态特性:详见产品说明书;相关产品有:MV3细胞、HemECs细胞、SK N SH细胞

NCI-H1668 Cells;背景说明:小细胞肺癌;传代方法:1:2-1:3传代;每周换液2-3次。;生长特性:贴壁;形态特性:详见产品说明书;相关产品有:NPA细胞、Michigan Cancer Foundation-7细胞、HOS TE85细胞

HCC-1954 Cells;背景说明:详见相关文献介绍;传代方法:1:4-1:8传代;每周换液2-3次。;生长特性:偶尔上皮细胞空泡;形态特性:上皮细胞样;相关产品有:CMECs细胞、P3-X63Ag8细胞、EST50细胞

Hep-G2 Cells;背景说明:详见相关文献介绍;传代方法:1:2-1:3传代;每周换液2-3次。;生长特性:贴壁或悬浮,详见产品说明书部分;形态特性:详见产品说明书;相关产品有:Emory University-2细胞、FK81细胞、CCC-HSF-1细胞

L-WRN Cells;背景说明:皮下结缔组织;自发永生;雄性;C3H/An;传代方法:1:2-1:3传代;每周换液2-3次。;生长特性:贴壁;形态特性:详见产品说明书;相关产品有:LC-1细胞、NCIH1836细胞、CW-2细胞

MLTC-1 Cells;背景说明:睾丸间质瘤;传代方法:1:2-1:3传代;每周换液2-3次。;生长特性:贴壁;形态特性:详见产品说明书;相关产品有:MV3细胞、HemECs细胞、SK N SH细胞

MN9D Cells;背景说明:多巴胺能神经元 Cells;传代方法:1:2-1:3传代;每周换液2-3次。;生长特性:贴壁;形态特性:详见产品说明书;相关产品有:U251n细胞、Vero from pool #76细胞、HAPI细胞

SCC25 Cells;背景说明:详见相关文献介绍;传代方法:1:3-1:10传代,2-3天换液1次。;生长特性:贴壁生长;形态特性:上皮细胞;相关产品有:Hs-940细胞、Intestinal Epithelioid Cell line No. 6细胞、P3-Jiyoye细胞

NCIH2052 Cells;背景说明:详见相关文献介绍;传代方法:1:3-1:6传代;生长特性:贴壁生长;形态特性:上皮细胞;相关产品有:G361mel细胞、A10细胞、Radiation Effects Research Foundation-Lung Cancer-MS细胞

YH-13 Cells;背景说明:详见相关文献介绍;传代方法:1:2传代;生长特性:贴壁生长;形态特性:上皮细胞;相关产品有:HEp-2细胞、NT2细胞、SHEE细胞

SA-1077 Cells(提供STR鉴定图谱)

ZYM-SVEC01 Cells;背景说明:静脉血管内皮 Cells;传代方法:1:2-1:3传代;每周换液2-3次。;生长特性:贴壁;形态特性:详见产品说明书;相关产品有:EB-1细胞、HOS-143B细胞、KTCTL-140细胞

Caco-2人结直肠腺癌细胞实验室|已有STR图谱

SNB-19 Cells;背景说明:详见相关文献介绍;传代方法:1:2传代;生长特性:贴壁生长 ;形态特性:详见产品说明书;相关产品有:LP1细胞、CCD18细胞、SKOV3细胞

CAL148 Cells;背景说明:乳腺癌;胸腔积液转移;女性;传代方法:1:2-1:3传代;每周换液2-3次。;生长特性:贴壁;形态特性:详见产品说明书;相关产品有:Hs895T细胞、QG-56细胞、SKOV-433细胞

RT112 Cells;背景说明:详见相关文献介绍;传代方法:1:2-1:3传代;每周换液2-3次。;生长特性:贴壁或悬浮,详见产品说明书部分;形态特性:详见产品说明书;相关产品有:RS4;11细胞、P 815细胞、HaCaT细胞

ME1 Cells;背景说明:急性髓系白血病;男性;传代方法:1:2-1:3传代;每周换液2-3次。;生长特性:悬浮;形态特性:详见产品说明书;相关产品有:TE9细胞、Tb 1 Lu (NBL-12)细胞、NCI-H2228细胞

ARH-77 Cells;背景说明:详见相关文献介绍;传代方法:1:2-1:3传代;每周换液2-3次。;生长特性:悬浮生长;形态特性:淋巴母细胞样 ;相关产品有:RFL-6细胞、NCI-N87细胞、HEK/EBNA细胞

Human Embryo Kidney-2 Cells;背景说明:详见相关文献介绍;传代方法:1:2-1:3传代;每周换液2-3次。;生长特性:贴壁或悬浮,详见产品说明书部分;形态特性:详见产品说明书;相关产品有:U-251-MG细胞、JROECL 21细胞、C-26细胞

MDA157 Cells;背景说明:该细胞源自一位患有乳腺髓样癌的44岁黑人女性,表达WNT7B癌基因,细胞与细胞边界处有细胞桥粒、微绒毛、张力细丝。;传代方法:1:2-1:3传代;每周换液2-3次。;生长特性:贴壁生长;形态特性:上皮样;相关产品有:Mink Lung细胞、T-cell Acute Lymphoblastic Leukemia-1细胞、UCLA NPA-87-1细胞

K422 Cells;背景说明:详见相关文献介绍;传代方法:1:2-1:3传代;每周换液2-3次。;生长特性:贴壁或悬浮,详见产品说明书部分;形态特性:详见产品说明书;相关产品有:N2a细胞、DHL-8细胞、Chang Cells细胞

GH 3 Cells;背景说明:GH3细胞系是由TashjianAH等在1965年7月从一只7月龄的雌性Wistar-Furth大鼠的垂体肿瘤中分离建立的。GH3细胞系不是直接来源于GH1细胞系的克隆,而是从原代培养的GH1细胞在大鼠身上传代两次形成的肿瘤中建立的。上皮样的GH3细胞比GH1分泌更高水平的生长激素,也可产生催乳素。对调控GH3细胞分泌蛋白类激素的研究表明,化可的松可以刺激生长激素的分泌、抑制催乳素的产生。;传代方法:1:2传代;生长特性:疏松贴壁,有漂浮的细胞簇;形态特性:上皮样;相关产品有:HLCL9B10细胞、GalK 1细胞、SN-12C细胞

EFO-27 Cells;背景说明:详见相关文献介绍;传代方法:1:2-1:3传代;每周换液2-3次。;生长特性:贴壁或悬浮,详见产品说明书部分;形态特性:详见产品说明书;相关产品有:PLA-802细胞、T-84细胞、Me-Wo细胞

WPMY1 Cells;背景说明:肌成纤维基质细胞株,WPMY-1,与RWPE-1cells(ATCCCRL-11609)一样,来源于同一张成人前列腺组织切片的周围区域的基质细胞。通过一个pRSTV质料结构,用SV40大T抗原对基质细胞进行永生化。WPMY-1细胞,与RWPE-1细胞及其它上皮细胞衍生株一样,属于来源于同一个前列腺的一系列细胞株。由于它们来源于同一个前列腺的周围区域,WPMY-1细胞株对于研究分泌和基质与上皮细胞相互作用尤其有用。;传代方法:消化3-5分钟。1:2。3天内可长满。;生长特性:贴壁生长;形态特性:成肌细胞;相关产品有:TJ905细胞、BEAS2B细胞、EBC-1细胞

MDST8 Cells;背景说明:详见相关文献介绍;传代方法:1:2-1:3传代;每周换液2-3次。;生长特性:贴壁或悬浮,详见产品说明书部分;形态特性:详见产品说明书;相关产品有:NCI-H1184细胞、HEY-A8细胞、HT-144细胞

CC-LP-I Cells;背景说明:详见相关文献介绍;传代方法:1:2-1:3传代;每周换液2-3次。;生长特性:贴壁或悬浮,详见产品说明书部分;形态特性:详见产品说明书;相关产品有:HSC-4细胞、293T/17细胞、OVCAR433细胞

BayGenomics ES cell line RRR811 Cells(提供STR鉴定图谱)

BayGenomics ES cell line YTA250 Cells(提供STR鉴定图谱)

iBMK BIM+/+ A Cells(提供STR鉴定图谱)

PCRP-NEUROG3-2A6 Cells(提供STR鉴定图谱)

IA-1g1 Cells(提供STR鉴定图谱)

HPSI0514i-mure_4 Cells(提供STR鉴定图谱)

"



Caco-2人结直肠腺癌细胞实验室|已有;传代细胞;复苏细胞;实验细胞;科研细胞;

公司简介

上海冠导生物工程有限公司,先后从ATCC、DSMZ、ECACC、RIKEN、PromoCell、ScienCell、JCRB等国内外细胞库引进细胞2000余株。以此为契机,公司组建了冠导细胞库,我司细胞均由资深细胞培养工程师进行培养。我司可以提供的细胞有:①细胞系②原代细胞③稳转株④耐药株⑤标记细胞⑥细胞配套试剂等。

成立日期 (11年)
注册资本 100万(元)
员工人数 50-100人
年营业额 ¥ 1000万-5000万
经营模式 工厂,试剂,定制,服务
主营行业 细胞培养,微生物学,细胞生物学

Caco-2人结直肠腺癌细胞实验室|已有STR图谱相关厂家报价 更多

  • Caco-2
  • Caco-2
  • 吉奥蓝图(广东)生命科学技术中心 VIP
  • 2026-04-13
  • 询价
内容声明
拨打电话 立即询价