基本信息 产品详情 公司简介 推荐产品
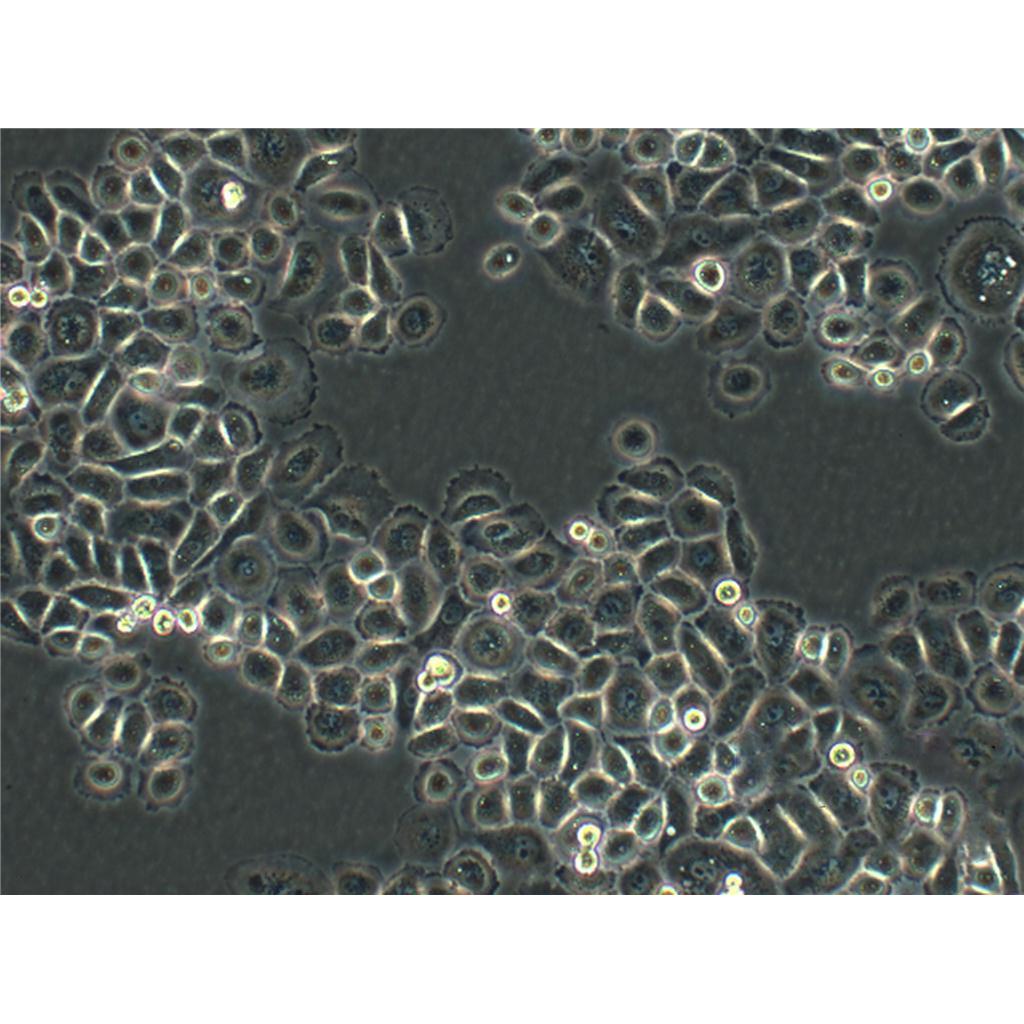
网站主页 DU 145 (人前列腺癌细胞) (STR鉴定正确) DU 145人前列腺癌细胞实验室|已有STR图谱
  • DU 145人前列腺癌细胞实验室|已有STR图谱

DU 145人前列腺癌细胞实验室|已有STR图谱

DU 145
询价 1000000细胞数 起订
2000000细胞数 起订
上海 更新日期:2026-04-11

上海冠导生物工程有限公司

VIP6年
联系人:全经理
电话:18818239863拨打
邮箱:3171921642@qq.com

产品详情:

中文名称:
DU 145人前列腺癌细胞实验室|已有STR图谱
英文名称:
DU 145
品牌:
ATCC\RCB等
产地:
国外
保存条件:
常温培养或液氮冻存
纯度规格:
DU 145人前列腺癌细胞实验室|已有STR图谱
产品类别:
化学试剂
种属:
详见产品资料
组织:
详见产品资料
细胞系:
详见产品资料
细胞形态:
详见产品资料
生长状态:
详见产品资料
靶点:
详见产品资料
应用:
详见产品资料

"DU 145人前列腺癌细胞实验室|已有STR图谱

传代比例:1:2-1:4(首次传代建议1:2)

生长特性:贴壁生长

CCD 1112SK Cells;背景说明:详见相关文献介绍;传代方法:1:2-1:3传代;每周换液2-3次。;生长特性:贴壁或悬浮,详见产品说明书部分;形态特性:详见产品说明书;相关产品有:OVCAR-432细胞、OV1-P细胞、H-1650细胞

SJSA-1 Cells;背景说明:详见相关文献介绍;传代方法:1:5-1:10传代;每周换液2-3次。;生长特性:贴壁生长;形态特性:成纤维细胞;相关产品有:PECAPJ34细胞、HAC-84细胞、MDA.MB.435细胞

HemECs Cells;背景说明:血管瘤;内皮 Cells;传代方法:1:2-1:3传代;每周换液2-3次。;生长特性:贴壁;形态特性:详见产品说明书;相关产品有:Beta-TC-6细胞、H-1184细胞、COS-7细胞

细胞传代培养实验:体外培养的原代细胞或细胞株要在体外持续地培养就必须传代,以便获得稳定的细胞株或得到大量的同种细胞,并维持细胞种的延续。培养的细胞形成单层汇合以后,由于密度过大生存空间不足而引起营养枯竭,将培养的细胞分散,从容器中取出,以1:2或1:3以上的比率转移到另外的容器中进行培养,即为传代培养;细胞“一代”指从细胞接种到分离再培养的一段期间,与细胞世代或倍增不同。在一代中,细胞培增3~6次。细胞传代后,一般经过三个阶段:游离期、指数增生期和停止期。常用细胞分裂指数表示细胞增殖的旺盛程度,即细胞群的分裂相数/100个细胞。一般细胞分裂指数介于0.2%~0.5%,肿瘤细胞可达3~5%;细胞接种2~3天分裂增殖旺盛,是活力ZuiHAO时期,称指数增生期(对数生长期),适宜进行各种试验。实验步骤:1.将长成的培养细胞从二氧化碳培养箱中取出,在超净工作台中倒掉瓶内的培养,加入少许消化。(以面盖住细胞为宜),静置5~10分钟。2.在倒置镜下观察被消化的细胞,如果细胞变圆,相互之间不再连接成片,这时应立即在超净台中将消化倒掉,加入3~5ml新鲜培养,吹打,制成细胞悬。3.将细胞悬吸出2ml左右,加到另一个培养瓶中并向每个瓶中分别加3ml左右培养,盖HAO瓶塞,送回二氧化碳培养箱中,继续进行培养。一般情况,传代后的细胞在2小时左右就能附着在培养瓶壁上,2~4天就可在瓶内形成单层,需要再次进行传代。

换液周期:每周2-3次

DU 145人前列腺癌细胞实验室|已有STR图谱

背景信息:DU 145 是从一位有3年淋巴细胞白血病史的前列腺癌患者的脑部转移灶中建立的。该细胞系未检测到激素敏感性,性酶阳性,单个的细胞可在软琼脂中形成集落。对此细胞和原始肿瘤的亚显微结构分析可见微绒毛、微丝、细胞桥粒、线粒体、发达的高尔基体和异质溶酶体。该细胞不表达前列腺抗原。

产品包装:复苏发货:T25培养瓶(一瓶)或冻存发货:1ml冻存管(两支)

细胞系的选择需要考虑到细胞系的功能特点、生长速率、铺板效率、生长条件和生长特征、克隆效率、培养方式等因素,如果您想高产量表达重组蛋白,您可以选择可以悬浮生长的快速生长细胞系。细胞培养的操作步骤主要包括传代、换液、冻存和复苏。这些步骤确保了细胞能够在实验室环境中长期存活并继续增殖。传代是将细胞从一个容器转移到另一个容器的过程,以扩大细胞数量;换液是为了清除代谢废物并补充新鲜培养基;冻存则是为了长期保存细胞,而复苏则是重新激活冷冻保存的细胞使其恢复正常生长。

来源说明:细胞主要来源ATCC、ECACC、DSMZ、RIKEN等细胞库

AC34 Cells(提供STR鉴定图谱)

SW-620 Cells;背景说明:SW620是从一个51岁男性白人组织中分离得到。由A.Leibovitz等从一个淋巴结建株。细胞系主要由无绒毛的小园球细胞和双极细胞组成。它仅合成少量癌胚抗原(CEA)且在裸鼠中有高度的致瘤性;传代方法:1:3传代,2-3天换液一次;生长特性:贴壁生长;形态特性:上皮样;相关产品有:COR-L51细胞、CHO/dhFr-细胞、SW1088细胞

RCM-1 [Human rectum adenocarcinoma] Cells;背景说明:详见相关文献介绍;传代方法:1:4传代,2-3天换液1次。;生长特性:贴壁生长;形态特性:上皮细胞;相关产品有:HPDE细胞、TOV-21G细胞、H-2107细胞

COLO-829 Cells;背景说明:详见相关文献介绍;传代方法:1:3-1:6传代,2-3天换液1次。;生长特性:贴壁生长;形态特性:成纤维细胞;相关产品有:A-10细胞、SW48细胞、CA 46细胞

DU 145人前列腺癌细胞实验室|已有STR图谱

物种来源:人源、鼠源等其它物种来源

形态特性:上皮细胞样

冻存和复苏的原则:慢冻快融》当细胞冷到零度以下,可以产生以下变化:细胞器脱水,细胞中可溶性物质浓度升GAO,并在细胞内形成冰晶。如果缓慢冷冻,可使细胞逐步脱水,细胞内不致产生大的冰晶;相反,结晶就大,大结晶会造成细胞膜、纲胞器的损伤和破裂。复苏过程应快融,目的是防止小冰晶形成大冰晶,即冰晶的重结晶。慢冻程序》1.标准程序:采用细胞冻存器》当温度在-25℃以上时,1~2℃/min;当温度达-25℃以下时,5~10℃/min;当温度达-100℃时,可迅速放入中。2.简易程序:将冷冻管(管口要朝上)放入纱布袋内,纱布袋系以线绳,通过线绳将纱布袋固定于罐罐口,按每分钟温度下降1~2℃的速度,在40min内降至表面过夜,次晨投人中。3.传统程序:冷冻管置于4℃10分钟→-20℃30分钟→-80℃16~18小时(或隔夜)→槽长期储存。细胞冻存方法:1.预先配制冻存》(1)8%DMSO+细胞生长(92%血清)2.取对数生长期细胞,经胰酶消化后,加入适量冻存,用吸管吹打制成细胞悬(1×10(6)~5×10(6)细胞/ml)。3.加入1ml细胞于冻存管中,密封后标记冷冻细胞名称和冷冻日期。长期保存。保存细胞的复苏方法:1.快速解冻》冻存细胞从中取出后,立即放入37℃水浴中,轻轻摇动冷冻管,使其在1分钟内全部融化(不要超过3分钟)。2.解冻后的细胞可直接接种到含完全生长培养的细胞培养瓶中直接进行培养,24小时后再用新鲜完全培养替换旧培养,以去除DMSO。3.如果细胞对冷冻保护剂别敏感解冻后的细胞应先通过离心去除冷冻保护剂,然后再接种到含完全生长培养的培养瓶中。

Human Foreskin Fibroblast Cells;背景说明:详见相关文献介绍;传代方法:1:5—1:7传代;生长特性:贴壁生长;形态特性:成纤维细胞;相关产品有:STC-1细胞、LoMeT-ccRcc细胞、H-1882细胞

THPI Cells;背景说明:该细胞从一名1岁的患有急性单核细胞性白血病的男孩的外周血中分离建立。该细胞可以吞噬乳胶颗粒和激活的红细胞,细胞膜和胞浆内均没有免疫球蛋白,表达C3R和FcR;可受佛波酯TPA诱导向单核系方向分化;可作为转染宿主。;传代方法:维持细胞浓度在2-4×105-8×105/ml,勿超过1×106/ml;2-3天换液1次。;生长特性:悬浮生长;形态特性:单核细胞;相关产品有:SK-N-BE(2C)细胞、NBL-12细胞、HS940细胞

MDA-PCa-2b Cells;背景说明:详见相关文献介绍;传代方法:1:2-1:4传代,2-3天换液1次。;生长特性:贴壁生长;形态特性:上皮细胞;相关产品有:H-2110细胞、HT144mel细胞、MLMEC细胞

MD Anderson-Metastatic Breast-453 Cells;背景说明:该细胞系由CailleauR在1976年从一名48岁的患有转移性乳腺癌的白人女性的心包渗出液中分离建立的。该细胞表达FGF的受体。;传代方法:1:2-1:4传代;2-3天换液1次;生长特性:贴壁生长;形态特性:上皮样;多角形;相关产品有:Gingival carcinoma Neck Metastasis细胞、Okayama University Medical School-23细胞、FHL124细胞

NCI-H1781 Cells;背景说明:详见相关文献介绍;传代方法:1:2-1:3传代;每周换液2-3次。;生长特性:贴壁或悬浮,详见产品说明书部分;形态特性:详见产品说明书;相关产品有:253JBV细胞、NHEK细胞、ESC-410细胞

GM00346B Cells;背景说明:皮下结缔组织;自发永生;雄性;C3H/An;传代方法:1:2-1:3传代;每周换液2-3次。;生长特性:贴壁;形态特性:详见产品说明书;相关产品有:ReNcell CX细胞、RCC10 RGB细胞、TR-146细胞

Hs-343-T Cells;背景说明:详见相关文献介绍;传代方法:1:2—1:3传代;每周换液2-3次。;生长特性:贴壁生长;形态特性:成纤维细胞;相关产品有:FL83B细胞、RCK-8细胞、HCT FET细胞

NCI-H1581 Cells;背景说明:详见相关文献介绍;传代方法:每周换液2次。;生长特性:混合型;形态特性:上皮样;相关产品有:ROS1728细胞、NCI-SNU-C2A细胞、GBC-SD细胞

HL 60 Cells;背景说明:该细胞由CollinsSJ从一位患有急性早幼粒细胞性白血病的36岁白人女性的外周血中分离建立;可自发分化,或在盐、次黄嘌呤、佛波醇肉豆蔻酸(PMA,TPA)、DMSO(1%to1.5%)、D和视黄酸的刺激下发生分化;PMA刺激后可分泌TNF-α。该细胞具有吞噬活性和趋化反应,癌基因myc阳性,表达补体受体和FcR。;传代方法:维持细胞浓度在1×105-1×106/ml,每2-3天换液1次。;生长特性:悬浮生长;形态特性:髓母细胞样;相关产品有:SW 948细胞、B-104细胞、RERFLCMS细胞

SKUT-1 Cells;背景说明:详见相关文献介绍;传代方法:1:4-1:12传代,2天换液1次。;生长特性:贴壁生长;形态特性:上皮细胞;相关产品有:H-498细胞、Kit225细胞、Ra #1细胞

HKC Cells;背景说明:胚胎;肾小管;上皮 Cells;传代方法:1:2-1:3传代;每周换液2-3次。;生长特性:贴壁;形态特性:详见产品说明书;相关产品有:SW-982细胞、PL9细胞、BL1339细胞

Highly Aggressively Proliferating Immortalized Cells;背景说明:小胶质细胞;自发永生;Wistar;传代方法:1:2-1:3传代;每周换液2-3次。;生长特性:半贴壁;形态特性:详见产品说明书;相关产品有:THP 1细胞、IGR-OV1细胞、BHK-21细胞

TR146 Cells;背景说明:食管鳞癌;传代方法:1:2-1:3传代;每周换液2-3次。;生长特性:贴壁;形态特性:详见产品说明书;相关产品有:NK-92 transfected with MFG-hIL2细胞、T98 G细胞、TF-1细胞

Gerner 7666 Cells;背景说明:详见相关文献介绍;传代方法:1:2-1:3传代;每周换液2-3次。;生长特性:贴壁或悬浮,详见产品说明书部分;形态特性:详见产品说明书;相关产品有:Hs 821.T细胞、RT 112细胞、HEK 293A细胞

BL2141 Cells;背景说明:详见相关文献介绍;传代方法:1:2-1:3传代;每周换液2-3次。;生长特性:贴壁或悬浮,详见产品说明书部分;形态特性:详见产品说明书;相关产品有:CAL148细胞、MOVAS-1细胞、PL 45细胞

Metastatic Variant 522 Cells;背景说明:肺腺癌;女性;传代方法:1:2-1:3传代;每周换液2-3次。;生长特性:贴壁;形态特性:详见产品说明书;相关产品有:ZR-75-30细胞、MV3细胞、MKN-74细胞

SW1088 Cells;背景说明:星形胶质瘤;男性;传代方法:1:2-1:3传代;每周换液2-3次。;生长特性:贴壁;形态特性:详见产品说明书;相关产品有:P3X63NS1细胞、SUDHL-2细胞、SW-1573细胞

DU 145人前列腺癌细胞实验室|已有STR图谱

A549-deltaSTAT1-SunTag ACE2 Cells(提供STR鉴定图谱)

Abcam PC-3 SMARCE1 KO Cells(提供STR鉴定图谱)

Ba/F3 EGFR vIII Cells(提供STR鉴定图谱)

BayGenomics ES cell line RRR154 Cells(提供STR鉴定图谱)

BayGenomics ES cell line YHD124 Cells(提供STR鉴定图谱)

CFBE41o- 4.7 DeltaF508-CFTR Cells(提供STR鉴定图谱)

DA01467 Cells(提供STR鉴定图谱)

EOM-3 Cells(提供STR鉴定图谱)

GM06049 Cells(提供STR鉴定图谱)

RPE-1 Cells;背景说明:视网膜色素上皮;hTERT永生;女性;传代方法:1:2-1:3传代;每周换液2-3次。;生长特性:贴壁;形态特性:详见产品说明书;相关产品有:Human Hepatocyte Line 5细胞、H-1793细胞、HFLS细胞

J774.A1 Cells;背景说明:详见相关文献介绍;传代方法:1:2-1:3传代;每周换液2-3次。;生长特性:贴壁或悬浮,详见产品说明书部分;形态特性:详见产品说明书;相关产品有:DMS114细胞、UMR 106细胞、RGC-6细胞

16-HBE Cells;背景说明:详见相关文献介绍;传代方法:1:2传代;生长特性:贴壁生长 ;形态特性:详见产品说明书;相关产品有:MN60细胞、Transformed Human Liver Epithelial-2细胞、IPLB-Sf21-AE细胞

SK-Mel 2 Cells;背景说明:详见相关文献介绍;传代方法:1:3-1:6传代,2-3天换液1次。;生长特性:贴壁生长;形态特性:多边形的;相关产品有:GMK,BSC-1细胞、YAC细胞、Tb 1 Lu细胞

NCI-H2347 Cells;背景说明:详见相关文献介绍;传代方法:1:2-1:6传代,每周2-3次。;生长特性:贴壁生长;形态特性:上皮样;相关产品有:KATO III细胞、32D/cl3细胞、KAT-5细胞

SVEC 4-10 Cells;背景说明:详见相关文献介绍;传代方法:1:2-1:3传代;每周换液2-3次。;生长特性:贴壁或悬浮,详见产品说明书部分;形态特性:详见产品说明书;相关产品有:H-711细胞、RMG-1细胞、GLC-82细胞

MDA-453 Cells;背景说明:该细胞系由CailleauR在1976年从一名48岁的患有转移性乳腺癌的白人女性的心包渗出液中分离建立的。该细胞表达FGF的受体。;传代方法:1:2-1:4传代;2-3天换液1次;生长特性:贴壁生长;形态特性:上皮样;多角形;相关产品有:JCA1细胞、CHP-100细胞、Caco-2/BBe 1细胞

Emory University-2 Cells;背景说明:儿童急性髓系白血病;传代方法:1:2-1:3传代;每周换液2-3次。;生长特性:悬浮;形态特性:详见产品说明书;相关产品有:ME 180细胞、MDA-MB-157细胞、HIT clone T15细胞

HNTEC Cells;背景说明:详见相关文献介绍;传代方法:1:2-1:3传代;每周换液2-3次。;生长特性:贴壁或悬浮,详见产品说明书部分;形态特性:详见产品说明书;相关产品有:MES-SA细胞、NRK clone 52E细胞、MCM细胞

PK(15) Cells;背景说明:PK-15细胞建系于1955(Stice,E)。是PK-1a细胞的克隆系。该细胞系可用于多种病毒的增值及特性研究。另外,电镜观察发现,PK-15细胞内有C-型病毒颗粒存在,是研究C-型病毒的材料。;传代方法:1:2-1:3传代;每周换液2-3次。;生长特性:贴壁;形态特性:上皮细胞样;相关产品有:SW403细胞、T/G HA-VSMC细胞、BGC823细胞

L363 Cells;背景说明:详见相关文献介绍;传代方法:1:2-1:3传代;每周换液2-3次。;生长特性:贴壁或悬浮,详见产品说明书部分;形态特性:详见产品说明书;相关产品有:alpha-TC1-6细胞、H1568细胞、S180细胞

Stanford University-Diffuse Histiocytic Lymphoma-5 Cells;背景说明:详见相关文献介绍;传代方法:1:2-1:3传代;每周换液2-3次。;生长特性:贴壁或悬浮,详见产品说明书部分;形态特性:详见产品说明书;相关产品有:MeWo细胞、HCC-9724细胞、H-520细胞

WM239A Cells;背景说明:黑色素瘤;女性;传代方法:1:2-1:3传代;每周换液2-3次。;生长特性:贴壁;形态特性:详见产品说明书;相关产品有:PC-3M-IE8细胞、OVCAR420细胞、TCMK1细胞

DHL-6 Cells;背景说明:详见相关文献介绍;传代方法:1:3—1:6传代,3—4天换液1次;生长特性:悬浮生长 ;形态特性:淋巴母细胞样;相关产品有:MLMA细胞、H719细胞、A549/DDP细胞

RCF Cells;背景说明:心肌;成纤维 Cells;传代方法:1:2-1:3传代;每周换液2-3次。;生长特性:贴壁;形态特性:详见产品说明书;相关产品有:HA细胞、Malme-3 M细胞、MRASMC细胞

GM10393 Cells(提供STR鉴定图谱)

HAP1 CBX5 (-) 5 Cells(提供STR鉴定图谱)

NPC-039 Cells;背景说明:鼻咽癌;传代方法:1:2-1:3传代;每周换液2-3次。;生长特性:贴壁;形态特性:详见产品说明书;相关产品有:MCF 7B细胞、PE/CA-PJ-34细胞、Sp2/O-Ag14细胞

Centre Antoine Lacassagne-27 Cells;背景说明:该细胞1982年由J. Gioanni建系,源自一位56岁白人男性的舌头中倍的病变部位,角蛋白强阳性;传代方法:1:6传代,2—3天换液一次;生长特性:贴壁生长;形态特性:上皮细胞样;相关产品有:MDA435细胞、HIT-T15细胞、C17.2细胞

SW-48 Cells;背景说明:1971-1975年间,A. Leibovitz从结肠腺癌中分离建立十个细胞系,SW48为为其中之一。该细胞合成癌胚抗原,能在裸鼠中成瘤。;传代方法:1:3传代,2-3天传一代;生长特性:贴壁生长;形态特性:上皮细胞样;相关产品有:COLO 16细胞、H-2030细胞、B16 F1细胞

RCK-8 Cells;背景说明:弥漫大B淋巴瘤;腹腔转移;男性;传代方法:1:2-1:3传代;每周换液2-3次。;生长特性:悬浮;形态特性:详见产品说明书;相关产品有:University of Arizona Cell Culture-893细胞、WC00079细胞、RPMI 7666细胞

H4-II-E-C3 Cells;背景说明:在糖皮质激素、胰岛素或cAMP衍生物的诱导下可以产生酪酸基转移酶;可被逆转录病毒感染;可产生白蛋白、转铁蛋白、凝血酶原;在AxC大鼠中可以成瘤。;传代方法:1:2传代;生长特性:贴壁生长;形态特性:上皮样;相关产品有:Mel-624细胞、CESS细胞、THEECs细胞

M-1 Cells;背景说明:肾集合管;SV40转化;传代方法:1:2-1:3传代;每周换液2-3次。;生长特性:贴壁;形态特性:详见产品说明书;相关产品有:HEEpiC细胞、MD Anderson-Metastatic Breast-415细胞、RPMI7951细胞

MALME.3M Cells;背景说明:详见相关文献介绍;传代方法:1:2-1:4传代,2天换液1次。;生长特性:混合生长;形态特性:成纤维细胞;相关产品有:P3J细胞、TALL-1 [Human adult T-ALL]细胞、SP-2细胞

EBTr (NBL-4) Cells;背景说明:详见相关文献介绍;传代方法:1:2-1:3传代;每周换液2-3次。;生长特性:贴壁或悬浮,详见产品说明书部分;形态特性:详见产品说明书;相关产品有:Hep3B细胞、MD Anderson-Metastatic Breast-134-VI细胞、HHL5细胞

HG03771 Cells(提供STR鉴定图谱)

iHAEC Cells(提供STR鉴定图谱)

LSC-AXC-T/5 Cells(提供STR鉴定图谱)

ND00255 Cells(提供STR鉴定图谱)

PC-9-GR-high Cells(提供STR鉴定图谱)

Ubigene HCT 116 IFNGR2 KO Cells(提供STR鉴定图谱)

WA09 MIXL1-2A-eGFP Cells(提供STR鉴定图谱)

HEBHMUi011-A Cells(提供STR鉴定图谱)

3T3-Swiss Cells;背景说明:详见相关文献介绍;传代方法:1:2-1:3传代;每周换液2-3次。;生长特性:贴壁或悬浮,详见产品说明书部分;形态特性:详见产品说明书;相关产品有:SK Mel 24细胞、LIPF155C细胞、DMS-79细胞

HNE2 Cells;背景说明:鼻咽癌;传代方法:1:2-1:3传代;每周换液2-3次。;生长特性:贴壁;形态特性:详见产品说明书;相关产品有:SKN-AS细胞、Panc-05.04细胞、HPAEC细胞

NOR 10 Cells;背景说明:详见相关文献介绍;传代方法:1:2-1:3传代;每周换液2-3次。;生长特性:贴壁或悬浮,详见产品说明书部分;形态特性:详见产品说明书;相关产品有:Capan1细胞、CTX TNA2细胞、Hut292细胞

MUGCHOR1 Cells;背景说明:骶骨脊索瘤;女性;传代方法:1:2-1:3传代;每周换液2-3次。;生长特性:贴壁;形态特性:详见产品说明书;相关产品有:no.11细胞、HCCC-9810细胞、WIL2S细胞

MDA-134 Cells;背景说明:该细胞1973年由R. Cailleau建系,源自74岁乳腺导管癌女性患者的胸腔积液,细胞生长缓慢,松散贴壁,生长过程中会脱落到培养基,不会汇合,过表达FGF受体;传代方法:1:2—1:4传代,每周换液2—3次;生长特性:松散贴壁生长;形态特性:上皮细胞样;相关产品有:CV1细胞、OACP4C细胞、LLC细胞

MDA-134 Cells;背景说明:该细胞1973年由R. Cailleau建系,源自74岁乳腺导管癌女性患者的胸腔积液,细胞生长缓慢,松散贴壁,生长过程中会脱落到培养基,不会汇合,过表达FGF受体;传代方法:1:2—1:4传代,每周换液2—3次;生长特性:松散贴壁生长;形态特性:上皮细胞样;相关产品有:CV1细胞、OACP4C细胞、LLC细胞

UMC-11 Cells;背景说明:肺肿瘤;男性;传代方法:1:2-1:3传代;每周换液2-3次。;生长特性:贴壁;形态特性:详见产品说明书;相关产品有:Human Embryo Kidney-2细胞、TSCCa细胞、SNU-620细胞

P-388 Cells;背景说明:详见相关文献介绍;传代方法:1:2传代;生长特性:贴壁生长;形态特性:详见产品说明书;相关产品有:ACC-3细胞、SKNBE2细胞、HLF细胞

NCI-SNU-119 Cells;背景说明:卵巢癌;女性;传代方法:1:2-1:3传代;每周换液2-3次。;生长特性:贴壁;形态特性:详见产品说明书;相关产品有:NRK clone 49F细胞、MDAMB134细胞、H-2172细胞

CT-26 WT Cells;背景说明:详见相关文献介绍;传代方法:1:2-1:3传代;每周换液2-3次。;生长特性:贴壁或悬浮,详见产品说明书部分;形态特性:详见产品说明书;相关产品有:Line 697细胞、CAL33细胞、Adult Retinal Pigment Epithelial cell line-19细胞

MDA.MB.435 Cells;背景说明:乳腺癌;传代方法:1:2-1:3传代;每周换液2-3次。;生长特性:贴壁;形态特性:详见产品说明书;相关产品有:B-cell with DC Morphology细胞、PCI-4.2细胞、Liver-02细胞

MD Anderson-Metastatic Breast-415 Cells;背景说明:这株细胞表达WNT7B癌基因。8168088].带瘤患者来自巴拉圭,虽然填报的是白人,但细胞表型存在G6PDA型,显示其属于混血。细胞株形成平展延伸的上皮细胞样,在电镜下呈现结节,伴随着延伸的微管和微板。不容易用胰酶消化。;传代方法:消化5-10分钟。1:2。4-5天长满。;生长特性:贴壁生长;形态特性:上皮细胞;相关产品有:GM17219细胞、UACC-812细胞、D-324 Med细胞

C3H 10T1/2 Cells;背景说明:详见相关文献介绍;传代方法:1:2-1:3传代;每周换液2-3次。;生长特性:贴壁或悬浮,详见产品说明书部分;形态特性:详见产品说明书;相关产品有:CA 46细胞、H2126细胞、HCC44细胞

DF1 Cells;背景说明:详见相关文献介绍;传代方法:1:2传代;生长特性:贴壁生长;形态特性:成纤维母细胞样;相关产品有:MD Anderson-Metastatic Breast-468细胞、H838细胞、MC3T3-E1 Subclone 14细胞

Hs 294T Cells;背景说明:详见相关文献介绍;传代方法:1:2-1:4传代,2-3天换液1次。;生长特性:贴壁生长;形态特性:混合星状和多边形;相关产品有:NTERA-2 clone D1细胞、OVCAR.5细胞、CHL细胞

SCg6 Cells(提供STR鉴定图谱)

MEL Cells;背景说明:DMSO可诱导该细胞向红系分化。;传代方法:1:2-1:3传代;每周换液2-3次。;生长特性:贴壁;形态特性:上皮细胞样;相关产品有:RS411细胞、QGP1细胞、TE 85 ClF-5细胞

DU 145人前列腺癌细胞实验室|已有STR图谱

NCIH889 Cells;背景说明:详见相关文献介绍;传代方法:每周换液2-3次;生长特性:贴壁或悬浮,详见产品说明书部分;形态特性:上皮细胞;相关产品有:LS180细胞、SK-HEP-1细胞、FHL 124细胞

Balb/c3T3 Cells;背景说明:胚胎;成纤维;自发永生;雄性;BALB/c;传代方法:1:2-1:3传代;每周换液2-3次。;生长特性:贴壁;形态特性:详见产品说明书;相关产品有:IPLB-SF 21AE细胞、DLM8细胞、BL6细胞

MCF12F Cells;背景说明:乳腺上皮细胞;女性;传代方法:1:2-1:3传代;每周换液2-3次。;生长特性:贴壁;形态特性:详见产品说明书;相关产品有:hs 68细胞、MGc80-3细胞、TM4细胞

H-526 Cells;背景说明:详见相关文献介绍;传代方法:每周换液2-3次。;生长特性:悬浮生长 ;形态特性:上皮细胞;相关产品有:HMEC-1细胞、GM05384细胞、Mono-Mac-1细胞

BT474 Cells;背景说明:详见相关文献介绍;传代方法:1:2-1:3传代;每周换液2-3次。;生长特性:贴壁或悬浮,详见产品说明书部分;形态特性:详见产品说明书;相关产品有:H-727细胞、McA-RH8994细胞、MS-751细胞

SKGIIIA Cells;背景说明:详见相关文献介绍;传代方法:2x10^4 cells/ml;生长特性:贴壁生长;形态特性:上皮细胞样;相关产品有:Strain L-929细胞、MDAMB415细胞、H1672细胞

WM-239A Cells;背景说明:黑色素瘤;女性;传代方法:1:2-1:3传代;每周换液2-3次。;生长特性:贴壁;形态特性:详见产品说明书;相关产品有:KYSE 410细胞、BRL-3A细胞、Mel-624细胞

UACC 812 Cells;背景说明:该细胞是由Liebovitz A等于1986年从一名43岁的白人女性乳腺导管癌患者的乳腺切除肿瘤组织中分离建立的;手术前该病人曾接受过广泛的化疗。该细胞HER-2/neu癌基因序列有15倍的扩增;雌激素受体ER、孕激素受体PR和糖蛋白P阴性。;传代方法:1:3传代;5-7天1次。 ;生长特性:贴壁生长;形态特性:上皮样;相关产品有:RL-952细胞、VMM5细胞、Tu212细胞

LADMAC Cells;背景说明:骨髓淋巴细胞;C3H;传代方法:1:2-1:3传代;每周换液2-3次。;生长特性:悬浮;形态特性:详见产品说明书;相关产品有:TO175T细胞、H-1623细胞、BC-009细胞

SKMel-28 Cells;背景说明:详见相关文献介绍;传代方法:1:3-1:8传代,2-3天换液1次。;生长特性:贴壁生长;形态特性:星形的;相关产品有:Line 207细胞、NCIH446细胞、4T1.2细胞

TE-13 Cells;背景说明:食管鳞癌;男性;传代方法:1:2-1:3传代;每周换液2-3次。;生长特性:贴壁;形态特性:详见产品说明书;相关产品有:Jurkat clone A3细胞、MT4细胞、SuDHL 1细胞

Panc-05.04 Cells;背景说明:详见相关文献介绍;传代方法:1:2传代;生长特性:贴壁生长;形态特性:上皮样;相关产品有:LLC-PK-1细胞、NOMO1细胞、U-266 AR1细胞

HFF-1 Cells;背景说明:详见相关文献介绍;传代方法:1:5-1:7传代;生长特性:贴壁生长;形态特性:成纤维细胞;相关产品有:SHI-1细胞、H2.35细胞、JROECL19细胞

BayGenomics ES cell line CSI181 Cells(提供STR鉴定图谱)

BayGenomics ES cell line RST407 Cells(提供STR鉴定图谱)

C1498-eGFP-Puro Cells(提供STR鉴定图谱)

LAG Cells(提供STR鉴定图谱)

Psi-CRIP-MFGmLT Cells(提供STR鉴定图谱)

RENTts3.1 Cells(提供STR鉴定图谱)

"



DU 145人前列腺癌细胞实验室|已有S;传代细胞;复苏细胞;实验细胞;科研细胞;

公司简介

上海冠导生物工程有限公司,先后从ATCC、DSMZ、ECACC、RIKEN、PromoCell、ScienCell、JCRB等国内外细胞库引进细胞2000余株。以此为契机,公司组建了冠导细胞库,我司细胞均由资深细胞培养工程师进行培养。我司可以提供的细胞有:①细胞系②原代细胞③稳转株④耐药株⑤标记细胞⑥细胞配套试剂等。

成立日期 (11年)
注册资本 100万(元)
员工人数 50-100人
年营业额 ¥ 1000万-5000万
经营模式 工厂,试剂,定制,服务
主营行业 细胞培养,微生物学,细胞生物学

DU 145人前列腺癌细胞实验室|已有STR图谱相关厂家报价 更多

  • DU 145
  • DU 145
  • 吉奥蓝图(广东)生命科学技术中心 VIP
  • 2026-04-10
  • ¥10000
内容声明
拨打电话 立即询价