基本信息 产品详情 公司简介 推荐产品
网站主页 化工产品目录 生物 细胞培养 细胞系 人细胞系 Hep 3B2.1-7 Hep 3B2.1-7人肝癌细胞实验室|已有STR图谱
  • Hep 3B2.1-7人肝癌细胞实验室|已有STR图谱

Hep 3B2.1-7人肝癌细胞实验室|已有STR图谱

Hep 3B2.1-7
询价 1000000细胞数 起订
2000000细胞数 起订
上海 更新日期:2026-04-13

上海冠导生物工程有限公司

VIP6年
联系人:全经理
电话:18818239863拨打
邮箱:3171921642@qq.com

产品详情:

中文名称:
Hep 3B2.1-7人肝癌细胞实验室|已有STR图谱
英文名称:
Hep 3B2.1-7
品牌:
ATCC\RCB等
产地:
国外
保存条件:
常温培养或液氮冻存
纯度规格:
Hep 3B2.1-7人肝癌细胞实验室|已有STR图谱
产品类别:
化学试剂
种属:
详见产品资料
组织:
详见产品资料
细胞系:
详见产品资料
细胞形态:
详见产品资料
生长状态:
详见产品资料
靶点:
详见产品资料
应用:
详见产品资料

"Hep 3B2.1-7人肝癌细胞实验室|已有STR图谱

传代比例:1:2-1:4(首次传代建议1:2)

生长特性:贴壁生长

TYKnu Cells;背景说明:详见相关文献介绍;传代方法:1:2传代;生长特性:贴壁生长;形态特性:详见产品说明书;相关产品有:NCIH1915细胞、OVSAHO细胞、Fortner's melanotic melanoma #3细胞

CCFSTTG1 Cells;背景说明:详见相关文献介绍;传代方法:1:3—1:6传代;每周换液2-3次;生长特性:贴壁生长;形态特性:星形胶质细胞;相关产品有:CORL105细胞、HSAEC1-KT细胞、HCC2279细胞

Sp2/0 Cells;背景说明:该细胞是由绵羊红细胞免疫的BALB/c小鼠脾细胞和P3X63Ag8骨髓瘤细胞融合得到的。该细胞不分泌免疫球蛋白,对20μg/ml的8-氮鸟嘌呤有抗性,对HAT比较敏感;该细胞可以作为细胞融合时的B细胞组分用于制备杂交瘤;鼠痘病毒阴性。;传代方法:1:2传代;生长特性:悬浮生长;形态特性:淋巴母细胞样;圆形;相关产品有:H1623细胞、LS180细胞、NCIH187细胞

细胞冻存复苏材料与方法步骤:常用的细胞冷冻贮存器为贮存器,规格有35L和50L两种。使用时要注意以下几点:(1)一般两周需充一次,至少一个月充一次。温度达-196℃,使用时注意勿让溅到皮肤上,以免引起冻伤。(2)容器为双层结构,中间为真空层,瓶口有双层焊接处,应防止焊接部裂开。(3)在装入时,要注意缓慢小心,并用厚纸卷筒或制漏斗作引导,使直达瓶底,如有专用灌注装置则更HAO。若为初次使用,加时更要缓慢,以免温度骤降而使容器损坏。细胞冻存时常备的材料有:0.25%胰蛋白酶,含10%~20%的血清培养,DMSO(分析纯)或无色新鲜甘油(121°C蒸气GAO压消毒),2mL安瓿(或专用细胞冻存管)、吸管、离心管、喷灯、纱布袋(或冻存管架)等。主要操作步骤为:(1)选择处于对数生长期的细胞,在冻存前一天ZuiHAO换。将多个培养瓶中的细胞培养 去掉,用0.25%胰蛋白酶消化。适时去掉胰蛋白酶,加入少量新培养。用吸管吸取培养反复吹打瓶壁上的细胞,使其成为均匀分散的细胞悬。悬浮生产细胞则不要消化处理。然后将细胞收集于离心管中离心(1000r/min,10分钟)。(2)去上清,加入含20%小牛血清的完全培养基,于4℃预冷15分钟后,逐滴加入已无菌的DMSO或甘油,用吸管轻轻吹打使细胞均匀,细胞浓度为3×106~1×107/mL之间。(3)将上述细胞分装于安瓿或专用冷冻塑料管中,安瓿装1~1.5mL在火焰喷灯上封口,封口处要完全封闭,圆滑无勾。冷冻管要将盖子盖紧,并标记HAO细胞名称和冻存日期,同时作HAO登记(日期、细胞种类及代次、冻存支数)。(4)将装HAO细胞的安瓿或冻存管装入沙布袋内;置于容器颈口处存放过夜,次日转入中。采用控制降温速度的方法也可采用下列步骤:先将安瓿置入4℃冰箱中2~3小时,再移至冰箱冷冻室内3~4小时,再吊入容器颈气态部分存放2小时,Zui后沉入中。细胞冻存在中可以长期保存,但为妥善起见,冻存半年后,ZuiHAO取出一只安瓿细胞复苏培养,观察生长情况,然后再继续冻存。

换液周期:每周2-3次

Hep 3B2.1-7人肝癌细胞实验室|已有STR图谱

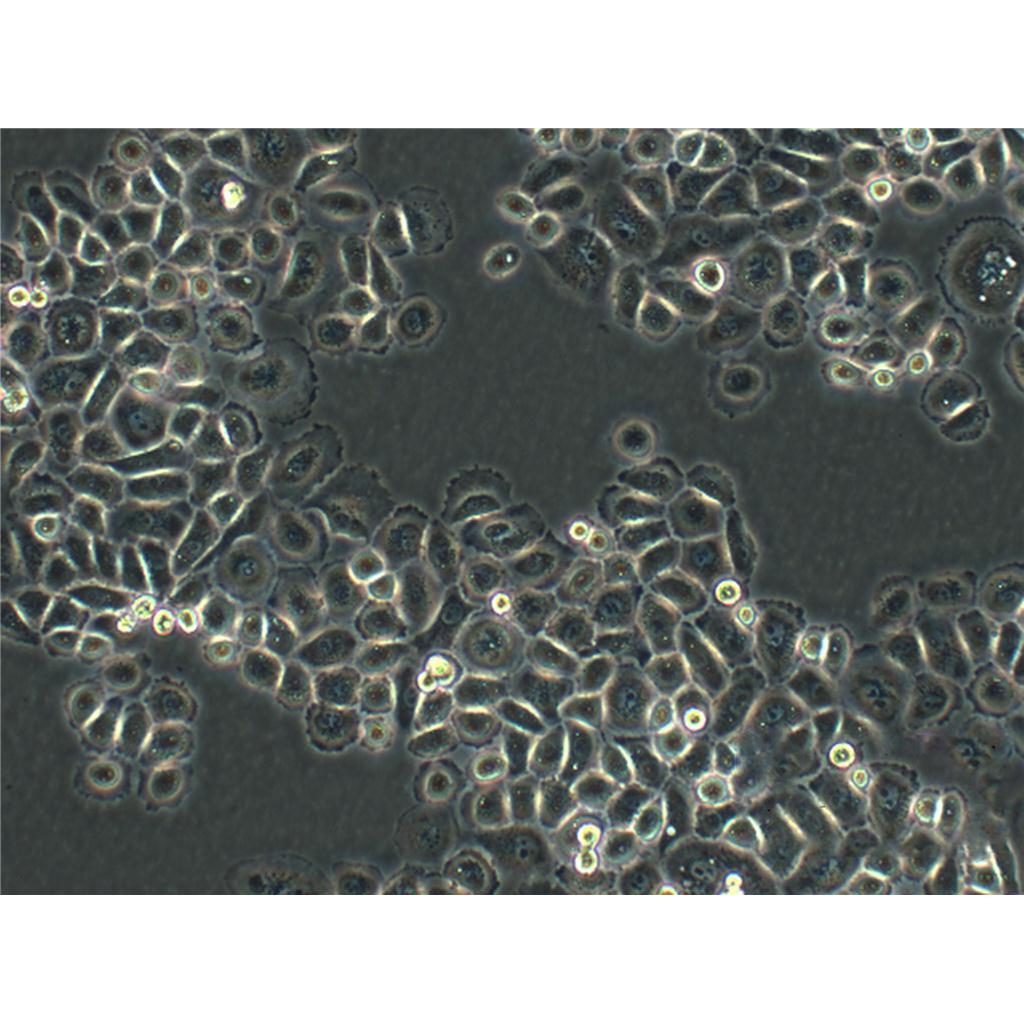
背景信息:是一种人肝癌细胞系,是来自8岁男性黑人的组织。Hep 3B2.1-7细胞的染色体模式数目为60,在裸鼠中能致瘤。Hep 3B2.1-7细胞整合了完整的乙型肝炎病毒基因组。

产品包装:复苏发货:T25培养瓶(一瓶)或冻存发货:1ml冻存管(两支)

公司细胞系形态漂亮、增殖倍数高、纯度高、功能性强,细胞培养就跟养孩子一个样。养孩子要喂奶,养细胞要加补液,都需要在前期补充足够的营养,初始状态的细胞或刚刚复苏的细胞还要适量加入血清或细胞因子来帮助它们的存活增殖,如果营养物质缺乏,细胞就会不生长甚至死亡。养孩子要从小培养学习,养细胞也得培养宝宝顺利生下来,你会经常抚摸他,给他看各种颜色,刺激他的五感。细胞也是一样,分离后的细胞需要使用特定的细胞因子进行活化、增殖。另外加入因子的种类、因子的浓度、加入时间、加入顺序都会影响细胞最终的结果。养孩子最怕孩子生病,养细胞最怕被污染,平时你会仔细观察宝宝是否呕吐、是否突然哭闹,猜测宝宝是否生病了。对于细胞,我们也需要时刻进行观察的,假如培养液浑浊(污染了),则需要换液后加抗生素;假如细胞增殖不明显,形态变差,则可能是因为营养不足了,对贴壁细胞可以消化后重新用新的培养基接种并加倍加入细胞因子含量;对悬浮细胞增殖能力不强的,则不着急补液,只是先补加血清、细胞因子看是否可以好转。培养时还得全程在无菌的环境,一个小小的偏差,细胞就会死亡。

来源说明:细胞主要来源ATCC、ECACC、DSMZ、RIKEN等细胞库

15B3 Cells(提供STR鉴定图谱)

LP1 Cells;背景说明:详见相关文献介绍;传代方法:1:2-1:3传代;每周换液2-3次。;生长特性:贴壁或悬浮,详见产品说明书部分;形态特性:详见产品说明书;相关产品有:SW480细胞、HCC 94细胞、AML12细胞

DV90 Cells;背景说明:详见相关文献介绍;传代方法:1:2-1:3传代;每周换液2-3次。;生长特性:贴壁或悬浮,详见产品说明书部分;形态特性:详见产品说明书;相关产品有:SRA01/04 (HLE)细胞、RenCa细胞、373 MG细胞

6-10B Cells;背景说明:鼻咽癌;传代方法:1:2-1:3传代;每周换液2-3次。;生长特性:贴壁;形态特性:详见产品说明书;相关产品有:SK-ChA-1细胞、OVCA8细胞、SU-86-86细胞

Hep 3B2.1-7人肝癌细胞实验室|已有STR图谱

物种来源:人源、鼠源等其它物种来源

形态特性:上皮细胞样

可以这样说,对于需要消化传代的细胞,每一次的消化都是对这个细胞存活与否,状态HAO与不HAO至关重要的考验。很多同学都遇到过这个问题,自己养的细胞开始的几代长的还挺HAO的,可是穿过几代之后就发现自己的细胞不行了,状态越来越差劲了。对于这个问题,可以非常肯定地说,你的消化环节出问题了。你每一次的消化都让细胞受到较大损伤了。所以,越长越差。在消化的过程中,你加入胰酶后,所有细胞都在被胰酶消化着,但是我们忽视了一个问题就是,细胞的生长状态是不一样的,每一个细胞的贴壁情况也是不一样的,有的贴壁牢固,有的贴壁没有那么牢固的,所以,让所有的细胞消化同样的时间对细胞是不公平的,他们受到了差别待遇当然会有脾气的,大家争取做到因材施教,比如试试下面的“四步消化法”。(以难消化细胞为例),具体操作:1)首先不加胰酶,倒掉旧培养基加入少量新培养基洗1-2遍(目的是将漂浮着的死细胞之类尽量洗掉)。2)然后再加入少量新培养基直接吹打一遍,这一遍是把贴壁不牢固的细胞吹打下来。再用培养基洗一遍,两次所得悬混合传入新瓶。(你可以将这些传入新瓶培养,以与后面胰酶消化过的细胞对比观察看谁长的更HAO一点就知道该细胞对胰酶的敏感度了)3)吸干净瓶内剩余体,加入0.3ml左右的胰酶润洗一遍,吸掉弃之,再加入1ml左右的胰酶消化。消化的同时置于显微镜下观察,待细胞与细胞之间间隙明显的时候立即吸掉胰酶,加入新培养基开始吹打,吹打2-3遍后吸取悬于试管或新瓶暂存。用2ml左右新培养基洗一遍与前面的混合。(也可以传入新瓶培养,以与后面及前面的做对比)4)然后把前面刚吸出来的胰酶重新加进去瓶里继续消化剩余的贴壁牢固的细胞。当然你也可以用新的胰酶,如果你们那比较富裕的话,继续镜下观察,待剩余细胞间隙明显,细胞独立开来的时候,吸掉胰酶,加入新培养基吹打。悬传入新瓶培养(根据实际情况把握)。

FDC-P1 Cells;背景说明:详见相关文献介绍;传代方法:2-3天换液1次;生长特性:悬浮生长;形态特性:淋巴母细胞;相关产品有:CMT-93细胞、NCTC clone 929细胞、COLO 829细胞

Medical Research Council cell strain-9 Cells;背景说明:详见相关文献介绍;传代方法:1:2-1:3传代;每周换液2-3次。;生长特性:贴壁或悬浮,详见产品说明书部分;形态特性:详见产品说明书;相关产品有:NCIH441细胞、T24(ECV304)细胞、H4-II-E-C3细胞

PZ-HPV-7 Cells;背景说明:前列腺上皮细胞;HPV18转化;男性;传代方法:1:2-1:3传代;每周换液2-3次。;生长特性:贴壁;形态特性:详见产品说明书;相关产品有:NCI-SNU-216细胞、174xCEM.T2细胞、HEK-293FT细胞

SK BR 03 Cells;背景说明:这株细胞源自胸水。没有病毒颗粒。亚显微结构特征包括微丝和桥粒,肝糖原颗粒,大溶酶体,成束的细胞质纤丝。SK-BR-3细胞株过表达HER2/c-erb-2基因产物。;传代方法:消化3-5分钟,1:2,3天内可长满;生长特性:贴壁生长;形态特性:上皮样;相关产品有:3T3NIH细胞、KTC1细胞、Hs 739.T细胞

YD-38 Cells;背景说明:详见相关文献介绍;传代方法:1:2传代;生长特性:贴壁或悬浮,详见产品说明书部分;形态特性:详见产品说明书;相关产品有:H64细胞、293-FT细胞、MS 751细胞

FLC-7 Cells;背景说明:详见相关文献介绍;传代方法:1:2-1:3传代;每周换液2-3次。;生长特性:贴壁或悬浮,详见产品说明书部分;形态特性:详见产品说明书;相关产品有:B16 F10细胞、B95-8细胞、Menschliche Und Tierische Zellkulture-1细胞

Panc_04_03 Cells;背景说明:详见相关文献介绍;传代方法:1:2传代;生长特性:贴壁生长;形态特性:上皮样;相关产品有:YD38细胞、J 111细胞、SNU-739细胞

ECV304 Cells;背景说明:详见相关文献介绍;传代方法:1:2-1:3传代;每周换液2-3次。;生长特性:贴壁或悬浮,详见产品说明书部分;形态特性:详见产品说明书;相关产品有:H82细胞、3T3L1细胞、GOS-3细胞

MHCC97L Cells;背景说明:来源于中山医院,生长较缓慢;传代方法:1:2传代;生长特性:贴壁生长;形态特性:上皮样;相关产品有:MESSADX5细胞、COLO 741细胞、CEM-C7细胞

HEL-92_1_7 Cells;背景说明:详见相关文献介绍;传代方法:每周2-3次。;生长特性:悬浮生长;形态特性:成淋巴细胞;相关产品有:SKG-IIIa细胞、H4-IIE-C3细胞、NCI H226细胞

MKN74 Cells;背景说明:胃癌;女性;传代方法:1:2-1:3传代;每周换液2-3次。;生长特性:贴壁;形态特性:详见产品说明书;相关产品有:AtT20细胞、NCI-H838细胞、VeroC1008细胞

GM00637B Cells;背景说明:详见相关文献介绍;传代方法:1:2-1:3传代;每周换液2-3次。;生长特性:贴壁或悬浮,详见产品说明书部分;形态特性:详见产品说明书;相关产品有:Neukoplast细胞、L-M(TK-)细胞、alphaTC1 Clone 6细胞

NCI-H-69 Cells;背景说明:详见相关文献介绍;传代方法:1:2—1:4传代,每周换液2次;生长特性:悬浮生长,聚团;形态特性:聚团悬浮;相关产品有:DHL-8细胞、HCT116细胞、Fao细胞

BCP1 Cells;背景说明:详见相关文献介绍;传代方法:维持细胞浓度在2×105/ml-1×106/ml;根据细胞浓度每2-3天补液1次。;生长特性:悬浮生长 ;形态特性:淋巴母细胞样;相关产品有:M4e细胞、SK-CO-1细胞、IOSE29细胞

NCI-H2085 Cells;背景说明:详见相关文献介绍;传代方法:1:3-1:6传代 ;生长特性:贴壁生长;形态特性:上皮细胞;相关产品有:L-6细胞、H-7721细胞、HT55细胞

H-378 Cells;背景说明:小细胞肺癌;胸腔积液转移;女性;传代方法:1:2-1:3传代;每周换液2-3次。;生长特性:贴壁;形态特性:详见产品说明书;相关产品有:SW839细胞、NCI-H87细胞、Alpha Mouse Liver 12细胞

Eph4 1424 Cells;背景说明:乳腺癌;传代方法:1:2-1:3传代;每周换液2-3次。;生长特性:贴壁;形态特性:详见产品说明书;相关产品有:HDMEC细胞、RBMVEC细胞、LC-2-Ad细胞

Hep 3B2.1-7人肝癌细胞实验室|已有STR图谱

Abcam A-549 HIF1A KO Cells(提供STR鉴定图谱)

Abcam THP-1 STIP1 KO Cells(提供STR鉴定图谱)

BayGenomics ES cell line CSD378 Cells(提供STR鉴定图谱)

BayGenomics ES cell line RRT120 Cells(提供STR鉴定图谱)

BayGenomics ES cell line YTC289 Cells(提供STR鉴定图谱)

CHL AR-10 Cells(提供STR鉴定图谱)

DA02205 Cells(提供STR鉴定图谱)

DA05033 Cells(提供STR鉴定图谱)

G4 [Mouse germ stem cell] Cells(提供STR鉴定图谱)

B10BR Cells;背景说明:永生化黑素 Cells;传代方法:1:2-1:3传代;每周换液2-3次。;生长特性:贴壁;形态特性:详见产品说明书;相关产品有:NCI-H838细胞、OVCA5细胞、IPEC-1细胞

U-2932 Cells;背景说明:弥漫大B淋巴瘤;女性;传代方法:1:2-1:3传代;每周换液2-3次。;生长特性:悬浮;形态特性:详见产品说明书;相关产品有:Hs 839.T细胞、P3HR1细胞、NRK52E细胞

COLO-320DM Cells;背景说明:该细胞可产生5-羟色胺、去甲、、ACTH和甲状旁腺素。角蛋白、波形蛋白弱阳性。培养条件: RPMI 1640  10%FBS;传代方法:1:2-1:3传代;每周换液2-3次。;生长特性:悬浮+贴壁;形态特性:淋巴细胞;相关产品有:NCI-H510A细胞、L-cell细胞、PK-15细胞

293 Ad5 Cells;背景说明:详见相关文献介绍;传代方法:1:2-1:3传代;每周换液2-3次。;生长特性:贴壁或悬浮,详见产品说明书部分;形态特性:详见产品说明书;相关产品有:MO59J细胞、639V细胞、NCIADR.RES细胞

SG231 Cells;背景说明:肝内胆管癌;男性;传代方法:1:2-1:3传代;每周换液2-3次。;生长特性:贴壁;形态特性:详见产品说明书;相关产品有:K7M2细胞、32Dc3细胞、MRMT-1细胞

MIHA Cells;背景说明:肝;传代方法:1:2-1:3传代;每周换液2-3次。;生长特性:贴壁;形态特性:详见产品说明书;相关产品有:HCS-2/8细胞、NPC-039细胞、PaTu8988s细胞

FK81 Cells;背景说明:肾;自发永生;雌性;传代方法:1:2-1:3传代;每周换液2-3次。;生长特性:贴壁;形态特性:详见产品说明书;相关产品有:TK-10细胞、DMS53细胞、A375SM细胞

Factor Dependent Cell-Paterson 1 Cells;背景说明:详见相关文献介绍;传代方法:2-3天换液1次;生长特性:悬浮生长;形态特性:淋巴母细胞;相关产品有:HeLa S-3细胞、RPMI-8402细胞、G-Olig2细胞

T47-D Cells;背景说明:浸润性导管癌;胸腔积液转移;女性;传代方法:1:2-1:3传代;每周换液2-3次。;生长特性:贴壁;形态特性:详见产品说明书;相关产品有:L 1210细胞、EFM-19细胞、CAL 33细胞

Metastatic Variant 522 Cells;背景说明:肺腺癌;女性;传代方法:1:2-1:3传代;每周换液2-3次。;生长特性:贴壁;形态特性:详见产品说明书;相关产品有:ZR-75-30细胞、MV3细胞、MKN-74细胞

Huh-7.5.1 Cells;背景说明:肝癌;男性;传代方法:1:2-1:3传代;每周换液2-3次。;生长特性:贴壁;形态特性:详见产品说明书;相关产品有:L-cells细胞、NPA87细胞、SMA-560细胞

C2A Cells;背景说明:详见相关文献介绍;传代方法:每周两次换液;生长特性:松散附着、多单元的聚合;形态特性:上皮细胞样;相关产品有:HaCaT细胞、MD Anderson-Metastatic Breast-435细胞、Hs445细胞

NCI-H1869 Cells;背景说明:详见相关文献介绍;传代方法:1:3-1:4传代;每周换液2次。;生长特性:贴壁生长;形态特性:上皮细胞;相关产品有:LS-1034细胞、ssMCF7细胞、TGHAVSMC细胞

TOV112 Cells;背景说明:详见相关文献介绍;传代方法:1:2-1:3传代,3-4天换液1次。;生长特性:贴壁生长;形态特性:上皮细胞;相关产品有:SKHEP-1细胞、DU145细胞、Hs683细胞

KYSE30 Cells;背景说明:来源于一位64岁,患有高分化的中段食管鳞癌的男性患者。;传代方法:1:2-1:3传代;每周换液2-3次。;生长特性:贴壁;形态特性:上皮细胞样;相关产品有:MCF7/WT细胞、Lymph Node Carcinoma of the prostate细胞、HCA7细胞

GM18378 Cells(提供STR鉴定图谱)

HAP1 IFI6 (-) 1 Cells(提供STR鉴定图谱)

SCH Cells;背景说明:详见相关文献介绍;传代方法:1:2-1:3传代;每周换液2-3次。;生长特性:贴壁或悬浮,详见产品说明书部分;形态特性:详见产品说明书;相关产品有:SUP T1细胞、Metastatic Variant 522细胞、DoHH-2细胞

KS-SLK Cells;背景说明:肉瘤;传代方法:1:2-1:3传代;每周换液2-3次。;生长特性:贴壁;形态特性:详见产品说明书;相关产品有:SNU-668细胞、Mink Lung细胞、Nthy-ori 3-1细胞

RPMI-8402 Cells;背景说明:急性T淋巴细胞白血病;女性;传代方法:1:2-1:3传代;每周换液2-3次。;生长特性:悬浮;形态特性:详见产品说明书;相关产品有:SuperTube细胞、ABE­8.1/2细胞、HDMEC细胞

ONS76 Cells;背景说明:详见相关文献介绍;传代方法:1:2传代;生长特性:贴壁生长;形态特性:上皮样;相关产品有:TCam 2细胞、He-La细胞、MG63细胞

COV 504 Cells;背景说明:详见相关文献介绍;传代方法:1:2传代;生长特性:贴壁生长;形态特性:上皮细胞;相关产品有:HGBEC细胞、NCI-H520细胞、L-132细胞

LS180 Cells;背景说明:详见相关文献介绍;传代方法:1:2-1:3传代;每周换液2-3次。;生长特性:贴壁或悬浮,详见产品说明书部分;形态特性:详见产品说明书;相关产品有:SW982细胞、MDA-MB453细胞、Hs 294T细胞

LLC1 Cells;背景说明:详见相关文献介绍;传代方法:1:2-1:3传代;每周换液2-3次。;生长特性:贴壁或悬浮,详见产品说明书部分;形态特性:详见产品说明书;相关产品有:JHH-7细胞、MDA-MB435细胞、JROECL33细胞

VMM39 Cells;背景说明:黑色素瘤;神经节转移;男性;传代方法:1:2-1:3传代;每周换液2-3次。;生长特性:贴壁;形态特性:详见产品说明书;相关产品有:A498细胞、SK-ML2细胞、KCL22细胞

HPS0249 Cells(提供STR鉴定图谱)

JHU235i Cells(提供STR鉴定图谱)

MDA-MB-231/Luciferase-2A-RFP Cells(提供STR鉴定图谱)

ND36940 Cells(提供STR鉴定图谱)

PrecisION hKv7.2/Kv7.3-CHO Cells(提供STR鉴定图谱)

TM Cells(提供STR鉴定图谱)

UCT0130 Cells(提供STR鉴定图谱)

HCC1954-LCC1 Cells(提供STR鉴定图谱)

NCI-H2126 Cells;背景说明:详见相关文献介绍;传代方法:1:2-1:4传代,每周2-3次。;生长特性:贴壁生长;形态特性:上皮细胞样;相关产品有:NCIH1651细胞、BNL-HCC细胞、H-441细胞

AU-Mel Cells;背景说明:详见相关文献介绍;传代方法:1:3-1:8传代,2-3天换液1次。;生长特性:贴壁生长;形态特性:星形的;相关产品有:RKO-AS45-1细胞、B 95-8细胞、NCI-157细胞

GLC-82 Cells;背景说明:详见相关文献介绍;传代方法:1:2-1:3传代;每周换液2-3次。;生长特性:贴壁或悬浮,详见产品说明书部分;形态特性:详见产品说明书;相关产品有:C2C12细胞、NCI-H292细胞、1E8-H细胞

H-2052 Cells;背景说明:详见相关文献介绍;传代方法:1:3-1:6传代;生长特性:贴壁生长;形态特性:上皮细胞;相关产品有:SUM149-PT细胞、SCL II细胞、Hs 863.T细胞

SKCO 1 Cells;背景说明:该细胞来源于结直肠病人的转移性腹水。;传代方法:1:2-1:3传代,每周2-3次。;生长特性:贴壁生长;形态特性:上皮细胞样;相关产品有:TE32细胞、JJN3细胞、MDA-MB 231细胞

SKCO 1 Cells;背景说明:该细胞来源于结直肠病人的转移性腹水。;传代方法:1:2-1:3传代,每周2-3次。;生长特性:贴壁生长;形态特性:上皮细胞样;相关产品有:TE32细胞、JJN3细胞、MDA-MB 231细胞

SL-29 Cells;背景说明:胚成纤维细胞; White Leghorn SPAFAS;传代方法:1:2-1:3传代;每周换液2-3次。;生长特性:贴壁;形态特性:详见产品说明书;相关产品有:MB39细胞、LED-WiDr细胞、E0771细胞

TE14 Cells;背景说明:详见相关文献介绍;传代方法:消化3-5分钟。1:2。3天内可长满。;生长特性:贴壁生长;形态特性:上皮样;相关产品有:C3H/10T1/2 clone 8细胞、OVCAR10细胞、7404细胞

SVG p12 Cells;背景说明:星形胶质细胞;SV40转化;男性;传代方法:1:2-1:3传代;每周换液2-3次。;生长特性:贴壁;形态特性:详见产品说明书;相关产品有:NCI-H1688细胞、HEP3B2细胞、CAL78细胞

ID8/MOSEC Cells;背景说明:详见相关文献介绍;传代方法:1:2传代;生长特性:贴壁生长 ;形态特性:详见产品说明书;相关产品有:QGP1细胞、NCIN87细胞、ADR-RES细胞

SK_N_FI Cells;背景说明:详见相关文献介绍;传代方法:1:4传代,每周换液2次;生长特性:贴壁生长;形态特性:上皮样;相关产品有:UMUC1细胞、SUDHL4细胞、HMC-1细胞

SK MEL-28 Cells;背景说明:详见相关文献介绍;传代方法:1:3-1:8传代,2-3天换液1次。;生长特性:贴壁生长;形态特性:星形的;相关产品有:Mv 1 Lu细胞、SK-ChA1细胞、RGCs细胞

MDA-MB-436 Cells;背景说明:该细胞源于一名43岁患有乳腺腺癌女性的胸腔积液。;传代方法:1:2传代,每周换液2—3次;生长特性:贴壁生长;形态特性:多角形;相关产品有:CCRF/CEM/0细胞、MRASMC细胞、SCC090细胞

DV90 Cells;背景说明:详见相关文献介绍;传代方法:1:2-1:3传代;每周换液2-3次。;生长特性:贴壁或悬浮,详见产品说明书部分;形态特性:详见产品说明书;相关产品有:SRA01/04 (HLE)细胞、RenCa细胞、373 MG细胞

EB-2 Cells;背景说明:详见相关文献介绍;传代方法:4 X 105 cells/mL and maintain at between 4 X 105 and 1 X 106 cells/mL.,每2-3天换液;生长特性:悬浮生长 ;形态特性:淋巴母细胞样;相关产品有:Rainbow Trout Embryo细胞、U251n细胞、CHO-S细胞

SL12 Cells(提供STR鉴定图谱)

BEAS2B Cells;背景说明:从一位非癌个体的正常人支气管上皮病理切片分离出上皮细胞。这些细胞用腺病毒12-SV40病毒杂交病毒感染并克隆。DEAS-2B细胞保留了对血清反应进行鳞关分化的能力,并有用于筛选诱导或影响分化及致癌的化学或生物制剂。细胞角蛋白及SV40抗原染色阳性。;传代方法:消化3-5分钟。1:2。3天内可长满;生长特性:贴壁生长;形态特性:上皮细胞样;相关产品有:JOSK-M细胞、MCA 38细胞、WM-239-A细胞

Hep 3B2.1-7人肝癌细胞实验室|已有STR图谱

UMNSAH-DF1 Cells;背景说明:详见相关文献介绍;传代方法:1:2传代;生长特性:贴壁生长;形态特性:成纤维母细胞样;相关产品有:PC10细胞、BE(2)-M17细胞、CAL-12T细胞

UM-UC3 Cells;背景说明:详见相关文献介绍;传代方法:1:2传代;生长特性:贴壁生长;形态特性:上皮细胞样;相关产品有:HEC1A细胞、H1299细胞、HD-LM-2细胞

Evsa-T Cells;背景说明:乳腺癌;腹水转移;女性;传代方法:1:2-1:3传代;每周换液2-3次。;生长特性:贴壁;形态特性:详见产品说明书;相关产品有:PC-9S1细胞、C42细胞、NCI-H1703细胞

P-2003 Cells;背景说明:详见相关文献介绍;传代方法:每周2-3次。;生长特性:悬浮生长;形态特性:淋巴母细胞;相关产品有:SCC 15细胞、TYK-nu细胞、HSAS4细胞

HCT 116 Cells;背景说明:结肠腺癌;男性;传代方法:1:2-1:3传代;每周换液2-3次。;生长特性:贴壁;形态特性:详见产品说明书;相关产品有:H1694细胞、MOLT-16细胞、Metastatic Variant-522细胞

HPF Cells;背景说明:肺;成纤维 Cells;传代方法:1:2-1:3传代;每周换液2-3次。;生长特性:贴壁;形态特性:详见产品说明书;相关产品有:2B4-L细胞、SVHUC细胞、Hepatoma-22细胞

Henrietta Lacks cells Cells;背景说明:HeLa是第一个来自人体组织经连续培养获得的非整倍体上皮样细胞系,它由GeyGO等在1951年从31岁女性黑人的宫颈癌组织建立。经原始组织切片重新观察,Jones等将其诊断为腺癌。已知该细胞系含有人乳头状瘤病毒HPV18序列,需在2级生物安全防护台操作。该细胞角蛋白阳性,p53表达量较低,但表达正常水平的pRB(视网膜母细胞瘤抑制因子)。;传代方法:1:3传代,2-3天换液一次;生长特性:贴壁生长;形态特性:上皮样;相关产品有:IM 9细胞、OVHM细胞、MOLT16细胞

NCI-H128 Cells;背景说明:小细胞肺癌;胸腔积液转移;男性;传代方法:1:2-1:3传代;每周换液2-3次。;生长特性:贴壁;形态特性:详见产品说明书;相关产品有:UO.31细胞、YTMLC-90细胞、GM03573A细胞

BNL CL2 Cells;背景说明:详见相关文献介绍;传代方法:1:2传代;生长特性:贴壁生长 ;形态特性:详见产品说明书;相关产品有:BT 20细胞、MCA205细胞、Hs 870.T细胞

RL95 Cells;背景说明:这些细胞有α角蛋白,定义明确的连接复合体,张力丝和表面微绒毛。;传代方法:1:2传代;生长特性:贴壁生长;形态特性:上皮样;相关产品有:MMVECs细胞、HSAS3细胞、NEC-8细胞

SNU-354 Cells;背景说明:详见相关文献介绍;传代方法:1:2传代;生长特性:贴壁生长;形态特性:上皮细胞样;相关产品有:SK RC 20细胞、HemECs细胞、KTA-7细胞

RPMI 2650 Cells;背景说明:头颈鳞癌;胸腔积液转移;男性;传代方法:1:2-1:3传代;每周换液2-3次。;生长特性:贴壁;形态特性:详见产品说明书;相关产品有:L-540细胞、Hs27细胞、SupB15W细胞

MLE12 Cells;背景说明:肺;上皮细胞;SV40转化;FVB/N;传代方法:1:2-1:3传代;每周换液2-3次。;生长特性:贴壁;形态特性:详见产品说明书;相关产品有:U-266细胞、Capan-2细胞、HCT-FET细胞

BayGenomics ES cell line CSD030 Cells(提供STR鉴定图谱)

BayGenomics ES cell line RRS720 Cells(提供STR鉴定图谱)

BayGenomics ES cell line YTC118 Cells(提供STR鉴定图谱)

ImM10 Cells(提供STR鉴定图谱)

PCRP-SIX5-2B11 Cells(提供STR鉴定图谱)

LINTERNA PC-12 Cells(提供STR鉴定图谱)

"



Hep 3B2.1-7人肝癌细胞实验室|;传代细胞;复苏细胞;实验细胞;科研细胞;

公司简介

上海冠导生物工程有限公司,先后从ATCC、DSMZ、ECACC、RIKEN、PromoCell、ScienCell、JCRB等国内外细胞库引进细胞2000余株。以此为契机,公司组建了冠导细胞库,我司细胞均由资深细胞培养工程师进行培养。我司可以提供的细胞有:①细胞系②原代细胞③稳转株④耐药株⑤标记细胞⑥细胞配套试剂等。

成立日期 (11年)
注册资本 100万(元)
员工人数 50-100人
年营业额 ¥ 1000万-5000万
经营模式 工厂,试剂,定制,服务
主营行业 细胞培养,微生物学,细胞生物学

Hep 3B2.1-7人肝癌细胞实验室|已有STR图谱相关厂家报价 更多

内容声明
拨打电话 立即询价