基本信息 产品详情 公司简介 推荐产品
网站主页 化工产品目录 生物 细胞培养 细胞系 人细胞系 人结肠癌细胞 SW620人结肠癌细胞实验室|已有STR图谱
  • SW620人结肠癌细胞实验室|已有STR图谱

SW620人结肠癌细胞实验室|已有STR图谱

SW620
询价 1000000细胞数 起订
2000000细胞数 起订
上海 更新日期:2026-04-24

上海冠导生物工程有限公司

VIP6年
联系人:全经理
电话:18818239863拨打
邮箱:3171921642@qq.com

产品详情:

中文名称:
SW620人结肠癌细胞实验室|已有STR图谱
英文名称:
SW620
品牌:
ATCC\RCB等
产地:
国外
保存条件:
常温培养或液氮冻存
纯度规格:
SW620人结肠癌细胞实验室|已有STR图谱
产品类别:
化学试剂
种属:
详见产品资料
组织:
详见产品资料
细胞系:
详见产品资料
细胞形态:
详见产品资料
生长状态:
详见产品资料
靶点:
详见产品资料
应用:
详见产品资料

"SW620人结肠癌细胞实验室|已有STR图谱

传代比例:1:2-1:4(首次传代建议1:2)

生长特性:贴壁生长

A 253 Cells;背景说明:详见相关文献介绍;传代方法:1:2-1:3传代;每周换液2-3次。;生长特性:贴壁或悬浮,详见产品说明书部分;形态特性:详见产品说明书;相关产品有:P31 FUJ细胞、HFLS-RA细胞、FOXNY细胞

NS1/1-Ag4.1 Cells;背景说明:这是P3X63Ag8(ATCCTIB-9)的一个不分泌克隆。Kappa链合成了但不分泌。能抗0.1mM8-氮杂鸟嘌呤但不能在HAT培养基中生长。据报道它是由于缺失了3-酮类固醇还原酶活性的胆固醇营养缺陷型。检测表明肢骨发育畸形病毒(鼠痘)阴性。;传代方法:1:2传代,3天内可长满。;生长特性:悬浮生长;形态特性:淋巴母细胞;相关产品有:JEG-3细胞、SW 839细胞、MCF-7ADR细胞

K 562 Cells;背景说明:详见相关文献介绍;传代方法:1:2-1:3传代;每周换液2-3次。;生长特性:贴壁或悬浮,详见产品说明书部分;形态特性:详见产品说明书;相关产品有:Walker/LLC-WRC 256细胞、RPMI2650细胞、H-1568细胞

细胞复苏后贴壁细胞较少的问题分析:总结1:复苏过程没有问题,是否是从拿出直接放入温水,还有培养箱,二氧化碳浓度,培养基、PH值等环节。要么加GAO浓度FBS 15-20%,看看能否帮助贴壁,当然也需要考虑血清问题,还有确信拿来的细胞没问题。总结2:首先应该怀疑冻存,实际上复苏出问题的可能非常小,因为操作简单,而且死板。1、你冻存的时候是不是消化的时间过长,这是一般人所注意不到的,即使书上也不讲这个问题,太长的消化时间会让细胞复苏时失去贴壁能力,表现为先贴后死,原因是在你复苏的时候细胞已进入凋亡程序,不可逆转的死亡。2、你的冻存HAO不HAO,是什么,甘油还是DMSO,质量非常重要,否则也会死亡。3、你的冻存的量加的是不是太多,AC推荐是不超过7%,大于5%,太多也不HAO。4、你在冻存的时候是不是把DMSO混均匀,这个有一些影响,但不算太大。5、你的冻存是否按部就班,就是所温度梯度是不是把握严格,很多人容易忘却这个事情,因为这个东西流程长。6、如果你细胞污染,你是否能很快看到,我比我的导师能早一天看到污染。从这个角度讲建议去除离心这步。7、你的细胞在冻存前是否过密。还有,不赞成孵箱污染这个概念的,所有在一个孵箱里的细胞都污染一个细菌的话,这个细菌是源于孵箱的,但这不代表孵箱污染,因为孵箱无论你如何处理都有大量的细菌,问题在操作。每次污染的原因都要尽可能的找,以后就不犯同样的问题,这个很重要,不能靠猜,否则你就有可能细胞养绝Zui后换课题,这个见得太多了,别不当会事。

换液周期:每周2-3次

SW620人结肠癌细胞实验室|已有STR图谱

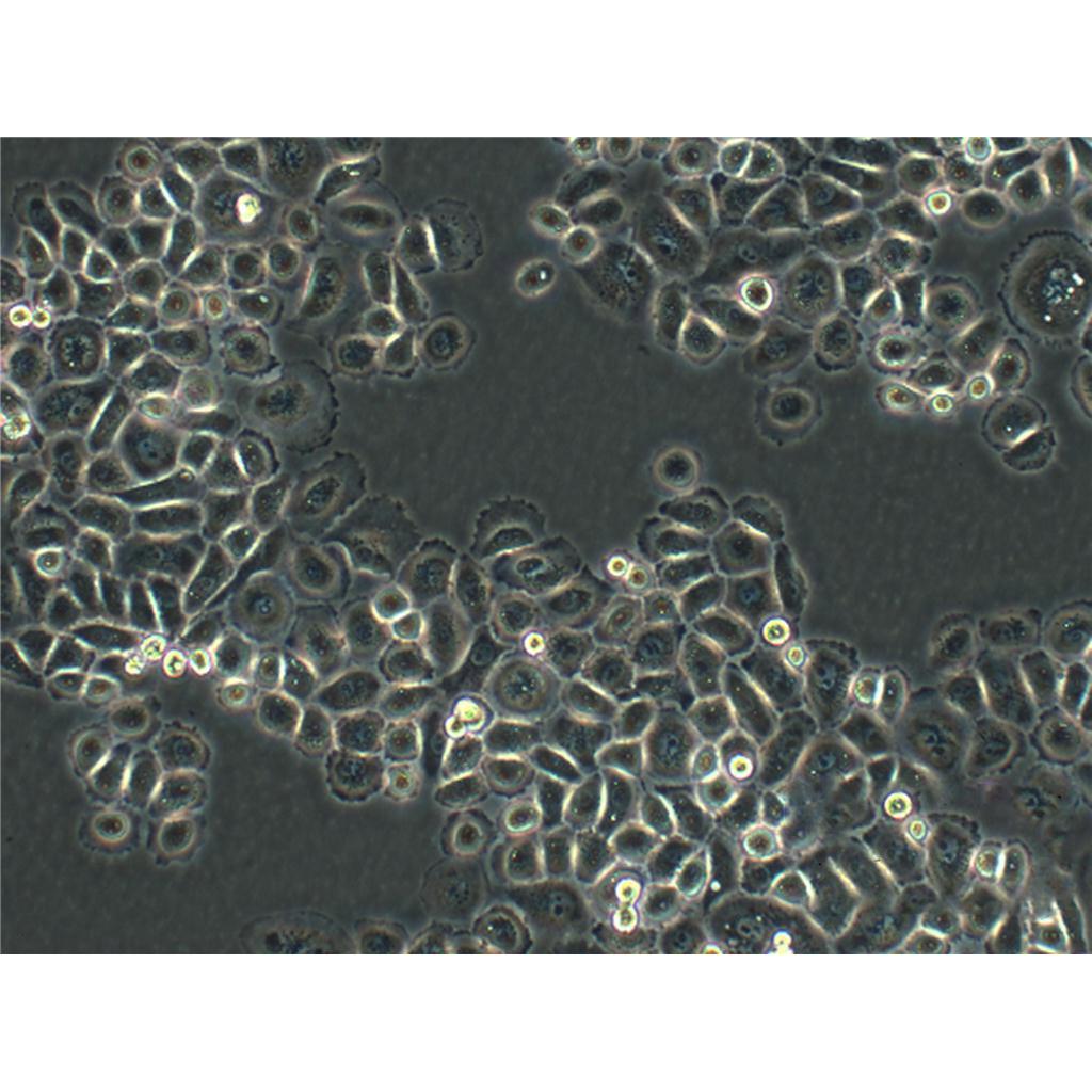
背景信息:SW620是从一个51岁男性白人组织中分离得到。由A.Leibovitz等从一个淋巴结建株。细胞系主要由无绒毛的小园球细胞和双细胞组成。它仅合成少量癌胚抗原(A)且在裸鼠中有高度的致瘤性

产品包装:复苏发货:T25培养瓶(一瓶)或冻存发货:1ml冻存管(两支)

公司细胞系培养稳定、耐活、复苏好,提供人源、鼠源、兔源、猪源等不同组织如肺、气管、支气管、甲状腺、胰腺、垂体、肾上腺、扁桃体、胸腺、肾、膀胱、输尿管、前列腺、心脏、血管等细胞系。全程提供细胞系组织来源、生长特性、细胞形态、背景资料、培养条件、冻存条件、参考文献、运输方式等产品信息及技术服务。

来源说明:细胞主要来源ATCC、ECACC、DSMZ、RIKEN等细胞库

22D1 Cells(提供STR鉴定图谱)

DHL-2 Cells;背景说明:弥漫性大细胞淋巴瘤;胸腔积液转移;女性;传代方法:1:2-1:3传代;每周换液2-3次。;生长特性:悬浮;形态特性:详见产品说明书;相关产品有:Normal Rat Kidney细胞、PL11细胞、Fu97细胞

hMSC-BM Cells;背景说明:详见相关文献介绍;传代方法:1:2-1:3传代;每周换液2-3次。;生长特性:贴壁或悬浮,详见产品说明书部分;形态特性:详见产品说明书;相关产品有:YT细胞、FAO-1细胞、NCIH1755细胞

NCI-H838 Cells;背景说明:该细胞于1984年建系,源于一位59岁患有非小细胞肺癌的白人男性吸烟者,从患者淋巴结转移灶分离而来。;传代方法:1:3-1:6传代;2-3天换液1次。;生长特性:贴壁生长;形态特性:上皮样;相关产品有:hTERT-RPE-1细胞、R1610细胞、Okayama University Medical School-23细胞

SW620人结肠癌细胞实验室|已有STR图谱

物种来源:人源、鼠源等其它物种来源

形态特性:上皮细胞样

绝大部分细胞消化的时候是只要用胰酶润洗一遍即可。吸去胰酶后,残留的那些无法计算体积的附着在细胞表面的微量胰酶在37℃一般不到2min足够消化细胞。对于这些细胞原则上不要用胰酶孵育细胞,连续这样传代,对细胞伤害很大。简单的程序是PBS润洗吸去,胰酶润洗吸去,然后37℃消化。比较难消化的细胞(润洗方法5min还不能消化),这样的细胞一般需要用少量胰酶孵育。不是细胞全部成间隔分布很离散的单个圆形才算消化HAO了,一般你肉眼观察贴壁细胞层,只要能移动了,多半呈沙壮移动,其实已经可以了,很多人喜欢把细胞消化或者吹打成完全分离细胞,这是没有必要的。一般能移动了,说明细胞与培养基质材料的附着已经消失了,细胞之间的附着也已经消失了,细胞已经独立分布了(虽然没有呈现很广的离散分布)。这个时候应该停止消化,不要等到看到镜下所有细胞都分离得非常HAO,间隙很大,才停止。细胞就是完全成单个细胞悬,之后在贴壁的过程中仍然会聚集,这个是贴壁培养的细胞,尤其是肿瘤细胞的一个性。如果和标准形态不一致,那可能是自己没消化HAO导致的,但如果消化方法正确,仍然成片分布,甚至完全吹打成单细胞悬,贴壁后仍然成片分布,这是细胞的性,是因为贴壁过程中重新聚集了。这个时候你拼了命要去让它均匀分布,你的细胞之后会对你越来越不HAO。

ECC12 Cells;背景说明:详见相关文献介绍;传代方法:1:2传代;生长特性:贴壁或悬浮,详见产品说明书部分;形态特性:详见产品说明书;相关产品有:HEK-EBNA细胞、U-118 MG细胞、Tadarida brasiliensis 1 lung细胞

SUDHL2 Cells;背景说明:弥漫性大细胞淋巴瘤;胸腔积液转移;女性;传代方法:1:2-1:3传代;每周换液2-3次。;生长特性:悬浮;形态特性:详见产品说明书;相关产品有:L-M (TK-)细胞、SV-HUC细胞、NCTC929细胞

ML-2 Cells;背景说明:急性髓单核细胞白血病;男性;传代方法:1:2-1:3传代;每周换液2-3次。;生长特性:悬浮;形态特性:详见产品说明书;相关产品有:CAMA细胞、H2452细胞、NCIH508细胞

HBZY 1 Cells;背景说明:详见相关文献介绍;传代方法:1:2传代;生长特性:贴壁生长;形态特性:上皮细胞样;相关产品有:HOS-MNNG细胞、HEK-293F细胞、REC1细胞

HFSF Cells;背景说明:北京眼科研究所建系;传代方法:1:3传代,3-4天换液一次;生长特性:贴壁生长;形态特性:成纤维细胞样;相关产品有:526-mel细胞、C4-I细胞、TE15细胞

H-1793 Cells;背景说明:详见相关文献介绍;传代方法:1:3-1:6传代 ;生长特性:贴壁生长;形态特性:上皮细胞;相关产品有:ECC-10细胞、Swiss 3T6细胞、SCC-25细胞

LC-2/ad Cells;背景说明:详见相关文献介绍;传代方法:1:2-1:3传代;每周换液2-3次。;生长特性:贴壁或悬浮,详见产品说明书部分;形态特性:详见产品说明书;相关产品有:TE-85 clone 5细胞、SDBMSC细胞、AG 9细胞

BT-325 Cells;背景说明:详见相关文献介绍;传代方法:1:2-1:3传代;每周换液2-3次。;生长特性:贴壁或悬浮,详见产品说明书部分;形态特性:详见产品说明书;相关产品有:SNU601细胞、Merwin Plasma Cell tumor-11细胞、NCI-H87细胞

D-324MED Cells;背景说明:详见相关文献介绍;传代方法:1:4-1:6传代;每周换液2-3次。;生长特性:贴壁生长;形态特性:多边形;相关产品有:SF 539细胞、A-875细胞、OE-33细胞

MCF-7 Cells;背景说明:MCF-7细胞保留了多个分化了的乳腺上皮的特性,包括:能通过胞质雌激素受体加工雌二醇并能形成圆形复合物(domes)。该细胞含有Tx-4癌基因。肿瘤坏死因子α(TNFalpha)可以抑制MCF-7细胞的生长。抗雌激素处理细胞能调变IGFBP'S的分泌。;传代方法:1:2传代,3-4天长满;生长特性:贴壁生长;形态特性:上皮样;相关产品有:MONO-MAC 6细胞、NCIH1436细胞、LS 513细胞

H322T Cells;背景说明:详见相关文献介绍;传代方法:1:2传代;生长特性:贴壁生长;形态特性:详见产品说明书;相关产品有:H676B细胞、MV-522细胞、U138MG细胞

Capan-1 Cells;背景说明:详见相关文献介绍;传代方法:1:2-1:4传代,2-3天换液1次。;生长特性:贴壁生长;形态特性:上皮细胞;相关产品有:COLO-1细胞、SNU-520细胞、RPMI1846细胞

U87 Cells;背景说明:详见相关文献介绍;传代方法:1:2-1:3传代;每周换液2-3次。;生长特性:贴壁或悬浮,详见产品说明书部分;形态特性:详见产品说明书;相关产品有:PANC1005细胞、ECC10细胞、RCM1细胞

NCTC clone 929 Cells;背景说明:详见相关文献介绍;传代方法:1:2-1:3传代;每周换液2-3次。;生长特性:贴壁或悬浮,详见产品说明书部分;形态特性:详见产品说明书;相关产品有:MDAMB157细胞、SU-DHL-1细胞、CCD19Lu细胞

SW-480 Cells;背景说明:SW480源自一位51岁白人男性患者的原位直肠腺癌,而SW620源自同一病人一年后的淋巴结转移灶。该细胞CSAp和直肠抗原3阴性;角蛋白阳性;p53基因第273位密码子的G→A突变引起Arg→His替代,309位密码子的C→T突变导致Pro→Ser替代;细胞p53蛋白表达水平升高;癌基因c-myc、K-ras、H-ras、N-ras、myb、sis和fos的表达呈阳性;未检测到癌基因N-myc的表达;不表达Matrilysin(一种与肿瘤侵袭相关的金属蛋白酶)。;传代方法:1:2传代,1-2天换液一次;生长特性:贴壁生长;形态特性:上皮样;相关产品有:NCI-H78细胞、MSB-1细胞、BALL-1细胞

OV1/P Cells;背景说明:详见相关文献介绍;传代方法:1:2-1:3传代;每周换液2-3次。;生长特性:贴壁或悬浮,详见产品说明书部分;形态特性:详见产品说明书;相关产品有:CA46细胞、MDAMB435细胞、CCD18细胞

HCC0015 Cells;背景说明:详见相关文献介绍;传代方法:1:2-1:3传代;每周换液2-3次。;生长特性:贴壁或悬浮,详见产品说明书部分;形态特性:详见产品说明书;相关产品有:COV434细胞、IBMF-7细胞、IMCD-3细胞

SW620人结肠癌细胞实验室|已有STR图谱

Abcam HCT 116 MLH1 KO Cells(提供STR鉴定图谱)

AG07720 Cells(提供STR鉴定图谱)

BayGenomics ES cell line CSJ257 Cells(提供STR鉴定图谱)

BayGenomics ES cell line TEA099 Cells(提供STR鉴定图谱)

BL-62 Cells(提供STR鉴定图谱)

ClearCa-3 Cells(提供STR鉴定图谱)

DA03458 Cells(提供STR鉴定图谱)

DA05767 Cells(提供STR鉴定图谱)

GM00014 Cells(提供STR鉴定图谱)

Sf21 Cells;背景说明:详见相关文献介绍;传代方法:1:2-1:3传代;每周换液2-3次。;生长特性:贴壁或悬浮,详见产品说明书部分;形态特性:详见产品说明书;相关产品有:U-251_MG细胞、NHRF细胞、HT-3细胞

GM03569 Cells;背景说明:该细胞是由绵羊红细胞免疫的BALB/c小鼠脾细胞和P3X63Ag8骨髓瘤细胞融合得到的。该细胞不分泌免疫球蛋白,对20μg/ml的8-氮鸟嘌呤有抗性,对HAT比较敏感;该细胞可以作为细胞融合时的B细胞组分用于制备杂交瘤;鼠痘病毒阴性。;传代方法:1:2传代;生长特性:悬浮生长;形态特性:淋巴母细胞样;圆形;相关产品有:UCLA NPA-87-1细胞、NCIH3255细胞、BV2细胞

COLO 829 Cells;背景说明:详见相关文献介绍;传代方法:1:3-1:6传代,2-3天换液1次。;生长特性:贴壁生长;形态特性:成纤维细胞;相关产品有:F81细胞、Swiss3T3细胞、SK-UT-1细胞

SK-N-BE Cells;背景说明:1972年11月从一们多次化疗及放疗的扩散性神经母细胞瘤患儿骨髓穿刺物中建立了SK-N-BE(2)神经母细胞瘤细胞株。 该细胞显示中等水平的多巴胺-β-羟基酶活性。 有报道称SK-N-BE(2)细胞的饱和浓度超过1x106细胞/平方厘米。细胞形态多样,有的有长突触,有的呈上皮细胞样。 细胞会聚集,形成团块并浮起;传代方法:1:2传代;生长特性:贴壁生长;形态特性:上皮细胞样;相关产品有:ROS 17/2.8细胞、CCD841CoN细胞、KYSE-410细胞

KMB-17 Cells;背景说明:详见相关文献介绍;传代方法:1:2传代;生长特性:贴壁生长 ;形态特性:详见产品说明书;相关产品有:TE354T细胞、IOSE-80细胞、Med 283细胞

GP2d Cells;背景说明:详见相关文献介绍;传代方法:1:2—1:3传代,每周换液2—3次;生长特性:贴壁生长;形态特性:上皮细胞;相关产品有:CCD19Lu细胞、GM2131细胞、GM637细胞

PK13 Cells;背景说明:详见相关文献介绍;传代方法:1:2—1:4传代,每周换液2—3次;生长特性:贴壁生长;形态特性:上皮细胞样;相关产品有:MIA PaCa-2细胞、MM1S细胞、BEAS-2B细胞

HM06.A1 Cells;背景说明:小胶质 Cells;传代方法:1:2-1:3传代;每周换液2-3次。;生长特性:贴壁;形态特性:详见产品说明书;相关产品有:NCI-H847细胞、H2029细胞、Calf Pulmonary Artery Endothelial细胞

F-81 Cells;背景说明:肾;自发永生;雌性;传代方法:1:2-1:3传代;每周换液2-3次。;生长特性:贴壁;形态特性:详见产品说明书;相关产品有:BIC细胞、WM266细胞、X63细胞

H548 Cells;背景说明:详见相关文献介绍;传代方法:1:2-1:3传代;每周换液2-3次。;生长特性:贴壁或悬浮,详见产品说明书部分;形态特性:详见产品说明书;相关产品有:Jurkat, Clone E6-1细胞、CCD18Co细胞、TSCCa细胞

MCF12A Cells;背景说明:非致瘤性乳腺上皮细胞;女性;传代方法:1:2-1:3传代;每周换液2-3次。;生长特性:贴壁;形态特性:详见产品说明书;相关产品有:EST50细胞、NCI-SNU-C2B细胞、GC-2细胞

MLO-Y4 Cells;背景说明:骨;SV40转化;传代方法:1:2-1:3传代;每周换液2-3次。;生长特性:贴壁;形态特性:详见产品说明书;相关产品有:HELF细胞、Hs 832(C).T细胞、Jiyoye (P-2003)细胞

DC 2.4 Cells;背景说明:详见相关文献介绍;传代方法:1:2传代;生长特性:贴壁生长 ;形态特性:详见产品说明书;相关产品有:526细胞、HFLS-OA细胞、NBL-S细胞

CO115 Cells;背景说明:结肠腺癌;女性;传代方法:1:2-1:3传代;每周换液2-3次。;生长特性:贴壁;形态特性:详见产品说明书;相关产品有:SK.MEL.5细胞、PECAPJ34细胞、MADB-106细胞

WERI-Rb-1 Cells;背景说明:WERI-Rb-I细胞株是1974年R.M. McFall 和 T.W. Sery建立的两株人眼癌细胞系中的一株。 细胞能在Difco Bacto-Agar中存活但不形成克隆。 扫描电镜显示在表面囊泡,板状伪足和微绒毛在数量上和频率上的改变。 细胞分化研究,肿瘤治疗的动物模型和生化评价都涉及这株细胞。;传代方法:消化3-5分钟。1:2。3天内可长满。;生长特性:贴壁生长;形态特性:圆形细胞聚集成葡萄状;相关产品有:HDLM-2细胞、RT112细胞、UM-UC-1细胞

GS70JTO(SVT)-1 Cells(提供STR鉴定图谱)

HAP1 PPEF1 (-) Cells(提供STR鉴定图谱)

Hs294T Cells;背景说明:详见相关文献介绍;传代方法:1:2-1:4传代,2-3天换液1次。;生长特性:贴壁生长;形态特性:混合星状和多边形;相关产品有:MDAPCa-2b细胞、DanG细胞、J-82细胞

251MG Cells;背景说明:U-251 MG分离至一位患者的胶质母细胞瘤组织。;传代方法:1:2-1:3传代;每周换液2-3次。;生长特性:贴壁;形态特性:成纤维细胞样;相关产品有:Hs-578T细胞、IMCD-3细胞、HN 4细胞

OV-2008 Cells;背景说明:宫颈鳞癌;女性;传代方法:1:2-1:3传代;每周换液2-3次。;生长特性:贴壁;形态特性:详见产品说明书;相关产品有:IPAM-WT细胞、MHCCLM3细胞、R1610细胞

DHL10 Cells;背景说明:详见相关文献介绍;传代方法:1:2-1:3传代;每周换液2-3次。;生长特性:悬浮;形态特性:淋巴母细胞;相关产品有:H1793细胞、TB-1 Lu细胞、32D CL3细胞

PANC.1 Cells;背景说明:这株人胰腺癌细胞株源自于胰腺癌导管细胞,其倍增时间为52小时。染色体研究表明,该细胞染色体众数为63,包括3个独特标记的染色体和1个小环状染色体。该细胞的生长可被1unit/ml的左旋天冬酰胺酶抑制;能在软琼脂上生长;能在裸鼠上成瘤。;传代方法:1:2-1:4传代;每周2-3次。;生长特性:贴壁生长;形态特性:上皮样;多角形;相关产品有:HEK293T/17细胞、Kupffer细胞、SCC 9细胞

H1395 Cells;背景说明:详见相关文献介绍;传代方法:1:2传代;5-6天传代一次。;生长特性:贴壁生长;形态特性:上皮样;多角形;相关产品有:MIO-M1细胞、Hs840_T细胞、Caco2BBe细胞

Hopkins-92 Cells;背景说明:详见相关文献介绍;传代方法:1:2-1:3传代;每周换液2-3次。;生长特性:贴壁或悬浮,详见产品说明书部分;形态特性:详见产品说明书;相关产品有:SKBr3细胞、H1650细胞、Panc 4.03细胞

COLO320-DM Cells;背景说明:该细胞可产生5-羟色胺、去甲、、ACTH和甲状旁腺素。角蛋白、波形蛋白弱阳性。培养条件: RPMI 1640  10%FBS;传代方法:1:2-1:3传代;每周换液2-3次。;生长特性:悬浮+贴壁;形态特性:淋巴细胞;相关产品有:HuO9细胞、RBMEC细胞、Cloudman S91 melanoma clone M-3细胞

hTERT-BMSC clone Y202 Cells(提供STR鉴定图谱)

KTCTL-48 Cells(提供STR鉴定图谱)

MRC-iPS-13 Cells(提供STR鉴定图谱)

OA-5ca Cells(提供STR鉴定图谱)

RKO EGFR (L858R/+) Cells(提供STR鉴定图谱)

Ubigene HeLa TRIM21 KO Cells(提供STR鉴定图谱)

XPH1PV Cells(提供STR鉴定图谱)

HBMF-SPH Cells(提供STR鉴定图谱)

A-2058 Cells;背景说明:详见相关文献介绍;传代方法:1:6-1:12传代,2-3天换液1次。;生长特性:贴壁生长;形态特性:上皮细胞;相关产品有:U-2-OS细胞、MC-3T3细胞、PK15细胞

EO771 Cells;背景说明:恶性乳腺癌;雌性;C57BL/6;传代方法:1:2-1:3传代;每周换液2-3次。;生长特性:贴壁;形态特性:详见产品说明书;相关产品有:NCIH841细胞、BALB/3T3 cl. A31细胞、Hs 852.T细胞

HCT.116 Cells;背景说明:结肠腺癌;男性;传代方法:1:2-1:3传代;每周换液2-3次。;生长特性:贴壁;形态特性:详见产品说明书;相关产品有:SO-Rb 50细胞、P3-X63-Ag8-653细胞、SHSY-5Y细胞

CCD19-Lu Cells;背景说明:肺成纤维细胞;女性;传代方法:1:2-1:3传代;每周换液2-3次。;生长特性:贴壁;形态特性:详见产品说明书;相关产品有:UCD-MLA-144细胞、NG 108-15细胞、AAV-293细胞

HCC1428 Cells;背景说明:详见相关文献介绍;传代方法:1:4-1:8传代;每周换液2-3次。;生长特性:贴壁生长,偶尔上皮细胞液泡的形成;形态特性:上皮细胞样;相关产品有:P-388细胞、CTLL-2细胞、NR8383.1细胞

HCC1428 Cells;背景说明:详见相关文献介绍;传代方法:1:4-1:8传代;每周换液2-3次。;生长特性:贴壁生长,偶尔上皮细胞液泡的形成;形态特性:上皮细胞样;相关产品有:P-388细胞、CTLL-2细胞、NR8383.1细胞

PC 61 Cells;背景说明:详见相关文献介绍;传代方法:1:2-1:3传代;每周换液2-3次。;生长特性:贴壁或悬浮,详见产品说明书部分;形态特性:详见产品说明书;相关产品有:CCF-STTG1细胞、Huh-7细胞、H-524细胞

HFL Cells;背景说明:详见相关文献介绍;传代方法:消化3-5分钟。1:2。3天内可长满。;生长特性:贴壁生长;形态特性:成纤维细胞样;相关产品有:HeLaS3细胞、hTERT RPE-1细胞、SKLU-1细胞

SuDHL 4 Cells;背景说明:详见相关文献介绍;传代方法:1:2-1:3传代;每周换液2-3次。;生长特性:悬浮;形态特性:淋巴母细胞;相关产品有:Evsa T细胞、H-1876细胞、WTRL1细胞

3D4/21 Cells;背景说明:肺泡巨噬细胞;SV40转化;Landrace;传代方法:1:2-1:3传代;每周换液2-3次。;生长特性:贴壁;形态特性:详见产品说明书;相关产品有:32D CL3细胞、MNNG/HOS Cl #5细胞、TFH细胞

HCASMC Cells;背景说明:冠状动脉平滑肌;传代方法:1:2-1:3传代;每周换液2-3次。;生长特性:贴壁;形态特性:详见产品说明书;相关产品有:NR-8383细胞、J-774细胞、MA-104细胞

HCC-1395 Cells;背景说明:详见相关文献介绍;传代方法:1:2传代,每周换液2—3次;生长特性:贴壁生长;形态特性:上皮样;相关产品有:SCaBER细胞、MOLP8细胞、HO1-N1细胞

SUM 52 Cells;背景说明:乳腺癌;胸腔积液转移;女性;传代方法:1:2-1:3传代;每周换液2-3次。;生长特性:贴壁;形态特性:详见产品说明书;相关产品有:MDA415细胞、SU86-86细胞、SKRC-20细胞

GAK Cells;背景说明:详见相关文献介绍;传代方法:8.4 x 10^4 cells / sq.cm.;生长特性:贴壁生长;形态特性:上皮细胞样;相关产品有:RSC-364细胞、C-28I2细胞、SVEC4-10细胞

SupB15WT Cells;背景说明:详见相关文献介绍;传代方法:1:2传代。3天内可长满。;生长特性:悬浮生长;形态特性:淋巴母细胞;相关产品有:H-1944细胞、IGROV 1细胞、ME 180细胞

SW13/cl.1 vim+ Cells(提供STR鉴定图谱)

NCI-H1623 Cells;背景说明:详见相关文献介绍;传代方法:每周换液2-3次。;生长特性:贴壁生长;形态特性:详见产品说明书;相关产品有:COLO 320HSR细胞、HHUA细胞、ST486细胞

SW620人结肠癌细胞实验室|已有STR图谱

SK-MEL-31 Cells;背景说明:详见相关文献介绍;传代方法:1:4-1:6传代,2-3天换液1次。;生长特性:贴壁生长;形态特性:上皮细胞;相关产品有:CHO cell clone K1细胞、Centre Antoine Lacassagne-39细胞、PC 61.5.3细胞

H-1417 Cells;背景说明:小细胞肺癌;女性;传代方法:1:2-1:3传代;每周换液2-3次。;生长特性:贴壁;形态特性:详见产品说明书;相关产品有:CFPAC1细胞、NCIH1581细胞、KOSC-2 cl3-43细胞

Mo 59J Cells;背景说明:详见相关文献介绍;传代方法:1:6-1:8传代;每周换液2-3次。;生长特性:贴壁生长;形态特性:成纤维细胞;相关产品有:GA-10 clone 4细胞、HuTu 80细胞、Ca759细胞

H-1693 Cells;背景说明:详见相关文献介绍;传代方法:1:2-1:3传代,每周换液2次。;生长特性:贴壁生长;形态特性:上皮细胞;相关产品有:3 LL细胞、Hs 274细胞、IHH4细胞

Nittby-Salford 1 Cells;背景说明:详见相关文献介绍;传代方法:1:2-1:3传代;每周换液2-3次。;生长特性:贴壁或悬浮,详见产品说明书部分;形态特性:详见产品说明书;相关产品有:FAK+/+细胞、H-1522细胞、Dx5细胞

MB49 Cells;背景说明:膀胱癌;雄性;C57BL/Icrfa(t);传代方法:1:2-1:3传代;每周换液2-3次。;生长特性:贴壁;形态特性:详见产品说明书;相关产品有:HOC细胞、SF-763细胞、Mhh-Call 2细胞

IM 9 Cells;背景说明:详见相关文献介绍;传代方法:1:3传代,2-3天传一代;生长特性:悬浮生长;形态特性:淋巴母细胞样;相关产品有:3T3 J2细胞、16HBEo-细胞、PANC 203细胞

IAR20 Cells;背景说明:肝; BDVI;传代方法:1:2-1:3传代;每周换液2-3次。;生长特性:贴壁;形态特性:详见产品说明书;相关产品有:SW 1222细胞、WIL2-S细胞、NCIH1573细胞

PC9 Cells;背景说明:详见相关文献介绍;传代方法:1:2传代;生长特性:贴壁生长;形态特性:上皮样;相关产品有:CNE1细胞、KYSE 510细胞、ETCC-007细胞

SGC996 Cells;背景说明:胆囊癌;女性;传代方法:1:2-1:3传代;每周换液2-3次。;生长特性:贴壁;形态特性:详见产品说明书;相关产品有:HEI-193细胞、SKMel-5细胞、SW480细胞

HEK-293-H Cells;背景说明:详见相关文献介绍;传代方法:1:2-1:3传代;每周换液2-3次。;生长特性:贴壁或悬浮,详见产品说明书部分;形态特性:详见产品说明书;相关产品有:LK-2细胞、H295细胞、293c18细胞

SCC-25 Cells;背景说明:详见相关文献介绍;传代方法:1:3-1:10传代,2-3天换液1次。;生长特性:贴壁生长;形态特性:上皮细胞;相关产品有:Y3细胞、EAC细胞、MDA-MB453细胞

NUGC-2 Cells;背景说明:详见相关文献介绍;传代方法:1:2-1:3传代;每周换液2-3次。;生长特性:贴壁或悬浮,详见产品说明书部分;形态特性:详见产品说明书;相关产品有:DU 4475细胞、H-446细胞、BEL7402细胞

BayGenomics ES cell line CSI158 Cells(提供STR鉴定图谱)

BayGenomics ES cell line RST382 Cells(提供STR鉴定图谱)

C1.18.4 Cells(提供STR鉴定图谱)

LA-2 Cells(提供STR鉴定图谱)

Psi-CRIP-MFGmG-CSF Cells(提供STR鉴定图谱)

REF-RGB Cells(提供STR鉴定图谱)

"



SW620人结肠癌细胞实验室|已有STR;传代细胞;复苏细胞;实验细胞;科研细胞;

公司简介

上海冠导生物工程有限公司,先后从ATCC、DSMZ、ECACC、RIKEN、PromoCell、ScienCell、JCRB等国内外细胞库引进细胞2000余株。以此为契机,公司组建了冠导细胞库,我司细胞均由资深细胞培养工程师进行培养。我司可以提供的细胞有:①细胞系②原代细胞③稳转株④耐药株⑤标记细胞⑥细胞配套试剂等。

成立日期 (11年)
注册资本 100万(元)
员工人数 50-100人
年营业额 ¥ 1000万-5000万
经营模式 工厂,试剂,定制,服务
主营行业 细胞培养,微生物学,细胞生物学

SW620人结肠癌细胞实验室|已有STR图谱相关厂家报价 更多

内容声明
拨打电话 立即询价