基本信息 产品详情 公司简介 推荐产品
网站主页 化工产品目录 生物 细胞培养 细胞系 人细胞系 BT20 BT-20人乳腺癌细胞实验室|已有STR图谱
  • BT-20人乳腺癌细胞实验室|已有STR图谱

BT-20人乳腺癌细胞实验室|已有STR图谱

BT-20
询价 1000000细胞数 起订
2000000细胞数 起订
上海 更新日期:2026-04-13

上海冠导生物工程有限公司

VIP6年
联系人:全经理
电话:18818239863拨打
邮箱:3171921642@qq.com

产品详情:

中文名称:
BT-20人乳腺癌细胞实验室|已有STR图谱
英文名称:
BT-20
品牌:
ATCC\RCB等
产地:
国外
保存条件:
常温培养或液氮冻存
纯度规格:
BT-20人乳腺癌细胞实验室|已有STR图谱
产品类别:
化学试剂
种属:
详见产品资料
组织:
详见产品资料
细胞系:
详见产品资料
细胞形态:
详见产品资料
生长状态:
详见产品资料
靶点:
详见产品资料
应用:
详见产品资料

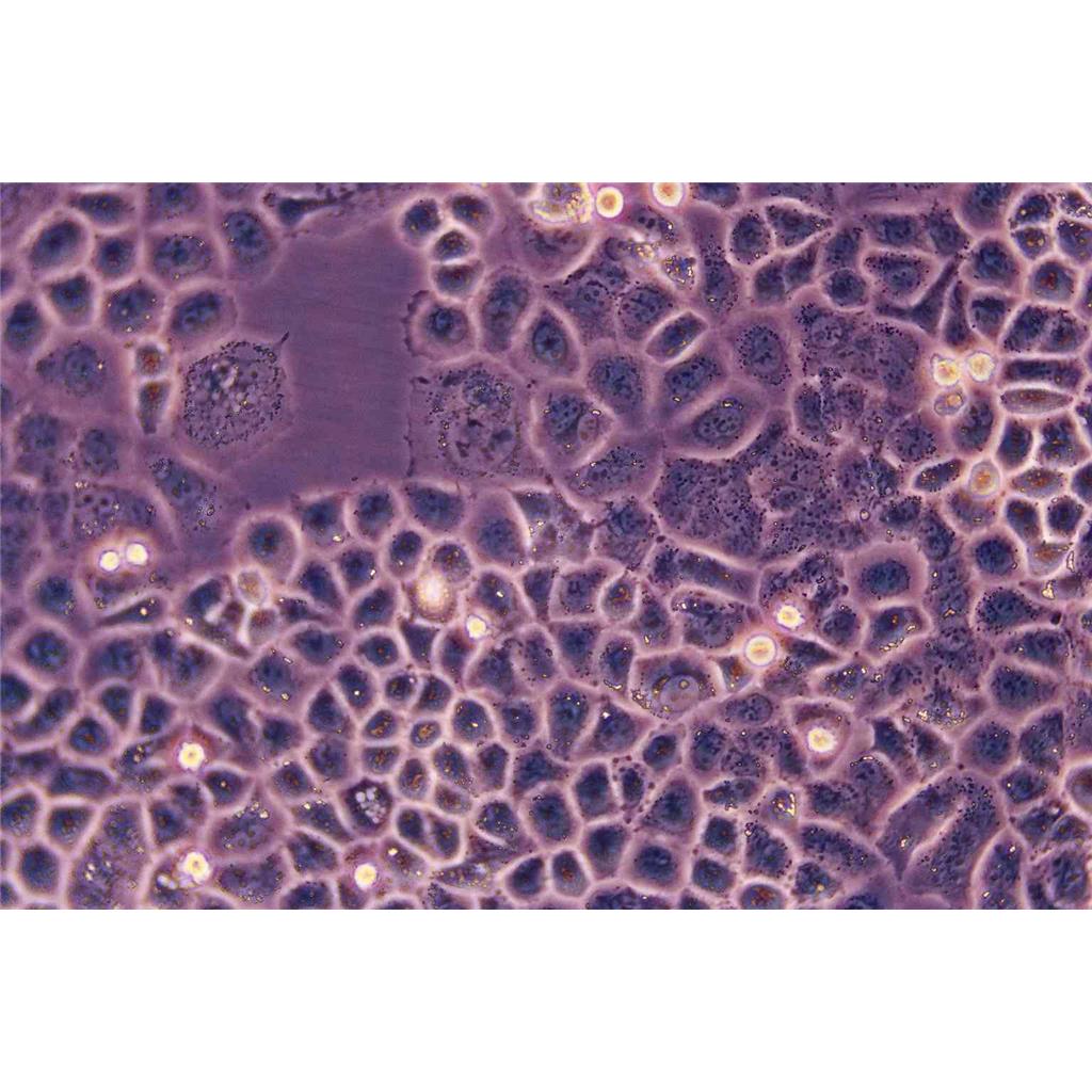
"BT-20人乳腺癌细胞实验室|已有STR图谱

传代比例:1:2-1:4(首次传代建议1:2)

生长特性:贴壁生长

KTC-1 Cells;背景说明:甲状腺乳头状癌;男性;传代方法:1:2-1:3传代;每周换液2-3次。;生长特性:贴壁;形态特性:详见产品说明书;相关产品有:RPMI 8226细胞、UMC11细胞、A 375细胞

Eph4 1424 Cells;背景说明:乳腺癌;传代方法:1:2-1:3传代;每周换液2-3次。;生长特性:贴壁;形态特性:详见产品说明书;相关产品有:HDMEC细胞、RBMVEC细胞、LC-2-Ad细胞

A2780S Cells;背景说明:详见相关文献介绍;传代方法:1:2传代;生长特性:贴壁生长;形态特性:上皮细胞样;相关产品有:OE-33细胞、3T3 clone A31细胞、WSU-DLCL2细胞

细胞复苏后贴壁细胞较少的问题分析:总结1:复苏过程没有问题,是否是从拿出直接放入温水,还有培养箱,二氧化碳浓度,培养基、PH值等环节。要么加GAO浓度FBS 15-20%,看看能否帮助贴壁,当然也需要考虑血清问题,还有确信拿来的细胞没问题。总结2:首先应该怀疑冻存,实际上复苏出问题的可能非常小,因为操作简单,而且死板。1、你冻存的时候是不是消化的时间过长,这是一般人所注意不到的,即使书上也不讲这个问题,太长的消化时间会让细胞复苏时失去贴壁能力,表现为先贴后死,原因是在你复苏的时候细胞已进入凋亡程序,不可逆转的死亡。2、你的冻存HAO不HAO,是什么,甘油还是DMSO,质量非常重要,否则也会死亡。3、你的冻存的量加的是不是太多,AC推荐是不超过7%,大于5%,太多也不HAO。4、你在冻存的时候是不是把DMSO混均匀,这个有一些影响,但不算太大。5、你的冻存是否按部就班,就是所温度梯度是不是把握严格,很多人容易忘却这个事情,因为这个东西流程长。6、如果你细胞污染,你是否能很快看到,我比我的导师能早一天看到污染。从这个角度讲建议去除离心这步。7、你的细胞在冻存前是否过密。还有,不赞成孵箱污染这个概念的,所有在一个孵箱里的细胞都污染一个细菌的话,这个细菌是源于孵箱的,但这不代表孵箱污染,因为孵箱无论你如何处理都有大量的细菌,问题在操作。每次污染的原因都要尽可能的找,以后就不犯同样的问题,这个很重要,不能靠猜,否则你就有可能细胞养绝Zui后换课题,这个见得太多了,别不当会事。

换液周期:每周2-3次

BT-20人乳腺癌细胞实验室|已有STR图谱

背景信息:该细胞1958年由E.Y. Lasfargues 和 L. Ozzello 建系,源自一位74岁白人女性的乳腺癌组织。该细胞表达WNT3和WNT78。TNF alpha抑制该细胞生长。该细胞雌激素受体阴性,但表达5'外显子缺失的雌激素mRNA。

产品包装:复苏发货:T25培养瓶(一瓶)或冻存发货:1ml冻存管(两支)

【细胞培养经验分享】启蒙老师的重要性:一般进实验室都有师兄师姐带着做,他们就是你做细胞的启蒙老师。他们的操作手法、细节、理论讲解就成了你操作的准则,如营养液、细胞瓶的摆放位置、灭菌处理程序、开盖手法、细胞吹打手法等等。要学会他们的正确操作,在第一次的时候就要重视。像养孩子一样养细胞,细胞有时真的很脆弱,最好每天都去看看它,以防止出现培养箱缺水、缺二氧化碳、停电、温度不够等异常现象,也好及时解决这些意外,避免重复实验带来的更大痛苦。好细胞要及时保种:细胞要分批传代,这样即使有一批出了问题,还有一批备用的。像后者一般人可能不容易做到。但这是我血的教训,有一次细胞污染了,全军覆没。当时可后悔没有保种。细胞跟人一样,不同的细胞,培养特性是不一样的。培养过程中要细细体会,不同细胞系使用不同的培养基和血清。

来源说明:细胞主要来源ATCC、ECACC、DSMZ、RIKEN等细胞库

17D Cells(提供STR鉴定图谱)

AR41P Cells;背景说明:详见相关文献介绍;传代方法:1:3-1:6传代;每周2-3次。;生长特性:贴壁生长;形态特性:上皮细胞样;相关产品有:SW527细胞、P3/X63/Ag8.653细胞、EC-GI-10细胞

Hs 281.T Cells;背景说明:详见相关文献介绍;传代方法:1:2传代,每周换液2-3次。;生长特性:贴壁生长;形态特性:成纤维细胞;相关产品有:COLO-320-DM细胞、NCM460细胞、ARH-77细胞

YES 2 Cells;背景说明:食管鳞癌;男性;传代方法:1:2-1:3传代;每周换液2-3次。;生长特性:贴壁;形态特性:详见产品说明书;相关产品有:SNU520细胞、Factor Dependent Continuous-Paterson 1细胞、SUM-159细胞

BT-20人乳腺癌细胞实验室|已有STR图谱

物种来源:人源、鼠源等其它物种来源

形态特性:上皮细胞样

细胞组成了组织,组织组成了器官,器官的组织就形成了一个个体,所有的组织和器官都是由细胞分化增殖形成的,通过汲取营养物质,Zui后形成个体。把人体的单个小细胞比喻成一个地球,人体组织呢就是一个太阳系,器官就是银河系,这样生动形象的比喻,可以让我们很容易了解到细胞与组织、组织与器官之间的关系。人的身体就像一个庞大的机器工厂,每时每秒都在进行着能量的传输与转化,它也像个巨大的产业链,一旦某个环节出了问题,同样伴随着的是人的身体也会出现不同程度的功能障碍,这也就是为什么人到某一定阶段以后身体的某些功能会逐渐衰退的原因。人的基本生命活动是通过细胞实现的,细胞的活动或功能异常,人体就容易生病。人之所以会得病就是人体内的细胞除了问题,一旦细胞有问题——组织就有问题——器官就有问题——系统就有问题——人就会得病。人体细胞每天都在分裂增殖,但是增长到一定阶段后就开始停止、病变或凋亡,如果不及时修复或增加,人体就会出现不同程度的疾病症状,小到病毒感冒,大到疑难杂症无一不都是因为人体内的细胞出了问题。

SHSY-5Y Cells;背景说明:据报道,该细胞的密度可高达1×106cells/cm2,具有中等水平的多巴胺β羟化酶的活性。;传代方法:1:2传代;生长特性:贴壁生长;形态特性:上皮样;相关产品有:HEL-1细胞、SKLMS-1细胞、Human Corneal Epithelial cells-Transformed细胞

T.T Cells;背景说明:详见相关文献介绍;传代方法:10^5 cells/60mm dish;生长特性:贴壁生长;形态特性:上皮细胞样;相关产品有:SNU5细胞、H1838细胞、KNS81细胞

SUM-190 Cells;背景说明:乳腺癌;女性;传代方法:1:2-1:3传代;每周换液2-3次。;生长特性:贴壁;形态特性:详见产品说明书;相关产品有:NCI-H1355细胞、FL62891细胞、Oka-C1细胞

Hs 888.Lu Cells;背景说明:详见相关文献介绍;传代方法:1:2传代;生长特性:贴壁生长 ;形态特性:详见产品说明书;相关产品有:HT细胞、PL12细胞、P3J细胞

H-2172 Cells;背景说明:详见相关文献介绍;传代方法:1:3-1:6传代;每周换液2-3次。;生长特性:贴壁生长;形态特性:详见产品说明书;相关产品有:B16-F10--RED细胞、H341细胞、GM04671细胞

SJRH-30 Cells;背景说明:肺泡横纹肌肉瘤;骨髓转移;传代方法:1:2-1:3传代;每周换液2-3次。;生长特性:贴壁;形态特性:详见产品说明书;相关产品有:MC3T3-E1 Subclone 14细胞、746T细胞、SuDHL 4细胞

NCIH2170 Cells;背景说明:该细胞1989年建系,源自一位患有肺鳞状细胞癌的男性,该患者不吸烟;传代方法:1:3—1:6传代,3—5天换液1次;生长特性:贴壁生长;形态特性:上皮细胞;相关产品有:Karpas-422细胞、Roswell Park Memorial Institute 8226细胞、OCILY7细胞

MAC1 Cells;背景说明:皮肤T淋巴瘤;女性;传代方法:1:2-1:3传代;每周换液2-3次。;生长特性:悬浮;形态特性:详见产品说明书;相关产品有:MuM-2B细胞、HCC-1428细胞、SACC-LM细胞

SUNE-1 Cells;背景说明:详见相关文献介绍;传代方法:1:2-1:3传代;每周换液2-3次。;生长特性:贴壁或悬浮,详见产品说明书部分;形态特性:详见产品说明书;相关产品有:D10G41细胞、SCC 15细胞、Hs822T细胞

Vero 76 clone E-6 Cells;背景说明:详见相关文献介绍;传代方法:1:2-1:3传代;每周换液2-3次。;生长特性:贴壁或悬浮,详见产品说明书部分;形态特性:详见产品说明书;相关产品有:SK HEP 01细胞、JEKO细胞、SKNSH细胞

Panc2_03 Cells;背景说明:详见相关文献介绍;传代方法:1:2传代;生长特性:贴壁生长;形态特性:上皮样;相关产品有:H-1836细胞、D 407细胞、UCLA SO M21细胞

QGY7701 Cells;背景说明:详见相关文献介绍;传代方法:消化3-5分钟,1:2,3天内可长满;生长特性:贴壁生长;形态特性:上皮样;相关产品有:U343细胞、CX1细胞、AM细胞

CHG5 Cells;背景说明:少突神经胶质瘤;男性;传代方法:1:2-1:3传代;每周换液2-3次。;生长特性:贴壁;形态特性:详见产品说明书;相关产品有:BE2-M17细胞、OCI-Ly1细胞、UCLA-SO-M20细胞

Capan 1 Cells;背景说明:详见相关文献介绍;传代方法:1:2-1:4传代,2-3天换液1次。;生长特性:贴壁生长;形态特性:上皮细胞;相关产品有:CAOV3细胞、BHP 10-3细胞、NCI-SNU-5细胞

REC1 Cells;背景说明:详见相关文献介绍;传代方法:1:3—1:6传代,2-3天换液1次;生长特性:悬浮生长 ;形态特性:淋巴母细胞样;相关产品有:MKN-7细胞、HEMCSS细胞、CEM clone 7细胞

B16F0 Cells;背景说明:详见相关文献介绍;传代方法:1:2-1:3传代;每周换液2-3次。;生长特性:贴壁或悬浮,详见产品说明书部分;形态特性:详见产品说明书;相关产品有:HEK-293-FT细胞、NCI H2106细胞、MLA144细胞

SUDHL10 Cells;背景说明:详见相关文献介绍;传代方法:1:2-1:3传代;每周换液2-3次。;生长特性:悬浮;形态特性:淋巴母细胞;相关产品有:CV-1 in Origin Simian-7细胞、B16 BL6细胞、SW1271细胞

BT-20人乳腺癌细胞实验室|已有STR图谱

143B.206 Cells(提供STR鉴定图谱)

Abcam HeLa GABRE KO Cells(提供STR鉴定图谱)

AG21706 Cells(提供STR鉴定图谱)

BayGenomics ES cell line RRF239 Cells(提供STR鉴定图谱)

BayGenomics ES cell line XG454 Cells(提供STR鉴定图谱)

C0193 Cells(提供STR鉴定图谱)

CW60083 Cells(提供STR鉴定图谱)

DA05162 Cells(提供STR鉴定图谱)

GCCF-2 Cells(提供STR鉴定图谱)

HEK293FT Cells;背景说明:该细胞稳定表达SV40大T抗原,并且促进最适病毒产物的产生。;传代方法:1:2传代;生长特性:悬浮生长;形态特性:圆形;相关产品有:U-87-MG细胞、251MG细胞、B16F10细胞

SNU-1 Cells;背景说明:详见相关文献介绍;传代方法:2-3天换液1次。;生长特性:悬浮聚集;形态特性:上皮细胞;相关产品有:MDA436细胞、U-138MG细胞、U373-MG细胞

U266BL Cells;背景说明:详见相关文献介绍;传代方法:1:3传代,2-3天传一代;生长特性:悬浮生长 ;形态特性:淋巴母细胞样;相关产品有:HP615细胞、RMG1细胞、NOZ细胞

CEM-T4 Cells;背景说明:急性T淋巴细胞白血病;女性;传代方法:1:2-1:3传代;每周换液2-3次。;生长特性:悬浮;形态特性:详见产品说明书;相关产品有:MDA-MB 468细胞、OCI-AML-2细胞、MDCK (NBL-2)细胞

Hs870T Cells;背景说明:详见相关文献介绍;传代方法:1:2—1:3传代;每周换液2-3次;生长特性:贴壁生长;形态特性:成纤维细胞;相关产品有:JG细胞、NCI-H748细胞、SK-MEL-1细胞

Detroit-562 Cells;背景说明:器官:咽头 疾病:癌 取材转移灶:胸水;传代方法:1:2-1:4传代,2-3天换液1次。;生长特性:贴壁生长;形态特性:上皮细胞;相关产品有:T98细胞、H-35 Reuber细胞、QGP-1细胞

JHH2 Cells;背景说明:肝癌;腹水转移;男性;传代方法:1:2-1:3传代;每周换液2-3次。;生长特性:贴壁;形态特性:详见产品说明书;相关产品有:DMS 153细胞、KCL22细胞、675T细胞

H283 Cells;背景说明:详见相关文献介绍;传代方法:每周换液2-3次。;生长特性:悬浮细胞的多细胞聚集体,和一些贴壁 Cells;形态特性:上皮细胞;相关产品有:U266 Bl细胞、beta TC6细胞、Gerner 7666细胞

CaES-17 Cells;背景说明:详见相关文献介绍;传代方法:1:2传代;生长特性:贴壁生长;形态特性:上皮细胞样;相关产品有:MDA453细胞、MNNGHOS细胞、H211细胞

Huh-7.5 Cells;背景说明:肝癌;男性;传代方法:1:2-1:3传代;每周换液2-3次。;生长特性:贴壁;形态特性:详见产品说明书;相关产品有:HEK 293-H细胞、NCI-H510细胞、MA104细胞

293-H Cells;背景说明:详见相关文献介绍;传代方法:1:2-1:3传代;每周换液2-3次。;生长特性:贴壁或悬浮,详见产品说明书部分;形态特性:详见产品说明书;相关产品有:NCI/ADRRES细胞、SKNAS细胞、Vero E-6细胞

mIMCD-3 Cells;背景说明:肾;内髓集合管;上皮 Cells;传代方法:1:2-1:3传代;每周换液2-3次。;生长特性:贴壁;形态特性:详见产品说明书;相关产品有:NIH:OVCAR4细胞、BJA-B细胞、H1882细胞

NCI-H209 Cells;背景说明:详见相关文献介绍;传代方法:1:2-1:4传代;每周换液2次。;生长特性:悬浮生长,有少数细胞疏松贴壁;形态特性:上皮样;相关产品有:RA.1细胞、H1693细胞、KBM-7细胞

J82 Cells;背景说明:电子显微镜下未观察到桥粒但观察到数目不同的粗面内质网和突出微丝。 含ras (H-ras)癌基因。;传代方法:1:2传代;生长特性:贴壁生长;形态特性:上皮细胞样;相关产品有:Y1细胞、SW-480细胞、CAKI 1细胞

108CC15 Cells;背景说明:详见相关文献介绍;传代方法:1:2-1:3传代;每周换液2-3次。;生长特性:贴壁或悬浮,详见产品说明书部分;形态特性:详见产品说明书;相关产品有:OAW 42细胞、BHP10-3细胞、RT 112细胞

GM28268 Cells(提供STR鉴定图谱)

HAP1 PCIF1 (-) 3 Cells(提供STR鉴定图谱)

HASMC Cells;背景说明:详见相关文献介绍;传代方法:1:2-1:3传代;每周换液2-3次。;生长特性:贴壁或悬浮,详见产品说明书部分;形态特性:详见产品说明书;相关产品有:HOS TE 85细胞、LIPF178C细胞、OCI Ly1细胞

TGW-I-nu Cells;背景说明:详见相关文献介绍;传代方法:1:2传代;生长特性:贴壁生长;形态特性:神经元细胞;相关产品有:NOK细胞、N1E-115细胞、MD Anderson-Metastatic Breast-157细胞

Rat-1 Cells;背景说明:成纤维细胞;自发永生;Fischer 344;传代方法:1:2-1:3传代;每周换液2-3次。;生长特性:贴壁;形态特性:详见产品说明书;相关产品有:GM00215A细胞、MDA231细胞、KU-812-F细胞

M-O7e Cells;背景说明:详见相关文献介绍;传代方法:1:2-1:3传代;每周换液2-3次。;生长特性:贴壁或悬浮,详见产品说明书部分;形态特性:详见产品说明书;相关产品有:HCE-T细胞、EFO27细胞、NCIH548细胞

P3X63NS1 Cells;背景说明:这是P3X63Ag8(ATCCTIB-9)的一个不分泌克隆。Kappa链合成了但不分泌。能抗0.1mM8-氮杂鸟嘌呤但不能在HAT培养基中生长。据报道它是由于缺失了3-酮类固醇还原酶活性的胆固醇营养缺陷型。检测表明肢骨发育畸形病毒(鼠痘)阴性。;传代方法:1:2传代,3天内可长满。;生长特性:悬浮生长;形态特性:淋巴母细胞;相关产品有:KYSE 30细胞、RSC 96细胞、VP 267细胞

Earles's cells Cells;背景说明:详见相关文献介绍;传代方法:1:2-1:3传代;每周换液2-3次。;生长特性:贴壁或悬浮,详见产品说明书部分;形态特性:详见产品说明书;相关产品有:BC3 H1细胞、OCI-LY-8细胞、NCI-SNU-C2B细胞

H-2286 Cells;背景说明:详见相关文献介绍;传代方法:1:2-1:4传代;每周换液2次。;生长特性:贴壁生长;形态特性:椭圆形;相关产品有:WERI Rb-1细胞、LSC-1细胞、Hs-578-T细胞

3-LL Cells;背景说明:详见相关文献介绍;传代方法:1:2传代;生长特性:贴壁生长;形态特性:详见产品说明书;相关产品有:CCD 966 SK细胞、SRS-82细胞、SW-954细胞

HS400 Cells(提供STR鉴定图谱)

KOLF2.1J MATR3 24.0KBDEL DEL/WT Cells(提供STR鉴定图谱)

MNZTASi023-A Cells(提供STR鉴定图谱)

NUIGi060-A Cells(提供STR鉴定图谱)

RG-248 Cells(提供STR鉴定图谱)

Ubigene HEK293 APP KO Cells(提供STR鉴定图谱)

WCMC-13 Cells(提供STR鉴定图谱)

HAV-42 Cells(提供STR鉴定图谱)

DHL5 Cells;背景说明:详见相关文献介绍;传代方法:1:2-1:3传代;每周换液2-3次。;生长特性:贴壁或悬浮,详见产品说明书部分;形态特性:详见产品说明书;相关产品有:B16 BL6细胞、HCC-366细胞、PL-12细胞

HIT.T15 Cells;背景说明:胰岛β细胞;SV40转化;传代方法:1:2-1:3传代;每周换液2-3次。;生长特性:贴壁;形态特性:详见产品说明书;相关产品有:M3 Clone M-3细胞、H7721细胞、Capan 1细胞

CoC1 Cells;背景说明:详见相关文献介绍;传代方法:1:2传代;生长特性:贴壁生长 ;形态特性:详见产品说明书;相关产品有:D324细胞、L540细胞、74Int细胞

ACC-M Cells;背景说明:涎腺腺样囊性癌;男性;传代方法:1:2-1:3传代;每周换液2-3次。;生长特性:贴壁;形态特性:详见产品说明书;相关产品有:MCF10-A细胞、NFS60细胞、HN13细胞

Hs606T Cells;背景说明:详见相关文献介绍;传代方法:1:2—1:3传代,2—3天换液一次;生长特性:贴壁生长;形态特性:成纤维细胞;相关产品有:FL-83B细胞、H322细胞、HCC2935细胞

Hs606T Cells;背景说明:详见相关文献介绍;传代方法:1:2—1:3传代,2—3天换液一次;生长特性:贴壁生长;形态特性:成纤维细胞;相关产品有:FL-83B细胞、H322细胞、HCC2935细胞

CCRF/CEM/0 Cells;背景说明:G.E. Foley 等人建立了类淋巴母细胞细胞株CCRF-CEM。 细胞是1964年11月从一位四岁白人女性急性淋巴细胞白血病患者的外周血白血球衣中得到。此细胞系从香港收集而来。;传代方法:1:2传代。3天内可长满。;生长特性:悬浮生长;形态特性:淋巴母细胞样;相关产品有:H9c2(2-1)细胞、HCC-1419细胞、H661细胞

H1184 Cells;背景说明:详见相关文献介绍;传代方法:1:2-1:3传代;每周换液2-3次。;生长特性:贴壁或悬浮,详见产品说明书部分;形态特性:详见产品说明书;相关产品有:OV-CA 432细胞、KCL22S细胞、YAC细胞

SK Mel 2 Cells;背景说明:详见相关文献介绍;传代方法:1:3-1:6传代,2-3天换液1次。;生长特性:贴壁生长;形态特性:多边形的;相关产品有:VK2细胞、H.Ep. No. 2细胞、GH3细胞

266 Bl Cells;背景说明:详见相关文献介绍;传代方法:1:3传代,2-3天传一代;生长特性:悬浮生长 ;形态特性:淋巴母细胞样;相关产品有:GM03671C细胞、KM-H2细胞、SACC-83细胞

Hs27F Cells;背景说明:包皮;成纤维细胞;男性;传代方法:1:2-1:3传代;每周换液2-3次。;生长特性:贴壁;形态特性:详见产品说明书;相关产品有:LWnt3A细胞、IPLB-Sf21-AE细胞、HLEpiC细胞

Hs-611-T Cells;背景说明:详见相关文献介绍;传代方法:1:2传代;每周换液2-3次。;生长特性:混合型;形态特性:淋巴母细胞样;相关产品有:HCC-202细胞、H-1618细胞、Sol8细胞

MEG-01 Cells;背景说明:MEG-01细胞株源自一位CML患者成巨核细胞转换期的骨髓细胞。细胞质因子VIII和表面球蛋白IIb/IIIa,-Schiff(PAS)反应,α醋酸酯酶和酸性酶阳性。髓过氧化物酶,α酯酶,化醋酸AS-D酯酶和碱性酶阴性。用单克隆抗体BA-1(抗B细胞,粒性白细胞),HPL-3(抗球蛋白IIb/IIIa)和20.3(抗单核细胞,血小板)染色成阳性。其他淋巴和骨髓类抗体成阴性。;传代方法:1:2传代。3天内可长满。;生长特性:悬浮生长;形态特性:淋巴母细胞样;相关产品有:NCI-H165细胞、CAL 33细胞、LOU-NH91细胞

MRASMC Cells;背景说明:详见相关文献介绍;传代方法:1:2-1:3传代;每周换液2-3次。;生长特性:贴壁或悬浮,详见产品说明书部分;形态特性:详见产品说明书;相关产品有:Tohoku Hospital Pediatrics-1细胞、EC9706细胞、CCD-18Co细胞

WSU-DLCL-2 Cells;背景说明:弥漫大B淋巴瘤;男性;传代方法:1:2-1:3传代;每周换液2-3次。;生长特性:悬浮;形态特性:详见产品说明书;相关产品有:UWB1.289+BRCA1细胞、MuM-2C细胞、H.Ep.-2细胞

STC1/CDDP Cells(提供STR鉴定图谱)

SACC83 Cells;背景说明:涎腺腺样囊性癌;传代方法:1:2-1:3传代;每周换液2-3次。;生长特性:贴壁;形态特性:详见产品说明书;相关产品有:BMSCs(mBMSCs)细胞、MLMA细胞、SF17细胞

BT-20人乳腺癌细胞实验室|已有STR图谱

SU86-86 Cells;背景说明:详见相关文献介绍;传代方法:1:2传代;;生长特性:贴壁生长;形态特性:详见产品说明书;相关产品有:H-4细胞、S3 HeLa细胞、UPCI:SCC090细胞

PC10 Cells;背景说明:详见相关文献介绍;传代方法:1:2-1:3传代;每周换液2-3次。;生长特性:贴壁或悬浮,详见产品说明书部分;形态特性:详见产品说明书;相关产品有:MIMVEC细胞、BNCL2细胞、NCI-H2106细胞

KALS-1 Cells;背景说明:详见相关文献介绍;传代方法:1:2传代;生长特性:贴壁生长;形态特性:多边形;相关产品有:RA 1细胞、SUDHL1细胞、OVCA433细胞

A375SM Cells;背景说明:黑色素瘤;女性;传代方法:1:2-1:3传代;每周换液2-3次。;生长特性:贴壁;形态特性:详见产品说明书;相关产品有:PBMC细胞、MKN-7细胞、SLMT1细胞

TR146 Cells;背景说明:食管鳞癌;传代方法:1:2-1:3传代;每周换液2-3次。;生长特性:贴壁;形态特性:详见产品说明书;相关产品有:NK-92 transfected with MFG-hIL2细胞、T98 G细胞、TF-1细胞

B/C3T3 Cells;背景说明:胚胎;成纤维;自发永生;雄性;BALB/c;传代方法:1:2-1:3传代;每周换液2-3次。;生长特性:贴壁;形态特性:详见产品说明书;相关产品有:NCI-H1672细胞、HMC细胞、HNE3细胞

COLO 320 DM Cells;背景说明:该细胞可产生5-羟色胺、去甲、、ACTH和甲状旁腺素。角蛋白、波形蛋白弱阳性。培养条件: RPMI 1640  10%FBS;传代方法:1:2-1:3传代;每周换液2-3次。;生长特性:悬浮+贴壁;形态特性:淋巴细胞;相关产品有:HT 1197.T细胞、WPMY1细胞、SK-MEL-2-LUC细胞

PLCPRF5 Cells;背景说明:该细胞系分泌乙肝病毒表面抗原(HBsAg)。 此细胞系原先被支原体污染,后用BM-cycline去除支原体;传代方法:1:2传代;生长特性:贴壁生长;形态特性:上皮样;相关产品有:SCL-II细胞、QBC939细胞、L929(NCTC)细胞

C918 Cells;背景说明:详见相关文献介绍;传代方法:1:2传代;生长特性:贴壁生长 ;形态特性:详见产品说明书;相关产品有:BNL CL.2细胞、CL11细胞、HPF细胞

MDA-PCa-2b Cells;背景说明:详见相关文献介绍;传代方法:1:2-1:4传代,2-3天换液1次。;生长特性:贴壁生长;形态特性:上皮细胞;相关产品有:H-2110细胞、HSC细胞、NCI-H1373细胞

LADMAC Cells;背景说明:骨髓淋巴细胞;C3H;传代方法:1:2-1:3传代;每周换液2-3次。;生长特性:悬浮;形态特性:详见产品说明书;相关产品有:TO175T细胞、H-1623细胞、BC-009细胞

HFF Cells;背景说明:详见相关文献介绍;传代方法:1:5—1:7传代;生长特性:贴壁生长;形态特性:成纤维细胞;相关产品有:HCC2108细胞、MM1-S细胞、C4-I细胞

HPDEC Cells;背景说明:详见相关文献介绍;传代方法:1:2-1:3传代;每周换液2-3次。;生长特性:贴壁或悬浮,详见产品说明书部分;形态特性:详见产品说明书;相关产品有:HDQP1细胞、Farage OL细胞、NSC-34细胞

BayGenomics ES cell line RHA093 Cells(提供STR鉴定图谱)

BayGenomics ES cell line XD151 Cells(提供STR鉴定图谱)

CPTC-SERPINB3-3 Cells(提供STR鉴定图谱)

MEDMC-NT2 Cells(提供STR鉴定图谱)

SG5B11 Cells(提供STR鉴定图谱)

LNCaP-Pro5 Cells(提供STR鉴定图谱)

"



BT-20人乳腺癌细胞实验室|已有STR;传代细胞;复苏细胞;实验细胞;科研细胞;

公司简介

上海冠导生物工程有限公司,先后从ATCC、DSMZ、ECACC、RIKEN、PromoCell、ScienCell、JCRB等国内外细胞库引进细胞2000余株。以此为契机,公司组建了冠导细胞库,我司细胞均由资深细胞培养工程师进行培养。我司可以提供的细胞有:①细胞系②原代细胞③稳转株④耐药株⑤标记细胞⑥细胞配套试剂等。

成立日期 (11年)
注册资本 100万(元)
员工人数 50-100人
年营业额 ¥ 1000万-5000万
经营模式 工厂,试剂,定制,服务
主营行业 细胞培养,微生物学,细胞生物学

BT-20人乳腺癌细胞实验室|已有STR图谱相关厂家报价 更多

  • BT20
  • BT20
  • 吉奥蓝图(广东)生命科学技术中心 VIP
  • 2026-04-13
  • 询价
内容声明
拨打电话 立即询价