基本信息 产品详情 公司简介 推荐产品
网站主页 化工产品目录 生物 细胞培养 原代细胞 人原代细胞 SK-NEP-1 人肾母细胞瘤细胞 SK-NEP-1人肾母细胞瘤细胞实验室|已有STR图谱
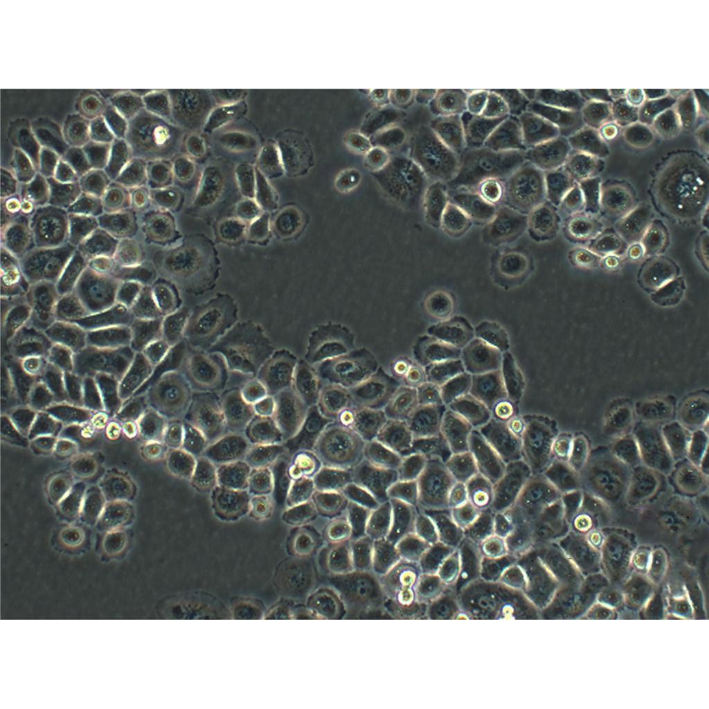
  • SK-NEP-1人肾母细胞瘤细胞实验室|已有STR图谱

SK-NEP-1人肾母细胞瘤细胞实验室|已有STR图谱

SK-NEP-1
询价 1000000细胞数 起订
2000000细胞数 起订
上海 更新日期:2026-04-13

上海冠导生物工程有限公司

VIP6年
联系人:全经理
电话:18818239863拨打
邮箱:3171921642@qq.com

产品详情:

中文名称:
SK-NEP-1人肾母细胞瘤细胞实验室|已有STR图谱
英文名称:
SK-NEP-1
品牌:
ATCC\RCB等
产地:
国外
保存条件:
常温培养或液氮冻存
纯度规格:
SK-NEP-1人肾母细胞瘤细胞实验室|已有STR图谱
产品类别:
化学试剂
种属:
详见产品资料
组织:
详见产品资料
细胞系:
详见产品资料
细胞形态:
详见产品资料
生长状态:
详见产品资料
靶点:
详见产品资料
应用:
详见产品资料

"SK-NEP-1人肾母细胞瘤细胞实验室|已有STR图谱

传代比例:1:2-1:4(首次传代建议1:2)

生长特性:贴壁生长

CTX TNA2 Cells;背景说明:星形胶质细胞;SV40转化;SD;传代方法:1:2-1:3传代;每周换液2-3次。;生长特性:贴壁;形态特性:详见产品说明书;相关产品有:JB-6 Cl 30细胞、USMC细胞、C-32细胞

SK-N-BE(2)C Cells;背景说明:神经母细胞瘤;骨髓转移;男性;传代方法:1:2-1:3传代;每周换液2-3次。;生长特性:贴壁;形态特性:详见产品说明书;相关产品有:MDA-MB157细胞、NCI-H64细胞、J-111细胞

HBL100 Cells;背景说明:该细胞由E.V.Gaffney及其同事从一位没有乳癌家族史的供者乳汁中建立,培养出来的细胞染色体组型在第7代时就不正常;电镜照片显示有微丝、张力原纤维和桥粒;Southern转移表明有整合型SV40病毒基因,当作正常细胞。;传代方法:1:2传代;生长特性:贴壁生长;形态特性:上皮样;相关产品有:PLB985细胞、Mel RM细胞、SU-DHL-10细胞

细胞复苏相关注意事项:1.取细胞的过程中注意带HAO防冻手套,护目镜。此项尤为重要,细胞冻存管可能漏入,解冻时冻存管中的气温急剧上升,可导致爆炸。2.冻存的问题:冻存的配置已是常识,在这里不作详述,但二甲基亚砜(DMSO )对细胞不是完全无毒副作用,在常温下,二甲基亚砜对细胞的毒副作较大,因此,必须在1-2min内使冻存完全融化。如果复苏温度太慢,会造成细胞的损伤,二甲基亚砜(DMSO)ZuiHAO选择进口产品。3.离心前须加入少量培养。细胞解冻后二甲基亚砜浓度较GAO,注意加入少量培养可稀释其浓度,以减少对细胞的损伤。4.离心问题:目前主要有两种见解。一种是解冻后的细胞悬直接吹打均匀后分装到培养瓶中进行培养,第二天换。因为离心的目的是两个,去除DMSO,去除死细胞,这个是标准流程,但对一般人来说,把握不HAO离心转速和时间,转的不够活细胞沉底的少,细胞就全被扔掉了,转过了活细胞会受压过大,死亡。此外在操作过程中容易污染,所以不推荐。另一种说法为细胞悬中含有二甲基亚砜(DMSO),DMSO对细胞有一定的毒副作用,所以须将离心后的体前倒净,且一定倒干净。我在试验中按照常规的离心分装的方法进行复苏,结果无异常。5.细胞贴壁少的问题:教科书中说明冻存细胞解冻时1ml细胞要加10ml-15ml培养,而在我的试验中的经验总结为培养基越少细胞越容易贴附。6.复苏细胞分装的问题:试验中我的经验总结为复苏1管细胞一般可分装到1-2只培养瓶中,分装过多,细胞浓度过低,不利于细胞的贴壁。7.加培养基的量放入问题:这个量的多少的把握主要涉及到的问题DMSO的浓度,从如果你加培养基的太少,那么DMSO的浓度就会比较大,就会影响细胞生长,从以前的资料来看,DMSO的浓度在小于0.5%的时候对一般细胞没有什么影响,还有一个说法是1%。所以如果你的冻存的浓度是10%DMSO的话那么加10ml以上的培养基就恰HAO稀释到了无害浓度。

换液周期:每周2-3次

SK-NEP-1人肾母细胞瘤细胞实验室|已有STR图谱

背景信息:超微结构有少许微绒毛,连接复合物,形态完整的高尔基体,内质网多为光滑型,脂滴,没有病毒棵粒。

产品包装:复苏发货:T25培养瓶(一瓶)或冻存发货:1ml冻存管(两支)

客户收到复苏的细胞的处理方式:如果是T25培养瓶的鲜活细胞,收到后请用75%的酒精对培养瓶表面进行消毒处理,然后转入培养箱中静置2-3h后再进行后续处理(细胞密度达到85-90%即可传代或冻存)。客户收到冻存细胞的处理方法:如果是干冰运输的冻存细胞,收到后请立即转入液氮存储或者短暂(24h)放置-80℃冰箱保存,或者直接进行细胞复苏操作。

来源说明:细胞主要来源ATCC、ECACC、DSMZ、RIKEN等细胞库

4G12 [Mouse hybridoma against human 65 kDa glycoprotein] Cells(提供STR鉴定图谱)

293T/17 Cells;背景说明:胚肾;5型腺病毒及SV40转化;女性;传代方法:1:2-1:3传代;每周换液2-3次。;生长特性:贴壁;形态特性:详见产品说明书;相关产品有:SU-DHL-16细胞、IPEC1细胞、H1693细胞

SKES1 Cells;背景说明:详见相关文献介绍;传代方法:1:2-1:5传代;每周换液2-3次;生长特性:贴壁或悬浮,详见产品说明书部分;形态特性:上皮样;相关产品有:Madison 109细胞、Hs819.T细胞、HONE1细胞

COC1/CDDP Cells;背景说明:详见相关文献介绍;传代方法:1:2-1:3传代;每周换液2-3次。;生长特性:贴壁或悬浮,详见产品说明书部分;形态特性:详见产品说明书;相关产品有:UCLA RO-81A-1细胞、IFRS1细胞、DHL-6细胞

SK-NEP-1人肾母细胞瘤细胞实验室|已有STR图谱

物种来源:人源、鼠源等其它物种来源

形态特性:上皮细胞样

绝大部分细胞消化的时候是只要用胰酶润洗一遍即可。吸去胰酶后,残留的那些无法计算体积的附着在细胞表面的微量胰酶在37℃一般不到2min足够消化细胞。对于这些细胞原则上不要用胰酶孵育细胞,连续这样传代,对细胞伤害很大。简单的程序是PBS润洗吸去,胰酶润洗吸去,然后37℃消化。比较难消化的细胞(润洗方法5min还不能消化),这样的细胞一般需要用少量胰酶孵育。不是细胞全部成间隔分布很离散的单个圆形才算消化HAO了,一般你肉眼观察贴壁细胞层,只要能移动了,多半呈沙壮移动,其实已经可以了,很多人喜欢把细胞消化或者吹打成完全分离细胞,这是没有必要的。一般能移动了,说明细胞与培养基质材料的附着已经消失了,细胞之间的附着也已经消失了,细胞已经独立分布了(虽然没有呈现很广的离散分布)。这个时候应该停止消化,不要等到看到镜下所有细胞都分离得非常HAO,间隙很大,才停止。细胞就是完全成单个细胞悬,之后在贴壁的过程中仍然会聚集,这个是贴壁培养的细胞,尤其是肿瘤细胞的一个性。如果和标准形态不一致,那可能是自己没消化HAO导致的,但如果消化方法正确,仍然成片分布,甚至完全吹打成单细胞悬,贴壁后仍然成片分布,这是细胞的性,是因为贴壁过程中重新聚集了。这个时候你拼了命要去让它均匀分布,你的细胞之后会对你越来越不HAO。

HTori 3 Cells;背景说明:甲状腺;SV40转化;女性;传代方法:1:2-1:3传代;每周换液2-3次。;生长特性:贴壁;形态特性:详见产品说明书;相关产品有:P3.653细胞、MEC1细胞、PGLH7细胞

SR Cells;背景说明:间变性大细胞淋巴瘤;男性;传代方法:1:2-1:3传代;每周换液2-3次。;生长特性:悬浮;形态特性:详见产品说明书;相关产品有:RPMI 1788细胞、CaEs17细胞、MALME.3M细胞

AML193 Cells;背景说明:详见相关文献介绍;传代方法:1:2传代。3天内可长满。;生长特性:悬浮生长;形态特性:淋巴母细胞;相关产品有:NCIH146细胞、MOLP2细胞、GM01232E细胞

HIT T-15 Cells;背景说明:胰岛β细胞;SV40转化;传代方法:1:2-1:3传代;每周换液2-3次。;生长特性:贴壁;形态特性:详见产品说明书;相关产品有:CORL23细胞、SGC 7901细胞、SK RC 20细胞

MCF.7 Cells;背景说明:MCF-7细胞保留了多个分化了的乳腺上皮的特性,包括:能通过胞质雌激素受体加工雌二醇并能形成圆形复合物(domes)。该细胞含有Tx-4癌基因。肿瘤坏死因子α(TNFalpha)可以抑制MCF-7细胞的生长。抗雌激素处理细胞能调变IGFBP'S的分泌。;传代方法:1:2传代,3-4天长满;生长特性:贴壁生长;形态特性:上皮样;相关产品有:SKNEP1细胞、HCEC细胞、AGS细胞

624mel Cells;背景说明:黑色素瘤;男性;传代方法:1:2-1:3传代;每周换液2-3次。;生长特性:贴壁;形态特性:详见产品说明书;相关产品有:COLO206细胞、K-562细胞、HUT-28细胞

EC-109 Cells;背景说明:1973年建系,来自人食管中段鳞癌组织,小块法原代培养建系。BALB/c裸鼠移植成瘤。;传代方法:1:2-1:3传代;每周换液2-3次。;生长特性:贴壁;形态特性:上皮细胞样;相关产品有:HRIF细胞、P3-X63Ag8.653细胞、SUDHL-1细胞

NCIH2347 Cells;背景说明:详见相关文献介绍;传代方法:1:2-1:6传代,每周2-3次。;生长特性:贴壁生长;形态特性:上皮样;相关产品有:SW-48细胞、MFE296细胞、KOPN8细胞

PSN1 Cells;背景说明:详见相关文献介绍;传代方法:1:2-1:6传代,2-3天换液1次。;生长特性:贴壁生长;形态特性:上皮细胞;相关产品有:SVEC4-10细胞、TOV21G细胞、DiFi细胞

BT 549 Cells;背景说明:该细胞1978年由W.G.Coutinho和E.Y.Lasfargues建系,源自一位72岁患有乳腺导管癌的白人女性,来源组织包括乳头及浸润导管。该细胞形态包括上皮样细胞及多核巨细胞,可分泌一种粘性物质。;传代方法:1:2传代;生长特性:贴壁生长;形态特性:上皮样;相关产品有:DU4475细胞、HS-729细胞、Mouse podocyte细胞

BMDC Cells;背景说明:树突状 Cells;传代方法:1:2-1:3传代;每周换液2-3次。;生长特性:贴壁;形态特性:详见产品说明书;相关产品有:KGN细胞、AHH-1细胞、MDA MB 231细胞

RCC10 RGB Cells;背景说明:详见相关文献介绍;传代方法:1:2-1:3传代;每周换液2-3次。;生长特性:贴壁或悬浮,详见产品说明书部分;形态特性:详见产品说明书;相关产品有:HCC1187细胞、HEC-1B细胞、Rat Skin 1细胞

DITNC1 Cells;背景说明:详见相关文献介绍;传代方法:1:2传代;生长特性:贴壁生长;形态特性:成纤维母细胞样;相关产品有:GES-1细胞、LU165细胞、HEK-AD293细胞

C81-61 Cells;背景说明:皮肤黑色素瘤;腹壁转移;女性;传代方法:1:2-1:3传代;每周换液2-3次。;生长特性:贴壁;形态特性:详见产品说明书;相关产品有:JB 6细胞、Hs 445细胞、Panc8.13细胞

32Dc3 Cells;背景说明:骨髓淋巴瘤;C3H/HeJ;传代方法:1:2-1:3传代;每周换液2-3次。;生长特性:悬浮;形态特性:详见产品说明书;相关产品有:L-M(TK-)细胞、BMSCs(mBMSCs)细胞、BE(2)M-17细胞

Turbot Embryonic Cell line Cells;背景说明:胸腺;上皮 Cells;传代方法:1:2-1:3传代;每周换液2-3次。;生长特性:贴壁;形态特性:详见产品说明书;相关产品有:RAOEC细胞、SKNEP细胞、Caco-2/BBe细胞

AA-Mel Cells;背景说明:详见相关文献介绍;传代方法:1:3-1:6传代,2-3天换液1次。;生长特性:贴壁生长;形态特性:星形的;相关产品有:SW1463细胞、L 929细胞、HT-1080细胞

SK-NEP-1人肾母细胞瘤细胞实验室|已有STR图谱

Abcam HEK293T NUDT1 KO Cells(提供STR鉴定图谱)

AG11556 Cells(提供STR鉴定图谱)

BayGenomics ES cell line RRA033 Cells(提供STR鉴定图谱)

BayGenomics ES cell line XE093 Cells(提供STR鉴定图谱)

BY00166 Cells(提供STR鉴定图谱)

CRISPRi Gen2C 2 Cells(提供STR鉴定图谱)

DA04311 Cells(提供STR鉴定图谱)

DF-1\J Cells(提供STR鉴定图谱)

GM02677 Cells(提供STR鉴定图谱)

H-1838 Cells;背景说明:详见相关文献介绍;传代方法:1:3-1:4传代;每周换液2次。;生长特性:贴壁生长;形态特性:上皮细胞;相关产品有:SVG p12细胞、H1734细胞、WM-239A细胞

3T3NIH Cells;背景说明:详见相关文献介绍;传代方法:1:2-1:3传代;每周换液2-3次。;生长特性:贴壁或悬浮,详见产品说明书部分;形态特性:详见产品说明书;相关产品有:LX-2细胞、HCC1395细胞、OV1-P细胞

P388.D1 Cells;背景说明:详见相关文献介绍;传代方法:1:2-1:3传代;每周换液2-3次。;生长特性:悬浮;形态特性:详见产品说明书;相关产品有:SKHEP1细胞、BT 549细胞、U-87MG ATCC细胞

TOV112 Cells;背景说明:详见相关文献介绍;传代方法:1:2-1:3传代,3-4天换液1次。;生长特性:贴壁生长;形态特性:上皮细胞;相关产品有:SKHEP-1细胞、DU145细胞、Hs683细胞

SUM159 Cells;背景说明:乳腺癌;女性;传代方法:1:2-1:3传代;每周换液2-3次。;生长特性:贴壁;形态特性:详见产品说明书;相关产品有:DH-82细胞、GM02132C细胞、SK-RC 42细胞

SK-N-BE(2C) Cells;背景说明:神经母细胞瘤;骨髓转移;男性;传代方法:1:2-1:3传代;每周换液2-3次。;生长特性:贴壁;形态特性:详见产品说明书;相关产品有:MOLP8细胞、INS1E细胞、LM2-4175细胞

KG-1a Cells;背景说明:急性髓系白血病;男性;传代方法:1:2-1:3传代;每周换液2-3次。;生长特性:悬浮;形态特性:详见产品说明书;相关产品有:HVSMC细胞、ROS17/28细胞、QG-56细胞

P3/NS1/1-Ag4-1 Cells;背景说明:这是P3X63Ag8(ATCCTIB-9)的一个不分泌克隆。Kappa链合成了但不分泌。能抗0.1mM8-氮杂鸟嘌呤但不能在HAT培养基中生长。据报道它是由于缺失了3-酮类固醇还原酶活性的胆固醇营养缺陷型。检测表明肢骨发育畸形病毒(鼠痘)阴性。;传代方法:1:2传代,3天内可长满。;生长特性:悬浮生长;形态特性:淋巴母细胞;相关产品有:EU-3细胞、GM 2132细胞、SHP-77细胞

UMNSAH-DF-1 Cells;背景说明:详见相关文献介绍;传代方法:1:2传代;生长特性:贴壁生长;形态特性:成纤维母细胞样;相关产品有:U343MG细胞、WM115mel细胞、VAESBJ细胞

H1869 Cells;背景说明:详见相关文献介绍;传代方法:1:3-1:4传代;每周换液2次。;生长特性:贴壁生长;形态特性:上皮细胞;相关产品有:PA12细胞、SW900细胞、H283细胞

AN3 Cells;背景说明:AN3CA细胞建系于1964年。它衍生于子宫内膜癌患者淋巴结转移组织,具有癌细胞的基本特性,能在体外长期传代培养,接种实验动物产生明显肿瘤。但细胞的生物学特性及超微结构尚未深入研究,仅发现该细胞系促黑激素合成为阴性。细胞常用于人子宫内膜癌细胞生物学及其相关特性研究。;传代方法:1:2传代;生长特性:贴壁生长;形态特性:上皮样;相关产品有:Kasumi 1细胞、alpha TC1 clone 6细胞、MNNG/HOS Cl #5细胞

LICR-LON-HN6-R Cells;背景说明:舌鳞癌;男性;传代方法:1:2-1:3传代;每周换液2-3次。;生长特性:贴壁;形态特性:详见产品说明书;相关产品有:751细胞、VM-CUB-1细胞、IGR.OV1细胞

GBC-SD Cells;背景说明:GBC-SD 细胞株是王展明等2000年从一位61岁的男性低分化胆囊癌患者中建立的。 细胞的形状有多边形、纺锤形和正方形。 分泌CEA和CA19-9。倍增时间大约为21.4小时。 可移植到裸鼠。 生成的肿瘤与原发肿瘤相似。;传代方法:1:2传代;生长特性:贴壁生长;形态特性:上皮细胞样;相关产品有:Alexander细胞、Hx-147细胞、PL5细胞

SUM 52 Cells;背景说明:乳腺癌;胸腔积液转移;女性;传代方法:1:2-1:3传代;每周换液2-3次。;生长特性:贴壁;形态特性:详见产品说明书;相关产品有:MDA415细胞、SU86-86细胞、SKRC-20细胞

GA-10(Clone 4) Cells;背景说明:详见相关文献介绍;传代方法:每周换液两次;生长特性:悬浮生长 ;形态特性:淋巴母细胞样;相关产品有:hTERTHME1细胞、UCH1细胞、MKN-45细胞

GP10 Cells(提供STR鉴定图谱)

HAP1 PLK2 (-) 4 Cells(提供STR鉴定图谱)

HIT.T15 Cells;背景说明:胰岛β细胞;SV40转化;传代方法:1:2-1:3传代;每周换液2-3次。;生长特性:贴壁;形态特性:详见产品说明书;相关产品有:M3 Clone M-3细胞、H7721细胞、Capan 1细胞

Pt K1 Cells;背景说明:详见相关文献介绍;传代方法:1:2-1:3传代;每周换液2-3次。;生长特性:贴壁或悬浮,详见产品说明书部分;形态特性:详见产品说明书;相关产品有:Ly18细胞、PZ-HPV-7细胞、H2452细胞

FL-83B Cells;背景说明:肝;自发永生;C57BL/6J;传代方法:1:2-1:3传代;每周换液2-3次。;生长特性:贴壁;形态特性:详见产品说明书;相关产品有:SW954细胞、Hi-5细胞、MDA175细胞

huH 1 Cells;背景说明:详见相关文献介绍;传代方法:1:2-1:3传代;每周换液2-3次。;生长特性:贴壁或悬浮,详见产品说明书部分;形态特性:详见产品说明书;相关产品有:Lewis lung carcinoma细胞、D283 Med细胞、343MG细胞

CNLMG-B5537SKIN Cells;背景说明:成纤维 Cells;传代方法:1:2-1:3传代;每周换液2-3次。;生长特性:贴壁;形态特性:详见产品说明书;相关产品有:UPCI:SCC90细胞、L 540细胞、SK-N-BE2细胞

MDA.MB.435 Cells;背景说明:乳腺癌;传代方法:1:2-1:3传代;每周换液2-3次。;生长特性:贴壁;形态特性:详见产品说明书;相关产品有:B-cell with DC Morphology细胞、PCI-4.2细胞、Liver-02细胞

GTL16 Cells;背景说明:胃癌;肝转移;女性;传代方法:1:2-1:3传代;每周换液2-3次。;生长特性:贴壁;形态特性:详见产品说明书;相关产品有:NCI-H1184细胞、H-1341细胞、MBVP细胞

C1498 Cells;背景说明:白血病;雌性;C57BL/6J;传代方法:1:2-1:3传代;每周换液2-3次。;生长特性:悬浮;形态特性:详见产品说明书;相关产品有:EB-3细胞、BJA-B1细胞、Mono Mac 1细胞

HT1080-hNIS-Neo/Fluc-Puro Cells(提供STR鉴定图谱)

KS82 Cells(提供STR鉴定图谱)

mPitA-13 Cells(提供STR鉴定图谱)

NYSCF-MS-1003-10006-104-Skin-mi-iPSC1 Cells(提供STR鉴定图谱)

RIN 100/1 Cells(提供STR鉴定图谱)

Ubigene HCT 116 APC KO Cells(提供STR鉴定图谱)

VH10 Cells(提供STR鉴定图谱)

HAP1 VPS41 (-) Cells(提供STR鉴定图谱)

D341Med Cells;背景说明:详见相关文献介绍;传代方法:每周换液2-3次。;生长特性:悬浮生长;形态特性:髓母细胞样;相关产品有:NCI-H2405细胞、U20S细胞、MDA-MB-157细胞

CCRF/CEM/0 Cells;背景说明:G.E. Foley 等人建立了类淋巴母细胞细胞株CCRF-CEM。 细胞是1964年11月从一位四岁白人女性急性淋巴细胞白血病患者的外周血白血球衣中得到。此细胞系从香港收集而来。;传代方法:1:2传代。3天内可长满。;生长特性:悬浮生长;形态特性:淋巴母细胞样;相关产品有:H9c2(2-1)细胞、HCC-1419细胞、H661细胞

SUM 102 Cells;背景说明:乳腺癌;女性;传代方法:1:2-1:3传代;每周换液2-3次。;生长特性:贴壁;形态特性:详见产品说明书;相关产品有:Swiss-3T3细胞、ID8/MOSEC细胞、NFS60细胞

KHYG-1 Cells;背景说明:NK细胞淋巴瘤/白血病;女性;传代方法:1:2-1:3传代;每周换液2-3次。;生长特性:悬浮;形态特性:详见产品说明书;相关产品有:Y3细胞、GM00346细胞、BALB 3T3 clone A31细胞

HLFa Cells;背景说明:详见相关文献介绍;传代方法:1:2-1:4传代;每周换液2次。;生长特性:贴壁生长;形态特性:成纤维细胞;相关产品有:H1563细胞、SNU-398细胞、H2196细胞

HLFa Cells;背景说明:详见相关文献介绍;传代方法:1:2-1:4传代;每周换液2次。;生长特性:贴壁生长;形态特性:成纤维细胞;相关产品有:H1563细胞、SNU-398细胞、H2196细胞

Vertebral Cancer of the Prostate Cells;背景说明:1997从一位不受激素影响的前列腺癌患者脊椎转移灶中建立了这株细胞。先在小鼠中进行异种移植传代,随后进行体外培养。体内及体外都对雄性激素敏感。;传代方法:消化3-5分钟。1:2。3天内可长满。;生长特性:贴壁生长;形态特性:上皮细胞;相关产品有:CT26.WT细胞、JTC-39细胞、MMVECs细胞

D-407 Cells;背景说明:详见相关文献介绍;传代方法:1:2传代;生长特性:贴壁生长 ;形态特性:详见产品说明书;相关产品有:HTR-8细胞、138 MG细胞、SNU1040细胞

MNNG-HOS (TE 85, clone F-5) Cells;背景说明:骨肉瘤;女性;传代方法:1:2-1:3传代;每周换液2-3次。;生长特性:贴壁;形态特性:详见产品说明书;相关产品有:SHP-77细胞、JF305细胞、SKMEL28细胞

EB2 Cells;背景说明:详见相关文献介绍;传代方法:4 X 105 cells/mL and maintain at between 4 X 105 and 1 X 106 cells/mL.,每2-3天换液;生长特性:悬浮生长 ;形态特性:淋巴母细胞样;相关产品有:CX1细胞、786O细胞、NCIH524细胞

HIT.T15 Cells;背景说明:胰岛β细胞;SV40转化;传代方法:1:2-1:3传代;每周换液2-3次。;生长特性:贴壁;形态特性:详见产品说明书;相关产品有:M3 Clone M-3细胞、H7721细胞、Capan 1细胞

HLEB-3 Cells;背景说明:晶状体;Ad12-SV40转化;男性;传代方法:1:2-1:3传代;每周换液2-3次。;生长特性:贴壁;形态特性:详见产品说明书;相关产品有:MM1细胞、Ramos-2G6-4C10细胞、U266B1细胞

HSC2 Cells;背景说明:详见相关文献介绍;传代方法:1:2-1:3传代;每周换液2-3次。;生长特性:贴壁或悬浮,详见产品说明书部分;形态特性:详见产品说明书;相关产品有:HUT125细胞、HEC251细胞、NKM-1细胞

RBL.2H3 Cells;背景说明:详见相关文献介绍;传代方法:消化3-5分钟。1:2。3天内可长满。;生长特性:贴壁生长;形态特性:成纤维细胞;相关产品有:BT20细胞、HCC 70细胞、GM346细胞

LOU-NH-91 Cells;背景说明:肺鳞癌;女性;传代方法:1:2-1:3传代;每周换液2-3次。;生长特性:贴壁;形态特性:详见产品说明书;相关产品有:MCF-7/AdrR细胞、SUP-M2细胞、C-33-A细胞

SV-HUC/ras-C Cells(提供STR鉴定图谱)

NCIADRRES Cells;背景说明:详见相关文献介绍;传代方法:1:2-1:3传代;每周换液2-3次。;生长特性:贴壁或悬浮,详见产品说明书部分;形态特性:详见产品说明书;相关产品有:RWPE-1细胞、CEL细胞、Mesothelial cells transfected with pRSV-T 5A细胞

SK-NEP-1人肾母细胞瘤细胞实验室|已有STR图谱

EBNA-293 Cells;背景说明:详见相关文献介绍;传代方法:1:4-1:10传代;每周2次。;生长特性:贴壁生长;形态特性:上皮细胞样;相关产品有:SKNBE(1)细胞、QBC(939)细胞、GP5d细胞

OVCAR433 Cells;背景说明:卵巢癌;女性;传代方法:1:2-1:3传代;每周换液2-3次。;生长特性:贴壁;形态特性:详见产品说明书;相关产品有:BEL/FU细胞、HBZY-1细胞、Lilly Laboratories Cell-Monkey Kidney 2细胞

FLC7 Cells;背景说明:详见相关文献介绍;传代方法:1:2-1:3传代;每周换液2-3次。;生长特性:贴壁或悬浮,详见产品说明书部分;形态特性:详见产品说明书;相关产品有:GM00346B细胞、OVCAR8细胞、Nb2细胞

SNU-475 Cells;背景说明:详见相关文献介绍;传代方法:1:2传代;生长特性:贴壁生长;形态特性:上皮样;相关产品有:SuDHL 10细胞、TF-1a细胞、SuDHL 10细胞

OVCAR-8 Cells;背景说明:卵巢癌;女性;传代方法:1:2-1:3传代;每周换液2-3次。;生长特性:贴壁;形态特性:详见产品说明书;相关产品有:578T细胞、Epstein-Barr-1细胞、BJA-B1细胞

PANC0504 Cells;背景说明:详见相关文献介绍;传代方法:1:2传代;生长特性:贴壁生长;形态特性:上皮样;相关产品有:ATN1细胞、HIT细胞、SK-MEL-24细胞

NCI-H2198 Cells;背景说明:详见相关文献介绍;传代方法:1:2-1:3传代;每周换液2-3次。;生长特性:贴壁或悬浮,详见产品说明书部分;形态特性:详见产品说明书;相关产品有:Ca761细胞、OVCAR5细胞、DSL6A/C1细胞

NCIH2196 Cells;背景说明:详见相关文献介绍;传代方法:1:3-1:6传代;每周换液2次。;生长特性:贴壁或悬浮,详见产品说明书部分;形态特性:详见产品说明书;相关产品有:HCT/Taxo1细胞、CAOV4细胞、RKO_AS45细胞

RPMI 1788 Cells;背景说明:B淋巴细胞;EBV转化;传代方法:1:2-1:3传代;每周换液2-3次。;生长特性:悬浮;形态特性:详见产品说明书;相关产品有:Ca Ski细胞、OVCAR.8细胞、NKT细胞

PM6 Cells;背景说明:肾癌;男性;传代方法:1:2-1:3传代;每周换液2-3次。;生长特性:贴壁;形态特性:详见产品说明书;相关产品有:H-1694细胞、OK细胞、Ishikawa细胞

UK Pan-1 Cells;背景说明:详见相关文献介绍;传代方法:1:2-1:3传代;每周换液2-3次。;生长特性:贴壁或悬浮,详见产品说明书部分;形态特性:详见产品说明书;相关产品有:HPMEC细胞、NMCG1细胞、RC-4B细胞

HPDLF Cells;背景说明:牙周膜;成纤维 Cells;传代方法:1:2-1:3传代;每周换液2-3次。;生长特性:贴壁;形态特性:详见产品说明书;相关产品有:KE39细胞、CHO Lec1细胞、SuDHL 2细胞

IBRS-2 Cells;背景说明:肾;自发永生;传代方法:1:2-1:3传代;每周换液2-3次。;生长特性:贴壁;形态特性:详见产品说明书;相关产品有:697细胞、L-6 myoblast细胞、GM00215细胞

BayGenomics ES cell line RRS275 Cells(提供STR鉴定图谱)

BayGenomics ES cell line YTA476 Cells(提供STR鉴定图谱)

iBMK WB-10 Cells(提供STR鉴定图谱)

PCRP-POU3F2-3E6 Cells(提供STR鉴定图谱)

K-9 Cells(提供STR鉴定图谱)

HPSI0616i-kalo_6 Cells(提供STR鉴定图谱)

"


SK-NEP-1人肾母细胞瘤细胞实验室|;传代细胞;复苏细胞;实验细胞;科研细胞;

公司简介

上海冠导生物工程有限公司,先后从ATCC、DSMZ、ECACC、RIKEN、PromoCell、ScienCell、JCRB等国内外细胞库引进细胞2000余株。以此为契机,公司组建了冠导细胞库,我司细胞均由资深细胞培养工程师进行培养。我司可以提供的细胞有:①细胞系②原代细胞③稳转株④耐药株⑤标记细胞⑥细胞配套试剂等。

成立日期 (11年)
注册资本 100万(元)
员工人数 50-100人
年营业额 ¥ 1000万-5000万
经营模式 工厂,试剂,定制,服务
主营行业 细胞培养,微生物学,细胞生物学

SK-NEP-1人肾母细胞瘤细胞实验室|已有STR图谱相关厂家报价 更多

  • SK-NEP-1
  • SK-NEP-1
  • 吉奥蓝图(广东)生命科学技术中心 VIP
  • 2026-04-13
  • 询价
内容声明
拨打电话 立即询价