基本信息 产品详情 公司简介 推荐产品
网站主页 化工产品目录 生物 细胞培养 细胞系 人细胞系 UM-UC-3 UM-UC-3人膀胱移行癌细胞实验室|已有STR图谱
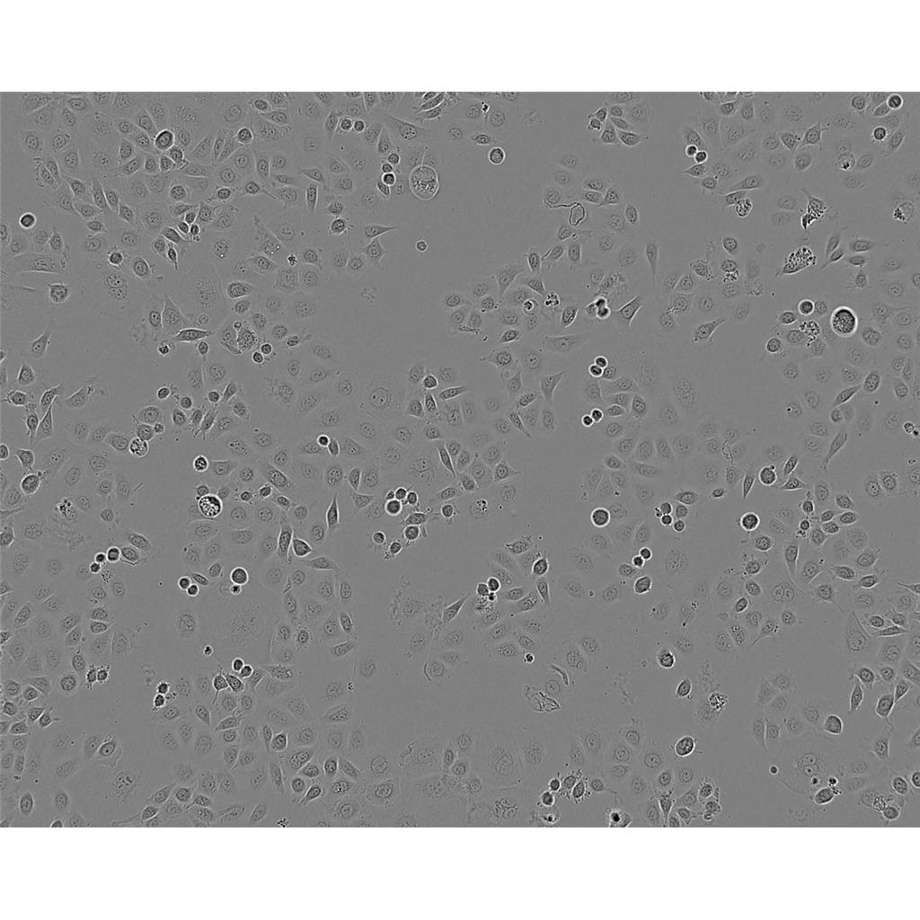
  • UM-UC-3人膀胱移行癌细胞实验室|已有STR图谱

UM-UC-3人膀胱移行癌细胞实验室|已有STR图谱

UM-UC-3
询价 1000000细胞数 起订
2000000细胞数 起订
上海 更新日期:2026-04-17

上海冠导生物工程有限公司

VIP6年
联系人:全经理
电话:18818239863拨打
邮箱:3171921642@qq.com

产品详情:

中文名称:
UM-UC-3人膀胱移行癌细胞实验室|已有STR图谱
英文名称:
UM-UC-3
品牌:
ATCC\RCB等
产地:
国外
保存条件:
常温培养或液氮冻存
纯度规格:
UM-UC-3人膀胱移行癌细胞实验室|已有STR图谱
产品类别:
化学试剂
种属:
详见产品资料
组织:
详见产品资料
细胞系:
详见产品资料
细胞形态:
详见产品资料
生长状态:
详见产品资料
靶点:
详见产品资料
应用:
详见产品资料

"UM-UC-3人膀胱移行癌细胞实验室|已有STR图谱

传代比例:1:2-1:4(首次传代建议1:2)

生长特性:贴壁生长

TR146 Cells;背景说明:食管鳞癌;传代方法:1:2-1:3传代;每周换液2-3次。;生长特性:贴壁;形态特性:详见产品说明书;相关产品有:NK-92 transfected with MFG-hIL2细胞、T98 G细胞、TF-1细胞

HEL-92.1.7 Cells;背景说明:详见相关文献介绍;传代方法:每周2-3次。;生长特性:悬浮生长;形态特性:成淋巴细胞;相关产品有:H-35 Reuber细胞、SW620细胞、H-1836细胞

OCI Ly1 Cells;背景说明:弥漫大B淋巴瘤;男性;传代方法:1:2-1:3传代;每周换液2-3次。;生长特性:悬浮;形态特性:详见产品说明书;相关产品有:NCIH1437细胞、P3X63 Ag8.653细胞、SUDHL-2细胞

细胞株(系)的使用,为医学研究和测试工作带来了大的方便。但细胞的传代是有限制的,长期连续传代的细胞,不仅消耗大量的人力和物力,而且细胞的生长与形态等会有一定退变或转化,因而细胞失去原有的遗传性,有时还会由于细胞污染而造成传代中断,种子丢失。因此,在实际工作中常需冻存一定数量的细胞,以备替换使用。细胞冷冻与复苏是细胞培养 室的常规工作和通用技术。目前,细胞冻存Zui常用的技术是冷冻保存法,主要采用加适量保护剂的缓慢冷冻法冻存细胞。细胞在不加任何保护剂的情况下直接冷冻,细胞内外的水分会很快形成冰晶,从而引起一系列不良反应。如细胞脱水使局部电解质浓度增GAO,pH值改变,部分蛋白质由于上述原因而变性,引起细胞内部空间结构紊乱,溶酶体膜由此遭到损伤而释放出溶酶体酶,使细胞内结构成分造成破坏,线粒体肿胀,功能丢失,并造成能量代谢障碍。胞膜上的类脂蛋白复合体也易破坏引起细胞膜通透性的改变,使细胞内容物丢失。如果细胞内冰晶形成较多,随冷冻温度的降低,冰晶体积膨胀造成细胞核DNA空间构型发生不可逆的损伤,而致细胞死亡。因此,细胞冷冻技术的关键是尽可能地减少细胞内水分,减少细胞内冰晶的形成。采用甘油或二甲基亚砜作保护剂,这两种物质分子量小,溶解度大,易穿透细胞,可以使冰点下降,提GAO细胞膜对水的通透性,且对细胞无明显毒性。慢速冷冻方法又可使细胞内的水分渗出细胞外,减少胞内形成冰结晶的机会,从而减少冰晶对细胞的损伤。

换液周期:每周2-3次

UM-UC-3人膀胱移行癌细胞实验室|已有STR图谱

背景信息:详见相关文献介绍

产品包装:复苏发货:T25培养瓶(一瓶)或冻存发货:1ml冻存管(两支)

细胞系的选择需要考虑到细胞系的功能特点、生长速率、铺板效率、生长条件和生长特征、克隆效率、培养方式等因素,如果您想高产量表达重组蛋白,您可以选择可以悬浮生长的快速生长细胞系。细胞培养的操作步骤主要包括传代、换液、冻存和复苏。这些步骤确保了细胞能够在实验室环境中长期存活并继续增殖。传代是将细胞从一个容器转移到另一个容器的过程,以扩大细胞数量;换液是为了清除代谢废物并补充新鲜培养基;冻存则是为了长期保存细胞,而复苏则是重新激活冷冻保存的细胞使其恢复正常生长。

来源说明:细胞主要来源ATCC、ECACC、DSMZ、RIKEN等细胞库

209/MDCT Cells(提供STR鉴定图谱)

HEK.EBNA Cells;背景说明:详见相关文献介绍;传代方法:1:4-1:10传代;每周2次。;生长特性:贴壁生长;形态特性:上皮细胞样;相关产品有:NCIH2196细胞、WM115F细胞、NCIH226细胞

D324 Med Cells;背景说明:详见相关文献介绍;传代方法:1:4-1:6传代;每周换液2-3次。;生长特性:贴壁生长;形态特性:多边形;相关产品有:HFL细胞、FHCRC-11细胞、PANC0504细胞

HCC-4006 Cells;背景说明:详见相关文献介绍;传代方法:1:4-1:6传代,每周2-3次。;生长特性:贴壁生长;形态特性:上皮细胞样;相关产品有:SNU869细胞、H-841细胞、Suzhou Human Glioma-44细胞

UM-UC-3人膀胱移行癌细胞实验室|已有STR图谱

物种来源:人源、鼠源等其它物种来源

形态特性:上皮细胞样

我们都知道世界宇宙浩瀚无,除了我们知道的地球、太阳、月球、银河系以外还有HAO多其他宇宙行星,这样的世界对于很多人来说很陌生稀奇甚至无法想象,这样的世界同样也是我们无法触摸的,然而还有一个微观的世界也是我们无法接触的,这个就是——细胞里的微观世界。对于很多人来说,除了从书本上简单了解植物细胞的知识以外,在行业外人的意识里,细胞还是一个让人一头雾水的词语,甚至都是一个无形的存在,更别提描述和看见这个东西,但是对于行业内的生物科学研究者和医学研究者,这是个经常被运用到的必需之物,用宇宙世界的包含于被包含的关系把细胞的微观世界剖析开来,让我们了解到细胞是什么样的东西及应用和未来世界细胞在生命中的重要作用。细胞发炎——心脏疾病;DNA受损——癌症;细胞能量衰退——肾功能衰竭、关节炎、帕金森氏;老化蛋白堆积——糖尿病、痴呆症、心脑血管疾病;所有的衰老和疾病都是机体内细胞开的损伤、衰老和死亡造成的。所以细胞在科学研究和医学研究中有着重要的应用作用,尤其是原代细胞,它是从机体组织中分离提取培养,它可以作为一种科研材料帮助研究者进行项目研究和课题研究,也可以帮助医学者进行疾病研究和疾病试验,试想从人体组织中分离培养的细胞经过医学药物的试验再运用到人体身上,无论从功效还是结果上效果都是。

HT 144 Cells;背景说明:详见相关文献介绍;传代方法:1:3-1:8传代,2-3天换液1次。;生长特性:贴壁生长;形态特性:成纤维细胞;相关产品有:CNE1-LUC细胞、UMC-11细胞、PC-9细胞

BEAS 2B Cells;背景说明:从一位非癌个体的正常人支气管上皮病理切片分离出上皮细胞。这些细胞用腺病毒12-SV40病毒杂交病毒感染并克隆。DEAS-2B细胞保留了对血清反应进行鳞关分化的能力,并有用于筛选诱导或影响分化及致癌的化学或生物制剂。细胞角蛋白及SV40抗原染色阳性。;传代方法:消化3-5分钟。1:2。3天内可长满;生长特性:贴壁生长;形态特性:上皮细胞样;相关产品有:NTERA-2细胞、MM1.S细胞、NCI-HUT-125细胞

C518 Cells;背景说明:膝关节退变软骨 Cells;传代方法:1:2-1:3传代;每周换液2-3次。;生长特性:贴壁;形态特性:详见产品说明书;相关产品有:MES-SA/Dx-5细胞、SV40 MES 13细胞、HLE-SRA-01/04细胞

NR 8383 Cells;背景说明:NR8383(正常大鼠,1983年8月3日)来源于肺灌洗时的正常大鼠肺泡巨噬细胞。细胞在gerbil肺细胞连续培养液存在下培养了大约8-9个月。随后,不再需要外源生长因子。通过有限稀释法从单个细胞克隆并亚克隆NR8383细胞,并三次用软琼脂亚克隆。细胞表现出巨噬细胞的特性,吞噬酵母多糖和铜绿,非特异性脂酶活性,Fc受体,氧化降解;分泌IL-1,TNFbeta和IL-6,可重复地响应外源生长因子。NR8383细胞响应博莱霉素,分泌TGFbeta前体。在博莱霉素刺激下,TGFbe;传代方法:1:2传代;生长特性:半贴壁生长;形态特性:巨噬细胞;相关产品有:RH-30细胞、SF 539细胞、PLC8024细胞

NCIH838 Cells;背景说明:该细胞于1984年建系,源于一位59岁患有非小细胞肺癌的白人男性吸烟者,从患者淋巴结转移灶分离而来。;传代方法:1:3-1:6传代;2-3天换液1次。;生长特性:贴壁生长;形态特性:上皮样;相关产品有:MAVER1细胞、KMM-1细胞、NE-4C细胞

NCI-H1882 Cells;背景说明:详见相关文献介绍;传代方法:1:2-1:3传代;每周换液2-3次。;生长特性:贴壁或悬浮,详见产品说明书部分;形态特性:详见产品说明书;相关产品有:HOPC细胞、SEM细胞、SKCO-1细胞

SK HEP-1 Cells;背景说明:SK-HEP-1细胞系已被鉴定为内皮来源。该细胞系为异倍体女性人(XX),染色体在亚三倍体范围内。在裸鼠中,它能形成与肝癌相一致的大细胞癌;传代方法:1:3传代,2-3天换液一次;生长特性:贴壁生长;形态特性:上皮样;相关产品有:HEK-293-H细胞、HTR8细胞、HTori 3细胞

KYSE0520 Cells;背景说明:食管鳞癌;女性;传代方法:1:2-1:3传代;每周换液2-3次。;生长特性:贴壁;形态特性:详见产品说明书;相关产品有:Caki-1细胞、RM-1细胞、S16细胞

A375-S2 Cells;背景说明:详见相关文献介绍;传代方法:1:2传代;生长特性:贴壁生长;形态特性:上皮样;相关产品有:Roswell Park Memorial Institute 7666细胞、SU-DHL-16细胞、C8166细胞

Hs 445 Cells;背景说明:详见相关文献介绍;传代方法:1:2-1:3传代;每周换液2-3次。;生长特性:贴壁或悬浮,详见产品说明书部分;形态特性:详见产品说明书;相关产品有:OP9细胞、TK.10细胞、H-1963细胞

87 MG Cells;背景说明:详见相关文献介绍;传代方法:1:2-1:3传代;每周换液2-3次。;生长特性:贴壁或悬浮,详见产品说明书部分;形态特性:详见产品说明书;相关产品有:Hs888 Lu细胞、KU.812细胞、HSC-T6细胞

SNU-475 Cells;背景说明:详见相关文献介绍;传代方法:1:2传代;生长特性:贴壁生长;形态特性:上皮样;相关产品有:SuDHL 10细胞、TF-1a细胞、SuDHL 10细胞

KPL1 Cells;背景说明:浸润性导管癌;女性;传代方法:1:2-1:3传代;每周换液2-3次。;生长特性:贴壁;形态特性:详见产品说明书;相关产品有:HS-940-T细胞、C2BBe1细胞、MV 3细胞

BMF Cells;背景说明:详见相关文献介绍;传代方法:1:2-1:4传代;生长特性:贴壁生长;形态特性:详见产品说明书;相关产品有:TK10细胞、SW 1990细胞、N9细胞

H-661 Cells;背景说明:该细胞1982年建系,源自一位患有大细胞肺癌的男性的胸腔积液。该细胞角蛋白、波形蛋白阳性。;传代方法:1:3—1:5传代,每周换液2—3次;生长特性:贴壁生长;形态特性:上皮样;相关产品有:PCI-4M细胞、MKN7细胞、HCC1359细胞

SKNBE Cells;背景说明:1972年11月从一们多次化疗及放疗的扩散性神经母细胞瘤患儿骨髓穿刺物中建立了SK-N-BE(2)神经母细胞瘤细胞株。 该细胞显示中等水平的多巴胺-β-羟基酶活性。 有报道称SK-N-BE(2)细胞的饱和浓度超过1x106细胞/平方厘米。细胞形态多样,有的有长突触,有的呈上皮细胞样。 细胞会聚集,形成团块并浮起;传代方法:1:2传代;生长特性:贴壁生长;形态特性:上皮细胞样;相关产品有:PZ-HPV-7细胞、L-132细胞、H-446细胞

ME 180 Cells;背景说明:这株细胞来源于一个细胞集落不规则没有显著角质化的侵染性鳞状细胞癌。 单层培养的细胞间可以观察到带状连接,也注意到有细胞质张力丝。 1970年发现支原体污染并去除。 肿瘤坏死因子(TNF)α抑制ME-180的生长。 这株细胞含有人乳头瘤病毒(HPV)DNA,与HPV-39的同源性高于HPV-18。;传代方法:1:2传代;生长特性:贴壁生长;形态特性:上皮细胞样;相关产品有:RCM-1 [Human rectum adenocarcinoma]细胞、RD 2细胞、IR 983F细胞

UM-UC-3人膀胱移行癌细胞实验室|已有STR图谱

7LBLN Cells(提供STR鉴定图谱)

Abcam MCF-7 GLI2 KO Cells(提供STR鉴定图谱)

ATC-307 Cells(提供STR鉴定图谱)

BayGenomics ES cell line RRN384 Cells(提供STR鉴定图谱)

BayGenomics ES cell line YHB042 Cells(提供STR鉴定图谱)

CCD-42Sk Cells(提供STR鉴定图谱)

DA00997 Cells(提供STR鉴定图谱)

DA05652 Cells(提供STR鉴定图谱)

GKP4 Cells(提供STR鉴定图谱)

Hs 600.T Cells;背景说明:详见相关文献介绍;传代方法:1:2-1:3传代,2-3天换液1次。;生长特性:贴壁生长;形态特性:详见产品说明书;相关产品有:B 95.8细胞、SuDHL 1细胞、H1963细胞

U251MG Cells;背景说明:U-251 MG分离至一位患者的胶质母细胞瘤组织。;传代方法:1:2-1:3传代;每周换液2-3次。;生长特性:贴壁;形态特性:成纤维细胞样;相关产品有:3AO细胞、Cattle chondrocytes细胞、MCF10A细胞

GP293 Cells;背景说明:详见相关文献介绍;传代方法:1:2-1:3传代;每周换液2-3次。;生长特性:贴壁或悬浮,详见产品说明书部分;形态特性:详见产品说明书;相关产品有:KU 812细胞、CL-11细胞、BMSC/hBMSCs细胞

CCD1112Sk Cells;背景说明:详见相关文献介绍;传代方法:1:2-1:3传代;每周换液2-3次。;生长特性:贴壁或悬浮,详见产品说明书部分;形态特性:详见产品说明书;相关产品有:NB1RGB细胞、BL6细胞、MV-4:11细胞

BGC823 Cells;背景说明:建自一位62岁的胃癌患者;传代方法:1:3传代,2-3天换液一次;生长特性:贴壁生长;形态特性:上皮样;相关产品有:KM12SM细胞、Hep G2/C3A细胞、MLMA细胞

MCA 38 Cells;背景说明:详见相关文献介绍;传代方法:1:2传代;生长特性:贴壁生长;形态特性:上皮细胞样;相关产品有:MeSoTheliOma-211H细胞、NSI/1-Ag4-1细胞、GC-1spg细胞

GM00637F Cells;背景说明:详见相关文献介绍;传代方法:1:2-1:3传代;每周换液2-3次。;生长特性:贴壁或悬浮,详见产品说明书部分;形态特性:详见产品说明书;相关产品有:TMD-8细胞、H766T细胞、X63-Ag8细胞

H-441 Cells;背景说明:NCI-H441建系于1982年(A.F.Gazdar,etal.)。该细胞分离自一名肺腺癌患者的心包液。该细胞能在半固体琼脂糖中形成克隆,并能表达肺泡表面活性蛋白A。该细胞在有血清培养基中倍增时间为58小时,在无血清培养基中倍增时间为99-138小时。;传代方法:1:3传代,2-3天传一代;生长特性:贴壁生长;形态特性:上皮细胞样;相关产品有:769-P细胞、OVCAR 5细胞、SUM-190PT细胞

NR 8383 Cells;背景说明:NR8383(正常大鼠,1983年8月3日)来源于肺灌洗时的正常大鼠肺泡巨噬细胞。细胞在gerbil肺细胞连续培养液存在下培养了大约8-9个月。随后,不再需要外源生长因子。通过有限稀释法从单个细胞克隆并亚克隆NR8383细胞,并三次用软琼脂亚克隆。细胞表现出巨噬细胞的特性,吞噬酵母多糖和铜绿,非特异性脂酶活性,Fc受体,氧化降解;分泌IL-1,TNFbeta和IL-6,可重复地响应外源生长因子。NR8383细胞响应博莱霉素,分泌TGFbeta前体。在博莱霉素刺激下,TGFbe;传代方法:1:2传代;生长特性:半贴壁生长;形态特性:巨噬细胞;相关产品有:RH-30细胞、SF 539细胞、PLC8024细胞

AML-2 Cells;背景说明:急性髓系白血病;男性;传代方法:1:2-1:3传代;每周换液2-3次。;生长特性:悬浮;形态特性:详见产品说明书;相关产品有:OCI-Ly7细胞、NCI-H1755细胞、C-28I2细胞

NCIH292 Cells;背景说明:详见相关文献介绍;传代方法:1:3-1:8传代;2-3天换液1次。;生长特性:贴壁生长;形态特性:上皮样;相关产品有:HS 683T细胞、Beta-TC-6细胞、BRL细胞

Y3Ag1.2.3 Cells;背景说明:详见相关文献介绍;传代方法:1:2-1:3传代;每周换液2-3次。;生长特性:贴壁或悬浮,详见产品说明书部分;形态特性:详见产品说明书;相关产品有:SKLMS1细胞、SNU16细胞、MDA MB 361细胞

SKMEL-1 Cells;背景说明:详见相关文献介绍;传代方法:维持细胞浓度在1×105-2×105,每周补液2-3次。;生长特性:悬浮生长;形态特性:球形的;相关产品有:Walker256细胞、ST 486细胞、MC3T3-E1细胞

OVCAR-3 Cells;背景说明:该细胞1982年由T.C. Hamilton等建系,源自一位60卵巢腺癌的腹水,是卵巢癌抗药性研究的模型。;传代方法:1:2—1:4传代,每周换液2—3次;生长特性:贴壁生长;形态特性:上皮细胞样;相关产品有:TE10细胞、SW1417细胞、LN-382细胞

MGc80-3 Cells;背景说明:1980年建系,人胃癌低分化黏液腺癌组织小块用RPMI-1640培养液培养4天细胞开始生长,首次传代8日。免疫抑制的Wistar雄幼大鼠皮下移植成功。;传代方法:1:3传代,2-3天换液一次;生长特性:贴壁生长;形态特性:上皮样;相关产品有:Hep 3B细胞、T98-G细胞、OVCAR432细胞

GPC-16 Cells(提供STR鉴定图谱)

HAP1 PMS2 (-) Cells(提供STR鉴定图谱)

293 F Cells;背景说明:详见相关文献介绍;传代方法:1:2传代;生长特性:贴壁生长;悬浮生长;形态特性:上皮细胞样;相关产品有:Huh-7.5.1细胞、RS4-11细胞、U87细胞

GP2d Cells;背景说明:详见相关文献介绍;传代方法:1:2—1:3传代,每周换液2—3次;生长特性:贴壁生长;形态特性:上皮细胞;相关产品有:CCD19Lu细胞、GM2131细胞、GM637细胞

CHP-126 Cells;背景说明:详见相关文献介绍;传代方法:1:2-1:3传代;每周换液2-3次。;生长特性:贴壁或悬浮,详见产品说明书部分;形态特性:详见产品说明书;相关产品有:OKT 3细胞、CCC-HIE-2细胞、HOC1细胞

DV90 Cells;背景说明:详见相关文献介绍;传代方法:1:2-1:3传代;每周换液2-3次。;生长特性:贴壁或悬浮,详见产品说明书部分;形态特性:详见产品说明书;相关产品有:SRA01/04 (HLE)细胞、RenCa细胞、373 MG细胞

C518 Cells;背景说明:膝关节退变软骨 Cells;传代方法:1:2-1:3传代;每周换液2-3次。;生长特性:贴壁;形态特性:详见产品说明书;相关产品有:MES-SA/Dx-5细胞、SV40 MES 13细胞、HLE-SRA-01/04细胞

HDLM2 Cells;背景说明:霍奇金淋巴瘤;男性;传代方法:1:2-1:3传代;每周换液2-3次。;生长特性:悬浮;形态特性:详见产品说明书;相关产品有:HT-115细胞、HIC细胞、Duke University 4475细胞

WM266-4 Cells;背景说明:详见相关文献介绍;传代方法:1:2传代;生长特性:贴壁生长;形态特性:详见产品说明书;相关产品有:MeT 5A细胞、OUMS23细胞、SGC7901细胞

BEL-7405 Cells;背景说明:详见相关文献介绍;传代方法:1:2-1:3传代;每周换液2-3次。;生长特性:贴壁;形态特性:上皮细胞样;相关产品有:H-1793细胞、OSKM-1细胞、Kit225/K6细胞

HT149E Cells(提供STR鉴定图谱)

KSCBi005-A-5 Cells(提供STR鉴定图谱)

mPitA-7 Cells(提供STR鉴定图谱)

NYSCF2 Cells(提供STR鉴定图谱)

RIN-A13 Cells(提供STR鉴定图谱)

Ubigene HCT 116 ARAF KO Cells(提供STR鉴定图谱)

VHB-1 Cells(提供STR鉴定图谱)

HCC2974 Cells(提供STR鉴定图谱)

TFK-1 Cells;背景说明:胆管癌;男性;传代方法:1:2-1:3传代;每周换液2-3次。;生长特性:贴壁;形态特性:详见产品说明书;相关产品有:PNT1A细胞、MES-SA-Dx5细胞、MDA PCa 2b细胞

Walker/LLC-WRC256 Cells;背景说明:腹水癌;传代方法:1:2-1:3传代;每周换液2-3次。;生长特性:贴壁;形态特性:详见产品说明书;相关产品有:INS1-E细胞、CL1-0细胞、Vero 76 clone E-6细胞

H1048 Cells;背景说明:详见相关文献介绍;传代方法:1:3-1:8传代;;生长特性:贴壁生长;形态特性:上皮细胞样;相关产品有:IGROV1细胞、HT55细胞、NL20细胞

LOUNH91 Cells;背景说明:肺鳞癌;女性;传代方法:1:2-1:3传代;每周换液2-3次。;生长特性:贴壁;形态特性:详见产品说明书;相关产品有:CCD-112 CoN细胞、HSC-T6细胞、Vx-2细胞

NT2 Cells;背景说明:畸胎瘤;男性;传代方法:1:2-1:3传代;每周换液2-3次。;生长特性:贴壁;形态特性:详见产品说明书;相关产品有:T1-73细胞、C 643细胞、NFHIOSE-80细胞

NT2 Cells;背景说明:畸胎瘤;男性;传代方法:1:2-1:3传代;每周换液2-3次。;生长特性:贴壁;形态特性:详见产品说明书;相关产品有:T1-73细胞、C 643细胞、NFHIOSE-80细胞

OVCAR5 Cells;背景说明:卵巢癌;腹水转移;女性;传代方法:1:2-1:3传代;每周换液2-3次。;生长特性:贴壁;形态特性:详见产品说明书;相关产品有:SK-NSH细胞、C3H10T1/2 clone8细胞、H524细胞

SNU-739 Cells;背景说明:详见相关文献介绍;传代方法:1:2传代;生长特性:贴壁或悬浮,详见产品说明书部分;形态特性:详见产品说明书;相关产品有:A-498细胞、HGBEC细胞、AM-38细胞

A704 Cells;背景说明:详见相关文献介绍;传代方法:1:3—1:4传代,每周换液2-3次;生长特性:贴壁生长;形态特性:上皮细胞样;相关产品有:VP229细胞、HFLS细胞、Hs606细胞

GM-3573 Cells;背景说明:这是P3X63Ag8(ATCCTIB-9)的一个不分泌克隆。Kappa链合成了但不分泌。能抗0.1mM8-氮杂鸟嘌呤但不能在HAT培养基中生长。据报道它是由于缺失了3-酮类固醇还原酶活性的胆固醇营养缺陷型。检测表明肢骨发育畸形病毒(鼠痘)阴性。;传代方法:1:2传代,3天内可长满。;生长特性:悬浮生长;形态特性:淋巴母细胞;相关产品有:CCD18细胞、COLO-394细胞、CCRF-CEM C7细胞

NTera 2/cl.D1 Cells;背景说明:详见相关文献介绍;传代方法:1:2-1:3传代;每周换液2-3次。;生长特性:贴壁或悬浮,详见产品说明书部分;形态特性:详见产品说明书;相关产品有:H-1155细胞、OVCAR432细胞、ssMCF-7细胞

NU-GC-2 Cells;背景说明:详见相关文献介绍;传代方法:1:2-1:3传代;每周换液2-3次。;生长特性:贴壁或悬浮,详见产品说明书部分;形态特性:详见产品说明书;相关产品有:NCI-460细胞、Human Melanoma Cell Bowes细胞、Stanford University-Diffuse Histiocytic Lymphoma-10细胞

HGSMC Cells;背景说明:胃平滑肌;传代方法:1:2-1:3传代;每周换液2-3次。;生长特性:贴壁;形态特性:详见产品说明书;相关产品有:TE12细胞、RC92A细胞、NCI H82细胞

SNU-387 Cells;背景说明:详见相关文献介绍;传代方法:1:2传代;生长特性:贴壁生长;形态特性:上皮样;相关产品有:H-1395细胞、NCIH1105细胞、UMNSAH/DF#1细胞

NK10a Cells;背景说明:1967年,该细胞系KleinE和KleinG建系,源于一名16岁患有Burkitt's淋巴瘤的黑人男性,beta-2-微球蛋白阴性,表达EBNA,VCA,sIg。该细胞携带EB病毒,是一个典型的B淋巴母细胞系,可用于白血病发病机制的研究。;传代方法:1:2传代;生长特性:悬浮生长;形态特性:淋巴母细胞样;相关产品有:HuTu 80细胞、UMUC14细胞、SN12PM6细胞

SV1-LOHG Cells(提供STR鉴定图谱)

RKO-E6 Cells;背景说明:详见相关文献介绍;传代方法:1:2-1:3传代;每周换液2-3次。;生长特性:贴壁或悬浮,详见产品说明书部分;形态特性:详见产品说明书;相关产品有:RetroPack PT67细胞、HMEL细胞、SF126细胞

UM-UC-3人膀胱移行癌细胞实验室|已有STR图谱

OCI Ly19 Cells;背景说明:弥漫大B淋巴瘤;女性;传代方法:1:2-1:3传代;每周换液2-3次。;生长特性:悬浮;形态特性:详见产品说明书;相关产品有:H-3255细胞、M-20细胞、HCC70细胞

CCD-841CoTr Cells;背景说明:结肠癌;SV40转化;女性;传代方法:1:2-1:3传代;每周换液2-3次。;生长特性:贴壁;形态特性:详见产品说明书;相关产品有:Fao细胞、NuTu 19细胞、UPCI-SCC-090细胞

Hs683 Cells;背景说明:该细胞源自76岁白人男性的左颞叶侧胶质瘤组织,有微绒毛,无桥粒。 ;传代方法:1:4传代,每周换液2次;生长特性:贴壁生长;形态特性:成纤维细胞;相关产品有:293-F细胞、LK 2细胞、Line 697细胞

LI7 Cells;背景说明:人肝癌细胞株。这株细胞从裸鼠体外移植瘤中建立。;传代方法:1:2传代;生长特性:贴壁生长 ;形态特性:详见产品说明书;相关产品有:BxPC-3细胞、3T3 J2细胞、T173细胞

GM00346 Cells;背景说明:皮下结缔组织;自发永生;雄性;C3H/An;传代方法:1:2-1:3传代;每周换液2-3次。;生长特性:贴壁;形态特性:详见产品说明书;相关产品有:Ontario Cancer Institute-Acute Myeloid Leukemia-3细胞、BT474细胞、HFL-1细胞

H-716 Cells;背景说明:从一位经5-尿嘧啶治疗的患者腹水中得到的细胞建立了这个细胞株。 与其它结直肠癌细胞系不同,这株细胞有多巴脱羧酶,细胞质中有核心致密的内分泌型颗粒。 这株细胞不表达TAG-72 或CA19-9抗原,也不生成癌胚抗原(CEA);传代方法:1:3—1:6传代,每周换液2—3次;生长特性:悬浮生长,聚团,少数贴壁;形态特性:上皮细胞样;相关产品有:CHL-IU细胞、KYSE140细胞、MGH-U3细胞

MDA1386 Cells;背景说明:舌鳞癌;男性;传代方法:1:2-1:3传代;每周换液2-3次。;生长特性:贴壁;形态特性:详见产品说明书;相关产品有:BT-549细胞、CEM/C1细胞、MN-60细胞

HGMC Cells;背景说明:肾小球系膜;传代方法:1:2-1:3传代;每周换液2-3次。;生长特性:贴壁;形态特性:详见产品说明书;相关产品有:MFE 296细胞、DSL-6A/C1细胞、OVCAR-8细胞

Kasumi 1 Cells;背景说明:详见相关文献介绍;传代方法:1:2传代。3天内可长满。;生长特性:悬浮生长;形态特性:原粒细胞;相关产品有:Nb2-11细胞、NCIH1341细胞、T-T细胞

SW-1463 Cells;背景说明:详见相关文献介绍;传代方法:1:3—1:8传代,每周换液1-2次;生长特性:贴壁生长;形态特性:上皮细胞;相关产品有:HO1-N-1细胞、MDCK supertube细胞、CMT 93细胞

VM-CUB-1 Cells;背景说明:详见相关文献介绍;传代方法:1:2-1:3传代;每周换液2-3次。;生长特性:贴壁或悬浮,详见产品说明书部分;形态特性:详见产品说明书;相关产品有:BT-483细胞、22Rv-1细胞、HUCEC细胞

WM-266-4 Cells;背景说明:详见相关文献介绍;传代方法:1:2传代;生长特性:贴壁生长;形态特性:详见产品说明书;相关产品有:BS-C-1细胞、OE-19细胞、Hs852T细胞

MPVECs Cells;背景说明:肺;微血管;内皮 Cells;传代方法:1:2-1:3传代;每周换液2-3次。;生长特性:贴壁;形态特性:详见产品说明书;相关产品有:HEC251细胞、Panc4.03细胞、WI-38细胞

BayGenomics ES cell line CSI385 Cells(提供STR鉴定图谱)

BayGenomics ES cell line RST517 Cells(提供STR鉴定图谱)

C30.1 line 1 Cells(提供STR鉴定图谱)

Li mAb(7) Cells(提供STR鉴定图谱)

PV-1 Cells(提供STR鉴定图谱)

rHypoE-32 Cells(提供STR鉴定图谱)

"


UM-UC-3人膀胱移行癌细胞实验室|已;传代细胞;复苏细胞;实验细胞;科研细胞;

公司简介

上海冠导生物工程有限公司,先后从ATCC、DSMZ、ECACC、RIKEN、PromoCell、ScienCell、JCRB等国内外细胞库引进细胞2000余株。以此为契机,公司组建了冠导细胞库,我司细胞均由资深细胞培养工程师进行培养。我司可以提供的细胞有:①细胞系②原代细胞③稳转株④耐药株⑤标记细胞⑥细胞配套试剂等。

成立日期 (11年)
注册资本 100万(元)
员工人数 50-100人
年营业额 ¥ 1000万-5000万
经营模式 工厂,试剂,定制,服务
主营行业 细胞培养,微生物学,细胞生物学

UM-UC-3人膀胱移行癌细胞实验室|已有STR图谱相关厂家报价 更多

  • UM-UC-3
  • UM-UC-3
  • 吉奥蓝图(广东)生命科学技术中心 VIP
  • 2026-04-17
  • 询价
内容声明
拨打电话 立即询价