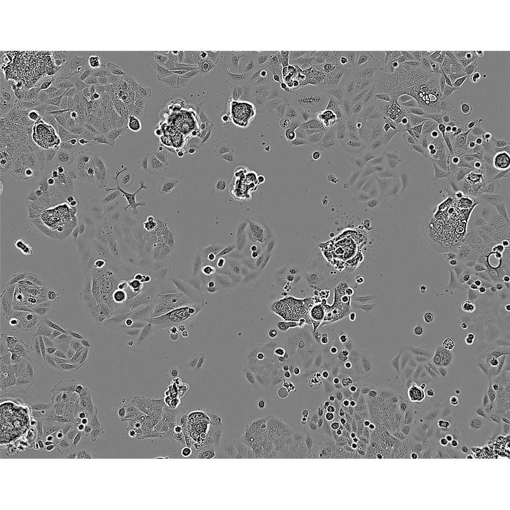
"T24[T-24]人膀胱移行细胞癌细胞新批次|培养基|送STR图谱
传代比例:1:2-1:4(首次传代建议1:2)
生长特性:贴壁生长
换液周期:每周2-3次
背景信息:该细胞源自一位81岁白人女性患者的膀胱移行细胞癌组织;来源于移行细胞癌病人的白血病和血浆对T24和相关细胞株有细胞毒性;倍增时间为19小时;含ras(H-ras)癌基因,表达肿瘤特有抗原。
T24[T-24]人膀胱移行细胞癌细胞新批次|培养基|送STR图谱
┈订┈购(技术服务)┈热┈线:1┈3┈6┈4┈1┈9┈3┈0┈7┈9┈1【微信同号】┈Q┈Q:3┈1┈8┈0┈8┈0┈7┈3┈2┈4;
在细胞培养操作中,每一个步骤都可能影响细胞系的命运。有时,细胞换液后突然死亡,这让科研人员困惑不已。那么,究竟是什么原因导致了这种情况呢?首先,换液操作过程中的不当处理是一个常见因素。例如,使用的移液器如果没有校准准确,吸取或添加培养液的量过多或过少,都可能使细胞所处的环境渗透压发生变化。细胞在渗透压失衡的环境中,水分子会快速进出细胞,导致细胞肿胀或皱缩,最终死亡。此外,如果在吸取旧培养液时过于靠近细胞层,容易造成细胞的机械性损伤,破坏细胞的完整性,使其无法维持正常的生理功能。其次,培养液的成分和质量也至关重要。新配制的培养液若在成分比例上出现偏差,如某些营养物质浓度过高或过低,可能无法满足细胞的生长需求,导致细胞因营养缺乏或中毒而死亡。而且,培养液若在储存或处理过程中受到污染,从而迅速致使细胞死亡。再者,培养环境的变化不容忽视。换液时,比如,温度过高会使细胞内蛋白质变性,温度过低则会降低细胞的活性和代谢速率;二氧化碳浓度的改变会影响培养液的酸碱度,进而干扰细胞的正常生理活动。所以细胞换液后死亡是多种因素综合作用的结果。
NP69SV40T Cells;背景说明:鼻咽;上皮细胞;SV40转化;传代方法:1:2-1:3传代;每周换液2-3次。;生长特性:贴壁;形态特性:详见产品说明书;相关产品有:MC3T3E1细胞、HOEC细胞、MGHU1细胞
HUCEC Cells;背景说明:宫颈;上皮 Cells;传代方法:1:2-1:3传代;每周换液2-3次。;生长特性:贴壁;形态特性:详见产品说明书;相关产品有:RKO细胞、SUD-4细胞、HT-29/CX-1细胞
R 1610 Cells;背景说明:详见相关文献介绍;传代方法:1:2-1:3传代;每周换液2-3次。;生长特性:贴壁或悬浮,详见产品说明书部分;形态特性:详见产品说明书;相关产品有:E0771细胞、PA1细胞、MLE12细胞
ABE8.1/2 Cells;背景说明:淋巴瘤;BALB/c;传代方法:1:2-1:3传代;每周换液2-3次。;生长特性:悬浮;形态特性:详见产品说明书;相关产品有:Bovine ENDometrial cells细胞、RC-K8细胞、FL 62891细胞
产品包装:复苏发货:T25培养瓶(一瓶)或冻存发货:1ml冻存管(两支)
来源说明:细胞主要来源ATCC、ECACC、DSMZ、RIKEN等细胞库
细胞常规培养传代流程(请严格遵照无菌操作):1)吸出原培养瓶中的培养基,PBS缓冲润洗细胞两次,加2-3ml 0.25%胰酶进行消化细胞(注意把握消化时间,通常控制在1-2min);2)镜下观察消化情况,在细胞边缘缩小,贴壁松动时(不建议消化到细胞漂浮)去掉胰酶,加6-8ml完全培养基,轻轻吹打细胞层,尽量把细胞层吹落,吹散;3)取部分细胞悬转移到新的培养皿/瓶中,添加适当的完全培养基,把细胞悬打匀,于培养箱中培养;4)注意培养基PH值变化情况,定期换(每周2-3次),待细胞密度达到80%以后重复1项操作或者冻存;别注意:(如使用公共实验室或者初次接触细胞培养,建议添加双抗培养)1)收到细胞后请尽快更换为含15%血清的新鲜培养基,如因殊情况需要继续使用原瓶,请在原瓶培养基中额外添加10%的血清,(原瓶培养基的继续使用时间Zui长不宜超过72小时);2)贴壁细胞收到当天切忌立刻消化,请将细胞换后放置培养箱孵育到第二天再做消化传代,请YOU先选择直径6cm的培养皿进行传代培养;3)如签收时出现培养瓶壁破裂,漏等情况请及时做HAO照片记录并联系实验室。
物种来源:人源、鼠源等其它物种来源
Human Embryonic Skin Cells;背景说明:皮肤;成纤维 Cells;传代方法:1:2-1:3传代;每周换液2-3次。;生长特性:贴壁;形态特性:详见产品说明书;相关产品有:BeWo细胞、UMUC3细胞、SUDHL1细胞
DoTc2-4510 Cells;背景说明:详见相关文献介绍;传代方法:1:2—1:3传代,每周换液2—3次;生长特性:贴壁生长 ;形态特性:上皮样;相关产品有:MS-751细胞、RPMI no. 8226细胞、SG231细胞
SK-N-MC Cells;背景说明:这株细胞与HTB-11都是神经源的。1971年9月分离得到SK-N-MC后,发现它有中性多巴胺-β-羟化酶活性,也有细胞内儿茶胺,用甲醛可以诱导出荧光。;传代方法:1:6-1:12传代,每周2-3次换液。;生长特性:贴壁生长;形态特性:上皮样;相关产品有:Panc-02细胞、TE354T细胞、MDA-MB231细胞
T24[T-24]人膀胱移行细胞癌细胞新批次|培养基|送STR图谱
┈订┈购(技术服务)┈热┈线:1┈3┈6┈4┈1┈9┈3┈0┈7┈9┈1【微信同号】┈Q┈Q:3┈1┈8┈0┈8┈0┈7┈3┈2┈4;
形态特性:上皮细胞样
细胞培养应用于分子生物学、细胞生物学、遗传学、免疫学、肿瘤学及病毒学等领域,细胞培养是指将细胞从动物或植物体内取出,然后在适宜的人工环境中生长的过程。细胞可以在培养前直接从组织中取出并通过酶或机械方法进行解离,也可以来源于已建立的细胞系。传代培养是指当细胞生长至高密度时,将其分殖至新的培养瓶中,以维持其生长和增殖。贴壁细胞是指在培养基表面附着生长的细胞,悬浮细胞是指在培养基中悬浮生长的细胞,不依附于培养皿表面。半贴壁半悬浮细胞同时具备贴壁细胞和悬浮细胞的特点,通常在培养基中部分附着生长,部分悬浮于培养基上。
SK-MEL-24 Cells;背景说明:详见相关文献介绍;传代方法:1:2-1:4传代,2-3天换液1次。;生长特性:贴壁生长;形态特性:星形的;相关产品有:HL 60细胞、EM-3细胞、NuTu 19细胞
CHP 212 Cells;背景说明:详见相关文献介绍;传代方法:1:10 1:50每2 - 3周;每周换液2-3次。;生长特性:贴壁生长;形态特性:成神经细胞;相关产品有:HCC-1806细胞、H-1155细胞、KMS-11细胞
SK Mel 1 Cells;背景说明:详见相关文献介绍;传代方法:维持细胞浓度在1×105-2×105,每周补液2-3次。;生长特性:悬浮生长;形态特性:球形的;相关产品有:OVCAR 5细胞、MUG-Chor1细胞、SW-579细胞
GA-10 Cells;背景说明:详见相关文献介绍;传代方法:每周2-3次;生长特性:悬浮生长;形态特性:淋巴母细胞;相关产品有:NIH3T3-L1细胞、HIEC-6细胞、K1细胞
PANC3.27 Cells;背景说明:详见相关文献介绍;传代方法:1:2传代;生长特性:贴壁生长;形态特性:上皮样;相关产品有:BT-B细胞、AU 565细胞、SNGM细胞
KYSE-520 Cells;背景说明:食管鳞癌;女性;传代方法:1:2-1:3传代;每周换液2-3次。;生长特性:贴壁;形态特性:详见产品说明书;相关产品有:Bx-PC3细胞、S180细胞、H35细胞
UPCI-SCC-90 Cells;背景说明:舌鳞癌细胞;男性;传代方法:1:2-1:3传代;每周换液2-3次。;生长特性:贴壁;形态特性:详见产品说明书;相关产品有:OCI AML4细胞、SU-DHL-10细胞、HCCC-9810细胞
MDA.MB.435 Cells;背景说明:乳腺癌;传代方法:1:2-1:3传代;每周换液2-3次。;生长特性:贴壁;形态特性:详见产品说明书;相关产品有:B-cell with DC Morphology细胞、PCI-4.2细胞、Liver-02细胞
NPC-TW039 Cells;背景说明:鼻咽癌;传代方法:1:2-1:3传代;每周换液2-3次。;生长特性:贴壁;形态特性:详见产品说明书;相关产品有:Madison lung细胞、HCC-1954细胞、Ramos (RA)细胞
BHK Cells;背景说明:详见相关文献介绍;传代方法:1:2传代,每周换液1-2次。;生长特性:贴壁生长;形态特性:成纤维细胞样;相关产品有:TEC细胞、I90细胞、H2085细胞
KYSE 150 KYSE150 Kyse150 KY150
Cells;背景说明:详见相关文献介绍;传代方法:1:2传代;生长特性:贴壁生长;形态特性:详见产品说明书;相关产品有:NCIH1299细胞、SUP-B15细胞、C6细胞
AMO-1 Cells;背景说明:浆细胞骨髓瘤;女性;传代方法:1:2-1:3传代;每周换液2-3次。;生长特性:半贴壁;形态特性:详见产品说明书;相关产品有:Th17细胞、SSP-25细胞、VP303细胞
Swiss-3T3 Cells;背景说明:3T3细胞株是1962年Todaro G和Green H从分离的瑞士小鼠胚胎中建立的;该细胞的生长受接触性抑制,汇合状态的单层细胞密度为40000个细胞/平方厘米;检测结果显示该细胞鼠痘病毒阴性;在中生长较好,在某些玻璃表面上可能状态不佳;细胞生长饱和时其密度可以达到约50000 cells/cm2。;传代方法:1:3传代;3-4天1次。;生长特性:贴壁生长;形态特性:成纤维细胞样;相关产品有:H-1688细胞、Capan2细胞、HCC1395细胞
NCI-H1299 Cells;背景说明:这株细胞来源于一个淋巴结转移。患者接受了初期放疗。细胞均一性的部分缺失p53蛋白,并缺少p53蛋白表达。细胞可以合成0.1pmol/毫克蛋白的NMB蛋白,而不合成促胃液释放肽(GRP)。;传代方法:1:2传代;3天传代一次。;生长特性:贴壁生长;形态特性:上皮样;多角形;相关产品有:COR-L23细胞、Madison 109细胞、C643细胞
PLB 985 Cells;背景说明:详见相关文献介绍;传代方法:1:2-1:3传代;每周换液2-3次。;生长特性:贴壁或悬浮,详见产品说明书部分;形态特性:详见产品说明书;相关产品有:SHI1细胞、OEC33细胞、FRH-0201细胞
ID8/MOSEC Cells;背景说明:详见相关文献介绍;传代方法:1:2传代;生长特性:贴壁生长 ;形态特性:详见产品说明书;相关产品有:QGP1细胞、NCIN87细胞、ADR-RES细胞
H1404 Cells;背景说明:详见相关文献介绍;传代方法:1:2-1:3传代;每周换液2-3次。;生长特性:贴壁或悬浮,详见产品说明书部分;形态特性:详见产品说明书;相关产品有:He-La细胞、Hs-343-T细胞、PT-67细胞
┈订┈购(技术服务)┈热┈线:1┈3┈6┈4┈1┈9┈3┈0┈7┈9┈1【微信同号】┈Q┈Q:3┈1┈8┈0┈8┈0┈7┈3┈2┈4;
A9G TG100 Cells(提供STR鉴定图谱)
Abcam Raji DCP2 KO Cells(提供STR鉴定图谱)
BALB/3T3 clone A31 H Cells(提供STR鉴定图谱)
BayGenomics ES cell line RRR437 Cells(提供STR鉴定图谱)
BayGenomics ES cell line YHD420 Cells(提供STR鉴定图谱)
CH-P1R2.D11 Cells(提供STR鉴定图谱)
DA01620 Cells(提供STR鉴定图谱)
FCP-S4H Cells(提供STR鉴定图谱)
GM08271 Cells(提供STR鉴定图谱)
Hs 870.T Cells;背景说明:详见相关文献介绍;传代方法:1:2—1:3传代;每周换液2-3次;生长特性:贴壁生长;形态特性:成纤维细胞;相关产品有:RPVSMC细胞、MRC5细胞、KYSE510细胞
SNU368 Cells;背景说明:详见相关文献介绍;传代方法:1:2传代;生长特性:贴壁生长;形态特性:上皮细胞样;相关产品有:NB-4细胞、GM02219细胞、Detroit562细胞
Caki2 Cells;背景说明:该细胞源自一位69岁白人男性的初期肾腺癌组织;传代方法:1:3—1:6传代,每周换液2—3次;生长特性:贴壁生长;形态特性:上皮细胞样;相关产品有:BE2C细胞、OKT 3细胞、CAL-78细胞
LTEP a2 Cells;背景说明:肺腺癌;女性;传代方法:1:2-1:3传代;每周换液2-3次。;生长特性:贴壁;形态特性:详见产品说明书;相关产品有:P3X63 AG 8.653细胞、870细胞、Malme-3 M细胞
RAW 264.7 Cells;背景说明:单核巨噬细胞白血病;雄性;BALB/c;传代方法:1:2-1:3传代;每周换液2-3次。;生长特性:贴壁;形态特性:详见产品说明书;相关产品有:NCI-H2172细胞、MFM-223细胞、SK-GT-4细胞
PG [Human lung carcinoma] Cells;背景说明:巨细胞肺癌;传代方法:1:2-1:3传代;每周换液2-3次。;生长特性:贴壁;形态特性:详见产品说明书;相关产品有:NCIH2009细胞、LWnt3A细胞、CL11细胞
B6/FA Cells(提供STR鉴定图谱)
IALM Cells;背景说明:详见相关文献介绍;传代方法:1:2-1:3传代;每周换液2-3次。;生长特性:贴壁或悬浮,详见产品说明书部分;形态特性:详见产品说明书;相关产品有:DMS273细胞、COS7细胞、C28/I2细胞
KMBC Cells;背景说明:胆管癌;男性;传代方法:1:2-1:3传代;每周换液2-3次。;生长特性:贴壁;形态特性:详见产品说明书;相关产品有:MKN-28细胞、TE 85 ClF-5细胞、Neukoplast细胞
Scott Cells;背景说明:胚胎;自发永生;传代方法:1:2-1:3传代;每周换液2-3次。;生长特性:贴壁;形态特性:详见产品说明书;相关产品有:GOS3细胞、SCC 4细胞、SW1116细胞
IOSE-Mar Cells;背景说明:卵巢;上皮细胞;女性;传代方法:1:2-1:3传代;每周换液2-3次。;生长特性:贴壁;形态特性:详见产品说明书;相关产品有:4T1-A细胞、GM02132细胞、SEG1细胞
NK92MI Cells;背景说明:NK细胞;淋巴瘤;男性;传代方法:1:2-1:3传代;每周换液2-3次。;生长特性:悬浮;形态特性:详见产品说明书;相关产品有:KYSE 450细胞、Biologics Standards-Cercopithecus-1细胞、Lu99A细胞
BT 325 Cells;背景说明:详见相关文献介绍;传代方法:1:2-1:3传代;每周换液2-3次。;生长特性:贴壁或悬浮,详见产品说明书部分;形态特性:详见产品说明书;相关产品有:BCaP-37细胞、KNS-62细胞、DU-4475细胞
LLCMK2 Cells;背景说明:胚胎;肾;自发永生;传代方法:1:2-1:3传代;每周换液2-3次。;生长特性:贴壁;形态特性:详见产品说明书;相关产品有:L615细胞、Hs888Lu细胞、Hs_578t细胞
CLONE M3 Cells;背景说明:黑色素瘤;雄性;DBA;传代方法:1:2-1:3传代;每周换液2-3次。;生长特性:贴壁;形态特性:详见产品说明书;相关产品有:P3-X63-Ag 8.653细胞、A3细胞、HPAF-II细胞
GM12116 Cells(提供STR鉴定图谱)
HAP1 EGLN2 (-) 2 Cells(提供STR鉴定图谱)
KYSE-520 Cells;背景说明:食管鳞癌;女性;传代方法:1:2-1:3传代;每周换液2-3次。;生长特性:贴壁;形态特性:详见产品说明书;相关产品有:Bx-PC3细胞、S180细胞、H35细胞
NRK clone 49F Cells;背景说明:肾;成纤维细胞;自发永生;传代方法:1:2-1:3传代;每周换液2-3次。;生长特性:贴壁;形态特性:详见产品说明书;相关产品有:H322T细胞、OVCA-420细胞、OE21细胞
SF-295 Cells;背景说明:详见相关文献介绍;传代方法:1:2-1:3传代;每周换液2-3次。;生长特性:贴壁或悬浮,详见产品说明书部分;形态特性:详见产品说明书;相关产品有:HSMC细胞、SUM-149PT细胞、Ly8细胞
D324 Med Cells;背景说明:详见相关文献介绍;传代方法:1:4-1:6传代;每周换液2-3次。;生长特性:贴壁生长;形态特性:多边形;相关产品有:HFL细胞、FHCRC-11细胞、PANC0504细胞
MARC145 Cells;背景说明:胚肾;自发永生;传代方法:1:2-1:3传代;每周换液2-3次。;生长特性:贴壁;形态特性:详见产品说明书;相关产品有:FRH-0201细胞、IPLB-SF-21-AE细胞、HCC2157细胞
PG-LH7 Cells;背景说明:详见相关文献介绍;传代方法:1:2-1:3传代;每周换液2-3次。;生长特性:贴壁或悬浮,详见产品说明书部分;形态特性:详见产品说明书;相关产品有:RSMC细胞、T/GHA-VSMC细胞、CAL 78细胞
KYSE 520 Cells;背景说明:食管鳞癌;女性;传代方法:1:2-1:3传代;每周换液2-3次。;生长特性:贴壁;形态特性:详见产品说明书;相关产品有:H2122细胞、RC-4B/C细胞、NCIH889细胞
Pt-K1 Cells;背景说明:详见相关文献介绍;传代方法:1:2-1:3传代;每周换液2-3次。;生长特性:贴壁或悬浮,详见产品说明书部分;形态特性:详见产品说明书;相关产品有:HCC0070细胞、Kasumi-6细胞、NCI-H1373细胞
HIHCNi003-A Cells(提供STR鉴定图谱)
IPLB-DnEa3 Cells(提供STR鉴定图谱)
Man-2 Cells(提供STR鉴定图谱)
ND09509 Cells(提供STR鉴定图谱)
PI-1754-C7 Cells(提供STR鉴定图谱)
Ubigene HeLa PRKAA1 KO Cells(提供STR鉴定图谱)
XP2JO skin Cells(提供STR鉴定图谱)
HAP1 ZRANB1 (-) 2 Cells(提供STR鉴定图谱)
JB6Cl30 Cells;背景说明:详见相关文献介绍;传代方法:1:2传代;生长特性:贴壁生长;形态特性:上皮样;相关产品有:MLO-Y4细胞、H661细胞、DHL4细胞
KBM7 Cells;背景说明:慢性髓原白血病;男性;传代方法:1:2-1:3传代;每周换液2-3次。;生长特性:悬浮;形态特性:详见产品说明书;相关产品有:C3A细胞、MDA-MB-231-luc细胞、HS-766-T细胞
MA104 Cells;背景说明:胚肾;自发永生;传代方法:1:2-1:3传代;每周换液2-3次。;生长特性:贴壁;形态特性:详见产品说明书;相关产品有:ONS-76细胞、MOLM16细胞、HSC1细胞
OVCA 420 Cells;背景说明:卵巢癌;女性;传代方法:1:2-1:3传代;每周换液2-3次。;生长特性:贴壁;形态特性:详见产品说明书;相关产品有:IOSE 80细胞、RT-112细胞、NK92MI细胞
GA-10-Clone-4 Cells;背景说明:详见相关文献介绍;传代方法:每2-3天换液;生长特性:悬浮生长 ;形态特性:淋巴母细胞样;相关产品有:MGH-U3细胞、NCIH2135细胞、SKLMS-1细胞
GA-10-Clone-4 Cells;背景说明:详见相关文献介绍;传代方法:每2-3天换液;生长特性:悬浮生长 ;形态特性:淋巴母细胞样;相关产品有:MGH-U3细胞、NCIH2135细胞、SKLMS-1细胞
Mouse Bladder Tumor line-2 Cells;背景说明:膀胱移行细胞癌;C3H/He;传代方法:1:2-1:3传代;每周换液2-3次。;生长特性:贴壁;形态特性:详见产品说明书;相关产品有:NPA87-1细胞、Porcine Kidney-15细胞、IPLB-SF-21细胞
16-HBEo Cells;背景说明:详见相关文献介绍;传代方法:1:2传代;生长特性:贴壁生长 ;形态特性:详见产品说明书;相关产品有:Normal Rat Kidney-49F细胞、OSC-19细胞、NCIH1915细胞
B104 [Rat neuroblastoma] Cells;背景说明:神经母细胞瘤;BDIX;传代方法:1:2-1:3传代;每周换液2-3次。;生长特性:贴壁;形态特性:详见产品说明书;相关产品有:C57/B6-L细胞、HHL5细胞、C166细胞
Pt K2 Cells;背景说明:详见相关文献介绍;传代方法:1:2-1:3传代;每周换液2-3次。;生长特性:贴壁或悬浮,详见产品说明书部分;形态特性:详见产品说明书;相关产品有:Mouse podocyte细胞、MHCC 97-H细胞、KM12细胞
┈订┈购(技术服务)┈热┈线:1┈3┈6┈4┈1┈9┈3┈0┈7┈9┈1【微信同号】┈Q┈Q:3┈1┈8┈0┈8┈0┈7┈3┈2┈4;
GA-10 (Clone 4) Cells;背景说明:详见相关文献介绍;传代方法:每2-3天换液;生长特性:悬浮生长 ;形态特性:淋巴母细胞样;相关产品有:JM细胞、CEM细胞、KMY1022细胞
GC-2spd(ts) Cells;背景说明:精母细胞;SV40转化;BALB/c;传代方法:1:2-1:3传代;每周换液2-3次。;生长特性:贴壁;形态特性:详见产品说明书;相关产品有:Lilly Laboratories Cell-Monkey Kidney 2细胞、TMD8细胞、SKNBE-1细胞
YES 2 Cells;背景说明:食管鳞癌;男性;传代方法:1:2-1:3传代;每周换液2-3次。;生长特性:贴壁;形态特性:详见产品说明书;相关产品有:SNU520细胞、Factor Dependent Continuous-Paterson 1细胞、SUM-159细胞
3T6 Swiss Albino Cells;背景说明:胚胎;成纤维;自发永生;雄性;Swiss albino;传代方法:1:2-1:3传代;每周换液2-3次。;生长特性:贴壁;形态特性:详见产品说明书;相关产品有:D283-MED细胞、NCI H23细胞、TI-73细胞
NTERA-2 Cells;背景说明:畸胎瘤;男性;传代方法:1:2-1:3传代;每周换液2-3次。;生长特性:贴壁;形态特性:详见产品说明书;相关产品有:TCMK1细胞、FD-LSC-1细胞、NCI-H378细胞
SFL [Astyanax] Cells(提供STR鉴定图谱)
IGR.OV1 Cells;背景说明:详见相关文献介绍;传代方法:1:2-1:3传代;每周换液2-3次。;生长特性:贴壁或悬浮,详见产品说明书部分;形态特性:详见产品说明书;相关产品有:HT 1197细胞、C38细胞、GM17346细胞
BLO11 Cells;背景说明:详见相关文献介绍;传代方法:1:2-1:3传代;每周换液2-3次。;生长特性:贴壁或悬浮,详见产品说明书部分;形态特性:详见产品说明书;相关产品有:H508细胞、H522细胞、C918细胞
NCIH1573 Cells;背景说明:详见相关文献介绍;传代方法:1:2-1:3传代,每周2-3次。;生长特性:贴壁生长;形态特性:详见产品说明书;相关产品有:CT26细胞、KYSE50细胞、MOVAS细胞
ZR-75-30 Cells;背景说明:ZR-75-30源自一位47岁女性黑人更年期侵入性导管癌患者的腹水。 细胞定性为人,非-HeLa,恶性乳房上皮癌起始。;传代方法:1:2-1:3传代;每周换液2-3次。;生长特性:贴壁;形态特性:上皮细胞样;相关产品有:EBC-1/original细胞、SiHa细胞、EAC-E2G8细胞
Baby Hamster Kidney-21 Cells;背景说明:详见相关文献介绍;传代方法:1:2传代,每周换液1-2次。;生长特性:贴壁生长;形态特性:成纤维细胞样;相关产品有:UMC-11细胞、SW527细胞、HCC4006细胞
NCI H157 Cells;背景说明:详见相关文献介绍;传代方法:1:2传代;生长特性:贴壁生长 ;形态特性:详见产品说明书;相关产品有:Hs-606-T细胞、HPAF/CD18细胞、KGN细胞
RA Cells;背景说明:详见相关文献介绍;传代方法:1:2-1:3传代;每周换液2-3次。;生长特性:贴壁或悬浮,详见产品说明书部分;形态特性:详见产品说明书;相关产品有:T47D细胞、NCIH2291细胞、MV522细胞
GM05862 Cells;背景说明:胚胎;成纤维;自发永生;雄性;Swiss albino;传代方法:1:2-1:3传代;每周换液2-3次。;生长特性:贴壁;形态特性:详见产品说明书;相关产品有:H-1404细胞、Hs695T细胞、OVCA-433细胞
MHCC-97 Cells;背景说明:详见相关文献介绍;传代方法:1:2-1:3传代;每周换液2-3次。;生长特性:贴壁或悬浮,详见产品说明书部分;形态特性:详见产品说明书;相关产品有:U-343细胞、LL2细胞、PTK-1细胞
NCTC clone 929 Cells;背景说明:详见相关文献介绍;传代方法:1:2-1:3传代;每周换液2-3次。;生长特性:贴壁或悬浮,详见产品说明书部分;形态特性:详见产品说明书;相关产品有:MDAMB157细胞、OAC-P4C细胞、NCI-H1651细胞
CCD-841CoTr Cells;背景说明:结肠癌;SV40转化;女性;传代方法:1:2-1:3传代;每周换液2-3次。;生长特性:贴壁;形态特性:详见产品说明书;相关产品有:Fao细胞、HCT116细胞、KU-19-19细胞
Chang Cells Cells;背景说明:详见相关文献介绍;传代方法:1:2-1:3传代;每周换液2-3次。;生长特性:贴壁或悬浮,详见产品说明书部分;形态特性:详见产品说明书;相关产品有:Z138细胞、H-1373细胞、JURKAT E-61细胞
OCI-AML3 Cells;背景说明:急性髓系白血病;男性;传代方法:1:2-1:3传代;每周换液2-3次。;生长特性:悬浮;形态特性:详见产品说明书;相关产品有:RM-1细胞、B4G12细胞、TE6细胞
WRL-68 Cells;背景说明:胚胎;肝 Cells;传代方法:1:2-1:3传代;每周换液2-3次。;生长特性:贴壁;形态特性:详见产品说明书;相关产品有:BTT739细胞、SKMEL-1细胞、IB-RS-2细胞
BayGenomics ES cell line CSH059 Cells(提供STR鉴定图谱)
BayGenomics ES cell line RRU424 Cells(提供STR鉴定图谱)
BBLC326.4 Cells(提供STR鉴定图谱)
Keck MirKO ES cell line Mirc31 Cells(提供STR鉴定图谱)
PCRP-ZNF334-1B3 Cells(提供STR鉴定图谱)
ND8/34 Cells(提供STR鉴定图谱)
"