基本信息 产品详情 公司简介 推荐产品
网站主页 化工产品目录 生物 细胞培养 细胞系 人细胞系 SUM159PT 人乳腺癌细胞系 SUM159PT人乳腺癌细胞实验室|已有STR图谱
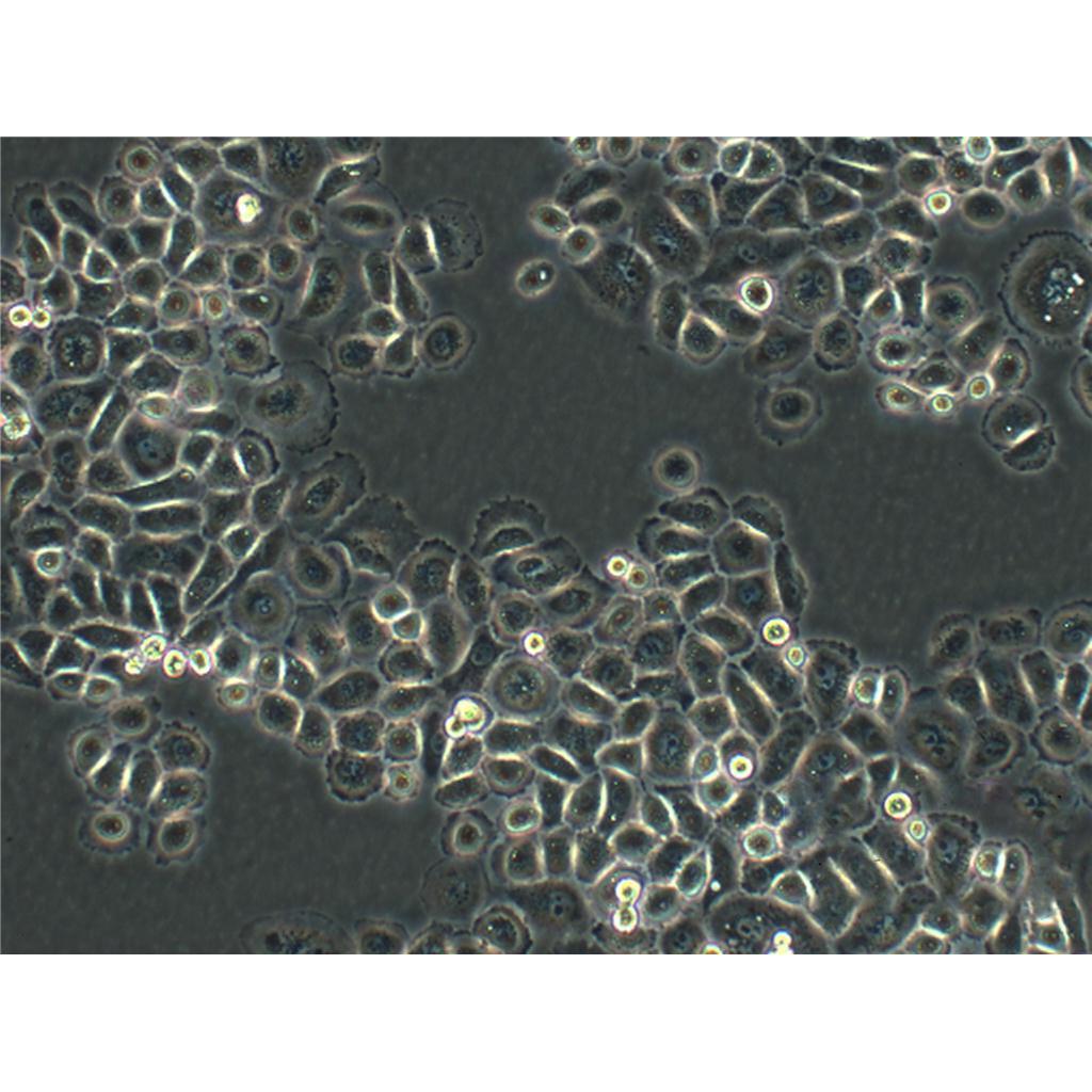
  • SUM159PT人乳腺癌细胞实验室|已有STR图谱

SUM159PT人乳腺癌细胞实验室|已有STR图谱

SUM159PT
询价 1000000细胞数 起订
2000000细胞数 起订
上海 更新日期:2026-04-15

上海冠导生物工程有限公司

VIP6年
联系人:全经理
电话:18818239863拨打
邮箱:3171921642@qq.com

产品详情:

中文名称:
SUM159PT人乳腺癌细胞实验室|已有STR图谱
英文名称:
SUM159PT
品牌:
ATCC\RCB等
产地:
国外
保存条件:
常温培养或液氮冻存
纯度规格:
SUM159PT人乳腺癌细胞实验室|已有STR图谱
产品类别:
化学试剂
种属:
详见产品资料
组织:
详见产品资料
细胞系:
详见产品资料
细胞形态:
详见产品资料
生长状态:
详见产品资料
靶点:
详见产品资料
应用:
详见产品资料

"SUM159PT人乳腺癌细胞实验室|已有STR图谱

传代比例:1:2-1:4(首次传代建议1:2)

生长特性:贴壁生长

HBSMC Cells;背景说明:详见相关文献介绍;传代方法:1:2-1:3传代;每周换液2-3次。;生长特性:贴壁或悬浮,详见产品说明书部分;形态特性:详见产品说明书;相关产品有:Hs 832(C).T细胞、SW1222细胞、CWR22R细胞

J 111 Cells;背景说明:单核细胞白血病;传代方法:1:2-1:3传代;每周换液2-3次。;生长特性:悬浮;形态特性:详见产品说明书;相关产品有:NCI-H2030细胞、MRMT-1细胞、L929细胞

ACC-2 Cells;背景说明:涎腺腺样囊性癌;男性;传代方法:1:2-1:3传代;每周换液2-3次。;生长特性:贴壁;形态特性:详见产品说明书;相关产品有:NCIH226细胞、U373 MG细胞、Pt K1 (NBL-3)细胞

细胞复苏相关注意事项:1.取细胞的过程中注意带HAO防冻手套,护目镜。此项尤为重要,细胞冻存管可能漏入,解冻时冻存管中的气温急剧上升,可导致爆炸。2.冻存的问题:冻存的配置已是常识,在这里不作详述,但二甲基亚砜(DMSO )对细胞不是完全无毒副作用,在常温下,二甲基亚砜对细胞的毒副作较大,因此,必须在1-2min内使冻存完全融化。如果复苏温度太慢,会造成细胞的损伤,二甲基亚砜(DMSO)ZuiHAO选择进口产品。3.离心前须加入少量培养。细胞解冻后二甲基亚砜浓度较GAO,注意加入少量培养可稀释其浓度,以减少对细胞的损伤。4.离心问题:目前主要有两种见解。一种是解冻后的细胞悬直接吹打均匀后分装到培养瓶中进行培养,第二天换。因为离心的目的是两个,去除DMSO,去除死细胞,这个是标准流程,但对一般人来说,把握不HAO离心转速和时间,转的不够活细胞沉底的少,细胞就全被扔掉了,转过了活细胞会受压过大,死亡。此外在操作过程中容易污染,所以不推荐。另一种说法为细胞悬中含有二甲基亚砜(DMSO),DMSO对细胞有一定的毒副作用,所以须将离心后的体前倒净,且一定倒干净。我在试验中按照常规的离心分装的方法进行复苏,结果无异常。5.细胞贴壁少的问题:教科书中说明冻存细胞解冻时1ml细胞要加10ml-15ml培养,而在我的试验中的经验总结为培养基越少细胞越容易贴附。6.复苏细胞分装的问题:试验中我的经验总结为复苏1管细胞一般可分装到1-2只培养瓶中,分装过多,细胞浓度过低,不利于细胞的贴壁。7.加培养基的量放入问题:这个量的多少的把握主要涉及到的问题DMSO的浓度,从如果你加培养基的太少,那么DMSO的浓度就会比较大,就会影响细胞生长,从以前的资料来看,DMSO的浓度在小于0.5%的时候对一般细胞没有什么影响,还有一个说法是1%。所以如果你的冻存的浓度是10%DMSO的话那么加10ml以上的培养基就恰HAO稀释到了无害浓度。

换液周期:每周2-3次

SUM159PT人乳腺癌细胞实验室|已有STR图谱

背景信息:乳腺癌;女性

产品包装:复苏发货:T25培养瓶(一瓶)或冻存发货:1ml冻存管(两支)

细胞系的选择需要考虑到细胞系的功能特点、生长速率、铺板效率、生长条件和生长特征、克隆效率、培养方式等因素,如果您想高产量表达重组蛋白,您可以选择可以悬浮生长的快速生长细胞系。细胞培养的操作步骤主要包括传代、换液、冻存和复苏。这些步骤确保了细胞能够在实验室环境中长期存活并继续增殖。传代是将细胞从一个容器转移到另一个容器的过程,以扩大细胞数量;换液是为了清除代谢废物并补充新鲜培养基;冻存则是为了长期保存细胞,而复苏则是重新激活冷冻保存的细胞使其恢复正常生长。

来源说明:细胞主要来源ATCC、ECACC、DSMZ、RIKEN等细胞库

AM1-3B1 Cells(提供STR鉴定图谱)

NTERA2 Cells;背景说明:畸胎瘤;男性;传代方法:1:2-1:3传代;每周换液2-3次。;生长特性:贴壁;形态特性:详见产品说明书;相关产品有:NBL-4细胞、NK-92 MI细胞、SW 1353细胞

HuH-6 Cells;背景说明:肝癌。据说产球蛋白和甲胎蛋白。;传代方法:消化3-5分钟。1:2。6-7天长满。;生长特性:贴壁生长;形态特性:上皮样;相关产品有:CEM-C7细胞、4-1st细胞、M-1 myeloid leukemia细胞

ketr 3 Cells;背景说明:详见相关文献介绍;传代方法:1:2传代;生长特性:贴壁生长 ;形态特性:详见产品说明书;相关产品有:HTSMC细胞、Granta-519细胞、OVCAR 4细胞

SUM159PT人乳腺癌细胞实验室|已有STR图谱

物种来源:人源、鼠源等其它物种来源

形态特性:上皮细胞样

细胞组成了组织,组织组成了器官,器官的组织就形成了一个个体,所有的组织和器官都是由细胞分化增殖形成的,通过汲取营养物质,Zui后形成个体。把人体的单个小细胞比喻成一个地球,人体组织呢就是一个太阳系,器官就是银河系,这样生动形象的比喻,可以让我们很容易了解到细胞与组织、组织与器官之间的关系。人的身体就像一个庞大的机器工厂,每时每秒都在进行着能量的传输与转化,它也像个巨大的产业链,一旦某个环节出了问题,同样伴随着的是人的身体也会出现不同程度的功能障碍,这也就是为什么人到某一定阶段以后身体的某些功能会逐渐衰退的原因。人的基本生命活动是通过细胞实现的,细胞的活动或功能异常,人体就容易生病。人之所以会得病就是人体内的细胞除了问题,一旦细胞有问题——组织就有问题——器官就有问题——系统就有问题——人就会得病。人体细胞每天都在分裂增殖,但是增长到一定阶段后就开始停止、病变或凋亡,如果不及时修复或增加,人体就会出现不同程度的疾病症状,小到病毒感冒,大到疑难杂症无一不都是因为人体内的细胞出了问题。

EB2 Cells;背景说明:详见相关文献介绍;传代方法:4 X 105 cells/mL and maintain at between 4 X 105 and 1 X 106 cells/mL.,每2-3天换液;生长特性:悬浮生长 ;形态特性:淋巴母细胞样;相关产品有:CX1细胞、786O细胞、NCIH524细胞

U20S Cells;背景说明:骨肉瘤;女性;传代方法:1:2-1:3传代;每周换液2-3次。;生长特性:贴壁;形态特性:详见产品说明书;相关产品有:GP-293细胞、HNE-1细胞、GA-10(Clone 4)细胞

MKN74 Cells;背景说明:胃癌;女性;传代方法:1:2-1:3传代;每周换液2-3次。;生长特性:贴壁;形态特性:详见产品说明书;相关产品有:AtT20细胞、NCI-H838细胞、VeroC1008细胞

CL11 Cells;背景说明:详见相关文献介绍;传代方法:1:2-1:3传代;每周换液2-3次。;生长特性:贴壁或悬浮,详见产品说明书部分;形态特性:详见产品说明书;相关产品有:HuH6细胞、P3-X63.Ag8.653细胞、HL7702细胞

Biologics Standards-Cercopithecus-1 Cells;背景说明:详见相关文献介绍;传代方法:1:2-1:3传代;每周换液2-3次。;生长特性:贴壁或悬浮,详见产品说明书部分;形态特性:详见产品说明书;相关产品有:H-810细胞、KAT-5细胞、MB39细胞

Hs 578.Bst Cells;背景说明:乳腺 Cells;传代方法:1:2-1:3传代;每周换液2-3次。;生长特性:贴壁;形态特性:详见产品说明书;相关产品有:H-2107细胞、MPC-5细胞、HL-60细胞

COLO 357 Cells;背景说明:胰腺癌;女性;传代方法:1:2-1:3传代;每周换液2-3次。;生长特性:贴壁;形态特性:详见产品说明书;相关产品有:MB-49细胞、PC 61-5-3细胞、AR42J细胞

OV1063 Cells;背景说明:卵巢上皮细胞癌;传代方法:1:2-1:3传代;每周换液2-3次。;生长特性:贴壁;形态特性:详见产品说明书;相关产品有:KYSE-30细胞、Colon38细胞、KMS-18细胞

MyLa 2059 Cells;背景说明:皮肤;T淋巴细胞瘤;传代方法:1:2-1:3传代;每周换液2-3次。;生长特性:悬浮;形态特性:详见产品说明书;相关产品有:B16 melanoma细胞、KYSE 520细胞、mRTEC细胞

HEK 293-H Cells;背景说明:详见相关文献介绍;传代方法:1:2-1:3传代;每周换液2-3次。;生长特性:贴壁或悬浮,详见产品说明书部分;形态特性:详见产品说明书;相关产品有:Hs870T细胞、KYSE510细胞、PLA801-95C细胞

Giant Cell Tumor Cells;背景说明:详见相关文献介绍;传代方法:1:2-1:4传代;每周换液2次。;生长特性:贴壁生长;形态特性:详见产品说明书;相关产品有:L- cell细胞、NCI-H69细胞、E.L.4细胞

NOK Cells;背景说明:鳞状上皮;传代方法:1:2-1:3传代;每周换液2-3次。;生长特性:贴壁;形态特性:详见产品说明书;相关产品有:Biologics Standards-Cercopithecus-1细胞、RPMI 1846细胞、DoHH2细胞

Toledo Cells;背景说明:详见相关文献介绍;传代方法:每2-3天换液;生长特性:悬浮生长 ;形态特性:淋巴母细胞样;相关产品有:G-361细胞、H-295细胞、KP4细胞

BXPC3 Cells;背景说明:这个细胞株不表达囊肿性纤维化跨膜电导调节子(CFTR)。CFTR阳性的细胞株是Capan-1(ATCCHTB-79)。;传代方法:消化5-10分钟。1:2。3天内可长满。;生长特性:贴壁生长;形态特性:上皮样;相关产品有:ARPE-19细胞、Roswell Park Memorial Institute 6666细胞、H-7721细胞

MLE12 Cells;背景说明:肺;上皮细胞;SV40转化;FVB/N;传代方法:1:2-1:3传代;每周换液2-3次。;生长特性:贴壁;形态特性:详见产品说明书;相关产品有:KATO 3细胞、Hs 606.T细胞、SK-ES1细胞

HLMVEC Cells;背景说明:肺微血管;内皮 Cells;传代方法:1:2-1:3传代;每周换液2-3次。;生长特性:贴壁;形态特性:详见产品说明书;相关产品有:MKN 7细胞、ML-2细胞、HPaSteC(HPSC)细胞

Hs 746.T Cells;背景说明:详见相关文献介绍;传代方法:1:2-1:3传代;每周换液2-3次。;生长特性:贴壁或悬浮,详见产品说明书部分;形态特性:详见产品说明书;相关产品有:SK_N_BE2C细胞、U87 MG细胞、Pt K2 (NBL-5)细胞

SUM159PT人乳腺癌细胞实验室|已有STR图谱

Abcam A-549 CCND2 KO Cells(提供STR鉴定图谱)

Abcam Raji U2AF1 KO Cells(提供STR鉴定图谱)

BayGenomics ES cell line BGC411 Cells(提供STR鉴定图谱)

BayGenomics ES cell line RRS190 Cells(提供STR鉴定图谱)

BayGenomics ES cell line YTA411 Cells(提供STR鉴定图谱)

chESC-3 Cells(提供STR鉴定图谱)

DA01898 Cells(提供STR鉴定图谱)

ESC/LCM26T-N Cells(提供STR鉴定图谱)

GM06967 Cells(提供STR鉴定图谱)

SW 839 Cells;背景说明:详见相关文献介绍;传代方法:1:2传代;生长特性:贴壁生长 ;形态特性:详见产品说明书;相关产品有:EL 4细胞、TT细胞、FU-97细胞

NRK49F Cells;背景说明:肾;成纤维细胞;自发永生;传代方法:1:2-1:3传代;每周换液2-3次。;生长特性:贴壁;形态特性:详见产品说明书;相关产品有:SN4741细胞、GM04678细胞、3T3-L1 ad细胞

SCL-1 Cells;背景说明:详见相关文献介绍;传代方法:1:2-1:3传代;每周换液2-3次。;生长特性:贴壁;形态特性:上皮细胞样;相关产品有:MDA-MB-175-VII细胞、SO-RB50细胞、NCI-H1581细胞

Kobe university Oral Squamous Cell culture-2 Cells;背景说明:详见相关文献介绍;传代方法:2.2 x 10^4 cells/ml ;生长特性:贴壁生长;形态特性:上皮样;相关产品有:SHEE细胞、NCI-H660细胞、NS-1-Ag4-1细胞

FTC133 Cells;背景说明:详见相关文献介绍;传代方法:1:2传代;生长特性:贴壁生长;形态特性:详见产品说明书;相关产品有:HCC1395细胞、HSAS1细胞、HCA 7细胞

4T1-LUC Cells;背景说明:详见相关文献介绍;传代方法:1:2-1:3传代;每周换液2-3次。;生长特性:贴壁或悬浮,详见产品说明书部分;形态特性:详见产品说明书;相关产品有:HEL-92.1.7细胞、BT-325细胞、H650细胞

Sarcoma OSteogenic-2 Cells;背景说明:该细胞是FoghJ和TrempeG分离和鉴定的众多人类肿瘤细胞系中的一种;该细胞来自一位11岁的白人女性的骨肉瘤组织。患者经过放疗以及甲喋呤、阿霉素、长春新碱、环磷酰胺和aramycin-C等多种药物治疗。该细胞在免疫抑制小鼠中不致瘤,细胞表达表皮生长因子EGF受体、转化生长因子β(1型和2型)受体。;传代方法:1:2-1:4传代;每周1-2次。;生长特性:贴壁生长;形态特性:上皮样;多角形;相关产品有:8305C_1细胞、MZ-CRC-1细胞、MC116细胞

GA-10 Cells;背景说明:详见相关文献介绍;传代方法:每周2-3次;生长特性:悬浮生长;形态特性:淋巴母细胞;相关产品有:NIH3T3-L1细胞、HIEC-6细胞、K1细胞

NGEC Cells;背景说明:胃黏膜;上皮 Cells;传代方法:1:2-1:3传代;每周换液2-3次。;生长特性:贴壁;形态特性:详见产品说明书;相关产品有:Duke University 145细胞、TCam-2细胞、SF-763细胞

TGBC11TKB Cells;背景说明:详见相关文献介绍;传代方法:1:2传代;生长特性:贴壁生长;形态特性:上皮细胞;相关产品有:NCIH2085细胞、NCTC-3960细胞、OVCAR-433细胞

HEY A8 Cells;背景说明:卵巢癌;女性;传代方法:1:2-1:3传代;每周换液2-3次。;生长特性:贴壁;形态特性:详见产品说明书;相关产品有:ME-180细胞、H-2198细胞、CMK细胞

Ca9-22 Cells;背景说明:详见相关文献介绍;传代方法:1:2-1:3传代;每周换液2-3次。;生长特性:贴壁生长;形态特性:上皮细胞;相关产品有:C643细胞、MV-4-11细胞、NCIH128细胞

3T3-L1 Cells;背景说明:3T3-L1是从3T3细胞(Swissalbino)中经克隆分离得到的连续传代的亚系。该细胞从快速分裂到汇合和接触性抑制状态经历了前脂肪细胞到脂肪样细胞的转变。该细胞鼠痘病毒阴性;可产生甘油三酯,高浓度血清可增强细胞内脂肪堆积。;传代方法:1:2传代;生长特性:贴壁生长;形态特性:成纤维细胞样;相关产品有:NS1-Ag 4/1细胞、LTEP-a2细胞、CCD1112Sk细胞

VSMC Cells;背景说明:胸主动脉平滑肌;传代方法:1:2-1:3传代;每周换液2-3次。;生长特性:贴壁;形态特性:详见产品说明书;相关产品有:Hce8693细胞、Calu3细胞、IGROV 1细胞

HEH2 Cells;背景说明:胚胎;心脏;成纤维样 Cells;传代方法:1:2-1:3传代;每周换液2-3次。;生长特性:贴壁;形态特性:详见产品说明书;相关产品有:Walker/LLC-WRC256细胞、SNU119细胞、Huh-7.5细胞

GM28575 Cells(提供STR鉴定图谱)

HAP1 PDPN (-) 1 Cells(提供STR鉴定图谱)

ELD-1 Cells;背景说明:详见相关文献介绍;传代方法:1:2-1:3传代;每周换液2-3次。;生长特性:贴壁或悬浮,详见产品说明书部分;形态特性:详见产品说明书;相关产品有:SKNEP-1细胞、22Rv-1细胞、BT-483细胞

NCI-H1688 Cells;背景说明:详见相关文献介绍;传代方法:1:2-1:3传代;每周换液2-3次。;生长特性:贴壁或悬浮,详见产品说明书部分;形态特性:详见产品说明书;相关产品有:MOLT3细胞、P 3 HR 1细胞、CCD 1112SK细胞

GM03573A Cells;背景说明:这是P3X63Ag8(ATCCTIB-9)的一个不分泌克隆。Kappa链合成了但不分泌。能抗0.1mM8-氮杂鸟嘌呤但不能在HAT培养基中生长。据报道它是由于缺失了3-酮类固醇还原酶活性的胆固醇营养缺陷型。检测表明肢骨发育畸形病毒(鼠痘)阴性。;传代方法:1:2传代,3天内可长满。;生长特性:悬浮生长;形态特性:淋巴母细胞;相关产品有:Panc 5.04细胞、NOMO1细胞、LLC-PK1细胞

MCF.10A Cells;背景说明:乳腺;上皮细胞;自发永生;女性;传代方法:1:2-1:3传代;每周换液2-3次。;生长特性:贴壁;形态特性:详见产品说明书;相关产品有:HEP-3B2细胞、P1-Raji细胞、F442A细胞

CAL33 Cells;背景说明:详见相关文献介绍;传代方法:1:2-1:3传代;每周换液2-3次。;生长特性:贴壁或悬浮,详见产品说明书部分;形态特性:详见产品说明书;相关产品有:RPMI-1846细胞、Menschliche Und Tierische Zellkulture-1细胞、F-81细胞

AK Cells;背景说明:详见相关文献介绍;传代方法:1:2传代;生长特性:贴壁生长;形态特性:成纤维细胞;相关产品有:Virginia Mason Research Center-Renal Cancer Z细胞、HGMC细胞、TE-13细胞

SKNO-1 Cells;背景说明:急性髓系白血病;男性;传代方法:1:2-1:3传代;每周换液2-3次。;生长特性:悬浮;形态特性:详见产品说明书;相关产品有:HEC-151细胞、IEC-18细胞、C32 [Human melanoma]细胞

VMCUB1 Cells;背景说明:详见相关文献介绍;传代方法:1:2-1:3传代;每周换液2-3次。;生长特性:贴壁或悬浮,详见产品说明书部分;形态特性:详见产品说明书;相关产品有:H-508细胞、CEMC1细胞、PANC0403细胞

HSA/c Cells(提供STR鉴定图谱)

KOLF2.1J PSEN1 M146I REV/WT Cells(提供STR鉴定图谱)

MODY1-iPS-B-5 Cells(提供STR鉴定图谱)

NWR 9939 iPSC-c5101 Cells(提供STR鉴定图谱)

RG-300 Cells(提供STR鉴定图谱)

Ubigene HCT 116 PRKAB2 KO Cells(提供STR鉴定图谱)

WAe001-A-Z Cells(提供STR鉴定图谱)

HAP1 TMEM2 (-) 1 Cells(提供STR鉴定图谱)

COLO 394 Cells;背景说明:详见相关文献介绍;传代方法:1:2-1:3传代;每周换液2-3次。;生长特性:贴壁或悬浮,详见产品说明书部分;形态特性:详见产品说明书;相关产品有:HRPEpiC细胞、NPC-TW-039细胞、MHCC 97-L细胞

KPNRTBM1 Cells;背景说明:详见相关文献介绍;传代方法:1:2传代;生长特性:贴壁生长;形态特性:成神经细胞;相关产品有:32D clone3细胞、H 9细胞、CP-70细胞

NCI-H596 Cells;背景说明:详见相关文献介绍;传代方法:1:4-1:8传代;每周换液2-3次。;生长特性:贴壁生长;形态特性:上皮样;相关产品有:MDCK supertube细胞、Vero C1008细胞、Los Angeles Prostate Cancer-4细胞

HMCB Cells;背景说明:详见相关文献介绍;传代方法:1:6—1:10传代,2天换液1次;生长特性:贴壁生长;形态特性:上皮细胞;相关产品有:Madin-Darby Bovine Kidney细胞、MDCKII-WT细胞、NPC-TW 01细胞

CHOK1 Cells;背景说明:1957年,PuckTT从成年中国仓鼠卵巢的活检组织建立了CHO细胞,CHO-K1是CHO的一个亚克隆。CHO-K1的生长需要脯酸。;传代方法:1:2传代;生长特性:贴壁生长;形态特性:上皮样;相关产品有:SKRC20细胞、R 1610细胞、KHYG-1细胞

CHOK1 Cells;背景说明:1957年,PuckTT从成年中国仓鼠卵巢的活检组织建立了CHO细胞,CHO-K1是CHO的一个亚克隆。CHO-K1的生长需要脯酸。;传代方法:1:2传代;生长特性:贴壁生长;形态特性:上皮样;相关产品有:SKRC20细胞、R 1610细胞、KHYG-1细胞

H69C Cells;背景说明:详见相关文献介绍;传代方法:1:2—1:4传代,每周换液2次;生长特性:悬浮生长,聚团;形态特性:聚团悬浮;相关产品有:H522细胞、MEF (CF-1)细胞、Jurkat E6-1细胞

SGC996 Cells;背景说明:胆囊癌;女性;传代方法:1:2-1:3传代;每周换液2-3次。;生长特性:贴壁;形态特性:详见产品说明书;相关产品有:HEI-193细胞、HDF-a细胞、SNU-407细胞

TE-11 Cells;背景说明:详见相关文献介绍;传代方法:消化3-5分钟。1:2。3天内可长满。;生长特性:贴壁生长;形态特性:上皮样;相关产品有:HuPT4细胞、COV434细胞、RPMI6666细胞

SW 1116 Cells;背景说明:CSAp阴性(CSAp-)。 结肠抗原3,阴性。 角蛋白免疫过氧化物酶染色阳性。 癌基因c-myc, K-ras, H-ras, myb, sis 和fos的表达呈阳性。 未检测到癌基因N-myc和N-ras的表达。 表达肿瘤特异的核基质蛋白CC-4,CC-5和CC-6。;传代方法:消化3-5分钟。1:2。3天内可长满。;生长特性:贴壁生长;形态特性:上皮细胞;相关产品有:WM239A细胞、PF382细胞、MCF-12A细胞

CL1-0 Cells;背景说明:肺癌;男性;传代方法:1:2-1:3传代;每周换液2-3次。;生长特性:贴壁;形态特性:详见产品说明书;相关产品有:MD Anderson-Metastatic Breast-231细胞、NCIADR.RES细胞、PK(15)细胞

Clone Y1 Cells;背景说明:详见相关文献介绍;传代方法:1:2-1:3传代;每周换液2-3次。;生长特性:贴壁或悬浮,详见产品说明书部分;形态特性:详见产品说明书;相关产品有:COR-L23/P细胞、RPE1-hTERT细胞、H1876细胞

Tca-83 Cells;背景说明:口腔鳞癌;传代方法:1:2-1:3传代;每周换液2-3次。;生长特性:贴壁;形态特性:详见产品说明书;相关产品有:Centre Antoine Lacassagne-33细胞、NCI-H1648细胞、NCI-H1355细胞

SW.620 Cells;背景说明:SW620是从一个51岁男性白人组织中分离得到。由A.Leibovitz等从一个淋巴结建株。细胞系主要由无绒毛的小园球细胞和双极细胞组成。它仅合成少量癌胚抗原(CEA)且在裸鼠中有高度的致瘤性;传代方法:1:3传代,2-3天换液一次;生长特性:贴壁生长;形态特性:上皮样;相关产品有:GM-215细胞、MCCAR细胞、SK-NMC细胞

MKN-74 Cells;背景说明:胃癌;男性;传代方法:1:2-1:3传代;每周换液2-3次。;生长特性:贴壁;形态特性:详见产品说明书;相关产品有:RMS 1598细胞、IHHA-1细胞、alpha-TC1-6细胞

STR-I-221-Sca2 Cells(提供STR鉴定图谱)

HDMEC Cells;背景说明:详见相关文献介绍;传代方法:1:2-1:3传代;每周换液2-3次。;生长特性:贴壁或悬浮,详见产品说明书部分;形态特性:详见产品说明书;相关产品有:Hs895.T细胞、GLC-82细胞、Karpas 422细胞

SUM159PT人乳腺癌细胞实验室|已有STR图谱

3T3-442A Cells;背景说明:脂肪前体细胞;雄性;Swiss albino;传代方法:1:2-1:3传代;每周换液2-3次。;生长特性:贴壁;形态特性:详见产品说明书;相关产品有:SK-MEL-MeWo细胞、PANC 327细胞、RKO-AS45-1细胞

SKO3 Cells;背景说明:SK-OV-3由G.Trempe和L.J.Old在1973年从卵巢肿瘤病人的腹水分离得到。 此细胞对肿瘤坏死因子和几种细胞毒性药物包括白喉毒素、顺铂和阿霉素均耐受。 在裸鼠中致瘤,且形成与卵巢原位癌一致的中度分化的腺癌。;传代方法:1:2-1:3传代;每周换液2-3次。;生长特性:贴壁;形态特性:上皮细胞样;相关产品有:143 B细胞、NCIH460细胞、CV-1 in Origin Simian-7细胞

PGBE1 Cells;背景说明:肺巨细胞癌;传代方法:1:2-1:3传代;每周换液2-3次。;生长特性:贴壁;形态特性:详见产品说明书;相关产品有:Simpson细胞、Clone 15 HL-60细胞、C6661细胞

MUVEC Cells;背景说明:脐静脉;内皮 Cells;传代方法:1:2-1:3传代;每周换液2-3次。;生长特性:贴壁;形态特性:详见产品说明书;相关产品有:SCC-25细胞、MOLT-3细胞、SNB19细胞

Simpson Cells;背景说明:来源于一位61岁的男性浆细胞瘤患者;可产生免疫球蛋白轻链,未检测到重链。;传代方法:按1:2传代,5-6小时可以看到细胞分裂;生长特性:悬浮生长;形态特性:淋巴母细胞样;相关产品有:RERFLCMS细胞、TE-9细胞、UMRC-2细胞

HEK-293H Cells;背景说明:详见相关文献介绍;传代方法:1:2-1:3传代;每周换液2-3次。;生长特性:贴壁或悬浮,详见产品说明书部分;形态特性:详见产品说明书;相关产品有:SGC7901/DDP细胞、H1650_CO细胞、10T1/2细胞

AML-2 Cells;背景说明:急性髓系白血病;男性;传代方法:1:2-1:3传代;每周换液2-3次。;生长特性:悬浮;形态特性:详见产品说明书;相关产品有:OCI-Ly7细胞、NCI-H1755细胞、C-28I2细胞

ROS 17/2.8 Cells;背景说明:骨肉瘤;ACI 9935;传代方法:1:2-1:3传代;每周换液2-3次。;生长特性:贴壁;形态特性:详见产品说明书;相关产品有:HLFa细胞、293 Ad5细胞、UMNSAH-DF 1细胞

B-cell Acute Lymphoblastic Leukemia-1 Cells;背景说明:详见相关文献介绍;传代方法:1:2传代;生长特性:悬浮生长;形态特性:淋巴母细胞;相关产品有:SMMC7721细胞、CAL 27细胞、ST 486细胞

Centre Antoine Lacassagne-78 Cells;背景说明:软骨肉瘤;男性;传代方法:1:2-1:3传代;每周换液2-3次。;生长特性:贴壁;形态特性:详见产品说明书;相关产品有:H-548细胞、OB2细胞、VM-CUB1细胞

BDCM Cells;背景说明:详见相关文献介绍;传代方法:每周2-3次。;生长特性:悬浮生长;形态特性:淋巴母细胞;相关产品有:OCI/AML2细胞、KPL-4细胞、NHEK细胞

MEC-1 Cells;背景说明:粘液表皮样癌;传代方法:1:2-1:3传代;每周换液2-3次。;生长特性:贴壁;形态特性:详见产品说明书;相关产品有:MKN45细胞、Jurkat (clone E6-1)细胞、AML-EOL-1细胞

SGC-996 Cells;背景说明:胆囊癌;女性;传代方法:1:2-1:3传代;每周换液2-3次。;生长特性:贴壁;形态特性:详见产品说明书;相关产品有:OKT 3细胞、MOLT-4细胞、MDBK (NBL-1)细胞

BayGenomics ES cell line CSH266 Cells(提供STR鉴定图谱)

BayGenomics ES cell line RRU665 Cells(提供STR鉴定图谱)

Bet-2 Cells(提供STR鉴定图谱)

KM1742 Cells(提供STR鉴定图谱)

PCRP-ZNF654-2E6 Cells(提供STR鉴定图谱)

NU-RMESO-20 Cells(提供STR鉴定图谱)

"


SUM159PT人乳腺癌细胞实验室|已有;传代细胞;复苏细胞;实验细胞;科研细胞;

公司简介

上海冠导生物工程有限公司,先后从ATCC、DSMZ、ECACC、RIKEN、PromoCell、ScienCell、JCRB等国内外细胞库引进细胞2000余株。以此为契机,公司组建了冠导细胞库,我司细胞均由资深细胞培养工程师进行培养。我司可以提供的细胞有:①细胞系②原代细胞③稳转株④耐药株⑤标记细胞⑥细胞配套试剂等。

成立日期 (11年)
注册资本 100万(元)
员工人数 50-100人
年营业额 ¥ 1000万-5000万
经营模式 工厂,试剂,定制,服务
主营行业 细胞培养,微生物学,细胞生物学

SUM159PT人乳腺癌细胞实验室|已有STR图谱相关厂家报价 更多

内容声明
拨打电话 立即询价