基本信息 产品详情 公司简介 推荐产品
网站主页 化工产品目录 生物 细胞培养 细胞系 人细胞系 SJSA-1 人骨肉瘤细胞系 SJSA-1人骨肉瘤细胞实验室|已有STR图谱
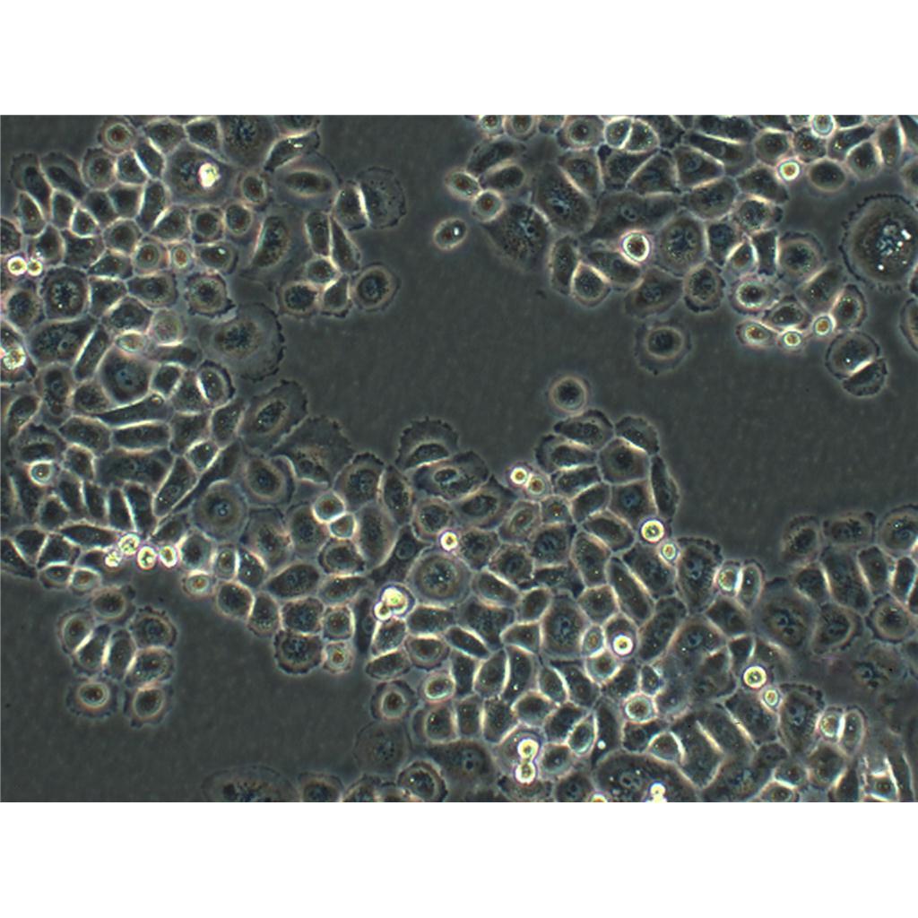
  • SJSA-1人骨肉瘤细胞实验室|已有STR图谱

SJSA-1人骨肉瘤细胞实验室|已有STR图谱

SJSA-1
询价 1000000细胞数 起订
2000000细胞数 起订
上海 更新日期:2026-04-24

上海冠导生物工程有限公司

VIP6年
联系人:全经理
电话:18818239863拨打
邮箱:3171921642@qq.com

产品详情:

中文名称:
SJSA-1人骨肉瘤细胞实验室|已有STR图谱
英文名称:
SJSA-1
品牌:
ATCC\RCB等
产地:
国外
保存条件:
常温培养或液氮冻存
纯度规格:
SJSA-1人骨肉瘤细胞实验室|已有STR图谱
产品类别:
化学试剂
种属:
详见产品资料
组织:
详见产品资料
细胞系:
详见产品资料
细胞形态:
详见产品资料
生长状态:
详见产品资料
靶点:
详见产品资料
应用:
详见产品资料

"SJSA-1人骨肉瘤细胞实验室|已有STR图谱

传代比例:1:2-1:4(首次传代建议1:2)

生长特性:贴壁生长

OVCAR 433 Cells;背景说明:卵巢癌;女性;传代方法:1:2-1:3传代;每周换液2-3次。;生长特性:贴壁;形态特性:详见产品说明书;相关产品有:COLO394细胞、SMMC7721细胞、RPMI 8226细胞

MLFC Cells;背景说明:详见相关文献介绍;传代方法:1:2-1:3传代;每周换液2-3次。;生长特性:贴壁或悬浮,详见产品说明书部分;形态特性:详见产品说明书;相关产品有:Murine Carcinoma-38细胞、Karpas422细胞、MM1细胞

NCI-H295R Cells;背景说明:肾上腺皮质癌;女性;传代方法:1:2-1:3传代;每周换液2-3次。;生长特性:贴壁;形态特性:详见产品说明书;相关产品有:OCI-LY-8细胞、MIA-PaCa-2细胞、NCI-H1954细胞

贴壁细胞的消化方法介绍:1、胰酶。这是用得Zui多的。一般浓度在0.25-0.5%。作用时间根据细胞种类、作用温度等因素而变化很大,从几分钟到几十分钟不等。0.25%的胰酶作用于单层贴壁的细胞,在37度条件下,一般消化1-5分钟就足够了。终止是用血清。主要作用于细胞间。配制时不能用含、镁的平衡,否则影响活性。保存于-20度。2、胶原酶。这种方法比较少,一般是用原代培养时,从组织消化下细胞。这种方法作用温和,对细胞损伤较小,但是,价格也较贵。中止同样是用血清。3、EDA。用得也是非常多。一般浓度在0.02%左右。作用于细胞与间质,对细胞间也有一定作用。注意,它能显著影响pH值,而且在弱碱性条件下才易溶。因此,配制时应调节HAO碱度。它不能被终和。因此,消化下来的细胞要洗一遍。4、商品化的无酶消化。个人的使用经常觉得对细胞的损伤比较大,但是分离成单细胞悬的能力确实比较强。5、物理法。直接吹打或用细胞刮子将细胞刮下来。6、冷冻法。此方法仅能用于细胞传代时。无法使组织上的细胞脱落下来。本方法的原理,我想是因细胞冷冻后收缩,从而从培养瓶上脱落下来。YOU点是:对细胞损伤小,不需要中止或洗细胞,方便,不需要另外配制消化。别适用那些贴壁不是别紧,又别娇气的细胞。不足是细胞常成小片脱落。此种方法曾用于因用其它方法传代导致大量细胞死亡操作的间充质干细胞、DC细胞的培养,效果非常满意。具体过程是:1、用较多的4度的PBS 洗涤一遍细胞(以6孔板为例,加1.5ml/孔),2、再加0.5毫升4度的PBS,静置操作台上,很快细胞就小片脱落,3、轻轻吹打,细胞即完全脱落,4、按一定比例传代。

换液周期:每周2-3次

SJSA-1人骨肉瘤细胞实验室|已有STR图谱

背景信息:详见相关文献介绍

产品包装:复苏发货:T25培养瓶(一瓶)或冻存发货:1ml冻存管(两支)

细胞系的应用:1)免疫组化研究2)RNA干扰研究3)药物作用研究4)慢病毒转染研究等其它应用。细胞系通常用于实验研究,如增殖、迁移、侵袭等。细胞系在多个领域的研究中被广泛应用,包括基础医学、临床试验、药物筛选和分子生物学研究。这些研究不仅在中国,也在日本、美国和欧洲等多个国家和地区进行。

来源说明:细胞主要来源ATCC、ECACC、DSMZ、RIKEN等细胞库

BayGenomics ES cell line CSA021 Cells(提供STR鉴定图谱)

HEC1-A Cells;背景说明:这株细胞及其亚株HEC-1-B是H.Kuramoto及其同事1968年从一位IA期子宫内膜癌患者身上分离得到的。PAF可以诱导其c-fos的表达。;传代方法:消化3-5分钟,1:2,3天内可长满;生长特性:贴壁生长;形态特性:上皮样;相关产品有:C33A细胞、hA549细胞、LAPC-4细胞

Colo16 Cells;背景说明:皮肤鳞癌;女性;传代方法:1:2-1:3传代;每周换液2-3次。;生长特性:贴壁;形态特性:详见产品说明书;相关产品有:HBMEC细胞、NCIH520细胞、Wills Eye Research Institute-Retinoblastoma-1细胞

KYSE 150 KYSE150 Kyse150 KY150

 Cells;背景说明:详见相关文献介绍;传代方法:1:2传代;生长特性:贴壁生长;形态特性:详见产品说明书;相关产品有:NCIH1299细胞、SUP-B15细胞、C6细胞

SJSA-1人骨肉瘤细胞实验室|已有STR图谱

物种来源:人源、鼠源等其它物种来源

形态特性:上皮细胞样

我们都知道世界宇宙浩瀚无,除了我们知道的地球、太阳、月球、银河系以外还有HAO多其他宇宙行星,这样的世界对于很多人来说很陌生稀奇甚至无法想象,这样的世界同样也是我们无法触摸的,然而还有一个微观的世界也是我们无法接触的,这个就是——细胞里的微观世界。对于很多人来说,除了从书本上简单了解植物细胞的知识以外,在行业外人的意识里,细胞还是一个让人一头雾水的词语,甚至都是一个无形的存在,更别提描述和看见这个东西,但是对于行业内的生物科学研究者和医学研究者,这是个经常被运用到的必需之物,用宇宙世界的包含于被包含的关系把细胞的微观世界剖析开来,让我们了解到细胞是什么样的东西及应用和未来世界细胞在生命中的重要作用。细胞发炎——心脏疾病;DNA受损——癌症;细胞能量衰退——肾功能衰竭、关节炎、帕金森氏;老化蛋白堆积——糖尿病、痴呆症、心脑血管疾病;所有的衰老和疾病都是机体内细胞开的损伤、衰老和死亡造成的。所以细胞在科学研究和医学研究中有着重要的应用作用,尤其是原代细胞,它是从机体组织中分离提取培养,它可以作为一种科研材料帮助研究者进行项目研究和课题研究,也可以帮助医学者进行疾病研究和疾病试验,试想从人体组织中分离培养的细胞经过医学药物的试验再运用到人体身上,无论从功效还是结果上效果都是。

Swiss/3T3 Cells;背景说明:详见相关文献介绍;传代方法:1:2-1:3传代;每周换液2-3次。;生长特性:贴壁或悬浮,详见产品说明书部分;形态特性:详见产品说明书;相关产品有:Human Fetal Thymocyte-8810细胞、LL/2 (LLC1)细胞、NCI-H2085细胞

U87 Cells;背景说明:详见相关文献介绍;传代方法:1:2-1:3传代;每周换液2-3次。;生长特性:贴壁或悬浮,详见产品说明书部分;形态特性:详见产品说明书;相关产品有:PANC1005细胞、ECC10细胞、RCM1细胞

WRL 68 Cells;背景说明:胚胎;肝 Cells;传代方法:1:2-1:3传代;每周换液2-3次。;生长特性:贴壁;形态特性:详见产品说明书;相关产品有:RAT2细胞、LIXC002细胞、U 138 MG细胞

HS852.T Cells;背景说明:详见相关文献介绍;传代方法:1:2-1:3传代;每周换液2-3次。;生长特性:贴壁生长;形态特性:上皮细胞;相关产品有:HEL-299细胞、NCIH1915细胞、Fetal Rhesus Kidney-4细胞

C6 Cells;背景说明:胶质细胞株C6是由Benda等用N-nitrosomethylurea诱导的大鼠胶质瘤克隆,并经过一系列的体外培养和动物传代交替后建成的。 当细胞从低密度生长到满瓶时,S-100产量增加10倍。;传代方法:1:2传代;生长特性:贴壁生长;形态特性:上皮细胞样;相关产品有:NCIH1975细胞、GNM细胞、MUTZ-3细胞

MAD109 Cells;背景说明:肺癌;BALB/c;传代方法:1:2-1:3传代;每周换液2-3次。;生长特性:贴壁;形态特性:详见产品说明书;相关产品有:Karpas422细胞、S16细胞、Hs-940细胞

MC57G Cells;背景说明:纤维肉瘤;C57BL/6J;传代方法:1:2-1:3传代;每周换液2-3次。;生长特性:贴壁;形态特性:详见产品说明书;相关产品有:HTR8svn细胞、MIA Paca2细胞、HT144细胞

REC-1 Cells;背景说明:详见相关文献介绍;传代方法:1:3—1:6传代,2-3天换液1次;生长特性:悬浮生长 ;形态特性:淋巴母细胞样;相关产品有:NCI-H-82细胞、MDA-MB 361细胞、SY5Y细胞

H2291 Cells;背景说明:详见相关文献介绍;传代方法:1:3-1:4传代;每周换液2-3次。;生长特性:贴壁生长;形态特性:上皮细胞样;相关产品有:RGC-6细胞、H841细胞、HCV-29细胞

RMa-bm Cells;背景说明:骨髓巨噬 Cells;传代方法:1:2-1:3传代;每周换液2-3次。;生长特性:半悬浮;形态特性:详见产品说明书;相关产品有:CT26WT细胞、HEL-92.1.7细胞、HCC2218细胞

Hs-729-T Cells;背景说明:详见相关文献介绍;传代方法:1:2传代;每周换液2-3次。;生长特性:贴壁生长;形态特性:成纤维细胞;相关产品有:RPMI8226细胞、OCILY-10细胞、MM96L细胞

PG-4 Cells;背景说明:详见相关文献介绍;传代方法:1:2-1:3传代;每周换液2-3次。;生长特性:贴壁或悬浮,详见产品说明书部分;形态特性:详见产品说明书;相关产品有:SuDHL 5细胞、786-O细胞、Karpas299细胞

MHCC 97-L Cells;背景说明:来源于中山医院,生长较缓慢;传代方法:1:2传代;生长特性:贴壁生长;形态特性:上皮样;相关产品有:CT-26 WT细胞、U-2OS细胞、Colon38细胞

KATO 3 Cells;背景说明:详见相关文献介绍;传代方法:1:2传代。3天内可长满。;生长特性:贴壁生长;形态特性:上皮细胞;相关产品有:WTRL1细胞、L929细胞、HCC1438细胞

H-1092 Cells;背景说明:详见相关文献介绍;传代方法:随细胞的密度而增加;生长特性:悬浮生长;形态特性:详见产品说明书;相关产品有:Hs 863.T细胞、MCF 10A细胞、H-1238细胞

GCT0404 Cells;背景说明:骨巨细胞瘤;传代方法:1:2-1:3传代;每周换液2-3次。;生长特性:贴壁;形态特性:详见产品说明书;相关产品有:HS766T细胞、Roswell Park Memorial Institute 1788细胞、SL1细胞

F9 Cells;背景说明:详见相关文献介绍;传代方法:1:2-1:3传代;每周换液2-3次。;生长特性:贴壁或悬浮,详见产品说明书部分;形态特性:详见产品说明书;相关产品有:Roswell Park Memorial Institute 8402细胞、NCI-H2052细胞、A-1847细胞

SJSA-1人骨肉瘤细胞实验室|已有STR图谱

604A9 Cells(提供STR鉴定图谱)

Abcam K-562 RXRB KO Cells(提供STR鉴定图谱)

AP66P(L) Cells(提供STR鉴定图谱)

BayGenomics ES cell line RRM055 Cells(提供STR鉴定图谱)

BayGenomics ES cell line XN444 Cells(提供STR鉴定图谱)

cAMP Hunter CHO-K1 mRXFP1 Gs Cells(提供STR鉴定图谱)

DA00732 Cells(提供STR鉴定图谱)

FM3A H-5 Cells(提供STR鉴定图谱)

GM09498 Cells(提供STR鉴定图谱)

TO175T Cells;背景说明:详见相关文献介绍;传代方法:1:2传代;每周换液2-3次。;生长特性:贴壁生长;形态特性:详见产品说明书;相关产品有:CMT167细胞、U-343 MG细胞、LM TK negative细胞

NIT-1 Cells;背景说明:详见相关文献介绍;传代方法:1:2-1:3传代,每周换液1-2次;生长特性:贴壁生长;形态特性:上皮样;相关产品有:NPA 87细胞、Co-115细胞、HCC202细胞

HCC1569 Cells;背景说明:详见相关文献介绍;传代方法:1:4—1:6传代,每周换液2—3次;生长特性:混合生长;形态特性:上皮样;相关产品有:MC57细胞、UPCI-SCC-154细胞、SU86-86细胞

NCIH1581 Cells;背景说明:详见相关文献介绍;传代方法:每周换液2次。;生长特性:混合型;形态特性:上皮样;相关产品有:H-125细胞、EB-2细胞、Soleus clone 8细胞

Hep 3B Cells;背景说明:肝癌;男性;传代方法:1:2-1:3传代;每周换液2-3次。;生长特性:贴壁;形态特性:详见产品说明书;相关产品有:Factor Dependent Continuous-Paterson 1细胞、SNGM细胞、HEK 293 c18细胞

BGC-823 Cells;背景说明:建自一位62岁的胃癌患者;传代方法:1:3传代,2-3天换液一次;生长特性:贴壁生长;形态特性:上皮样;相关产品有:Pa17C细胞、7404细胞、H-2106细胞

COLO394 Cells;背景说明:详见相关文献介绍;传代方法:1:2-1:3传代;每周换液2-3次。;生长特性:贴壁或悬浮,详见产品说明书部分;形态特性:详见产品说明书;相关产品有:373 MG细胞、BE2-M17细胞、RGM1细胞

RGM1 Cells;背景说明:胃黏膜;上皮细胞;自发永生;Wistar;传代方法:1:2-1:3传代;每周换液2-3次。;生长特性:贴壁;形态特性:详见产品说明书;相关产品有:C1R细胞、HT-29细胞、SKMel-28细胞

H929 Cells;背景说明:详见相关文献介绍;传代方法:保持细胞密度在5×105—1×106 cells/ml之间,每周换液2—3次;生长特性:悬浮生长 ;形态特性:淋巴母细胞样;相关产品有:639 V细胞、VK-2/E6E7细胞、NOK细胞

NCCIT Cells;背景说明:详见相关文献介绍;传代方法:1:4—1:8传代,每周换液2—3次;生长特性:贴壁生长;形态特性:上皮细胞;相关产品有:L-929细胞、Ca Ski细胞、NPC-TW01细胞

A-375 Cells;背景说明:A375源自一位54岁女性,是Giard DJ等人建立的一系列细胞株中的一株。该细胞可在免疫抑制小鼠上成瘤,在琼脂上形成克隆。;传代方法:1:2-1:3传代;每周换液2-3次。;生长特性:贴壁;形态特性:上皮细胞样;相关产品有:H647ell细胞、A.704细胞、Hs683T细胞

ZYM-DIEC02 Cells;背景说明:小肠上皮 Cells;传代方法:1:2-1:3传代;每周换液2-3次。;生长特性:贴壁;形态特性:详见产品说明书;相关产品有:HPaSteC(HPSC)细胞、RPPVEC细胞、NL20SV细胞

HAEC Cells;背景说明:主动脉;内皮 Cells;传代方法:1:2-1:3传代;每周换液2-3次。;生长特性:贴壁;形态特性:详见产品说明书;相关产品有:Baby Hamster Kidney 21细胞、A-72细胞、DU4475细胞

ADR-RES Cells;背景说明:详见相关文献介绍;传代方法:1:2-1:3传代;每周换液2-3次。;生长特性:贴壁或悬浮,详见产品说明书部分;形态特性:详见产品说明书;相关产品有:SG231细胞、B-16细胞、Hs600T细胞

RC-2 Cells;背景说明:来源于日本人的肾脏肿瘤细胞。 可以移植到裸鼠。;传代方法:1:2传代;生长特性:贴壁生长;形态特性:上皮细胞样;相关产品有:HR-1细胞、HPDE细胞、OKT3细胞

GM18363 Cells(提供STR鉴定图谱)

HAP1 IFI44 (-) 1 Cells(提供STR鉴定图谱)

Okayama University Medical School-23 Cells;背景说明:详见相关文献介绍;传代方法:1:2-1:3传代;每周换液2-3次。;生长特性:贴壁或悬浮,详见产品说明书部分;形态特性:详见产品说明书;相关产品有:OC-316细胞、H-2108细胞、ELD-1细胞

HOS (TE85, Clone F5) Cells;背景说明:骨肉瘤;女性;传代方法:1:2-1:3传代;每周换液2-3次。;生长特性:贴壁;形态特性:详见产品说明书;相关产品有:JurkatE6-1细胞、HGE细胞、OCI-Ly03细胞

LCLC-103H Cells;背景说明:详见相关文献介绍;传代方法:1:2-1:3传代;每周换液2-3次。;生长特性:贴壁或悬浮,详见产品说明书部分;形态特性:详见产品说明书;相关产品有:Mouse Forestomach Carcinoma细胞、RPMI 7666细胞、PA-TU-8988S细胞

UO.31 Cells;背景说明:详见相关文献介绍;传代方法:1:3-1:6传代;2-3天换液1次。;生长特性:贴壁生长;形态特性:上皮样;相关产品有:MDA-MB-134 VI细胞、GB-1细胞、NBL-1细胞

MT-2 Cells;背景说明:详见相关文献介绍;传代方法:1:2-1:3传代;生长特性:悬浮生长;形态特性:淋巴母细胞;相关产品有:Stanford University-Diffuse Histiocytic Lymphoma-16细胞、SKNO-1细胞、RPTEC TERT1细胞

H510 Cells;背景说明:详见相关文献介绍;传代方法:1:3-1:8传代;每周换液2次。;生长特性:混合生长;形态特性:上皮细胞样;相关产品有:OCI-LY-1细胞、BEL7404细胞、IMR-90细胞

IOSE80 Cells;背景说明:卵巢;上皮细胞;SV40转化;女性;传代方法:1:2-1:3传代;每周换液2-3次。;生长特性:贴壁;形态特性:详见产品说明书;相关产品有:NCI-H69C细胞、Jurkat E6-1细胞、MGECs细胞

SAS Cells;背景说明:详见相关文献介绍;传代方法:10^5 cells/60mm dish;生长特性:贴壁生长;形态特性:上皮样;相关产品有:GA-10-Clone-4细胞、NPA细胞、H-650细胞

HPS0246 Cells(提供STR鉴定图谱)

JHU232i Cells(提供STR鉴定图谱)

MDA-MB-231/GFP Cells(提供STR鉴定图谱)

ND36561 Cells(提供STR鉴定图谱)

PrecisION hKv3.3-CHO Cells(提供STR鉴定图谱)

Ubigene HEK293 MAPK10 KO Cells(提供STR鉴定图谱)

WG2606 Cells(提供STR鉴定图谱)

HBEC3KTRL53 Cells(提供STR鉴定图谱)

JVM-2 Cells;背景说明:该细胞是 J.V.Melo从一位63岁患有套细胞淋巴瘤白人女性外周血中分离建立的,经EBV介导获得永生化,该细胞表达p16和细胞周期蛋白D2,低水平表达细胞周期蛋白D1。;传代方法:1:3传代,2-3天传一代;生长特性:悬浮生长;形态特性:淋巴母细胞样;相关产品有:3T3-L1 ad细胞、Caco-2 BBe细胞、SaOS-2细胞

EoL-1 cell Cells;背景说明:急性髓系白血病;男性;传代方法:1:2-1:3传代;每周换液2-3次。;生长特性:悬浮;形态特性:详见产品说明书;相关产品有:Hs746-T细胞、NGP细胞、143BTK-细胞

FHs74 Int Cells;背景说明:小肠;传代方法:1:2-1:3传代;每周换液2-3次。;生长特性:贴壁;形态特性:详见产品说明书;相关产品有:HRC-99细胞、Med 283细胞、LO2细胞

IM95 Cells;背景说明:详见相关文献介绍;传代方法:1:2-1:3传代;每周换液2-3次。;生长特性:贴壁或悬浮,详见产品说明书部分;形态特性:详见产品说明书;相关产品有:CORL279细胞、Nakata-1细胞、Panc_04_03细胞

HSKMC Cells;背景说明:骨骼肌;传代方法:1:2-1:3传代;每周换液2-3次。;生长特性:贴壁;形态特性:详见产品说明书;相关产品有:C8166-CD4细胞、MD Anderson-Metastatic Breast-157细胞、SIRC细胞

HSKMC Cells;背景说明:骨骼肌;传代方法:1:2-1:3传代;每周换液2-3次。;生长特性:贴壁;形态特性:详见产品说明书;相关产品有:C8166-CD4细胞、MD Anderson-Metastatic Breast-157细胞、SIRC细胞

Vero 76 clone E-6 Cells;背景说明:详见相关文献介绍;传代方法:1:2-1:3传代;每周换液2-3次。;生长特性:贴壁或悬浮,详见产品说明书部分;形态特性:详见产品说明书;相关产品有:SK HEP 01细胞、JEKO细胞、SKNSH细胞

RS1 Cells;背景说明:该细胞系来源于一大鼠的皮肤组织。2007年由中国科学院昆明细胞库建立。;传代方法:1:2传代;生长特性:贴壁生长 ;形态特性:详见产品说明书;相关产品有:HT 144细胞、MSTO-211细胞、Namalwa细胞

NT2-D1 Cells;背景说明:详见相关文献介绍;传代方法:1:2-1:3传代;每周换液2-3次。;生长特性:贴壁或悬浮,详见产品说明书部分;形态特性:详见产品说明书;相关产品有:Lewis Lung细胞、SK-MES细胞、A253细胞

MMAc.SF Cells;背景说明:详见相关文献介绍;传代方法:1:2传代;生长特性:贴壁生长;形态特性:详见产品说明书;相关产品有:PIEC细胞、NCIH2452细胞、CDC/EU.HMEC-1细胞

HSAS4 Cells;背景说明:皮肤成纤维细胞;男性;传代方法:1:2-1:3传代;每周换液2-3次。;生长特性:贴壁;形态特性:详见产品说明书;相关产品有:A 2058细胞、C8166细胞、MDA-MB-134VI细胞

HT 1080 Cells;背景说明:该细胞源自一名35岁患有纤维肉瘤的白人男性的结缔组织;ras+。;传代方法:1:4-1:8传代;2-3天换液1次。;生长特性:贴壁生长;形态特性:上皮样;相关产品有:KG1A细胞、SKNBE(2)细胞、RMG-1细胞

MDA330 Cells;背景说明:详见相关文献介绍;传代方法:1:2-1:3传代;每周换液2-3次。;生长特性:贴壁或悬浮,详见产品说明书部分;形态特性:详见产品说明书;相关产品有:Pt K2细胞、PG [Human lung carcinoma]细胞、ROS-17/2.8细胞

Sp2/0 Cells;背景说明:该细胞是由绵羊红细胞免疫的BALB/c小鼠脾细胞和P3X63Ag8骨髓瘤细胞融合得到的。该细胞不分泌免疫球蛋白,对20μg/ml的8-氮鸟嘌呤有抗性,对HAT比较敏感;该细胞可以作为细胞融合时的B细胞组分用于制备杂交瘤;鼠痘病毒阴性。;传代方法:1:2传代;生长特性:悬浮生长;形态特性:淋巴母细胞样;圆形;相关产品有:H1623细胞、LS180细胞、NCIH187细胞

Hep II Cells;背景说明:最初认为这个细胞源自喉上皮癌,但随后通过同功酶分析、HeLa标记染色体和DNA指纹分析发现,起源细胞已被HeLa污染。 角蛋白免疫过氧化物酶染色阳性。;传代方法:1:2传代;生长特性:贴壁生长;形态特性:上皮细胞样;相关产品有:NCIH1581细胞、Anglne细胞、MHCCLM3细胞

SL0003 Cells(提供STR鉴定图谱)

CCRF.CEM Cells;背景说明:G.E. Foley 等人建立了类淋巴母细胞细胞株CCRF-CEM。 细胞是1964年11月从一位四岁白人女性急性淋巴细胞白血病患者的外周血白血球衣中得到。此细胞系从香港收集而来。;传代方法:1:2传代。3天内可长满。;生长特性:悬浮生长;形态特性:淋巴母细胞样;相关产品有:OCIAML2细胞、SUDHL-16细胞、Hs 688(A).T细胞

SJSA-1人骨肉瘤细胞实验室|已有STR图谱

KMST-6 Cells;背景说明:胚成纤维细胞;女性;传代方法:1:2-1:3传代;每周换液2-3次。;生长特性:贴壁;形态特性:详见产品说明书;相关产品有:DF-1细胞、TK+/- (clone 3.7.2C)细胞、NCIH441细胞

UCH1 Cells;背景说明:骶骨脊索瘤;男性;传代方法:1:2-1:3传代;每周换液2-3次。;生长特性:贴壁;形态特性:详见产品说明书;相关产品有:HBZY1细胞、H-650细胞、P3J HR1-K细胞

LC-1 Cells;背景说明:详见相关文献介绍;传代方法:1:2-1:3传代;每周换液2-3次。;生长特性:贴壁或悬浮,详见产品说明书部分;形态特性:详见产品说明书;相关产品有:NCI-H1836细胞、JB6 clone 30, subclone 7b细胞、CO115细胞

Factor Dependent Cell-Paterson 1 Cells;背景说明:详见相关文献介绍;传代方法:2-3天换液1次;生长特性:悬浮生长;形态特性:淋巴母细胞;相关产品有:HeLa S-3细胞、RPMI-8402细胞、G-Olig2细胞

HEEpiC Cells;背景说明:食管;上皮 Cells;传代方法:1:2-1:3传代;每周换液2-3次。;生长特性:贴壁;形态特性:详见产品说明书;相关产品有:Stanford University-Diffuse Histiocytic Lymphoma-6细胞、BE(2)-C细胞、JCA1细胞

CEM-C1 Cells;背景说明:详见相关文献介绍;传代方法:1:2传代;生长特性:贴壁生长 ;形态特性:详见产品说明书;相关产品有:Reuber H35细胞、AG06814-J细胞、Hs 729细胞

H3255_DA Cells;背景说明:详见相关文献介绍;传代方法:1:2传代;生长特性:贴壁生长 ;形态特性:详见产品说明书;相关产品有:HCS2/8细胞、KPL-4细胞、OCI Ly3细胞

N87 Cells;背景说明:NCI-N87细胞表达表面糖蛋白癌胚抗原(CEA)和TAG72,并且没有左旋多巴胺脱羧酶(DDC)活性。它们的血管活性的肠肽(VIP)受体活性极低并缺乏胃泌激素受体。它们表达蕈毒碱胆碱受体。没有证据表明存在N-myc,L-myc,myb和EGF受体基因的重组。这个细胞株表达的c-myc和c-erb-B2RNA水平与其它细胞株相当。以下基因不表达:N-myc,L-myc,c-cis,IGF-2,或胃泌激素释放肽。报道NCI-N87细胞的植板率为4.3%。;传代方法:消化15-20分钟。1:2。4-5天长满。;生长特性:贴壁生长;形态特性:上皮细胞样;相关产品有:HDSMC细胞、Th17细胞、L-M(TK-)细胞

CL 1-5 Cells;背景说明:肺腺癌;男性;传代方法:1:2-1:3传代;每周换液2-3次。;生长特性:贴壁;形态特性:详见产品说明书;相关产品有:PANC-1细胞、HLCL9B10细胞、NCI.H23细胞

MDAMB157 Cells;背景说明:该细胞源自一位患有乳腺髓样癌的44岁黑人女性,表达WNT7B癌基因,细胞与细胞边界处有细胞桥粒、微绒毛、张力细丝。;传代方法:1:2-1:3传代;每周换液2-3次。;生长特性:贴壁生长;形态特性:上皮样;相关产品有:MRC-V细胞、L5178Y TK+/- (clone 3.7.2C)细胞、H-187细胞

SNU886 Cells;背景说明:详见相关文献介绍;传代方法:1:2传代;生长特性:贴壁或悬浮,详见产品说明书部分;形态特性:详见产品说明书;相关产品有:Huh 7.5细胞、RIN-m5F细胞、MH7A细胞

G401 Cells;背景说明:详见相关文献介绍;传代方法:1:2-1:6传代,每周2-3次。;生长特性:贴壁生长;形态特性:上皮细胞样;相关产品有:X63细胞、H766T细胞、F98细胞

H1395 Cells;背景说明:详见相关文献介绍;传代方法:1:2传代;5-6天传代一次。;生长特性:贴壁生长;形态特性:上皮样;多角形;相关产品有:OCI-Ly 1细胞、NUGC-3细胞、G-292 clone A141B1细胞

BayGenomics ES cell line RRF229 Cells(提供STR鉴定图谱)

BayGenomics ES cell line XG446 Cells(提供STR鉴定图谱)

EC-Ntsr1tm1Dgen Cells(提供STR鉴定图谱)

mPitA-13 Cells(提供STR鉴定图谱)

TP1 Cells(提供STR鉴定图谱)

M4A4 GFP Cells(提供STR鉴定图谱)

"


SJSA-1人骨肉瘤细胞实验室|已有ST;传代细胞;复苏细胞;实验细胞;科研细胞;

公司简介

上海冠导生物工程有限公司,先后从ATCC、DSMZ、ECACC、RIKEN、PromoCell、ScienCell、JCRB等国内外细胞库引进细胞2000余株。以此为契机,公司组建了冠导细胞库,我司细胞均由资深细胞培养工程师进行培养。我司可以提供的细胞有:①细胞系②原代细胞③稳转株④耐药株⑤标记细胞⑥细胞配套试剂等。

成立日期 (11年)
注册资本 100万(元)
员工人数 50-100人
年营业额 ¥ 1000万-5000万
经营模式 工厂,试剂,定制,服务
主营行业 细胞培养,微生物学,细胞生物学

SJSA-1人骨肉瘤细胞实验室|已有STR图谱相关厂家报价

  • SJSA-1
  • SJSA-1
  • 吉奥蓝图(广东)生命科学技术中心 VIP
  • 2026-04-17
  • ¥10000
内容声明
拨打电话 立即询价