基本信息 产品详情 公司简介 推荐产品
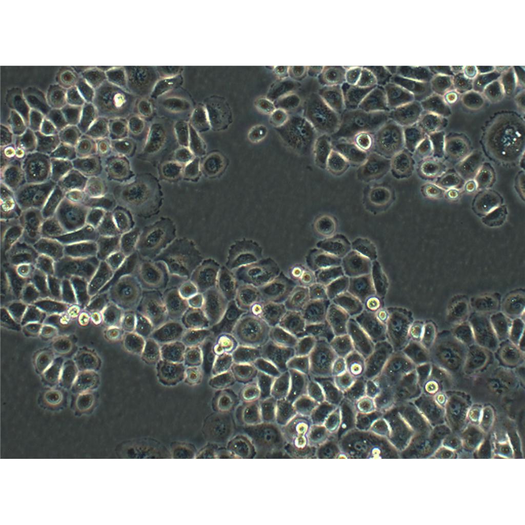
网站主页 HSC-2 皮肤鳞状细胞癌细胞系 HSC-2人口腔鳞状肿瘤细胞实验室|已有STR图谱
  • HSC-2人口腔鳞状肿瘤细胞实验室|已有STR图谱

HSC-2人口腔鳞状肿瘤细胞实验室|已有STR图谱

HSC-2
询价 1000000细胞数 起订
2000000细胞数 起订
上海 更新日期:2026-04-13

上海冠导生物工程有限公司

VIP6年
联系人:全经理
电话:18818239863拨打
邮箱:3171921642@qq.com

产品详情:

中文名称:
HSC-2人口腔鳞状肿瘤细胞实验室|已有STR图谱
英文名称:
HSC-2
品牌:
ATCC\RCB等
产地:
国外
保存条件:
常温培养或液氮冻存
纯度规格:
HSC-2人口腔鳞状肿瘤细胞实验室|已有STR图谱
产品类别:
化学试剂
种属:
详见产品资料
组织:
详见产品资料
细胞系:
详见产品资料
细胞形态:
详见产品资料
生长状态:
详见产品资料
靶点:
详见产品资料
应用:
详见产品资料

"HSC-2人口腔鳞状肿瘤细胞实验室|已有STR图谱

传代比例:1:2-1:4(首次传代建议1:2)

生长特性:贴壁生长

HEC1-A Cells;背景说明:这株细胞及其亚株HEC-1-B是H.Kuramoto及其同事1968年从一位IA期子宫内膜癌患者身上分离得到的。PAF可以诱导其c-fos的表达。;传代方法:消化3-5分钟,1:2,3天内可长满;生长特性:贴壁生长;形态特性:上皮样;相关产品有:C33A细胞、hA549细胞、LAPC-4细胞

A-2058 Cells;背景说明:详见相关文献介绍;传代方法:1:6-1:12传代,2-3天换液1次。;生长特性:贴壁生长;形态特性:上皮细胞;相关产品有:U-2-OS细胞、MC-3T3细胞、PK15细胞

PC-9/S1 Cells;背景说明:详见相关文献介绍;传代方法:1:2传代;生长特性:贴壁生长;形态特性:上皮样;相关产品有:SU86-86细胞、H-498细胞、D407细胞

细胞培养无菌操作步骤和注意事项:1.打开无菌工作台及净化室的紫外灯,消毒半小时以上。2.进入净化室前先关闭紫外灯,打开超净台风机,等待30min以上,以排尽臭氧。3.穿HAO隔离衣,戴HAO口罩,帽子。4.风淋2分钟。5.0.1%水泡手,擦干。6.点燃酒精灯;超净台内应避免放入过多的物品;使用的吸管,滴管,试管,培养瓶等均事先灭菌。7.打开各类瓶盖前先过火,以固定灰尘;打开的瓶口、试管口过火焰,镊子使用前应经火焰烧灼。8.水平式风机的超净台,应使瓶口斜置,应尽量避免瓶口敞开直立。9.同一根吸管或滴管不应连续用于几个不同的细胞系;吸取培养基的吸管应离开培养瓶或试管口0.5cm,避免伸入培养瓶口或试管口;以防止细胞系的互相混杂污染。10.漏在培养瓶上或台上的体,立即用酒精棉球擦净。11.操作完毕后恢复工作台面。

换液周期:每周2-3次

HSC-2人口腔鳞状肿瘤细胞实验室|已有STR图谱

背景信息:详见相关文献介绍

产品包装:复苏发货:T25培养瓶(一瓶)或冻存发货:1ml冻存管(两支)

【细胞培养经验分享】启蒙老师的重要性:一般进实验室都有师兄师姐带着做,他们就是你做细胞的启蒙老师。他们的操作手法、细节、理论讲解就成了你操作的准则,如营养液、细胞瓶的摆放位置、灭菌处理程序、开盖手法、细胞吹打手法等等。要学会他们的正确操作,在第一次的时候就要重视。像养孩子一样养细胞,细胞有时真的很脆弱,最好每天都去看看它,以防止出现培养箱缺水、缺二氧化碳、停电、温度不够等异常现象,也好及时解决这些意外,避免重复实验带来的更大痛苦。好细胞要及时保种:细胞要分批传代,这样即使有一批出了问题,还有一批备用的。像后者一般人可能不容易做到。但这是我血的教训,有一次细胞污染了,全军覆没。当时可后悔没有保种。细胞跟人一样,不同的细胞,培养特性是不一样的。培养过程中要细细体会,不同细胞系使用不同的培养基和血清。

来源说明:细胞主要来源ATCC、ECACC、DSMZ、RIKEN等细胞库

AD [Mouse hybridoma against phenacetin] Cells(提供STR鉴定图谱)

CO115 Cells;背景说明:结肠腺癌;女性;传代方法:1:2-1:3传代;每周换液2-3次。;生长特性:贴壁;形态特性:详见产品说明书;相关产品有:SK.MEL.5细胞、PECAPJ34细胞、MADB-106细胞

HCT FET Cells;背景说明:结肠癌;传代方法:1:2-1:3传代;每周换液2-3次。;生长特性:贴壁;形态特性:详见产品说明书;相关产品有:NBLAN5T细胞、MDCK supertube细胞、HO1-N-1细胞

HCEpiC Cells;背景说明:详见相关文献介绍;传代方法:1:2-1:3传代;每周换液2-3次。;生长特性:贴壁或悬浮,详见产品说明书部分;形态特性:详见产品说明书;相关产品有:C2BBe1细胞、Meat Animal Research Center-145细胞、RFL-6细胞

HSC-2人口腔鳞状肿瘤细胞实验室|已有STR图谱

物种来源:人源、鼠源等其它物种来源

形态特性:上皮细胞样

公司细胞库冻存并保种有2300多种各类细胞系。针对每种不同的细胞系,公司摸索并积累了大量细胞培养条件和YOU化参数,为您的细胞实验保驾护航。细胞培养是生命科学研究中Zui基础、也是Zui常用的实验手段。从冻存→复苏→传代→实验,在每一次细胞培养的过程中我们都是精心呵护,小心培养,心里都是默默承诺:我要护你一世周全!可是可是……无数次细胞都因污染而离我而去,投入的不只是我们貌美如花的青春,还有那一去不复返的经费!在细胞生物学,生物化学,免疫学,神经生物学,病理学……只要涉及细胞的研究领域,都面临着支原体污染的威胁。在众多污染物中,也就属支原体Zui狡猾了,他Zui善于隐藏自己,因为被支原体污染的细胞不会马上死亡,但会改变细胞的新陈代谢,甚至会改变细胞的基因表达谱,我们就这样被欺骗了无数次,谁让我们就是个看“颜值”的花痴了。可是我们通过被虐了几百次的经验中总结出来,当你的细胞出现了这些症状时:生长速率改变;活性减弱;形态改变;染色体畸变;转染效率显著降低;细胞复苏后存活率降低……。那你就得千万小心了,也许你的细胞已经被支原体欺凌了!

AR4-IP Cells;背景说明:详见相关文献介绍;传代方法:1:3-1:6传代;每周2-3次。;生长特性:贴壁生长;形态特性:上皮细胞样;相关产品有:S3 HeLa细胞、Scott and White No. 13细胞、Rat Fetal Lung-6细胞

B10BR Cells;背景说明:永生化黑素 Cells;传代方法:1:2-1:3传代;每周换液2-3次。;生长特性:贴壁;形态特性:详见产品说明书;相关产品有:NCI-H838细胞、OVCA5细胞、IPEC-1细胞

NCIH1385 Cells;背景说明:详见相关文献介绍;传代方法:1:2-1:3传代;每周换液2-3次。;生长特性:贴壁或悬浮,详见产品说明书部分;形态特性:详见产品说明书;相关产品有:P 815细胞、NCI H345细胞、Kobe university Oral Squamous Cell culture-2细胞

AAV293 Cells;背景说明:我们推荐使用AAV-293细胞株繁殖腺病毒相关重组病毒。 AAV-293源自普遍使用的 HEK293细胞株,但产生的病毒滴度更高。 HEK293细胞是剪切过的腺病毒5型DNA转染的人胚肾细胞。 跟HEK293细胞一样,AAV-293细胞反式表达腺病毒E1基因,当共转染三个AAV助质粒(一个含ITR的质粒,pAAV-RC, 和E1缺失助质粒)时,可以产生有感染力的腺病毒-相关病毒颗粒。;传代方法:消化3-5分钟。1:2。3天内可长满。;生长特性:贴壁生长;形态特性:上皮细胞;相关产品有:COS1细胞、MLE12细胞、NCIH2171细胞

H-1299 Cells;背景说明:这株细胞来源于一个淋巴结转移。患者接受了初期放疗。细胞均一性的部分缺失p53蛋白,并缺少p53蛋白表达。细胞可以合成0.1pmol/毫克蛋白的NMB蛋白,而不合成促胃液释放肽(GRP)。;传代方法:1:2传代;3天传代一次。;生长特性:贴壁生长;形态特性:上皮样;多角形;相关产品有:T98G细胞、P116细胞、MFE 296细胞

FHs 74 Int Cells;背景说明:小肠;传代方法:1:2-1:3传代;每周换液2-3次。;生长特性:贴壁;形态特性:详见产品说明书;相关产品有:KPL1细胞、H-510细胞、HEC-251细胞

NCI-H1792 Cells;背景说明:详见相关文献介绍;传代方法:1:3-1:8传代。;生长特性:贴壁生长;形态特性:上皮细胞样;相关产品有:MA 104细胞、COLO 678细胞、A-375SM细胞

SPCA-1 Cells;背景说明:详见相关文献介绍;传代方法:1:2-1:3传代;每周换液2-3次。;生长特性:贴壁或悬浮,详见产品说明书部分;形态特性:详见产品说明书;相关产品有:Hs-688A-T细胞、BC-020细胞、CAL62细胞

NE-4C Cells;背景说明:神经干 Cells;传代方法:1:2-1:3传代;每周换液2-3次。;生长特性:贴壁;形态特性:详见产品说明书;相关产品有:PK-136细胞、rRMECs细胞、NuTu-19细胞

CAL78 Cells;背景说明:软骨肉瘤;男性;传代方法:1:2-1:3传代;每周换液2-3次。;生长特性:贴壁;形态特性:详见产品说明书;相关产品有:MFE-296细胞、Hs 737.T细胞、OEC19细胞

JC Cells;背景说明:乳腺癌;雌性;BALB/c;传代方法:1:2-1:3传代;每周换液2-3次。;生长特性:贴壁;形态特性:详见产品说明书;相关产品有:NCI H157细胞、THEECs细胞、MDCKII-WT细胞

G422 Cells;背景说明:1964年建株;甲基胆蒽植入Km小鼠脑内诱发星形细胞瘤,传至第120代后转为胶质细胞瘤;瘤细胞悬液同系小鼠皮下、肌肉、脑内移植,成功率皆100%。肌肉及脑内移植可形成较规律的移植性瘤株,存活时间脑内型15.9±4.8天;肌肉型20.3±6.6天。;传代方法:1:2传代;生长特性:体内生长;形态特性:实体瘤;相关产品有:SKGT2细胞、B16F1细胞、H-2170细胞

CSQT-2 Cells;背景说明:肝癌;男性;传代方法:1:2-1:3传代;每周换液2-3次。;生长特性:贴壁;形态特性:详见产品说明书;相关产品有:Blotchy fibroblast-11细胞、COR-L88细胞、BT-474细胞

HOSEpiC Cells;背景说明:卵巢;上皮 Cells;传代方法:1:2-1:3传代;每周换液2-3次。;生长特性:贴壁;形态特性:详见产品说明书;相关产品有:Toledo细胞、Hs-27细胞、P-36细胞

NIH:OVCAR4 Cells;背景说明:详见相关文献介绍;传代方法:1:2-1:3传代;每周换液2-3次。;生长特性:贴壁或悬浮,详见产品说明书部分;形态特性:详见产品说明书;相关产品有:Ly8细胞、CHL-1细胞、DK-MG细胞

COLO-HSR Cells;背景说明:该细胞1984年建系,源自一位33岁患有大肠腺癌男性经5-fu治疗后的腹水。;传代方法:1:2传代。3天内可长满。;生长特性:半贴壁生长;形态特性:详见产品说明书;相关产品有:H.Ep. #2细胞、HOC1细胞、rRTEC细胞

NCIH596 Cells;背景说明:详见相关文献介绍;传代方法:1:4-1:8传代;每周换液2-3次。;生长特性:贴壁生长;形态特性:上皮样;相关产品有:Tu-212细胞、NCIH2066细胞、CL1细胞

HSC-2人口腔鳞状肿瘤细胞实验室|已有STR图谱

Abcam A-549 MAVS KO Cells(提供STR鉴定图谱)

Abcam U2OS PRAME KO Cells(提供STR鉴定图谱)

BayGenomics ES cell line CSG243 Cells(提供STR鉴定图谱)

BayGenomics ES cell line RRU047 Cells(提供STR鉴定图谱)

BayGenomics ES cell line YTC622 Cells(提供STR鉴定图谱)

CHO TSHR-WT Cells(提供STR鉴定图谱)

DA02428 Cells(提供STR鉴定图谱)

EpH4 1424.2 Cells(提供STR鉴定图谱)

GM06110 Cells(提供STR鉴定图谱)

NCI-H2029 Cells;背景说明:详见相关文献介绍;传代方法:1:3-1:5传代;;生长特性:贴壁生长;形态特性:详见产品说明书;相关产品有:Ku812细胞、P30 OHK细胞、SK-NEP-1细胞

BNL 1ME A.7R.1 Cells;背景说明:肝;上皮细胞;BALB/c;传代方法:1:2-1:3传代;每周换液2-3次。;生长特性:贴壁;形态特性:详见产品说明书;相关产品有:HCC2218细胞、SW 1573细胞、COLO 684细胞

Co-115 Cells;背景说明:结肠腺癌;女性;传代方法:1:2-1:3传代;每周换液2-3次。;生长特性:贴壁;形态特性:详见产品说明书;相关产品有:RIN Cl-5F细胞、HCT-FET细胞、MDAMB415细胞

Hs 729 Cells;背景说明:详见相关文献介绍;传代方法:1:2传代;每周换液2-3次。;生长特性:贴壁生长;形态特性:成纤维细胞;相关产品有:SK Hep1细胞、YES-2细胞、JB-6 Cl 30细胞

alphaTC clone 6 Cells;背景说明:胰岛素瘤;a细胞;C57BL/6xDBA/2;传代方法:1:2-1:3传代;每周换液2-3次。;生长特性:贴壁;形态特性:详见产品说明书;相关产品有:L细胞、PK(15)细胞、Hs 683.T细胞

SW780 Cells;背景说明:详见相关文献介绍;传代方法:1:2-1:3传代;每周换液2-3次。;生长特性:贴壁或悬浮,详见产品说明书部分;形态特性:详见产品说明书;相关产品有:TOV-21G细胞、EB3 [Human Burkitt lymphoma]细胞、Vero E6细胞

SSP-25 Cells;背景说明:肝内胆管癌;女性;传代方法:1:2-1:3传代;每周换液2-3次。;生长特性:贴壁;形态特性:详见产品说明书;相关产品有:NIH 3T3细胞、MDCK细胞、MCF10-A细胞

HUSMC Cells;背景说明:子宫;平滑肌细胞;女性;传代方法:1:2-1:3传代;每周换液2-3次。;生长特性:贴壁;形态特性:详见产品说明书;相关产品有:H-847细胞、Hep G2细胞、COLO 320F细胞

P3X63 Ag8 Cells;背景说明:详见相关文献介绍;传代方法:1:2-1:3传代;每周换液2-3次。;生长特性:贴壁或悬浮,详见产品说明书部分;形态特性:详见产品说明书;相关产品有:H-2291细胞、FCCH1024细胞、SU-DHL6细胞

Chinese Hamster Lung Cells;背景说明:广泛应用于染色体异常测试。;传代方法:1:2-1:3传代;每周换液2-3次。;生长特性:贴壁;形态特性:上皮细胞样;相关产品有:H-1568细胞、PNT1-a细胞、COLO-320-DM细胞

Hep II Cells;背景说明:最初认为这个细胞源自喉上皮癌,但随后通过同功酶分析、HeLa标记染色体和DNA指纹分析发现,起源细胞已被HeLa污染。 角蛋白免疫过氧化物酶染色阳性。;传代方法:1:2传代;生长特性:贴壁生长;形态特性:上皮细胞样;相关产品有:NCIH1581细胞、Anglne细胞、MHCCLM3细胞

IPLB-SF 21AE Cells;背景说明:详见相关文献介绍;传代方法:1:2-1:3传代;每周换液2-3次。;生长特性:贴壁或悬浮,详见产品说明书部分;形态特性:详见产品说明书;相关产品有:SKO3细胞、Intestinal Porcine Epithelial Cell line-J2细胞、HCC-2108细胞

B10BR Cells;背景说明:永生化黑素 Cells;传代方法:1:2-1:3传代;每周换液2-3次。;生长特性:贴壁;形态特性:详见产品说明书;相关产品有:NCI-H838细胞、OVCA5细胞、IPEC-1细胞

Mel-624 Cells;背景说明:黑色素瘤;男性;传代方法:1:2-1:3传代;每周换液2-3次。;生长特性:贴壁;形态特性:详见产品说明书;相关产品有:CCK81细胞、OCI-Ly8细胞、KYSE-30细胞

Panc_05_04 Cells;背景说明:详见相关文献介绍;传代方法:1:2传代;生长特性:贴壁生长;形态特性:上皮样;相关产品有:JIMT1细胞、H2172细胞、McARH7777细胞

GM10706 Cells(提供STR鉴定图谱)

HAP1 CDCA2 (-) 1 Cells(提供STR鉴定图谱)

SN12C Cells;背景说明:详见相关文献介绍;传代方法:2x10^4 cells/ml;生长特性:贴壁生长;形态特性:上皮细胞样;相关产品有:H727细胞、D283-MED细胞、TJ905细胞

COLO680N Cells;背景说明:详见相关文献介绍;传代方法:1:2-1:3传代;每周换液2-3次。;生长特性:贴壁或悬浮,详见产品说明书部分;形态特性:详见产品说明书;相关产品有:CCC-HSF-1细胞、SNU182细胞、LS411N细胞

HONE-1 Cells;背景说明:鼻咽癌;男性;传代方法:1:2-1:3传代;每周换液2-3次。;生长特性:贴壁;形态特性:详见产品说明书;相关产品有:PG-4 S+L-细胞、GM05372E细胞、H1522细胞

SRA01/04 Cells;背景说明:晶状体;上皮细胞;SV40转化;男性;传代方法:1:2-1:3传代;每周换液2-3次。;生长特性:贴壁;形态特性:详见产品说明书;相关产品有:SUM-149PT细胞、MAEC细胞、Colo-201细胞

HASMC Cells;背景说明:详见相关文献介绍;传代方法:1:2-1:3传代;每周换液2-3次。;生长特性:贴壁或悬浮,详见产品说明书部分;形态特性:详见产品说明书;相关产品有:HOS TE 85细胞、LIPF178C细胞、OCI Ly1细胞

C 6 Cells;背景说明:胶质细胞株C6是由Benda等用N-nitrosomethylurea诱导的大鼠胶质瘤克隆,并经过一系列的体外培养和动物传代交替后建成的。 当细胞从低密度生长到满瓶时,S-100产量增加10倍。;传代方法:1:2传代;生长特性:贴壁生长;形态特性:上皮细胞样;相关产品有:3T3-L1细胞、NT2D1细胞、Factor Dependent Continuous-Paterson 1细胞

EFM192B Cells;背景说明:详见相关文献介绍;传代方法:1:2-1:3传代;每周换液2-3次。;生长特性:贴壁或悬浮,详见产品说明书部分;形态特性:详见产品说明书;相关产品有:COLO-394细胞、NCI-H2227细胞、Helacyton gartleri细胞

HCEC-B4G12 Cells;背景说明:角膜;内皮细胞;SV40转化;女性;传代方法:1:2-1:3传代;每周换液2-3次。;生长特性:贴壁;形态特性:详见产品说明书;相关产品有:AX-Mel细胞、MNNG细胞、H-1975细胞

HG03931 Cells(提供STR鉴定图谱)

IM-HM-tGFP Cells(提供STR鉴定图谱)

LU-HNSCC-3 Cells(提供STR鉴定图谱)

ND01950 Cells(提供STR鉴定图谱)

PCI-10 [Human HNSCC] Cells(提供STR鉴定图谱)

UCSD093i-1-11 Cells(提供STR鉴定图谱)

ZR-75-1 XII-2 Cells(提供STR鉴定图谱)

HAP1 USP16 (-) 2 Cells(提供STR鉴定图谱)

293 F Cells;背景说明:详见相关文献介绍;传代方法:1:2传代;生长特性:贴壁生长;悬浮生长;形态特性:上皮细胞样;相关产品有:Huh-7.5.1细胞、RS4-11细胞、U87细胞

BHP 10-3 Cells;背景说明:甲状腺乳头状癌;女性;传代方法:1:2-1:3传代;每周换液2-3次。;生长特性:贴壁;形态特性:详见产品说明书;相关产品有:W133细胞、Jurkat clone A3细胞、RPMI 1788细胞

Karpas-422 Cells;背景说明:详见相关文献介绍;传代方法:1:2-1:3传代;每周换液2-3次。;生长特性:贴壁或悬浮,详见产品说明书部分;形态特性:详见产品说明书;相关产品有:Colon 38细胞、T.T细胞、Caco-2/ATCC细胞

PVEC Cells;背景说明:详见相关文献介绍;传代方法:1:2-1:3传代;每周换液2-3次。;生长特性:贴壁或悬浮,详见产品说明书部分;形态特性:详见产品说明书;相关产品有:L-5178-Y细胞、MDAMB453细胞、HeLaS3细胞

NCI-SNU-668 Cells;背景说明:详见相关文献介绍;传代方法:1:2传代;生长特性:贴壁或悬浮,详见产品说明书部分;形态特性:详见产品说明书;相关产品有:B16-BL6细胞、PATU-S细胞、L2细胞

AD293 Cells;背景说明:详见相关文献介绍;传代方法:1:2传代;生长特性:贴壁生长;形态特性:详见产品说明书;相关产品有:T-T细胞、MV4:11细胞、ID8/MOSEC细胞

MC3T3-E1 Subclone 24 Cells;背景说明:详见相关文献介绍;传代方法:1:2-1:3传代;每周换液2-3次。;生长特性:贴壁或悬浮,详见产品说明书部分;形态特性:详见产品说明书;相关产品有:H1666_DA细胞、526mel细胞、Lung cancer-1/squamous细胞

Granta 519 Cells;背景说明:详见相关文献介绍;传代方法:1:2-1:3传代;每周换液2-3次。;生长特性:贴壁或悬浮,详见产品说明书部分;形态特性:详见产品说明书;相关产品有:HET-1A细胞、J 774A.1细胞、Central Adrenergic TH-expressing a细胞

FHL-124 Cells;背景说明:晶状体上皮;自发永生;传代方法:1:2-1:3传代;每周换液2-3次。;生长特性:贴壁;形态特性:详见产品说明书;相关产品有:SK-MEL3细胞、SkChA-1细胞、LUDLU1细胞

H-820 Cells;背景说明:乳头状肺腺癌;淋巴结转移;男性;传代方法:1:2-1:3传代;每周换液2-3次。;生长特性:贴壁;形态特性:详见产品说明书;相关产品有:PC-3M IE8细胞、HNE-2细胞、Onda 11细胞

A-673 Cells;背景说明:详见相关文献介绍;传代方法:消化3-5分钟。1:2。3天内可长满。;生长特性:贴壁生长;形态特性:成纤维细胞;相关产品有:NCI-H2085细胞、Biopsy xenograft of Pancreatic Carcinoma line-3细胞、KG-1a细胞

AAV-293 Cells;背景说明:我们推荐使用AAV-293细胞株繁殖腺病毒相关重组病毒。 AAV-293源自普遍使用的 HEK293细胞株,但产生的病毒滴度更高。 HEK293细胞是剪切过的腺病毒5型DNA转染的人胚肾细胞。 跟HEK293细胞一样,AAV-293细胞反式表达腺病毒E1基因,当共转染三个AAV助质粒(一个含ITR的质粒,pAAV-RC, 和E1缺失助质粒)时,可以产生有感染力的腺病毒-相关病毒颗粒。;传代方法:消化3-5分钟。1:2。3天内可长满。;生长特性:贴壁生长;形态特性:上皮细胞;相关产品有:P19细胞、A1847细胞、HECV细胞

Kit225 Cells;背景说明:详见相关文献介绍;传代方法:1:2-1:3传代;每周换液2-3次。;生长特性:贴壁或悬浮,详见产品说明书部分;形态特性:详见产品说明书;相关产品有:SK-N-BE(2)-M17细胞、CAL-27细胞、NCIH2107细胞

M-07e Cells;背景说明:详见相关文献介绍;传代方法:1:2-1:3传代;每周换液2-3次。;生长特性:贴壁或悬浮,详见产品说明书部分;形态特性:详见产品说明书;相关产品有:KP-2细胞、TGW-nu-1细胞、NCI-H2108细胞

Mel624 Cells;背景说明:黑色素瘤;男性;传代方法:1:2-1:3传代;每周换液2-3次。;生长特性:贴壁;形态特性:详见产品说明书;相关产品有:NCIH847细胞、CAL 148细胞、SK Mel 24细胞

SCRP4602i Cells(提供STR鉴定图谱)

Sp2/O Cells;背景说明:该细胞是由绵羊红细胞免疫的BALB/c小鼠脾细胞和P3X63Ag8骨髓瘤细胞融合得到的。该细胞不分泌免疫球蛋白,对20μg/ml的8-氮鸟嘌呤有抗性,对HAT比较敏感;该细胞可以作为细胞融合时的B细胞组分用于制备杂交瘤;鼠痘病毒阴性。;传代方法:1:2传代;生长特性:悬浮生长;形态特性:淋巴母细胞样;圆形;相关产品有:X63-AG 8.653细胞、OUMS-23细胞、SCC4细胞

HSC-2人口腔鳞状肿瘤细胞实验室|已有STR图谱

WERIRb1 Cells;背景说明:WERI-Rb-I细胞株是1974年R.M. McFall 和 T.W. Sery建立的两株人眼癌细胞系中的一株。 细胞能在Difco Bacto-Agar中存活但不形成克隆。 扫描电镜显示在表面囊泡,板状伪足和微绒毛在数量上和频率上的改变。 细胞分化研究,肿瘤治疗的动物模型和生化评价都涉及这株细胞。;传代方法:消化3-5分钟。1:2。3天内可长满。;生长特性:贴壁生长;形态特性:圆形细胞聚集成葡萄状;相关产品有:Clone 15 HL-60细胞、HCC0070细胞、Ly18细胞

TE 32 Cells;背景说明:详见相关文献介绍;传代方法:1:2-1:4传代,3-4天换液1次。;生长特性:贴壁生长;形态特性:梭型和大的多核细胞;相关产品有:Pro-5 Lec1.3c细胞、T-ALL 1细胞、NCI-H23细胞

SNU-484 Cells;背景说明:详见相关文献介绍;传代方法:1:2传代;生长特性:贴壁或悬浮,详见产品说明书部分;形态特性:详见产品说明书;相关产品有:T.T细胞、KTC-1细胞、EBNA293细胞

TALL1 Cells;背景说明:该细胞源于一名复发T-ALL(急性T淋巴细胞性白血病)的儿童的外周血;具有很强的细胞毒性,体内体外实验中都能破坏肿瘤细胞;IL-2可使细胞更好地生长;α/β TCR阳性,γ/δ TCR阴性;可产生IFNγ、TNF-α和GM-CSF。;传代方法:维持细胞密度在4×105-1×106 cells/ml之间,2-3天换液1次 ;生长特性:悬浮生长;形态特性:淋巴母细胞;相关产品有:VERO76细胞、293-H细胞、SHZ-88细胞

G-402 Cells;背景说明:详见相关文献介绍;传代方法:1:2-1:6传代,每周2-3次。;生长特性:贴壁生长;形态特性:上皮细胞样;相关产品有:FU-MMT-1细胞、NCI-H2141细胞、MGH-U1 (EJ)细胞

TE-7 Cells;背景说明:食管鳞癌;男性;传代方法:1:2-1:3传代;每周换液2-3次。;生长特性:贴壁;形态特性:详见产品说明书;相关产品有:Human Intestinal Epithelial Cell-6细胞、MGH-UI细胞、H2291细胞

Nb 2 Cells;背景说明:恶性淋巴瘤;雄性;Nb;传代方法:1:2-1:3传代;每周换液2-3次。;生长特性:悬浮;形态特性:详见产品说明书;相关产品有:3T3F442A细胞、A-549细胞、G401细胞

EJ1 Cells;背景说明:详见相关文献介绍;传代方法:1:2-1:3传代;每周换液2-3次。;生长特性:贴壁或悬浮,详见产品说明书部分;形态特性:详见产品说明书;相关产品有:SUDHL2细胞、OVCA 433细胞、SW-1463细胞

COR-L26 Cells;背景说明:详见相关文献介绍;传代方法:1:2-1:3传代;每周换液2-3次。;生长特性:贴壁或悬浮,详见产品说明书部分;形态特性:详见产品说明书;相关产品有:EJ 138细胞、KASUMI1细胞、NCI-Hut 125细胞

LTPA Cells;背景说明:详见相关文献介绍;传代方法:1:2传代;生长特性:贴壁生长;形态特性:上皮样;相关产品有:NCIH244细胞、MyLa2059细胞、H69C细胞

GM2132 Cells;背景说明:来源于一位61岁的男性浆细胞瘤患者;可产生免疫球蛋白轻链,未检测到重链。;传代方法:按1:2传代,5-6小时可以看到细胞分裂;生长特性:悬浮生长;形态特性:淋巴母细胞样;相关产品有:CCD 841 CoTr细胞、Sf21细胞、NOZAWA细胞

C2A Cells;背景说明:详见相关文献介绍;传代方法:每周两次换液;生长特性:松散附着、多单元的聚合;形态特性:上皮细胞样;相关产品有:RBE4细胞、H820细胞、HUT-28细胞

1E8-H Cells;背景说明:前列腺癌;男性;传代方法:1:2-1:3传代;每周换液2-3次。;生长特性:贴壁;形态特性:详见产品说明书;相关产品有:Y3-Ag 1.2.3细胞、SK.MEL.28细胞、MD Anderson-Metastatic Breast-175-VIII细胞

BayGenomics ES cell line RRN096 Cells(提供STR鉴定图谱)

BayGenomics ES cell line YHA146 Cells(提供STR鉴定图谱)

H1L6.1c3 Cells(提供STR鉴定图谱)

P3K Cells(提供STR鉴定图谱)

Ac2F Cells(提供STR鉴定图谱)

HOB1/VCR1.0 Cells(提供STR鉴定图谱)

"



HSC-2人口腔鳞状肿瘤细胞实验室|已有;传代细胞;复苏细胞;实验细胞;科研细胞;

公司简介

上海冠导生物工程有限公司,先后从ATCC、DSMZ、ECACC、RIKEN、PromoCell、ScienCell、JCRB等国内外细胞库引进细胞2000余株。以此为契机,公司组建了冠导细胞库,我司细胞均由资深细胞培养工程师进行培养。我司可以提供的细胞有:①细胞系②原代细胞③稳转株④耐药株⑤标记细胞⑥细胞配套试剂等。

成立日期 (11年)
注册资本 100万(元)
员工人数 50-100人
年营业额 ¥ 1000万-5000万
经营模式 工厂,试剂,定制,服务
主营行业 细胞培养,微生物学,细胞生物学

HSC-2人口腔鳞状肿瘤细胞实验室|已有STR图谱相关厂家报价 更多

内容声明
拨打电话 立即询价