基本信息 产品详情 公司简介 推荐产品
网站主页 MEL CELLS小鼠红白血病细胞系(提供STR图谱) MEL小鼠红白血病细胞新批次|培养基|送STR图谱
  • MEL小鼠红白血病细胞新批次|培养基|送STR图谱
  • MEL小鼠红白血病细胞新批次|培养基|送STR图谱
  • MEL小鼠红白血病细胞新批次|培养基|送STR图谱

1/3

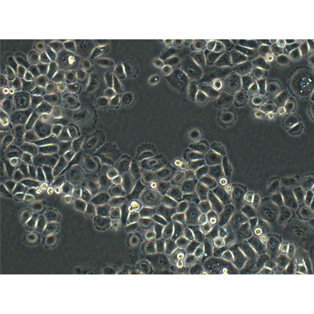
MEL小鼠红白血病细胞新批次|培养基|送STR图谱

MEL cells
询价 1000000Cells/瓶 起订
2000000Cells/瓶 起订
上海 更新日期:2025-12-31

上海宾穗生物科技有限公司

非会员
联系人:刘***
电话:183***
手机:183***
邮箱:129***

产品详情:

中文名称:
MEL小鼠红白血病细胞新批次|培养基|送STR图谱
英文名称:
MEL cells
品牌:
ATCC、DSMZ等
产地:
美国、欧洲、德国等
保存条件:
低温避光
纯度规格:
MEL小鼠红白血病细胞新批次|培养基|送STR图谱
产品类别:
ATCC细胞库
种属:
详见细胞说明书
组织:
详见细胞说明书
细胞系:
详见细胞说明书
细胞形态:
详见细胞说明书
生长状态:
详见细胞说明书
靶点:
详见细胞说明书
应用:
详见细胞说明书
货号:
详见细胞说明书
规格:
1*10^6cells/T25(1瓶)或1ml冻存管(2支)
是否进口:
来源ATCC、DSMZ、ECACC等细胞库
组织来源:
详见细胞说明书
是否是肿瘤细胞:
详见细胞说明书
器官来源:
详见细胞说明书
品系:
详见细胞说明书
免疫类型:
详见细胞说明书
物种来源:
人源或其它动物来源等
保质期:
可长期保存(液氮低温冻存)

"MEL小鼠红白血病细胞新批次|培养基|送STR图谱

传代比例:1:2-1:4(首次传代建议1:2)

生长特性:悬浮生长

换液周期:每周2-3次

背景信息:详见相关文献介绍

MEL小鼠红白血病细胞新批次|培养基|送STR图谱

┈订┈购(技术服务)┈热┈线:1┈3┈6┈4┈1┈9┈3┈0┈7┈9┈1【微信同号】┈Q┈Q:3┈1┈8┈0┈8┈0┈7┈3┈2┈4;

在细胞培养操作中,每一个步骤都可能影响细胞系的命运。有时,细胞换液后突然死亡,这让科研人员困惑不已。那么,究竟是什么原因导致了这种情况呢?首先,换液操作过程中的不当处理是一个常见因素。例如,使用的移液器如果没有校准准确,吸取或添加培养液的量过多或过少,都可能使细胞所处的环境渗透压发生变化。细胞在渗透压失衡的环境中,水分子会快速进出细胞,导致细胞肿胀或皱缩,最终死亡。此外,如果在吸取旧培养液时过于靠近细胞层,容易造成细胞的机械性损伤,破坏细胞的完整性,使其无法维持正常的生理功能。其次,培养液的成分和质量也至关重要。新配制的培养液若在成分比例上出现偏差,如某些营养物质浓度过高或过低,可能无法满足细胞的生长需求,导致细胞因营养缺乏或中毒而死亡。而且,培养液若在储存或处理过程中受到污染,从而迅速致使细胞死亡。再者,培养环境的变化不容忽视。换液时,比如,温度过高会使细胞内蛋白质变性,温度过低则会降低细胞的活性和代谢速率;二氧化碳浓度的改变会影响培养液的酸碱度,进而干扰细胞的正常生理活动。所以细胞换液后死亡是多种因素综合作用的结果。

GC-2spd(ts) Cells;背景说明:精母细胞;SV40转化;BALB/c;传代方法:1:2-1:3传代;每周换液2-3次。;生长特性:贴壁;形态特性:详见产品说明书;相关产品有:Lilly Laboratories Cell-Monkey Kidney 2细胞、TMD8细胞、SKNBE-1细胞

HBZY1 Cells;背景说明:详见相关文献介绍;传代方法:1:2传代;生长特性:贴壁生长;形态特性:上皮细胞样;相关产品有:VeroE6细胞、Mac-1细胞、LS 174T细胞

Anglne Cells;背景说明:详见相关文献介绍;传代方法:1:2-1:3传代;每周换液2-3次。;生长特性:贴壁或悬浮,详见产品说明书部分;形态特性:详见产品说明书;相关产品有:COC1/CDDP细胞、HO-8910 PM细胞、GM03573细胞

HARA-B Cells;背景说明:详见相关文献介绍;传代方法:1:2-1:3传代;每周换液2-3次。;生长特性:贴壁或悬浮,详见产品说明书部分;形态特性:详见产品说明书;相关产品有:HUCCT1细胞、MARC145细胞、DR2R1610细胞

产品包装:复苏发货:T25培养瓶(一瓶)或冻存发货:1ml冻存管(两支)

来源说明:细胞主要来源ATCC、ECACC、DSMZ、RIKEN等细胞库

细胞常规培养传代流程(请严格遵照无菌操作):1)吸出原培养瓶中的培养基,PBS缓冲润洗细胞两次,加2-3ml 0.25%胰酶进行消化细胞(注意把握消化时间,通常控制在1-2min);2)镜下观察消化情况,在细胞边缘缩小,贴壁松动时(不建议消化到细胞漂浮)去掉胰酶,加6-8ml完全培养基,轻轻吹打细胞层,尽量把细胞层吹落,吹散;3)取部分细胞悬转移到新的培养皿/瓶中,添加适当的完全培养基,把细胞悬打匀,于培养箱中培养;4)注意培养基PH值变化情况,定期换(每周2-3次),待细胞密度达到80%以后重复1项操作或者冻存;别注意:(如使用公共实验室或者初次接触细胞培养,建议添加双抗培养)1)收到细胞后请尽快更换为含15%血清的新鲜培养基,如因殊情况需要继续使用原瓶,请在原瓶培养基中额外添加10%的血清,(原瓶培养基的继续使用时间Zui长不宜超过72小时);2)贴壁细胞收到当天切忌立刻消化,请将细胞换后放置培养箱孵育到第二天再做消化传代,请YOU先选择直径6cm的培养皿进行传代培养;3)如签收时出现培养瓶壁破裂,漏等情况请及时做HAO照片记录并联系实验室。

物种来源:人源、鼠源等其它物种来源

Panc10.05 Cells;背景说明:详见相关文献介绍;传代方法:1:2传代;生长特性:贴壁生长;形态特性:上皮样;相关产品有:MUGCHOR1细胞、MLE-12细胞、Japanese Tissue Culture-28细胞

HSC-5 [Human skin squamous cell carcinoma] Cells;背景说明:皮肤鳞癌;男性;传代方法:1:2-1:3传代;每周换液2-3次。;生长特性:贴壁;形态特性:详见产品说明书;相关产品有:Y3M细胞、HPAF2细胞、MLM细胞

M-14 Cells;背景说明:详见相关文献介绍;传代方法:1:3传代;生长特性:混合生长;形态特性:详见产品说明书;相关产品有:SW626细胞、NIH 3T6细胞、BNL-CL.2细胞

MEL小鼠红白血病细胞新批次|培养基|送STR图谱

┈订┈购(技术服务)┈热┈线:1┈3┈6┈4┈1┈9┈3┈0┈7┈9┈1【微信同号】┈Q┈Q:3┈1┈8┈0┈8┈0┈7┈3┈2┈4;

形态特性:淋巴母细胞样

贴壁细胞(adherent cells):该类细胞的生长必须有可以贴附的支持物表面,细胞依靠自身分泌的或培养基中提供的贴附因子才能在该表面上生长,繁殖;当细胞在该表面生长后,一般形成两种形态,即成纤维样细胞性或上皮样细胞;其生长过程分为游离期、贴壁期、潜伏期、对数期、平台期和衰退期。悬浮细胞(suspension cell):不贴附于生长物,细胞呈圆形,呈单个细胞或者细小细胞团,悬浮细胞生长空间大,传代方便,能够大量增殖。

SVEC 4-10 Cells;背景说明:详见相关文献介绍;传代方法:1:2-1:3传代;每周换液2-3次。;生长特性:贴壁或悬浮,详见产品说明书部分;形态特性:详见产品说明书;相关产品有:H-711细胞、RMG-1细胞、GLC-82细胞

SW-620 Cells;背景说明:SW620是从一个51岁男性白人组织中分离得到。由A.Leibovitz等从一个淋巴结建株。细胞系主要由无绒毛的小园球细胞和双极细胞组成。它仅合成少量癌胚抗原(CEA)且在裸鼠中有高度的致瘤性;传代方法:1:3传代,2-3天换液一次;生长特性:贴壁生长;形态特性:上皮样;相关产品有:COR-L51细胞、CHO/dhFr-细胞、SW1088细胞

TKB-1 Cells;背景说明:详见相关文献介绍;传代方法:1:2-1:3传代;每周换液2-3次。;生长特性:贴壁或悬浮,详见产品说明书部分;形态特性:详见产品说明书;相关产品有:Human Embryo Lung-1细胞、AMC-HN-8细胞、KYSE270细胞

A375-MEL Cells;背景说明:A375源自一位54岁女性,是Giard DJ等人建立的一系列细胞株中的一株。该细胞可在免疫抑制小鼠上成瘤,在琼脂上形成克隆。;传代方法:1:2-1:3传代;每周换液2-3次。;生长特性:贴壁;形态特性:上皮细胞样;相关产品有:Hs 746.T细胞、SKLU-1细胞、Porcine Kidney-15细胞

NCIH526 Cells;背景说明:详见相关文献介绍;传代方法:每周换液2-3次。;生长特性:悬浮生长 ;形态特性:上皮细胞;相关产品有:Panc8.13细胞、WERI Rb-1细胞、ATC241细胞

J45.01 Cells;背景说明:急性T淋巴细胞白血病;男性;传代方法:1:2-1:3传代;每周换液2-3次。;生长特性:悬浮;形态特性:详见产品说明书;相关产品有:H-87细胞、Mesothelial cells transfected with pRSV-T 5A细胞、KYSE0030细胞

Mouse Bladder Tumor line-2 Cells;背景说明:膀胱移行细胞癌;C3H/He;传代方法:1:2-1:3传代;每周换液2-3次。;生长特性:贴壁;形态特性:详见产品说明书;相关产品有:NPA87-1细胞、Porcine Kidney-15细胞、IPLB-SF-21细胞

RCK-8 Cells;背景说明:弥漫大B淋巴瘤;腹腔转移;男性;传代方法:1:2-1:3传代;每周换液2-3次。;生长特性:悬浮;形态特性:详见产品说明书;相关产品有:University of Arizona Cell Culture-893细胞、WC00079细胞、RPMI 7666细胞

A-101D Cells;背景说明:详见相关文献介绍;传代方法:1:4-1:6传代,2-3天换液1次。;生长特性:贴壁生长;形态特性:上皮细胞;相关产品有:OCI/AML-3细胞、FRTL-5 Cl 2细胞、TE-15细胞

Roswell Park Memorial Institute 6666 Cells;背景说明:详见相关文献介绍;传代方法:1:2-1:3传代;每周换液2-3次。;生长特性:贴壁或悬浮,详见产品说明书部分;形态特性:详见产品说明书;相关产品有:BC-019细胞、UM2细胞、LU-65M细胞

A2780CP Cells;背景说明:卵巢癌;女性;传代方法:1:2-1:3传代;每周换液2-3次。;生长特性:贴壁;形态特性:详见产品说明书;相关产品有:SNK6细胞、HRIF细胞、H508细胞

PC.3 Cells;背景说明:PC-3源于一位62岁白人男性IV级前列腺腺癌患者的骨转移灶;有低水平的酸性酶活性和5-α-睾酮还原酶活性。;传代方法:消化3-5分钟,1:2,3天内可长满;生长特性:贴壁生长,在软琼脂中成簇生长,并可悬浮生长;形态特性:上皮样;相关产品有:SK-NM-C细胞、AZ 521细胞、SK-NM-C细胞

OVCA-433 Cells;背景说明:卵巢癌;女性;传代方法:1:2-1:3传代;每周换液2-3次。;生长特性:贴壁;形态特性:详见产品说明书;相关产品有:HOS细胞、NCC-IT细胞、Bowes melanoma cells细胞

Rat Fetal Lung-6 Cells;背景说明:胚肺;成纤维细胞;SD大鼠;传代方法:1:2-1:3传代;每周换液2-3次。;生长特性:贴壁;形态特性:详见产品说明书;相关产品有:JB6 [Mouse]细胞、HUV-EC-C细胞、SK-MEL-2细胞

NCI-H2126 Cells;背景说明:详见相关文献介绍;传代方法:1:2-1:4传代,每周2-3次。;生长特性:贴壁生长;形态特性:上皮细胞样;相关产品有:NCIH1651细胞、BNL-HCC细胞、H-441细胞

NCI-H1437 Cells;背景说明:详见相关文献介绍;传代方法:1:2-1:6传代,每周换液2次。;生长特性:贴壁生长;形态特性:上皮样;相关产品有:H2141细胞、MV 3细胞、KBM-7/Hap8细胞

Rabbit Kidney 13 Cells;背景说明:详见相关文献介绍;传代方法:1:2-1:3传代;每周换液2-3次。;生长特性:贴壁或悬浮,详见产品说明书部分;形态特性:详见产品说明书;相关产品有:NCIH1650细胞、A2780CP70细胞、SK-N-BE2C细胞

┈订┈购(技术服务)┈热┈线:1┈3┈6┈4┈1┈9┈3┈0┈7┈9┈1【微信同号】┈Q┈Q:3┈1┈8┈0┈8┈0┈7┈3┈2┈4;

2C4 gamma1A Cells(提供STR鉴定图谱)

Abcam HeLa SLC39A1 KO Cells(提供STR鉴定图谱)

AG28041 Cells(提供STR鉴定图谱)

BayGenomics ES cell line RRI390 Cells(提供STR鉴定图谱)

BayGenomics ES cell line XH856 Cells(提供STR鉴定图谱)

C2128 Cells(提供STR鉴定图谱)

DA00127 Cells(提供STR鉴定图谱)

DA05963 Cells(提供STR鉴定图谱)

GM00361 Cells(提供STR鉴定图谱)

DHL8 Cells;背景说明:弥漫大B淋巴瘤;腹腔积液转移;男性;传代方法:1:2-1:3传代;每周换液2-3次。;生长特性:悬浮;形态特性:详见产品说明书;相关产品有:Rat Chondrosarcoma Swarm细胞、Hu-P-T4细胞、SBC5细胞

SK MEL 5 Cells;背景说明:详见相关文献介绍;传代方法:1:3-1:6传代,2-3天换液1次。;生长特性:贴壁生长;形态特性:星形的;相关产品有:OVCA 420细胞、AKR细胞、Case 3细胞

MC-3T3-E1 Cells;背景说明:该细胞有多个亚克隆,可以作为体外研究成骨细胞分化的良好模型,尤其是ECM信号通路的作用。;传代方法:1:2传代;生长特性:贴壁生长;形态特性:成纤维细胞样;相关产品有:NUGC-4细胞、Mo 59J细胞、NCI-SNU-182细胞

BSC40 Cells;背景说明:肾;自发永生;传代方法:1:2-1:3传代;每周换液2-3次。;生长特性:贴壁;形态特性:详见产品说明书;相关产品有:J 82细胞、HCC-1599细胞、751-NA细胞

JB 6 Cells;背景说明:表皮;自发永生;BALB/c;传代方法:1:2-1:3传代;每周换液2-3次。;生长特性:贴壁;形态特性:详见产品说明书;相关产品有:H1417细胞、16-HBE细胞、FC33细胞

PC10 Cells;背景说明:详见相关文献介绍;传代方法:1:2-1:3传代;每周换液2-3次。;生长特性:贴壁或悬浮,详见产品说明书部分;形态特性:详见产品说明书;相关产品有:MIMVEC细胞、BNCL2细胞、NCI-H2106细胞

296B11 Cells(提供STR鉴定图谱)

NOK Cells;背景说明:鳞状上皮;传代方法:1:2-1:3传代;每周换液2-3次。;生长特性:贴壁;形态特性:详见产品说明书;相关产品有:Biologics Standards-Cercopithecus-1细胞、RPMI 1846细胞、DoHH2细胞

CHO/dhFr- Cells;背景说明:该细胞为二叶酸还原酶缺陷型;培养基中没有HT(次黄嘌呤-胸腺嘧啶)时,该细胞会死亡;培养基中加入甲喋呤可以防止对该药物具有低抵抗性的回变细胞的生长;可作转染宿主。;传代方法:消化3-5分钟。1:2。3天内可长满。;生长特性:贴壁生长;形态特性:上皮样;相关产品有:MDBK细胞、NOK细胞、HT 115细胞

624 Cells;背景说明:黑色素瘤;男性;传代方法:1:2-1:3传代;每周换液2-3次。;生长特性:贴壁;形态特性:详见产品说明书;相关产品有:MCMEC细胞、D10.G4.1细胞、CMT 64细胞

HT 144 Cells;背景说明:详见相关文献介绍;传代方法:1:3-1:8传代,2-3天换液1次。;生长特性:贴壁生长;形态特性:成纤维细胞;相关产品有:CNE1-LUC细胞、UMC-11细胞、PC-9细胞

CT26.CL25 Cells;背景说明:结肠癌; BALB/c;传代方法:1:2-1:3传代;每周换液2-3次。;生长特性:贴壁;形态特性:详见产品说明书;相关产品有:MDA-435细胞、H-64细胞、H2122细胞

NCIH1688 Cells;背景说明:详见相关文献介绍;传代方法:1:2-1:3传代;每周换液2-3次。;生长特性:贴壁或悬浮,详见产品说明书部分;形态特性:详见产品说明书;相关产品有:NCI-H23细胞、AGS细胞、786-0WT细胞

NCI-H322T Cells;背景说明:详见相关文献介绍;传代方法:1:2传代;生长特性:贴壁生长;形态特性:详见产品说明书;相关产品有:Rh30细胞、H-660细胞、BC-PAP细胞

GRSL Cells;背景说明:详见相关文献介绍;传代方法:1:2-1:3传代;每周换液2-3次。;生长特性:贴壁或悬浮,详见产品说明书部分;形态特性:详见产品说明书;相关产品有:Granta519细胞、DBTRG-05MG细胞、NCI-H1836细胞

GSC-0827 Cells(提供STR鉴定图谱)

HAP1 PPP3CB (-) 2 Cells(提供STR鉴定图谱)

HUVEC-C[HUVEC] Cells;背景说明:脐静脉;内皮 Cells;传代方法:1:2-1:3传代;每周换液2-3次。;生长特性:贴壁;形态特性:详见产品说明书;相关产品有:N1S1细胞、M-07e细胞、Virginia Mason Research Center-Lung Cancer D细胞

NCI H345 Cells;背景说明:小细胞肺癌;骨髓转移;男性;传代方法:1:2-1:3传代;每周换液2-3次。;生长特性:贴壁;形态特性:详见产品说明书;相关产品有:TOV112D细胞、Earles's cells细胞、PATU-S细胞

H1581 Cells;背景说明:详见相关文献介绍;传代方法:每周换液2次。;生长特性:混合型;形态特性:上皮样;相关产品有:HSC-6细胞、L 132细胞、SPDC-CCL141细胞

SKN-AS Cells;背景说明:详见相关文献介绍;传代方法:1:5-1:10传代;每周换液2-3次。;生长特性:贴壁生长;形态特性:上皮样;相关产品有:NCI-H1238细胞、Glioma-261细胞、Earle's L cells细胞

Panc3_27 Cells;背景说明:详见相关文献介绍;传代方法:1:2传代;生长特性:贴壁生长;形态特性:上皮样;相关产品有:PG13细胞、Hs 746.T细胞、SVG p12细胞

VMM5 Cells;背景说明:黑色素瘤;神经节转移;男性;传代方法:1:2-1:3传代;每周换液2-3次。;生长特性:贴壁;形态特性:详见产品说明书;相关产品有:NuTu 19细胞、HCC9724细胞、EM3细胞

H-2135 Cells;背景说明:详见相关文献介绍;传代方法:1:2-1:3传代;每周换液2-3次。;生长特性:贴壁或悬浮,详见产品说明书部分;形态特性:详见产品说明书;相关产品有:ROS17/28细胞、SKRC20细胞、Epstein-Barr-1细胞

NCTC-929 Cells;背景说明:详见相关文献介绍;传代方法:1:2-1:3传代;每周换液2-3次。;生长特性:贴壁或悬浮,详见产品说明书部分;形态特性:详见产品说明书;相关产品有:SW1417细胞、HGSMC细胞、HO8910PM细胞

HU3R23 Cells(提供STR鉴定图谱)

KUSA-D Cells(提供STR鉴定图谱)

MRC5-RiPS-1.2 Cells(提供STR鉴定图谱)

OCC-26 Cells(提供STR鉴定图谱)

RLM-22(12) Cells(提供STR鉴定图谱)

Ubigene A-549 MAP2K6 KO Cells(提供STR鉴定图谱)

USP-2 Cells(提供STR鉴定图谱)

HG02494 Cells(提供STR鉴定图谱)

C57 Mouse Tumor 93 Cells;背景说明:结肠癌;C57BL/ICRF;传代方法:1:2-1:3传代;每周换液2-3次。;生长特性:贴壁;形态特性:详见产品说明书;相关产品有:Ramos(RA1)细胞、HeLa-229细胞、Sf21细胞

JROECL 33 Cells;背景说明:详见相关文献介绍;传代方法:1:2传代;生长特性:贴壁生长;形态特性:上皮样;相关产品有:HOCF细胞、BHK细胞、C3H10T1/2CL8细胞

PLMVEC Cells;背景说明:肺微血管;内皮 Cells;传代方法:1:2-1:3传代;每周换液2-3次。;生长特性:贴壁;形态特性:详见产品说明书;相关产品有:JB6 clone 30, subclone 7b细胞、HTh-74细胞、L(TK-)细胞

PC14 Cells;背景说明:肺腺癌;男性;传代方法:1:2-1:3传代;每周换液2-3次。;生长特性:贴壁;形态特性:详见产品说明书;相关产品有:LMTK-细胞、Sup T-1细胞、HOPC细胞

F81 Cells;背景说明:肾;自发永生;雌性;传代方法:1:2-1:3传代;每周换液2-3次。;生长特性:贴壁;形态特性:详见产品说明书;相关产品有:UPCI-SCC-90细胞、Natural Killer-92细胞、BHK21细胞

A498 Cells;背景说明:详见相关文献介绍;传代方法:1:2-1:3传代;每周换液2-3次。;生长特性:贴壁或悬浮,详见产品说明书部分;形态特性:详见产品说明书;相关产品有:H-196细胞、C2-C12细胞、OSC19细胞

MARC145 Cells;背景说明:胚肾;自发永生;传代方法:1:2-1:3传代;每周换液2-3次。;生长特性:贴壁;形态特性:详见产品说明书;相关产品有:FRH-0201细胞、IPLB-SF-21-AE细胞、HCC2157细胞

Jiyoye (P-2003) Cells;背景说明:详见相关文献介绍;传代方法:每周2-3次。;生长特性:悬浮生长;形态特性:淋巴母细胞;相关产品有:H-1299细胞、COS1细胞、HMCB细胞

COLO394 Cells;背景说明:详见相关文献介绍;传代方法:1:2-1:3传代;每周换液2-3次。;生长特性:贴壁或悬浮,详见产品说明书部分;形态特性:详见产品说明书;相关产品有:373 MG细胞、BE2-M17细胞、RGM1细胞

OCUM-1 Cells;背景说明:详见相关文献介绍;传代方法:1:2传代;生长特性:悬浮生长;形态特性:淋巴母细胞;相关产品有:MDA-MB-157细胞、NCI-H1666细胞、HEK (AD293)细胞

┈订┈购(技术服务)┈热┈线:1┈3┈6┈4┈1┈9┈3┈0┈7┈9┈1【微信同号】┈Q┈Q:3┈1┈8┈0┈8┈0┈7┈3┈2┈4;

A2780 Cells;背景说明:详见相关文献介绍;传代方法:1:2传代;生长特性:贴壁生长;形态特性:上皮细胞样;相关产品有:RMG1细胞、Sf21细胞、CCD 841 CoTr细胞

A3 Cells;背景说明:详见相关文献介绍;传代方法:1:2-1:3传代;每周换液2-3次。;生长特性:贴壁或悬浮,详见产品说明书部分;形态特性:详见产品说明书;相关产品有:SF-763细胞、X63-Ag8-653细胞、NPA87细胞

SJ-RH30 Cells;背景说明:肺泡横纹肌肉瘤;骨髓转移;传代方法:1:2-1:3传代;每周换液2-3次。;生长特性:贴壁;形态特性:详见产品说明书;相关产品有:SCC-7细胞、ZR75-1细胞、HFB细胞

NCI H345 Cells;背景说明:小细胞肺癌;骨髓转移;男性;传代方法:1:2-1:3传代;每周换液2-3次。;生长特性:贴壁;形态特性:详见产品说明书;相关产品有:TOV112D细胞、Earles's cells细胞、PATU-S细胞

NCI-157 Cells;背景说明:详见相关文献介绍;传代方法:1:2传代;生长特性:贴壁生长 ;形态特性:详见产品说明书;相关产品有:KP-N-RT细胞、NCIH378细胞、HCC0038细胞

SW620-EGFP Cells(提供STR鉴定图谱)

ARIP Cells;背景说明:详见相关文献介绍;传代方法:1:3-1:6传代;每周2-3次。;生长特性:贴壁生长;形态特性:上皮细胞样;相关产品有:AR4-2J细胞、H1666细胞、CFSC-2G细胞

SO-RB50 Cells;背景说明:视网膜母细胞瘤;女性;传代方法:1:2-1:3传代;每周换液2-3次。;生长特性:悬浮;形态特性:详见产品说明书;相关产品有:U118-MG细胞、NP69SV40T细胞、H-660细胞

MLO-Y4 Cells;背景说明:骨;SV40转化;传代方法:1:2-1:3传代;每周换液2-3次。;生长特性:贴壁;形态特性:详见产品说明书;相关产品有:HELF细胞、Hs 832(C).T细胞、Jiyoye (P-2003)细胞

HCC-1419 Cells;背景说明:详见相关文献介绍;传代方法:1:2-1:3传代;每周换液2-3次。;生长特性:贴壁生长;形态特性:上皮样;相关产品有:Adeno 293细胞、MCFs细胞、INS-1E细胞

P-36 Cells;背景说明:详见相关文献介绍;传代方法:1:3-1:8传代,2-3天换液1次。;生长特性:贴壁生长;形态特性:星形的;相关产品有:HCT_116细胞、Chinese Hamster Ovary细胞、VM-CUB-1细胞

NS-20Y Cells;背景说明:神经母细胞瘤;雄性;A/J;传代方法:1:2-1:3传代;每周换液2-3次。;生长特性:贴壁;形态特性:详见产品说明书;相关产品有:CCRF CEM细胞、VK2细胞、U2932细胞

TE671/RD Cells;背景说明:胚胎性横纹肌肉瘤;女性;传代方法:1:2-1:3传代;每周换液2-3次。;生长特性:贴壁;形态特性:详见产品说明书;相关产品有:WB-F344细胞、NCIH345细胞、SNU739细胞

SV40-HCEC Cells;背景说明:角膜上皮细胞;Ad-SV40转化;女性;传代方法:1:2-1:3传代;每周换液2-3次。;生长特性:贴壁;形态特性:详见产品说明书;相关产品有:IOSE-Mar细胞、Capan 2细胞、Nthy ori 3.1细胞

AU 565 Cells;背景说明:详见相关文献介绍;传代方法:1:4—1:6传代;每3-5天换一次液。;生长特性:贴壁生长;形态特性:上皮细胞;相关产品有:Det 562细胞、OCM1细胞、WC00097细胞

OVCAR-4 Cells;背景说明:详见相关文献介绍;传代方法:1:2-1:3传代;每周换液2-3次。;生长特性:贴壁或悬浮,详见产品说明书部分;形态特性:详见产品说明书;相关产品有:WML2细胞、CT-26细胞、PLA 802细胞

HLMVEC Cells;背景说明:肺微血管;内皮 Cells;传代方法:1:2-1:3传代;每周换液2-3次。;生长特性:贴壁;形态特性:详见产品说明书;相关产品有:MKN 7细胞、H-716细胞、HELA-GFP细胞

MDCK.2 Cells;背景说明:详见相关文献介绍;传代方法:1:2-1:3传代;每周换液2-3次。;生长特性:贴壁或悬浮,详见产品说明书部分;形态特性:详见产品说明书;相关产品有:Michigan Cancer Foundation-10A细胞、NFS-60细胞、H1385细胞

UMUC1 Cells;背景说明:详见相关文献介绍;传代方法:1:2-1:3传代;每周换液2-3次。;生长特性:贴壁或悬浮,详见产品说明书部分;形态特性:详见产品说明书;相关产品有:GP293细胞、Strain KB细胞、CT26WT细胞

MSC Cells;背景说明:详见相关文献介绍;传代方法:1:2-1:3传代;每周换液2-3次。;生长特性:贴壁或悬浮,详见产品说明书部分;形态特性:详见产品说明书;相关产品有:MOLT-3细胞、RPVSMC细胞、Colo205细胞

BayGenomics ES cell line RRF142 Cells(提供STR鉴定图谱)

BayGenomics ES cell line XG323 Cells(提供STR鉴定图谱)

EC-Ccr1l1tm1Dgen Cells(提供STR鉴定图谱)

mPA7 Cells(提供STR鉴定图谱)

TM-BBB3 Cells(提供STR鉴定图谱)

M229 R14 Cells(提供STR鉴定图谱)

"


MEL小鼠红白血病细胞新批次|培养基|送;复苏细胞系;细胞STR鉴定报告;细胞STR鉴定图谱;ATCC|DSMZ细胞库;

公司简介

公司提供ATCC、DSMZ、ECACC、NCI-DTP、RCB(Riken)等细胞系

成立日期 (9年)
注册资本 635万人民币
员工人数 50-100人
年营业额 ¥ 1亿以上
经营模式 贸易,工厂,服务
主营行业 细胞培养,细胞生物学,生物技术服务

MEL小鼠红白血病细胞新批次|培养基|送STR图谱相关厂家报价

内容声明
拨打电话 立即询价