基本信息 产品详情 公司简介 推荐产品
网站主页 化工产品目录 生物 细胞培养 细胞系 小鼠细胞系 NIH3T3 NIH/3T3小鼠胚胎细胞实验室|已有STR图谱
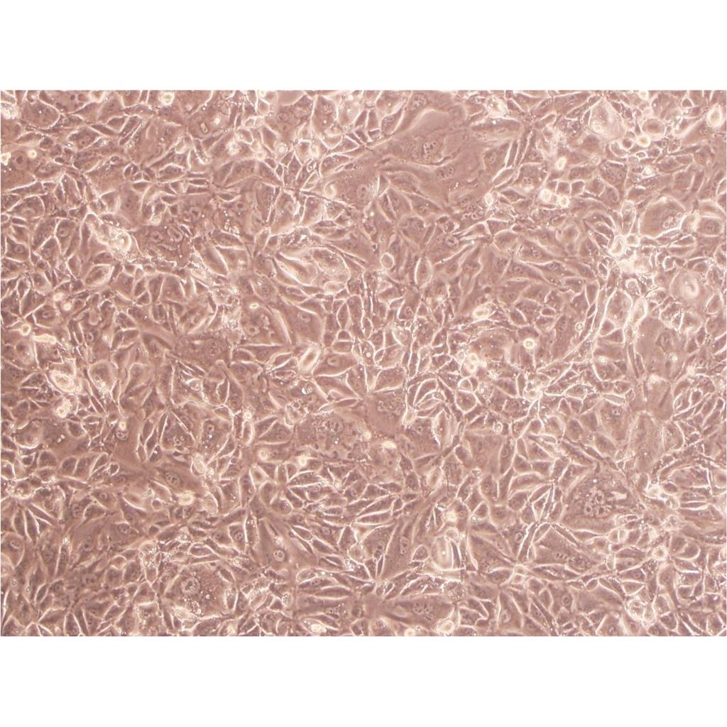
  • NIH/3T3小鼠胚胎细胞实验室|已有STR图谱

NIH/3T3小鼠胚胎细胞实验室|已有STR图谱

NIH/3T3
询价 1000000细胞数 起订
2000000细胞数 起订
上海 更新日期:2026-04-09

上海冠导生物工程有限公司

VIP6年
联系人:全经理
电话:18818239863拨打
邮箱:3171921642@qq.com

产品详情:

中文名称:
NIH/3T3小鼠胚胎细胞实验室|已有STR图谱
英文名称:
NIH/3T3
品牌:
ATCC\RCB等
产地:
国外
保存条件:
常温培养或液氮冻存
纯度规格:
NIH/3T3小鼠胚胎细胞实验室|已有STR图谱
产品类别:
化学试剂
种属:
详见产品资料
组织:
详见产品资料
细胞系:
详见产品资料
细胞形态:
详见产品资料
生长状态:
详见产品资料
靶点:
详见产品资料
应用:
详见产品资料

"NIH/3T3小鼠胚胎细胞实验室|已有STR图谱

传代比例:1:2-1:4(首次传代建议1:2)

生长特性:贴壁生长

PECAPJ34 Cells;背景说明:详见相关文献介绍;传代方法:1:2传代;生长特性:贴壁生长;形态特性:上皮样;相关产品有:BT细胞、C518细胞、Hs611T细胞

EM3 Cells;背景说明:髓系白血病;女性;传代方法:1:2-1:3传代;每周换液2-3次。;生长特性:悬浮;形态特性:详见产品说明书;相关产品有:WISH细胞、BRL3A细胞、Mino细胞

KTA-7 Cells;背景说明:肺腺癌;传代方法:1:2-1:3传代;每周换液2-3次。;生长特性:贴壁;形态特性:详见产品说明书;相关产品有:Y3-Ag 1.2.3细胞、Colon-38细胞、HOS细胞

细胞培养无菌操作步骤和注意事项:1.打开无菌工作台及净化室的紫外灯,消毒半小时以上。2.进入净化室前先关闭紫外灯,打开超净台风机,等待30min以上,以排尽臭氧。3.穿HAO隔离衣,戴HAO口罩,帽子。4.风淋2分钟。5.0.1%水泡手,擦干。6.点燃酒精灯;超净台内应避免放入过多的物品;使用的吸管,滴管,试管,培养瓶等均事先灭菌。7.打开各类瓶盖前先过火,以固定灰尘;打开的瓶口、试管口过火焰,镊子使用前应经火焰烧灼。8.水平式风机的超净台,应使瓶口斜置,应尽量避免瓶口敞开直立。9.同一根吸管或滴管不应连续用于几个不同的细胞系;吸取培养基的吸管应离开培养瓶或试管口0.5cm,避免伸入培养瓶口或试管口;以防止细胞系的互相混杂污染。10.漏在培养瓶上或台上的体,立即用酒精棉球擦净。11.操作完毕后恢复工作台面。

换液周期:每周2-3次

NIH/3T3小鼠胚胎细胞实验室|已有STR图谱

背景信息:详见相关文献介绍

产品包装:复苏发货:T25培养瓶(一瓶)或冻存发货:1ml冻存管(两支)

细胞系的选择需要考虑到细胞系的功能特点、生长速率、铺板效率、生长条件和生长特征、克隆效率、培养方式等因素,如果您想高产量表达重组蛋白,您可以选择可以悬浮生长的快速生长细胞系。细胞培养的操作步骤主要包括传代、换液、冻存和复苏。这些步骤确保了细胞能够在实验室环境中长期存活并继续增殖。传代是将细胞从一个容器转移到另一个容器的过程,以扩大细胞数量;换液是为了清除代谢废物并补充新鲜培养基;冻存则是为了长期保存细胞,而复苏则是重新激活冷冻保存的细胞使其恢复正常生长。

来源说明:细胞主要来源ATCC、ECACC、DSMZ、RIKEN等细胞库

8H7A Cells(提供STR鉴定图谱)

G422 Cells;背景说明:1964年建株;甲基胆蒽植入Km小鼠脑内诱发星形细胞瘤,传至第120代后转为胶质细胞瘤;瘤细胞悬液同系小鼠皮下、肌肉、脑内移植,成功率皆100%。肌肉及脑内移植可形成较规律的移植性瘤株,存活时间脑内型15.9±4.8天;肌肉型20.3±6.6天。;传代方法:1:2传代;生长特性:体内生长;形态特性:实体瘤;相关产品有:SKGT2细胞、B16F1细胞、H-2170细胞

SCCVII Cells;背景说明:鳞状细胞癌;传代方法:1:2-1:3传代;每周换液2-3次。;生长特性:贴壁;形态特性:详见产品说明书;相关产品有:U-373MG ATCC细胞、Vx-2细胞、SiHa细胞

Hs840_T Cells;背景说明:详见相关文献介绍;传代方法:1:4—1:8传代,每周换液2—3次;生长特性:贴壁生长;形态特性:成纤维细胞;相关产品有:LIXC002细胞、578T细胞、EoL-1 cell细胞

NIH/3T3小鼠胚胎细胞实验室|已有STR图谱

物种来源:人源、鼠源等其它物种来源

形态特性:上皮细胞样

冻存和复苏的原则:慢冻快融》当细胞冷到零度以下,可以产生以下变化:细胞器脱水,细胞中可溶性物质浓度升GAO,并在细胞内形成冰晶。如果缓慢冷冻,可使细胞逐步脱水,细胞内不致产生大的冰晶;相反,结晶就大,大结晶会造成细胞膜、纲胞器的损伤和破裂。复苏过程应快融,目的是防止小冰晶形成大冰晶,即冰晶的重结晶。慢冻程序》1.标准程序:采用细胞冻存器》当温度在-25℃以上时,1~2℃/min;当温度达-25℃以下时,5~10℃/min;当温度达-100℃时,可迅速放入中。2.简易程序:将冷冻管(管口要朝上)放入纱布袋内,纱布袋系以线绳,通过线绳将纱布袋固定于罐罐口,按每分钟温度下降1~2℃的速度,在40min内降至表面过夜,次晨投人中。3.传统程序:冷冻管置于4℃10分钟→-20℃30分钟→-80℃16~18小时(或隔夜)→槽长期储存。细胞冻存方法:1.预先配制冻存》(1)8%DMSO+细胞生长(92%血清)2.取对数生长期细胞,经胰酶消化后,加入适量冻存,用吸管吹打制成细胞悬(1×10(6)~5×10(6)细胞/ml)。3.加入1ml细胞于冻存管中,密封后标记冷冻细胞名称和冷冻日期。长期保存。保存细胞的复苏方法:1.快速解冻》冻存细胞从中取出后,立即放入37℃水浴中,轻轻摇动冷冻管,使其在1分钟内全部融化(不要超过3分钟)。2.解冻后的细胞可直接接种到含完全生长培养的细胞培养瓶中直接进行培养,24小时后再用新鲜完全培养替换旧培养,以去除DMSO。3.如果细胞对冷冻保护剂别敏感解冻后的细胞应先通过离心去除冷冻保护剂,然后再接种到含完全生长培养的培养瓶中。

MB39 Cells;背景说明:脑瘤;传代方法:1:2-1:3传代;每周换液2-3次。;生长特性:贴壁;形态特性:详见产品说明书;相关产品有:Mc Ardle 7777细胞、JROECL 19细胞、NIH-3T3-L1细胞

PC-12 Cells;背景说明:该细胞系来自能移植的雄性大鼠肾上腺嗜铬细胞瘤。这些细胞表达神经生长因子(NGF)受体。NGF可诱导产生神经表型。这些细胞不合成。;传代方法:消化3-5分钟。1:2。3天内可长满。;生长特性:贴壁生长;形态特性:多角形;相关产品有:SW-13细胞、P3X63NS1细胞、KM933细胞

OVCA432_Bast Cells;背景说明:详见相关文献介绍;传代方法:1:2-1:3传代;每周换液2-3次。;生长特性:贴壁或悬浮,详见产品说明书部分;形态特性:详见产品说明书;相关产品有:NCI-A549细胞、130-T细胞、SW-1271细胞

MOLT-4 Cells;背景说明:MOLT-4与MOLT-3来源于一名19岁的男性急性淋巴细胞性白血病的复发患者,该患者前期接受过多种药物联合化疗。MOLT-4细胞系为T淋巴细胞起源,p53基因的第248位密码子有一个G→A突变,不表达p53,不表达免疫球蛋白或EB病毒;可产生高水平的末端脱氧核糖转移酶;表达CD1(49%),CD2(35%),CD3A(26%)B(33%)C(34%),CD4(55%),CD5(72%),CD6(22%),CD7(77%)。;传代方法:1:2传代;生长特性:悬浮生长;形态特性:淋巴母细胞样;圆形;相关产品有:HEL92.1.7细胞、RGC-5细胞、SNU668细胞

SUM 159 Cells;背景说明:乳腺癌;女性;传代方法:1:2-1:3传代;每周换液2-3次。;生长特性:贴壁;形态特性:详见产品说明书;相关产品有:C8-D1A细胞、IALM细胞、NCI-H2066细胞

NK10a Cells;背景说明:1967年,该细胞系KleinE和KleinG建系,源于一名16岁患有Burkitt's淋巴瘤的黑人男性,beta-2-微球蛋白阴性,表达EBNA,VCA,sIg。该细胞携带EB病毒,是一个典型的B淋巴母细胞系,可用于白血病发病机制的研究。;传代方法:1:2传代;生长特性:悬浮生长;形态特性:淋巴母细胞样;相关产品有:HuTu 80细胞、UMUC14细胞、SN12PM6细胞

Panc 08.13 Cells;背景说明:详见相关文献介绍;传代方法:1:2传代;生长特性:贴壁生长;形态特性:上皮样;相关产品有:AZ 521细胞、HKF细胞、HSAS1细胞

HUT28 Cells;背景说明:详见相关文献介绍;传代方法:1:3-1:6传代,每周换液2-3次;生长特性:贴壁生长;形态特性:详见产品说明书;相关产品有:COLO 320 HSR细胞、KS-1 [Human glioblastoma]细胞、QSG7701细胞

IM 9 Cells;背景说明:详见相关文献介绍;传代方法:1:3传代,2-3天传一代;生长特性:悬浮生长;形态特性:淋巴母细胞样;相关产品有:3T3 J2细胞、16HBEo-细胞、PANC 203细胞

FET Cells;背景说明:结肠癌;传代方法:1:2-1:3传代;每周换液2-3次。;生长特性:贴壁;形态特性:详见产品说明书;相关产品有:CTLL-2细胞、N-Tera-2细胞、H-1563细胞

YH-13 Cells;背景说明:详见相关文献介绍;传代方法:1:2传代;生长特性:贴壁生长;形态特性:上皮细胞;相关产品有:HEp-2细胞、NT2细胞、SHEE细胞

A9 (Hamprecht) Cells;背景说明:皮下结缔组织;自发永生;雄性;C3H/An;传代方法:1:2-1:3传代;每周换液2-3次。;生长特性:贴壁;形态特性:详见产品说明书;相关产品有:HLF细胞、CFSC-2G细胞、HEK293S细胞

NK10a Cells;背景说明:1967年,该细胞系KleinE和KleinG建系,源于一名16岁患有Burkitt's淋巴瘤的黑人男性,beta-2-微球蛋白阴性,表达EBNA,VCA,sIg。该细胞携带EB病毒,是一个典型的B淋巴母细胞系,可用于白血病发病机制的研究。;传代方法:1:2传代;生长特性:悬浮生长;形态特性:淋巴母细胞样;相关产品有:HuTu 80细胞、UMUC14细胞、SN12PM6细胞

NCI-H1694 Cells;背景说明:详见相关文献介绍;传代方法:3-4天换液1次。;生长特性:悬浮生长;形态特性:聚团悬浮;相关产品有:H1048细胞、OKAC1细胞、NCI-H441细胞

H-719 Cells;背景说明:小细胞肺癌;骨髓转移;女性;传代方法:1:2-1:3传代;每周换液2-3次。;生长特性:半贴壁;形态特性:详见产品说明书;相关产品有:Caki2细胞、H1155细胞、HuT 102细胞

OVCAR-433 Cells;背景说明:卵巢癌;女性;传代方法:1:2-1:3传代;每周换液2-3次。;生长特性:贴壁;形态特性:详见产品说明书;相关产品有:MDA-MB-435 S细胞、BC3H1细胞、Hs578Bst细胞

RAOEC Cells;背景说明:血管;内皮 Cells;传代方法:1:2-1:3传代;每周换液2-3次。;生长特性:贴壁;形态特性:详见产品说明书;相关产品有:KNS62细胞、WSU-HN13细胞、H-1355细胞

NIH/3T3小鼠胚胎细胞实验室|已有STR图谱

A549 GFP-STAT1 Cells(提供STR鉴定图谱)

Abcam PC-3 NR3C2 KO Cells(提供STR鉴定图谱)

B7E3 Cells(提供STR鉴定图谱)

BayGenomics ES cell line RRR098 Cells(提供STR鉴定图谱)

BayGenomics ES cell line YHD069 Cells(提供STR鉴定图谱)

CET.IPS.FFHFF-500 Cells(提供STR鉴定图谱)

DA01437 Cells(提供STR鉴定图谱)

EC-Gprk5tm1Dgen Cells(提供STR鉴定图谱)

GM04972 Cells(提供STR鉴定图谱)

HEL92.1.7 Cells;背景说明:详见相关文献介绍;传代方法:每周2-3次。;生长特性:悬浮生长;形态特性:成淋巴细胞;相关产品有:MLMEC细胞、MDA157细胞、GM05372细胞

Panc_05_04 Cells;背景说明:详见相关文献介绍;传代方法:1:2传代;生长特性:贴壁生长;形态特性:上皮样;相关产品有:JIMT1细胞、H2172细胞、McARH7777细胞

HC11 Cells;背景说明:详见相关文献介绍;传代方法:1:2-1:3传代;每周换液2-3次。;生长特性:贴壁或悬浮,详见产品说明书部分;形态特性:详见产品说明书;相关产品有:MM6细胞、HEC-251细胞、NUGC4细胞

H2405 Cells;背景说明:详见相关文献介绍;传代方法:1:5-1:8传代;生长特性:混合生长;形态特性:详见产品说明书;相关产品有:BALL-1细胞、C3H/10T1/2 CL8细胞、P3 NS1 Ag4细胞

MM1 Cells;背景说明:急性单核细胞白血病;男性;传代方法:1:2-1:3传代;每周换液2-3次。;生长特性:悬浮;形态特性:详见产品说明书;相关产品有:MV 4;11细胞、Tregs细胞、NIH-3T3细胞

OAW 42 Cells;背景说明:详见相关文献介绍;传代方法:1:2-1:3传代;每周换液2-3次。;生长特性:贴壁或悬浮,详见产品说明书部分;形态特性:详见产品说明书;相关产品有:RMG-I细胞、ME-180细胞、RPMI no 8226细胞

WIL2-S Cells;背景说明:详见相关文献介绍;传代方法:1:2-1:3传代;每周换液2-3次。;生长特性:贴壁或悬浮,详见产品说明书部分;形态特性:详见产品说明书;相关产品有:COLO 824细胞、TH1细胞、HRPEpiC细胞

CAKI 2 Cells;背景说明:该细胞源自一位69岁白人男性的初期肾腺癌组织;传代方法:1:3—1:6传代,每周换液2—3次;生长特性:贴壁生长;形态特性:上皮细胞样;相关产品有:RPMI-6666细胞、BNL 1MEA.7R.1细胞、CHL/IU细胞

alpha-TC1.6 Cells;背景说明:胰岛素瘤;a细胞;C57BL/6xDBA/2;传代方法:1:2-1:3传代;每周换液2-3次。;生长特性:贴壁;形态特性:详见产品说明书;相关产品有:Line 522细胞、MV 4;11细胞、Leydig细胞

UK Pan-1 Cells;背景说明:详见相关文献介绍;传代方法:1:2-1:3传代;每周换液2-3次。;生长特性:贴壁或悬浮,详见产品说明书部分;形态特性:详见产品说明书;相关产品有:HPMEC细胞、DAN-G细胞、RBE4细胞

MDCK (NBL-2) Cells;背景说明:详见相关文献介绍;传代方法:1:2传代;生长特性:贴壁生长 ;形态特性:详见产品说明书;相关产品有:KMS-26细胞、As-PC1细胞、NCI-H69C细胞

HuH7 Cells;背景说明:详见相关文献介绍;传代方法:消化3-5分钟。1:2。3天内可长满。;生长特性:贴壁生长;形态特性:上皮样;相关产品有:CAL-120细胞、MeT 5A细胞、M 1细胞

HCMEC(BL12-H) Cells;背景说明:结肠微血管;内皮 Cells;传代方法:1:2-1:3传代;每周换液2-3次。;生长特性:贴壁;形态特性:详见产品说明书;相关产品有:OVCAR10细胞、NCI-H1404细胞、AMO-1细胞

HCMEC(BL12-H) Cells;背景说明:结肠微血管;内皮 Cells;传代方法:1:2-1:3传代;每周换液2-3次。;生长特性:贴壁;形态特性:详见产品说明书;相关产品有:OVCAR10细胞、NCI-H1404细胞、AMO-1细胞

Jurkat77 Cells;背景说明:详见相关文献介绍;传代方法:1:2-1:3传代;每周换液2-3次。;生长特性:贴壁或悬浮,详见产品说明书部分;形态特性:详见产品说明书;相关产品有:HCEC细胞、P3.times.63 Ag8.653细胞、H766T细胞

GM09812 Cells(提供STR鉴定图谱)

HAP1 BIN1 (-) 2 Cells(提供STR鉴定图谱)

NG-108-15 Cells;背景说明:详见相关文献介绍;传代方法:1:2-1:3传代;每周换液2-3次。;生长特性:贴壁或悬浮,详见产品说明书部分;形态特性:详见产品说明书;相关产品有:TC-1 [Mouse lung]细胞、CL11细胞、BNL CL.2细胞

L5178Y Cells;背景说明:详见相关文献介绍;传代方法:1:2-1:3传代;每周换液2-3次。;生长特性:贴壁或悬浮,详见产品说明书部分;形态特性:详见产品说明书;相关产品有:Transformed Human Liver Epithelial-3细胞、J774.A1细胞、PL-5细胞

IBMF-7 Cells;背景说明:MCF-7细胞保留了多个分化了的乳腺上皮的特性,包括:能通过胞质雌激素受体加工雌二醇并能形成圆形复合物(domes)。该细胞含有Tx-4癌基因。肿瘤坏死因子α(TNFalpha)可以抑制MCF-7细胞的生长。抗雌激素处理细胞能调变IGFBP'S的分泌。;传代方法:1:2传代,3-4天长满;生长特性:贴壁生长;形态特性:上皮样;相关产品有:HSC/mHSC细胞、SW954细胞、L5178-R细胞

GT38 Cells;背景说明:胃癌;传代方法:1:2-1:3传代;每周换液2-3次。;生长特性:贴壁;形态特性:详见产品说明书;相关产品有:TOG细胞、CoCL3细胞、Mv 1 Lu细胞

Institute for Medical Research-90 Cells;背景说明:W.W. Nichols及其同事从一位16周女婴的肺中取材,建立了人二倍体成纤维细胞株IMR-90。分裂潜能,病毒感受性和其它性质都得到了充分研究,因而这株细胞可以作为WI-38或其它标准人肺细胞株的替代株。有报道称这株细胞在表现出衰老前可倍增58次。;传代方法:1:2传代;生长特性:贴壁生长 ;形态特性:详见产品说明书;相关产品有:CACO2细胞、NCIH2009细胞、NCI-H322T细胞

C3H10T1-2 Cells;背景说明:详见相关文献介绍;传代方法:1:2-1:3传代;每周换液2-3次。;生长特性:贴壁或悬浮,详见产品说明书部分;形态特性:详见产品说明书;相关产品有:V79-1细胞、BT 325细胞、Stanford University-Diffuse Histiocytic Lymphoma-5细胞

hRPTC Cells;背景说明:近端肾小管;上皮 Cells;传代方法:1:2-1:3传代;每周换液2-3次。;生长特性:贴壁;形态特性:详见产品说明书;相关产品有:PANC0504细胞、Medical Research Council cell strain-9细胞、KCL-22细胞

HCE-2 [50.B1] Cells;背景说明:角膜上皮;Ad12-SV40;男性;传代方法:1:2-1:3传代;每周换液2-3次。;生长特性:贴壁;形态特性:详见产品说明书;相关产品有:G-401细胞、HRA-19细胞、NCIH378细胞

HG03280 Cells(提供STR鉴定图谱)

Ich1 Cells(提供STR鉴定图谱)

LN229/mCD39 Cells(提供STR鉴定图谱)

NCI-H2279 Cells(提供STR鉴定图谱)

PathHunter CHO-K1 PTHR2 beta-arrestin Cells(提供STR鉴定图谱)

Ubigene HL-1 Sirt5 KO Cells(提供STR鉴定图谱)

Y-MESO-26B Cells(提供STR鉴定图谱)

HD511ABR Cells(提供STR鉴定图谱)

NCIH1688 Cells;背景说明:详见相关文献介绍;传代方法:1:2-1:3传代;每周换液2-3次。;生长特性:贴壁或悬浮,详见产品说明书部分;形态特性:详见产品说明书;相关产品有:NCI-H23细胞、AGS细胞、786-0WT细胞

HOPC Cells;背景说明:少突胶质前体 Cells;传代方法:1:2-1:3传代;每周换液2-3次。;生长特性:贴壁;形态特性:详见产品说明书;相关产品有:UACC-893细胞、Normal Rat Kidney细胞、H209细胞

CA46 Cells;背景说明:该细胞源自Burkitt's淋巴瘤患者的B淋巴细胞,EBNA、Fc阴性。;传代方法:1:2传代;生长特性:悬浮生长;形态特性:淋巴母细胞样;相关产品有:H-69细胞、C22 (Clara)细胞、Kasumi-6细胞

HN-6 Cells;背景说明:舌鳞癌;男性;传代方法:1:2-1:3传代;每周换液2-3次。;生长特性:贴壁;形态特性:详见产品说明书;相关产品有:ANA-1细胞、MDA-MB 453细胞、OSA细胞

LUDLU 1 Cells;背景说明:详见相关文献介绍;传代方法:1:2-1:3传代;每周换液2-3次。;生长特性:贴壁或悬浮,详见产品说明书部分;形态特性:详见产品说明书;相关产品有:HCC9204细胞、CCD841CoTr细胞、NPC-TW-039细胞

MPC-5 Cells;背景说明:肾足细胞;SV40转化;传代方法:1:2-1:3传代;每周换液2-3次。;生长特性:贴壁;形态特性:详见产品说明书;相关产品有:NCI-SNU-886细胞、NCIH1703细胞、MOLM-14细胞

KM-12 Cells;背景说明:详见相关文献介绍;传代方法:1:2传代;生长特性:贴壁生长;形态特性:上皮样;相关产品有:T8细胞、MZCRC1细胞、U-251 MG细胞

NCI-H1355 Cells;背景说明:详见相关文献介绍;传代方法:每周换液2次。;生长特性:悬浮生长;形态特性:详见产品说明书;相关产品有:NCI-H1618细胞、COLO-1细胞、T 24细胞

HCT 8 Cells;背景说明:详见相关文献介绍;传代方法:1:2-1:3传代;每周换液2-3次。;生长特性:贴壁或悬浮,详见产品说明书部分;形态特性:详见产品说明书;相关产品有:KNS42细胞、P-388D1细胞、WEHI 231细胞

Kasumi-1 Cells;背景说明:详见相关文献介绍;传代方法:1:2传代。3天内可长满。;生长特性:悬浮生长;形态特性:原粒细胞;相关产品有:NCIH1623细胞、HL-60 Clone 15细胞、NCI-H1155细胞

MRC-5 Cells;背景说明:MRC-5细胞系来自14周龄男性胎儿的正常肺组织,该细胞老化前能传代42~46个倍增时间。;传代方法:1:2-1:5传代;每周1-2次。;生长特性:贴壁生长;形态特性:成纤维细胞样;相关产品有:Huh7.5细胞、SW 780细胞、ST2细胞

MS1 Cells;背景说明:MS1是1994年建株的胰岛内皮细胞株。原代培养的胰岛内皮细胞用抗G418的温度敏感型SV40大T抗原(tsA-58-3)转染。抗性克隆用克隆环分离,并筛选吸收dil-Ac-LDL的。这株细胞保留了内皮细胞的许多特性,如吸收乙酰化LDL和表达八因子相关抗原及BEGF受体。;传代方法:消化3-5分钟。1:2。3天内可长满。;生长特性:贴壁生长;形态特性:详见产品说明书;相关产品有:H1522细胞、MS-751细胞、YES-2细胞

MKN-28 Cells;背景说明:详见相关文献介绍;传代方法:1:2-1:3传代;每周换液2-3次。;生长特性:贴壁或悬浮,详见产品说明书部分;形态特性:详见产品说明书;相关产品有:H820细胞、Japanese Tissue Culture-39细胞、HTh 74细胞

KYSE140 Cells;背景说明:食管鳞癌细胞;男性;传代方法:1:2-1:3传代;每周换液2-3次。;生长特性:贴壁;形态特性:详见产品说明书;相关产品有:H1573细胞、BJ1细胞、H1299细胞

M 1 Cells;背景说明:髓系白血病;SL;传代方法:1:2-1:3传代;每周换液2-3次。;生长特性:悬浮;形态特性:详见产品说明书;相关产品有:32D.cl3细胞、NCIH187细胞、639 V细胞

SaE fibroblast Cells(提供STR鉴定图谱)

Institute for Medical Research-32 Cells;背景说明:该细胞是1967年4月由NicholsWW,LeeJ和DwightS建立,来源于一名13月龄白人男婴腹部肿块,临床诊断为神经母细胞瘤,伴有极少部位的类器官样分化。;传代方法:1:2传代;生长特性:贴壁生长;形态特性:存在两种细胞类型,小的神经母细胞样细胞和大的透明成纤维样细胞;相关产品有:MDA-415细胞、HCC1187细胞、COLO357细胞

NIH/3T3小鼠胚胎细胞实验室|已有STR图谱

H1869 Cells;背景说明:详见相关文献介绍;传代方法:1:3-1:4传代;每周换液2次。;生长特性:贴壁生长;形态特性:上皮细胞;相关产品有:PA12细胞、SW900细胞、H283细胞

Ontario Cancer Institute-Acute Myeloid Leukemia-4 Cells;背景说明:急性髓系白血病;女性;传代方法:1:2-1:3传代;每周换液2-3次。;生长特性:悬浮;形态特性:详见产品说明书;相关产品有:Hs 294T细胞、U-118MG细胞、HNE-1细胞

IR983F Cells;背景说明:骨髓瘤;传代方法:1:2-1:3传代;每周换液2-3次。;生长特性:半贴壁;形态特性:详见产品说明书;相关产品有:NK-92细胞、32D clone 3细胞、EL-4细胞

SaOS Cells;背景说明:该细胞是FoghJ和TrempeG分离和鉴定的众多人类肿瘤细胞系中的一种;该细胞来自一位11岁的白人女性的骨肉瘤组织。患者经过放疗以及甲喋呤、阿霉素、长春新碱、环磷酰胺和aramycin-C等多种药物治疗。该细胞在免疫抑制小鼠中不致瘤,细胞表达表皮生长因子EGF受体、转化生长因子β(1型和2型)受体。;传代方法:1:2-1:4传代;每周1-2次。;生长特性:贴壁生长;形态特性:上皮样;多角形;相关产品有:EA.Hy926细胞、RPMI #8226细胞、CWR22R-V1细胞

H1838 Cells;背景说明:详见相关文献介绍;传代方法:1:3-1:4传代;每周换液2次。;生长特性:贴壁生长;形态特性:上皮细胞;相关产品有:DCS细胞、P3.NS-1/1.Ag4.1细胞、MDAMB157细胞

NUGC-3 Cells;背景说明:详见相关文献介绍;传代方法:1:6传代;生长特性:贴壁生长;形态特性:上皮样;相关产品有:H-735细胞、MOLT 16细胞、HTR-8/SV neo细胞

Colo741 Cells;背景说明:详见相关文献介绍;传代方法:1:2传代;生长特性:贴壁生长;形态特性:详见产品说明书;相关产品有:KYSE-410细胞、EnCa1细胞、TE671细胞

H82 Cells;背景说明:详见相关文献介绍;传代方法:1:2—1:5传代,每周换液2-3次;生长特性:悬浮生长;形态特性:上皮细胞;相关产品有:FRTL-5细胞、H596细胞、OCM-1细胞

LLCMK2 Cells;背景说明:胚胎;肾;自发永生;传代方法:1:2-1:3传代;每周换液2-3次。;生长特性:贴壁;形态特性:详见产品说明书;相关产品有:L615细胞、KATO 3细胞、P3/NS1/1-Ag4.1细胞

SHI-1 Cells;背景说明:急性单核细胞白血病;男性;传代方法:1:2-1:3传代;每周换液2-3次。;生长特性:悬浮;形态特性:详见产品说明书;相关产品有:T24(ECV304)细胞、TGW细胞、SK MEL 28细胞

KNS62 Cells;背景说明:详见相关文献介绍;传代方法:每周换液2次。;生长特性:贴壁生长;形态特性:上皮细胞;相关产品有:LLC-MK-2细胞、CD18/HPAF细胞、HSC-5 [Human skin squamous cell carcinoma]细胞

SW403 Cells;背景说明:详见相关文献介绍;传代方法:1:2—1:6传代,每周换液2-3次;生长特性:贴壁生长;形态特性:上皮细胞;相关产品有:HEK.EBNA细胞、G 401细胞、HCV 29细胞

4T1.2 Cells;背景说明:乳腺癌;雌性;BALB/cfC3H;传代方法:1:2-1:3传代;每周换液2-3次。;生长特性:贴壁;形态特性:详见产品说明书;相关产品有:SW 1463细胞、SUM 159PT细胞、RCK8细胞

BayGenomics ES cell line RRM068 Cells(提供STR鉴定图谱)

BayGenomics ES cell line XN537 Cells(提供STR鉴定图谱)

Gro2C Cells(提供STR鉴定图谱)

OX-30 Cells(提供STR鉴定图谱)

3Y1tsC116 Cells(提供STR鉴定图谱)

MDA-MB-436/RFP Cells(提供STR鉴定图谱)

"


NIH/3T3小鼠胚胎细胞实验室|已有S;传代细胞;复苏细胞;实验细胞;科研细胞;

公司简介

上海冠导生物工程有限公司,先后从ATCC、DSMZ、ECACC、RIKEN、PromoCell、ScienCell、JCRB等国内外细胞库引进细胞2000余株。以此为契机,公司组建了冠导细胞库,我司细胞均由资深细胞培养工程师进行培养。我司可以提供的细胞有:①细胞系②原代细胞③稳转株④耐药株⑤标记细胞⑥细胞配套试剂等。

成立日期 (11年)
注册资本 100万(元)
员工人数 50-100人
年营业额 ¥ 1000万-5000万
经营模式 工厂,试剂,定制,服务
主营行业 细胞培养,微生物学,细胞生物学

NIH/3T3小鼠胚胎细胞实验室|已有STR图谱相关厂家报价 更多

  • NIH/3T3
  • NIH/3T3
  • 吉奥蓝图(广东)生命科学技术中心 VIP
  • 2026-04-09
  • 询价
内容声明
拨打电话 立即询价