基本信息 产品详情 公司简介 推荐产品
网站主页 化工产品目录 生物 细胞培养 细胞系 人细胞系 NCI-H146人小细胞肺癌贴壁细胞系 NCI-H146人小细胞肺癌细胞实验室|已有STR图谱
  • NCI-H146人小细胞肺癌细胞实验室|已有STR图谱

NCI-H146人小细胞肺癌细胞实验室|已有STR图谱

NCI-H146
询价 1000000细胞数 起订
2000000细胞数 起订
上海 更新日期:2026-04-23

上海冠导生物工程有限公司

VIP6年
联系人:全经理
电话:18818239863拨打
邮箱:3171921642@qq.com

产品详情:

中文名称:
NCI-H146人小细胞肺癌细胞实验室|已有STR图谱
英文名称:
NCI-H146
品牌:
ATCC\RCB等
产地:
国外
保存条件:
常温培养或液氮冻存
纯度规格:
NCI-H146人小细胞肺癌细胞实验室|已有STR图谱
产品类别:
化学试剂
种属:
详见产品资料
组织:
详见产品资料
细胞系:
详见产品资料
细胞形态:
详见产品资料
生长状态:
详见产品资料
靶点:
详见产品资料
应用:
详见产品资料

"NCI-H146人小细胞肺癌细胞实验室|已有STR图谱

传代比例:1:2-1:4(首次传代建议1:2)

生长特性:悬浮生长

GM15452 Cells;背景说明:1957年,PuckTT从成年中国仓鼠卵巢的活检组织建立了CHO细胞,CHO-K1是CHO的一个亚克隆。CHO-K1的生长需要脯酸。;传代方法:1:2传代;生长特性:贴壁生长;形态特性:上皮样;相关产品有:Hs 343.T细胞、Human Hepatocyte Line 5细胞、COLO 320细胞

HT 1197.T Cells;背景说明:详见相关文献介绍;传代方法:1:5-1:10传代,2天换液1次。;生长特性:贴壁生长;形态特性:详见产品说明书;相关产品有:RBSMC细胞、RMS 13细胞、KNS-42细胞

LK2 Cells;背景说明:肺鳞癌;男性;传代方法:1:2-1:3传代;每周换液2-3次。;生长特性:贴壁;形态特性:详见产品说明书;相关产品有:H3396细胞、PaTu 8988 S细胞、PC-3M 2B4细胞

正确的细胞复苏需知事项:细胞冻存HAO了,接下来要注意什么问题呢?没错,就是记得到时间了,拿出来复苏。那么,细胞复苏的过程中又有哪些该注意的事项呢?细胞活力和形态检查的作用何在?活力检查——千万不要使用不健康的细胞,可能有污染(真菌、支原体等),如果发现有污染毫不犹豫的丢弃!形态检查——检查细胞的固有形态和生长行为。冻存细胞:补充新的培养——在您开始冻存细胞的前一天补充新的培养。在细胞长至70%单层时收获细胞,计数活细胞数,用冻存调整细胞密度~5 x106  s/ml (根据不同的细胞类型调整);冻存——用冻存洗细胞并用冻存重悬细胞,有不同类型的冻存,根据细胞类型选择Zui合适的冻存(常用的冻存成分有):5-10% DMSO——注意确保DMSO不含有其他的毒性物质;5-15%甘油;如果细胞在无血清培养基内生长,应在50%条件培养基内(细胞在无血清培养基内生长24小时)内冻存和复苏。在冻存管上标记HAO细胞类型,日期,冻存人等信息,并保证每冻存管不超过1.5ml。放入罐之前记录冻存管的数量和位置。以Zui快的速度转移冻存管知罐内,因此,此步骤ZuiHAO使用干冰,或者把冻存管浸入装有的小盒内。此外还要注意,在冻存管上没有足够的空间记录细胞的详细信息,做HAO记录是非常非常重要的!还有一个Zui重要的,一定要在异地的罐内保存同样的一份细胞,以免其中的一个罐出现问题!细胞正确的复苏方式和正确的冻存方式同样重要,熟记以下要点:当从罐内取出细胞时,有可能会出现冻存管破裂的情况,使用保护面罩和防护服十分必要;其实,细胞复苏只是一个简单的实验,不过这其中却不可避免有一些需要注意的细节,不然,也不一定会尽如人意。例如说,人身健康方面:一定要记得做HAO防冻工作,戴上护目镜;尽量降低DMSO对细胞的损伤等等。

换液周期:每周2-3次

NCI-H146人小细胞肺癌细胞实验室|已有STR图谱

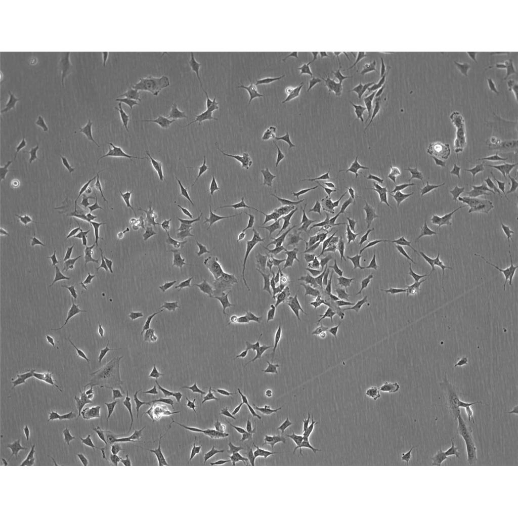
背景信息:是一种人小细胞肺癌(Small Cell Lung Cancer, SCLC)细胞系,广泛用于肺癌研究。最初是从一名患有小细胞肺癌的患者身上获取的肿瘤组织中建立的。

产品包装:复苏发货:T25培养瓶(一瓶)或冻存发货:1ml冻存管(两支)

细胞系的选择需要考虑到细胞系的功能特点、生长速率、铺板效率、生长条件和生长特征、克隆效率、培养方式等因素,如果您想高产量表达重组蛋白,您可以选择可以悬浮生长的快速生长细胞系。细胞培养的操作步骤主要包括传代、换液、冻存和复苏。这些步骤确保了细胞能够在实验室环境中长期存活并继续增殖。传代是将细胞从一个容器转移到另一个容器的过程,以扩大细胞数量;换液是为了清除代谢废物并补充新鲜培养基;冻存则是为了长期保存细胞,而复苏则是重新激活冷冻保存的细胞使其恢复正常生长。

来源说明:细胞主要来源ATCC、ECACC、DSMZ、RIKEN等细胞库

A 123 Cells(提供STR鉴定图谱)

ECV304 Cells;背景说明:详见相关文献介绍;传代方法:1:2-1:3传代;每周换液2-3次。;生长特性:贴壁或悬浮,详见产品说明书部分;形态特性:详见产品说明书;相关产品有:H82细胞、3T3L1细胞、GOS-3细胞

BMF Cells;背景说明:详见相关文献介绍;传代方法:1:2-1:4传代;生长特性:贴壁生长;形态特性:详见产品说明书;相关产品有:TK10细胞、SW 1990细胞、N9细胞

Pt-K1 Cells;背景说明:详见相关文献介绍;传代方法:1:2-1:3传代;每周换液2-3次。;生长特性:贴壁或悬浮,详见产品说明书部分;形态特性:详见产品说明书;相关产品有:HCC0070细胞、Kasumi-6细胞、NCI-H1373细胞

NCI-H146人小细胞肺癌细胞实验室|已有STR图谱

物种来源:人源、鼠源等其它物种来源

形态特性:淋巴母细胞样

绝大部分细胞消化的时候是只要用胰酶润洗一遍即可。吸去胰酶后,残留的那些无法计算体积的附着在细胞表面的微量胰酶在37℃一般不到2min足够消化细胞。对于这些细胞原则上不要用胰酶孵育细胞,连续这样传代,对细胞伤害很大。简单的程序是PBS润洗吸去,胰酶润洗吸去,然后37℃消化。比较难消化的细胞(润洗方法5min还不能消化),这样的细胞一般需要用少量胰酶孵育。不是细胞全部成间隔分布很离散的单个圆形才算消化HAO了,一般你肉眼观察贴壁细胞层,只要能移动了,多半呈沙壮移动,其实已经可以了,很多人喜欢把细胞消化或者吹打成完全分离细胞,这是没有必要的。一般能移动了,说明细胞与培养基质材料的附着已经消失了,细胞之间的附着也已经消失了,细胞已经独立分布了(虽然没有呈现很广的离散分布)。这个时候应该停止消化,不要等到看到镜下所有细胞都分离得非常HAO,间隙很大,才停止。细胞就是完全成单个细胞悬,之后在贴壁的过程中仍然会聚集,这个是贴壁培养的细胞,尤其是肿瘤细胞的一个性。如果和标准形态不一致,那可能是自己没消化HAO导致的,但如果消化方法正确,仍然成片分布,甚至完全吹打成单细胞悬,贴壁后仍然成片分布,这是细胞的性,是因为贴壁过程中重新聚集了。这个时候你拼了命要去让它均匀分布,你的细胞之后会对你越来越不HAO。

MARC-145 Cells;背景说明:胚肾;自发永生;传代方法:1:2-1:3传代;每周换液2-3次。;生长特性:贴壁;形态特性:详见产品说明书;相关产品有:MC-26细胞、HUVEC细胞、HOMEC细胞

NPC-TW039 Cells;背景说明:鼻咽癌;传代方法:1:2-1:3传代;每周换液2-3次。;生长特性:贴壁;形态特性:详见产品说明书;相关产品有:Madison lung细胞、HCC-1954细胞、Ramos (RA)细胞

Malme-3 M Cells;背景说明:详见相关文献介绍;传代方法:1:2-1:4传代,2天换液1次。;生长特性:混合生长;形态特性:成纤维细胞;相关产品有:KNS-62细胞、NS1-Ag 4/1细胞、SRS-82细胞

LAN-5 Cells;背景说明:神经母细胞瘤;骨髓转移;男性;传代方法:1:2-1:3传代;每周换液2-3次。;生长特性:贴壁;形态特性:详见产品说明书;相关产品有:GA-10细胞、HCC941122细胞、HEM-L细胞

C8-D1A Cells;背景说明:该永生化细胞系源自出生8天小鼠小脑组织,由B Pessac, D Trisler建立。该细胞具有小神经胶质细胞特征。该细胞为GFAP阳性细胞,除此之外,没有检测到其它神经胶质神经元或小神经胶质细胞的分子标记。;传代方法:1:2传代;生长特性:贴壁生长 ;形态特性:详见产品说明书;相关产品有:MN9D细胞、CCRF CEM细胞、CSQT-2细胞

SNU484 Cells;背景说明:详见相关文献介绍;传代方法:1:2传代;生长特性:贴壁或悬浮,详见产品说明书部分;形态特性:详见产品说明书;相关产品有:Hs819T细胞、NCIH64细胞、OV-2008细胞

HUCCT1 Cells;背景说明:详见相关文献介绍;传代方法:1:4传代;生长特性:贴壁生长;形态特性:上皮细胞样;相关产品有:Hs-343-T细胞、MT-3 [Human leukocytes]细胞、Bx-PC3细胞

C8161 Cells;背景说明:皮肤黑色素瘤;腹壁转移;女性;传代方法:1:2-1:3传代;每周换液2-3次。;生长特性:贴壁;形态特性:详见产品说明书;相关产品有:H1238细胞、H196细胞、FO [Mouse myeloma]细胞

MDA157 Cells;背景说明:该细胞源自一位患有乳腺髓样癌的44岁黑人女性,表达WNT7B癌基因,细胞与细胞边界处有细胞桥粒、微绒毛、张力细丝。;传代方法:1:2-1:3传代;每周换液2-3次。;生长特性:贴壁生长;形态特性:上皮样;相关产品有:Mink Lung细胞、T-cell Acute Lymphoblastic Leukemia-1细胞、UCLA NPA-87-1细胞

WISH Cells;背景说明:最初以为这株细胞的起源是正常羊膜,但随后通过同工酶分析、HeLa标记染色体和DNA指纹法分析,证实该细胞是HeLa细胞污染的;角蛋白阳性。;传代方法:1:2-1:4传代,每周2-3次。;生长特性:贴壁生长 ;形态特性:上皮细胞样;相关产品有:OLN 93细胞、OVCA433细胞、SW-1116细胞

SW1353 Cells;背景说明:骨肉瘤;女性;传代方法:1:2-1:3传代;每周换液2-3次。;生长特性:贴壁;形态特性:详见产品说明书;相关产品有:GP293细胞、L5178Y细胞、CAL-51细胞

NCI-1155 Cells;背景说明:详见相关文献介绍;传代方法:每周换液2-3次。;生长特性:悬浮生长;形态特性:上皮细胞;相关产品有:GM05372细胞、MCF7-GFP细胞、102PT细胞

MiaPaca.2 Cells;背景说明:详见相关文献介绍;传代方法:1:2传代;;生长特性:贴壁生长;形态特性:详见产品说明书;相关产品有:MGHU1细胞、L-428细胞、MDA-MB-330细胞

OCIAML5 Cells;背景说明:急性髓系白血病细胞;男性;传代方法:1:2-1:3传代;每周换液2-3次。;生长特性:悬浮;形态特性:详见产品说明书;相关产品有:Leukemia 1210细胞、HS-294细胞、HEL-92-1-7细胞

SKml2 Cells;背景说明:详见相关文献介绍;传代方法:1:3-1:6传代,2-3天换液1次。;生长特性:贴壁生长;形态特性:多边形的;相关产品有:P3/X63-Ag8细胞、C-32细胞、MOLM16细胞

SUM-190PT Cells;背景说明:乳腺癌;女性;传代方法:1:2-1:3传代;每周换液2-3次。;生长特性:贴壁;形态特性:详见产品说明书;相关产品有:SK-N-F1细胞、Calu-1细胞、CWR22-R1细胞

H-716 Cells;背景说明:从一位经5-尿嘧啶治疗的患者腹水中得到的细胞建立了这个细胞株。 与其它结直肠癌细胞系不同,这株细胞有多巴脱羧酶,细胞质中有核心致密的内分泌型颗粒。 这株细胞不表达TAG-72 或CA19-9抗原,也不生成癌胚抗原(CEA);传代方法:1:3—1:6传代,每周换液2—3次;生长特性:悬浮生长,聚团,少数贴壁;形态特性:上皮细胞样;相关产品有:CHL-IU细胞、KYSE140细胞、MGH-U3细胞

NCI-H146人小细胞肺癌细胞实验室|已有STR图谱

11a Cells(提供STR鉴定图谱)

Abcam HeLa ATP5F1E KO Cells(提供STR鉴定图谱)

AG14841 Cells(提供STR鉴定图谱)

BayGenomics ES cell line RRE043 Cells(提供STR鉴定图谱)

BayGenomics ES cell line XF521 Cells(提供STR鉴定图谱)

BY00772 Cells(提供STR鉴定图谱)

CU-11 Cells(提供STR鉴定图谱)

EDi001-A-4 Cells(提供STR鉴定图谱)

GM05321 Cells(提供STR鉴定图谱)

MeSoTheliOma-211H Cells;背景说明:MSTO-211H细胞株是1985年从一位肺二相间皮瘤患者的胸水中建株的。这个病人接受过多种药物联合前期化疗。MSTO-211H细胞具有高亲和力的EGF结合位点,并表达神经元特异性烯醇酶(NSE)及人绒毛膜促性腺激素(HCG)的α与β亚基。未检测到左旋多巴胺脱羧酶(DDC),邦巴辛与神经tensin。细胞过表达c-myc原癌基因,并没有观察到基因重排或扩增。V-src,v-abl,v-erbB,c-raf1,Ha-ras,Ki-ras,和N-ras的表达呈阳性。未检测到N-m;传代方法:消化3-5分钟。1:2。3天内可长满。;生长特性:贴壁生长;形态特性:成纤维细胞样;相关产品有:BIU-87细胞、Instituto Biologico-Rim Suino-2细胞、SU-DHL-1细胞

CORL105 Cells;背景说明:详见相关文献介绍;传代方法:1:2-1:3传代;每周换液2-3次。;生长特性:贴壁或悬浮,详见产品说明书部分;形态特性:详见产品说明书;相关产品有:HT-29细胞、Ontario Cancer Institute-Acute Myeloid Leukemia-3细胞、MDA-MB 361细胞

CaES-17 Cells;背景说明:详见相关文献介绍;传代方法:1:2传代;生长特性:贴壁生长;形态特性:上皮细胞样;相关产品有:MDA453细胞、MNNGHOS细胞、H211细胞

NCI-H446 Cells;背景说明:该细胞是1982年由CarneyD和GazdarAF等从一位小细胞肺癌患者的胸腔积液中建立的。细胞的原始形态并不具有小细胞肺癌特征。这个细胞株是小细胞肺癌的生化和形态学上的变种,表达神经元特有的烯醇酶和脑型肌酸激酶同工酶;左旋多巴脱羧酶、蚕素、抗利尿激素、催产素或胃泌激素释放肽未达到可检测水平。与正常细胞相比,该细胞c-mycDNA序列扩增约20倍,RNA增加15倍。最初传代培养基用含有5%FBS的RPMI1640,另外添加10nM化可的松、0.005mg/ml胰岛素、0.01mg/ml转铁;传代方法:1:2传代;生长特性:贴壁/悬浮生长,混合;形态特性:上皮样;相关产品有:WM 451-Lu细胞、TALL1细胞、H-226细胞

J111 Cells;背景说明:单核细胞白血病;传代方法:1:2-1:3传代;每周换液2-3次。;生长特性:悬浮;形态特性:详见产品说明书;相关产品有:NCIH650细胞、Hs819T细胞、University of Michigan-Urothelial Carcinoma-14细胞

Hs-606-T Cells;背景说明:详见相关文献介绍;传代方法:1:2—1:3传代,2—3天换液一次;生长特性:贴壁生长;形态特性:成纤维细胞;相关产品有:SKES1细胞、NCIH1838细胞、LP-1细胞

OAW 42 Cells;背景说明:详见相关文献介绍;传代方法:1:2-1:3传代;每周换液2-3次。;生长特性:贴壁或悬浮,详见产品说明书部分;形态特性:详见产品说明书;相关产品有:RMG-I细胞、ME-180细胞、RPMI no 8226细胞

H-1963 Cells;背景说明:详见相关文献介绍;传代方法:每周换液2次。;生长特性:悬浮生长;形态特性:详见产品说明书;相关产品有:CTX TNA2细胞、OCI-AML-4细胞、SK-MEL24细胞

NCI-H1688 Cells;背景说明:详见相关文献介绍;传代方法:1:2-1:3传代;每周换液2-3次。;生长特性:贴壁或悬浮,详见产品说明书部分;形态特性:详见产品说明书;相关产品有:MOLT3细胞、P 3 HR 1细胞、CCD 1112SK细胞

NCI-H1238 Cells;背景说明:详见相关文献介绍;传代方法:1:2-1:3传代;每周换液2-3次。;生长特性:贴壁或悬浮,详见产品说明书部分;形态特性:详见产品说明书;相关产品有:NCI-H1668细胞、BAC1.2F5细胞、SKMEL-31细胞

AAV293 Cells;背景说明:我们推荐使用AAV-293细胞株繁殖腺病毒相关重组病毒。 AAV-293源自普遍使用的 HEK293细胞株,但产生的病毒滴度更高。 HEK293细胞是剪切过的腺病毒5型DNA转染的人胚肾细胞。 跟HEK293细胞一样,AAV-293细胞反式表达腺病毒E1基因,当共转染三个AAV助质粒(一个含ITR的质粒,pAAV-RC, 和E1缺失助质粒)时,可以产生有感染力的腺病毒-相关病毒颗粒。;传代方法:消化3-5分钟。1:2。3天内可长满。;生长特性:贴壁生长;形态特性:上皮细胞;相关产品有:COS1细胞、MLE12细胞、NCIH2171细胞

CNE-1 Cells;背景说明:详见相关文献介绍;传代方法:1:2-1:3传代;每周换液2-3次。;生长特性:贴壁或悬浮,详见产品说明书部分;形态特性:详见产品说明书;相关产品有:HPBALL细胞、SUSM1细胞、IA-LM细胞

P3/NS1/1-Ag4.1 Cells;背景说明:这是P3X63Ag8(ATCCTIB-9)的一个不分泌克隆。Kappa链合成了但不分泌。能抗0.1mM8-氮杂鸟嘌呤但不能在HAT培养基中生长。据报道它是由于缺失了3-酮类固醇还原酶活性的胆固醇营养缺陷型。检测表明肢骨发育畸形病毒(鼠痘)阴性。;传代方法:1:2传代,3天内可长满。;生长特性:悬浮生长;形态特性:淋巴母细胞;相关产品有:H2444细胞、IR 983F细胞、LC1细胞

UT7 Cells;背景说明:该细胞于1988年建系;源于一名64岁患有急性粒细胞白血病(AMLM7)的男性的骨髓;对多种细胞因子有反应。;传代方法:维持细胞浓度在1.0-1.5×106cells/ml,1:2传代,2-3天1次。;生长特性:悬浮生长,有1%~2%的细胞可轻微贴壁。;形态特性:圆形;相关产品有:MEG01细胞、TE-671细胞、T/GHA-VSMC细胞

C8161 Cells;背景说明:皮肤黑色素瘤;腹壁转移;女性;传代方法:1:2-1:3传代;每周换液2-3次。;生长特性:贴壁;形态特性:详见产品说明书;相关产品有:H1238细胞、H196细胞、FO [Mouse myeloma]细胞

GM09595 Cells(提供STR鉴定图谱)

HAP1 ATP6V0A2 (-) 1 Cells(提供STR鉴定图谱)

Evsa-T Cells;背景说明:乳腺癌;腹水转移;女性;传代方法:1:2-1:3传代;每周换液2-3次。;生长特性:贴壁;形态特性:详见产品说明书;相关产品有:PC-9S1细胞、C42细胞、NCI-H1703细胞

G-Olig2 Cells;背景说明:胚胎干细胞;129X1/SvJ;传代方法:1:2-1:3传代;每周换液2-3次。;生长特性:贴壁;形态特性:详见产品说明书;相关产品有:C3H10T1-2细胞、SNUC1细胞、Calu 6细胞

H2330 Cells;背景说明:详见相关文献介绍;传代方法:1:2-1:3传代;每周换液2-3次。;生长特性:贴壁或悬浮,详见产品说明书部分;形态特性:详见产品说明书;相关产品有:MeT-5A细胞、OEC19细胞、hTERTHME1细胞

SW1573 Cells;背景说明:详见相关文献介绍;传代方法:1:2-1:3传代;每周换液2-3次。;生长特性:贴壁或悬浮,详见产品说明书部分;形态特性:详见产品说明书;相关产品有:JEKO细胞、MOLM-16细胞、Hs1.Tes细胞

CCK-81 Cells;背景说明:详见相关文献介绍;传代方法:1:2-1:3传代;每周换液2-3次。;生长特性:贴壁或悬浮,详见产品说明书部分;形态特性:详见产品说明书;相关产品有:H6c7细胞、MA-c细胞、Mouse Colon 38细胞

SW-1990 Cells;背景说明:胰腺癌;男性;传代方法:1:2-1:3传代;每周换液2-3次。;生长特性:贴壁;形态特性:详见产品说明书;相关产品有:H-2342细胞、NB19-RIKEN细胞、SKNEP细胞

LTEP a2 Cells;背景说明:肺腺癌;女性;传代方法:1:2-1:3传代;每周换液2-3次。;生长特性:贴壁;形态特性:详见产品说明书;相关产品有:P3X63 AG 8.653细胞、870细胞、Malme-3 M细胞

SUM149PT Cells;背景说明:乳腺癌;女性;传代方法:1:2-1:3传代;每周换液2-3次。;生长特性:贴壁;形态特性:详见产品说明书;相关产品有:HCC1954细胞、hTERT RPE1细胞、HEK293-F细胞

HG03039 Cells(提供STR鉴定图谱)

iBMK D3.C4 Cells(提供STR鉴定图谱)

LJH-2 Cells(提供STR鉴定图谱)

NCHi005-A Cells(提供STR鉴定图谱)

PathHunter CHO-K1 GPR171 beta-arrestin Cells(提供STR鉴定图谱)

Ubigene A-549 PARP2 KO Cells(提供STR鉴定图谱)

UT-SCC-59A Cells(提供STR鉴定图谱)

HCT116-SLC39A6-KO-c12 Cells(提供STR鉴定图谱)

COLO 206F Cells;背景说明:详见相关文献介绍;传代方法:1:2-1:3传代;每周换液2-3次。;生长特性:贴壁或悬浮,详见产品说明书部分;形态特性:详见产品说明书;相关产品有:PLA 802细胞、CCD 966 SK细胞、Hi-five细胞

SW1353 Cells;背景说明:骨肉瘤;女性;传代方法:1:2-1:3传代;每周换液2-3次。;生长特性:贴壁;形态特性:详见产品说明书;相关产品有:GP293细胞、L5178Y细胞、CAL-51细胞

NCI-H748 Cells;背景说明:详见相关文献介绍;传代方法:3-4天换液1次。;生长特性:悬浮生长 ;形态特性:详见产品说明书;相关产品有:ARH 77细胞、Embryonic Bovine Tracheal cells细胞、COR-L26细胞

Human Pancreatic Duct Epithelial Cells;背景说明:详见相关文献介绍;传代方法:1:2传代;生长特性:贴壁生长 ;形态特性:详见产品说明书;相关产品有:293H细胞、MDA415细胞、HPAC细胞

Leukemic 1210 Cells;背景说明:该细胞源于用0.2%甲基胆蒽(溶解)涂抹雌性小鼠的皮肤诱发的肿瘤,鼠痘病毒阴性。;传代方法:1:2传代;生长特性:悬浮生长;形态特性:淋巴母细胞样;相关产品有:NCI-H2108细胞、H-1693细胞、Co320细胞

Leukemic 1210 Cells;背景说明:该细胞源于用0.2%甲基胆蒽(溶解)涂抹雌性小鼠的皮肤诱发的肿瘤,鼠痘病毒阴性。;传代方法:1:2传代;生长特性:悬浮生长;形态特性:淋巴母细胞样;相关产品有:NCI-H2108细胞、H-1693细胞、Co320细胞

HMC Cells;背景说明:详见相关文献介绍;传代方法:1:2传代;生长特性:贴壁生长;形态特性:详见产品说明书;相关产品有:CEM-CCRF (CAMR)细胞、624 MEL细胞、GM2132细胞

NTC-200 Cells;背景说明:详见相关文献介绍;传代方法:1:2传代;生长特性:贴壁生长;形态特性:上皮样;相关产品有:Panc-05.04细胞、MDAMB-231细胞、K7M2 wt细胞

EU-2 Cells;背景说明:儿童急性髓系白血病;传代方法:1:2-1:3传代;每周换液2-3次。;生长特性:悬浮;形态特性:详见产品说明书;相关产品有:TE-11细胞、Roswell Park Memorial Institute 7951细胞、NCI-H1404细胞

U-87-MG Cells;背景说明:详见相关文献介绍;传代方法:1:2-1:3传代;每周换液2-3次。;生长特性:贴壁或悬浮,详见产品说明书部分;形态特性:详见产品说明书;相关产品有:MFHL-2细胞、A375细胞、T98 G细胞

LED-WiDr Cells;背景说明:结肠癌;女性;传代方法:1:2-1:3传代;每周换液2-3次。;生长特性:贴壁;形态特性:详见产品说明书;相关产品有:SVOG细胞、H1404细胞、ARO-81细胞

Li-7 Cells;背景说明:人肝癌细胞株。这株细胞从裸鼠体外移植瘤中建立。;传代方法:1:2传代;生长特性:贴壁生长 ;形态特性:详见产品说明书;相关产品有:NCTC clone 929细胞、Balb/3T3-4-Cl31细胞、VM-CUB-I细胞

MAEC Cells;背景说明:主动脉;内皮 Cells;传代方法:1:2-1:3传代;每周换液2-3次。;生长特性:贴壁;形态特性:详见产品说明书;相关产品有:NCIH820细胞、TF1细胞、RBL细胞

MADISON LUNG TA-109 Cells;背景说明:肺癌;BALB/c;传代方法:1:2-1:3传代;每周换液2-3次。;生长特性:贴壁;形态特性:详见产品说明书;相关产品有:PK136细胞、MIA PaCa-2细胞、C666-1细胞

HN-6 Cells;背景说明:舌鳞癌;男性;传代方法:1:2-1:3传代;每周换液2-3次。;生长特性:贴壁;形态特性:详见产品说明书;相关产品有:ANA-1细胞、MDA-MB 453细胞、OSA细胞

S2R+-Apc2-KO Cells(提供STR鉴定图谱)

HS 445T Cells;背景说明:详见相关文献介绍;传代方法:1:2-1:3传代;每周换液2-3次。;生长特性:贴壁或悬浮,详见产品说明书部分;形态特性:详见产品说明书;相关产品有:MDA.MB.435细胞、PK15细胞、L-cells细胞

NCI-H146人小细胞肺癌细胞实验室|已有STR图谱

HOEC Cells;背景说明:口腔;上皮 Cells;传代方法:1:2-1:3传代;每周换液2-3次。;生长特性:贴壁;形态特性:详见产品说明书;相关产品有:HT(H9)细胞、GDM1细胞、EA. hy 926细胞

HEC1-A Cells;背景说明:这株细胞及其亚株HEC-1-B是H.Kuramoto及其同事1968年从一位IA期子宫内膜癌患者身上分离得到的。PAF可以诱导其c-fos的表达。;传代方法:消化3-5分钟,1:2,3天内可长满;生长特性:贴壁生长;形态特性:上皮样;相关产品有:C33A细胞、hA549细胞、LAPC-4细胞

MD Anderson-Metastatic Breast-415 Cells;背景说明:这株细胞表达WNT7B癌基因。8168088].带瘤患者来自巴拉圭,虽然填报的是白人,但细胞表型存在G6PDA型,显示其属于混血。细胞株形成平展延伸的上皮细胞样,在电镜下呈现结节,伴随着延伸的微管和微板。不容易用胰酶消化。;传代方法:消化5-10分钟。1:2。4-5天长满。;生长特性:贴壁生长;形态特性:上皮细胞;相关产品有:GM17219细胞、UACC-812细胞、D-324 Med细胞

SNU-761 Cells;背景说明:详见相关文献介绍;传代方法:1:2传代;生长特性:贴壁或悬浮,详见产品说明书部分;形态特性:详见产品说明书;相关产品有:HM1900细胞、MES 13细胞、769P细胞

GL261 Cells;背景说明:详见相关文献介绍;传代方法:1:2-1:3传代;每周换液2-3次。;生长特性:贴壁;形态特性:上皮细胞样;相关产品有:GM02131细胞、SK-N-MC细胞、HuH-1细胞

HCC-1599 Cells;背景说明:详见相关文献介绍;传代方法:每3-4天换液;生长特性:悬浮生长;形态特性:上皮样;相关产品有:B/C3T3细胞、HBEpiC细胞、Human ErythroLeukemia细胞

National Medical Center-Glioma 1 Cells;背景说明:详见相关文献介绍;传代方法:1:2传代;生长特性:贴壁生长;形态特性:上皮细胞;相关产品有:HBE 135-E6E7细胞、HSCT6细胞、KYSE 410细胞

ZYM-DIEC02 Cells;背景说明:小肠上皮 Cells;传代方法:1:2-1:3传代;每周换液2-3次。;生长特性:贴壁;形态特性:详见产品说明书;相关产品有:HPaSteC(HPSC)细胞、RPPVEC细胞、NL20SV细胞

Mel-MeWo Cells;背景说明:详见相关文献介绍;传代方法:1:3-1:5传代,2-3天换液1次。;生长特性:混合生长;形态特性:成纤维细胞;相关产品有:UK Pan-1细胞、H-2286细胞、CHAGOK1细胞

NFHIOSE-80 Cells;背景说明:卵巢;上皮细胞;SV40转化;女性;传代方法:1:2-1:3传代;每周换液2-3次。;生长特性:贴壁;形态特性:详见产品说明书;相关产品有:Renal Proximal Tubule Epithelial Cells/TERT-immortalized 1细胞、SW13细胞、PLA801D细胞

OCLY8 Cells;背景说明:弥漫大B淋巴瘤;传代方法:1:2-1:3传代;每周换液2-3次。;生长特性:悬浮;形态特性:详见产品说明书;相关产品有:PF-382细胞、P3/NS1/1-Ag4.1细胞、CFSC-2G细胞

LIXC002 Cells;背景说明:详见相关文献介绍;传代方法:1:3传代,3-4天传1次;生长特性:贴壁生长;形态特性:上皮细胞样;相关产品有:CTLA4 Ig-24细胞、SRA01/04 (HLE)细胞、OVCAR-4细胞

4-1st Cells;背景说明:胃癌;女性;传代方法:1:2-1:3传代;每周换液2-3次。;生长特性:贴壁;形态特性:详见产品说明书;相关产品有:D-324 Med细胞、UACC-812细胞、Human Embryonic Kidney 293细胞

BayGenomics ES cell line DTM057 Cells(提供STR鉴定图谱)

BayGenomics ES cell line XA022 Cells(提供STR鉴定图谱)

CCRC-M90 Cells(提供STR鉴定图谱)

MAb 12a Cells(提供STR鉴定图谱)

Royan C15 Cells(提供STR鉴定图谱)

TaD-1 Cells(提供STR鉴定图谱)

"



NCI-H146人小细胞肺癌细胞实验室|;传代细胞;复苏细胞;实验细胞;科研细胞;

公司简介

上海冠导生物工程有限公司,先后从ATCC、DSMZ、ECACC、RIKEN、PromoCell、ScienCell、JCRB等国内外细胞库引进细胞2000余株。以此为契机,公司组建了冠导细胞库,我司细胞均由资深细胞培养工程师进行培养。我司可以提供的细胞有:①细胞系②原代细胞③稳转株④耐药株⑤标记细胞⑥细胞配套试剂等。

成立日期 (11年)
注册资本 100万(元)
员工人数 50-100人
年营业额 ¥ 1000万-5000万
经营模式 工厂,试剂,定制,服务
主营行业 细胞培养,微生物学,细胞生物学

NCI-H146人小细胞肺癌细胞实验室|已有STR图谱相关厂家报价

内容声明
拨打电话 立即询价